|
|
(21), (22) Заявка: 2006114756/13, 29.09.2004
(24) Дата начала отсчета срока действия патента:
29.09.2004
(30) Конвенционный приоритет:
30.09.2003 JP 2003-342183
(43) Дата публикации заявки: 20.12.2007
(46) Опубликовано: 27.07.2010
(56) Список документов, цитированных в отчете о поиске:
KRAMER R. ET AL., FEBS Lett, 2001, 505, no.3, 426-430. OKUNO К. ET AL., Biosci. Biotechnol. Biochem., 2002, 66, no.1, 127-134. VANDEPUTTE-RUTTEN L. ET AL., EMBO J, 2001 20 (18), 5033-5039. DEKKER N. ET AL., Biochemistry, 2001, 40, no.6, 1694-1701.
(85) Дата перевода заявки PCT на национальную фазу:
02.05.2006
(86) Заявка PCT:
JP 2004/014704 20040929
(87) Публикация PCT:
WO 2005/030956 20050407
Адрес для переписки:
103735, Москва, ул. Ильинка, 5/2, ООО “Союзпатент”, пат.пов. А.Ю.Соболеву
|
(72) Автор(ы):
ОКУНО Казуаки (JP), ЯБУТА Масаюки (JP)
(73) Патентообладатель(и):
АСУБИО ФАРМА КО., ЛТД. (JP)
|
(54) СПОСОБ РАСЩЕПЛЕНИЯ ПОЛИПЕПТИДОВ С ИСПОЛЬЗОВАНИЕМ ВАРИАНТА ПРОТЕАЗЫ ОmpТ
(57) Реферат:
Изобретение относится к области биотехнологии, в частности к генной инженерии, и может быть использовано в биомедицинской промышленности. Предложен способ получения целевого пептида путем расщепления полипептида или слитого белка вариантом протеазы OmpT с заменой аминокислоты в положении 97 аминокислотой, выбранной из группы, включающей аланин, лейцин, фенилаланин, метионин, серин, треонин, цистеин, аспарагин, глутамин, глутаминовую кислоту и гистидин, по сайту, структура которого характеризуется общей формулой Pn Р2-Р1-Р1′-Р2′ Pn’, где P1 – аргинин или лизин, Р2 и Р2′ – аминокислота, не являющаяся глутаминовой или аспарагиновой кислотой, а Р1′ – аланин, валин, изолейцин, фенилаланин, метионин, серин, треонин, цистеин, тирозин или аспарагин. Применение изобретения может обеспечить эффективное и специфическое выделение терапевтических пептидов с любым типом N-концевой последовательности. 2 н. и 20 з.п.ф-лы, 3 табл., 20 ил.
Текст описания приведен в факсимильном виде.                                                        
Формула изобретения
1. Способ расщепления полипептида, характеризующийся тем, что расщепление осуществляют по сайту, имеющему структуру, определяемую общей формулой Pn Р2-Р1-Р1′-Р2′ Pn’, где P1 – аргинин или лизин, Р2 и Р2′ – аминокислота, не являющаяся глутаминовой или аспарагиновой кислотой, а Р1′ – аланин, валин, изолейцин, фенилаланин, метионин, серин, треонин, цистеин, тирозин или аспарагин, путем обработки указанного полипептида вариантом протеазы OmpT, в котором аминокилота в положении 97 заменена аминокислотой, выбранной из группы, включающей аланин, лейцин, фенилаланин, метионин, серин, треонин, цистеин, аспарагин, глутамин, глутаминовую кислоту и гистидин.
2. Способ расщепления полипептида по п.1, в котором одна основная аминокислота или две или три последовательные основные аминокислоты расположены в любом сайте аминокислотной последовательности от положения Р10 до положения Р3 или от положения Р3′ до положения Р5′.
3. Способ получения целевого пептида, характеризующийся тем, что трансформируют клетки-хозяева экспрессионной плазмидой, имеющей ген, кодирующий слитый белок, включающий целевой пептид, слитый с защитным пептидом через желаемый сайт расщепления, по которому может осуществляться расщепление вариантом протеазы OmpT по 97-й аминокслоте, как определено в пункте 1, экспрессируют названный ген в указанных клетках и получают целевой пептид из слитого белка путем расщепления названной протеазой в указанном сайте расщепления.
4. Способ получения целевого пептида по п.3, в котором С-конец защитного пептида является аргинином или лизином, а N-конец целевого пептида является аминокислотой иной, чем аргинин или лизин.
5. Способ получения целевого пептида по п.4, где одна основная аминокислота или две или три последовательные основные аминокислоты располагаются в любом сайте аминокислотной последовательности от положения Р10 до положения Р3 или от положения Р3′ до положения Р5′ желаемого сайта расщепления слитого белка.
6. Способ по любому из пп.1-5, в котором в случае наличия в полипептиде или слитом белке сайта, по которому нежелательно проводить расщепление вариантом протеазы OmpT по 97-й аминокислоте, расщепление в указанном сайте ингибируют, располагая кислую аминокислоту в положении Р3 указанного сайта.
7. Способ по любому из пп.2 и 5, который включает расположение двух или трех последовательных основных аминокислот между положениями Р10 и Р3 желаемого сайта расщепления в полипептиде или слитом белке.
8. Способ по п.7, который включает расположение трех последовательных основных аминокислот между положениями Р5 и Р3 желаемого сайта расщепления в полипептиде или слитом белке.
9. Способ по любому из пп.2 и 5, в котором основными аминокислотами являются аргинин и/или лизин.
10. Способ по п.9, где основной аминокислотой является аргинин.
11. Способ по п.6, где кислой аминокислотой является аспарагиновая кислота.
12. Способ по любому из пп.2 и 5, где аминокислотная последовательность от положения Р5 до положения Р1 желаемого сайта расщепления в полипептиде или слитом белке является Arg-Arg-Arg-Ala-Arg.
13. Способ по любому из пп.2 и 5, где аминокислотная последовательность от положения Р7 до положения Р1 желаемого сайта расщепления в полипептиде или слитом белке является Asp-Ala-Arg-Arg-Arg-Ala-Arg.
14. Способ по любому из пп.1-5, где 97-й аминокислотой от N-конца протеазы OmpT являются лейцин, метионин или гистидин.
15. Способ по любому из пп.1-5, где положение Р1′ желаемого сайта расщепления полипептида или слитого белка или N-конец целевого пептида представлены серином или аланином, и 97-я аминокислота применяемого варианта протеазы OmpT по 97-й аминокислоте является лейцином.
16. Способ по любому из пп.1-5, где положение Р1′ желаемого сайта расщепления полипептида или слитого белка или N-конец целевого пептида представлены фенилаланином, аланином, серином, цистеином или тирозином, и 97-я аминокислота применяемого варианта протеазы OmpT по 97-й аминокислоте является метионином.
17. Способ по любому из пп.1-5, где положение Р1′ желаемого сайта расщепления полипептида или слитого белка или N-конец целевого пептида представлены аланином, валином, изолейцином, метионином, серином, треонином, цистеином или аспарагином, и 97-я аминокислота применяемого варианта протеазы OmpT по 97-й аминокислоте является гистидином.
18. Способ по п.3, где целевой пептид является пептидом, состоящим из 22-45 аминокислотных остатков.
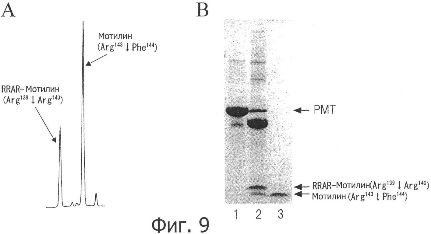
19. Способ по п.18, где целевой пептид является адренокортикотропным гормоном (1-24), мотилином или предшественником кальцитонина.
20. Способ по п.3, где клетки-хозяева являются клетками Е.coli.
21. Способ по п.3, который включает применение в качестве расщепляющей протеазы бактериальных клеток, экспрессирующих ген, кодирующий вариант протеазы OmpT по 97-й аминокислоте, где 97-й аминокислотой от N-конца протеазы OmpT является аланин, лейцин, фенилаланин, метионин, серин, треонин, цистеин, аспарагин, глутамин, глутаминовая кислота или гистидин.
22. Способ по п.20, отличающийся тем, что вариант протеазы OmpT является продуктом экспрессии соответствующего гена, включенного в состав второй экспрессионной плазмиды, а выделение целевого пептида достигается путем растворения образующихся в клетке телец включения.
РИСУНКИ
|
|