Патент на изобретение №2386408

Published by on




РОССИЙСКАЯ ФЕДЕРАЦИЯ



ФЕДЕРАЛЬНАЯ СЛУЖБА
ПО ИНТЕЛЛЕКТУАЛЬНОЙ СОБСТВЕННОСТИ,
ПАТЕНТАМ И ТОВАРНЫМ ЗНАКАМ
(19) RU (11) 2386408 (13) C2
(51) МПК

A61B17/56 (2006.01)

(12) ОПИСАНИЕ ИЗОБРЕТЕНИЯ К ПАТЕНТУ

Статус: по данным на 28.09.2010 – может прекратить свое действие

(21), (22) Заявка: 2008109092/14, 07.03.2008

(24) Дата начала отсчета срока действия патента:

07.03.2008

(43) Дата публикации заявки: 20.09.2009

(46) Опубликовано: 20.04.2010

(56) Список документов, цитированных в отчете о
поиске:
RU 98104633/14 А, 10.01.2000. RU 2006119595/14 А, 27.12.2007. RU 2231319 С2, 27.06.2004. RU 2187271 С2, 20.08.2002. МЮЛЛЕР М.Е. и др. “Руководство по внутреннему остеосинтезу”, 1996, с.345-346. SAITO Т “Five-year evolution of a telangiectatic osteosarcoma initially managed as an aneurysmal bone cyst” Skeletal Radiol. 2005 May; 34(5):290-4 (Abstract).

Адрес для переписки:

450083, г.Уфа-83, Р. Зорге, 44, кв.184, В.Г. Карамышеву

(72) Автор(ы):

Никитин Валентин Викторович (RU),
Исламов Салават Ахметнурович (RU),
Файзуллин Ахтям Анасович (RU),
Афанасьев Вениамин Витальевич (RU),
Карамышев Виктор Григорьевич (RU)

(73) Патентообладатель(и):

Никитин Валентин Викторович (RU),
Исламов Салават Ахметнурович (RU),
Файзуллин Ахтям Анасович (RU),
Афанасьев Вениамин Витальевич (RU),
Карамышев Виктор Григорьевич (RU)

(54) СПОСОБ ЛЕЧЕНИЯ АНЕВРИЗМАЛЬНЫХ КИСТ ДЛИННЫХ ТРУБЧАТЫХ КОСТЕЙ

(57) Реферат:

Изобретение относится к медицине, а именно к ортопедии. Проводят трепанацию кости и краевую резекцию кисты. Осуществляют интрамедуллярный блокирующий остеосинтез с последующей остеопластикой дефекта аллоплантом в виде «вязанки дров». Способ позволяет уменьшить внутрикостное давление внутри кисты, способствует исчезновению болевых импульсов, предотвращает опасность патологического перелома и обеспечивает возможность полной опоры на пораженную конечность. 8 ил.

Изобретение относится к медицине, а именно к ортопедии, и предназначено для лечения аневризмальной кисты длинных трубчатых костей.

Известен способ криохирургического лечения костных кист, осложненных патологическими переломами (патент РФ на изобретение 2279858 от 20.07.2006 г.). Выполнение способа предусматривает выделение костных отломков, осуществление внутриочаговой резекции кости, троекратное заполнение жидким азотом остаточной костной полости с экспозицией замораживания в течение 1 минуты и самопроизвольным оттаиванием в течение 3 минут, а также внедрение дистального фрагмента кости в проксимальный и фиксацию их металлической пластиной, затем после наступления консолидации устранение укорочения конечности с помощью аппарата Илизарова. Недостатками этого способа являются следующие.

1. Заполнение жидким азотом костной полости, что приводит к глубокому некрозу костной ткани (в том числе и здоровой) в окружности кисты, а при попадании в окружающие мягкие ткани – к их некрозу.

2. Травматичный накостный остеосинтез пластинами различной конструкции, а после наступления консолидации – устранение укорочения конечности с помощью аппарата Илизарова, что ведет увеличению срока лечения, медицинской и социальной реабилитации. В то же время неизвестна реакция пораженной костной ткани на эффект раздражения костной мозоли дистракцией.

3. Невозможность полной опоры на пораженную конечность на неопределенное время.

Цель изобретения – ранняя мобилизация и способность к полной опоре оперированной конечности после резекции опухоли и остеопластики дефекта аллоплантом, значительное сокращение сроков лечения, полная медицинская и социальная реабилитация пациента.

Поставленная цель достигается тем, что после обращения пациента с диагнозом «Аневризмальная киста» проводится тщательное обследование пациента и предоперационное планирование: сбор анамнеза, лабораторные и лучевые методы диагностики. После обработки операционного поля в проекции локализации аневризмальной кисты делают послойный линейный разрез (фиг.1). Выполняют краевую, сегментарную или эксцентрическую резекциию кости. Затем с помощью навигационной системы (фиг.2, 3) производят интрамедуллярный блокирующий остеосинтез стержнем АО, который соответствует международным стандартам ISO 9001. Дефект костной ткани после краевой, сегментарной или эксцентрической резекции кости заполняют аллоплантом. Аллоплант укладывают на дефект в виде «вязанки дров» (фиг.4). Послойные швы на рану, асептическая повязка. Рентген-контроль. Предлагаемый способ иллюстрируется следующим примером.

Клинический пример.

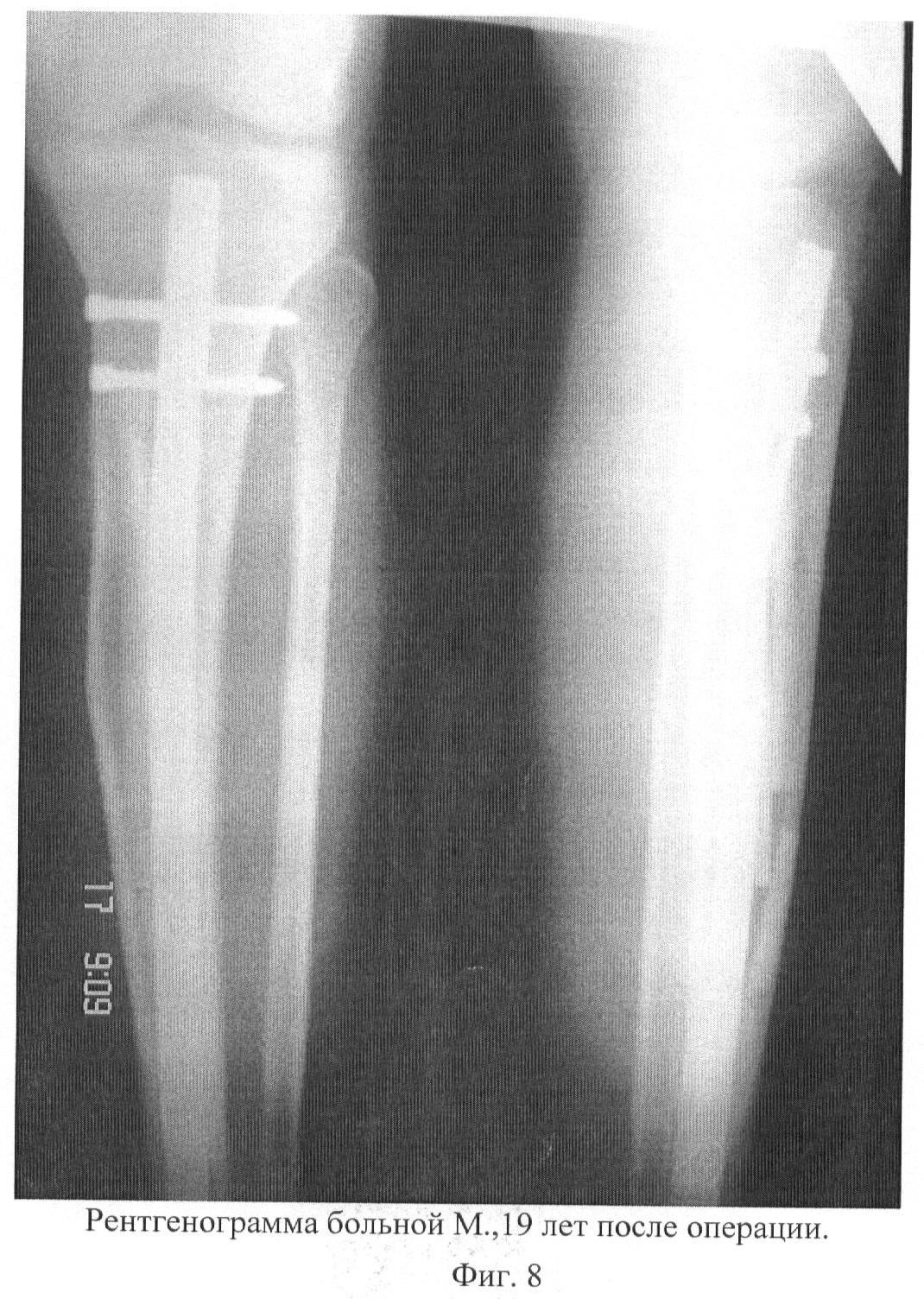
Больная М., 19 лет, обратилась в ГКБ 21 г.Уфы с жалобами на боли в средней трети левой голени. Больной себя считает около 4 лет. В последнее время, перед обращением в клинику ГКБ 21 появились усиливающиеся боли после нагрузок, варусная деформация левой голени.

Больной проведено обследование: компьютерная томография обеих голеней, рентгенография, операционная биопсия костной ткани и полости кисты (цитологическое, гистологическое и бактериологическое исследование костной ткани). Данные гистологического, цитологического исследования: атипичные клетки не выявлены. Роста микрофлоры при бактериологическом посеве не обнаружено. Имеется опасность патологического перелома в зоне очага аневризмальной кисты, так как толщина кортикального слоя костной ткани составляет 1-2 мм. (фиг.5-7).

На клиническом разборе решено провести оперативное лечение: краевая резекция большеберцовой кости, интрамедуллярный блокирующий остеосинтез с костной пластикой дефекта аллоплантом. Решение провести блокирующий остеосинтез было вызвано тем, что имелась опасность перелома из-за потери механической прочности кости после ее краевой резекции, а длительная внешняя иммобилизация и длительная ходьба на костылях вела к тяжелым последствиям (контрактуры суставов, синдром Зудека и пр.). После соответствующей подготовки больная была прооперирована по вышеописанной методике (фиг.8).

С первых суток после операции разрешена полная нагрузка на оперированную конечность, начата лечебная физкультура, проводились перевязки, симптоматическое лечение. Неосложненный послеоперационный период. Послеоперационная рана зажила первичным натяжением. К моменту снятия швов полностью восстановлена функция конечности, исчезли боли. Больной разрешено давать полную нагрузку. Проведенный блокирующий интрамедулярный остеосинтез с костной пластикой аллоплантом позволил больной нести полную нагрузку на пораженную конечность и вести полноценный образ жизни, не боясь возникновения патологического перелома. Получен хороший функциональный результат и полная социальная и медицинская реабилитация.

Формула изобретения

Способ хирургического лечения аневризмальной кисты длинных трубчатых костей, включающий трепанацию кости, краевую резекцию кисты, отличающийся тем, что осуществляют интрамедуллярный блокирующий остеосинтез, остеопластику дефекта аллоплантом в виде «вязанки дров», что предотвращает опасность патологического перелома, дает возможность полной нагрузки на конечность, способствует уменьшению сроков нетрудоспособности, медицинской и социальной реабилитации.

РИСУНКИ

Categories: BD_2386000-2386999