|
|
(21), (22) Заявка: 2008145318/13, 19.11.2008
(24) Дата начала отсчета срока действия патента:
19.11.2008
(46) Опубликовано: 10.06.2010
(56) Список документов, цитированных в отчете о поиске:
БОНДАРЕНКО В.М., ВОРОБЬЕВ А.А. Дисбиозы и препараты с пробиотической функцией. Журнал микробиологии, эпидемиологии и иммунобиологии. – М., 2004, 1, с.84-92. RU 2123045 C1, 10.12.1998. ШЕНДЕРОВ Б.А. Медицинская микробная экология и функциональное питание. Пробиотики и функциональное питание, т.111. – М.: Грантъ, 2001, с.109-110.
Адрес для переписки:
196128, Санкт-Петербург, а/я 186, пат.пов. Т.И. Матвеевой, рег. 227
|
(72) Автор(ы):
Алехина Галина Геннадиевна (RU), Суворов Александр Николаевич (RU), Бочкарева Анна Николаевна (RU)
(73) Патентообладатель(и):
Алехина Галина Геннадиевна (RU), Суворов Александр Николаевич (RU)
|
(54) ШТАММ Saccharomyces cerevisiae TS2-06, ИСПОЛЬЗУЕМЫЙ ДЛЯ ИЗГОТОВЛЕНИЯ БАКТЕРИАЛЬНЫХ ПРЕПАРАТОВ И ПРОИЗВОДСТВА ЖИДКОЙ МОЛОЧНОКИСЛОЙ ЗАКВАСКИ В КАЧЕСТВЕ ПРОДУКТА ПИТАНИЯ ЛЕЧЕБНО-ПРОФИЛАКТИЧЕСКОГО НАЗНАЧЕНИЯ
(57) Реферат:
Штамм Saccharomyces cerevisiae TS2-06 выделен из кисломолочной закваски, используемой для получения простокваши. Полученный штамм Lactobacillus delbrueckii TS1-06 депонирован в коллекции микроорганизмов кафедры микробиологии Биологического факультета Московского Государственного Университета им. М.В.Ломоносова под регистрационным номером 498 KM МГУ. Штамм используют для изготовления бактериальных препаратов и производства жидкой молочнокислой закваски в качестве продукта питания лечебно-профилактического назначения. Это обеспечивает штамму возможность развиваться на молоке с образованием питательных веществ, устойчивость к широкому спектру антибиотиков, выживаемость при воздействии соляной кислоты – выдерживает снижение pH до 1,2, способность расти в среде с содержанием желчи до 2,5%. 2 ил., 3 табл.
Изобретение относится к области микробиологии и биотехнологии, а именно к штаммам дрожжей, применяемых в медицинской и пищевой биотехнологии. Штамм Saccharomyces cerevisiae TS2-06 обладает антагонистическими свойствами по отношению к Е. coli. Штамм Saccharomyces cerevisiae TS2-06 является устойчивым к воздействию экстремальных факторов, таких как низкая кислотность и содержание желчи, и может быть использован в медицинской, пищевой и микробиологической промышленности для получения лекарственных препаратов и для приготовления продуктов питания.
Микрофлора человека представляет собой систему, состоящую из множества микробиоценозов, характеризующихся определенным составом и занимающих соответствующие биотопы в организме человека. Ведущими микробиоценозами являются кишечник, урогенитальный тракт, легкие и кожа [1]. На микрофлору организма влияет множество факторов, среди них различные заболевания, антибиотики, стрессы, нарушения режима питания, все это приводит к развитию дисбактериоза. Потому для восстановления и поддержания свойственной для каждого конкретного индивидуума микробиоты является актуальным применение нового класса препаратов – пробиотиков, основу которых составляют определенные виды непатогенных для человека бактерий [2].
Известен штамм Bifidobacterium bifidum 79-31, который обладает кислотообразующей активностью, антагонистической активностью в отношении к патогенным и условно-патогенным микроорганизмам [3]. Однако этот штамм требует сложных питательных сред для культивирования и анаэробных условий, что усложняет его промышленное использование.
Известен штамм Lactobacillus acidophilus 100Аш, который входит в состав пробиотического препарата «Ацилакт» [4]. Штамм имеет широкий спектр антагонистической активности против условно-патогенных и патогенных микроорганизмов за счет продукции кислот и антибиотических веществ и применяется для восстановления нормофлоры желудочно-кишечного и урогенитального тракта, однако нет данных о выживаемости данного штамма в условиях воздействия пониженной кислотности и присутствия желчи, которые могут существенно снижать эффективность препарата.
Известен штамм Saccharomyces lactis S-11, образующий симбиоз со штаммами Lactobacillus acidophilus А-41, Lactobacillus delbrueckii subs, bulgaricus B-21 и используемый для производства кисломолочных продуктов [5], однако по выживаемости при воздействии экстремальных факторов среды и спектру устойчивости к антибиотикам данный штамм уступает предлагаемому штамму.
Известен наиболее близкий по техническому результату к заявленному штамму штамм Saccharomyces boulardii, используемый для производства пробиотических препаратов [4, 6, 7] и выбранный в качестве прототипа. Известный штамм используется для лечения и профилактики заболеваний ЖКТ, но не является его естественным обитателем. В отличие от предлагаемого штамма Saccharomyces cerevisiae TS2-06, который был выделен из пищевого продукта – простокваши, культура Saccharomyces boulardii была изолирована с поверхности фруктов [6, 7].
Недостатками штамма, выбранного в качестве прототипа, являются опасения о возможности вызвать гематогенную грибковую, инфекцию (фунгемия) при передозировке, также возможность вызвать заболевания у людей с пониженным иммунитетом, отсутствие данных об устойчивости штамма в условиях воздействия кислот и желчи, меньший спектр устойчивости к антибиотикам.
Заявленный новый штамм – Saccharomyces cerevisiae TS2-06, выделенный из кисломолочной закваски, используемой для получения простокваши, имеет более высокие технологические характеристики по сравнению с известным штаммом, выбранным в качестве прототипа.
Техническим результатом заявленного изобретения являются способность развиваться на молоке образованием питательных веществ, устойчивость к антибиотикам, высокий уровень устойчивости к низкой кислотности и способность развиваться на среде с содержанием желчи.
Штамм Saccharomyces cerevisiae TS2-06 был получен путем множественных пересевов индивидуальных колоний дрожжей на плотных питательных средах с последующим выяснением антагонистической активности, устойчивости к антибиотикам и молекулярно-генетических характеристик отдельных клонов. В результате был отобран клон, идентифицированный как штамм Saccharomyces cerevisiae TS2-06.
Полученный штамм Saccharomyces cerevisiae TS2-06 депонирован в ГУ НИИ экспериментальной медицины РАМН под регистрационным номером « 1072 ГУНИИЭМ». Адрес коллекции ГУ НИИ экспериментальной медицины: 197376, Санкт-Петербург, ул. Академика Павлова, 12. Уведомление прилагается к материалам данной заявки.
Штамм Saccharomyces cerevisiae TS2-06 под « 1072 ГУНИИЭМ» был многократно опробирован в лабораторных условиях на базе Научно-Исследовательского Института Экспериментальной Медицины Российской Академии Медицинских Наук (НИИЭМ РАМН). Как показали результаты микробиологических исследований, заявленный штамм обладает многими качественными характеристиками, превышающими известный мировой уровень.
1.Культурально-морфологические признаки штамма Saccharomyces cerevisiae TS2-06 под « 1072 ГУНИИЭМ»
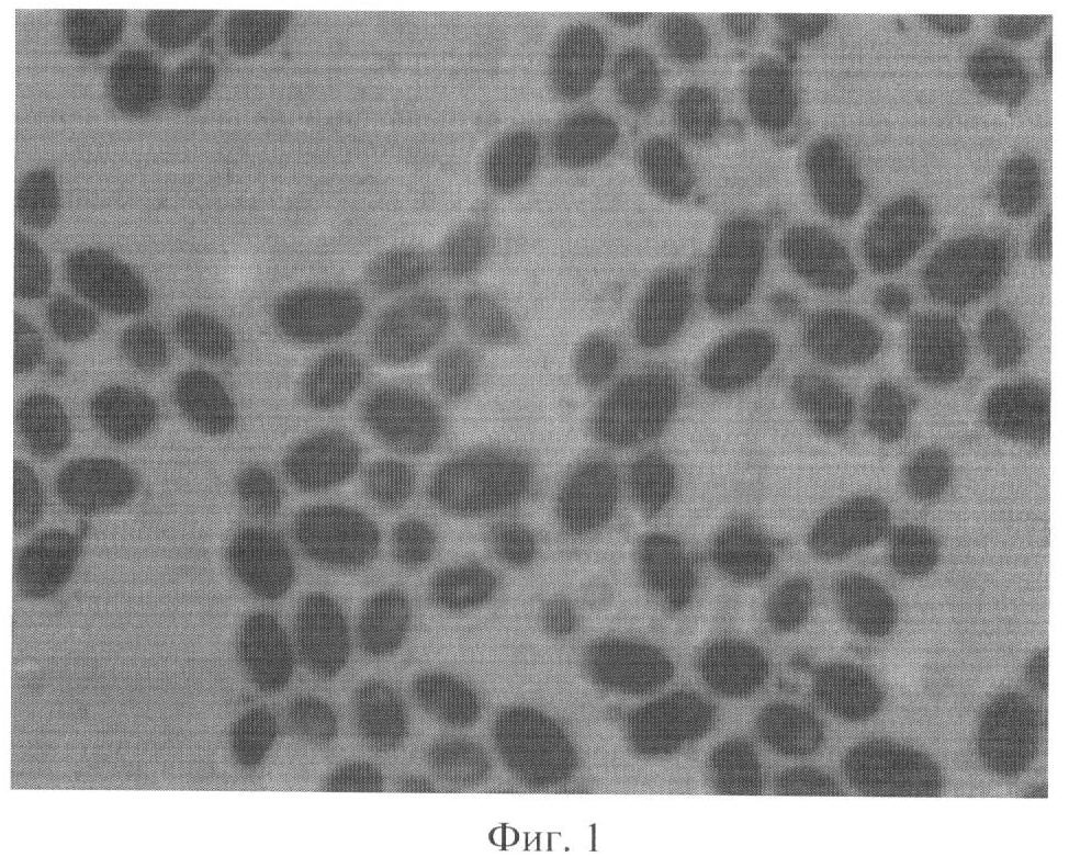
Штамм Saccharomyces cerevisiae TS2-06 под « 1072 ГУНИИЭМ» относится к семейству Saccharomycetaceae, виду Saccharomyces, подвиду cerevisiae согласно определителю бактерий Берджи [8]. Клетки дрожжей овальные, 5-10 мкм в диаметре, часть клеток имеет на поверхности почки или соединена с дочерними клетками.
На фиг.1 представлено изображение штамма Saccharomyces cerevisiae TS2-06 (увеличение в 1350 раз), выращенного в жидкой среде МРС (Hi Media, Индия) в течение 16 часов при 37°С.
Культура дрожжей растет на 1,5% молоке при температуре 37°С, заквашивания молока не происходит, образуется газ (СО2). При выращивании на бульоне МРС или Сабуро (НИЦФ, Россия) в течение 24 часов при температуре 37°С образуется осадок на дне. При росте в плотной среде – бежевые колонии в форме чечевицы 1,5-2,0 мм в диаметре. На поверхности плотной агаризованной среды формируются круглые выпуклые, светло-кремового цвета непрозрачные колонии с ровным краем, размер 2-4 мм, поверхность гладкая, блестит, консистенция – мягкая, маслянистая. Рост по штриху – умеренный, сплошной. Культура имеет характерный запах дрожжей. Пигментов, дифундирующих в среду, штамм не образует.
2. Физиолого-биохимические признаки штамма Saccharomyces cerevisiae TS2-06 под « 1072 ГУНИИЭМ»
Отношение к кислороду:
Факультативный анаэроб.
Общие биохимические свойства:
В качестве источника углерода могут использовать многие простые соединения, такие как глюкоза, сахароза, глицерин. В результате сбраживания сахаров образует CO2 и этиловый спирт.
Характер роста на средах с молоком:
Способна расти на молоке. Молоко не сбраживает, в результате культивирования образуется газ. При выращивании в жидких средах pH практически не снижает.
Особенности роста:
Температурный оптимум 36±1°С. Клетки растут в пределах от 4°С до 40°С. Оптимальное значение pH среды 5,5-6,0. Сохраняет жизнеспособность в диапазоне pH от 1,2 до 10. Растет при содержании желчи в среде до 2,5%.
Устойчивость к антибиотикам:
Штамм Saccharomyces cerevisiae TS2-06 под « 1072 ГУНИИЭМ» является устойчивым к гентамицину, оксациллину, цефазолину, амоксиклаву, тетрациклину, норфлоксацину, ванкомицину, эритромицину, цефотаксиму, ципрофлоксацину, цефуроксиму, метронидазолу, кетоназолу, амфотерицину.
Антагонизм к другим бактериям:
Штамм Saccharomyces cerevisiae TS2-06 под « 1072 ГУНИИЭМ» проявляет выраженные антагонистические свойства по отношению к Е. coli. Антагонистическая активность Saccharomyces cerevisiae TS2-06 представлена на фиг.2, на которой изображена минимальная ингибирующая концентрация Saccharomyces cerevisiae TS2-06, при которой происходит подавление роста Е. coli. Как видно из фиг.2, необходимо около 105 в 1 мл клеток Saccharomyces cerevisiae TS2-06, чтобы подавить рост 108 в 1 мл клеток Е. coli.
Способ, условия и состав сред для размножения штамма:
Штамм Saccharomyces cerevisiae TS2-06 под 1072 ГУНИИЭМ выращивают при 36±1°С в молоке с 1.5% жира. Для проведения анализов, требующих прозрачных сред, используют бульон МРС или Сабуро. Культивирование проводят при 36±1°С в течение 24 часов.
Стерилизуют коммерчески приобретенное молоко (1.5% жирности) в течение 20 минут автоклавированием при давлении 0.5 атм и температуре 110-120°С.
Для выращивания индивидуальных колоний штамма Saccharomyces cerevisiae TS2-06 используют 1% агар МРС-4 (Ман, Рогоза, Шарп) (НИЦФ, Россия) или агар Сабуро (НИЦФ, Россия).
Способ, условия и состав сред для хранения штамма:
Штамм Saccharomyces cerevisiae TS2-06 под « 1072 ГУНИИЭМ» хранят в сублимированном виде в запаянных ампулах (длительность хранения 1 год и более). Возможно хранение в замороженном виде при -70°С в течение 6-12 месяцев.
Свойства штамма Saccharomyces cerevisiae TS2-06 под « 1072 ГУНИИЭМ» стабильны и не меняются при хранении, в процессе культивирования и при воздействии экстремальных факторов, что позволяет судить об его промышленной применимости.
Стабильность сохранения полезного свойства при длительном культивировании штамма Saccharomyces cerevisiae TS2-06:
Длительность культивирования штамма Saccharomyces cerevisiae TS2-06 на жидких и агаризованных питательных средах (не менее 20 пересевов) не сопровождалось изменением спектра устойчивости к антибиотикам, антагонистической активности по отношению к патогенным микроорганизмам и другим признакам штамма Saccharomyces cerevisiae TS2-06, перечисленным выше.
3. Генетическая характеристика штамма Saccharomyces cerevisiae TS2-06:
Для облегчения видовой идентификации природного штамма Saccharomyces cerevisiae TS2-06 как вида семейства Saccharomycetaceae – Saccharomyces cerevisiae участок хромосомной ДНК предлагаемого штамма был исследован методами молекулярной генетики и впоследствии был идентифицирован и сравнен с аналогичными участками других видов микроорганизмов.
ДНК штамма Saccharomyces cerevisiae TS2-06 под « 1072 ГУНИИЭМ», соответствующая области кодирования рибосомального оперона (26S РНК), была просеквенирована методом Sanger. В результате установлена нуклеотидная последовательность, которая позволяет идентифицировать данный штамм в любых препаратах или продуктах его содержащих.
GCAACTTTGGGGCCGTTCCTTGTCTATGTTCCTTGGAACAGGACGTCA
TAGAGGGTGAGAATCCCGTGTGGCGAGGAGTGCGGTTCTTTGTAAAG
TGCCTTCGAAGAGTCGAGTTGTTTGGGAATGCAGCTCTAAGTGGGTG
GTAAATTCCATCTAAAGCTAAATATTGGCGAGAGACCGATAGCGAAC
AAGTACAGTGATGGAAAGATGAAAAGAACTTTGAAAAGAGAGTGAA
AAAGTACGTGAAATTGTTGAAAGGGAAGGGCATTTGATCAGACATG
GTGTTTTGTGCCCTCTGCTCCTTGTGGGTAGGGGAATCTCGCATTT
Данная последовательность, при сравнении с банком данных нуклеотидных последовательностей GenBank, характеризуется гомологией 100% с другими штаммами Saccharomyces cerevisiae. Эти данные подтверждают принадлежность данного штамма к виду Saccharomyces cerevisiae.
4. Вирулентность:
Штамм Saccharomyces cerevisiae TS2-06 был изолирован из простокваши и является безвредным для человека и животных. Молочнокислую закваску, полученную заквашиванием молока болгарской палочкой с участием предлагаемого штамма, в течение месяца употребляли в пищу волонтеры из числа сотрудников отдела молекулярной микробиологии ГУ НИИЭМ РАМН. В результате данного исследования побочных эффектов выявлено не было.
Изобретения поясняются следующими конкретными примерами использования штамма Saccharomyces cerevisiae TS2-06.
Пример 1.
Результаты выращивания жидкой культуры штамма Saccharomyces cerevisiae TS2-06 в условиях микробиологической лаборатории.
Для получения посевного материала в ампулу с лиофилизированной культурой, содержащей 10 мг сухого вещества, добавляют 0,5 мл стерильного раствора натрия хлорида 0,9%. Посевной материал получают выращиванием микробной культуры штамма Saccharomyces cerevisiae TS2-06 на поверхности агаризованной среды МРС (Hi Media, Индия) или Сабуро (НИЦФ, Россия) методом истощающего штриха в термостате при 37 С в течение 18-20 часов. Индивидуальные клоны штамма Saccharomyces cerevisiae TS2-06, выросшие на поверхности агара, помещаются в бактериологические пробирки, содержащие 7 мл молока, и выращиваются в термостате при 37°С в течение 14-16 часов. Выросшие в жидкой среде дрожжи обуславливают появление характерного запаха и пузырьков газа при перемешивании суспензии. Из аликвот, взятых из полученной культуры, готовят мазки, окрашенные метиленовой синью. В мазках должны обнаруживаться типичные дрожжевые клетки. В препаратах не должно быть посторонней микрофлоры. Полученный посевной материал используют для получения стартовой биомассы. Посевной материал вносят во флаконы, содержащие 300-500 мл стерильного молока, в количестве 5% и выращивают при 37°С в течение 14-16 часов. Стартовая биомасса может быть использована для выращивания больших объемов биомассы.
Пример 2.
Результаты исследования штамма Saccharomyces cerevisiae TS2-06 по характеру антагонизма к патогенным бактериям.
Для определения антагонистической активности штамма Saccharomyces cerevisiae TS2-06 использовался метод двухслойного агара [9]. Предварительно выращенные в течение 12-18 ч исследуемые культуры в различных концентрациях помещали в агаризованную среду МРС, формируя нижний слой. Для этого проводили ряд последовательных разведений культур в стерильном 0,5% водном растворе NaCl. Затем 1 мл суспензии клеток помещали в 9 мл агаризованной среды, охлажденной до 45°С. После застывания сверху наносили триптозный агар (10 г/л триптон (Difco, США), 5 г/л дрожжевой экстракт, 5 г/л NaCl, pH 7,0) в количестве 10 мл. Через 24 ч инкубации засевали по 10 мкл индикаторных культур (Klebsiella pneumoniae cl. is., Enterococcus faecalis ATCC 29212, E.coli ATCC 25922, E.coli Ml5, Staphylococcus aureus ATCC 25923, Pseudomonas aeruginosa ATCC 27853, Pseudomonas aeruginosa cl. is., Candida albicans ATCC 869) в количестве 3×108 КОЕ/мл. Засеянные среды инкубировали при 37°С в течение 24 часов.
Антагонистическую активность исследуемых культур выражали минимальной ингибирующей концентрацией антагониста (МИКА) – это минимальное количество антагониста, ингибирующего размножение патогенных бактерий и грибов. Показатели минимальной ингибирующей концентрации штамма Saccharomyces cerevisiae TS2-06 представлены в таблице 2.
| Таблица 1 |
| Индикаторная культура |
МИКА, lg КОЕ/мл |
| Е. coli М15 |
5,13±0,02 |
Полученные результаты исследования антагонистической активности штамма Lactobacillus fermentum TS3-06 свидетельствуют о том, что данный штамм характеризуется высоким уровнем антагонизма к представленной культуре Е. coli.
Пример 3.
Результаты исследования штамма Saccharomyces cerevisiae TS2-06 на способность развиваться в среде с содержанием желчи.
В ростовую среду – жидкую среду МРС, содержащую от 0 до 10% желчи, добавлялся 1% (объемный) исследуемой культуры в стационарной фазе роста. Засеянные среды инкубировали при 37°С в течение 24 часов. Оценку роста проводили по оптической плотности суспензии клеток на СФ при длине волны 600 нм. В таблице 3 представлены концентрации клеток штамма Saccharomyces cerevisiae TS2-06, выросших на среде с различным содержанием желчи.
| Таблица 2 |
| Концентрация желчи, % |
Оптическая плотность суспензии клеток (600нм) |
| 10 |
 |
| 5 |
– |
| 2,5 |
0,06±0,02 |
| 1,25 |
0,70±0,02 |
| 0,625 |
1,29±0,02 |
| 0,3 |
1,71±0,02 |
| 0,15 |
1,18±0,02 |
| 0 |
1,26±0,02 |
Таким образом, можно сделать вывод о том, что культура штамма Saccharomyces cerevisiae TS2-06 способна расти на среде с содержанием желчи 2,5% и менее.
Пример 4.
Результаты исследования штамма Saccharomyces cerevisiae TS2-06 на выживаемость в условиях низких pH.
Для определения устойчивости микроорганизмов к низким pH использовали методику, предложенную К.Дунн (C.Dunne) и соавторами [10]. Предварительно выращенную в течение 18 ч культуру штамма Saccharomyces cerevisiae TS2-06 осаждали центрифугированием, затем ресуспендировали в среде МРС с pH 1,2 и 2,5. Кислотность среды доводили до необходимой одномолярной соляной кислотой. Пробы отбирали с момента внесения культуры в среду (0 мин), затем через 5, 30 и 60 минут. Для определения числа клеток в среде использовали метод высева на плотные питательные среды (метод Коха). Выживаемость исследуемых культур при различных значениях pH (lgKOE/мл) представлена в таблице 3.
| Таблица 3 |
| Культура |
pH |
Время инкубации, мин |
| 0 |
5 |
30 |
60 |
| штамм Saccharomyces |
1,2 |
6,6±0,1 |
6,5±0,1 |
4,8±0,1 |
3,6±0,1 |
| cerevisiae TS2-06 |
2,5 |
6,7±0,1 |
6,5±0,1 |
5,6±0,1 |
4,3±0,1 |
Из приведенных данных можно сделать вывод о том, что культура штамма Saccharomyces cerevisiae TS2-06 сохраняет свою жизнеспособность даже при pH 1,2.
Как показали результаты исследований в течение более двух лет, заявленный новый штамм дрожжей Saccharomyces cerevisiae TS2-06, способный развиваться на молоке, показал стойкие качественные характеристики, являющиеся преимуществом для использования в промышленном производстве, и может стать основой для создания новых лекарственных препаратов и пищевых продуктов лечебно-профилактического назначения. Дрожжи вида Saccharomyces cerevisiae используются с древнейших времен, и в настоящее время этот вид дрожжей используется для производства пива, в хлебопечении [11], а так же в виноделии [12, 13] и производстве этилового спирта [14], но не используется в молочнокислой промышленности. Заявленный штамм соответствует указанному техническому результату и отличается выживаемостью при воздействии соляной кислоты – выдерживает снижение pH до 1,2, способен расти в среде с содержанием желчи до 2,5%, устойчив к широкому спектру антибиотиков. Эти данные говорят о том, что предлагаемый штамм способен выжить при попадании в организм человека или животного, а именно при прохождении агрессивной среды желудочно-кишечного тракта, что часто является непреодолимым барьером для других микроорганизмов.
Литература
1. Дисбиоз кишечника: руководство по диагностике и лечению / Под ред. Е.И.Ткаченко и А.Н.Суворов. – СПб: 2006. – 196 с.
2. Шендеров Б.А. Микрофлора человека и животных и ее функции, Москва, изд-во ГрантЪ, 1998, 416 с.
3. Патент РФ 2314342 C1, опубликован 10.01.2008, приоритет с 13.07.2006.
4. Бондаренко В.М., Воробьев А.А. Дисбиозы и препараты с пробиотической функцией. Журнал микробиологии. 2004. 1. С.84-92 (прототип).
5. Патент РФ 97116294 A, опубликован 27.03.1999, приоритет с 26.09.1997.
12(28) – p.4557-4560 (прототип).
8 (73) – p.2458-2467.
8. Определитель бактерий Берджи, Москва, изд-во Мир, 1997, т.2, с.574.
5. – С.94-98.
11. Патент РФ 2164941 C1, опубликован 10.04.2001, приоритет с 01.11.1999.
12. Патент РФ 2003132274 А, опубликован 27.04.2005, приоритет с 11.05.2003.
13. Патент РФ 2003132275 А, опубликован 10.07.2005, приоритет с 05.11.2003.
14. Патент РФ 2005137212 А, опубликован 10.06.2007, приоритет с 30.11.2005.
Формула изобретения
Штамм Saccharomyces cerevisiae TS2-06 депонирован в коллекции микроорганизмов кафедры микробиологии Биологического факультета Московского Государственного Университета им. М.В.Ломоносова под регистрационным номером 498 KM МГУ, используемый для изготовления бактериальных препаратов и производства жидкой молочнокислой закваски в качестве продукта питания лечебно-профилактического назначения.
РИСУНКИ
|
|