Патент на изобретение №2379764

Published by on




РОССИЙСКАЯ ФЕДЕРАЦИЯ



ФЕДЕРАЛЬНАЯ СЛУЖБА
ПО ИНТЕЛЛЕКТУАЛЬНОЙ СОБСТВЕННОСТИ,
ПАТЕНТАМ И ТОВАРНЫМ ЗНАКАМ
(19) RU (11) 2379764 (13) C1
(51) МПК

G09B23/28 (2006.01)

(12) ОПИСАНИЕ ИЗОБРЕТЕНИЯ К ПАТЕНТУ

Статус: по данным на 17.09.2010 – действует

(21), (22) Заявка: 2008128900/14, 14.07.2008

(24) Дата начала отсчета срока действия патента:

14.07.2008

(46) Опубликовано: 20.01.2010

(56) Список документов, цитированных в отчете о
поиске:
EKELUND L. et.al. Blood supply of experimental liver tumors after intraarterial embolization with gelfoam powder and absolute ethanol. Cardiovasc. Intervent Radiol. 1984. 7: 234-239 (abstr). RU 2193237 C1, 20.11.2002. RU 2012927 C1, 15.05.1994. CA 2293585 A1, 23.12.1998. YING P. et al. Synthetic Liver Lesion Models. [ON-LINE], 2005 г. [найдено14.04.2009], www.cisst.org/~cista/446_2005/Projects/Student_projects/LiverLesion/ synthetic%201iver%201eision.ppt. SHEAFF M.T., HOPSTER D.J. Post mortem technique handbook. 2nd ed., 2005, XIV, P. 203-204. МАЛОФЕЕВ Ю.М. и др. Способ использования монтажной пены «Makroflex» при исследовании кровеносного русла у животных. Вестник Алтайского ГАУ. 2008. 11 (49): 37-39.

Адрес для переписки:

620137, г.Екатеринбург, ул. Студенческая, 16, ВНИИМТ, патентный отдел, В.А. Щербининой

(72) Автор(ы):

Журавлев Валентин Андреевич (RU),
Сухоруков Владимир Павлович (RU),
Русинов Владимир Михайлович (RU),
Бахтин Вячеслав Андреевич (RU)

(73) Патентообладатель(и):

Журавлев Валентин Андреевич (RU),
Сухоруков Владимир Павлович (RU),
Русинов Владимир Михайлович (RU),
Бахтин Вячеслав Андреевич (RU)

(54) СПОСОБ МОДЕЛИРОВАНИЯ ОЧАГОВЫХ ОПУХОЛЕВЫХ ПОРАЖЕНИЙ ПЕЧЕНИ

(57) Реферат:

Изобретение относится к экспериментальной медицине и может быть использовано при создании моделей опухолевых поражений печени. Способ заключается во введении в паренхиму трупного препарата печени человека монтажной пены. Данный способ позволяет создать модель, приемлемую для изучения заданных анатомо-топографических и биологических изменений в организме, при этом не требует условий, необходимых для манипуляций с живыми организмами, а также использования специальных медицинских инструментов. 1 ил.

Изобретение относится к экспериментальной медицине и может быть использовано при создании моделей опухолеподобных образований, например паразитарных кист, гемангиом, опухолеподобных процессов печени, с целью изучения анатомо-топографических и биологических изменений в организме, обусловленных наличием инородных тел типа доброкачественных и злокачественных новообразований.

Известен способ моделирования (Х.Д.Кулиева «Моделирование инородных тел – «опухолей» печени, селезенки и изучение анатомо-топографических особенностей сосудов методом прижизненного зондирования и селективной ангиографии». Экспериментальная хирургия и анестезиология. 1976 г., 1, стр.47-49).

Известный способ включает введение нерентгеноконтрастного вещества – латекса – в печеночную и селезеночную артерии животного через зонд. После затвердевания латекса определяют топическое расположение «опухоли» в печени и селезенке методом зондирования и селективной ангиографии. Известный способ позволяет изучать анатомо-топографические изменения до и после введения латекса, определить место, локализацию и протяженность пораженного участка органа, а также реакцию сосудов органов на введение инородного тела.

Недостаток известного способа заключается в его низкой технологичности, обусловленной быстрым затвердеванием латекса в просвете зонда, что непригодно для дальнейшего его использования. Кроме того, исследования на живых организмах являются вынужденно антигуманными.

Задача настоящего изобретения заключается в разработке более гуманного и технологичного способа создания модели «опухоли» печени человека.

Для решения этой задачи заявленный способ моделирования очаговых опухолевых поражений печени включает введение в трупный препарат печени человека монтажной пены с последующей ангиографией печеночных вен и их ветвей.

Новизна заявленного способа заключается в применении для моделирования опухолевых поражений печени трупного препарата печени человека, притом, что монтажная пена, введенная в такого рода препарат, создает в нем модель, приемлемую для изучения заданных анатомо-топографических и биологических изменений в организме.

Достоинства способа заключаются в том, что использование трупного материала не требует соблюдения условий, необходимых для манипуляций с живыми организмами, а также применения специализированных медицинских инструментов, например зондов и пр.

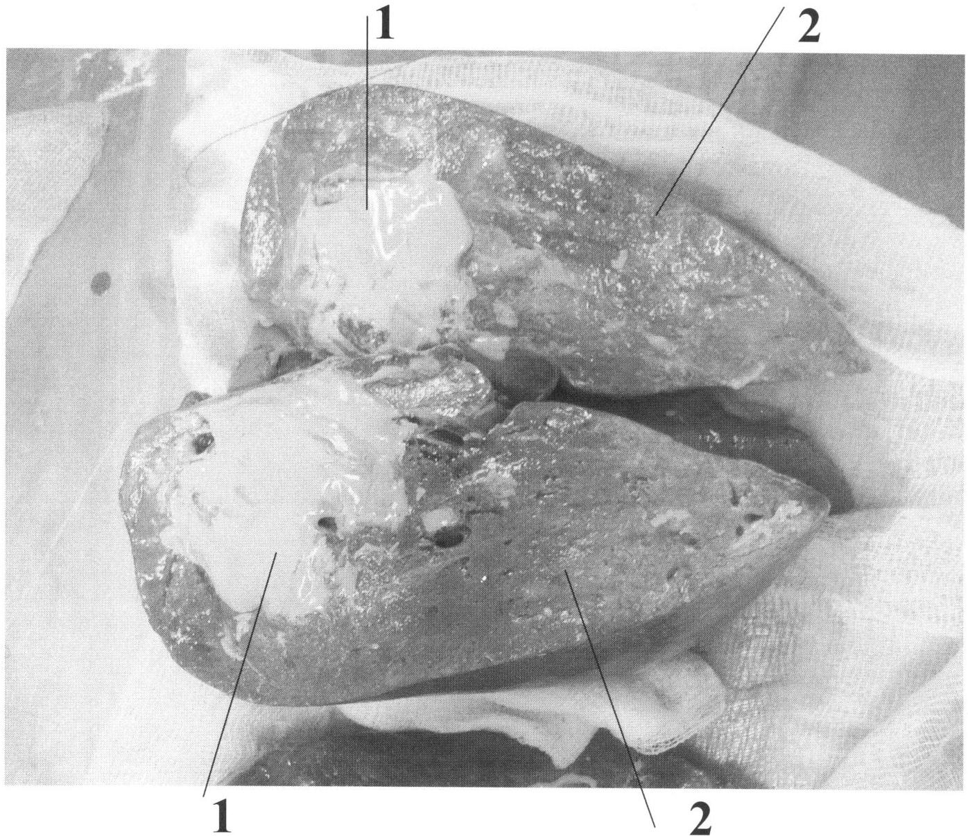
Для реализации заявленного способа использовали трупный препарат печени внезапно умершего человека с отсутствующей патологией печени, сохраненный в электрохолодильном шкафу при температуре +4 градуса Цельсия в течение не более 24 часов. В паренхиме трупного препарата печени иссекают капсулу диаметром 5-6 мм, в нее тупым путем вводят трубку из латекса на глубину 3-4 см. К трубке присоединяют флакон с монтажной пеной, которую вводят с быстрым удалением трубки. Места прокола придерживают мокрым тампоном, смоченным в холодной воде, предотвращая выход введенной пены. Модели, созданные таким образом на 5 препаратах, исследовали на предмет изучения сосудистой архитектоники методом зондирования и селективной ангиографии печеночных вен и их ветвей. Полученные изображения вполне отчетливо показывают, каким образом изменяется направление сосудов при очаговых объемных заболеваниях печени. Полученная экспериментальная модель «опухоли» печени оказалась крайне удобной для освоения хирургами техники резекции печени при очаговых поражениях магистральных сосудов печени и нижней полой вены. Модель представлена на фотографии препарата правой доли печени с опухолью 1, моделированной монтажной пеной, введенной в трупный препарат печени 2 человека (чертеж).

Экспериментальная проверка способа проводилась на базе судебной медицинской экспертизы МСРЗ РФ г.Кирова и Кировской Государственной Медицинской Академии, кафедры хирургии ИПО.

Формула изобретения

Способ моделирования очаговых опухолевых поражений печени путем введения в паренхиму трупного препарата печени человека монтажной пены.

РИСУНКИ

Categories: BD_2379000-2379999