Патент на изобретение №2396278

Published by on




РОССИЙСКАЯ ФЕДЕРАЦИЯ



ФЕДЕРАЛЬНАЯ СЛУЖБА
ПО ИНТЕЛЛЕКТУАЛЬНОЙ СОБСТВЕННОСТИ,
ПАТЕНТАМ И ТОВАРНЫМ ЗНАКАМ
(19) RU (11) 2396278 (13) C1
(51) МПК

C07K16/06 (2006.01)
A61K39/42 (2006.01)
A61P31/18 (2006.01)

(12) ОПИСАНИЕ ИЗОБРЕТЕНИЯ К ПАТЕНТУ

Статус: по данным на 17.09.2010 – действует

(21), (22) Заявка: 2009105603/13, 17.02.2009

(24) Дата начала отсчета срока действия патента:

17.02.2009

(46) Опубликовано: 10.08.2010

(56) Список документов, цитированных в отчете о
поиске:
БАРАНОВА С.В. и др. Гидролиз интегразы вируса иммунодефицита человека каталитическими антителами против вирусной интегразы. Вестник НГУ, серия: Биология и клиническая медицина, 2007, т.5, с.74-81. MELEK М. et al., Effect of HIV integrase inhibitors on the RAG1/2 recombinase, Proc. Natl. Acad. Sci. USA, 2002, v.99, n.1, p.134-137. RU 2003125554 A, 10.02.2005.

Адрес для переписки:

630117, г.Новосибирск, а/я 5, Л.Я. Кучумовой

(72) Автор(ы):

Невинский Георгий Александрович (RU),
Баранова Светлана Владимировна (RU),
Бунева Валентина Николаевна (RU),
Одинцова Елена Сергеевна (RU)

(73) Патентообладатель(и):

Учреждение Российской академии наук Институт химической биологии и фундаментальной медицины Сибирского отделения РАН (ИХБФМ СО РАН) (RU)

(54) ИНГИБИТОР РЕПРОДУКЦИИ ВИРУСА ИММУНОДЕФИЦИТА ЧЕЛОВЕКА

(57) Реферат:

Изобретение относится к области биотехнологии, конкретно к получению препарата на основе иммуноглобулинов человека, и может быть использовано в медицине. Препарат получают путем очистки иммуноглобулинов классов G, А и М, выделенных из крови ВИЧ-инфицированных больных с помощью аффинной хроматографии на колонке с интеграза-сефарозой. Изобретение позволяет получить иммуноглобулины классов G, А и М, выделенные из крови ВИЧ-инфицированных больных, обладающие способностью селективно расщеплять только интегразу ВИЧ. 7 ил.

Изобретение относится к области биохимии и молекулярной биологии, а именно к ингибиторам репродукции вируса иммунодефицита человека.

Вирус иммунодефицита человека (ВИЧ) является возбудителем одного из самых опасных заболеваний человека – синдрома приобретенного иммунодефицита (СПИД). Ретровирусы, к которым относится ВИЧ, вызывают хроническую инфекцию организма человека. В ходе жизненного цикла вируса его ДНК интегрируется (включается) в геном клетки хозяина с помощью специфического фермента ВИЧ – интегразы [Masur Н. et. al. N. Engl. J. Med. 1981. V.305. P.1431-1438; Varmus Н. Science. 1988. V.240. P.1427-1428]. В связи с этим интеграза ВИЧ является наряду с обратной транскриптазой ВИЧ одной из основных лекарственных мишеней.

В настоящее время существует множество доступных противовирусных препаратов, способных противодействовать инфекции. Эти препараты могут быть разделены на три класса, основываясь на вирусном белке, который является их мишенью, а также на способе их действия. В частности, известны препараты: секвинавир, индинавир, ритонавир, нелфинавир и ампренавир, которые являются конкурентноспособными ингибиторами протеазы аспартиловой, экспрессируемой ВИЧ. Зидовудин, диданозин, ставудин, ламивудин, залситабин и абакавир являются ингибиторами вирусной обратной транскриптазы, которые ведут себя как миметики субстрата, которые останавливают синтез вирусной кДНК. Ингибиторы обратной транскриптазы: неварипин, делаваридин и эфавиренц ингибируют синтез вирусной кДНК через неконкурентный (или неконкурентоспособный) механизм. Использование этих препаратов является эффективным лишь для понижения вирусной репликации. Эффект является только временным, поскольку вирус легко вырабатывает устойчивость ко всем известным агентам. Вирусная устойчивость в свою очередь вызвана большой скоростью воспроизведения ВИЧ-1 при проявлении инфекции в сочетании с высокой скоростью вирусных мутаций. При этих обстоятельствах неполная вирусная супрессия, вызванная недостаточной активностью лекарственного средства, недостаточный отклик на множество сложных лекарственных средств так же, как и внутренние фармакологические барьеры при взаимодействии, формируют обоснованную основу для поиска более эффективных средств. Недавно полученные многочисленные данные предполагают, что низкоуровневая репликация продолжается, даже когда уровни вирусной плазмы опускаются ниже обнаруживаемых уровней (<50 копий/мл) (Carpenter, C.C.J.; Cooper, D.A.; Fischl, M.A.; Garil, J.M.; Gazzard, B.G.; Hammer, S.M.; Hirsch, M.S.; Jacobsen, D.M.; Katzenstein, D.A.; Montaner, J.S.; Richman, D.D.; Saag, M.S.; Schecter, M.; Schoolery, R.T.; Thompson, M.A.; Vella, S.; Yeni, P.G.; Volberding, P.A. JAMA 2000, 283, 381). В связи с этим имеется потребность в новых антивирусных агентах, мишенью которых предпочтительно являются другие вирусные ферменты для того, чтобы уменьшить коэффициент устойчивости и подавить в дальнейшем репликацию вируса.

ВИЧ экспрессирует три фермента: обратную транскриптазу, аспартиловую протеазу и интегразу, все они являются потенциальными противовирусными мишенями для разработки препаратов для лечения СПИДа. Фермент интеграза ответственен за встраивание вирусной кДНК в геном клетки хозяина, что является критической стадией в жизненном цикле вируса. Реакция интеграции-встраивания протекает в несколько стадий, включая удаление ферментом концевых динуклеотидов вирусной кДНК с каждого из 3′-концов и объединением концов вирусной ДНК с концами разрезанной ферментом ДНК клетки хозяина. Исследования показали, что в отсутствие функционального фермента интегразы ВИЧ не заразен. Интеграза ВИЧ является одной из основных мишеней, на «выключение» действия которой направлены некоторые терапевтические препараты, используемые для лечения ВИЧ-инфицированных больных.

Известны соединения 4-оксохинолина, обладающие ингибирующим действием в отношении интегразы ВИЧ (Патент РФ 2275361, кл.С07 В 215/56, оп. 27.04.2006).

Известны иммуноглобулины класса G (IgG), гидролизующие белки оболочки вируса gp120 (Paul S. et al. Appl. Biochem. Biotechnol. 2000, V.83, P.71-84) и gp41 (Hifumi E. et al., J. Immunol. Methods, 2002, V.269, P.283-98). Однако IgG, расщепляющие gp120, обладают очень низкой активностью, а в случае gp41-расщепляющих антител активность также очень низкая и они являются мышиными AT, применение которых должно вести к развитию иммунного ответа на чужеродный белок.

Наиболее близкими к заявляемым ингибиторам – прототипом являются природные антитела, активные против вируса иммунодефицита человека (Заявка РФ 2003125554, кл. С07К 16/42, оп. 10.02.2005). Заявлен фармацевтический препарат, содержащий человеческие антитела против общей фракции иммуноглобулинов класса G (IgG) человека, причем указанные человеческие антитела получают путем аффинной хроматографии сывороток крови нормальных, неинфицированных вирусом иммунодефицита человека (ВИЧ) индивидуумов с использованием смол, связывающих весь спектр IgG человека против человеческих IgG всех классов и подклассов, которые есть в крови человека. Заявленный фармацевтический препарат может быть использован для пассивной иммунотерапии инфекций ВИЧ-1, а также для предупреждения или лечения инфекций ВИЧ.

Недостатком известного ингибитора репродукции ВИЧ на основе человеческих антител против суммарной фракции иммуноглобулинов класса G (IgG) человека является их низкая специфичность. Это требует введения в организм человека такого препарата в избыточно высоких концентрациях. Кроме того, эти антитела в крови человека связываются не только с IgG антителами против вирусной обратной транскриптазы и интегразы, но и со всеми другими иммуноглобулинами класса G, выполняющими в организме человека самые разные функции, включая защитные. Это должно вести к блокированию этих функций и понижению устойчивости организма человека к самым разным вредным внутренним факторам, а также вредным для человека бактериям, токсинам, мутагенам и канцерогенам, попадающим в организм из окружающей среды.

Технической задачей изобретения является получение ингибитора репродукции ВИЧ на основе природных высокоэффективных и специфичных иммуноглобулинов классов G, А и М, обладающих способностью высокоизбирательно взаимодействовать только с интегразой ВИЧ и селективно гидролизовать этот вирусный фермент, лишая его способности взаимодействовать с вирусной ДНК и катализировать реакцию интеграции.

Поставленная техническая задача достигается предлагаемым ингибитором на основе иммуноглобулинов классов G (IgG), A (IgA) и М (IgM), обладающих способностью специфически гидролизовать интегразу ВИЧ и за счет этого ингибировать репродукцию ВИЧ.

Заявляемый ингибитор на основе иммуноглобулинов классов G (IgG), A (IgA) и М (IgM) выделяют из крови ВИЧ-инфицированных людей, они обладают протеолитической активностью с уникальной специфичностью – селективно расщепляют только интегразу, лишая ее каталитической активности и способности интегрировать ДНК ВИЧ в ДНК хроматина ядер человека. Образцы препаратов суммарных иммуноглобулинов из крови ВИЧ-инфицированных больных очищают аффинной хроматографией на протеин-А-сефарозе в условиях полного удаления неспецифически связанных компонентов крови, а затем проводят разделение IgG, IgA и IgM с помощью высокоэффективной гель-фильтрации на Superdex-200.

Гомогенность заявляемых иммуноглобулинов подтверждена с помощью SDS-гель-электрофореза, а их уникальная специфическая активность – в реакции гидролиза интегразы ВИЧ.

Изобретение основано на открытой нами возможности эффективной наработки в организмах ВИЧ-инфицированных больных специфических антител против вирусной интегразы с протеолитической активностью. Установлено, что небольшие фракции IgG, IgA и IgM из крови ВИЧ-инфицированных больных с высокой эффективностью гидролизуют только интегразу ВИЧ с образованием коротких белковых фрагментов, не обладающих ферментативной активностью. На основании анализа выполнения ряда принятых в абзимологии критериев установлено, что способность гидролизовать интегразу является собственным свойством этих поликлональных IgG, IgA и IgM. Установлено, что поликлональные иммуноглобулины в отличие от канонических протеаз, гидролизующих любые белки, гидролизуют только интегразу, но не другие белки человека, животных или ВИЧ. Добавление интеграза-гидролизующих Ig в реакционную смесь ведет к мощному подавлению каталитической активности интегразы. Поскольку антитела против интегразы способны не только связывать, но и гидролизовать интегразу, лишая ее активности, они понижают вероятность включения вирусной ДНК в ДНК хроматина клеток хозяина и таким образом могут замедлять и даже полностью подавлять развитие вируса в организме человека при ВИЧ-инфекции. Учитывая это, интеграза-гидролизующие иммуноглобулины являются перспективными препаратами для лечения ВИЧ-инфицированнных больных.

Наличие уникальной субстратной специфичности у каталитически активных иммуноглобулинов больных ВИЧ по отношению к интегразе позволяет сделать вывод о том, что при лечении такими препаратами не будут затрагиваться иммуноглобулины человека, выполняющие в организме другие самые различные функции.

Изобретение иллюстрируется следующими примерами.

Пример 1. Выделение IgG, IgA и IgM и анализ их гомогенности

Образцы препаратов суммарных иммуноглобулинов (антител, AT) из крови ВИЧ-инфицированных больных были очищены аффинной хроматографией на протеин-А-сефарозе в условиях полного удаления неспецифически связанных компонентов крови согласно известной методике (Baranovskii A.G. et al. Immunol. Lett. 2001. V.76. P.163-167; Andrievskaya O.A. et al. Immunol. Lett. 2002. V.81. P.191-198). Затем проведено выделение IgA аффинной хроматографией на колонке с сефарозой, содержащей мышиные поликлональные антитела против IgA человека (анти-IgA-сефароза), по методике, описанной для выделения на протеин-А-сефарозе. Элюированные при нанесении на анти-IgA-сефарозу IgG и IgM были разделены с помощью высокоэффективной гель-фильтрации на Superdex-200.

Разделение IgG и IgM из крови больных проводили высокоэффективной гель-фильтрацией на колонке Superdex-200 HR 10/30 (100×300 мм) (хроматограф Sprint Biocad, “Pharmacia”), уравновешенной 20 мМ трис-HCl, рН 7,5, содержащим 0,3 М KCl. Перед гель-фильтрацией для диссоциации комплексов 250 мкл раствора AT (~2,5 мг/мл) смешивали с 83 мкл 3 М MgCl2 и 166 мкл 3 М NaCl, выдерживали 30 мин, центрифугировали (10 мин, 10000 об/мин). Перед нанесением образца на колонку пропускали 2 мл буфера, содержащего 0,5 М MgCl2 и 1 М NaCl, в качестве «солевой подушки», а затем раствор Ig. Элюцию проводили 20 мМ трис-HCl, рН 7,5 (0,2 мл/мин). Инкубация AT с солями в высоких концентрациях и «солевая подушка» обеспечивали эффективное разделение белков.

На фиг.1 представлен профиль высокоэффективной гель-фильтрации иммуноглобулинов из крови ВИЧ-инфицированных больных на Superdex-200, где I – иммуноглобулины класса М, II – иммуноглобулины класса G. В качестве сорбента для гель-фильтрации может быть использован любой другой сорбент с разделяющей способностью, подобной Superdex-200.

Электрофоретический анализ гомогенности различных белков, включая заявляемые иммуноглобулины, проводили с помощью SDS-электрофореза по Леммли [Laemmli U.K. Nature. 1970. V.227(5259). P. 680-685]. Концентрирующий гель содержал 4% акриламид (соотношение АА:бисАА=32:1), 125 мМ трис-HCl, рН 6,8, 0,1% SDS; разделяющий гель -12%, 15% или градиентный (4,5-18%) акриламид, 375 мМ трис-HCl, рН 8,8, 0,1% SDS. Препараты белков (0,5-1,0 мкг) инкубировали в буфере, содержащем 50 мМ трис-HCl, рН 6,8, 1% SDS, 15% глицерин, 0,025% бромфеноловый синий при 100°С в течение 2 мин, после чего раствор наносили на гель (0,6×100×150 мм). При анализе гомогенности IgM в буфер добавляли 0,1% меркаптоэтанол (диссоциирующие условия). Электрофорез проводили в течение 4-5 ч при 25°С в буфере: 25 мМ трис-глицин, рН 8,3, 0,1% SDS при 7-15 мА. Белки окрашивали AgNO3: гель фиксировали в течение 20 мин в 20% растворе ТХУ, затем отмывали водой в течение ночи. После чего гель выдерживали 30 мин в растворе ДТТ (4-5 мг/мл ДТТ на 300 мл Н2О) и 30 мин в 0,1% растворе AgNO3 (150 мл) в темноте. Затем гель промывали водой 4 раза по 10 мин. Гель проявляли 2% раствором Na2CO3, содержащим 0,02% формальдегида до момента окрашивания белков. Окрашивание останавливали добавлением 2%-ного раствора СН3СООН (100 мл) в течение 10 мин и промывали 2-3 раза водой по 10 мин.

Анализ гомогенности препаратов с помощью SDS-гель-электрофореза представлен на фиг.2, где 1 – белковые маркеры молекулярной массы; 2 – препарат IgM крови ВИЧ-инфицированного больного после обработки 10 мМ ДТТ; 3 – препарат IgG крови ВИЧ-инфицированного больного; 4 – препарат IgA крови ВИЧ-инфицированного больного.

Из фиг.2 видно, что полученные препараты IgG и IgA были электрофоретически гомогенными, на что указывает наличие по одной полосе с молекулярными массами 150 и 170 кДа соответственно. SDS-электрофоретический анализ фракций IgM проводили в восстанавливающих условиях, что приводит к выявлению двух полос с молекулярными массами 23 кДа и 70 кДа, которые были отнесены к L-цепи и Н-цепи IgM соответственно (фиг.2). По данным иммуноблотинга препараты антител также не содержали примесей каких-либо белков.

Пример 2. Доказательство принадлежности протеазной (протеолитической) активности заявляемым иммуноглобулинам

Одной из наиболее важных задач при характеризации и изучении каталитических функций антител является доказательство того, что химические реакции катализируются непосредственно иммуноглобулинами, а не примесями ферментов. Для однозначного отнесения каталитической активности непосредственно иммуноглобулинам существует ряд жестких критериев (Paul et al., Science, 1989, V.244, P.1158-1162; Невинский Г.А., Канышкова Т.Г., Бунева В.Н. Биохимия. 2000. Т.65. С.1473-1487).

Первым критерием является электрофоретическая гомогенность препарата AT (фиг.2). Следующим критерием, который был проверен, является сохранение каталитический активности AT при их гель-фильтрации в кислом буфере (так называемый «рН-шок»), который разрушает прочные нековалентные комплексы. В связи с этим электрофоретически гомогенные препараты IgG, IgA и IgM подвергали гель-фильтрации. Препараты AT (0,7-1,2 мг/мл, 300 мкл) инкубировали в 50 мМ глицин-HCl буфере, рН 2,6, содержащем 300 мМ NaCl в течение 30 мин при комнатной температуре, после чего его подвергали гель-фильтрации на колонке Superdex-200 (объем колонки – 23,7 мл, скорость элюции – 0,5 мл/мин, FPLC BioCAD Print) в том же буфере. рН собираемых фракций непосредственно после выхода с колонки доводили до значения 7,0-7,5 с помощью 1 М трис-HCl, рН 9,0. После этого полученные фракции диализовали против 10 мМ трис-HCl, рН 7,5, в течение 16 ч при 4°С.

На фиг.3 представлены результаты гель-фильтрация препарата IgG из крови ВИЧ-инфицированного больного в условиях «кислого шока» на Superdex-200 в Gly-HCl, рН 2.6, где:

(-) – поглощение элюата при 280 нм, (--) – относительная активность (ОА) фракций элюата в гидролизе интегразы (ИН), за 100% принят полный гидролиз ИН за 24 ч инкубации при 35°С.

После проведения гель-фильтрации проводили определение протеолитической активности антител в реакции гидролиза интегразы ВИЧ: реакционная смесь объемом 20-60 мкл содержала 0,1-1,2 мг/мл интегразы ВИЧ-1, 50 мМ Трис-HCl, 30 мМ NaCl и 0,05-0,2 мг/мл одного из препаратов AT (IgG, IgA или IgM). Пробы инкубировали в течение 2,5-24 ч при 35°С. Далее продукты реакции анализировали SDS-электрофорезом в 12, 15% или градиентном (4-18%) ПААГ, как описано выше. Глубину протекания реакции оценивали по убыли белкового субстрата в исходной полосе ИН или накоплению продуктов гидролиза в опыте по сравнению с контролем (инкубация ИН без AT) с помощью компьютерной программы Gel-Pro Analyzer, версия 3.1.

Обнаружение протеазной активности только в белковом пике AT свидетельствует о том, что иммуноглобулины, а не какие-либо другие белки сыворотки крови, которые потенциально могут взаимодействовать с AT, обладают протеазной активностью.

Далее было проверено выполнение следующего критерия – адсорбции активных молекул на специфических AT против IgG человека (фиг.4). Анти-L-Sepharose получена иммобилизацией моноклональных мышиных IgG против легкой цепи IgG человека (0,3 мг AT на 0,7 мл смолы). Препараты AT (0,2 мг в 1 мл) наносили на колонку с анти-L-Sepharose (0,5 мл, 7×15 мм), предварительно уравновешенную буфером А (50 мМ трис-HCl, рН 7,5, 150 мМ NaCl). Далее колонку промывали в следующей последовательности: 1 мл буфера А, 1 мл 20 мМ трис-HCl, рН 7,5, содержащего 1 М NaCl, и снова 1 мл буфера А. Фракцию AT, содержащую легкие цепи, элюировали буфером Б (20 мМ трис-HCl, рН 2,6, 150 мМ NaCl) и сразу после выхода с колонки нейтрализовали 1,5 М трис-HCl, рН 8,0. Затем проводили диализ полученных фракций IgG в течение 14 ч против 100 объемов 50 мМ трис-HCl, рН 7,5, 50 мМ NaCl, 0,01% NaN3 (при температуре 4 С°). Уровень протеолитической активности полученных фракций оценивали в реакции гидролиза ИН, как описано выше.

На фиг.4 представлены результаты аффинной хроматографии препарата IgG из крови ВИЧ-инфицированного больного на колонке с анти-L-IgG-сефарозой, где: (-) – поглощение элюата при 280 нм, (--) – относительная активность (ОА) фракций элюата в гидролизе ИН, за 100% принят полный гидролиз ИН за 24 ч инкубации.

Из данных фиг.4 видно, что препараты AT количественно сорбировались на сефарозе с иммобилизованными AT мыши против легкой цепи IgG человека (анти-L-IgG-сефароза), а затем элюировались с сорбента только кислым буфером (рН 2,6), разрушающим комплексы AT с антигенами; профиль протеазной активности соответствовал белковому профилю AT.

Один из самых достоверных, наглядных и достаточных критериев принадлежности каталитической активности непосредственно иммуноглобулинам основан на анализе ферментативной активности белка после SDS-электрофореза. Поскольку SDS разрушает все нековалентные комплексы, выполнение этого критерия практически однозначно свидетельствует о принадлежности активности непосредственно иммуноглобулинам, а не каким-либо гипотетическим примесям.

Тестирование интеграза-гидролизующей активности Ig после электрофореза. После разделения белков с помощью SDS-электрофореза в 4-15%-ном градиентном ПААГ гель-контрольной дорожки отделяли и окрашивали раствором кумасси R-250. Для удаления SDS гель-опытной дорожки инкубировали в течение 1 ч в 4 М мочевине, а затем для удаления мочевины гель промывали водой (10 раз по 5-7 мин). Затем продольную полоску геля разрезали на фрагменты длиной 2-3 мм. Для элюции белков из геля, а также для ренатурации их активности гель разрушали до очень мелких кусочков и инкубировали в 100 мкл буфера, содержащем 20 мМ трис-HCl, рН 7,5, 5 мМ MgCl2, 1 мМ ЭДТА, в течение 24-48 ч при 4°С. После продолжительной инкубации и периодического встряхивания на шейкере смеси мелких кусочков геля с буфером наблюдалась эффективная элюция белка; гель удаляли центрифугированием (10 мин при 20000 g), a супернатант отделяли и его аликвоты (5-10 мкл) использовали для определения относительной протеолитической активности, как описано выше.

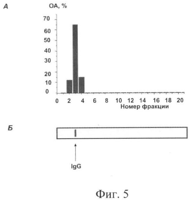
На фиг.5, А представлены результаты анализа каталитической активности IgG крови ВИЧ-инфицированных больных после SDS-электрофореза в ПААГ. Продольная дорожка геля была разрезана на фрагменты 2-3 мм. Относительная активность (ОА) интегразы была определена в элюатах этих фрагментов, за 100% принят полный гидролиз интегразы.

Б – Данные электрофоретического анализа IgG. Окраска геля Coomassie G-250.

Как видно из фиг.5, положение пика интеграза-гидролизующей активности после SDS-электрофореза соответствует положению белковой полосы IgG из крови ВИЧ-инфицированных больных.

Из совокупности полученных данных видно, что способностью гидролизовать интегразу обладают непосредственно иммуноглобулины, а не какие-либо примеси белков, которые теоретически могут совыделяться с иммуноглобулинами. Более того, отсутствие протеолитической активности в препаратах Ig, полученных из крови здоровых людей, указывает на то, что протеазы крови не выделяются совместно с антителами при применении описанного в примере 1 метода очистки.

Пример 3. Определение сродства Ig к интегразе и анализ их субстратной специфичности

Высокая субстратная специфичность также может служить доказательством отсутствия в выделенных препаратах иммуноглобулинов каких-либо совыделяющихся протеаз, что является еще одним из критериев доказательства принадлежности протеолитической активности непосредственно антителам.

Поликлональные Ig, специфичные с различным антигенам, можно разделить на отдельные субфракции, обладающие сродством к определенному субстрату при хроматографии на аффинных сорбентах с иммобилизованным субстратом [Невинский Г.А., Канышкова Т.Г., Бунева В.Н. Биохимия. 2000. Т.65. С.1473-1487; Nevinsky G.A., Favorova O.O., Buneva B.N. Protein-protein interactions. A molecular cloning manual (Golemis E., ed.). Cold Spring Harbor Lab. Press. New York. 2002. P.523-534; Nevinsky G.A., Buneva V.N. J. Immunol. Methods. 2002. Vol.269. P.235-249; Buneva V.N., Kanyshkova T.G., Vlassov A.V., Semenov D.V., Khiimankov D. Yu., Breusova L.R. Nevinsky G.A. Appl. Biochem. Biotechnol. 1998. V.75. P.63-76].

Аффинную хроматографию иммуноглобулинов на интеграза-сефарозе проводили на колонке с интеграза-сефарозой (1 мл, 1,5 мг интегразы на 1 мл смолы). AT (1 мг в 1 мл) наносили на колонку, уравновешенную 50 мМ трис-HCl-буфером, рН 7,5, или этим же буфером, содержащим 0,1 М NaCl, и Ig элюировали градиентом NaCl (0,1-3 М), а затем 2 и 3 М MgCl2 в этом же буфере и, наконец, 0,1 М глицин-HCl, рН 2,6. Полученные фракции нейтрализовали 1,5 М трис-HCl, рН 9,0, а затем диализовали против 100-кратного избытка буфера 50 мМ трис-HCl, рН 7,5, после чего оценивали их относительную активность в реакции гидролиза интегразы. С сорбентом связалось примерно 15±3% общего количества поликлональных Ig. Для определения субстратной специфичности препаратов AT, имеющих сродство к интегразе, после хроматографии на интеграза-сефарозе в качестве контрольных белков использовали различные белки человека и животных, а также обратную транскриптазу (ОТ) ВИЧ. Реакционная смесь (20 мкл) содержала 50 мМ трис-HCl, рН 7,5, 30 мМ NaCl, 0,2 мг/мл интегразы (или 0,3-1 мг/мл другого белка) и 0,1-0,2 мг/мл AT. В качестве альтернативных субстратов использовали: альбумин, лактоферрин, казеин человека, лактальбумин коров, ОТ ВИЧ-1 и ряд других белков. Реакционную смесь в каждом случае инкубировали в течение ночи при 35°С, после чего продукты реакции анализировали SDS-электрофорезом в 15% или 4-18%-ном ПААГ, как описано выше.

На фиг.6 представлены результаты SDS-электрофоретического анализа продуктов гидролиза различных белковых субстратов иммуноглобулинами класса G крови ВИЧ-инфицированных больных в градиентном 4,5-15% ПААГ (AT очищены на интеграза-сефарозе, нечетные дорожки – в отсутствие, четные – в присутствии AT). A -интеграза ВИЧ-1: дорожки 1 и 2; Б – 1 и 2 – человеческий сывороточный альбумин, 3 и 4 – лактоферрин человека, 5 и 6 – бычий сывороточный альбумин, 7 и 8 – белковые маркеры с известной мол. массой, которые на рисунке показаны стрелками; В – 1 и 2 – ОТ ВИЧ-1, 3 и 4 – казеин молока человека и лизоцим, 5 и 6 – яичный лизоцим. Окраска геля AgNO3. Некоторые белки (дорожки 1 и 2 А; 1, 2, 5, 6, Б) были представлены их мономерами и олигомерными формами или содержали минорные полосы других примесных белков (дорожки 3, 4 В), которые также не подвергались заметному гидролизу.

Из приведенных выше данных видно, что препараты иммуноглобулинов эффективно гидролизовали только интегразу ВИЧ с образованием мелких белковых фрагментов, не обладающих ферментативной активностью.

Отсутствие АТ-зависимого гидролиза большого числа использованных контрольных белков может служить доказательством отсутствия в выделенных препаратах иммуноглобулинов каких-либо совыделяющихся канонических протеаз.

Пример 4

Способность заявленных иммуноглобулинов классов G, А и М ингибировать репродукцию вируса иммунодефицита человека показана на примере ингибирования интеграза-зависимой реакции 3′-процессинга и реакции интеграции.

Интеграза ВИЧ катализирует две реакции. Сначала она в цитоплазме человеческой клетки отщепляет от специфической вирусной ДНК концевые GT-динуклеотиды (реакция 3′-процессинга), а затем после проникновения комплекса интеграза со специфической ДНК через мембрану в клеточное ядро катализирует включение вирусной ДНК в ДНК клетки человека (реакция интеграции). Для реакции 3′-процессинга обычно используют 21-мерный двухцепочечный олигонуклеотид, в котором одна из цепей содержит 5′-[32P]меченый фосфат ([32P]GTGTGGAAAATCTCTAGCAGT). Об эффективности протекания реакции 3′-процессинга судят по образованию более короткого 19-мерного олигонуклеотида ([32P]GTGTGGAAAATCTCTAGCA), лишенного концевого GT-динуклеотида, который при электрофорезе обладает большей подвижностью, чем исходный 21-мерный олигонуклеотид. В свою очередь 19-мерный олигонуклеотид используется для анализа реакции интеграции. Интеграза связывает этот нуклеотид как в качестве включаемого в ДНК субстрата, так и ДНК-мишени, в которую включается этот субстрат. Поскольку включение олигонуклеотида-субстрата в ДНК-мишень происходит с разрывом последней в разных участках нуклеотидной последовательности, то обычно наблюдается образование большого числа различных продуктов, более длинных, чем исходный 19-мерный олигонуклеотид, которые имеют меньшую электрофоретическую подвижность. За ингибированием интеграза-зависимой реакции 3′-процессинга следят по уменьшению относительного количества 19-мерного [32Р]олигонуклеотида, а за подавлением реакции интеграции по уменьшению относительного количества [32Р]олигонуклеотидов с подвижностью, меньшей, чем у исходного 19-мерного [32Р]олигонуклеотида.

Реакционные смеси (10-20 мкл) для определения эффективности ингибирования интеграза-зависимых реакций 3′-процессинга и интеграции иммуноглобулинами классов G, А и М. из крови ВИЧ-инфицированных больных содержали следующие стандартные компоненты: 20 мМ Hepes (рН 7,5), 10 мМ дитиотреитол, 0,1 мМ этилендиаминтетрауксусную кислоту, 4 мМ NaCl, 7,5 мМ MnCl2, 0.05% неионный детергент NP 40. В качестве субстрата в реакции 3′-процессинга использовали 1.5 нМ двухцепочечный 21-мерный олигонуклеотид (5′-[32P]GTGTGGAAAATCTCTAGCAGT), а для анализа реакции интегрирования двухцепочечный 19-мерный олигонуклеотид (5′-[32P]GTGTGGAAAATCTCTAGCA) (Bugreev D.V., Baranova S.V., Zakharova O.D., et al., Biochemistry. 2003. V.42. P.9235-9247; Lesbats P, Métifiot М, Calmels C, et al., Nucleic Acids Res. 2008, V.36. P.7043-7058). Реакционные смеси инкубировали в течение 30-60 мин при 37°С в присутствии 40 нМ интегразы ВИЧ в отсутствие или в присутствии 0,5-5,0 мкМ IgG, IgA и IgM. Продукты реакции 3′-процессинга анализировали электрофорезом в 1.2%, а реакции интеграции 15% полиакриламидном геле в присутствии 7 М мочевины в трис-боратном буфере с последующим радиоавтографированием гелей. Об ингибировании реакции 3′-процессинга судили по уменьшению радиоактивного материала в полосе, соответствующей 19-мерному олигонуклеотиду, а реакции интеграции в полосах, расположенных выше этого олигонуклеотида.

На фиг.7А представлены результаты электрофоретического анализа ингибирования реакции 3′-процессинга (образования 19-мерного [32Р]олигонуклеотида) в присутствии IgM, на фиг.7Б – результаты подавления образования продуктов интеграции в присутствии IgG из крови ВИЧ-инфицированных больных (AT очищены на интеграза-сефарозе). Дорожки К соответствуют [32P]субстратам, инкубированным в отсутствие интегразы, дорожки 1 – в присутствии 40 нМ интегразы. На фиг.7А дорожки 2-4 соответствуют реакции в присутствии IgM в различной концентрации: 0,02, 0,03 и 0,04 мкМ соответственно. Дорожка 2 на фиг.7Б в присутствии 40 нМ интегразы и 0,03 мкМ IgG.

Как видно из данных фиг.7, заявленные иммуноглобулины классов G, А и М практически полностью подавляют как реакцию 3′-процессинга, так и реакцию интеграции.

Таким образом обнаружено, что кровь ВИЧ-инфицированных больных содержит не описанные ранее каталитически активные IgG, IgA и IgM, которые в отличие от канонических протеаз способны селективно расщеплять только интегразу, лишая ее каталитической активности и способности интегрировать ДНК ВИЧ в ДНК хроматина ядер человека. Заявляемые иммуноглобулины классов G (IgG), A (IgA) и М (IgM), обладающие способностью специфически гидролизовать только интегразу ВИЧ и за счет этого ингибировать репродукцию ВИЧ, являются потенциально перспективными для их использования в анти-ВИЧ терапии.

Формула изобретения

Препарат, селективно расщепляющий интегразу ВИЧ и состоящий из иммуноглобулинов классов G, А и М, выделенных из крови ВИЧ-инфицированных больных путем аффинной хроматографии на колонке с интеграза-сефарозой.

РИСУНКИ

Categories: BD_2396000-2396999