|
(21), (22) Заявка: 2005127813/13, 08.03.2004
(24) Дата начала отсчета срока действия патента:
08.03.2004
(30) Конвенционный приоритет:
06.03.2003 CN 03165032.5
(43) Дата публикации заявки: 10.07.2006
(46) Опубликовано: 20.06.2010
(56) Список документов, цитированных в отчете о поиске:
WO 0029573, 25.05.2000. WO 9512660, 11.05.1995. CN 1471977, 04.02.2004.
(85) Дата перевода заявки PCT на национальную фазу:
06.10.2005
(86) Заявка PCT:
CN 2004/000465 20040308
(87) Публикация PCT:
WO 2004/078987 20040916
Адрес для переписки:
103062, Москва, ул. Покровка, 33/22, стр.1, агентство “ИНТЭЛС”, пат.пов. О.М.Дьяконовой
|
(72) Автор(ы):
ПЕНГ Жаохи (CN), ЖАНГ Хиаожи (CN)
(73) Патентообладатель(и):
ПЕНГ Жаохи (CN), ЖАНГ Хиаожи (CN)
|
(54) РЕКОМБИНАНТНЫЙ ВИРУС, ПОСТРОЕННЫЙ С ИСПОЛЬЗОВАНИЕМ ВЕКТОРА ВИРУСА И ГЕНА-ПОДАВИТЕЛЯ ОПУХОЛИ ЧЕЛОВЕКА, А ТАКЖЕ ЕГО ПРИМЕНЕНИЕ
(57) Реферат:
Изобретение относится к области генетической инженерии. Предложен рекомбинантный вирус, содержащий ген р53 человека, а также его применение, способ получения и фармацевтическая композиция. Изобретение может быть использовано в генной терапии для лечения и предотвращения злокачественных новообразований у человека. 4 н. и 4 з.п. ф-лы, 14 ил.
Область применения настоящего изобретения
Настоящее изобретение касается генной инженерии, в частности рекомбинации гена-подавителя опухоли человека р53 и вектора аденовируса.
Предпосылки настоящего изобретения
В настоящее время острой проблемой исследований (наравне с развитием методик молекулярной биологии, в частности усовершенствованием методов генной инженерии) становится генная терапия применительно к злокачественным опухолям. Для клинических испытаний по генной терапии в настоящее время разрешено более 600 программ. Некоторые из этих программ продемонстрировали положительные результаты, что указывает на их многообещающее будущее.
Используемые в генной терапии вектора применять непосредственно для лечения заболеваний невозможно. С другой стороны, гены, которые могут быть использованы для лечения заболеваний, обладают лишь вероятным лечебным воздействием, поскольку непосредственно внедриться в клетки-мишени, а затем осуществить в них экспрессию белка – это задача очень сложная для выполнения. Для того чтобы создался эффект воздействия потенциальных терапевтических генов, прежде всего необходимо, чтобы вектор был соединен с целевым геном, затем с помощью трансфекции внести указанный ген в клетки-мишени, после чего целевой ген сможет проникнуть в эти клетки и осуществить в них экспрессию белка. Поэтому задачей генной терапии является построение рекомбинантной ДНК для терапевтического гена и для вектора гена.
Обычным способом рекомбинации кассеты (группы сцепленных локусов) экспрессии целевого гена с его вектором является гомологичная рекомбинация в эукариотные клетки, которая представляет собой очень сложный и однообразный процесс. Однако упомянутые выше задачи способно решить использование для гомологичной рекомбинации и конструирования рекомбинантных векторов прокариотных клеток.
Узким местом генной инженерии является недостаток специфичных, целевых и эффективных векторов передачи гена. В настоящее время в исследованиях по генной терапии используются два вида векторов, они включают вирусные и невирусные вектора. К стандартным вирусным векторам относятся вектора аденовируса, вектора ассоциированного адено- и ретровируса. Наиболее стандартным является вектор аденовируса. К его преимуществам относятся: высокая скорость трансфекции, относительная безопасность и простота использования, способность служить переносчиком крупных фрагментов гена, способность готовить высокие, пригодные для промышленного производства титры частиц вируса, а также способность инфицировать клетки не только в фазе деления, но также и в других фазах. Однако недостатками этого вектора являются отсутствие специфичных инфекций и недостаток выработки антигенности. Поэтому цели генной терапии требуют усовершенствования вектора аденовируса. Проведенные исследования указывают, что чужеродный ген, переносимый вектором аденовируса, представляющим собой область делеции Е1 и Е3, может вызвать длительную экспрессию белка и снижение антигенности. Вектор ретровируса способен переносить чужеродный ген и интегрироваться в геном клеток-мишеней, реализуя при этом стабильную и продолжительную экспрессию гена. Ретровирус имеет следующие недостатки: низкий титр репродукции in vitro, низкую эффективность трансфекции, инфицирование клеток только в фазе деления, а также случайную рекомбинация с хромосомами, обладающими потенциально канцерогенной активностью. Другие вирусные и невирусные вектора, используемые при трансформации гена, также имеют различные достоинства и недостатки.
Краткое содержание настоящего изобретения
Цель настоящего изобретения является рекомбинация потенциально терапевтических генов с их векторами, при этом получают рекомбинант вектора вируса и гена-подавителя опухоли человека. Этот рекомбинант способен амплифицироваться и распространяться в клетки, специально созданные методом генной инженерии, и он может осуществить экспрессию белка непосредственно в эукариотные клетки, после чего указанный рекомбинант может быть использован для предупреждения и/или лечения новообразований.
Целью настоящего изобретения является также обеспечение способа осуществления этой рекомбинации, а также ее приложения при получении лекарственных препаратов, предназначенных для предупреждения и лечения новообразований.
Настоящее изобретение обеспечивает рекомбинант вектора вируса и гена-подавителя опухоли человека. Указанный рекомбинант построен по методике клонирования ДНК с использованием вектора вируса и кассеты экспрессии гена-подавителя опухоли человека. Полученный в результате продукт представляет собой рекомбинант, который может амплифицироваться и распространяться в клетки, специально созданные методом генной инженерии, и он может также осуществить экспрессию белка гена-подавителя опухоли в эукариотные клетки.
Рекомбинантный вектор может представлять собой или ДНК вируса, или РНК вируса. Предпочтителен вектор аденовируса, или ассоциированный вектор, содержащий последовательность вектора аденовируса. Наиболее предпочтителен вектор аденовируса.
Геном-подавителем опухоли человека может быть любой ген-подавитель опухоли, наиболее предпочтителен ген р53.
Рекомбинант, ассоциированный с вектором аденовируса и геном р53, определен как рекомбинант р53 аденовируса, имеющий следующую последовательность:
Правый конец аденовируса


2848 – левый конец аденовируса 5, в котором:
1) правый конец аденовируса 5 и левый конец аденовируса 5 описаны полной последовательностью аденовируса 5 (Genbank No: NC_001406);
2) 1-70: правое плечо аденовируса (70-е основание располагается на позиции 3328 последовательности гена аденовируса 5);
3) 71-523: длинный концевой повтор (ДКП) (промотор) вируса саркомы Рауса (RSV);
4) 524-655: 5′ нетранслируемая область;
5) 656-1837: последовательность, кодирующая ген р53;
6) 1838-2733: 3′ нетранслируемая область (конец полиаденозина (poly А) начинается с позиции 2298);
7) 2734-2848: левое плечо аденовируса (основание 2734 находится на 452 позиции последовательности гена аденовируса 5).
Кассета экспрессии гена рекомбинанта представляет собой специфическую последовательность, составленную из промотора-р53кДНК-полиаденозина, в которой восходящая область кассеты содержит любой промотор эукариотных клеток, промотор прокариотных клеток или промотор вируса, а ее нисходящая область содержит полиаденозин (poly А) любых клеток эукариот.
Рекомбинант ДНК по настоящему изобретению получали следующим образом. Методом гомологичной рекомбинации в прокариотных клетках был получен вектор рекомбинанта вируса. Вначале гомологичной рекомбинацией аденовируса с плазмидой pGT-1 (включая инвертированные концевые повторы аденовируса на обоих концах) в Е.coli был построен рекомбинант pGT-2. Затем гомологичной рекомбинацией pGT-2 с искусственной последовательностью «правое плечо аденовируса /промотор-р53кДНК-полиаденози/ левое плечо аденовируса» в Е.coli был построен рекомбинант pGT-3. В итоге, после отбрасывания последовательности прокариотных плазмид получили рекомбинант р53 аденовируса. Для этого процесса использовали эндонуклеазу Pacl.
Длинные концевые повторы (ДКП) обоих концов аденовируса амплифицировали описанным выше способом по цепной реакции полимеразы (ПЦР) и ввели соответственно сайты рестрикции фермента Pacl. Оба фрагмента ДКП клонировали в вектор pUC18, получив при этом рекомбинантную последовательность pGT-1. Затем построенный pGT-1 вместе с аденовирусом 5 подвергли трансфекции в Е.coli. После этого ген аденовируса 5 был повторно гомологично объединен с pGT-1. Клон положительного вируса амплифицировали, подвергли скриннингу согласно ПЦР, а затем проанализировали с помощью рестрикционных ферментов. В итоге был получен рекомбинантый вектор pGT-2, содержащий полную последовательность гена аденовируса 5.
Ген-подавитель опухоли человека р53 амплифицировали по ПЦР, используя при этом в качестве праймеров 5′ АТГГАГГАГЦЦГЦАГТЦАГАТЦ и 5′ АТАТЦТГЦАГААТТЦЦАГЦАЦ. После этого полную последовательность гена р53 (включая нетранслируемые последовательности 5′ и 3′) клонировали в вектор pUC19 и подтвердили ее строение секвенированием ДНК. Затем последовательность длинного концевого повтора вируса саркомы Рауса (содержащую последовательность промотора), а также РА последовательность BGH и E1 последовательность аденовируса амплифицировали методом цепной реакции. С одной стороны каждой из упомянутых выше последовательностей прикрепили линкерную последовательность и провели подтверждение секвенированием ДНК. В последующей реакции ПЦР последовательность ДКП и последовательность РА были прикреплены к 5′- и 3′-концам р53 соответственно. Область Е1 аденовируса, а также ее восходящая последовательность были присоединены к внешней стороне р53, и таким образом была построена кассета экспрессии гена р53 (см. фиг.1).
Е.coli BJ5183 подвергли совместной трансфекции, используя для этого рекомбинантный вектор pGT-2 и кассету экспрессии гена, в котором имела место гомологичная рекомбинация. После этого амплифицировали положительные клоны, провели скрининг ПЦР и подтвердили реакцией с рестрикционным ферментом. Получившимся в результате вектором был pGT-3, который содержал самую большую часть последовательности аденовируса 5 (его область Е1 и часть восходящей последовательности заместили кассетой экспрессии р53). Рекомбинантный вектор pGT-3 линеаризировали с помощью Pacl, и последовательность, начинающуюся с pUC18, отбросили. После этого pGT-3 использовали для трансфекции 293 клеток (законсервированы SiBiono Company, номер хранения Е-393). Рекомбинант уплотнили в клетки и получили р53 ген-подавитель опухоли человека, который содержит действующую в цис-положении последовательность промотора длительного концевого повтора аденовируса. Полученный в результате рекомбинант р53 аденовируса имел высокую скорость трансфекции, с ним было легко проводить ряд операций и он контролировался единственным промотором.
Рекомбинант аденовируса р53 имел следующие характеристики:
Его построили с использованием вектора аденовируса и кассеты синтетической экспрессии гена р53.
1. Структура: представляет собой живой рекомбинант аденовируса, отличающийся от других химически синтезированных лекарственных средств, трав и лекарственных средств, полученных методом генной инженерии. Указанный рекомбинант обладает высокой биологической активностью, он может производить экспрессию непосредственно in vivo и обладает эффективностью, высокой с клинической точки зрения. Аденовирус может быть переносчиком крупного генного фрагмента, он имеет высокую скорость трансфекции, его можно получить в виде частиц вируса с высоким титром, и характеризуется очень широким кругом хозяев, доказана также его высокая безопасность. Иммуногенность вектора аденовируса была значительно снижена, особенно после модификаций, таким образом, ген мишени легко стабилизировать и подвергнуть экспрессии in vivo. В кассете синтетической экспрессии гена экспрессию гена р53 контролировали непосредственно с помощью единственного промотора вектора аденовируса; присоединили сигнальный хвост polyA, и таким образом была построена кассета интактной экспрессии.
2. Применение: указанный рекомбинант р53 аденовируса представляет собой противоопухолевое лекарственное средство широкого спектра. Его можно использовать для лечения многих злокачественных новообразований. Стадия II клинических испытаний показала, что он обладает, в частности, значительным лечебным воздействием при чешуйчатых карциномах головы и шеи, а также при раке груди. Рекомбинант р53 аденовируса особенно эффективен для предотвращения рецидивов опухолевых процессов. Стадия I клинических испытаний, а также наблюдение в течение 3 лет после хирургического вмешательства показали, что указанный рекомбинант, играя роль противоопухолевой вакцины, предотвратил послеоперационный рецидив у пациентов с раком гортани.
Указанный рекомбинант может быть также изготовлен в виде лекарственного средства для внутривенных инъекций, артериальных инъекций, внутриопухолевых инъекций, внутримышечных и подкожных инъекций, а также инъекций в плевральный выпот или асцит.
Рекомбинант р53 аденовируса по настоящему изобретению может быть использован, прежде всего, для трансфекции специфических клеток, созданных методом генной инженерии. После этого указанные клетки выращивали, их концентрировали, растворили и очистили, в результате чего был получен клинически чистый рекомбинант р53 аденовируса для внутриопухолевых инъекций.
293 клетки, используемые в настоящем изобретении (АТТСС CRL-1573, 32-е поколение, закуплено у АТСС 13 июня 1997), подвергли скриннингу в отношении эпителиальных клеток почки эмбриона человека, трансформированных аденовирусом 5 (Ad 5) ДНК и содержащим 11% генома (включая Е1а) с 5′-конца Ad 5. Эти клетки были в высокой степени пермиссивны для инфицирования аденовирусом, а также пермессивны для роста аденовируса.
На I стадии клинических испытаний указанный рекомбинантный р53 аденовирус применяли для 12 пациентов с раком гортани средней и поздней степени. Спустя 31-36 месяц после этого лечения пациентов наблюдали повторно. Результаты показали, что применение указанного рекомбинантного аденовируса было в высшей степени безопасно. Ни у одного из 12 пациентов никаких рецидивов не наблюдалось. В настоящее время в течение 3 лет выживало только 44% таких пациентов, а частота послеоперационных рецидивов на протяжении 6-12 месяцев составляла 20%. Клинические испытания, проведенные для настоящего изобретения, показали, что указанный рекомбинант можно использовать не только при лечении новообразований, но также и для их предотвращения. Стадия II клинических испытаний проводится постоянно, начиная с 2001 года. Эффект проводимого лечения был очень многообещающим. Приведенные на фиг.9-13 результаты показывают, что рекомбинант по настоящему изобретению был также эффективен для лечения тех пациентов, которые были невосприимчивы к обычным методам лечения (химиотерапия и радиотерапия).
Основной вклад настоящего изобретения состоит в преимуществах гена-подавителя р53 опухоли человека, который способен подавлять многие клетки новообразований. Указанный ген был клонирован в Е1 аденовирус, который помогает гену р53 инфицировать ткани опухоли, и который вводили инъекцией в опухоль. Затем ген-подавитель подвергся экспрессии в виде белка р53, способного подавить рост тканей опухоли или даже уничтожать клетки опухоли. Настоящее изобретение обеспечивает также способ получения указанного продукта рекомбинации аденовируса р53, который решает проблему, вызванную нестабильностью белка р53 in vitro (полупериод = 20 мин).
Рекомбинант аденовируса р53 переносит ген-подавитель р53 опухоли человека и проводит его экспрессию непосредственно в клетки опухоли, при этом решается задача, которую рекомбинант продукта генной инженерии (здесь таковым является белок р53) не способен решать in vitro. При использовании для лечения новообразований аденовируса и аденоассоциированного вируса белок р53 может постоянно и с высокой эффективностью осуществлять экспрессию in vivo. Более того, изменения белка на молекулярном уровне (включая фосфорилирование, конформацию и полимеризацию) аналогичны эукариотным клеткам. Рекомбинант р53 аденовируса по настоящему изобретению может быть использован в качестве посредника экспрессии гена р53 в клетки эукариот путем непосредственного введения указанного рекомбинанта в опухоль, при этом пациент эффективно используется как источник для продуцирования белка р53 в качестве фактора подавителя опухоли. Этим способом в организм человека успешно был введен чужеродный ген р53, и допускалась его высокая степень экспрессии в ткани опухоли. Это делает возможным генную терапию новообразований и других заболеваний.
Подробное описание чертежей
На фиг.1 схематически изображен процесс построения рекомбинанта р53 аденовируса.
На фиг.2 показана схема последовательности операций согласно протоколу эксперимента по получению рекомбинанта р53 аденовируса.
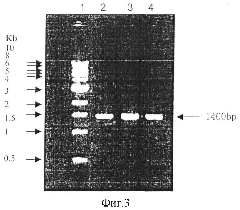
На фиг.3 приведен результат электрофореза в агарозном геле продукта амплификации рекомбинанта р53 аденовируса согласно ПЦР после переноса; в качестве матрицы использовали кДНК р53, а в качестве праймеров – последовательности 5′ ЦЦАЦГАЦГГТГАЦАЦГЦТТЦ3′ и 5’ЦААГЦААГГГТТЦАААГАЦ3′. Полученный результат подтверждает стабильность рекомбинанта р53 аденовируса. Цифрой 1 обозначен ДНК маркер; цифрами 2, 3, 4 – результаты ПЦР для кДНК р53.
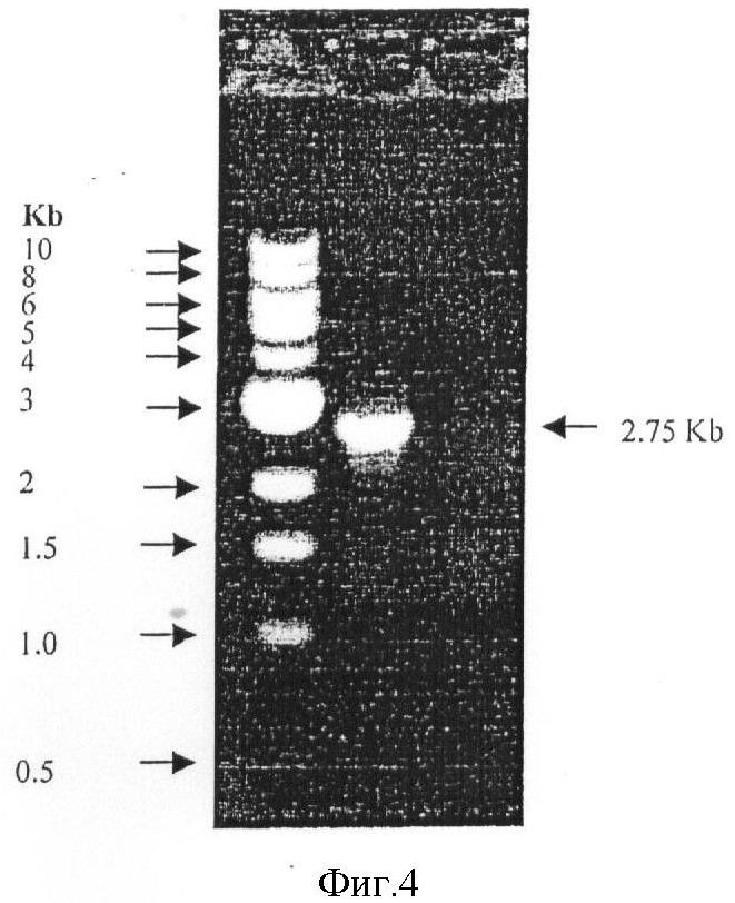
На фиг.4 приведен результат электрофореза в агарозном геле продукта амплификации ДНК вируса (р53, 2750bp), полученной из клеток, инфицированных ранее в течение 36 ч рекомбинантом р53 аденовируса (законсервирован SiBiono Company, номер хранения No-1). Цифрой 1 обозначен ДНК маркер; цифрами 2, 3, 4 – результаты ПЦР для р53 аденовируса.
На фиг.5 приведены результаты вестерн-блоттинга (метод определения искомого белка в сложной белковой смеси) лизата клеток hep-2 и H1299 после того, как указанные клетки инфицировали рекомбинантом р53 аденовируса в течение 36 ч. Цифрой 1 обозначен белковый маркер; цифрами 2-3 – отрицательная регуляция: соответственно клетки Hep-2 и клетки H1299, не инфицированные SBN-1; 4-5 – соответственно клетки Hep-2 и клетки H1299, инфицированные SBN-1.
Фиг.6 представляет кривую, показывающую влияние лизиса различных доз рекомбинанта р53 аденовируса на клетки Hep-2. 1х106 ячеек (культуральный планшет на 6 ячеек). Клетки окрашивали синим фенольным красителем и проводили подсчет клеток, погибших после инфицирования SBN-1 (MOI, множественность заражения составляла 0, 1, 10, 50, 100 и 150).
Фиг.7 представляет кривую, показывающую подавление клеток Hep-2 рекомбинантом р53 аденовируса. Клетки окрашивали синим фенольным красителем и проводили подсчет клеток, погибших после инфицирования 100 SBN-1 (24, 48, 72, 96 ч).
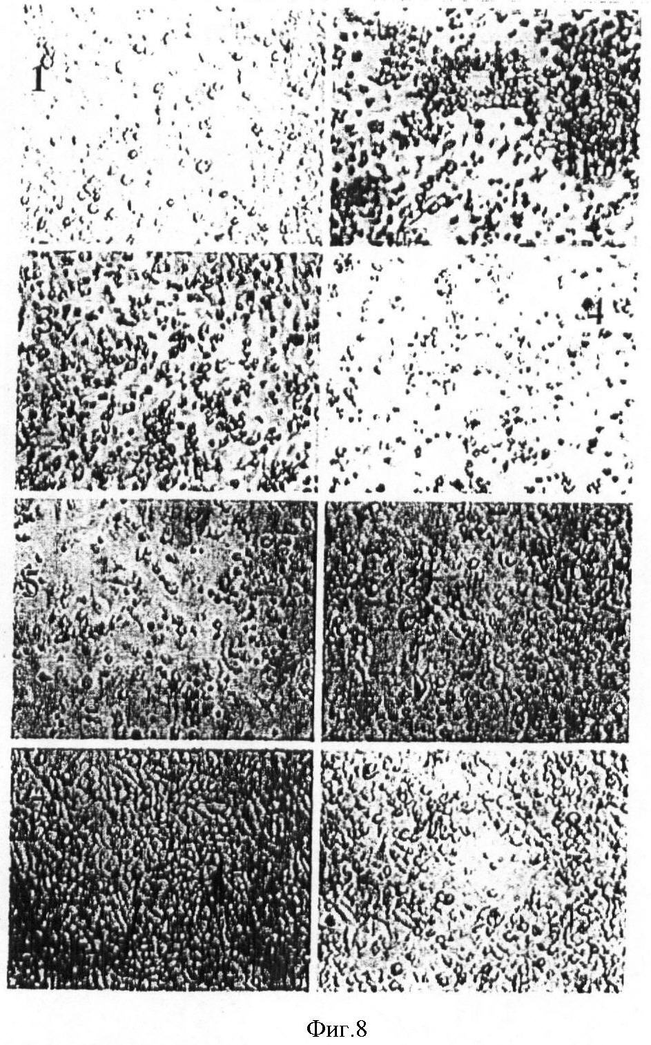
На фиг.8 показаны микрофотографии клеток Hep-2 спустя 36 ч после того, как их инфицировали рекомбинантом р53 аденовируса. 1 – контроль; 2 – MOI 200; 3 – MOI 150; 4 – MOI 100; 5 – MOI 50; 6 – MOI 10; 7 – вирус GFP MOI 200; 8 – вирус GFP MOI 150;
Фиг.9 (фото) представляет результаты компьютерной томографии, описывающие клинический эффект рекомбинанта р53 аденовируса при обработке им в случае рака носоглотки (фаза II). Левая фотография отражает картину до обработки, а правая – после нее (опухоль уменьшилась на 87%, отмечается некроз).
Фиг.10 (фото) представляет результаты рентгенографии (фиг.А и В) и компьютерной томографии (фиг.А и В), описывающие клинический эффект рекомбинанта р53 аденовируса при обработке им в случае рака легких (фаза II). Левые фотографии (фиг.А и С) отражают картину до обработки, а правые (фиг.В и D) – после обработки рекомбинантом р53 аденовируса в течение 1 месяца.
Фиг.11 (фото) представляет результаты компьютерной томографии, описывающие клинический эффект рекомбинанта р53 аденовируса при обработке им в случае рака щитовидной железы (фаза II). Левая фотография отражает картину до обработки (опухоль размером 22,5 см2 прижата к трахее), а правая – после обработки в течение 1 месяца. Отмечается уменьшение опухоли до 11,7 см2 (на 48%).
Фиг.12 (фото) представляет результаты компьютерной томографии, описывающие клинический эффект рекомбинанта р53 аденовируса при обработке им в случае карциномы шеи (фаза II). Левая фотография отражает картину до обработки (опухоль размером 30 см2), а правая – после обработки в течение 1 месяца. Опухоль уменьшилась до 3,8 см2 (на 91%), а затем исчезла.
Фиг.13 (фото) представляет результаты компьютерной томографии, описывающие клинический эффект рекомбинанта р53 аденовируса при обработке им в случае рака пищевода (фаза II). Левая фотография отражает картину до обработки (опухоль размером 10,5 см2), а правая – после обработки в течение 1 месяца. Отмечается уменьшение опухоли до 7,0 см (на 29%).
Подробное описание вариантов настоящего изобретения
Приведенные ниже варианты представляют собой дальнейшее раскрытие настоящего изобретения. Однако его практическое применение этими вариантами не ограничивается.
Эксперимент 1:
Построение и характеристика рекомбинанта р53 аденовируса согласно фиг.1 и фиг.2.
1. Исходя из опубликованной полной длины последовательности р53 кДНК было разработано 2 праймера:
Этими праймерами являлись: 5’АТГГАГГАГЦЦГЦАГТЦАГАТЦ и 5′ АТАТЦТГЦАГААТТЦЦАГЦАЦ. К обоим концам были прикреплены последовательности линкеров. Ген р53 человека амплифицировали по цепной реакции полимеразы, используя в качестве матрицы кДНК клетки HeLa. Условия эксперимента были следующими:
В первом цикле денатурацию ДНК проводили в течение 4 мин при 94°С, гибридизацию проводили 1 мин при 58°С, а затем в течение 2 мин при 72°С осуществляли распрямление. В каждом из последующих циклов денатурацию ДНК проводили в течение 1 мин при 94°С, гибридизацию проводили 1 мин при 58°С, а затем в течение 2 мин при 72°С осуществляли распрямление. Суммарное количество таких циклов равно 30. В результате было получено большое количество фрагментов гена р53. После этого провели анализ указанного гена, для этого использовался электрофорез в агарозном геле. Полную последовательность гена р53 экстрагировали из этого геля, провели очистку, затем разрезали с помощью рестрикционного фермента (рестриктаза) и внедрили в вектор pUC19, который разрезали с помощью того же самого фермента. Полученный затем фрагмент секвенировали. Сделали анализ последовательности кодирующей области (гена), и прогнозируемая последовательность аминокислот представляла собой последовательность GenBank Асе ХМ_058834. В заключение указанный фрагмент расщепили с помощью рестриктазы и вновь собрали.
2. По цепной реакции полимеразы амплифицировали последовательность длинного концевого повтора (ДКП) и последовательность РА. Праймерами являлись соответственно:
5′ ТЦТГАЦАТГЦГАТГТЦГАЦТЦГ,
5′ ЦГГЦАГТГАЦЦЦГГАААГЦАГ;
5′ ТЦАЦАГАГТГЦА ТТГТГАГГГ,
5′ ГЦТЦТАГЦГТГГГГАТЦЦЦ.
Линкерные последовательности прикреплялись к праймерам 5′ и 3’соответственно. Последовательности ДКП и РА были амплифицированы в описанных выше условиях. Амплифицированные фрагменты были очищены и их строение подтверждено секвенированием.
3. Последовательность Е1 аденовируса была амплифицирована отдельно по цепной реакции полимеразы, процесс проводили в описанных выше условиях. С обоих концов к праймерам присоединялись сайты рестиктазы для Bam HI и Eco RI соответственно. После амплификации указанные фрагменты подвергли секвенированию.
4. Провели соединение одного фрагмента со стадии 1 и двух фрагментов со стадии 2 по цепной реакции полимеразы. Условия эксперимента были такие же, как описаны выше. В результате в качестве продукта получили ДКП-р53-РА. Полученную последовательность подвергли секвенированию.
5. Фрагмент со стадии 3 и ДКП-р53-РА соединили с помощью Т4 ДНК-лигазы. Полученной в результате последовательностью была кассета р53 гена.
6. Согласно цепной реакции полимеразы были амплифицированы последовательности инвертного концевого повтора (ИКП), процесс проводили в тех же экспериментальных условиях, как описанные выше. Фрагменты, полученные в результате секвенирования, клонировали в вектор pUC18. В результате был получен рекомбинантный вектор pGT-1.
7. E.coil BJ5183 и ДНК натурального аденовируса 5(ATCC-VR-5, аденовирус 75, титр: 10(6,75) TCID (50)/мл) подвергли совместной сотрансфекции, используя для этого рекомбинантый вектор pGT-1. После выдержки в течение 30 мин при 4°С испытавшие трансфекцию бактерии в течение 50 с подвергали тепловому шоку при 42°С, а затем снова выдерживали при 4°С в течение 1 мин. В заключение бактерии ввели в 1 мл среды LB и провели инкубирование в течение 1 ч. Затем рекомбинантые бактерии поместили в среду агара, содержащую ампициллин, и инкубировали в ней в течение 24 ч. С помощью асептической зубочистки собрали одиночный клон и поместили его для 24 ч инкубирования в емкость, содержащую среду LB. Экстракцию плазмид провели стандартными способами и осуществили их скрининг ферментным расщеплением Pacl. Положительными были клоны pGT-2 (содержащие полную последовательность Ad5).
8. E.coil BJ5183 и кассету р53 гена подвергли совместной сотрансфекции, используя для этого рекомбинантый вектор pGT-2. Методики инкубирования, скриннинга и определения параметров осуществлялись так же, как это было описано выше. Положительными были клоны pGT-3, которые содержащие полную последовательность аденовируса и внедренную кассету экспрессии р53 гена. После того, как указанные клоны были линеаризованы с помощью Pacl, последовательность вектора, начинающуюся с pUC18, отбросили.
9. Положительные линейные плазмиды очистили при помощи CsCl, a затем их использовали для трансфекции 293 клеток, применяя для этого CaCl2. Спустя 7 суток клетки собрали и провели их центрифугирование, процесс проводили в течение 15 мин при частоте вращения 1000 оборотов/мин. Получившийся супернатант отбросили. Клетки трижды подвергали лизису при 37°С и при -80°С. Вновь провели центрифугирование (30 мин, частота вращения 4000 об/мин). Осадки отбросили. Клетки инфицированного супернатанта подвергли лизису так же, как это было описано выше. Получившийся в результате супернатант центифугировали при помощи CsCl в течение 16 ч при 4°С, частота вращения составила 60000 об/мин. Зону рекомбинантного аденовируса экстрагировали, используя для этого иглу 7. Внесли фрагмент ДНК вместе с буфером N1H и подвергали диализу в течение 4 ч при 4°С, процесс проводили в диализном мешке Spectra MW6000. Полученный раствор ДНК простерилизовали, пропустив его через 0,25 мкм фильтр, а затем упаковали и хранили при -80°С. Часть получившегося продукта использовали при анализе бляшкообразования (метод подсчета антителообразующих клеток in vitro) и при установлении титра частиц вируса.
10. Тест рекомбинантного аденовируса на стабильность структуры. В результате нескольких репродукций получили геномную ДНК вируса. Фрагменты ДНК амплифицировали согласно ПЦР, при этом с обоих концов р53 в качестве праймеров использовали 5′ ЦЦАЦГАЦГГТГАЦАЦГЦТТЦ и 5′ ЦААГЦААГГГТТЦАААГАЦ. На фиг.3 приведены результаты электрофореза в агарозном геле. Плечи аденовируса с обоих сторон рекомбинанта аденовируса р53 были разработаны в виде праймеров: 5′ ТТТЦТЦАГГТГТТТТЦЦГ и 5’ЦАТ ЦГТАЦЦТЦАГЦАЦЦТТЦ. Результаты цепной реакции полимеразы приведены на фиг.4. Полученные выше данные указывают, что структура рекомбинанта аденовируса р53 после большого количества репродукций была стабильной.
11. Тест на экспрессию гена р53 в клетки Нер-2 и H1299. Клетки Нер-2 и H1299 были подвергнуты стандартному лизису после того, как в течение 36 ч проводилась их трансфекция рекомбинантным р53. На фиг.5 приведены результаты вестерн-блоттинга для антител, специфичных в отношении белка р53.
12. Влияние продолжительности и дозы рекомбинанта аденовируса р53 на трансфекцию клеток Нер-2 и H1299 в течение 36 ч после того, как было осуществлено инфицирование клеток Нер-2 и H1299 рекомбинантом аденовируса р53. Исследование обращало внимание на различное влияние рекомбинанта ДНК на цитолиз клеток Нер-2 и H1299 при разной дозировке указанного рекомбинанта и разной продолжительности инфицирования. Клетки окрашивали синим фенольным красителем и проводили подсчет погибших клеток. Полученные результаты показаны на фиг.6 и на фиг.7.
Эксперимент 2:
Эффект цитолиза рекомбинанта р53 аденовируса на клетки опухоли:
клетки Нер-2 подвергли трансфекции рекомбинанто аденовйрусом р53 стандартным способом.
В каждой из групп клеток их подсчет проводился одинаково. Клетки были разделены на следующие группы: 1 – контрольная эталонная группа; 2 – MOI (множественность заражения) 200; 3 – MOI 150; 4 – MOI 100; 5 – MOI 50; 6 – MOI 10; 7 – вирус GFP MOI 200; 8 – вирус GFP MOI 150. Клетки инкубировали 36 ч после проведения трансфекции. Эффект цитолиза рекомбинанта р53 аденовируса на клетки опухоли можно было наблюдать под микроскопом при множественности заражения, составляющей не более 50. Указанный эффект возрастал с ростом дозировки. Под микроскопом наблюдалось сморщивание клеток и их окрашивание. Полученные результаты приведены на фиг.8.
Эксперимент 3:
Клиническое действие рекомбинанта аденовируса р53 (рак носоглотки).
На фиг.9 показано, что рекомбинант аденовируса р53 был использован в клинических испытаниях рядом больниц, указанных управлением по пищевым продуктам и лекарственным средствам. Этот чертеж представляет также результаты компьютерной томографии пациента с раком носоглотки до и после обработки с использованием рекомбинанта аденовируса р53. Левая фотография отражает картину до обработки, а правая – после нее (опухоль уменьшилась на 87%, отмечается некроз). В клинических испытаниях участвовало более 60 пациентов, имеющих фазу II указанного заболевания. Клинический эффект лечения был значителен.
Эксперимент 4:
Клиническое действие рекомбинанта аденовируса р53 (рак легких). На фиг.10 представлены результаты клинических испытаний рекомбинанта р53 аденовируса для лечения рака легких (фаза II). Участвующая в этом эксперименте женщина имела аденокарциному легких, плевральный выпот в левую грудь, метастазы печени, костей и мозга. После многократных экстракций и сеансов химиотерапии плевральные выпоты вновь появлялись в большом количестве. Однако после обработки рекомбинантом аденовируса р53 в течение 1 месяца плевральный выпот этой пациентки полностью исчез.
Эксперимент 5:
Клиническое действие рекомбинанта аденовируса р53 (рак щитовидной железы).
На фиг.11 показан клинический эффект рекомбинанта р53 аденовируса при обработки им в случае рака щитовидной железы (фаза II). Участвующая в клинических испытаниях пациентка имела рак щитовидной железы, возобновившийся спустя 1 год после операции. В правой верхней узкой части железы имелись метастазы лимфы, которые были диагностированы как низкодифференцированные чешуйчатые клетки рака. 1 год спустя после проведенных радиотерапии, химиотерапии и гипертермии никакой положительной динамики не наблюдалось, пациентке стало трудно дышать, поскольку опухоль была прижата к трахее. После того, как пациентке 8 раз делали инъекции рекомбинантом аденовируса р53, опухоль уменьшилась существенно (на 48%).
Эксперимент 6:
Клиническое действие рекомбинанта аденовируса р53 (рак шеи).
На фиг.12 показан клинический эффект рекомбинанта р53 аденовируса при обработки им в случае рака шеи (фаза II). Карцинома пациента в этом эксперименте была диагностирована как чешуеклеточный рак. После того, как пациенту 8 раз делали инъекции рекомбинантом аденовируса р53, опухоль уменьшилась существенно (на 91%). Спустя 3 месяца опухоль исчезла совсем.
Эксперимент 7:
Клиническое действие рекомбинанта аденовируса р53 (рак пищевода). На фиг.13 показан клинический эффект рекомбинанта р53 аденовируса при обработки им в случае рака пищевода (фаза II). Рак пищевода участвующего в эксперименте пациента с подключичными метастазами лимфоузлов был диагностирован как чешуеклеточный рак. Радиотерапия никаких положительных результатов не дала. После того, как пациенту 8 раз делали инъекции рекомбинантом аденовируса р53, опухоль уменьшилась существенно (на 29%).
Формула изобретения
1. Рекомбинантный вирус для предотвращения и/или лечения опухолей, имеющий последовательность SEQ ID No.l, содержащий вектор аденовируса и кассету экспрессии гена р53 человека, отличающийся тем, что указанный вектор аденовируса представляет собой объединенный вектор, содержащий последовательность вектора аденовируса, а Е1 указанного вектора аденовируса вырезана; кассета экспрессии гена составлена из промотора длинного концевого повтора вируса саркомы Рауса 5′, действующей в цис-положении последовательности р53 кДНК-3′, действующей в цис-положении последовательности полиаденозина.
2. Рекомбинантный вирус по п.1, отличающийся тем, что указанный вектор аденовируса построен согласно методике клонирования ДНК.
3. Фармацевтическая композиция для предотвращения и/или лечения опухолей, содержащая эффективное количество рекомбинантного вируса по любому из пп.1-3, а также фармацевтически приемлемый носитель.
4. Фармацевтическая композиция по п.3, отличающаяся тем, что представляет собой лекарственную форму, выбранную из группы, включающей инъекции, таблетки, капсулы, пилюли, растворы, суспензии и эмульсии.
5. Применение рекомбинантного вируса по п.1 в целях приготовления лекарственных средств для лечения злокачественных опухолей.
6. Применение рекомбинантного вируса по п.1 в целях приготовления лекарственных средств для предотвращения послеоперационных рецидивов опухолей.
7. Способ получения рекомбинантного вируса по п.1, отличающийся тем, что указанный рекомбинантный вирус получают в любых прокариотных клетках с помощью гомологичной рекомбинации.
8. Способ по п.7, отличающийся тем, что указанный способ включает следующие стадии: 1) получения рекомбинантного вируса pGT-2 с помощью гомологичной рекомбинации аденовируса и плазмиды pGT-1, содержащей на обоих концах аденовируса два инвертированных концевых повтора, в Е. coli; 2) получения рекомбинантного вируса pGT-3 с помощью гомологичной рекомбинации pGT-2 и искусственной последовательности «правое плечо аденовируса /промотор-кДНКр53-полиаденозин/ левое плечо аденовируса» в Е.coli; 3) получения рекомбинантного вируса р53 аденовируса путем отбрасывания прокариотной последовательности с использованием эндонуклеазы Pacl.
РИСУНКИ
|