|
|
(21), (22) Заявка: 2008147908/13, 04.12.2008
(24) Дата начала отсчета срока действия патента:
04.12.2008
(46) Опубликовано: 20.08.2010
(56) Список документов, цитированных в отчете о поиске:
ГРАЧЕВ Д.В. Иммунобиологические свойства вируса оспы коз, выделенного в Республике Таджикистан. Автореф. диссерт. на соискание уч. степ. канд. вет. наук, Покров, 2006, 26 с. RU 2121366 C1, 10.11.1998. HOSAMANIM et al. A bivalent vaccine against goat pox and Peste des Petits ruminants induces protective immune response in goats. Vaccine. 2006 Aug.28; 24(35-36):6058-64.
Адрес для переписки:
600901, г.Владимир, мкр. Юрьевец, ФГУ “ВНИИЗЖ”, Е.В. Белику
|
(72) Автор(ы):
Диев Вячеслав Иванович (RU), Мороз Наталья Владимировна (RU), Борисов Владимир Владимирович (RU), Кукушкина Мария Сергеевна (RU), Блотова Галина Александровна (RU), Гарькин Алексей Викторович (RU), Басова Дарья Константиновна (RU), Захаров Валерий Михайлович (RU), Константинов Алексей Владимирович (RU), Яснева Елена Анатольевна (RU)
(73) Патентообладатель(и):
Федеральное государственное учреждение “Федеральный центр охраны здоровья животных” (ФГУ “ВНИИЗЖ”) (RU)
|
(54) ВИРУС-ВАКЦИНА ПРОТИВ ОСПЫ КОЗ КУЛЬТУРАЛЬНАЯ СУХАЯ
(57) Реферат:
Изобретение относится к области ветеринарной вирусологии и биотехнологии. Вирус-вакцина в качестве активного вещества содержит антигенный материал из аттенуированного штамма «ВНИИЗЖ 2003» вируса оспы коз (ВОК) Variola vims caprmum сем. Poxviridae, подсем. Chordopoxvirinae, рода Capripoxvirus, депонированного в коллекцию ФГУ «ВГНКИ» под регистрационным номером (ссылкой) «ВНИИЗЖ 2003» – ДЕП, в эффективном количестве. Штамм репродуцируется в культуре клеток Ch-91 в течение 5-7 суток и накапливается в титре от 5,5 lg ТЦД50/см3 до 7,0 lg ТЦД50/см3. Штамм сохраняет исходные характеристики при пассировании в культуре клеток Ch-91 в течение 35 пассажей. Вирус-вакцина защищает иммунизированных животных от прямого заражения эпизоотическим вирусом оспы коз, циркулирующим на территории России. 4 ил., 7 з.п. ф-лы, 7 табл.
Изобретение относится к области ветеринарной вирусологии и биотехнологии и может быть использовано при разработке и изготовлении средств специфической профилактики оспы коз.
Оспа коз – высококонтагиозное вирусное заболевание, которое протекает в тяжелой форме, с характерными клиническими признаками, часто с летальным исходом, особенно среди молодняка. Экономический ущерб, причиняемый оспой козоводству, чрезвычайно велик. Прямые убытки слагаются из отхода животных (гибель молодняка при тяжелом течении болезни может достигать 50÷80%, а взрослого поголовья – 5÷10%), снижения продуктивности – удоев молока, качества и привеса мяса, потерь шерсти и пуха, снижения качества кожи.
В соответствии с классификацией, установленной Международной комиссией по таксономии вирусов (International Committee on Taxonomy of Vimses – ICTV), вирус оспы коз (ВОК) относится к роду 00.058.1.04 Capripoxvirus, принадлежащему к подсемейству 00.058.1 Chordopoxvirinae семейства 00.058 Poxviridae [1].
Род Capripoxvirus включает вирус оспы овец (BOO), ВОК и вирус кожной бугорчатки КРС (вирус нодулярного дерматита (ВБ)). Представители рода близкородственны, что доказывается иммунологическим анализом и структурой гена. Так ВОК является близкородственным BOO, но таксономически самостоятельным видом. BOO и ВОК не обладают четко выраженной хозяйской специфичностью: несмотря на то, что обычно вирусы вызывают наиболее выраженное заболевание либо у овец, либо у коз, некоторые штаммы патогенны для обоих видов животных-хозяев [2, 3].
В связи с этим на практике, как правило, не дифференцируют два этих заболевания, а обычно обозначают как единое заболевание – оспа овец и коз. Именно под таким названием заболевание оспа овец и коз приводится в перечне Международной организации здравоохранения животных (МЭБ) болезней, обязательных к декларированию, хотя это и затрудняет анализ реальной распространенности оспы овец и оспы коз как отдельных заболеваний.
По данным МЭБ это заболевание регистрируется на всех континентах, за исключение Австралии и Океании. В последние годы оспа получила широкое распространение и в тех странах, где раньше никогда не регистрировалась (Вьетнам, 2005; Монголия, 2006; Греция, 2007).
Напряженная ситуация остается в странах СНГ Среднеазиатского и Кавказского регионов (Казахстан, Таджикистан, Киргизия, Азербайджан, Грузия). В 1996-2003 гг. неблагополучными по этому заболеванию были 55 стран, в том числе 7 стран СНГ. Так, в Таджикистане оспу коз регистрировали в виде отдельных случаев, в 2001 г. – уже в 11 хозяйствах, а в 2002 г. – практически во всех зонах республики. Вначале заболевание выявилось только у коз ангорской породы, а в 2002 г. – и у коз местных пород.
В течение длительного времени Россия оставалась благополучной по данному заболеванию. В 2002 г. во время вспышки оспы овец на Дальнем Востоке отмечались единичные случаи заболевания коз, а в 2003 г. оспа коз проявила себя как самостоятельное заболевание.
В связи с тем, что Россия имеет общую границу и тесные экономические связи со многими неблагополучными по оспе государствами, заболевание представляет большую угрозу для нашей страны в отношении возможности заноса возбудителей болезни.
Создавшаяся эпизоотическая ситуация по оспе овец и оспе коз свидетельствует о необходимости иметь высокоэффективные диагностические препараты и средства специфической профилактики как против оспы овец, так и против оспы коз, которые в короткие сроки позволили бы идентифицировать возбудителей этих заболеваний и быстро купировать распространение инфекций.
Это обстоятельство вынуждает вести постоянный поиск новых штаммов ВОК, пригодных для изготовления биопрепаратов для диагностики и специфической профилактики оспы коз.
В странах, где отмечены вспышки этого заболевания, специфическая профилактика оспы коз проводится с помощью культуральных вирусвакцин из аттенуированных штаммов ВОК и инактивированных тканевых и культуральных вакцин. Однако инактивированные вакцины уступают вирус-вакцинам по иммуногенной активности.
Известна вирус-вакцина против оспы коз, содержащая активное вещество в виде антигенного материала из аттенуированного штамма «Durg» ВОК, полученного в чувствительной биологической системе, и целевую добавку в виде стабилизатора в эффективном соотношении [4].
Известна вирус-вакцина против оспы коз, содержащая активное вещество в виде антигенного материала из аттенуированного штамма «GT4-STV42» ВОК, полученного в чувствительной биологической системе, и целевую добавку в виде стабилизатора в эффективном соотношении [5].
Известна вирус-вакцина против оспы коз, содержащая активное вещество в виде антигенного материала из аттенуированного штамма «Mysore» ВОК, полученного в чувствительной биологической системе, и целевую добавку в виде стабилизатора в эффективном соотношении [6].
Известна вирус-вакцина против оспы коз, содержащая активное вещество в виде антигенного материала из аттенуированного штамма «Gorgan» ВОК, полученного в чувствительной биологической системе, и целевую добавку в виде стабилизатора в эффективном соотношении [7].
Известен также штамм культивируемых клеток гонады козы домашней Capra hircus L. – продуцент вирусов животных. Авторами данного изобретения определена чувствительность клеток Ch-91 к заражению вирусами ящура, болезни Ауески, болезни Гамборо и африканской чумы лошадей [8].
Наиболее близкой предлагаемому изобретению по совокупности существующих признаков является вирус-вакцина против оспы коз культуральная сухая, содержащая активное вещество в виде антигенного материала из аттенуированного штамма «ОК/А-04» ВОК, репродуцированного в культуре клеток почки овцы ПО-ВНИИВВиМ с титром инфекционной активности 5,5÷6,0 lg ТЦД50/см3, и целевую добавку в виде лактозо-пептонного стабилизатора в соотношении, мас.%, 50,0:50,0 [9].
Недостатки вышеуказанных вирусвакцин, в том числе и вирусвакцины-прототипа, состоят в том, что они обеспечивают эффективную защиту животных только от заражения гомологичным вирусом.
Задача, на решение которой направлено настоящее изобретение, заключается в получении вирусвакцины против оспы коз культуральной сухой, создающей эффективную защиту восприимчивых животных от эпизоотического ВОК, циркулирующего на территории Российской Федерации.
Технический результат от использования предлагаемого изобретения состоит в расширении арсенала вирусвакцин против оспы коз культуральных сухих, обладающих высокой антигенной и иммуногенной активностью и обеспечивающих эффективную защиту восприимчивых животных от эпизоотического возбудителя оспы коз, циркулирующего на территории России.
Указанный технический результат достигнут созданием вирусвакцины против оспы коз культуральной сухой, охарактеризованной следующей совокупностью признаков.
Предлагаемая вирус-вакцина содержит активное вещество в виде антигенного материала из аттенуированного штамма «ВНИИЗЖ 2003» (авторское наименование) ВОК, репродуцированного в культуре клеток гонады козы Ch-91 с инфекционной активностью не менее 5,5 lg ТЦД50/см3, и целевую добавку в виде стабилизатора в соотношении, мас.%:
| Антигенный материал |
80÷90 |
| Стабилизатор |
10÷20. |
Вирусный изолят, послуживший источником для получения аттенуированного штамма «ВНИИЗЖ 2003» ВОК, был выделен в 2003 г. в Приморском крае Российской Федерации от больных оспой коз.
Для получения вируса, обладающего оптимальными биотехнологическими свойствами, использовали различные системы культивирования, в том числе линии клеток: ПО, Ch-91, ПСГК, МДВК, СПЭВ, Vero, ВНК-21 и Marc-145. В процессе адаптации было установлено, что гомологичная система культивирования перевиваемая линия клеток гонады козы Ch-91 высокочувствительна к ВОК и оказалась оптимальной культурой для выращивания выделенного вируса. В результате осуществления 35 последовательных пассажей изолята на культуре клеток Ch-91 был получен аттенуированный штамм «ВНИИЗЖ 2003» ВОК, имеющий стабильные биотехнологические, антигенные и иммуногенные свойства.
В зависимости от дозы заражения и количества пассажей в условиях стационарного культивирования накопление ВОК штамма «ВНИИЗЖ 2003» в культуре клеток Ch-91 обеспечивалось на уровне от 6,0 до 7,5 lg ТЦД50/см3.
По сравнению с исходным изолятом штамм «ВНИИЗЖ 2003» ВОК имеет генетические и фенотипические отличия. По результатам сравнительного изучения иммунобиологических характеристик различных штаммов ВОК установлено, что штамм «ВНИИЗЖ 2003» является авирулентным, обладает хорошей антигенной и иммуногенной активностью и защищает от контрольного заражения гомологичным эпизоотическим вирусом.
Преимущество штамма «ВНИИЗЖ 2003» ВОК по сравнению со штаммом «ОК/А-04» ВОК заключается в стабильно высоком накоплении вируса в культуре клеток Ch-91 и его высокой биологической, антигенной и иммуногенной активности.
Штамм «ВНИИЗЖ 2003» ВОК депонирован 6 июня 2006 г. во Всероссийскую государственную коллекцию штаммов микроорганизмов, используемых в ветеринарии и животноводстве, Федерального государственного учреждения «Всероссийский государственный центр качества и стандартизации лекарственных средств для животных и кормов» (ФГУ «ВГНКИ») под регистрационным номером (ссылкой) – производственный вакцинный штамм «ВНИИЗЖ 2003» – ДЕП ВОК.
Для изготовления вирусвакцины против оспы коз культуральной сухой в качестве чувствительной биологической системы используют культуру клеток Ch-91 с хорошо сформировавшимся монослоем 2÷3 суточного возраста в клинских матрасах.
В качестве активного вещества используют суспензию лиофилизированного или нативного ВОК аттенуированного штамма «ВНИИЗЖ 2003» с титром инфекционной активности от 5,0 до 6,0 lg ТЦД50/см3. Для заражения культуры клеток Ch-91 используют вирус в дозе 0,1 ТЦД50/кл. Внесенную вирусную суспензию экспонируют на монослой культуры клеток Ch-91 в термостате в течение часа при (37±0,5)°С. Культивирование вируса проводят в течение 12 суток при указанной температуре. При поражении вирусом площади монослоя не менее 80% (округление и появление светопреломляющего эффекта) проводят сбор вируса.
Для изготовления вирусвакцины против оспы коз культуральной сухой используют антигенный материал из аттенуированного штамма «ВНИИЗЖ 2003» ВОК, полученного в культуре клеток Ch-91 с титром инфекционной активности не менее 5,5 lg ТЦД50/см3.
Вирусвакцину против оспы коз кульуральную сухую получают путем смешивания антигенного материала из аттенуировнного штамма «ВНИИЗЖ 2003» ВОК и стабилизатора в соотношении, мас.%, 80:20÷90:10 соответственно. В качестве стабилизатора используют растворы сахарозы, желатозы и гидролизата лактальбумина.
Содержание антигенного материала и стабилизатора в прививной дозе вирусвакцины против оспы коз культуральной сухой в соотношении, мас.%, 80:20÷90:10 является оптимальным, так как обеспечивает толерантную презентацию антигена в организме иммунизированного животного.
Полученную вирусвакцину фасуют в ампулы по 2,0 см3 или во флаконы по 2,0 см3 или по 4,0 см3, замораживают при температуре минус 50°С и подвергают лиофильному высушиванию.
Вирус-вакцина против оспы коз культуральная сухая, расфасованная во флаконы или ампулы, представляет собой однородную пористую массу цилиндрической формы светло-желтого цвета, растворяющуюся в течение 1-1,5 минут в физрастворе. В одной ампуле содержится 2,0 см3, а во флаконе – 2,0 см3 или 4,0 см3 сухой вирусвакцины, что соответствует в ампуле 50 и во флаконе 50 или 100 прививным дозам препарата для коз.
Полученный препарат подвергают контролю на стерильность, специфичность и иммунобиологическую активность в соответствии с показателями, установленными стандартом организации-изготовителя.
Предлагаемое изобретение включает следующую совокупность существенных признаков, обеспечивающих получение технического результата во всех случаях, на которые испрашивается правовая охрана:
1. Вирус-вакцина против оспы коз культуральная сухая.
2. Активное вещество в виде антигенного материала из аттенуированного штамма «ВНИИЗЖ 2003» ВОК в эффективном количестве.
3. Целевая добавка.
Признаками изобретения, характеризующими предлагаемую вакцину и совпадающими с признаками прототипа, в том числе родовое понятие, отражающее назначение, являются:
1. Вирус-вакцина против оспы коз культуральная сухая.
2. Активное вещество.
3. Целевая добавка.
По сравнению с вирусвакциной-прототипом существенным отличительным признаком предлагаемой вирусвакцины является то, что в качестве активного вещества она содержит антигенный материал из аттенуированного штамма «ВНИИЗЖ 2003» ВОК, обладающего высокой антигенной и иммуногенной активностью, в эффективном количестве.
Предлагаемое изобретение характеризуется также другими отличительными признаками, выражающими конкретные формы выполнения или особые условия его использования:
1. Антигенный материал из аттенуированного штамма «ВНИИЗЖ 2003» ВОК, репродуцированного в культуре клеток гомологичного происхождения.
2. Антигенный материал из аттенуированного штамма «ВНИИЗЖ 2003» ВОК, репродуцированного в культуре клеток гонады козы Ch-91.
3. Антигенный материал из аттенуированного штамма «ВНИИЗЖ 2003» ВОК, репродуцированного в культуре клеток Ch-91 с инфекционной активностью не менее 5,5 lg ТЦД50/см3.
4. Антигенный материал из аттенуированного штамма «ВНИИЗЖ 2003» ВОК, репродуцированного в культуре клеток Ch-91 с инфекционной активностью не менее 5,5 lg ТЦД50/см3, в количестве 80-90 мас.%.
5. Из целевых добавок стабилизатор.
6. Стабилизатор в количестве 10-20 мас.%.
7. Антигенный материал из аттенуированного штамма «ВНИИЗЖ 2003» ВОК, репродуцированного в культуре клеток Ch-91 с инфекционной активностью не менее 5,5 lg ТЦД50/см3, и стабилизатор в соотношении, мас.%:
| Антигенный материал |
80÷90 |
| Стабилизатор |
до 100. |
Предлагаемое изобретение расширяет арсенал вирусвакцин против оспы культуральных сухих, обладающих высокой антигенной и иммуногенной активностью и обеспечивающих эффективную защиту восприимчивых животных от эпизоотического возбудителя оспы коз, циркулирующего на территории России.
Достижение технического результата от использования предлагаемого изобретения объясняется тем, что в качестве активного вещества оно содержит антигенный материал из нового авирулентного штамма «ВНИИЗЖ 2003» ВОК, обладающего высокой антигенной и иммуногеной активностью.
Экспериментально подтверждена возможность его использования в составе вирусвакцины против оспы коз. Штамм «ВНИИЗЖ 2003» ВОК обеспечивает получение эффективной вирусвакцины против оспы коз, создающей защиту восприимчивых животных от возбудителя оспы коз, циркулирующего на территории России.
Сущность изобретения пояснена на графических материалах, на которых на:
фиг.1 представлено графическое изображение изменения титра ВОК штамма «ВНИИЗЖ 2003» при его пассировании в культуре клеток Ch-91 (доза заражения 0,01÷0,05 ТЦД50/кл);
фиг.2 – фотографическое изображение под электронным микроскопом характерной морфологии ВОК штамма «ВНИИЗЖ 2003» (фото получено д.б.н. А.П.Пономаревым), увеличение х76000;
фиг.3 – хроматограмма результатов видовой дифференциации каприпоксвирусов, полученных методом мультиплексной ПЦР с видоспецифическими праймерами, на которой:
1 – отрицательный контроль;
2 – маркер (снизу вверх – 100, 200, 300, 400, 500, 600, 700 п.н. и т.д.);
3 – BOO, вакцинный штамм «ВНИИЗЖ»;
4 – BOO, эпизоотический штамм «Афганский»;
5 – BOO, эпизоотический штамм «Приморский»;
6 – BOO, эпизоотический штамм «ЕАО»;
7 – BOO, эпизоотический штамм «Таджикский»;
8 – ВОК, вакцинный штамм «ВНИИЗЖ 2003»;
9 – ВОК, эпизоотический штамм «Приморский 2003»;
10 – ВОК, эпизоотический штамм «Pellor»;
11 – ВБ;
12 – смесь BOO и ВОК;
13 – смесь BOO, ВОК и ВБ;
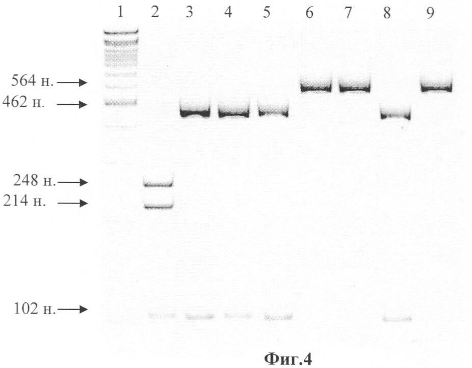
фиг.4 – хроматограмма результатов видовой дифференциации BOO и ВОК, полученных методом рестрикции гена «ankyrin-repeat» белка, на которой:
1 – маркер (снизу вверх – 100, 200, 300, 400, 500, 600, 700 п.н. и т.д.);
2 – BOO, вакцинный штамм «ВНИИЗЖ»;
3 – BOO, эпизоотический штамм «Афганский»;
4 – BOO, эпизоотический штамм «Приморский»;
5 – BOO, эпизоотический штамм «ЕАО»;
6 – ВОК, вакцинный штамм «ВНИИЗЖ 2003»;
7 – ВОК, эпизоотический штамм «Приморский 2003»;
8 – BOO, эпизоотический штамм «Таджикский»;
9 – ВОК, эпизоотический штамм «Pellor».
Штамм “ВНИИЗЖ 2003» ВОК характеризуется следующими признаками и свойствами.
Морфологические признаки
Штамм «ВНИИЗЖ 2003» ВОК относится к роду Capripoxvirus, семейства Poxviridae и обладает морфологическими признаками, характерными для ВОК.
Вирион ВОК состоит из вирусной сердцевины (нуклеоида), овальных латеральных тел и наружной оболочки. Нуклеоид окружен гладкой мембраной толщиной 5 нм. Внутри него находится нуклеопротеин (ДНК, связанная с белком), имеющий S – образную или более сложную форму. Чувствительные к трипсину структуры, называемые боковыми телами, сдавливают нуклеоид, придавая ему форму двояковогнутого диска, имеющего на срезе вид гантели. Нуклеоид и боковые тела окружены наружной оболочкой, состоящей из липидов и трубчатых белковых структур (10×5 нм).
Геном представлен двухцепочечной ДНК. Две цепи ДНК соединены шпилькообразными петлями, в результате чего образуется одна непрерывная, ковалентно связанная полинуклеотидная цепь. Флип-флоп формы ДНК (т.н. «шпильки») образованы инвертированными концевыми повторами: идентичными, но противоположно ориентированными последовательностями ДНК, длина которых варьирует даже в пределах одного рода (Классификация и номенклатура вирусов позвоночных, 2002).
Антигенные свойства
По своим антигенным свойствам штамм «ВНИИЗЖ 2003» относится к ВОК.
Вирус стабильно нейтрализуется гомологичной антисывороткой в реакции нейтрализации (РН) на культуре клеток Ch-91, в реакции диффузионной преципитации (РДП) и в реакции длительного связывания комплемента (РДСК). Штамм проявляет антигенную активность в РДП 1:16÷1:32, в РДСК 1:120÷1:160 и в иммуноферментном анализе (ИФА) 1:1000÷1:4000.
Испытания вирусвакцины против оспы коз из штамма «ВНИИЗЖ 2003» в лабораторных условиях показали, что иммунизация коз сопровождается образованием вируснейтрализующих антител в крови животных в титре не менее 2,0 log2.
Биотехнологические характеристики
Штамм «ВНИИЗЖ 2003» ВОК проявляет высокую биологическую, антигенную и иммунологическую активность в лиофилизированном виде и в виде культуральной вируссодержащей суспензии. Штамм предназначен для изготовления вакцинных и диагностических препаратов. Вирус штамма «ВНИИЗЖ 2003» репродуцируется в монослойных культурах клеток: первичнотрипсинизированной культуре клеток почки овцы и перевиваемой культуре клеток Ch-91 и в течение 5÷7 суток инкубирования накапливается в титре не менее 5,5 lg ТЦД50/см3. Сохраняет исходные характеристики при пассировании в чувствительных биологических системах в течение 35 пассажей.
Генотаксономическая характеристика
Геном ВОК не обладает инфекционностью и представлен молекулой линейной двухцепочечной ДНК с центральным менее вариабельным участком длиной около 145 kb и более вариабельными концами.
Физические свойства
При электронной микроскопии штамма «ВНИИЗЖ 2003» ВОК были выявлены вирусные частицы, структура и размеры которых характерны для каприпоксвирусов.
Вирионы оспы имеют линейную двухспиральную ДНК длиной 45÷60 мкм, молекулярной массой 80÷240 МДа. Плавучая плотность ДНК вирусов оспы в хлористом цезии и сахарозе равна 1,676÷1,723 г/см3. Важной особенностью ДНК вируса оспы является необычно прочная структура двухспиральной молекулы. Обе нити молекулы ДНК связаны между собой ковалентно.
Устойчивость к внешним факторам
ВОК штамма «ВНИИЗЖ 2003» устойчив к высушиванию, эфиру, не стоек к воздействию высокой температуры, различных химических веществ, например формалину (0,5-1%), слабым растворам йода (1:10000), соляной, серной кислот (2,5%), спирту, его инфекционная активность сохраняется при рН 6,0÷7,4.
Дополнительные признаки и свойства
Иммуногенная активность – иммуногенен в составе живой лиофилизированной вакцины.
Реактогенность – в месте подкожного введения нативного вируса в объеме 5 см3 образуется кожный тяж длиной до 4 см.
Патогенность – при внутримышечном введении животным заболевания не вызывает. При испытании вирусвакцины против оспы коз из штамма «ВНИИЗЖ 2003» на козах было установлено, что она не вызывала ответной местной реакции на подкожное введение в объеме 5 см3 (125 прививных доз), была безвредна и ареактогенна для коз.
Вирулентность – авирулентен для мелких жвачных при контактном, аэрозольном и парентеральном заражении.
Антигенные свойства – вирус индуцирует у коз и овец образование вируснейтрализующих антител.
Стабильность биологических свойств. Сохраняет исходные характеристики при пассировании на культуре клеток гонады козы Ch-91 в течение 35 пассажей. Штамм нереверсибелен в течение 5 пассажей на козах.
Сущность предложенного изобретения пояснена примерами его исполнения и использования, которые не ограничивают объем изобретения.
Пример 1.
Вирусный изолят, послуживший источником для получения штамма «ВНИИЗЖ 2003», был выделен в 2003 г. от больных оспой коз в Приморском крае Российской Федерации. Подготовку материала проводили общепринятым методом.
Биологические и вирусологические методы включали адаптацию вируса, выделенного от больных коз, к культурам первично трипсинизированных и перевиваемых линий клеток и его аттенуацию. Для выращивания ВОК были испытаны разные линии культур клеток: ПО, Ch-91, ПСГК, MDBK, СПЭВ, Vero, BHK – 21, Marc-145. В процессе адаптации было установлено, что перевиваемая линия клеток Ch-91 высокочувствительна к ВОК и оказалась оптимальной культурой для получения расплодки штамма для изготовления вирусвакцины.
В дальнейшем для получения расплодки вирусную суспензию вносили на освобожденный от ростовой среды монослой культуры клеток и экспонировали час в термостате при температуре (37±0,5)°С. После этого вносили поддерживающую среду ПСП или Игла с добавлением 1÷2% сыворотки крови КРС. Инфицированную культуру инкубировали при (37±0,5)°С до появления ЦПД вируса, которое характеризовалось округлением клеток, скоплением их в виде групп по 10÷20 клеток и в дальнейшем тотальной деструкцией монослоя клеток. При поражении площади монослоя не менее 70÷80% (округление и появление светопреломляющего эффекта, отслоение от стекла) 3-кратным промораживанием культуральных матрасов производили сбор вируса с последующим отбором проб для исключения микробной контаминации и определения инфекционной активности вируса титрованием в культуре клеток Ch-91.
Выделенный вирус обладал цитопатическим действием на культуре клеток Ch-91 с первоначальным титром 3,0÷4,0 lg ТЦД50/см3. В последующих пассажах на этой же культуре клеток титр вируса повышался в 6÷7-м пассажах до 5,0÷5,5 lg ТЦД50/см3, в 8÷10-м пассажах до 6,0 lg ТЦД50/см3.
В зависимости от дозы заражения, составлявшей 0,01÷1,0 ТЦД50/кл, накопление аттенуированного штамма «ВНИИЗЖ-2003» ВОК в культуре клеток Ch-91 обеспечивалось на уровне 5,33÷7,17 lg ТЦД50/см3 за 4÷7 суток при 50÷90% поражении клеточного монослоя. Оптимальной инфицирующей дозой вируса считали 0,01÷0,05 ТЦД50/кл, вызывающей при стационарном культивировании в течение 5÷7 суток накопление вируса в титре от 6,67±0,08 до 7,17±0,10 lg ТЦД50/см3 при 80÷90% поражении клеточного монослоя. Результаты исследований представлены в таблице 1. Стабильность культуральных свойств лиофилизированного вируса при определении степени его накопления в течение 35 пассажей в культуре клеток Ch-91 при заражающей дозе 0,01-0,05 ТЦД50/кл представлена на фиг.1.
Из данных, представленных на фиг.1, следует, что в процессе пассирования в условиях стационарного культивирования ВОК с дозой заражения 0,01-0,05 ТЦД50/кл его инфекционная активность на уровне 6,0÷7,50 lg ТЦД50/см3 отмечалась в течение первых 13 пассажей. При увеличении количества пассажей инфекционная активность вируса постепенно снижалась. Результаты исследования сроков культивирования ВОК в культуре клеток Ch-91 представлены в таблице 2.
Инфекционная активность штамма «ВНИИЗЖ-2003» ВОК при дозе заражения 0,01÷0,05 ТЦД50/кл зависела от количества пассажей. На уровне 8÷13 пассажей продолжительность культивирования ВОК не превышала 7 дней. За это время достигалось наиболее выраженное (80÷90%) ЦПД вируса и его максимальное накопление в культуре клеток Ch-91. В дальнейшем, накопление вируса установлено на более низком уровне и инфекционная активность вируса следующих пассажей характеризовалась меньшими значениями с увеличением продолжительности культивирования.
В результате осуществления 35 последовательных пассажей выделенного ВОК на культуре клеток Ch-91 был получен аттенуированный штамм «ВНИИЗЖ 2003» (авторское наименование), имеющий стабильные биотехнологические, антигенные и иммуногенные свойства, которые позволяют использовать его для получения антигенного материала при изготовлении диагностикумов и вирусвакцины против оспы коз.
В дальнейшем культуру клеток Ch-91 использовали для получения расплодки ВОК при изготовлении вирусвакцины.
Полученный штамм ВОК был испытан в лабораторных, а затем и в эпизоотических условиях. В результате проведенных исследований установлено следующее:
1. Проверку на стерильность осуществляли путем высева проб вируссодержащей жидкости на бактериальные питательные среды МПБ, МПА, МППБ, агар Сабуро (жидкий) и тиогликолевую среду, а также среды Эдварда или Мартена для выявления микоплазм. Бактериальные или грибковые загрязнения штамма «ВНИИЗЖ 2003» ВОК отсутствовали, как и контаминация другими вирусами.
2. При электронной микроскопии штамма «ВНИИЗЖ 2003» ВОК были выявлены вирусные частицы, структура и размеры которых характерны для каприпоксвирусов (фиг.2).
3. Видовая принадлежность штамма «ВНИИЗЖ 2003» ВОК подтверждена двумя молекулярно-генетическими методами: мультиплексной ПЦР с видоспецифичными праймерами (фиг.3) и рестрикционным анализом фрагмента гена «ankyrin-repeat» белка (фиг.4).
4. Специфичность штамма «ВНИИЗЖ 2003» ВОК была подтверждена в РДП, РДСК и ИФА.
Полученный штамм депонирован 6 июня 2006 года во Всероссийскую государственную коллекцию штаммов микроорганизмов, используемых в ветеринарии и животноводстве, ФГУ «ВГНКИ» под регистрационным номером (ссылкой) – производственный вакцинный штамм «ВНИИЗЖ 2003» – ДЕП ВОК.
Пример 2.
В ходе разработки мультиплексной ПЦР для индикации и видовой дифференциации каприпоксвирусов в результате анализа полных нуклеотидных последовательностей генома каприпоксвирусов, представленных в базе данных GenBank, были установлены видоспецифичные участки для BOO, ВОК и ВБ. На основе этих данных были сконструированы видоспецифичные праймеры S1 и S2 – для BOO, G1 и G2 -для ВОК, L1 и L2 – для ВБ. Видоспецифичные праймеры были рассчитаны таким образом, что чтобы синтезируемые с их участием ампликоны имели разную длину: 415 п.н. для ВОК, 311 п.н. для BOO и 254 п.н. для ВБ. Это позволило использовать все три пары праймеров в одной реакции и различать продукты мПЦР по размеру с помощью электрофореза в агарозном геле.
В ходе видовой дифференциации каприпоксвирусов было исследовано 11 проб вируссодержащих клеточных культур с вакцинным штаммом «ВНИИЗЖ» и с эпизоотическими штаммами «Афганский», «Приморский», «EAO» BOO, с вакцинным штаммом «ВНИИЗЖ 2003» и с эпизоотическими штаммами «Приморский 2003», «Pellor» ВОК, с ВБ, а также с изолятами «ЕАО»и «Таджикский» в виде суспензии кожи больных животных.
На фиг.3 отражены результаты ПЦР с видоспецифичными праймерами. В пробах, содержащих ДНК штамма «ВНИИЗЖ 2003», синтезировался фрагмент длиной 415 п.н., в амплификации которого участвуют видоспецифичные для ВОК праймеры.
С помощью метода рестрикционного анализа можно также дифференцировать BOO и ВОК и определять штаммовую принадлежность BOO. С использованием родоспецифических праймеров проводится амплификация участка гена «ankyrin-repeat» белка длиной 564 п.н. Затем проводится обработка амплификонов рестриктазой Dra I. В пределах амплифицируемого фрагмента генома у эпизоотических изолятов BOO расположен один сайт рестрикции Dra I, у вакцинных штаммов BOO – два сайта, у ВОК таких сайтов нет. Анализ продуктов рестрикции в агарозном или полиакриламидном геле позволяет легко отличать BOO от ВОК и вакцинные штаммы BOO от эпизоотических изолятов по характерному набору фрагментов ДНК.
При проведении данного метода у вакцинного штамма «ВНИИЗЖ» BOO ампликон в результате обработки рестриктазой Dra I расщеплялся на три фрагмента, у всех эпизоотических изолятов BOO – на два фрагмента, а у вакцинного штамма «ВНИИЗЖ 2003» ВОК и двух эпизоотических изолятов ВОК расщепления ампликона не происходило (фиг.4).
Таким образом, при обработке эндонуклеазой Dra I фрагмента гена «ankyrin-repeat» белка штамма «ВНИИЗЖ 2003» ВОК расщепления ДНК не наблюдалось, что указывает на принадлежность штамма к ВОК.
Дополнительно специфичность штамма «ВНИИЗЖ 2003» ВОК была подтверждена и серологическими методами в РДП и РДСК. РДП и РДСК были положительными только между специфическим вирусом с гомологичной сывороткой (табл.3, табл.4).
Пример 3
Технологический процесс изготовления вирусвакцины против оспы коз включает два этапа: получение посевного ВОК и изготовление производственной серии вирусвакцины.
Для получения посевного вируса используют культуру клеток Ch-91 с хорошо сформировавшимся монослоем 2÷3 – суточного возраста в клинских матрасах и суспензию лиофилизированного или нативного ВОК штамма «ВНИИЗЖ 2003» с инфекционным титром от 5,0 до 6,0 lg ТЦД50/см3. Средняя инфицирующая доза вируса составляет 0,1 ТЦЦ50/кл. Внесенную вирусную суспензию экспонируют на предварительно отмытый от остатков ростовой среды раствором Хенкса монослой в термостате в течение часа при (37±0,5)°С, затем в необходимом объеме вносят поддерживающую питательную среду ПСП. Культивирование вируса проводят в течение 12 суток при указанной температуре.
При поражении вирусом площади монослоя не менее 80% (округление и появление светопреломляющего эффекта) проводят сбор вируса. Для этого содержимое клинских матрасов замораживают при температуре минус 40°С и проводят оттаивание при комнатной температуре, энергично встряхивая.
Для получения одного миллиона доз вирусвакцины необходимо сорок литров вируссодержащей суспензии.
Вирусвакцину против оспы коз получают путем смешивания полученного антигенного материала из штамма «ВНИИЗЖ 2003» ВОК, репродуцированного в культуре клеток Ch-91 с инфекционной активностью не менее 5,5 lg ТЦД50/см3, и стабилизатора в соотношении, мас.%: 80:20÷90:10 соответственно. В качестве стабилизатора используют растворы сахарозы, желатозы и гидролизата лактальбумина.
Из полученного антигенного материала готовят 2 серии вирусвакцины против оспы коз, отличающиеся процентным содержанием стабилизатора в препарате.
Серия 1 вирусвакцины против оспы коз из аттенуированного штамма «ВНИИЗЖ 2003» ВОК содержит, мас.%:
| Антигенный материал |
80,0 |
| Стабилизатор |
20,0. |
Серия 2 вирусвакцины против оспы коз из аттенуированного штамма «ВНИИЗЖ 2003» ВОК содержит, мас.%:
| Антигенный материал |
90,0 |
| Стабилизатор |
10,0. |
Полученную вирусвакцину фасуют в ампулы по 2,0 см3 или во флаконы по 2,0 см3 или 4,0 см3, замораживают при температуре минус 50°С и подвергают лиофильному высушиванию. После сублимации флаконы (ампулы) заполняют сухим стерильным воздухом или инертным газом, закрывают резиновыми пробками и закатывают металлическими колпачками, ампулы запаивают.
Вирус-вакцина против оспы коз культуральная сухая, расфасованная во флаконы или ампулы, представляет собой однородную пористую массу цилиндрической формы светло-желтого цвета, растворяющуюся в течение 1÷1,5 минут в физрастворе. В одной ампуле содержится 2,0 см3, а во флаконе 2,0 см3 или 4,0 см3 сухой вирусвакцины, содержащей соответственно в ампуле 50 и во флаконе 50 или 100 прививных доз препарата для коз.
Полученный препарат подвергают контролю на стерильность, специфичность и иммуногенную активность в соответствии с показателями, установленными стандартом организации-изготовителя.
Пример 4.
Инфекционную активность штамма «ВНИИЗЖ 2003» ВОК в вирусвакцине после лиофилизации определяют титрованием десятикратных разведений вирусной суспензии в культуре клеток Ch-91 во флаконах. Учет результатов проводят в течение 12 суток по наличию цитопатического действия. Результаты титрования 2-х серий вирусвакцины представлены в таблице 5.
Титр вируса в вакцине определен в значениях от 5,11±0,09 до 5,41±0,15 lg ТЦД50/см3. При хранении в течение 1,0÷1,5 лет титр вируса снижался не более чем на 0,5 lg ТЦД50/см3.
Однако следует отметить, что хранение вакцины в течение 2÷3 недель при комнатной температуре снижало инфекционную активность ВОК на 1,0÷1,5 lg ТЦД50/см3. Поэтому транспортировка вирусвакцины против оспы коз должна осуществляться при низких температурах.
Пример 5.
Для определения безвредности и реактогенности вирусвакцину против оспы коз из штамма «ВНИИЗЖ 2003» вводили козам по 5,0 см3 в исходном разведении (125 прививных доз) подкожно в область бесшерстного участка внутренней поверхности передней конечности. За животными вели наблюдение в течение 21 суток.
При исследовании вакцины на безвредность и реактогенность в единичных случаях у животных на месте введения вакцины в исходном разведении установлено образование на 4÷6 сутки воспалительного отека в виде небольшого тяжа размером от 1 до 3 см, который исчезал на 3÷14 сутки после появления и никак не отражался на клиническом состоянии животных. На протяжении всего срока наблюдения (21 сутки) температура тела коз оставалась в пределах физиологической нормы. Это позволило заключить, что вирус-вакцина против оспы коз из аттенуированного штамма «ВНИИЗЖ 2003» ВОК является безвредным и нереактогенным препаратом.
Пример 6.
Антигенную активность вирусвакцины против оспы коз из штамма «ВНИИЗЖ 2003» серии 1 и 2 определяли на 7, 14 и 21-е сутки после иммунизации коз различными разведениями препарата. От животных в указанные сроки отбирали пробы крови с целью получения сыворотки крови, которую исследовали в реакции нейтрализации (РН) в культуре клеток Ch-91 на наличие вируснейтрализующих антител (ВНА) с постоянной дозой ВОК 100 ТЦД50/см3 и последовательными двукратными разведениями сыворотки от 1:2 до 1:32. Учет результатов проводили в течение 12 суток со сменой поддерживающей среды через 3-4 суток. Титр антител определяли по методу Рида и Менча и выражали в логарифмах с основанием 2 (log2).
Уровень антител в крови иммунизированных животных зависел от дозы введенной вакцины и сроков после вакцинации (таблицы 6 и 7). Так, титр ВНА после введения вакцины серии 1 в объеме 5 см3 в исходном разведении, составлявшем 125 прививных доз, на 7-е сутки был 2,34±0,46 log2, на 14-е сутки – 2,53±0,19 log2 и на 21-е сутки – 3,00±0,50 log2, в одной прививной дозе – 1,50±0,31, 2,02±0,30 и 2,50±0,12 log2 соответственно. Во всех случаях наличие максимального уровня антител установлено на 21-е сутки после иммунизации животных. После иммунизации в дозе 0,00001 ПВД (разведение вакцины 1:100000) в крови животных выявлено по сравнению с другими разведениями наличие невысокого титра антител, который соответствовал на 21-е сутки 1,20±0,15 log2.
После введения вакцины серии 2 на 7-е сутки титры антител в крови коз, привитых в дозах от 102 до 104 ТЦД50 и в цельном виде, находились в пределах от 1,08±0,11 до 1,63±0,20 log2; в дозах 10 и 1 ТЦД50 от 0,20±0,18 до 0,63±0,32 log2 соответственно. На 14-е сутки активность сывороток крови коз, привитых в указанных дозах, составляла от 0,75±0,35 до 1,96±0,19 log2. На 21-е сутки после иммунизации коз вакциной в цельном виде титр антител в крови животных достигал 2,33±0,9, в разведении 1:25-2,54±0,22; 1:100-1,83±0,24; 1:1000-1,75±0,12; 1:10000-1,36±0,13 и 1:100000-1,13±0,18 log2.
Пример 7.
Иммуногенную активность вирусвакцины против оспы коз из штамма «ВНИИЗЖ 2003» проверяли методом контрольного заражения. На 21-е сутки после иммунизации животным, привитым различными разведениями препарата серии 1 и серии 2, а также контрольным козам вводили внутрикожно в область подхвостовой складки вирулентный штамм «Приморский 2003» ВОК в дозе 1000 ИД50/см3. После заражения животных наблюдали 14 суток с ежедневной термометрией и осмотром.
В период иммунизации и после контрольного заражения температура тела коз, иммунизированных различными дозами вирусвакцины против оспы коз, оставалась на уровне физиологической нормы. Контрольно зараженные животные заболевали оспой в генерализованной форме и погибали на 8-10 день после заражения.
Результаты исследования иммуногенной активности вирусвакцины против оспы коз из штамма «ВНИИЗЖ 2003» представлены в таблицах 6 и 7.
Несмотря на различную специфическую активность сыворотки крови животных, привитых различными дозами вирусвакцины (от 104 до 1 ТЦД50), все козы были предохранены от заболевания оспой при экспериментальном заражении вирулентным штаммом «Приморский 2003» ВОК в летальной дозе (1000 ИД50/0,5 см3).
Таким образом, получены данные, свидетельствующие о невосприимчивости к заболеванию животных, привитых вирусвакциной против оспы коз из штамма «ВНИИЗЖ 2003».
Пример 8.
Проведены испытания эффективности вирусвакцины против оспы коз культуральной сухой (серия 3) из штамма «ВНИИЗЖ 2003», полученной так, как описано в примере 3, и содержащей, мас.%:
| Антигенный материал |
80,0 |
| Стабилизатор |
20,0, |
в угрожаемых хозяйствах ряда районов Республики Таджикистан в связи с возникновением оспы коз.
Всего вирусвакциной против оспы коз иммунизировано 5000 коз. Коз иммунизировали в соответствии с Инструкцией по применению препарата. После применения вакцины клинических осложнений у животных не отмечали. Вакцинация коз в угрожаемых по оспе хозяйствах обеспечила образование активного иммунитета у животных и их полную защиту от заболевания оспой. Случаев прорыва иммунитета после иммунизации животных не было отмечено.
Для определения уровня поствакцинального иммунитета от 10 животных по каждой из групп животных перед иммунизацией, а также на 10, 20 и 30 дни после вакцинации были отобраны сыворотки крови, которые направлены в ФГУ «ВНИИЗЖ».
Было установлено, что вирус-вакцина против оспы коз из штамма «ВНИИЗЖ 2003», примененная в угрожаемых по оспе хозяйствах Республики Таджикистан, обладала высокой иммунобиологической активностью, безвредна для животных и предохраняла привитых животных от заболевания оспой.
Источники информации
2. – Р.503-511.
5. – P.369-370.
2. – P.111-116.
th edn. – Paris: World organization for animal health, 2000. – P.168-177.
12. – Р.6054-6061.
8. Пат. РФ 2061753; C12N 5/06, 7/00; 10.06.1996 г.
| Таблица 1 |
| Влияние дозы заражения на репродукцию ВОК штамма «ВНИИЗЖ 2003» в культуре клеток гонады козы Ch-91 |
| Доза (ТЦД50/кл) |
Период культивирования (сут.) |
Площадь поражения монослоя клеток (%) |
Титр вируса (lg ТЦД50/см3) |
| 0,01 |
6÷7 |
80÷90 |
7,17±0,10 |
| 0,05 |
5÷6 |
80÷90 |
6,67±0,08 |
| 0,1 |
5÷6 |
60÷70 |
6,17±0,72 |
| 1 |
4÷5 |
50÷60 |
5,33±0,17 |
| Таблица 2 |
| Биологическая активность штамма «ВНИИЗЖ 2003» ВОК в культуре клеток Ch-91 в зависимости от количества пассажей и сроков культивирования в стационарных условиях |
пассажа |
Титр вируса (lg ТЦД50/см3) при дозе заражения 0,01-0,05 ТЦД50/кл |
| Дни культивирования |
| 1 |
2 |
4 |
5 |
6 |
8 |
| 8 |
2,50±0,25 |
3,25±0,23 |
4,75±0,25 |
5,25±0,13 |
6,75±0,16 |
6,33±0,23 |
| 9 |
3,00±0,11 |
4,00±0,22 |
5,50±0,25 |
6,00±0,28 |
6,66±0,15 |
6,25±0,61 |
| 10 |
2,33±0,13 |
2,59±0,18 |
3,50±0,40 |
5,55±0,34 |
6,55±0,25 |
6,00±0,23 |
| 13 |
2,00±0,31 |
2,33±0,13 |
3,75±0,41 |
4,25±0,28 |
6,00±0,31 |
5,50±0,25 |
| 14 |
1,50+0,31 |
2,03+0,28 |
3,03±0,30 |
4,25±0,43 |
5,33±0,14 |
5,77±0,20 |
| 19 |
1,00±0,12 |
1,51±0,35 |
2,50±0,24 |
3,51±0,45 |
4,50±0,26 |
5,00±0,25 |

| Таблица 4 |
| Дифференцирование BOO и ВОК в РДСК |
| Наименование материала |
Активность в РДСК |
| SSBOK |
SSBOO |
| органо-тканевая суспензия ВОК штамм «ВНИИЗЖ 2003» |
1:30÷1:240 |
1:10 |
| концентрированный антиген ВОК |
1:60÷1:320 |
1:10 |
| органо-тканевая суспензия BOO штамм «ВНИИЗЖ» |
неспециф. |
1:40 |
| Концентрированный антиген BOO |
неспециф. |
1:40 |
| Таблица 5 |
| Биологическая активность вирус-вакцины против оспы коз из штамма «ВНИИЗЖ 2003» |
серии |
Повторность |
Разведения вакцины |
Титр, ТЦД50/см3 |
Средний титр, ТЦД50/см3 |
| 10-4 |
10-5 |
10-6 |
10-7 |
Серия 1 |
1 |
++ ++ |
++ — |
— — |
— — |
5,0 |
5,11±0,09 |
| 2 |
++ +- |
++ +- |
— — |
— — |
5,17 |
| 3 |
++ +- |
++ +- |
++ +- |
— — |
5,17 |
Серия 2 |
1 |
++ ++ |
++ — |
+- — |
— — |
5,23 |
5,41±0,15 |
| 2 |
++ ++ |
++ +- |
+- — |
— — |
5,50 |
| 3 |
++ ++ |
++ +- |
+- — |
— — |
5,50 |
| Таблица 6 |
Антигенная и иммуногенная активность вирус-вакцины против оспы коз культуральной сухой из штамма «ВНИИЗЖ 2003» серии 1 |
п/ п |
Разведение вакцины и доза |
Количество животных |
Титр ВНА, log2 |
Результат заражения |
| до вакцинации |
через 7 сут |
через 14 сут |
через 21 сут |
| 1 |
Цельная, 5 см3 |
2 |
– |
1,42±0,59 |
1,92±0,59 |
2,33±0,95 |
2/0 |
| 2 |
1:25 (104 ТЦД50) |
7 |
– |
1,63±0,20 |
1,96±0,19 |
2,54±0,22 |
7/0 |
| 3 |
1:100 (103 ТЦД50) |
3 |
– |
1,22±0,42 |
1,53±0,22 |
1,83±0,24 |
3/0 |
| 4 |
1:1000 (102 ТЦД50) |
2 |
– |
1,08±0,11 |
1,42±0,14 |
1,75±0,12 |
2/0 |
| 5 |
1:10000 (10 ТЦД50) |
4 |
– |
0,63±0,32 |
1,08±0,24 |
1,36±0,13 |
4/0 |
| 6 |
1:100000 (1 ТЦД50) |
2 |
– |
0,20±0,18 |
0,75±0,35 |
1,13±0,18 |
2/0 |
| 7 |
Контроль |
10 |
– |
– |
– |
– |
10/10 |
| Примечание: «-» – сыворотка не активна. В графе «результат заражения» – в числителе – количество животных в опыте, в знаменателе – количество заболевших животных. |
| Таблица 7 |
Антигенная и иммуногенная активность вирус-вакцины против оспы коз культуральной сухой из штамма «ВНИИЗЖ 2003» серии 2 |
п/п |
Разведение вакцины и доза |
Количество животных |
Титр ВНА, log2 |
Результат заражения |
| через 7 сут |
через 14 сут |
через 21 сут |
| 1 |
Цельная, 5 см3 |
4 |
2,34±0,46 |
2,53±0,19 |
3,00±0,50 |
0/4 |
| 2 |
1:25(104 TЦД50) |
7 |
1,50±0,31 |
2,02±0,30 |
2,50±0,12 |
0/7 |
| 3 |
1:100(103 TЦД50) |
3 |
1,18±0,42 |
1,52±0,15 |
1,97±0,15 |
0/3 |
| 4 |
1:1000(102 ТЦД50) |
2 |
1,12±0,23 |
1,41±0,20 |
1,75±0,12 |
0/2 |
| 5 |
1:10000 (10 ТЦД50) |
3 |
0,56±0,10 |
0,94±0,36 |
1,45±0,27 |
0/3 |
| 6 |
1:100000 (1 ТЦД50) |
2 |
0,26±0,12 |
0,79±0,15 |
1,20±0,15 |
0/2 |
| 7 |
Контроль |
2 |
– |
. |
– |
2/2 |
| Примечание: «-» – сыворотка не активна. В графе «результат заражения» – в числителе – количество животных в опыте, в знаменателе – количество заболевших животных |
Формула изобретения
1. Вирус-вакцина против оспы коз культуральная сухая, содержащая активное вещество и целевую добавку, отличающаяся тем, что в качестве активного вещества она содержит антигенный материал из аттенуированного штамма «ВНИИЗЖ 2003» вируса оспы коз (ВОК) Variola vims caprmum сем. Poxviridae, подсем. Chordopoxvirinae, рода Capripoxvirus, депонированного в коллекцию ФГУ «ВГНКИ» под регистрационным номером (ссылкой) «ВНИИЗЖ 2003» – ДЕП, в эффективном количестве.
2. Вирус-вакцина по п.1, отличающаяся тем, что она содержит антигенный материал из аттенуированного штамма «ВНИИЗЖ 2003» ВОК, репродуцированного в культуре клеток гомологичного происхождения.
3. Вирус-вакцина по п.2, отличающаяся тем, что она содержит антигенный материал из аттенуированного штамма «ВНИИЗЖ 2003» ВОК, репродуцированного в культуре клеток гонады козы Ch-91.
4. Вирус-вакцина по п.3, отличающаяся тем, что она содержит антигенный материал из аттенуированного штамма «ВНИИЗЖ 2003» ВОК, репродуцированного в культуре клеток гонады козы Ch-91 с инфекционной активностью не менее 5,5 lg ТЦД50/см3.
5. Вирус-вакцина по п.4, отличающаяся тем, что она содержит антигенный материал из аттенуированного штамма «ВНИИЗЖ 2003» ВОК в количестве 80-90 мас.%.
6. Вирус-вакцина по п.1, отличающаяся тем, что из целевых добавок она содержит стабилизатор.
7. Вирус-вакцина по п.6, отличающаяся тем, что из целевых добавок она содержит стабилизатор в количестве 10-20 мас.%.
8. Вирус-вакцина по любому из пп.1-7, отличающаяся тем, что она содержит антигенный материал из аттенуированного штамма «ВНИИЗЖ 2003» ВОК и стабилизатор в соотношении, мас.%:
| Антигенный материал |
80-90 |
| Стабилизатор |
До 100 |
РИСУНКИ
|
|