Патент на изобретение №2389442

Published by on




РОССИЙСКАЯ ФЕДЕРАЦИЯ



ФЕДЕРАЛЬНАЯ СЛУЖБА
ПО ИНТЕЛЛЕКТУАЛЬНОЙ СОБСТВЕННОСТИ,
ПАТЕНТАМ И ТОВАРНЫМ ЗНАКАМ
(19) RU (11) 2389442 (13) C1
(51) МПК

A61B17/56 (2006.01)
A61K35/28 (2006.01)

(12) ОПИСАНИЕ ИЗОБРЕТЕНИЯ К ПАТЕНТУ

Статус: по данным на 09.08.2010 – действует

(21), (22) Заявка: 2008139999/14, 08.10.2008

(24) Дата начала отсчета срока действия патента:

08.10.2008

(46) Опубликовано: 20.05.2010

(56) Список документов, цитированных в отчете о
поиске:

Адрес для переписки:

630099, г.Новосибирск, ул. Ядринцевская, 14, Учреждение Российской академии медицинских наук Научно-исследовательский институт клинической иммунологии СО РАМН

(72) Автор(ы):

Ахметжан Ануар Дулатулы (RU),
Белогородцев Сергей Николаевич (RU),
Селедцова Галина Викторовна (RU),
Колосов Николай Григорьевич (RU),
Рыбин Виктор Васильевич (RU),
Шивцова Оксана Андреевна (RU)

(73) Патентообладатель(и):

Учреждение Российской академии медицинских наук Научно-исследовательский институт клинической иммунологии СО РАМН (RU)

(54) СПОСОБ ЛЕЧЕНИЯ ХРОНИЧЕСКОГО ОСТЕОМИЕЛИТА С ДЕФЕКТОМ КОСТИ

(57) Реферат:

Изобретение относится к травматологии и ортопедии и может быть применимо для лечения хронического остеомиелита длинных трубчатых костей с дефектом кости. Берут у пациента костный мозг. Выделяют мононуклеарные клетки костного мозга. После культивирования в течение 3-5 суток первый имплантат, представляющий суспензию неприлипающей фракции мононуклеарных клеток костного мозга в

количестве 300-500×106 клеток вводят в мягкие ткани в области очага. Далее прилипающую фракцию культивируют в течение 3-4 недель и второй имплантат, являющийся суспензией мезенхимальных стромальных клеток костного мозга в количестве 10-15×106 клеток вводят непосредственно в остеомиелитический очаг. Способ позволяет ускорить неоостеогенез. 2 ил.

Изобретение относится к медицине, травматологии, конкретно к способам стимуляции остеогенеза на фоне хронического воспалительного процесса.

Известен способ лечения хронического остеомиелита длинных трубчатых костей с нарушением остеорегенерации, в котором предлагается проводить трехкратную трансплантацию в область остеомиелитического очага аутологичных стромальных стволовых клеток [3]. Стромальные стволовые клетки получают из аспирата костного мозга путем культивирования с удалением неприлипающей фракции. После наращивания необходимого количества клеток, их индуцируют в остеогенном направлении путем дополнительного культивирования в остеогенной среде в течение 21 суток [3, 4]. Полученные клетки в количестве 30-50×106 вводят в остеомиелитический очаг трехкратно с интервалом в 1 неделю.

Данный способ имеет ряд недостатков.

Полученные указанным способом стромальные стволовые клетки обладают только остеогенным свойством, в то время как при дефекте кости на фоне хронического остеомиелита нарушена также регенерация мягких тканей и ангиогенез [1]. Длительное культивирование клеток in vitro может приводить к нежелательным изменениям генотипа, в том числе к онкогенным мутациям [2]. Кроме того, длительная культивация требует значительным материальных затрат, временной промежуток между забором костного мозга и трансплантацией клеток порядка 2-х месяцев обременителен для больного. Трехкратное введение клеток в очаг повышает инвазивность лечения и увеличивает риск рецидива инфекционного процесса.

Задачей настоящего изобретения является оптимизация репаративных процессов в области остеомиелитического очага за счет формирования органотипического регенерата, стимуляции ангио- и васкулогенеза, снижение травматичности за счет применения щадящих технологий, сокращение сроков лечения и периода реабилитации.

Поставленная задача решается за счет того, что на фоне проведения традиционного комплексного лечения после купирования острого инфекционного процесса, в область остеомиелитического очага двукратно имплантируют аутологичные клетки, полученные из аспирата костного мозга. Первый имплантат представляет собой суспензию неприлипающей фракции мононуклеарных клеток костного мозга в количестве 300-500×106 клеток, культивированных в течение 3-5 суток и обладающих ангиогенными свойствами [5, 7]. Суспензия вводится в мягкие ткани в области очага. Второй имплантат является суспензией мезенхимальных стромальных клеток костного мозга, обладающих остеогенными свойствами, в количестве 10-15×106, полученных культивированием прилипающей фракции в течение 3-х недель. Суспензия вводится инъекционно непосредственно с остеомиелитический очаг.

Техническим результатом является создание нового способа восстановления дефекта костной ткани и ликвидация остеомиелитической полости за счет как стимуляции ангио- и васкулогенеза в области очага (1-ая имплантация), так и формирование костной ткани из трансплантированных мезенхимальных стромальных клеток (2-ая имплантация). Улучшение кровообращения в области хронического остеомиелитического очага повышает регенераторные способности сохранившихся фрагментов кости, а также улучшает неоостеогенез. Последний осуществляется за счет имплантированных МСК, которые, попав в область дефекта кости, дифференцируются в остеогенном направлении [6, 8] и восстанавливают целостность кости. Использование указанной схемы позволяет сократить сроки культивации клеток костного мозга in vitro, что способствует уменьшению вероятности нежелательных изменений фенотипа клеток. Кроме того, это позволяет сократить сроки лечения и осуществлять обе трансплантации за период одной госпитализации.

Способ осуществляют следующим образом. После проведения санирующего лечения остеомиелитического очага (хирургическая обработка, дренирование, антибактериальная терапия, иммобилизация и т.д.), осуществляет забор костного мозга из крыла подвздошной кости в количестве 60-80 мл. Мононуклеарные клетки костного мозга выделяют на градиенте плотности фиколла и, после 3-х кратной отмывки, высаживают в культуральную чашку (TCF 150 см2) в 100 мл полной культуральной среды на основе RPMI-1640 с аутоплазмой. После культивирования в течение 3-5 суток в СO2-инкубаторе, неагезированную на культуральном пластике фракцию мононуклеарных клеток снимают, осаждают центрифугированием и ресуспендируют в 10 мл физиологического раствора. Имплантат, представленный неприлипшей фракцией мононуклеарных клеток костного мозга в количестве 300-500×106, вводят в мягкие ткани пораженного сегмента конечности из 3-5 точек. Прилипшие к культуральному пластику клетки культивируют в полной среде на основе -МЕМ с фетальной бычьей сывороткой 10% в течение 21-28 дней. Смену среды производят 2 раза в неделю, что позволяет полностью удалить клетки немезенхимального ряда. После формирования монослоя МСК, последние снимают с культурального пластика с использованием трипсина-ЭДТА 0,25%, 2-кратно отмывают и ресуспендируют в 5-10 мл физиологического раствора. Имплантат, являющейся суспензией 10-15×106 мезенхимальных стромальных клеток, вводят в остеомиелитическую (секвестральную) полость.

Восстановление дефекта кости с купированием признаков хирургической инфекции в области очага подтверждено двумя законченными клиническими случаями, вошедшими в основную группу. После проведения комплексного санирующего лечения у больных из крыла подвздошной кости забор костного мозга около 80 мл. Получение мононуклеарной фракции клеток костного мозга, МСК, формирование имплантатов и трансплантация осуществлены описанным выше способом.

В качестве контроля использовались случаи с проведением традиционного комплексного лечения без трансплантации.

Динамическое наблюдение проводилось через 1, 3, 6 месяцев с использованием общеклинических методов обследования. Контрольные рентгенографии осуществлялись через 3 и 6 месяцев после имплантации.

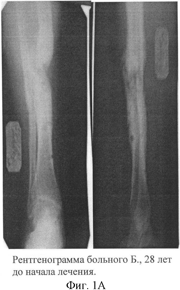
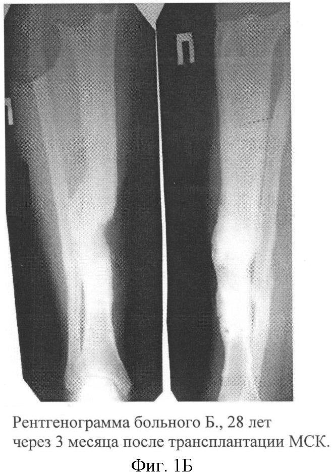
Больной Б., 28 лет, находился на лечении в хирургическом отделении МУЗГКБ 2 с диагнозом: «Хронический посттравматический остеомиелит левой большеберцовой кости в средней трети, свищевая форма; ложный сустав с дефектом костной ткани в средней трети левой большеберцовой кости». Из анамнеза: травма 3 года назад – открытый оскольчатый перелом костей левой голени в средней трети. При поступлении выполнен металлоостеосинтез. Послеоперационный период осложнился развитием остеомиелита. Неоднократно проводились санирующие операции и реостеосинтез, костная аутопластика без эффекта. У больного сохранялся свищ с гнойным отделяемым, больной передвигался с использованием костылей без опоры не конечность. Рентгенологически признаки ложного сустава (фиг.1А). 20.09.07 г. выполнена операция – иссечение свища, некрсеквестрэктомия, дренирование остеомиелитического очага. Иммобилизация гипсовой повязкой. После купирования признаков острого воспалительного процесса выполнены последовательные трансплантации МНК и МСК по описанной схеме. Послеоперационная рана зажила первичным натяжением, признаков воспалительного процесса за период наблюдения не было. Через 3 месяца после имплантации, клинически перелом консолидировался, гипсовая повязка снята. На контрольной рентгенограмме: выраженная костная мозоль по внутренней поверхности средней трети левой большеберцовой кости. Периостальная реакция не отмечается (фиг.1Б). В течение 6 месяцев признаков обострения остеомиелита не было. Больной ходит, не используя дополнительные средства опоры.

Больной Р., 72 года, поступил в хирургическом отделении МУЗГКБ 2 с диагнозом: «Хронический посттравматический остеомиелит левой большеберцовой кости в средней трети, свищевая форма; патологический перелом с признаками ложного сустава в средней трети левой большеберцовой кости, в условиях ОМС (пластина с шурупами)». Травма 2.5 года назад – закрытый перелом костей левой голени в нижней трети. После накостного остеосинтеза развился остеомиелит. Проводимые лечебные мероприятия привели к консолидации перелома в нижней трети, но у больного сохранялся свищ с гнойным отделяемым и остеомиелитический процесс перешел в среднюю треть большеберцовой кости, где на уровне проксимального шурупа произошел патологический перелом (фиг.2А). Больной передвигался с помощью костылей без опоры на больную конечность. 24.02.08 г. выполнена операция – иссечение свища, удаление металлоконструкции, некрсеквестрэктомия, дренирование остеомиелитического очага. Иммобилизация гипсовой повязкой. Купировав острый воспалительный процесс, выполнены трансплантации МНК и МСК по описанной схеме. Отмечено заживление послеоперационной раны первичным натяжением, без признаков рецидива воспалительного процесса за период наблюдения. Через 3 месяца после имплантации: клинически перелом консолидировал, гипсовая повязка заменена на съемную гильзу. На контрольной рентгенограмме отмечается выраженная костная мозоль в области перелома средней трети большеберцовой кости. Периостальная реакция не отмечается (фиг.2Б). Больной ходит, используя трость с опорой на пораженную конечность. Данная картина сохраняется через 6 месяцев.

Способ позволяет добиться сращения кости в области остеомиелитического очага с восстановлением дефекта костной ткани, стойкой ремиссии хирургической инфекции, восстановить функцию поврежденной конечности.

Список литературы

2. – С.91-96.

Формула изобретения

Способ лечения хронического остеомиелита длинных трубчатых костей с дефектом кости, включающий имплантацию аутологичных клеток костного мозга в остеомиелитический очаг, отличающийся тем, что берут у пациента костный мозг, выделяют мононуклеарные клетки костного мозга, после культивирования в течение 3-5 сут первый имплантат, представляющий суспензию неприлипающей фракции мононуклеарных клеток костного мозга в количестве 300-500·106 клеток, вводят в мягкие ткани в области очага, далее прилипающую фракцию культивируют в течение 3-4 недель и второй имплантат, являющийся суспензией мезенхимальных стромальных клеток костного мозга в количестве 10-15·106 клеток, вводят непосредственно в остеомиелитический очаг.

РИСУНКИ

Categories: BD_2389000-2389999