|
|
(21), (22) Заявка: 2008128205/02, 10.07.2008
(24) Дата начала отсчета срока действия патента:
10.07.2008
(46) Опубликовано: 10.08.2009
(56) Список документов, цитированных в отчете о поиске:
RU 2206642 С2, 20.06.2003. RU 2287315 С2, 20.11.2006. RU 2291918 C1, 20.01.2007. US 2005143743 A1, 30.06.2005.
Адрес для переписки:
308015, г.Белгород, ул. Победы, 85, БелГУ, отдел ИС
|
(72) Автор(ы):
Ковалева Марина Геннадьевна (RU), Колобов Юрий Романович (RU), Сирота Вячеслав Викторович (RU), Храмов Георгий Викторович (RU)
(73) Патентообладатель(и):
Государственное образовательное учреждение высшего профессионального образования “Белгородский государственный университет” (RU)
|
(54) СПОСОБ ПОЛУЧЕНИЯ ПОКРЫТИЙ НА ИЗДЕЛИЯХ, ВЫПОЛНЕННЫХ ИЗ ТИТАНА И ЕГО СПЛАВОВ
(57) Реферат:
Изобретение относится к электрохимическим способам получения покрытий на изделиях, выполненных из титана и его сплавов, и может быть использовано для получения биоактивных поверхностей на имплантатах. Способ включает помещение изделия в водный раствор электролита и возбуждение на поверхности изделия микродуговых разрядов, при этом используют электролит, содержащий, мас.%: гидроксид калия 2; наноструктурный гидроксиапатит 0,5, причем наноструктурный гидроксиапатит вводят в виде водного коллоидного раствора. Изделие обрабатывают в импульсном анодно-катодном режиме с анодно-катодным током частотой 50 Гц, длительностью анодного и катодного импульсов 250 мкс и задержкой катодного импульса 1000 мкс. Технический результат: получение покрытия составом, аналогичным составу костной ткани, с соотношением Са/Р примерно равным 1,67, обладающего развитой поверхностной структурой и высокими механическими свойствами. 1 з.п. ф-лы, 1 табл., 5 ил.
Изобретение относится к электрохимическим способам получения покрытий на изделиях, выполненных из титана и его сплавов, и может быть использовано для получения биоактивных поверхностей на имплантатах.
Биоактивность имплантатов достигается за счет формирования на их поверхности биоактивного покрытия с высокоразвитой структурой поверхности. Биоактивность достигается также за счет осаждения на поверхность имплантата компонентов, сходных с составом костной ткани.
Известен способ получения гидроксиапатитовых покрытий [1] путем нанесения суспензии на титан и его сплавы постоянным или импульсным током в условиях искрового разряда в водном растворе электролита (фосфорная кислота), сушки при температуре 80-100°С и обжига при температуре 600-800°С в течении 0,5-1 часа, где в качестве суспензии используют синтетический и биологический порошок гидроксиапатита при соотношении компонентов, мас.%: синтетический порошок гидроксиапатита – 10-90, биологический порошок гидроксиапатита – 10-90.
Недостатком данного способа является использование дорогостоящего биологического компонента и дополнительных затрат электроэнергии для проведения обжига покрытий при температуре 600-800°С.
Наиболее близким к предлагаемому является способ модифицирования поверхности медицинских изделий [2], в котором изделия помещают в водный раствор электролита и осуществляют возбуждение микродуговых разрядов на поверхности изделия наложением импульсов анодно-катодного тока частотой 50 Гц, при напряжении до 1000 В, длительности анодного, катодного импульсов 30-400 мкс и паузой между ними не менее 100 мкс.
Недостатком данного способа является то, что в качестве составляющих электролита используют широкий ряд элементов не входящих в состав костной ткани, которые при взаимодействии покрытия с биологической средой способны накапливаться в организме.
Также недостатком данного способа является то, что при нанесении покрытия с добавлением в электролит гидроксиапатита, ни в одном из приведенных примеров не достигнуто соотношение фосфора и кальция в покрытии, близкое к составу костной ткани (~1,67).
В основу настоящего изобретения положена задача расширить арсенал способов получения покрытий, позволяющих модифицировать поверхность титановых имплантатов путем придания ей биоактивных свойств.
Технический результат – способ позволяет получить развитую поверхностную структуру покрытия с высокими механическими свойствами и заданным элементным составом, близким к составу костной ткани.
Поставленная задача решается тем, что, как и в известном способе, медицинские изделия, выполненные из титана и его сплавов, например имплантаты, помещают в водный раствор электролита с рН 11-12 и на поверхности изделия возбуждают микродуговые разряды в импульсном анодно-катодном режиме со следующими параметрами: анодно-катодный ток частотой 50 Гц, длительность анодного, катодного импульсов 250 мкс; задержка катодного импульса 1000 мкс.
Отличительным признаком заявляемого изобретения является то, что в качестве электролита используют состав, который готовят путем приливания к 1,0% водному коллоидному раствору гидроксиапатита 4%-го раствора гидроксида калия в объемном соотношении 1:1, получая состав содержащий, об.%:
– 2% водный раствор гидроксида калия – 50,
– 0,5% водный коллоидный раствор наноструктурного гидроксиапатита – 50.
Наноструктурный размер гидроксиапатита позволяет его коллоидным частицам легко мигрировать в жидкой среде электролита под действием внешнего электрического поля и способствует равномерному внедрению в формирующееся покрытие.
Дополнительный эффект – отсутствие необходимости проведения ультразвуковой обработки электролита, которая обычно требуется для формирования коллоидного раствора однородной консистенции и уменьшения размера частиц гидроксиапатита.
Новизна и изобретательский уровень подтверждаются тем, что в исследованной литературе отличительные признаки заявляемого изобретения не обнаружены.
Изобретение характеризуют изображения, представленные на фигурах.
Фиг.1. Изображение рельефа поверхности покрытия, формируемого на сплаве титана ВТ-6, полученное на растровом ионно-электронном микроскопе Quanta 200 3D.
Фиг.2. Изображение рельефа поверхности биопокрытия, формируемого на сплаве титана ВТ-6, полученное на сканирующем зондовом микроскопе «NanoEducator”.
Фиг.3. Сечение рельефа биоактивного покрытия, формируемого на сплаве титана ВТ-6.
Фиг.4. Шероховатость биоактивного покрытия на сплаве титана ВТ-6.
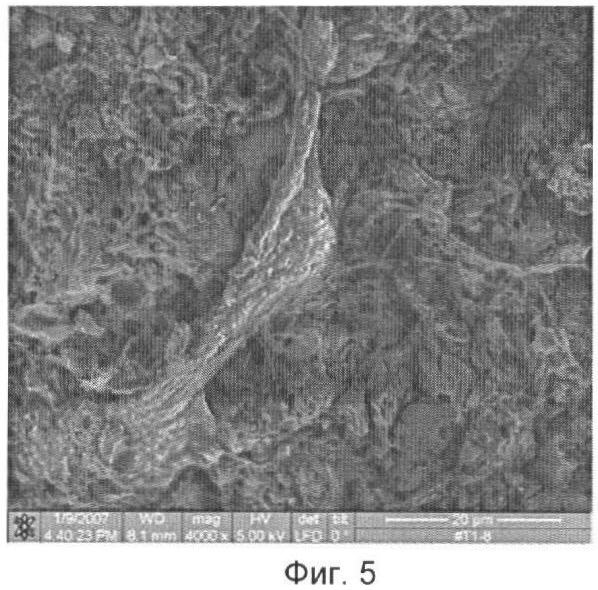
Фиг.5. Прорастание ретикуло-фиброзной костной ткани по поверхности, практически нерезорбируемого покрытия, формируемого на сплаве титана ВТ-6. Изображение получено на растровом ионно-электронном микроскопе Quanta 200 3D.
В дальнейшем изобретение поясняется конкретным примером его воплощения.
Пример.
В качестве основы для имплантата был выбран сплав титана ВТ-6 из группы высокопрочных титановых сплавов. К этой группе относятся сплавы с пределом прочности >1000 МПа. Указанный сплав наряду с высокой прочностью, в отличие от часто применяемого в качестве основы для имплантатов чистого титана ВТ1-00, сохраняет хорошую технологическую пластичность в горячем состоянии, что позволяет получать из него различные полуфабрикаты. Несмотря на гетерофазность структуры, рассматриваемый сплав обладает удовлетворительной свариваемостью всеми видами сварки, применяемыми для титана. Пластичность сварного соединения близка к пластичности основного металла. Обрабатываемость резанием у рассматриваемого сплава удовлетворительная. Обработку резанием сплавов можно проводить как в отожженном, так и в термически упрочненном состоянии. Приведенный сплав обладает высокой коррозионной стойкостью в отожженном и термически упрочненном состояниях во влажной атмосфере, морской воде, во многих других агрессивных средах, как и технический титан.
Образец, выполненный из сплава титана марки ВТ-6 в форме таблетки с площадью поверхности 70 мм2, предварительно подвергали следующей обработке: шлифовке до выведения оксидной пленки и удаления царапин; промывке в ацетоне; ультразвуковой промывке в растворе моющего средства; сушкой в сушильном шкафе в течение 30 минут при температуре 60°С. Далее образец помещали в электролит с рН 11-12.
Электролит получали следующим образом: гидроксид калия (квалифицированный «чистый») растворяют в дистиллированной воде из расчета 40 г гидроксида калия на 1 л воды. Концентрация получаемого раствора гидроксида калия составляет 4%. К водному коллоидному раствору гидроксиапатита с концентрацией дисперсной фазы 1,0%, приливают 4% раствор гидроксида калия в объемном соотношении 1:1. Раствор перемешивают, конечная концентрация компонентов составляет: водного раствора гидроксида калия – 2%, водного коллоидного раствора наноструктурного гидроксиапатита – 0,5%.
Электролит, полученный указанным способом, позволяет избежать дополнительно: ультразвуковой обработки для формирования коллоидного раствора однородной консистенции и уменьшения размера частиц гидроксиапатита.
Далее образец в полученном растворе обрабатывали в импульсном анодно-катодном режиме со следующими параметрами: анодно-катодный ток частотой 50 Гц, длительность анодного, катодного импульсов 250 мкс; задержка катодного импульса 1000 мкс.
Наноструктурный размер гидроксиапатита позволяет мигрировать его коллоидным частицам в жидкой среде электролита под действием внешнего электрического поля и способствует равномерному внедрению в формирующемся покрытии.
После обработки на поверхности образца формируется пористое биопокрытие, которое имеет равномерную однородную структуру по всей поверхности образца (Фиг.1).
Изделия из сплава титана марки ВТ-6 с биоактивным покрытием на основе нано-структурного гидроксиапатита прошли испытания на соответствие элементного состава аналогичному составу костной ткани, структуры поверхности и механических свойств покрытий.
Количественный анализ элементного состава биоактивных покрытий на сплаве титана ВТ-6 исследовали с помощью растрового ионно-электронного микроскопа Quanta 200 3D, оснащенного интегрированной системой для рентгеноспектрального микроанализа.
Важнейшей характеристикой биоактивных покрытий, на основе гидроксиапатита, является соотношение Са/Р, которое должно быть максимально близко к значению 1,67±0,15, характерному для костной ткани.
Установлено, что соотношение Са/Р в биоактивных покрытиях, формируемых на сплаве титана ВТ-6 по предлагаемому способу, в среднем близко к значению ~1,67, что совпадает с аналогичным соотношением в природном гидроксиапатите. Повторяемость эксперимента подтверждается данными приведенными в таблице 1.
Таблица 1 Элементный состав биоактивных покрытий на сплаве титана ВТ-6, Wt % |
 |
0 |
Аl |
Р |
К |
Са |
Ti |
V |
Са/Р |
| 1 |
73,83 |
1,25 |
4,22 |
0,73 |
7,67 |
12,08 |
0,21 |
1,82 |
| 2 |
52,41 |
1,89 |
5,76 |
1,36 |
9,53 |
28,48 |
0,57 |
1,65 |
| 3 |
54,38 |
1,77 |
3,98 |
1,21 |
7,02 |
31,00 |
0,64 |
1,76 |
| 4 |
50,23 |
1,82 |
6,00 |
1,40 |
10,59 |
29,37 |
0,59 |
1,77 |
| 5 |
66,54 |
1,36 |
5,99 |
0,98 |
11,22 |
13,59 |
0,32 |
1,87 |
| Ср. |
 |
 |
 |
 |
 |
 |
 |
1,77 |
Морфология поверхности покрытий определялась на сканирующем зондовом микроскопе «NanoEducator”.
Исследование рельефа биоактивных покрытий, полученных при микродуговой обработке сплава титана ВТ-6 в электролите указанного выше состава показало, что данное покрытие имеет явно выраженную пористую структуру (Фиг.2, 3). Глубина пор изменяется от 1,4 мкм до 2 мкм. Средняя шероховатость составляет порядка 560 нм (Фиг.4).
Данная специфическая морфология поверхности дает устойчивое врастание костной ткани крыс, которым были имплантированы образцы ВТ-6 с биоактивным покрытием, полученным по предложенному способу, что подтверждается исследованием состояния поверхности имплантантов на растровом ионно-электронном микроскопе Quanta 200 3D.
При получаемой пористости биопокрытия на поверхности имплантата определялись яркие, оксифильные участки («островки») волокнистых образований неправильной формы, что подтверждает прорастание костной ткани на поверхности имплантата (Фиг.5).
Биоактивные покрытия на сплаве титана ВТ-6, полученные заявляемым способом, прошли медико-биологическое тестирование.
Проведено исследование растворимости биопокрытий на основе наноструктурного гидроксиапатита. Содержание кальция в плазме крови после инкубации образцов увеличилось на 44%, что подтверждает умеренную растворимость в биологической среде при температуре тела, не превышающую скорости образования собственной костной ткани.
Проведено определение концентрации С-реактивного белка (СРБ) и интерлейкина-1 (ИЛ-1 ) в плазме крови ложно оперированных и оперированных крыс линии Wister.
Наличие СРБ и ИЛ-1 в низких концентрациях в плазме крови является физиологически обоснованным и не является признаком развития патологической реакции.
Концентрации СРБ и ИЛ-1 в плазме крови у крыс, которым были имплантированы образцы ВТ-6 с биоактивным покрытием на основе наноструктурного гидроксиапатита, находятся в пределах базовых значений, достоверных различий по сравнению с группой ложно оперированных животных не установлено.
Таким образом, имплантата с биопокрытием не вызывают послеоперационных осложнений. Воспалительные и иммунные реакции на имплантацию внедренных образцов не возникают.
Апробированные образцы сплава титана ВТ-6 с биопокрытием не вызывают реакций отторжения в живом организме, о чем свидетельствует отсутствие активации иммунной системы и могут быть рекомендованы к клиническим испытаниям.
Измерение одной из главных механических характеристик покрытий – адгезионной прочности проводили стандартным методом испытаний для проверки на сдвиг фосфатно-кальциевых и металлических покрытий (ГОСТ Р 52641-2006: Имплантаты для хирургии. Дата введения – 2008-01-01) на установке для испытания материалов на растяжение-сжатие-изгиб Instron 5882. Данный метод позволяет оценить характер отрыва (адгезионный или когезионный) покрытия от основания и оценить силу сцепления покрытия с основанием при усилии сдвига, направленном параллельно плоскости поверхности основания, что соответствует основным деформационным нагрузкам на кость в организме человека.
Адгезионная прочность исследуемых биоактивных покрытий на сплаве титана ВТ-6 в среднем составила 35,22 МПа, что превышает минимальное (20 МПа) значение адгезионной прочности покрытий на основе гидроксиапатита для оптимального вживления костной ткани в имплантат без разрушения связи на границе «покрытие – сплав титана».
Приведенные примеры подтверждают, что поставленная задача по созданию способа, позволяющего модифицировать поверхность титановых имплантатов путем придания ей биоактивных свойств, получить развитую поверхностную структуру покрытия с высокими механическими свойствами и заданным элементным составом, близким к составу костной ткани, достигнута.
Источники информации
1. Патент RU 2287315, кл. А61F 2/02, 2006.11.20.
2. Патент RU 2206642, кл. 7 C25D 11/26, 2003.06.20.
Формула изобретения
1. Способ получения покрытий на изделиях, выполненных из титана и его сплавов, включающий помещение изделия в водный раствор электролита и возбуждение на поверхности изделия микродуговых разрядов, отличающийся тем, что используют электролит, содержащий, мас.%:
| гидроксид калия |
2 |
| наноструктурный гидроксиапатит |
0,5 |
причем наноструктурный гидроксиапатит вводят в виде водного коллоидного раствора.
2. Способ по п.1, отличающийся тем, что изделие обрабатывают в импульсном анодно-катодном режиме с анодно-катодным током частотой 50 Гц, длительностью анодного и катодного импульсов 250 мкс и задержкой катодного импульса 1000 мкс.
РИСУНКИ
|
|