|
|
(21), (22) Заявка: 2008144050/13, 05.11.2008
(24) Дата начала отсчета срока действия патента:
05.11.2008
(46) Опубликовано: 20.04.2010
(56) Список документов, цитированных в отчете о поиске:
Адрес для переписки:
362019, РСО-Алания, г. Владикавказ, ул. Пушкинская, 40, ГОУ ВПО СОГМА Росздрава
|
(72) Автор(ы):
Пухова Ирина Умарбековна (RU), Брин Вадим Борисович (RU), Козырев Константин Мурадиевич (RU), Бабаниязов Хайрулла Хайдарович (RU), Пронина Наталья Васильевна (RU)
(73) Патентообладатель(и):
Государственное образовательное учреждение высшего профессионального образования “Северо-Осетинская государственная медицинская академия” Федерального агентства по здравоохранению и социальному развитию (RU)
|
(54) СПОСОБ ПРОФИЛАКТИКИ СИСТЕМНОГО АМИЛОИДОЗА И ЕГО НЕФРОПАТИЧЕСКОЙ ФОРМЫ У ЭКСПЕРИМЕНТАЛЬНЫХ ЖИВОТНЫХ
(57) Реферат:
Изобретение относится к экспериментальной биологии. Способ включает введение белкового препарата подкожно и амилоидопротекторного препарата. При этом в качестве белкового препарата сирийским хомякам вводят нативную свиную плазму из расчета 0,025 мл/г массы тела. В качестве амилоидопротектора используют ацизол. Ацизол вводят одновременно ежедневно через зонд в дозе 30 мг/кг в течение 60 дней. Способ позволяет изучить патогенез, профилактику и лечение амилоидоза при исследовании функционального состояния системы почек, кровообращения, минерального обмена и других показателей. 1 табл., 4 ил.
Данное изобретение относится к медицине, экспериментальной биологии и может быть использовано для моделирования экспериментального амилоидоза у животных с целью получения возможности изучения патогенеза, профилактики и лечения амилоидоза, особенно при исследовании функционального состояния системы почек, кровообращения, минерального обмена и других показателей.
1. – С.3-8). Амилоид представляет собой гликопротеид, основным компонентом которого являются фибриллярные белки. Установлено, что амилоид содержит альбумины, глобулины, фибриноген, фибрин; среди плазменных белков преобладает 
Одним из проявлений генерализованного амилоидоза является амилоидоз почек с яркой клинико-морфологической и нозологической спецификой. Микроскопически в почках амилоид обнаруживается по ходу прямых сосудов и собирательных трубок. В интермедиальной зоне и пирамидах строма пропитывается белками плазмы. Амилоид откладывается не только в пирамидах, но и в клубочках.
Специфическое лечение амилоидоза не разработано, что связано с отсутствием окончательных представлений об этиологии и патогенезе этого заболевания. В связи с этим возникла необходимость разработки и создания способов профилактики амилоидоза и его нефропатической формы.
Известен способ профилактики и лечения системного амилоидоза и его нефропатической формы у экпериментальных животных, заключающийся в введении белкового препарата и амилоидопротектора (патент РФ на изобретение 2270672, Заалишвили Т.В., Козырев К.М., зарегистрированный 27.02.2006, заявка 2004127648/14 от 15.09.2004 г., МПК A61K 31/15, A61P 13/12). В качестве белкового препарата белым мышам вводили по 1 мл нативного яичного альбумина подкожно через день в течение 30 дней, а в качестве амилоидопротектора вводили подкожно 10%-ный раствор милдроната через день из расчета 50 мг/кг в течение последних 14 дней эксперимента, который был взят нами за прототип как наиболее близкий способ.
Недостатком прототипа является то, что белые мыши являются мелкими животными, что значительно усложняет исследование функционального состояния различных систем экспериментальных животных. Учитывая то, что у белых мышей объем получаемой крови после декапитации не превышает 1,0 мл, затрудняется ее использование для нужд биохимических и патофизиологических исследований. Также затруднено исследование функционального состояния почек из-за малых физиологических объемов и анатомических размеров. Недостатком лекарственного препарата является то, что при длительном применении милдронат может вызвать паренхиматозную жировую дистрофию печени.
В Иркутском институте химии СО РАН в результате многолетних исследований в области направленного синтеза биологически активных соединений обнаружена высокая фармакологическая активность металлокомплекса соли цинка с 1-винилимидазолом, на основе которого создан лекарственный препарат ацизол. Препарат ацизол является самым мощным и единственным в мире противогипоксическим средством. Ацизол, являясь высокоэффективным антигипоксантом, способен защитить организм при низком парциальном давлении кислорода и недостаточной оксигенации гемоглобина, снижать потребность организма в кислороде. Препарат способствует повышению устойчивости к гипоксии органов, чувствительных к недостатку кислорода. Кроме того, содержащийся в ацизоле цинк, устраняя его дефицит в организме, нормализует каскады метаболических процессов, связанных с работой цинк-зависимых ферментных систем. В связи с этим ацизол может быть использован при лечении цинк-дефицитных состояний.
В конце первого и второго месяцев эксперимента определяли показатели электролитоводовыделительной функции почек.
Заявляемое изобретение направлено на решение задачи, заключающейся в разработке способа профилактики системного амилоидоза и его нефропатической формы, включающего введение ацизола внутрижелудочно, одновременно с введением нативной свиной плазмы подкожно.
Решение этой задачи обеспечивает расширение возможностей профилактики системного амилоидоза и его нефропатической формы у экспериментальных животных, особенно при исследовании функционального состояния системы почек, минерального обмена и других показателей экспериментальных животных.
Предлагаемый способ отличается от прототипа тем, что в качестве белкового препарата сирийским хомякам вводят нативную свиную плазму из расчета 0,025 мл/г массы тела, а в качестве амилоидопротектора используют ацизол, вводимый им ежедневно, одновременно с нативной свиной плазмой, через зонд в желудок в дозе 30 мг/кг в течение 60 дней.
Между признаками заявляемого способа и результатом существует следующая причина – ацизол является самым мощным и единственным в мире противогипоксическим средством, является высокоэффективным антигипоксантом, способен защитить организм при низком парциальном давлении кислорода и недостаточной оксигенации гемоглобина, снижать потребность организма в кислороде. Препарат способствует повышению устойчивости к гипоксии органов, чувствительных к недостатку кислорода. Кроме того, содержащийся в ацизоле цинк, устраняя его дефицит в организме, нормализует каскады метаболических процессов, связанных с работой цинк-зависимых ферментных систем. В связи с этим ацизол может быть использован при лечении цинк-дефицитных состояний.
Заявленный способ является эффективным, экономически выгодным и легко воспроизводимым.
По имеющимся у автора сведениям совокупность существенных признаков, характеризующих сущность заявляемого изобретения, не известна, что позволяет сделать вывод о соответствии изобретения критерию «новизна».
По мнению автора, сущность заявляемого изобретения не следует для специалистов явным образом из известного уровня медицины, так как из него не выявляется вышеуказанная возможность получения способа профилактики системного амилоидоза и его нефропатической формы у экспериментальных животных, включающего введение амилоидопротектора внутрижелудочно, отличающегося тем, что в качестве амилоидопротектора вводят сирийским хомякам ацизол через день из расчета 30 мг/кг массы тела в течение 60 дней эксперимента, что обеспечивает расширение возможностей профилактики системного амилоидоза и его нефропатической формы у экспериментальных животных, особенно при исследовании функционального состояния системы кровообращения, почек, минерального обмена и других показателей экспериментальных животных, что позволяет сделать вывод о соответствии критерию «изобретательский уровень».
Совокупность существенных признаков, характеризующих сущность изобретения, в принципе может быть многократно использована в медицине с получением результата, заключающегося в эффективном и легко воспроизводимом способе профилактики системного амилоидоза и его нефропатической формы у экспериментальных животных, что позволяет сделать вывод о соответствии изобретения критерию «промышленная применимость».
Данный способ осуществлялся следующим образом.
Для получения системного амилоидоза и его нефропатической формы животным проводились через день подкожные инъекции нативной свиной плазмы из расчета 0,025 мл/г массы тела. Путем растворения 30 г ацизола в 1 литре 0,5%-ного раствора уксусной кислоты получаем стойкий раствор ацизола с содержанием 30 мг в 1 мл, раствор ацизола вводим через зонд в желудок при помощи шприца, на который надет подключичный катетер в количестве 0,1 мл на каждые 100 г, что не является чрезмерной водной нагрузкой на организм экспериментального животного.
В конце первого и второго месяца эксперимента определяли показатели электролитоводовыделительной функции почек.
Для гистологических исследований образцы тканей (печень, почка, сердце, селезенка) фиксировали в 10%-ном нейтральном формалине, после чего подвергали заливке в парафин с последующим приготовлением срезов толщиной 5-6 микрон. Срезы окрашивались гемотоксилином и эозином и Конго красным. Изучение срезов проводилось в проходящем свете при помощи микроскопа МИКМЕД-1 под увеличением 80×200×400.
Пример 1. Двум группам золотистых сирийских хомяков-самцов ( 1 – контроль, 2 – опыт) массой 90-110 г вводили подкожно нативную свиную плазму из расчета 0,025 мл/г через день в течение двух месяцев.
Ацизол вводили через зонд в желудок ежедневно в дозе 30 мг/кг в группе 2. Через 1 и 2 месяца определяли некоторые показатели водоэлектролитовыделительной функции почек при спонтанном шестичасовом диурезе: уровень диуреза, клубочковой фильтрации, канальцевой реабсорбции, уровень экскреции натрия, калия, кальция, также определяли концентрацию белка в моче.
Анализ данных показал (табл.1), что в условиях спонтанного диуреза на фоне подкожного введения нативной свиной плазмы отмечалось увеличение диуреза через 1 месяц и его восстановление через 2 месяца. Уменьшение диуреза было обусловлено снижением скорости клубочковой фильтрации. В течение второго месяца спонтанный диурез восстанавливался до контрольных цифр, при этом канальцевая реабсорбция воды продолжала снижаться. Экскреция натрия в условиях спонтанного диуреза была резко сниженной на протяжении всего эксперимента, особенно по истечении 2-го месяца. Экскреция калия и кальция повышалась на протяжении обоих месяцев. Под влиянием введения нативной свиной плазмы отмечалось прогрессивное увеличение протеинурии почти в 3 раза на протяжении 2 месяцев.
В группе 2 получавших внутрижелудочно раствор ацизола каждый день в течение двух месяцев на фоне подкожного введения нативной свиной плазмы через 1 и 2 месяца эксперимента наблюдалось уменьшение объема спонтанного диуреза. Снижение диуреза было обусловлено увеличением канальцевой реабсорбции воды через 1 и 2 месяца, при этом скорость клубочковой фильтрации воды во все сроки эксперимента увеличивалась.
Профилактическое применение ацизола выявило тенденцию к снижению экскреции натрия через 1 месяц эксперимента и увеличение ее через 2 месяца по сравнению с группой 1, а экскреция калия была резко сниженной на протяжении обоих месяцев эксперимента. Снижение экскреции кальция отмечалось спустя 1 месяц эксперимента, а через 2 месяца экскреция катиона увеличилась, приблизилась к фоновой. Применение ацизола выявило через 2 месяца резкое снижение содержания белка в моче до фонового уровня.
| Таблица 1 |
 |
Диурез |
СКФ |
Канальцевая реабсорбция |
Кальций |
Натрий |
Калий |
Белок |
Мочевина |
| Фон |
0,15±0,007 |
25,84±0,99 |
99,39±0,012 |
0,35±0,019 |
11,71±0,42 |
8,38±0,56 |
27,61±0,5790 |
15,12±0,30 |
| Плазма 1 мес |
0,1662±0,008 |
14,44±0,764 |
98,83±0,0410 |
0,5610±0,0334 |
10,38±0,358 |
20,87±0,802 |
50,05±0,989 |
15,51±0,2782 |
| Плазма 2 мес |
0,1511±0,008 |
11,10±0,87 |
98,52±0,080 |
0,697±0,040 |
8,715±0,87 |
17,38±0,72 |
95,64±0,865 |
55,58±1,388 |
| Ацизол + плазма 1 мес |
0,1336±0,005 |
32,15±0,797 |
99,59±0,008 |
0,2208±0,014 |
9,24±0,478 |
4,745±0,412 |
43,89±2,34 |
22,98±0,419 |
| Ацизол + плазма 2 мес |
0,1475±0,005 |
34,26±0,49 |
99,57±0,012 |
0,3164±0,017 |
15,18±1,034 |
4,864±0,457 |
27,81±0,446 |
17,09±0,292 |
Сущность заявляемого способа подтверждается морфологически.
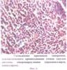
Фиг.1 Пролиферация эндотелия капилляров и мезангиоцитов клубочка. Уменьшение плазматического пропитывания стенок капилляров клубочка и интеркапиллярного отека. Уменьшение гиперемии плазматического пропитывания и отека межуточного вещества. Снижение признаков конгофилии кортикальных и медуллярных сосудов. Очаговая периваскулярная пролиферация лимфогистиоцитарных элементов коркового и мозгового вещества почки.
Фиг.2. Очаговая гипертрофия кардиомиоцитов и их ядер, уменьшение гиперемии, плазматического пропитывания сосудов системы микроциркуляции, отека межуточного вещества. Отдельные очаги метахроматической реакции коллагеновых волокон и парапластической субстанции.
Фиг.3. Снижение конгофилии межуточного вещества и сосудистых стенок. Гиперемия центральных дольковых вен. Очаговая периваскулярная гистиоцитарная реакция.
Фиг.4. Уменьшение признаков гиперемии, плазматического пропитывания стенок сосудов системы микроциркулляции (прекапилляров, капилляров). Снижение количества фибриллярного белка амилоида в виде рассеянных очаговых скоплений.
Из вышеизложенного видно, что профилактическое введение ацизола является эффективным способом коррекции проявлений нефропатической формы генерализованного амилоидоза.
Формула изобретения
Способ профилактики системного амилоидоза и его нефропатической формы у экспериментальных животных, включающий введение белкового препарата подкожно и амилоидопротекторного препарата, отличающийся тем, что в качестве белкового препарата сирийским хомякам вводят нативную свиную плазму из расчета 0,025 мл/г массы тела, а в качестве амилоидопротектора используют ацизол, вводимый им одновременно ежедневно через зонд в дозе 30 мг/кг в течение 60 дней.
РИСУНКИ
|
|