|
|
(21), (22) Заявка: 2008136310/13, 08.09.2008
(24) Дата начала отсчета срока действия патента:
08.09.2008
(46) Опубликовано: 20.05.2010
(56) Список документов, цитированных в отчете о поиске:
ГРАЧЕВ Д.В. Иммунобиологические свойства вируса оспы коз, выделенного в Республике Таджикистан. Автореф. дисс. на соискание уч. степ. канд. вет. наук. – Покров, 2006, 26 с. RU 2325437 C1, 27.05.2008.
Адрес для переписки:
600901, г.Владимир, мкр. Юрьевец, ФГУ “ВНИИЗЖ”, Е.В. Белику
|
(72) Автор(ы):
Диев Вячеслав Иванович (RU), Мороз Наталья Владимировна (RU), Басова Дарья Константиновна (RU), Блотова Галина Александровна (RU), Кукушкина Мария Сергеевна (RU), Гарькин Алексей Викторович (RU), Борисов Владимир Владимирович (RU), Щербаков Алексей Владимирович (RU), Орлова Елена Сергеевна (RU), Константинов Алексей Владимирович (RU), Яснева Елена Анатольевна (RU), Захаров Валерий Михайлович (RU)
(73) Патентообладатель(и):
Федеральное государственное учреждение “Федеральный центр охраны здоровья животных” (ФГУ “ВНИИЗЖ”) (RU)
|
(54) ШТАММ “ВНИИЗЖ 2003” ВИРУСА ОСПЫ КОЗ VARIOLA VIRUS CAPRINUM ДЛЯ ИЗГОТОВЛЕНИЯ БИОПРЕПАРАТОВ ДЛЯ ДИАГНОСТИКИ И СПЕЦИФИЧЕСКОЙ ПРОФИЛАКТИКИ ОСПЫ КОЗ
(57) Реферат:
Изобретение относится к ветеринарной вирусологии и биотехнологии. Получен новый производственный штамм «ВНИИЗЖ 2003» вируса оспы коз (ВОК), аттенуированный и авирулентный для коз. Штамм депонирован в коллекцию микроорганизмов, используемых в ветеринарии и животноводстве, ФГУ «ВГНКИ» под регистрационным номером – производственный вакцинный штамм «ВНИИЗЖ 2003» – ДЕП ВОК. Штамм репродуцируется в первичной культуре клеток гонады козы Ch-91 в течение 5-7 суток и накапливается в титре не менее 5,5 lg ТЦД50/см3. Штамм сохраняет исходные характеристики при пассировании в культуре клеток Ch-91 в течение 35 пассажей. На основе штамма получены антиген для серологических реакций и гипериммунные сыворотки крови к ВОК на кроликах и козах с активностью в РДСК 1:120-1:160, в РДП 1:16-1:32 и в ИФА 1:1000-1:4000. Вирусвакцина, приготовленная на основе штамма, защищает иммунизированных животных от прямого заражения вирулентным вирусом. Изобретение расширяет арсенал производственных штаммов ВОК и может быть использовано в ветеринарии. 2 з.п. ф-лы, 4 ил., 9 табл.
Изобретение относится к области ветеринарной вирусологии и биотехнологии, в частности к новому штамму вируса оспы коз, который может быть использован при разработке и изготовлении средств диагностики и специфической профилактики оспы коз.
В соответствии с классификацией, установленной Международной комиссией по таксономии вирусов (International Committee on Taxonomy of Viruses – ICTV), вирус оспы коз относится к роду 00.058.1.04 Capripoxvirus, принадлежащему к подсемейству 00.058.1 Chordopoxvirinae семейства 00.058 Poxviridae (1).
Род Capripoxvirus включает вирус оспы овец (BOO), вирус оспы коз (ВОК) и вирус кожной бугорчатой КРС (вирус Нетлинга или вирус нодулярного дерматита (ВБ)). Представители рода близкородственны, что доказывается иммунологическим анализом и структурой генома (2, 3).
Вирусы семейства Poxviridae являются одними из самых крупных и сложно организованных среди вирусов животных. Вирионы поксвирусов имеют размер 300×270×200 нм и различимы даже в световой микроскоп.
Каприпоксвирусы имеют кирпичеобразную форму с округлыми краями, сходную с другими представителями из группы ортопоксвирусов. Вирион состоит из вирусной сердцевины (нуклеоида), овальных латеральных тел и наружной оболочки. Нуклеоид окружен гладкой мембраной толщиной 5 нм. Внутри него находится нуклеопротеин (ДНК, связанная с белком), имеющий S-образную или более сложную форму. Нуклеоид и боковые тела окружены наружной оболочкой, состоящей из липидов и трубчатых белковых структур (10×5 нм).
Существуют две основные инфекционные формы поксвирусов: внутриклеточные зрелые вирионы (IMV) и внеклеточные зрелые вирионы, выделяемые из культуральной среды (EEV) и имеющие более низкую плавучую плотность. Внутриклеточная форма вирионов является определяющей при распространении вируса в организме хозяина. Внеклеточные частицы окружены дополнительной липопротеиновой оболочкой, образованной из мембраны аппарата Гольджи с включением вирусспецифических белков (4). Эта форма вирионов более стабильна в окружающей среде и потому играет ведущую роль в передаче инфекции от одного хозяина к другому.
В соответствии с крупным размером и сложной структурой вирионы поксвирусов содержат большое количество белков (более 100 полипептидов). Главные структурные белки каприпоксвирусов идентифицированы электрофорезом в полиакриламидном геле. В препарате очищенного вируса можно различить более 20 белковых групп (2). Молекулярный вес белков колеблется от 14 до 130 кД. Около 70% от массы вириона приходится на четыре структурных белка. Некоторые белки локализованы на внешней поверхности внутриклеточного зрелого вириона.
У BOO и ВОК геном не обладает инфекционностыо и характеризуется теми же особенностями, что и для всех остальных представителей семейства Poxviridae. Он представлен молекулой линейной двухцепочечной ДНК с центральным менее вариабельным участком длиной около 145 kb и более вариабельными концами. Гибридизацией подтверждена высокая степень гомологии ДНК BOO и ВОК (2).
Две цепи ДНК соединены шпилькообразными петлями, в результате чего образуется одна непрерывная, ковалентно связанная полинуклеотидная цепь. Флип-флоп формы ДНК («шпильки») образованы инвертированными концевыми повторами: идентичными, но противоположно ориентированными последовательностями ДНК, длина которых варьирует даже в пределах одного рода (4). Последовательности «шпилек» имеют повышенное содержание А и Т нуклеотидов, существуют в двух формах (инвертированной и комплементарной), но не могут образовывать полностью комплементарных структур
Концевые инвертированные повторы могут содержать кодирующие участки, поэтому некоторые гены присутствуют на обоих концах генома. Несмотря на вариабельность концевых участков генома поксвирусов здесь находятся большие блоки генов. Их точная функция не известна, но установлена их несущественность для репликации в тканевой культуре.
Геном содержит близко расположенные открытые рамки считывания (ORF) без интронов, некоторые из которых могут частично перекрываться (4). Для названия ORF ортопоксвирусов принято соглашение использовать букву рестрикционных фрагментов по HindIII, номер ORF в пределах фрагмента (слева направо) и букву L или R (в зависимости от ориентации OFR). Исключение было сделано для фрагмента С, где нумерация идет справа налево, чтобы избежать начала нумерации открытых рамок считывания на высоко вариабельном конце генома.
Выделяют три класса генов. Первый класс включает ранние гены, которые экспрессируются с частично депротеинизированного вириона до начала репликации ДНК. Эти гены кодируют многие неструктурные белки, в том числе ферменты, участвующие в репликации генома, модификации ДНК, РНК и вирусных белков. Ранние гены кодируют также промежуточные факторы транскрипции. Второй класс (промежуточные гены) экспрессируется во время репликации ДНК и кодирует поздние факторы транскрипции. Третий класс, представленный поздними генами, экспрессируется в пострепликативную фазу. Эти гены, в основном, кодируют структурные вирусные белки, а также ранние факторы транскрипции (4).
Различия между геномами каприпоксвирусов меньше, чем у ортопоксвирусов (3). Рестрикционный анализ геномов вирусных изолятов, полученных в разных странах, показал, что оспа овец и оспа коз вызываются изолятами каприпоксвируса с очень близким генетическим родством. В то же время сравнение фрагментов генома всех трех видов каприпоксвирусов, полученных с помощью нескольких рестриктаз, показало, что некоторые изоляты BOO имеют большой уровень сходства с ВБ, чем с ВОК. На основании этого предполагают, что в процессе филогенеза ВОК отделился в самостоятельный вид раньше, чем произошло разделение BOO и ВБ на отдельные виды (5). С помощью этого же метода анализа была подтверждена возможность рекомбинаций генома между разными видами каприпоксвирусов. В частности рестрикционным картированием установили, что для выделенного в Йемене штамма ВОК характерен набор фрагментов, типичный как для ВОК, так и для ВБ, т.е. геном данного штамма можно охарактеризовать как рекомбинантный (6). Подобные исследования генома с помощью рестрикционного анализа могут использоваться в качестве молекулярного метода для эпизоотологической характеристики каприпоксвирусов (7).
Оспа овец и оспа коз – высококонтагиозные вирусные заболевания мелких жвачных. По международной классификации Международной организации здравоохранения животных (МЭБ) они относятся к категории особо опасных инфекционных болезней, подлежащих обязательному информированию. По данным МЭБ эти заболевания регистрируются на всех континентах, за исключением Австралии и Океании. В последние годы оспа получила широкое распространение и в тех странах, где раньше никогда не регистрировалась (Вьетнам, 2005; Монголия, 2006; Греция, 2007).
Напряженная ситуация остается в странах СНГ Среднеазиатского и Кавказского регионов (Казахстан, Таджикистан, Киргизия, Азербайджан, Грузия). В 1996-2003 гг. неблагополучными по этим заболеваниям были 55 стран, в том числе 7 стран СНГ. Так, в Таджикистане в 2000 г. оспу коз регистрировали в виде отдельных случаев, в 2001 г. – уже в 11 хозяйствах, а в 2002 г. – практически во всех зонах республики. Вначале заболевание выявилось только у коз ангорской породы, а в 2002 г. – и у коз местных пород.
Россия до 1993 г. в течение длительного времени оставалась благополучной по данным заболеваниям. Однако во время возникшей в 1993 г. на юге РФ в Ставропольском крае и Дагестане в 5 очагах оспы овец заболело 1413 животных, из которых пало 528 голов. В дальнейшем в России отмечалось увеличение количества очагов и оспа мелкого рогатого скота в 1994-1999 гг. проявлялась ежегодно. За это время было зарегистрировано 85 очагов оспы преимущественно среди овец. В 2002 г. во время вспышки оспы овец на Дальнем Востоке отмечались единичные случаи заболевания коз, а в 2003 г. оспа коз проявила себя как самостоятельное заболевание.
Заболевание протекает в тяжелой форме, с характерными клиническими признаками, часто с летальным исходом, особенно среди молодняка. Экономический ущерб, причиняемый оспой козоводству, чрезвычайно велик. Прямые убытки слагаются из отхода животных (гибель молодняка при тяжелом течении болезни может достигать 50-80%, а взрослого поголовья – 5-10%), снижения продуктивности – удоев молока, качества и привеса мяса, потерь шерсти и пуха, снижения качества кожи.
Возбудителями болезней являются близкородственные, но таксономически самостоятельные виды BOO и ВОК, относящиеся к роду Capripoxvirus семейства Poxviridae. BOO и ВОК не обладают четко выраженной хозяйской специфичностью: несмотря на то, что обычно вирусы вызывают наиболее выраженное заболевание либо у овец, либо у коз, некоторые штаммы патогенны для обоих видов животных – хозяев (2).
В связи с этим на практике, как правило, не дифференцируют два этих заболевания, а обычно обозначают как единое заболевание – оспа овец и коз. Именно под таким названием заболевание оспа овец и коз приводится в перечне МЭБ болезней, обязательных к декларированию, хотя это и затрудняет анализ реальной распространенности оспы овец и оспы коз как отдельных заболеваний.
Так как со многими неблагополучными по оспе государствами имеется общая граница и тесные экономические связи, заболевание представляет большую угрозу для России в отношении возможности заноса возбудителей болезни.
Создавшаяся эпизоотическая ситуация по оспе овец и оспе коз свидетельствует о необходимости иметь высокоэффективные диагностические препараты и средства специфической профилактики как против оспы овец, так и против оспы коз, которые в короткие сроки позволили бы идентифицировать возбудителей этих заболеваний и быстро купировать распространение инфекций.
Это обстоятельство вынуждает вести постоянный поиск новых штаммов ВОК, пригодных для изготовления биопрепаратов для диагностики и специфической профилактики оспы коз.
В странах, где отмечены вспышки этого заболевания, специфическая профилактика оспы коз проводится с помощью культуральных вирусвакцин из аттенуированных штаммов ВОК и инактивированных тканевых и культуральных вакцин. Однако инактивированные вакцины уступают вирусвакцинам по иммуногенной активности.
Известен ряд штаммов ВОК, используемых для изготовления диагностических и вакцинных препаратов против оспы коз.
Известен штамм «Ranchi» ВОК, используемый для изготовления инактивированной гидроокисьалюминиевой вакцины против оспы коз (8, 9, 10).
Известен штамм «Durg» ВОК, используемый для изготовления диагностических и вакцинных препаратов против оспы коз (11).
Известен штамм «GT4-STV42» ВОК, используемый для изготовления культуральной вирусвакцины против оспы коз (12).
Известен штамм «Mysore» ВОК, используемый для изготовления вирусвакцины против оспы коз (13).
Известен штамм «Gorgan» ВОК, используемый для изготовления вирусвакцины против оспы коз (14).
Известен штамм «Монгольский» ВОК, используемый для изготовления биопрепаратов для диагностики и специфической профилактики оспы коз (15).
Известен штамм «Казахский» ВОК, используемый для изготовления биопрепаратов для диагностики оспы коз (15).
Известен штамм «Дангаринский» ВОК, репродуцированный в культуре клеток ПО-ВНИИВВиМ с титром инфекционной активности 5,0-6,0 lg ТЦД50/см3 и используемый для изготовления биопрепаратов для диагностики и специфической профилактики оспы коз (16).
Наиболее близким предлагаемому изобретению по совокупности существенных признаков является штамм «ОК/А-04» ВОК, репродуцированный в культуре клеток ПО-ВНИИВВиМ с титром инфекционной активности 5,5-6,0 lg ТЦД50/см3 и используемый для изготовления биопрепаратов для диагностики и специфической профилактики оспы коз (16).
Недостатки вышеуказанных штаммов, в том числе и штамма-прототипа, состоят в том, что приготовленные на их основе вакцины обеспечивают эффективную защиту животных только от заражения гомологичным вирусом.
Задача, на решение которой направлено настоящее изобретение, заключается в расширении арсенала штаммов ВОК, обладающих высокой биологической, антигенной и иммуногенной активностью, обеспечивая тем самым получение диагностических и вакцинных препаратов против оспы коз, создающих эффективную защиту коз против гомологичного ВОК.
Указанная задача решена получением штамма «ВНИИЗЖ 2003» (авторское наименование) ВОК, используемого для изготовления биопрепаратов для диагностики и специфической профилактики оспы коз.
Вирусный изолят, послуживший источником для получения штамма «ВНИИЗЖ 2003», был выделен в 2003 г. в Приморском крае РФ от больных оспой коз.
Для получения вируса, обладающего оптимальными биотехнологическими свойствами, использовали различные системы культивирования, в том числе линии клеток: ПО, Ch-91, ПСГК, МДВК, СПЭВ, Vero, ВНК-21 и Магс-145. В процессе адаптации было установлено, что гомологичная система культивирования, перевиваемая линия клеток гонады козы Ch-91, высокочувствительна к ВОК и оказалась оптимальной культурой для выращивания выделенного вируса (17). В результате осуществления 35 последовательных пассажей изолята на культуре клеток Ch-91 был получен аттенуированный штамм «ВНИИЗЖ 2003» ВОК, имеющий стабильные биотехнологические, антигенные и иммуногенные свойства.
В зависимости от дозы заражения и количества пассажей в условиях стационарного культивирования накопление вируса штамма «ВНИИЗЖ 2003» в культуре клеток Ch-91 обеспечивалось на уровне от 6,00 до 7,50 lg ТЦД50/см3.
По сравнению с исходным изолятом штамм «ВНИИЗЖ 2003» ВОК имеет генетические и фенотипические отличия. По результатам сравнительного изучения иммунобиологических характеристик различных штаммов ВОК установлено, что штамм «ВНИИЗЖ 2003» является авирулентным, обладает хорошей антигенной и иммуногенной активностью и защищает от контрольного заражения гомологичным эпизоотическим вирусом. Штамм «ВНИИЗЖ 2003» обладает антигенной активностью в реакции длительного связывания комплемента (РДСК) 1:120-1:160, в реакции диффузионной преципитации (РДП) 1:16-1:32 и в иммуноферментном анализе (ИФА) 1:1000-1:4000.
Преимущество штамма «ВНИИЗЖ 2003» ВОК по сравнению со штаммом-прототипом заключается в стабильно высоком накоплении вируса в культуре клеток Ch-91 и его высокой биологической, антигенной и иммуногенной активности. Экспериментально подтверждена возможность его использования в качестве производственной расплодки для получения антигенного материала при изготовлении биопрепаратов для диагностики и специфической профилактики оспы коз.
Штамм «ВНИИЗЖ 2003» ВОК депонирован 6 июня 2006 г.во Всероссийскую государственную коллекцию штаммов микроорганизмов, используемых в ветеринарии и животноводстве, Федерального государственного учреждения «Всероссийский государственный центр качества и стандартизации лекарственных средств для животных и кормов» (ФГУ «ВГНКИ») под регистрационным номером (ссылкой) – производственный вакцинный штамм «ВНИИЗЖ 2003» – ДЕП ВОК.
Сущность изобретения пояснена на графических материалах, на которых на:
фиг.1 представлено графическое изображение изменения титра вируса ВОК штамма «ВНИИЗЖ 2003» при его пассировании в культуре клеток Ch-91 (доза заражения 0,01-0,05 ТЦД50/кл);
фиг.2 – фотографическое изображение под электронным микроскопом характерной морфологии вируса оспы коз штамма «ВНИИЗЖ 2003» (фото получено д.б.н. А.Л.Пономаревым), увеличение ×76000;
фиг.3 – хроматограмма результатов видовой дифференциации каприпоксвирусов, полученных методом мультиплексной ПЦР с видоспецифическими праймерами, на которой:
1 – отрицательный контроль;
2 – маркер (снизу вверх – 100, 200, 300, 400, 500, 600, 700 п.н. и т.д.);
3 – BOO, вакцинный штамм «ВНИИЗЖ»;
4 – BOO, эпизоотический штамм «Афганский»;
5 – BOO, эпизоотический штамм «Приморский»;
6 – BOO, эпизоотический штамм «ЕАО»;
7 – BOO, эпизоотический штамм «Таджикский»;
8 – ВОК, вакцинный штамм «ВНИИЗЖ 2003»;
9 – ВОК, эпизоотический штамм «Приморский 2003»;
10 – ВОК, эпизоотический штамм «Pellor»;
11-ВБ;
12 – смесь BOO и ВОК;
13 – смесь BOO, ВОК и ВБ;
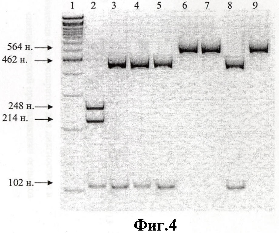
фиг.4 – хроматограмма результатов видовой дифференциации BOO и ВОК, полученных методом рестрикции гена «ankyrin-repeat» белка, на которой:
1 – маркер (снизу вверх – 100, 200, 300, 400, 500, 600, 700 п.н. и т.д.);
2 – BOO, вакцинный штамм «ВНИИЗЖ»;
3 – BOO, эпизоотический штамм «Афганский»;
4 – BOO, эпизоотический штамм «Приморский»;
5 – BOO, эпизоотический штамм «ЕАО»;
6 – ВОК, вакцинный штамм «ВНИИЗЖ 2003»;
7 – ВОК, эпизоотический штамм «Приморский 2003»;
8 – BOO, эпизоотический штамм «Таджикский»;
9 – ВОК, эпизоотический штамм «Реllor.
Штамм “ВНИИЗЖ 2003» ВОК характеризуется следующими признаками и свойствами.
Морфологические признаки
Штамм «ВНИИЗЖ 2003» ВОК относится к роду Capripoxvirus, семейства Poxviridae и обладает морфологическими признаками, характерными для ВОК.
Вирион ВОК состоит из вирусной сердцевины (нуклеоида), овальных латеральных тел и наружной оболочки. Нуклеоид окружен гладкой мембраной толщиной 5 нм. Внутри него находится нуклеопротеин (ДНК, связанная с белком), имеющий S-образную или более сложную форму. Чувствительные к трипсину структуры, называемые боковыми телами, сдавливают нуклеоид, придавая ему форму двояковогнутого диска, имеющего на срезе вид гантели. Нуклеоид и боковые тела окружены наружной оболочкой, состоящей из липидов и трубчатых белковых структур (10×5 нм).
Геном представлен двухцепочечной ДНК. Две цепи ДНК соединены шпилькообразными петлями, в результате чего образуется одна непрерывная, ковалентно связанная полинуклеотидная цепь. Флип-флоп формы ДНК (т.н. «шпильки») образованы инвертированными концевыми повторами: идентичными, но противоположно ориентированными последовательностями ДНК, длина которых варьирует даже в пределах одного рода (4).
Антигенные свойства
По своим антигенным свойствам штамм «ВНИИЗЖ 2003» относится к ВОК.
Вирус стабильно нейтрализуется гомологичной антисывороткой в реакции нейтрализации (РН) на культуре клеток Ch-91, в РДП и в РДСК. Штамм проявляет антигенную активность в РДП 1:16-1:32, в РДСК 1:120-1:160 и в ИФА 1:1000-1:4000.
Испытания вирусвакцины против оспы коз из штамма «ВНИИЗЖ 2003» в лабораторных условиях показали, что иммунизация коз сопровождается образованием вируснейтрализующих антител в крови животных в титре не менее 2,0 log2.
Биотехнологические характеристики
Штамм «ВНИИЗЖ 2003» ВОК проявляет высокую биологическую, антигенную и иммунологическую активность в лиофилизированном виде и в виде культуральной вируссодержащей суспензии. Штамм предназначен для изготовления вакцинных и диагностических препаратов. Вирус штамма «ВНИИЗЖ 2003» репродуцируется в монослойных культурах клеток: первичнотрипсинизированной культуре клеток почки овцы и перевиваемой культуре клеток Ch-91, – и в течение 5-7 суток инкубирования накапливается в титре не менее 5,5 lg ТЦД50/см3. Сохраняет исходные характеристики при пассировании в чувствительных биологических системах в течение 35 пассажей.
Генотаксономическая характеристика
Геном ВОК не обладает инфекционностью и представлен молекулой линейной двухцепочечной ДНК с центральным менее вариабельным участком длиной около 145 kb и более вариабельными концами.
Физические свойства
При электронной микроскопии штамма «ВНИИЗЖ 2003» ВОК были выявлены вирусные частицы, структура и размеры которых характерны для каприпоксвирусов.
Вирионы оспы имеют линейную двухспиральную ДНК длиной 45-60 мкм, молекулярной массой 80-240 МДа. Плавучая плотность ДНК вирусов оспы в хлористом цезии и сахарозе равна 1,676-1,723 г/см3. Важной особенностью ДНК вируса оспы является необычно прочная структура двухспиральной молекулы. Обе нити молекулы ДНК связаны между собой ковалентно.
Устойчивость к внешним факторам
ВОК штамма «ВНИИЗЖ 2003» устойчив к высушиванию, эфиру, не стоек к воздействию высокой температуры, различных химических веществ, например, формалину (0,5-1%), слабым растворам йода (1:10000), соляной, серной кислот (2,5%), спирту, его инфекционная активность сохраняется при рН 6,0-7,4.
Дополнительные признаки и свойства
Иммуногенная активность – иммуногенен в составе живой лиофилизированной вакцины.
Реактогенность – в месте подкожного введения нативного вируса в объеме 5 см3 образуется кожный тяж длиной до 4 см.
Патогенность – при внутримышечном введении животным заболевания не вызывает. При испытании вирусвакцины против оспы коз из штамма «ВНИИЗЖ 2003» на козах было установлено, что она не вызывала ответной местной реакции на подкожное введение в объеме 5 см3 (125 прививных доз), была безвредна и ареактогенна для коз.
Вирулентность – авирулентен для мелких жвачных при контактном, аэрозольном и парентеральном заражении.
Антигенные свойства – вирус индуцирует у коз и овец образование вируснейтрализующих антител.
Стабильность биологических свойств. Сохраняет исходные характеристики при пассировании на культуре клеток гонады козы Ch-91 в течение 35 пассажей. Штамм нереверсибелен в течение 5 пассажей на козах.
Сущность предложенного изобретения пояснена примерами его использования, которые не ограничивают объем изобретения.
Пример 1
Вирусный изолят, послуживший источником для получения штамма «ВНИИЗЖ 2003», был выделен в 2003 г. от больных оспой коз в Приморском крае Российской Федерации. Подготовку материала проводили общепринятым методом.
Биологические и вирусологические методы включали адаптацию вируса, выделенного от больных коз, к культурам первичнотрипсинизированных и перевиваемых линий клеток и его аттенуацию. Для выращивания ВОК были испытаны разные линии культур клеток: ПО, Ch-91, ПСГК, MДBK, СПЭВ, Vero, ВНК-21, Marc-145. В процессе адаптации было установлено, что перевиваемая линия клеток Ch-91 высокочувствительна к ВОК и оказалась оптимальной культурой для получения расплодки штамма для изготовления вирусвакцины против оспы коз и диагностических препаратов.
В дальнейшем для получения расплодки вирусную суспензию вносили на освобожденный от ростовой среды монослой культуры клеток и экспонировали час в термостате при температуре (37±0,5)°С. После этого вносили поддерживающую среду ПСП или Игла с добавлением 1-2% сыворотки крови КРС. Инфицированную культуру инкубировали при (37±0,5)°С до появления ЦПД вируса, которое характеризовалось округлением клеток, скоплением их в виде групп по 10-20 клеток и в дальнейшем тотальной деструкцией монослоя клеток. При поражении площади монослоя не менее 70-80% (округление и появление светопреломляющего эффекта, отслоение от стекла) 3-кратным промораживанием культуральных матрасов производили сбор вируса с последующим отбором проб для исключения микробной контаминации и определения инфекционной активности вируса титрованием в культуре клеток Ch-91.
Выделенный вирус обладал цитопатичеким действием на культуре клеток Ch-91 с первоначальным титром 3,0-4,0 lg ТЦД50/см3. В последующих пассажах на этой же культуре клеток титр вируса повышался в 6-7-м пассажах до 5,0-5,5 lg ТЦД50/см3, в 8-10 -м пассажах до 6,0 lg ТЦД50/см3.
В зависимости от дозы заражения, составлявшей 0,01-1,0 ТЦД50/кл, накопление аттенуированного штамма «ВНИИЗЖ-2003» ВОК в культуре клеток Ch-91 обеспечивалось на уровне 5,33-7,17 lg ТЦД50/см3 за 4-7 суток при 50-90% поражении клеточного монослоя. Оптимальной инфицирующей дозой вируса считали 0,01-0,05 ТЦД50/кл, вызывающей при стационарном культивировании в течение 5-7 суток накопление вируса в титре от 6,67±0,08 до 7,17±0,10 lg ТЦД50/см3 при 80-90% поражении клеточного молослоя. Результаты исследований представлены в таблице 1. Стабильность культуральных свойств лиофилизированного вируса при определении степени его накопления в течение 35 пассажей в культуре клеток Ch-91 при заражающей дозе 0,01-0,05 ТЦД50/кл представлена на фиг.1.
Из данных, представленных на фиг.1, следует, что в процессе пассирования в условиях стационарного культивирования ВОК с дозой заражения 0,01-0,05 ТЦД50/кл его инфекционная активность на уровне 6,00-7,50 lg ТЦД50/см3 отмечалась в течение первых 13 пассажей. При увеличении количества пассажей инфекционная активность вируса постепенно снижалась. Результаты исследования сроков культивирования ВОК в культуре клеток Ch-91 представлены в таблице 2.
Инфекционная активность штамма «ВНИИЗЖ-2003» ВОК при дозе заражения 0,01-0,05 ТЦД50/кл зависела от количества пассажей. На уровне 8-13 пассажей продолжительность культивирования ВОК не превышала 7 дней. За это время достигалось наиболее выраженное (80-90%) ЦПД вируса и его максимальное накопление в культуре клеток Ch-91. В дальнейшем, накопление вируса установлено на более низком уровне и инфекционная активность вируса следующих пассажей характеризовалась меньшими значениями с увеличением продолжительности культивирования.
В результате осуществления 35 последовательных пассажей выделенного ВОК на культуре клеток Ch-91 был получен аттенуированный штамм «ВНИИЗЖ 2003» (авторское наименование), имеющий стабильные биотехнологические, антигенные и иммуногенные свойства, которые позволяют использовать его для получения антигенного материала при изготовлении диагностикумов и вирусвакцины против оспы коз.
В дальнейшем культуру клеток Ch-91 использовали для получения расплодки ВОК при изготовлении вирусвакцины.
Полученный штамм ВОК был испытан в лабораторных, а затем и в эпизоотических условиях. В результате проведенных исследований установлено следующее.
1. Проверку на стерильность осуществляли путем высева проб вируссодержащей жидкости на бактериальные питательные среды МПБ, МПА, МППБ, агар Сабуро (жидкий) и тиогликолевую среду, а также среды Эдварда или Мартена для выявления микоплазм. Бактериальные и грибковые загрязнения штамма «ВНИИЗЖ 2003» ВОК отсутствовали, как и контаминация другими вирусами.
2. При электронной микроскопии штамма «ВНИИЗЖ 2003» ВОК были выявлены вирусные частицы, структура и размеры которых характерны для каприпоксвирусов (фиг.2).
3. Видовая принадлежность штамма «ВНИИЗЖ 2003» к ВОК подтверждена двумя молекулярно-генетическими методами: мультиплексной ПЦР с видоспецифичными праймерами (фиг.3) и рестрикционным анализом фрагмента гена «ankyrin-repeat» белка (фиг.4).
4. Специфичность штамма «ВНИИЗЖ 2003» ВОК была подтверждена в РДП, РДСК и иммуноферментном анализе (ИФА).
Полученный штамм депонирован 6 июня 2006 года во Всероссийской государственной коллекции штаммов микроорганизмов, используемых в ветеринарии и животноводстве, ФГУ «ВГНКИ» под регистрационным номером (ссылкой) – производственный вакцинный штамм «ВНИИЗЖ 2003» – ДЕП ВОК.
Пример 2
В ходе разработки мультиплексной ПЦР для индикации и видовой дифференциации каприпоксвирусов в результате анализа полных нуклеотидных последовательностей генома каприпоксвирусов, представленных в базе данных GenBank, были установлены видоспецифичные участки для BOO, ВОК и ВБ. На основе этих данных были сконструированы видоспецифичные праймеры S1 и S2 – для BOO, G1 и G2 – для ВОК, L1 и L2 – для ВБ. Видоспецифичные праймеры были рассчитаны таким образом, чтобы синтезируемые с их участием ампликоны имели разную длину: 415 п.н. для ВОК, 311 п.н. для BOO и 254 п.н. для ВБ. Это позволило использовать все три пары праймеров в одной реакции и различать продукты мПЦР по размеру с помощью электрофореза в агарозном геле.
В ходе видовой дифференциации каприпоксвирусов было исследовано 11 проб вируссодержащих клеточных культур с вакцинным штаммом «ВНИИЗЖ» и с эпизоотическими штаммами «Афганский», «Приморский», «ЕАО» BOO, с вакцинным штаммом «ВНИИЗЖ 2003» и с эпизоотическими штаммами «Приморский 2003», «Реllог» ВОК, с ВБ, а также с изолятами «ЕАО» и «Таджикский» в виде суспензии кожи больных животных.
На фиг.3 отражены результаты ПЦР с видоспецифичными праймерами. В пробах, содержащих ДНК штамма «ВНИИЗЖ 2003», синтезировался фрагмент длиной 415 п.н., в амплификации которого участвуют видоспецифичные для ВОК праймеры.
С помощью метода рестрикционного анализа можно также дифференцировать BOO и ВОК и определять штаммовую принадлежность BOO. С использованием родоспецифических праймеров проводится амплификация участка гена «ankyrin-repeat» белка длиной 564 п.н. Затем проводится обработка амплификонов рестриктазой Dra I. В пределах амплифицируемого фрагмента генома у эпизоотических изолятов BOO расположен один сайт рестрикции Dra I, у вакцинных штаммов BOO – два сайта, у ВОК – таких сайтов нет. Анализ продуктов рестрикции в агарозном или полиакриламидном геле позволяет легко отличать BOO от ВОК и вакцинные штаммы BOO от эпизоотических изолятов по характерному набору фрагментов ДНК.
При проведении данного метода у вакцинного штамма «ВНИИЗЖ» BOO ампликон в результате обработки рестриктазой Dra I расщеплялся на три фрагмента, у всех эпизоотических изолятов BOO – на два фрагмента, а у вакцинного штамма «ВНИИЗЖ 2003» и двух эпизоотических изолятов ВОК расщепления ампликона не происходило (фиг.4).
Таким образом, при обработке эндонуклеазой Dra I фрагмента гена «akrylin-repeat» белка штамма «ВНИИЗЖ 2003» расщепления ДНК не наблюдалось, что указывает на принадлежность штамма к ВОК.
Дополнительно специфичность штамма «ВНИИЗЖ 2003» вируса оспы коз была подтверждена и серологическими методами в РДП и РДСК. РДП и РДСК были положительными только между специфическим вирусом с гомологичной сывороткой (табл.3, табл.4).
Пример 3
Технологический процесс изготовления вирусвакцины против оспы коз включает два этапа: получение посевного ВОК и изготовление производственной серии вирусвакцины.
Для получения посевного вируса используют культуру клеток Ch-91 с хорошо сформировавшимся монослоем 2-3-суточного возраста в клинских матрасах и суспензию лиофилизированного или нативного ВОК штамма «ВНИИЗЖ 2003» с инфекционным титром от 5,0 до 6,0 lg ТЦД50/см3. Средняя инфицирующая доза вируса 0,1 ТЦД50/кл. Внесенную вирусную суспензию экспонируют на предварительно отмытый от остатков ростовой среды раствором Хенкса монослой в термостате в течение часа при (37±0,5)°С, затем в необходимом объеме вносят поддерживающую питательную среду ПСП. Культивирование вируса проводят в течение 12 суток при указанной температуре.
При поражении вирусом площади монослоя не менее 80% (округление и появление светопреломляющего эффекта) проводят сбор вируса. Для этого содержимое клинских матрасов замораживают при температуре минус 40°С и проводят оттаивание при комнатной температуре, энергично встряхивая.
Для получения одного миллиона доз вирусвакцины необходимо сорок литров вируссодержащей суспензии.
Вирусвакцину против оспы коз получают путем смешивания полученного материала из штамма «ВНИИЗЖ 2003» ВОК, репродуцированного в культуре клеток Ch-91 с инфекционной активностью не менее 5,5 lg ТЦД50/см3, и стабилизатора в соотношении, мас.%: 80:20÷90:10. В качестве стабилизатора используют растворы сахарозы, желатозы и гидролизата лактальбумина.
Полученную вирусвакцину фасуют в ампулы по 2,0 см3 или во флаконы по 2,0 см3 или по 4,0 см3, замораживают при температуре минус 50°С и подвергают лиофильному высушиванию. После сублимации флаконы (ампулы) заполняют сухим стерильным воздухом или инертным газом, закрывают резиновыми пробками и закатывают металлическими колпачками, ампулы запаивают.
Вирусвакцина против оспы коз культуральная сухая, расфасованная во флаконы или ампулы, представляет собой однородную пористую массу цилиндрической формы светло-желтого цвета, растворяющуюся в течение 1-1,5 минут в физрастворе. В одной ампуле содержится 2,0 см3, а во флаконе – 2,0 см3 или 4,0 см3 сухой вирусвакцины, содержащей соответственно в ампуле 50 и во флаконе 50 или 100 прививных доз препарата для коз.
Полученный препарат подвергают контролю на стерильность, специфичность и иммунобиологическую активность в соответствии с показателями, установленными стандартом организации-изготовителя.
Пример 4
Инфекционную активность штамма «ВНИИЗЖ 2003» ВОК в вирусвакцине после лиофилизации определяют титрованием десятикратных разведений вирусной суспензии в культуре клеток Ch-91 во флаконах. Учет результатов проводят в течение 12 суток по наличию ЦПД. Результаты титрования 2-х серий вирусвакцины представлены в таблице 5.
Титр вируса в вакцине определен в значениях от 5,11+0,09 до 5,41±0,15 lg ТЦД50/см3. При хранении в течение 1,0-1,5 лет титр вируса снижался не более чем на 0,5 lg ТЦД50/см3.
Однако следует отметить, что хранение вакцины в течение 2-3 недель при комнатной температуре снижало инфекционную активность ВОК на 1,0-1,5 lg ТЦД50/см3. Поэтому транспортировка вирусвакцины против оспы коз должна осуществляться при низких температурах.
Пример 5
Для определения безвредности и реактогенности вирусвакцину против оспы коз из штамма «ВНИИЗЖ 2003» вводили козам по 5,0 см3 в исходном разведении (125 прививных доз) подкожно в область бесшерстного участка внутренней поверхности передней конечности. За животными вели наблюдение в течение 21 суток.
При исследовании вакцины на безвредность и реактогенность в единичных случаях у животных на месте введения вакцины в исходном разведении установлено образование на 4-6 сутки воспалительного отека в виде небольшого тяжа размером от 1 до 3 см, который исчезал на 3-14 сутки после появления и никак не отражался на клиническом состоянии животных. На протяжении всего срока наблюдения (21 сутки) температура тела коз оставалась в пределах физиологической нормы. Это позволило заключить, что вирусвакцина против оспы коз из аттенуированного штамма «ВНИИЗЖ 2003» ВОК является безвредным и нереактогенным препаратом.
Пример 6
Антигенную активность вирусвакцины против оспы коз из штамма «ВНИИЗЖ 2003» серии 1 и 2 определяли на 7, 14 и 21-е сутки после иммунизации коз различными разведениями препарата. От животных в указанные сроки отбирали пробы крови с целью получения сыворотки крови, которую исследовали в реакции нейтрализации (РН) в культуре клеток Ch-91 на наличие вируснейтрализующих антител (ВНА) с постоянной дозой ВОК 100 ТЦД50/см3 и последовательными двукратными разведениями сыворотки от 1:2 до 1:32. Учет результатов проводили в течение 12 суток со сменой поддерживающей среды через 3-4 суток. Титр антител определяли по методу Рида и Менча и выражали в логарифмах с основанием 2 (log2).
Уровень антител в крови иммунизированных животных зависел от дозы введенной вакцины и сроков после вакцинации (таблицы 6 и 7). Так, титр ВНА после введения вакцины серии 1 в объеме 5 см3 в исходном разведении, составлявшем 125 прививных доз, на 7-е сутки был 2,34±0,46 log2, на 14-е сутки -2,53±0,19 log2 и на 21-е сутки – 3,00±0,50 log2, в одной прививной дозе – 1,50±0,31, 2,02±0,30 и 2,50±0,12 log2 соответственно. Во всех случаях наличие максимального уровня антител установлено на 21-е сутки после иммунизации животных. После иммунизации в дозе 0,00001 ПВД (разведение вакцины 1:100000) в крови животных выявлено по сравнению с другими разведениями наличие невысокого титра антител, который соответствовал на 21-е сутки 1,20±0,15 log2.
После введения вакцины серии 2 на 7-е сутки титры антител в крови коз, привитых в дозах от 102 до 104 ТЦД50 и в цельном виде, находились в пределах от 1,08±0,11 до 1,63±0,20 log2; в дозах 10 и 1 ТЦД50 от 0,20±0,18 до 0,63±0,32 log2 соответственно. На 14-е сутки активность сывороток крови коз, привитых в указанных дозах, составляла от 0,75±0,35 до 1,96±0,19 log2. На 21-е сутки после иммунизации коз вакциной в цельном виде титр антител в крови животных достигал 2,33±0,9, в разведении 1:25 – 2,54±0,22; 1:100 – 1,83±0,24; 1:1000 – 1,75±0,12; 1:10000 – 1,36±0,13 и 1:100000 – 1,13±0,18 log2.
Пример 7
Иммуногенную активность вирусвакцины против оспы коз из штамма «ВНИИЗЖ 2003» проверяли методом контрольного заражения. На 21-е сутки после иммунизации животным, привитым различными разведениями препарата серии 1 и серии 2, а также контрольным козам вводили внутрикожно в область подхвостовой складки вирулентный штамм «Приморский 2003» ВОК в дозе 1000 ИД50/см3. После заражения животных наблюдали 14 суток с ежедневной термометрией и осмотром.
В период иммунизации и после контрольного заражения температура тела коз, иммунизированных различными дозами вирусвакцины против оспы коз, оставалась на уровне физиологической нормы. Контрольно зараженные животные заболевали оспой в генерализованной форме и погибали на 8-10 день после заражения.
Результаты исследования иммунологической активности вирусвакцины против оспы коз из штамма «ВНИИЗЖ 2003» представлены в таблицах 6 и 7.
Несмотря на различную специфическую активность сыворотки крови животных, привитых различными дозами вирусвакцины (от 104 до 1 ТЦД50), все козы были предохранены от заболевания оспой при экспериментальном заражении вирулентным штаммом «Приморский 2003» ВОК в летальной дозе (1000 ИД50/0,5 см3).
Таким образом, получены данные, свидетельствующие о невосприимчивости к заболеванию животных, привитых вирусвакциной против оспы коз из штамма «ВНИИЗЖ 2003».
Пример 8
При проведении нескольких пассажей (до 8-13) в культуре клеток Ch-91 штамм «ВНИИЗЖ 2003» ВОК не снижал своей биологической и иммуногенной активности, а при введении козам не вызывал заболевания и создавал напряженный иммунитет, т.е. был безвредным и ареактогенным.
Пример 9
Проведены испытания эффективности вирусвакцины против оспы коз культуральной сухой (серия 3) из штамма «ВНИИЗЖ 2003», полученной так, как описано в примере 3, в угрожаемых хозяйствах ряда районов Республики Таджикистан в связи с возникновением оспы коз.
Всего вирусвакциной против оспы коз иммунизировано 5000 коз. Коз иммунизировали в соответствии с Инструкцией по применению препарата. После применения вакцины клинических осложнений у животных не отмечали. Вакцинация коз в угрожаемых по оспе хозяйствах обеспечила образование активного иммунитета у животных и их полную защиту от заболевания оспой. Случаев прорыва иммунитета после иммунизации животных не было отмечено.
Для определения уровня поствакцинального иммунитета от 10 животных по каждой из групп животных перед иммунизацией, а также на 10, 20 и 30 дни после вакцинации были отобраны сыворотки крови, которые направлены в ФГУ «ВНИИЗЖ».
Было установлено, что вирусвакцина против оспы коз из штамма «ВНИИЗЖ 2003», примененная в угрожаемых по оспе хозяйствах Республики Таджикистан, обладала высокой иммунобиологической активностью, безвредна для животных и предохраняла привитых животных от заболевания оспой.
Пример 10
Штамм «ВНИИЗЖ 2003» используют для получения высокоактивной гипериммунной сыворотки крови, предназначенной для обнаружения вирусспецифического антигена в пробах патологического материала от больных оспой коз и павших животных, а также в инфицированных культурах клеток.
Гипериммунную сыворотку получают путем подкожного введения козам вирусвакцины против оспы коз из штамма «ВНИИЗЖ 2003» в разведении 1:25. Через 14 дней вакцинированных коз заражают вирулентным ВОК штамма «Приморский 2003» путем введения суспензии внутрикожно в область внутренней поверхности хвоста по 500 ИД50/0,5 см3. Через 30 дней проводят цикл трехкратной гипериммунизации антигеном, приготовленным из штамма «Приморский 2003» ВОК.
Пробы крови у коз отбирают через 7 дней после каждой иммунизации. Динамику накопления антител в крови иммунизированных животных определяют в РДСК и РДП. Реакцию ставят с антигеном ВОК. При установлении в сыворотках титра антител в РДСК не менее 1:80, а в РДП не менее 1:8 животных обескровливают. Полученную сыворотку разливают в ампулы по 1 см3, замораживают при -40°С и лиофильно высушивают.
Результаты исследования специфической активности сывороток крови коз в процессе гипериммунизации приведены в таблице 8.
Данные таблицы 8 свидетельствуют о том, что после вакцинации титр ВНА составил 2,76±0,48 log2. В дальнейшем наблюдали увеличение специфической активности сыворотки крови коз. После заражения эпизоотическим вирусом у отдельных ранее вакцинированных коз активность сывороток в РДП была в разведении 1:2, в РДСК выявляли титры в разведениях 1:10-1:20, а титр ВНА увеличился до 3,77±0,22 log2.
После первого введения антигена титры преципитирующих антител выявляли в разведениях до 1:16, у некоторых коз титры комплементсвязывающих антител были в пределах разведений от 1:10 до 1:30, в РН титр антител достигал 5,55±0,35 log2.
После второй гипериммунизации титры преципитирующих антител составили 1:4-1:16, комплементсвязывающих – 1:60-1:120, вируснейтрализующих – 6,23±0,33 log2. Титры антител в сыворотках коз после третьей гипериммунизации увеличились до 1:16-1:32, 1:120-1:240 и 6,55±0,33 log2 соответственно.
При гипериммунизации животных-реконвалесценитов также отмечено значительное увеличение специфической активности сыворотки крови. Титр антител в РДП и РДСК у больных животных достигал значений 1:8-1:32 и 1:80-1:120 соответственно, в РН 4,73±0,5 log2. После проведения трехкратного цикла гипериммунизации титры антител в РДП и РДСК у этих животных оставались примерно на том же уровне, а в РН они возросли и составляли после третьей инъекции 6,73±0,25 log2.
Результаты проведенных исследований показали, что сыворотку крови с высокой активностью можно получать при гипериммунизации вакцинированных и переболевших коз культуральным концентрированным антигеном оспы коз, приготовленным на перевиваемой культуре клеток Ch-91.
Пример 11
Получение гипериммунной сыворотки на кроликах проводят заражением кроликов методом введения суспензии вируса оспы коз штамм «Приморский 2003» внутрикожно в 5-6 точек, в области паха в объеме 0,5 см3 на каждое животное. Через 21 день кроликов подвергают гипериммунизации концентрированным очищенным антигеном. Для этого вируссодержащую суспензию вакцинного штамма «ВНИИЗЖ 2003» вируса оспы коз, полученную на перевиваемой культуре клеток Ch-91, с титром 5,5±0,25 lg ТЦД50/см3, освобождают от клеток центрифугированием при 3000 об/мин в течение 10 мин. Затем вирус осаждают ПЭГ – 6000 в течение двух часов при температуре 4±2°C с последующим центрифугированием при 3000 об/мин 30 минут, надосадок удаляют, а осадок ресуспендируют в 40 см3 0,01 М фосфатно-буферного раствора (ФБР) и центрифугируют при 3000 об/мин 30 мин. Надосадок сливают, получают первый элюат, осадок снова ресуспендируют и повторяют процедуру трижды для получения четырех элюатов. Каждый элюат центрифугируют через слой 20% сахарозы при 12000 об/мин в течение 40 мин. После центрифугирования осадок ресуспендируют в 2 см3 ФБР. Чистоту” полученного вирусного препарата контролируют под электронным микроскопом (JEM-100В), используя негативное контрастирование 4% раствором фосфатно-вольфрамовой кислоты, рН 6,8. Для иммунизации кроликов используют 2-й или 3-й элюат.
Антиген смешивают с равным количеством (1:1) неполного адъюванта Фрейнда и вводят кроликам в подушечки лап одной задней конечности из расчета по 0,5 см3 на каждое животное. Через 7 и 14 дней проводят вторую и третью иммунизацию кроликов аналогичным способом в другую конечность.
Через 7 дней после 3-й иммунизации кроликов тотально обескровливают и получают сыворотку крови. Сыворотки крови фасуют в ампулы по 1,0 см3, лиофильно высушивают и исследуют в РДСК и РДП. Активность гипериммунных сывороток крови коз и кроликов в РДСК была 1:80-1:160 и в РДП 1:8-1:32.
Полученные сыворотки использовали для выявления специфического антигена вируса оспы коз в органах и тканях больных и павших животных, а также для определения активности культуральных антигенов оспы коз в РДСК, РДП и ИФА. Было исследовано 105 проб материала. Результаты исследований приведены в табл.9.
Данные таблицы 9 свидетельствуют о том, что наиболее высокая активность концентрированного культурального антигена в РДСК отмечена в разведениях 1:80-1:320, в РДП 1:8-1:64, а в пробах патматериала из кожи и органов павших животных титры были в пределах 1:10-1:240, в РДП 1:2-1:64 соответственно.
Пример 12
Антиген из ВОК штамма «ВНИИЗЖ 2003» для проведения иммунохимических реакций (РДП, РДСК, РН, ИФА) получают так, как описано в примере 11.
Полученный антиген используют в иммунохимических реакциях для диагностики оспы коз и изучения гуморального поствакцинального иммунитета у коз, а также изучения родства между BOO, ВОК и оспы других видов животных, а также нодулярного дерматита КРС (бугорчатки).
Результаты его испытаний приведены в таблице 9.
Источники информации
2. – P.503-511.
4. Классификация и номенклатура вирусов позвоночных, 2002.
9. – P.955-957.
2. – P.200-203.
1. – P.1-5.
5. – P.369-370.
2. – P.111-116.
th edn. – Paris: World organization for animal health, 2000. – P.168-177.
12. – P.6054-6061.
17. Пат. РФ N2061753; С12 5/06, 7/00; 02.08.1994 г.
| Таблица 1 |
| Влияние дозы заражения на репродукцию вируса оспы коз штамма «ВНИИЗЖ 2003» в культуре клеток гонады козы Ch-91 |
| Доза (ТЦД50/кл) |
Период культивирования (сут) |
Площадь поражения монослоя клеток (%) |
Титр вируса (lg TЦД50/см3) |
| 0,01 |
6-7 |
80-90 |
7,17±0,10 |
| 0,05 |
5-6 |
80-90 |
6,67±0,08 |
| 0,1 |
5-6 |
60-70 |
6,17±0,72 |
| 1 |
4-5 |
50-60 |
5,33±0,17 |
| Таблица 2 |
| Биологическая активность штамма «ВНИИЗЖ 2003» ВОК в культуре клеток Ch-91 в зависимости от количества пассажей и сроков культивирования в стационарных условиях |
пассажа |
Титр вируса (lg ТЦД50/см3) при дозе заражения 0,01-0,05 ТЦД50/кл. |
| Дни культивирования |
| 1 |
2 |
4 |
5 |
6 |
8 |
| 8 |
2,50±0,25 |
3,25±0,23 |
4,75±0,25 |
5,25±0,13 |
6,75±0,16 |
6,33±0,23 |
| 9 |
3,00±0,11 |
4,00±0,22 |
5,50±0,25 |
6,00±0,28 |
6,66±0,15 |
6,25±0,61 |
| 10 |
2,33±0,13 |
2,59±0,18 |
3,50±0,40 |
5,55±0,34 |
6,55±0,25 |
6,00±0,23 |
| 13 |
2,00±0,31 |
2,33±0,13 |
3,75±0,41 |
4,25±0,28 |
6,00±0,31 |
5,50±0,25 |
| 14 |
1,50±0,31 |
2,03±0,28 |
3,03±0,30 |
4,25±0,43 |
5,33±0,14 |
5,77±0,20 |
| 19 |
1,00±0,12 |
1,51±0,35 |
2,50±0,24 |
3,51±0,45 |
4,50±0,26 |
5,00±0,25 |
| Таблица 3 |
| Постановка РДСК для дифференциации BOO и ВОК |
| Сыворотки |
Ag S оспы коз |
Ag S оспы овец |
Ag N |
б/Ag |
| 30 |
40 |
60 |
80 |
120 |
160 |
240 |
320 |
10 |
20 |
30 |
40 |
60 |
20 |
30 |
40 |
SS к вирусу оспы коз неинактивирован ная |
30 |
4 |
4 |
4 |
4 |
4 |
4 |
4 |
4 |
4 |
3 |
2 |
1 |
1 |
1 |
1 |
– |
– |
| 40 |
4 |
4 |
4 |
4 |
4 |
4 |
4 |
3 |
4 |
2 |
1 |
– |
– |
1 |
– |
– |
– |
| 50 |
4 |
4 |
4 |
4 |
4 |
4 |
3 |
3 |
3 |
2 |
1 |
– |
– |
– |
– |
– |
– |
| 60 |
4 |
4 |
4 |
4 |
4 |
4 |
3 |
2 |
3 |
1 |
1 |
– |
– |
– |
– |
– |
– |
| 80 |
4 |
4 |
4 |
4 |
4 |
3 |
3 |
1 |
3 |
1 |
– |
– |
– |
– |
– |
– |
– |
| 100 |
4 |
4 |
4 |
4 |
4 |
3 |
1 |
1 |
2 |
– |
– |
– |
– |
– |
– |
– |
– |
| 120 |
4 |
4 |
4 |
4 |
3 |
2 |
1 |
– |
2 |
– |
– |
– |
– |
– |
– |
– |
– |
| 160 |
3 |
3 |
3 |
3 |
2 |
1 |
– |
– |
1 |
– |
– |
– |
– |
– |
– |
– |
– |
| SS к вирусу оспы овец инактивир. |
10 |
4 |
3 |
3 |
2 |
1 |
– |
– |
– |
4 |
4 |
4 |
4 |
– |
– |
– |
– |
– |
| 20 |
2 |
2 |
2 |
2 |
– |
– |
– |
– |
4 |
4 |
3 |
3 |
– |
– |
– |
– |
– |
| 30 |
2 |
2 |
1 |
1 |
– |
– |
– |
– |
4 |
4 |
3 |
3 |
– |
– |
– |
– |
– |
| 40 |
2 |
2 |
1 |
1 |
– |
– |
– |
– |
4 |
3 |
1 |
1 |
– |
– |
– |
– |
– |
| 60 |
2 |
2 |
1 |
1 |
– |
– |
– |
– |
3 |
1 |
1 |
– |
– |
– |
– |
– |
– |
| SN коз н/инакт. |
30 |
2 |
2 |
1 |
– |
– |
– |
– |
– |
4 |
2 |
– |
– |
– |
– |
– |
– |
– |
| 40 |
– |
– |
– |
– |
– |
– |
– |
– |
4 |
2 |
– |
– |
– |
– |
– |
– |
– |
| 60 |
– |
– |
– |
– |
– |
– |
– |
– |
2 |
– |
– |
– |
– |
– |
– |
– |
– |
| SN овец |
20 |
– |
– |
– |
– |
– |
– |
– |
– |
– |
– |
– |
– |
– |
– |
– |
– |
– |
| б/сыв. |
– |
– |
– |
– |
– |
– |
– |
– |
– |
– |
– |
– |
– |
– |
– |
– |
– |
– |
| SS – сыворотка специфическая |
AgS – антиген специфический |
| SN – сыворотка нормальная |
– |
| 1 – задержка гемолиза на + (25%) |
3 – задержка гемолиза на +++ (75%) |
| 2 – зажержка гемолиза на ++ (50%) |
4 – задержка гемолиза на ++++ (100%) |
Таблица 4 Дифференцирование вирусов оспы овец и оспы коз в РДСК |
| Наименование материала |
Активность в РДСК |
| SS BOK |
SS BOO |
| органо-тканевая суспензия ВОК, штамм «ВНИИЗЖ 2003» |
1:30-1:240 |
– |
| концентрированный антиген ВОК |
1:60-1:320 |
– |
| органо-тканевая суспензия BOO, штамм «ВНИИЗЖ» |
не специф. |
1:40 |
| концентрированный антиген BOO |
не специф. |
1:40 |
| Таблица 5 |
| Биологическая активность вирусвакцины против оспы коз из штамма «ВНИИЗЖ 2003» |
серии |
Повторность |
Разведение вакцины |
Титр, ТЦД50/см3 |
Средний титр, ТЦД50/см3 |
| 10-4 |
10-5 |
10-6 |
10-7 |
| Серия 1 |
1 |
+++ |
++ |
— |
— |
5,0 |
5,11±0,09 |
| ++ |
— |
— |
— |
| 2 |
++ |
++ |
— |
— |
5,17 |
| +- |
+- |
— |
— |
| 3 |
++ |
++ |
++ |
— |
5,17 |
| +- |
+- |
+- |
— |
| Серия 2 |
1 |
++ |
++ |
+- |
— |
5,23 |
5,41±0,15 |
| ++ |
— |
— |
— |
| 2 |
++ |
++ |
+- |
— |
5,50 |
| ++ |
+- |
— |
— |
| 3 |
++ |
++ |
+- |
— |
5,50 |
| ++ |
+- |
— |
— |
| Таблица 6 |
| Антигенная и иммуногенная активность вирусвакцины против оспы коз культуральной сухой из штамма «ВНИИЗЖ 2003» серии 1 |
п/п |
Разведение вакцины и доза |
Количество животных |
Титр ВНА, log2 |
Результат заражения |
| до вакцинации |
через 7 сут |
через 14 сут |
через 21 сут |
| 1 |
Цельная, 5 см3 |
2 |
– |
1,42±0,59 |
1,92±0,59 |
2,33±0,95 |
2/0 |
| 2 |
1:25 (104 ТЦД50) |
7 |
– |
1,63±0,20 |
1,96±0,19 |
2,54±0,22 |
7/0 |
| 3 |
1:100 (103 ТЦД50) |
3 |
– |
1,22±0,42 |
1,53±0,22 |
1,83±0,24 |
3/0 |
| 4 |
1:1000 (102 ТЦД50) |
2 |
– |
1,08±0,11 |
1,42±0,14 |
1,75±0,12 |
2/0 |
| 5 |
1:10000 (10 ТЦД50) |
4 |
– |
0,63±0,32 |
1,08±0,24 |
1,36±0,13 |
4/0 |
| 6 |
1:100000 (1 ТЦД50) |
2 |
– |
0,20±0,18 |
0,75±0,35 |
1,13±0,18 |
2/0 |
| 7 |
Контроль |
10 |
– |
– |
– |
– |
10/10 |
| Примечание: «-» – сыворотка не активна; |
| в графе «результат заражения»: в числителе – количество животных в опыте, в знаменателе – количество заболевших животных. |
| Таблица 7 |
| Антигенная и иммуногенная активность варусвакцины против оспы коз культуральной сухой из штамма «ВНИИЗЖ 2003» серии 2 |
п/п |
Разведение вакцины и доза |
Количество животных |
Титр ВНА, log2 |
Результат заражения |
| через 7 сут |
через 14 сут |
через 21 сут |
| 1 |
Цельная, 5 см3 |
4 |
2,34±0,46 |
2,53+0,19 |
3,00+0,50 |
4/0 |
| 2 |
1:25 (104ТЦД50) |
7 |
1,50±0,31 |
2,02+0,30 |
2,50+0,12 |
7/0 |
| 3 |
1:100 (103ТЦЦ50) |
3 |
1,18+0,42 |
1,52+0,15 |
1,97+0,15 |
3/0 |
| 4 |
1:1000 (102ТЦД50) |
2 |
1,12+0,23 |
1,41+0,20 |
1,75+0,12 |
3/0 |
| 5 |
1:10000 (10 ТЦД50) |
3 |
0,56+0,10 |
0,94+0,36 |
1,45+0,27 |
3/0 |
| 6 |
1:100000 (1 ТЦД50) |
2 |
0,26+0,12 |
0,79+0,15 |
1,20+0,15 |
2/0 |
| 7 |
Контроль |
2 |
– |
– |
– |
2/2 |
| Примечание: «-» – сыворотка не активна; |
| в графе «результат заражения»: в числителе – количество животных в опыте, в знаменателе – количество заболевших животных |
Таблица 8 Специфическая активность сывороток крови коз в процессе гипериммунизации |
| Животные |
Кратность иммунизации после |
Активность сывороток в |
| характеристика |
кол-во в группе |
 |
РДП |
РДСК |
РН (logO |
| вакцинированные |
10 |
вакцинации |
н/а |
н/а |
2,76+0,48 |
 |
 |
заражения |
Ц- 1:2 |
1:10-1:20 |
3,77±0,22 |
 |
 |
1-й иммуниз. |
Ц- 1:16 |
1:10-1:30 |
5,55+0,35 |
 |
 |
2-й иммуниз. |
1:4-1:16 |
1:60-1:80 |
6,23+0,33 |
 |
 |
3-й иммуниз. |
1:16-1:32 |
1:120-1:160 |
6,55+0,33 |
| реконвалесценты |
3 |
заражения |
1:8-1:32 |
1:80- 1:120 |
4,73+0,5 |
 |
 |
1-й иммуниз. |
1:8-1:32 |
1:80-1:120 |
5,73+0,5 |
 |
 |
2-й иммуниз. |
1:8-1:32 |
1:80- 1:120 |
6,11+0,2 |
 |
 |
3-й иммуниз. |
1:16-1:32 |
1:120-1:160 |
6,73+0,25 |
| Примечание: Ц – активность сыворотки в неразведенном виде, н/а- не активна |
| Таблица 9 |
| Результаты исследований патматериала на наличие ВОК |
| Наименование |
Количество |
Активность антигена в |
| материала |
проб |
РДСК |
РДП |
| Кожа |
30 |
1:30-1:240 |
1:2-1:64 |
| Легкие |
5 |
1:10-1:30 |
1:2-1:4 |
| Почки |
5 |
1:10-1:30 |
1:2-1:4 |
| Концентрированный культуральный антиген |
65 |
1:80-1:320 |
1:8-1:64 |
| Примечание: в графе «наименование материала» исследована суспензия органов коз. |
Формула изобретения
1. Штамм вируса оспы коз Variola virus caprinum сем. Poxviridae, подсем. Chordopoxvirinae, рода Capripoxvirus, депонированный в коллекции ФГУ «ВГНКИ» под регистрационным номером (ссылкой) «ВНИИЗЖ 2003»-ДЕП, для изготовления биопрепаратов для диагностики и специфической профилактики оспы коз, характеризующийся тем, что он является аттенуированным и авирулентным для коз, получен в течение последовательного пассирования в культуре клеток гомологичного происхождения и обладает высокой инфекционной, антигенной и иммуногенной активностью.
2. Штамм по п.1, характеризующийся тем, что он получен в течение 35 последовательных пассажей в культуре клеток гонады козы Ch-91 с инфекционной активностью не менее 5,5 lg ТЦД50/см3.
3. Штамм по п.1, характеризующийся тем, что он обладает антигенной активностью в реакции длительного связывания комплемента 1:120-1:160, в реакции диффузионной преципитации 1:16-1:32 и в иммуноферментном анализе 1:1000-1:4000.
РИСУНКИ
|
|