|
|
(21), (22) Заявка: 2008135152/14, 02.09.2008
(24) Дата начала отсчета срока действия патента:
02.09.2008
(46) Опубликовано: 20.04.2010
(56) Список документов, цитированных в отчете о поиске:
RU 2180856 C1 27.03.2002. RU C22193896 10.12.2002. RU 97104978 A 27.03.2999. МХРА 06007343 А 26.01.2007. КУЗНЕЦОВ Н.А. и др. Щадящие хирургические вмешательства и интерактивные повязки в лечении инфицированных ран. Хирургия. Приложение к журналу Consilium Medicum, 2006 т.8, 
Адрес для переписки:
142290, Московская обл., г. Пущино, м-н В, 32, кв.50, Л.Г. Садовниковой
|
(72) Автор(ы):
Алексеев Андрей Анатольевич (RU), Гаврилюк Борис Карпович (RU), Салахиддинов Камолиддин Зухриддинович (UZ), Тюрников Юрий Иванович (RU)
(73) Патентообладатель(и):
Алексеев Андрей Анатольевич (RU), Гаврилюк Борис Карпович (RU)
|
(54) СПОСОБ ЛЕЧЕНИЯ ОБШИРНЫХ РАН
(57) Реферат:
Изобретение относится к медицине, а именно к комбустиологии и хирургии, и касается лечения обширных ран. Для этого на рану накладывают поликомпозиционный перевязочный материал, представляющий собой комбинацию геля на основе смеси водорастворимых полисахаридов и пленки, содержащей, по меньшей мере, латекс фторкаучука и полисахарид растительного происхождения, которую накладывают поверх геля. Сочетанное использование геля и пленки, имеющих определенный состав, обеспечивает быструю эпителизацию раны и уменьшение возможности образования рубцов за счет специфического горизонтального роста нижнего базального слоя клеток. 2 з.п. ф-лы, 3 ил.
Предлагаемое изобретение относится к медицине, в частности к комбустиологии и хирургии, и может быть использовано для лечения обширных ожоговых ран II и IIIА степени, а также обширных ран любого другого происхождения.
Используемые для этих целей препараты и средства должны отвечать следующим требованиям: изолировать рану от попадания инфекции; защищать ее от высыхания, уменьшать теплоотдачу, обладать определенными антибактериальными свойствами, создавать оптимальную среду для эпителизации. Известно достаточно много образцов раневых покрытий, отличающихся по химическому составу. Вместе с тем, до сих пор не существует универсального препарата (Б.А.Парамонов, Я.О.Порембский, В.Г.Яблонский “Ожоги” – руководство, Санкт-Петербург, СпецЛит, 2000).
Известен способ лечения ожоговых, закрытых кожными лоскутами, и донорских ран (патент RU 2108078, опубликованный 10.04.1998) путем наложения поверх раны перфорированного пленочного перевязочного материала DDB-M, представляющего собой перфорированный материал DDB (dressing, dressing dr. R. Breitman), выполненный из полиэтиленовой пленки с нанесенной на ее поверхность комплексной пудрой Брейтмана в виде смеси талька, цефалолексина, стрептомицина, эритромицина, террамицина, тетрациклина, вибромицина, синтомицина, неомицина, канамицина, нистатина, дактарина, канестена и риванола (см. тезисы докладов международного хирургического конгресса “Раны, ожоги, повязки”. Израиль, Тель-Авив, 1990, с.86-87 и 114). Перевязки осуществляют по мере необходимости через 24, 48 и 72 ч. Лечение проводят до полного заживления ран и приживления лоскута.
Однако наличие в перевязочном материале большого количества антибиотиков разного вида повышает частоту аллергических реакций, а полиэтиленовая пленка выполняет только функцию механического барьера и является чужеродной для тканей раны.
Известен способ лечения донорских ран (RU 22265454, опубликованный 2005.12.10) после проведения аутодермопластики, заключающийся в том, что однократно накладывают поликомпозиционную перфорированную пленку, которая содержит (мас.%) 9,8-19,8 поливинилового спирта, 78,3-89,4 полисахарида хитозан, 0,1-0,2 анестетика, 0,5-2,0 антибактериального вещества в виде антибиотика аминогликозидного ряда, например гентамицина.
Недостатки этого способа состоят в том, что применяемая повязка имеет низкую механическую прочность, т.к. не содержит связующих компонентов. Это требует дополнительной фиксации марлевым бинтом. Кроме того, поливиниловый спирт, частично растворяясь в раневом экссудате, обладает раздражающим действием.
Основная техническая задача, на решение которой направлено предлагаемое изобретение, состоит в ускорении эпителизации обширных ожоговых ран II и IIIА степени.
Другая задача состоит в предотвращении образования рубцов.
Еще одна задача состоит в расширении ассортимента перевязочных средств, пригодных для лечения обширных ран, а также в расширении ассортимента средств, имеющих низкую аллергенность.
Поставленные задачи решаются тем, что предложен способ лечения обширных ран, включающий наложение на рану поликомпозиционного перевязочного материала, в котором согласно изобретению в качестве перевязочного материала используют комбинацию геля на основе смеси водорастворимых полисахаридов растительного происхождения и пленки, содержащей, по меньшей мере, латекс фторкаучука и полисахарид растительного происхождения, при этом пленку накладывают поверх геля и меняют эту повязку каждые 2-4 суток до полной эпителизации раны.
При необходимости перед наложением перевязочного материала проводят дебризинг – туалет раны, включающий очистку раны от микроорганизмов, мертвой ткани, крови и ее сгустков, вызывающих фагоцитарную воспалительную реакцию.
В качестве геля берут гидрогель по патенту RU 2180856 или RU 2194535, преимущественно содержащий водорастворимое производное целлюлозы, соль альгиновой кислоты, каррагинан или пектин или их смесь, воду и антисептик, при следующем соотношении компонентов, мас.%:
Водорастворимое производное целлюлозы – 1,0-15,0
Соль альгиновой кислоты – 0,1-15,0
Каррагинан или пектин или их смесь – 0,03-15,0
Антисептик – 0,05-0,1
Вода – Остальное
В качестве пленки берут монослойную пленку по патенту RU 2193896, преимущественно содержащую латекс фторкаучука, водорастворимое производное целлюлозы или соль альгиновой кислоты, или каррагинан, или пектин, или их смесь и антисептик при следующем соотношении компонентов в пересчете на сухое вещество, мас.%:
Водорастворимое производное целлюлозы, или соль альгиновой кислоты, или
каррагинан или пектин или их смесь – 2,0-95,0
Антисептик – 0,05-0,1
Латекс фторкаучука – Остальное
Сущность изобретения заключается в том, что экспериментальным путем удалось подобрать комбинацию покровных материалов, которые обеспечивают поддержание на раневой поверхности условий, оптимальных для ее заживления, что приводит к уменьшению сроков лечения, а также улучшению функциональных и косметических результатов лечения за счет уменьшения возможности образования рубцов.
Кроме того, подобная комбинация перевязочных средств имеет низкую аллергенность, т.к. не содержит компонентов животного происхождения.
Получение технического результата обеспечивается тем, что гель, заполняя все углубления и неровности раневой поверхности, создает условия для передвижения («заползания») клеток на раневую поверхность как с поверхностных, так и глубоких слоев, и более быстрого их размножения, а пленочное покрытие, в состав которого входят компоненты, аналогичные компонентам геля, и которое размещают поверх гелевого покрытия, с одной стороны, препятствует высыханию геля и защищает раневую поверхность от загрязнения микроорганизмами и механических повреждений, а, с другой стороны, обеспечивает сохранение физико-химических свойств геля, необходимых для размножения клеток и ускорения эпителизации с краев раны.
Было установлено, что использование марлевых бинтов для покрытия геля приводит к впитыванию геля в марлю, быстрому высыханию геля и прекращению его действия.
Использование для этих целей пленочных покрытий типа «ОпСайт (OpSait)» (на основе пропилена) и акрилового сополимера (в виде спрея) и «Омидерм» (в виде тонкой полиуретановой пленки) замедляет паропроницаемость комбинации гель-монослойное покрытие, что приводит к накоплению экссудата и ухудшению условий для размножения фибробластов на раневой поверхности.
Таким образом, сочетание в комбинированной повязке не только формы образующих ее слоев – гель и пленочное покрытие, но и состава компонентов, в частности полисахаридов растительного происхождения, входящих в состав как геля, так и пленочного покрытия, обеспечивает получение неочевидного результата, а именно ускорение заживления обширных ран и предотвращение образования рубцов, при одновременном использовании комбинации геля по патенту RU 2180856 или RU 2194535 и пленочного покрытия по патенту RU 2193896, которые ранее были известны только как средства для лечения поверхностных ран.
Применение только одного геля по патенту RU 2180856 или RU 2194535 обеспечивает образование тонкой пористой пленки на поверхности раны, которая не обладает достаточной механической прочностью, быстро высыхает и разрушается при сильной экссудации раны.
Применение только одного пленочного покрытия обеспечивает достаточную механическую защиту, но «влажная среда» для заживления создается недостаточно при обширных ранах. Кроме того, при обширных ранах пленочное покрытие не обеспечивает плотного контакта со всей раневой поверхностью.
Неожиданным результатом оказалось изменение характера размножения эпидермальных клеток. Если применение только пленочного покрытия или только геля приводило к усилению роста клеток эпидермиса вверх по вертикали, что приводило к медленному росту всех слоев эпителия с краев раны, то применение комбинации покрытия и геля приводит к горизонтальному росту и размножению нижнего базального слоя клеток, единственно способных к размножению. Они быстро покрывают поверхность раны, уменьшая возможность образования рубцов.
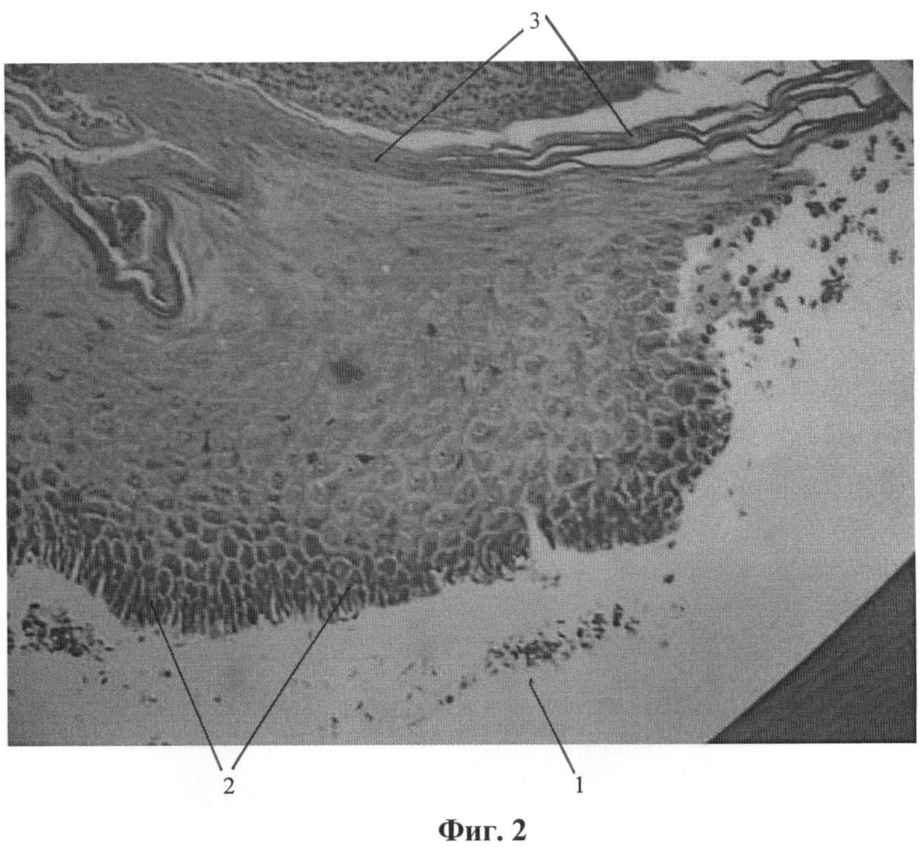
Это подтверждается фотографиями гистологических препаратов, где на фиг.1 (при увеличении ×800) представлен поперечный срез участка раневой поверхности на третьи сутки лечения с помощью предлагаемого способа, на фиг.2 (при увеличении ×400) – поперечный срез участка раневой поверхности на третьи сутки лечения с помощью пленочного покрытия («Биокол – пленка» по примеру 1), на фиг.3 (при увеличении ×400) – поперечный срез участка раневой поверхности на третьи сутки лечения с помощью гелевого покрытия («Биокол – гель» по примеру 1). Препараты окрашены традиционно по методике Гематоксилин – Эозин («Практическая микротехника и гистохимия», Д. Кисели, Будапешт, 1962, стр.115).
Как видно на фиг.1, на раневой поверхности 1 наблюдается быстрый горизонтальный рост базальных эпидермоцитов 2 в 1-2 слоя клеток, в то же время при использовании только пленочного (фиг.2) или только гелевого (фиг.3) покрытия на раневой поверхности 1 наблюдается бурный вертикальный рост эпидермоцитов 2 с быстрой его дифференцировкой и кератинизацией 3.
Более медленное закрытие раны при вертикальном росте эпидермоцитов может привести к избыточному росту фибробластов и образованию рубцов.
Как показали клинические наблюдения, комбинированное применение геля и пленочного покрытия оказалось оптимальным для лечения обширных ран.
Способ апробирован в клинических условиях на кафедре термических поражений, ран и раневых инфекций Российской Медицинской Академии последипломного образования (РМАПО) на базе ожогового центра 36-й Городской клинической больницы г.Москвы на больных с обширными ожоговыми ранами II и IIIА степени. Практически лечение осуществляют следующим образом.
При необходимости перед наложением перевязочного материала проводят очистку раны от микроорганизмов, мертвой ткани, крови и ее сгустков, вызывающих фагоцитарную воспалительную реакцию (дебризинг- туалет раны).
После чего наносят гель, выполненный на основе полисахаридов растительного происхождения по патенту RU 2180856 или RU 2194535, который покрывают пленкой на основе латекса фторкаучука и полисахарида растительного происхождения по патенту RU 2193896, при этом пленку накладывают поверх геля и меняют эту повязку каждые 2-4 суток до полной эпителизации раны.
Пример 1.
Для осуществления способа был приготовлен «Биокол – гель I», как описано в патенте RU 2180856, содержащий (в граммах) 15,0 карбоксиметилцеллюлозы, 10,0 альгината натрия, 5,0, каррагинана, 0,05 хлоргексидина, воды до 1000, и монослойное пленочное покрытие «Биокол – пленка I», как описано в патенте RU 2193896, содержащее (мас.%) 79,95 латекса фторкаучука, 20,0 смеси альгината натрия и пектина и 0,05 хлоргексидина.
Больной Чернышев П.Н., 58 лет. Диагноз: Термический (пламенем) ожог головы, шеи, верхних конечностей, туловища, левого бедра I-II-IIIA степени 48% поверхности тела. Травма от 27.06.08 г. Поступил в отделение 27.06.08 г. В момент поступления проведен первичный туалет раны. На третьи сутки после выведения больного из шока проведена перевязка, включающая туалет ожоговой раны (дебризинг) с нанесением геля «Биокол – гель I» и раневого покрытия «Биокол – пленка I» на ожоговые раны верхней конечности 10% поверхности тела. Остальные участки ожоговой раны были закрыты раневым покрытием «Биокол- пленка I». Больному проводилось комплексное лечение, перевязки через 2-3 суток. Эпителизация ран в области верхних конечностей началась на 5 сутки после начала лечения, а в области головы, шеи, туловища – на 8-10 сутки. Полная эпителизация указанных ран отмечена соответственно на 20 и 25 сутки после травмы.
Больной выписан на 25 сутки после травмы в удовлетворительном состоянии. Образование рубцовой ткани не отмечено.
Пример 2.
Был приготовлен «Биокол – гель II», как описано в патенте RU 2194535, содержащий (в граммах) 15,0 метилцеллюлозы, 10,0 альгината кальция, 5,0 каррагинана, 0,05 мирамистина, воды до 1000, и монослойное пленочное покрытие «Биокол – пленка II», как описано в патенте RU 2193896, содержащее (мас.%) 75,95 латекса фторкаучука, 24,0 смеси каррагинана и пектина и 0,05 мирамистина.
Больной Ботурлин Н.И., 28 лет. Диагноз: Термический (пламенем) ожог туловища, верхних и нижних конечностей I-II-IIIA степени 62% поверхности тела. Сопутствующие заболевания – наркомания, гепатит С. Травма от 03.07.08 г. Поступил в отделение 05.07.08 г., состояние тяжелое. Проводилось комплексное интенсивное лечение ожоговой болезни в условиях отделения реанимации. Проведен первичный туалет раны с антисептиками. На 6 сутки после этапного проведения дебризинга во время перевязки использованы гель «Биокол – гель II» и раневое покрытие «Биокол – пленка II». Перевязки через 2-3 дня, включающие в себя туалет ран, повторное нанесение геля и покрытия Биокол. Через 5 дней после начала указанного лечения раневая поверхность начала очищаться и через 7 дней полностью очистилась, началась активная эпителизация. Эпителизация завершилась на 13 сутки после начала лечения (19 сутки после травмы). Образование рубцовой ткани не отмечено.
Пример 3.
Был приготовлен «Биокол – гель III», как описано в патенте RU 2180856, содержащий (в граммах) 10,0 смеси метилцеллюлозы и карбоксиметилцеллюлозы, 10,0 альгината натрия, 10,0 смеси каррагинана и пектина, 0,05 хлоргексидина, воды до 1000, и монослойное пленочное покрытие «Биокол – пленка III», как описано в патенте RU 2193896, содержащее (мас.%) 75,95 латекса фторкаучука, 24,0 смеси альгината кальция и пектина и 0,05 мирамистина.
Больной Горшков В.А. 54 года. Диагноз: Ожог пламенем I-II-IIIАБ ст. головы, шеи, туловища, левых верхних конечностей – 20% поверхности тела. Травма от 13.07.08 г. Поступил в отделение 14.07.08 г. В момент поступления проведен первичный туалет раны. На третьи сутки перевязка с использованием «Биокол – гель III», который был закрыт и закреплен пленкой «Биокол – пленка III».
У больного проведены следующие исследования: общие и биохимические анализы крови, посев из раны на флору и чувствительность, цитология раны (в динамике улучшение показателей).
Течение гладкое. Первая перевязка после применения метода на 2 сутки, рана чистая, отмечена начавшаяся активная эпителизация. Больной выписан на 11 сутки.
Пример 4 (для сравнения).
Больная Иполитова Р.А. 74 года. Диагноз: Термический (пламенем) ожог верхней конечности, передней грудной и брюшной стенки II-IIIА ст. – 8% поверхности тела. Сопутствующее: гипертоническая болезнь II ст., ожирение 2 ст., ИБС, постинфарктный кардиосклероз. Травма от 08.09.07 г. Поступила в отделение 16.09.07 г., общее состояние тяжелое. В связи с имеющимся сопутствующим заболеванием проведено интенсивное лечение. На 6 сутки после госпитализации на раневую поверхность наложено раневое покрытие «Гелепран» (ТУ9303-008-52708501).
На первых перевязках отмечалось нагноение под повязками. В последующем воспаление купировано, однако признаков эпителизации на 12 сутки после начала местного лечения с использованием «Гелепрана» выявлено не было.
Таким образом, приведенные примеры 1, 2, 3 осуществления предлагаемого способа подтверждают возможность его применения для успешного лечения обширных ран, в частности обширных ожогов II-IIIА степени. Эпителизация раневой поверхности начинается, в зависимости от тяжести повреждения, на 5-7 сутки после начала применения комбинации геля и монослойной пленки, содержащих водорастворимые полисахариды растительного происхождения, в то время как использование раневого покрытия «Гелепран» (ТУ9303-008-52708501) (пример 4) не привело к началу эпителизации даже на 12 сутки после начала местного лечения.
Приведенные примеры конкретного выполнения подтверждают, что предлагаемый способ является осуществимым. С его помощью пролечены 21 пациент с обширными ранами различной локализации и этиологии, в том числе ожоговыми ранами.
Формула изобретения
1. Способ лечения обширных ран, включающий наложение на рану поликомпозиционного перевязочного материала, отличающийся тем, что в качестве перевязочного материала используют комбинацию геля на основе смеси водорастворимых полисахаридов растительного происхождения, и пленки, содержащей, по меньшей мере, латекс фторкаучука и полисахарид растительного происхождения, которую накладывают поверх геля, при этом в качестве геля берут гидрогель, содержащий, мас.%:
| водорастворимое производное целлюлозы |
1,0-15,0 |
| соль альгиновой кислоты |
0,1-15,0 |
| каррагинан или пектин или их смесь |
0,03-15,0 |
| антисептик |
0,05-0,1 |
| вода |
остальное |
а в качестве пленки – пленку, содержащую, мас.%:
| водорастворимое производное целлюлозы, |
 |
| или соль альгиновой кислоты, |
 |
| или каррагинан или пектин, или их смесь |
2,0-95,0 |
| антисептик |
0,05-0,1 |
| латекс фторкаучука |
остальное |
2. Способ по п.1, отличающийся тем, что повязку меняют каждые 2-4 суток до полной эпителизации раны.
3. Способ по п.1, отличающийся тем, что при необходимости перед наложением геля проводят туалет раны.
РИСУНКИ
|
|