Патент на изобретение №2370247

Published by on




РОССИЙСКАЯ ФЕДЕРАЦИЯ



ФЕДЕРАЛЬНАЯ СЛУЖБА
ПО ИНТЕЛЛЕКТУАЛЬНОЙ СОБСТВЕННОСТИ,
ПАТЕНТАМ И ТОВАРНЫМ ЗНАКАМ
(19) RU (11) 2370247 (13) C2
(51) МПК

A61F9/007 (2006.01)

(12) ОПИСАНИЕ ИЗОБРЕТЕНИЯ К ПАТЕНТУ

Статус: по данным на 18.08.2010 – может прекратить свое действие

(21), (22) Заявка: 2007149407/14, 26.12.2007

(24) Дата начала отсчета срока действия патента:

26.12.2007

(46) Опубликовано: 20.10.2009

(56) Список документов, цитированных в отчете о
поиске:
ГРУЗДЕВ Н.А. и др. Особенности клинического течения и лечения одонтогенных флегмон орбиты. Офтальмологический журнал. 7, 1988, с.438-440. RU 2068655 C1, 10.11.1996. RU 2240085 C2, 20.11.2004. DROPPA J. Rhinogenous phlegmons of the orbit. Cesk Otolaryngol. 1990 Sep; 39(5):271-5(abstract).

Адрес для переписки:

454021, г.Челябинск, пр. Победы, 287, УГМАДО, библиотека

(72) Автор(ы):

Тарасова Лариса Николаевна (RU),
Хакимова Гузель Мансуровна (RU),
Муняев Валерий Валентинович (RU),
Чернов Сергей Владимирович (RU)

(73) Патентообладатель(и):

Государственное образовательное учреждение дополнительного профессионального образования “Уральская государственная медицинская академия дополнительного образования Федерального агентства по здравоохранению и социальному развитию” (ГОУ ДПО УГМАДО Росздрава) (RU)

(54) СПОСОБ ХИРУРГИЧЕСКОГО ЛЕЧЕНИЯ ФЛЕГМОНЫ ОРБИТЫ ОДОНТОГЕННОГО ПРОИСХОЖДЕНИЯ

(57) Реферат:

Изобретение относится к области медицины, в частности к офтальмохирургии. Через разрез кожи вдоль ресничного края орбитотомию проводят одномоментно поднадкостнично и наднадкостнично с выделением кожно-мышечной пластинки нижнего века. Субпериостальное пространство промывают антисептическим раствором, одновременно осуществляя ревизию нижней стенки орбиты. Удаляют костные секвестры нижней стенки орбиты. Выполняют двойное дренирование субпериостального пространства в верхнечелюстную пазуху путем формирования отверстия в нижней стенке орбиты и наружу в рану. Рассекают тарзо-орбитальную фасцию. Вскрывают ретробульбарную клетчатку до вершины орбиты. Дренаж выводят на кожу, накладывают швы на разрез периоста, тарзо-орбитальной фасции. Укладывают кожно-мышечный лоскут и подшивают в наружной части раны поверх выведенных дренажей. Способ обеспечивает полноценную ревизию тканей орбиты, одновременное дренирование ретробульбарной клетчатки и снижение внутриорбитального давления, исключение формирования кожных рубцов. 11 ил.

Изобретение относится к области медицины, в частности к офтальмохирургии, и может быть использовано в качестве хирургического лечения флегмоны орбиты одонтогенного происхождения.

В настоящее время для хирургического лечения флегмоны орбиты одонтогенного происхождения, причиной которого может быть гнойный периодонтит, гранулема пораженного зуба с последующим развитием гайморита, остеомиелит нижней стенки орбиты с секвестрацией кости, субпериостальный абсцесс, гнойное воспаление ретробульбарной клетчатки, используется ряд хирургических методик.

Однако при таком способе хирургического лечения не дренируется ретробульбарная клетчатка.

7. – с.438-440). В данном способе проводится разрез кожи длиной 1 см по нижне-наружному орбитальному краю, вскрывается тарзо-орбитальная фасция и дренируется ретробульбарная клетчатка до вершины орбиты.

Недостатками данного способа являются – недостаточная ревизия тканей орбиты; не дренируется субпериостальное пространство; требуется повторная орбитотомия из-за неадекватного дренирования; формирование грубого втянутого рубца орбиты с укорочением свода, выворотом нижнего века, лимфостаза, требующих в последующем косметических операций.

Задачей изобретения является создание достаточно простого способа хирургического лечения флегмоны орбиты одонтогенного происхождения.

Технический результат изобретения – купировать флегмону орбиты одонтогенного происхождения и сократить сроки лечения заболевания, исключить необходимость повторного вскрытия орбиты, предотвратить развитие интракраниальных осложнений, летальный исход и получить хороший косметический эффект.

Указанный технический результат реализуется за счет того, что в известном способе хирургического лечения флегмоны орбиты одонтогенного происхождения путем простой транскутанной наднадкостничной орбитотомии по нижнему орбитальному краю согласно изобретению орбитотомию проводят одномоментно поднадкостнично и наднадкостнично чрезкожным доступом вдоль ресничного края с выделением кожно-мышечной пластики нижнего века, с секвестрэктомией нижней стенки орбиты, двойным дренированием субпериостального пространства в верхнечелюстную пазуху и наружу в рану.

Проведенные исследования по патентным и научно-техническим источникам информации показали, что предлагаемый способ неизвестен и не следует явным образом из изученного уровня техники, т.е. соответствует критериям «новизна» и «изобретательский уровень».

Предложенный способ хирургического лечения флегмоны орбиты одонтогенного происхождения имеет следующие преимущества:

– широкий доступ обеспечивает полноценную ревизию тканей орбиты и диагностику субпериостального абсцесса, остеомиелита нижней стенки орбиты;

– позволяет удалить костные секвестры;

– осуществить двойное дренирование субпериостального абсцесса в гайморову пазуху и наружу;

– одновременно дренировать ретробульбарную клетчатку, снизить внутриорбитальное давление;

– исключить формирование рубцов кожи, спаянных с костным краем, деформацию нижнего века, орбиты, необходимость косметических операция.

Предлагаемый способ лечения осуществляется следующим образом.

Под интубационным наркозом проводят разрез кожи в 2 мм от ресничного края в наружной части нижнего века до наружной спайки. Отсепаровывают кожно-мышечную пластинку века на всем протяжении до нижнего орбитального края (фиг.1). Последовательно на 1 этапе по нижнему орбитальному краю, отступая на 2-3 мм книзу, проводят разрез надкостницы длиной 1,5-2,0 см, отслаивают периост кверху, диагностируют субриостальный абсцесс, субпериостальное пространство промывают раствором хлоргексидина 0,05%, одновременно осуществляют ревизию нижней стенки орбиты, удаляют костные секвестры (фиг.2). Выполняют двойное дренирование субпериостального абсцесса – в гайморову пазуху путем формирования отверстия диаметром 3-5 мм в нижней стенке орбиты и – наружу по трубочному дренажу в рану (фиг.3).

Далее на 2 этапе рассекают тарзо-орбитальную фасцию в 2 мм выше края орбиты длиной 1 см, вскрывают ретробульбарную клетчатку до вершины орбиты на 4 см, диагностируют флегмону орбиты, полихлорвиниловый дренаж выводят на кожу (фиг.4, 5). Накладывают направляющие швы Prolen 6/0 на разрез периоста, тарзо-орбитальной фасции, укладывают кожно-мышечный лоскут и подшивают в наружной части раны поверх выведенных дренажей (фиг.6).

При флегмоне орбиты одонтогенного происхождения предварительно челюстно-лицевой хирург выполняет ревизию верхней челюсти в зоне удаленного зуба, гайморотомию по Caldwell – Luc с доступом по переходной складке полости рта, собачьей ямки. При сопутствующем тромбофлебите вен лица вскрывается и дренируется щечная область, крылонебная и подвисочная ямки.

В послеоперационном периоде проводят ежедневные перевязки 2-3 раза в сутки с промыванием орбиты по дренажам раствором хлоргексидина 0,05%. Дренажи удаляют на 2-5 сутки после исчезновения гнойного экссудата.

Данный способ хирургического лечения отличается простотой выполнения и может быть применим в любой многопрофильной больнице, где есть специалисты, владеющие гайморотомией, орбитотомией, следовательно, соответствует критерию «практически применим».

По данным исследования эффективность простой наднадкостничной орбитотомии при флегмоне орбиты одонтогенного происхождения у 5 (71%) из 7 пациентов потребовалась дополнительная ревизия орбиты на фоне развившихся у 4 больных интракраниальных осложнений, у 1 с летальным исходом. Клиническое выздоровление достигнуто по стандартной технологии через 4-5 недель.

Предлагаемый способ одномоментной поднадкостничной и наднадкостничной орбитотомии чрезкожным доступом вдоль ресничного края позволил у 5 (83%) из 6 пациентов исключить необходимость повторного вскрытия орбиты, купировать флегмону орбиты одонтогенного происхождения, сократить сроки заболевания в два и более раза, предотвратить развитие интракраниальных осложнений, летальный исход и получить хороший косметический эффект. Клиническое выздоровление достигнуто по предложенной технологии через 2-3 недели.

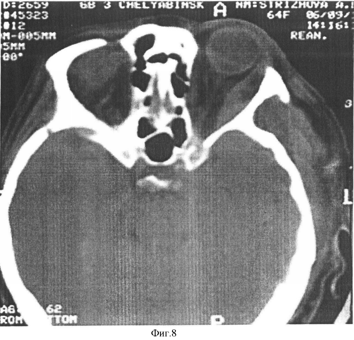
Пример 1: Пациентке Стрижовой А.П., 64 года (ист. болезни 19207, сентябрь 2006 г.), 31 августа удален зуб (6) верхней челюсти. В течение 2 суток повысилась температура до 38°. Появился отек век, легкий экзофтальм. 3 сентября в стоматологической поликлинике выполнена периостотомия верхней челюсти в связи с развившимся гнойным периодонтитом, остеомиелитом. 4 сентября поступила в отделение челюстно-лицевой хирургии с гнойным гаймороэтмоидитом, флегмоной орбиты, щечной, подвисочной области, крылонебной ямки, тромбохом каверзного синуса слева. При поступлении температура 38,5°С, общая слабость, головная боль, тошната, с трудом открывает рот, гнойный экссудат в лунке удаленного зуба, отек верхней переходной складки полости рта, гиперемия кожи, инфильтрат щечной области 6·8 см. OS: visus=0, умеренная гиперемия, отек верхнего и нижнего век, умеренный экзофотальм кпереди (разница со здоровым 3 мм), полная офтальмоплегия, геморрагический хемоз с ущемлением между плотными веками, ДЗН бледно-розовый, четкие границы, артерии сужены, вены умеренно расширены (фиг.7). В крови лейкоцитоз 14,5·109 с нейтрофильным сдвигом влево до 18, повышены моноциты 10%, СОЭ 35 мм/ч, сахар 6,3 ммоль/л, ацетон в моче, гиперкоагуляция. На рентгенограмме черепа обнаружено тотальное затемнение гайморовой пазухи слева. При компьютерной томографии обнаружено образование вдоль нижне-наружной стенки орбиты до вершины 35·9 мм с неоднородным содержимым; деструкции нижней костной стенки орбиты; повышение плотности ретробульбарной клетчатки; уровень жидкости в гайморовой пазухе (фиг.8). Неврологом выявлены ригидность затылочных мышц, симптомы Бабинского, Кернига; в ликворе – белок, нейтрофилы. Через 6 часов с момента поступления произведена операция при совместном участии офтальмолога, оториноларинголога, челюстно-лицевого хирурга: ревизия зоны удаленного зуба, вскрытие и дренирование флегмоны щечной области, подвисочного пространства, кралонебной ямки, гаймороэтмотдотомия, одномоментная орбитотомия со вскрытием и двойным дренированием поднадкостничного пространства, диагностирован субпериостальный абсцесс, выполнена секвестрэктомия нижней стенки орбиты, дренирование субпериостального пространства в гайморову пазуху и наружу, вскрытие ретробульбарной клетчатки (фиг.9, 10). При бактериологическом исследовании выявлен Staphylococcus aureus, Enterococcus faecium. В послеоперационном периоде лечение проводилось в условиях отделения интенсивной терапии с применением антибиотиков широкого спектра (тиенам, цефепим); дезинтоксикационных, антикоагулянтных, сосудистых, ноотропных препаратов (солевые растворы, реополиглюкин, гепарин, фраксипарин, аспирин, пентоксифиллин, ноотропил, актовегин). В течение первой недели гнойная инфекция купирована, снизилась температура, гнойное отделяемое из орбиты исчезло на 5 сутки, дренажи удалены на 9 сутки. 13 сентября наложены вторичные швы на нижнее веко (фиг.11). Через 3 недели полностью восстановилась подвижность глаза, правильное положение глазного яблока и век, глазная щель симметрична.

Пример 2. Пациентка Богданова Н.О., 34 года (ист. Болезни 10565, май 2006 г.), 29 апреля поступила в отделение челюстно-лицевой хирургии с диагнозом: острый одонтогенный остеомиелит верхней челюсти, гнойный гемисинусит, флегмона орбиты слева, кератит с изъявлением, вторичным инфицированием, острое нарушение кровообращения верхнее-височной ветви центральной артерии сетчатки OS. В анемнезе: 6 суток назад удален зуб верхней челюсти, через 3 суток повысилась температура до 39°С, появился отек век, самостоятельно принимала ампициллин. При поступлении: visus 0,01, выпадение нижне-внутреннего сегмента поля зрения, плотные гиперемированные веки, ущемленный хемоз с некрозом, экзофтальм (разница выстояния 9 мм), полная офтальмоплегия, в нижнем сегменте поверхностная язва роговицы с инфильтрацией. В крови лейкоцитоз 11,1·109/л, палочкоядерный сдвиг 13%, СОЭ 48 мм/ч. На рентгенограмме затемнены все пазухи носа слева. При КТ диагностирован гемисинусит, повышение плотности ретробульбарной клетчатки, утолщение стенок орбиты. По данным УЗДГ снижение кровотока в левой глазной артерии на 30%. 30 апреля выполнена операция – удаление 4, 5, 6 зубов, левосторонняя фронтогаймороэтмоидотомия, одномоментная поднадкостничная и наднадкостничная орбитомия подресничным доступом. При бактериологическом исследовании отделяемого из орбиты обнаружены Staphylococcus aureus, Streptococcus viridans, Enterococcus faecalis. Гнойное отделяемое из раны сохранялось, 6 мая выполнена дополнительная ревизия с удалением костных секвестров нижней стенки орбиты, пазух носа, блефарорафия. Вторая операция объяснялась продолжающимся остеомиелитом. Хирургическое лечение проводилось на фоне внутривенных инфузий метрогила, ципрофлоксацина, затем тиенама. 16 мая наложены вторичные швы на рану века. Через три недели сформировалось поверхностное помутнение роговицы, частичная атрофия зрительного нерва с остротой зрения 0,1, хороший косметический результат.

Формула изобретения

Способ хирургического лечения флегмоны орбиты одонтогенного происхождения путем простой транскутанной наднадкостничной орбитотомии по нижнему орбитальному краю, отличающийся тем, что через разрез кожи вдоль ресничного края орбитотомию проводят одномоментно поднадкостнично и наднадкостнично с выделением кожно-мышечной пластинки нижнего века, субпериостальное пространство промывают антисептическим раствором, одновременно осуществляя ревизию нижней стенки орбиты, удаляют костные секвестры нижней стенки орбиты, выполняют двойное дренирование субпериостального пространства в верхнечелюстную пазуху путем формирования отверстия в нижней стенке орбиты и наружу в рану, рассекают тарзо-орбитальную фасцию, вскрывают ретробульбарную клетчатку до вершины орбиты, дренаж выводят на кожу, накладывают швы на разрез периоста, тарзо-орбитальной фасции, укладывают кожно-мышечный лоскут и подшивают в наружной части раны поверх выведенных дренажей.

РИСУНКИ

Categories: BD_2370000-2370999