Патент на изобретение №2384302

Published by on




РОССИЙСКАЯ ФЕДЕРАЦИЯ



ФЕДЕРАЛЬНАЯ СЛУЖБА
ПО ИНТЕЛЛЕКТУАЛЬНОЙ СОБСТВЕННОСТИ,
ПАТЕНТАМ И ТОВАРНЫМ ЗНАКАМ
(19) RU (11) 2384302 (13) C1
(51) МПК

A61B17/16 (2006.01)

(12) ОПИСАНИЕ ИЗОБРЕТЕНИЯ К ПАТЕНТУ

Статус: по данным на 28.09.2010 – действует

(21), (22) Заявка: 2008144604/14, 11.11.2008

(24) Дата начала отсчета срока действия патента:

11.11.2008

(46) Опубликовано: 20.03.2010

(56) Список документов, цитированных в отчете о
поиске:
ARLET V. et al. Harvesting local cylinder autograft from adjacent vertebral body for anterior lumbar interbody fusion: surgical technique, operative feasibility and preliminary clinical results. Eur Spine J. 2006 Sep; 15 (9): 1352-9. Epub 2006 Apr 6 (Abstract). RU 2254087 C2, 20.06.2005. US 2005143825 A1, 30.06.2005. МОВШОВИЧ И.А. Оперативная ортопедия. – М., «Медицина», 1994, с.163.

Адрес для переписки:

426072, УР, г.Ижевск, ул. Первомайская, 58-20, В.Г.Федорову

(72) Автор(ы):

Федоров Владимир Григорьевич (RU),
Стрелков Николай Сергеевич (RU),
Соловьев Владимир Михайлович (RU)

(73) Патентообладатель(и):

Федоров Владимир Григорьевич (RU),
Стрелков Николай Сергеевич (RU),
Соловьев Владимир Михайлович (RU)

(54) СПОСОБ КОСТНОЙ ПЛАСТИКИ АУТОТРАНСПЛАНТАТОМ

(57) Реферат:

Изобретение относится к травматологии и ортопедии и может быть применимо для костной пластики. Выпиливают цилиндрический аутотрансплантат диаметром не менее половины ширины суставной щели так, что щель сустава делит его в соотношении 1:2, с образованием двух разновеликих фрагментов, из которых больший берут из кости, имеющей меньший дефект. Разворачивают аутотрансплантат, перекрывая зону артродезируемого сустава или ложного сустава. Способ позволяет устранить микроподвижность трансплантата. 10 ил.

Изобретение относится к медицине, в частности к травматологии и ортопедии, и может быть использован для артродеза сустава и оперативного лечения ложного сустава в области губчатой кости.

Известен способ костной пластики при спондилодезе (см. И.А.Мовшович. Оперативная ортопедия. Москва, 1983. С.317), который осуществляют после получения двух полуцилиндрических костных трансплантатов и их разворотом на 90°, а с целью фиксации используется взятый из другого места свободный аутотрансплант, который вбивается между полуцилиндрами.

Недостатком данного способа является то, что полуцилиндрические трансплантаты выпиливаются на всю длину, что может привести к повреждению анатомических образований противоположной стороны. Также происходит удлинение оперативного лечения и увеличение травматичности самой операции в связи с необходимостью дополнительного момента операции по удалению суставной поверхности (диска).

Известен способ артродеза подтаранного сустава (см. Оперативная хирургия под общей редакцией проф. И.Литмана; глава 8. Травматология. Будапешт. 1982. С.958.) запиранием его, после иссечения суставной поверхности, при помощи двух выпиленных полуцилиндров с разворотом их на 90°.

Недостатками данного способа, взятого в качестве прототипа, являются следующие: во-первых, полуцилиндрические трансплантаты выпиливаются на всю длину и появляется возможность повреждения сухожилий и нервов противоположной стороны стопы, во-вторых, удаление суставной поверхности таранной и пяточной костей является утяжеляющим моментом операции артродеза, как по времени, так и по травматичности; в-третьих после удаления суставный поверхности произойдет укорочение конечности на 1-1,5 см. Кроме того, трансплантат без дополнительной фиксации будет находиться в образовавшемся туннеле как свободный секвестр – он будет «висеть» в пространстве без тесного контакта с окружающими тканями. В результате без дополнительной фиксации может появиться его микроподвижность и трансплантат может постепенно рассосаться. Следовательно, эффективность оперативного вмешательства будет отсутствовать.

Задачей заявленного изобретения является упрощение способа костной пластики, сокращение времени операции и уменьшение травматичности способа.

Использование заявленного способа позволит упростить артродез сустава (пластику ложного сустава) – нет необходимости в иссечении суставного хряща (зоны ложного сустава), значит, сокращается время операции; при этом способе не укорачивается конечность; при выпиливании трансплантата невозможно повредить нервы, сосуды, сухожилия, находящиеся с противоположной стороны сустава (ложного сустава); при выпиливании трансплантата состоящего из разновеликих частей отпадает необходимость в получении дополнительного трансплантата при дефекте суставной поверхности; фиксируя каждый трансплантат к ложу мы получаем их неподвижность и тем самым ускоряем вживление трансплантатов, сокращаем сроки сращения и реабилитации.

Поставленная задача достигается тем, что согласно способу костной пластики аутотрансплантатом, заключающемуся в выпиливании цилиндрического трансплантата, извлечении и развороте его, таким образом, что цилиндрический аутотрансплантат выпиливают диаметром не менее половины ширины сустава и так, что щель сустава делит трансплантат в соотношении не менее 1:2, при этом выпиливание цилиндрического аутотрансплантата производят не на всю глубину сустава, оставляя неиссеченными суставные хрящи, рубцы, с последующим разворотом аутотрансплнатата, перекрывая зону артродезируемого сустава (ложного сустава) и производят остеосинтез обеих частей.

Заявленный способ поясняется чертежом, на котором изображено:

Фиг.1 – Схема-пример на подтаранном суставе. Вид во фронтальной плоскости. Планирование трансплантата.

Фиг.2 – Схема-пример на подтаранном суставе. Вид в сагиттальной плоскости. Планирование трансплантата.

Фиг.3 – Схема-пример на подтаранном суставе. Вид во фронтальной плоскости после разворота трансплантата. Зона сустава перерыта.

Фиг.4 – Схема-пример на подтаранном суставе. Вид в сагиттальной плоскости после разворота трансплантата. Зона сустава перерыта.

Фиг.5 – Контрольная рентгенограмма подтаранного сустава после артродеза заявленным способом и остеосинтеза трансплантатов винтом в прямой проекции.

Фиг.6 – Контрольная рентгенограмма подтаранного сустава после артродеза заявленным способом и остеосинтеза трансплантатов винтом в боковой проекции.

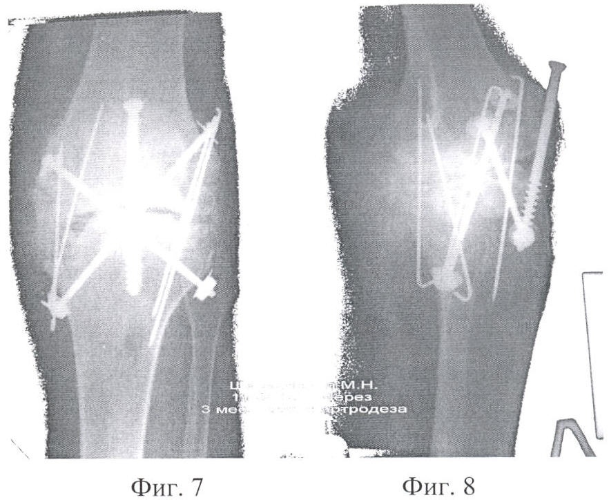
Фиг.7 – Контрольная рентгенограмма коленного сустава после артродеза заявленным способом (с двух сторон сустава) и остеосинтеза трансплантатов спицами в прямой проекции.

Фиг.8 – Контрольная рентгенограмма коленного сустава после артродеза заявленным способом (с двух сторон сустава) и остеосинтеза трансплантатов спицами в боковой проекции.

Фиг.9 – Рентгенограмма коленного сустава той же больной до операции, имеется дефект мыщелка большеберцовой кости в прямой проекции.

Фиг.10 – Рентгенограмма коленного сустава той же больной до операции в боковой проекции

Способ оперативного вмешательства осуществляется следующим образом. До операции планируется диаметр фрезы, который должен быть не менее половины ширины суставной щели со стороны оперативного вмешательства, при этом большая часть трансплантата планируется выпиливать со стороны суставной поверхности, имеющей меньший дефект. На фиг.9 и 10 меньший дефект имеет мыщелок бедренной кости. Больной укладывается на операционном столе. Обрабатываются кожные покровы, как перед операцией. На конечность накладывается жгут с целью обескровливания операционного поля. Производится послойный доступ к суставу (ложному суставу). При необходимости производится коррекция вальгусной или варусной деформации сустава с временным фиксированием его спицами. Место для введения цилиндрической фрезы особо не готовится, т.е. не иссекаются связки, рубцы и надкостница. Цилиндрической фрезой выпиливается на заранее запланированную (фиг.1, фиг.2) глубину два разновеликих трансплантата (больший трансплантат берется из менее травмированной кости, имеющей меньший дефект). Оба трансплантата извлекаются или сразу же разворачиваются в образовавшемся туннеле так, чтобы полностью заполнился дефект в кости и перекрыл зону ложного сустава. Импактором по торцу введенных трансплантатов наносятся удары (трансплантаты вбиваются) с целью слегка расширить их («смять», чтобы они плотно сели на место) и сразу же производится остеосинтез каждого трансплантата спицей или винтами, или же винтом обоих трансплантатов с одновременным фиксированием сустава (фиг.5). Вслед за трансплантатами укладываются оставшиеся костные фрагменты или они вбиваются между трансплантатами (если они есть, например, срубленные остеофиты) и рана послойно зашивается до дренажа. Затем производится дополнительная иммобилизация гипсовой повязкой на срок до трех месяцев в зависимости от анатомической области оперативного вмешательства.

Данные операции применяются в ортопедическом отделении с 22 августа 2000 г., с положительным эффектом: малая травматичность и кровопотеря, сокращение времени операции, отсутствие укорочения конечности, сокращение сроков иммобилизации до трех месяцев. На момент подачи заявки выполнено 72 операции. Первая операция больной: Медицинская карта ортопедического отделения 818. Дата и время поступления – с 14 августа 2000.

Формула изобретения

Способ костной пластики аутотрансплантатом, заключающийся в выпиливании цилиндрического аутотрансплантата, состоящего из двух фрагментов, извлечении, развороте и в обратном введении его в образовавшийся цилиндрический тоннель, отличающийся тем, что цилиндрический аутотрансплантат диаметром не менее половины ширины суставной щели выпиливают цилиндрической фрезой так, что щель сустава делит его в соотношении 1:2, с образованием двух разновеликих фрагментов, из которых больший берут из кости, имеющей меньший дефект, при этом выпиливание цилиндрического аутотрансплантата производят не на всю глубину сустава, без иссечения суставных хрящей и рубцов по ходу зоны ложного сустава или артродезируемого сустава, далее аутотрансплантат разворачивают, перекрывая зону артродезируемого сустава или ложного сустава и производят остеосинтез.

РИСУНКИ

Categories: BD_2384000-2384999