|
|
(21), (22) Заявка: 2007130101/14, 06.08.2007
(24) Дата начала отсчета срока действия патента:
06.08.2007
(46) Опубликовано: 10.06.2009
(56) Список документов, цитированных в отчете о поиске:
СОКОЛОВ В.А. Плевриты. – Екатеринбург: Баско, 1998, с.206, 210-211. RU 2290091 C2, 27.12.2006. SU 1482659 A1, 30.05.1989. UA 61675 A, 15.11.2003, реферат. Туберкулез у детей и подростков / Под ред. Л.Б. ХУДЗИК и др. – М.: Медицина, 2004, с.214-221. ЦЕПАЕВ Г.Н. Эндоскопическая диагностика и тактика лечения экссудативного плеврита: Автореф. к.м.н. -Пермь, 1999, с.7-27. ГУСЕЙНОВ Г.К. и др. Резервы повышения эффективности лечения туберкулеза легких у подростков. Проблемы туберкулеза и болезней легких, 1. – М., 2006, с.16-19. LOUIS R. CABIRAN et al. Artificial pneumoperitoneum in the treatment of pulmonary tuberculosis: a clinical study., Pis Chest. 1956 Feb; 29(2):202-14.
Адрес для переписки:
367000, Республика Дагестан, г.Махачкала, пл. Ленина, 1, Дагмедакадемия, патентный отдел
|
(72) Автор(ы):
Муталимов Магомед Акимович (RU), Адзиев Абдуразак Абдулабекович (RU), Муталимова Белла Магомедовна (RU), Гусейнов Гусейн Камалович (RU), Салмаханов Абубакар Рагимханович (RU), Пахиева Халун Юсуповна (RU), Абдуллаева Зульфия Саидовна (RU)
(73) Патентообладатель(и):
Государственное образовательное учреждение высшего профессионального образования “Дагестанская государственная медицинская академия Федерального агентства по здравоохранению и социальному развитию” (RU)
|
(54) СПОСОБ ЛЕЧЕНИЯ ЭКССУДАТИВНОГО ПЛЕВРИТА
(57) Реферат:
Изобретение относится к медицине, а именно к фтизиатрии, торакальной хирургии, и может быть использовано при лечении больных с заболеваниями легких, сопровождающимися экссудативным плевритом. Для этого на фоне проводимой этиотропной терапии осуществляют наложение пневмоперитонеума. Объем вводимого воздуха в брюшную полость при первом введении не превышает 200-300 мл. При повторном введении объем воздуха составляет 500 мл. Процедуру осуществляют через каждые 5 дней до полного рассасывания жидкости в плевральной полости. Способ позволяет предотвратить образование спаек и ускорить рассасывание жидкости в плевральной полости за счет подъема уровня жидкости в верхние «свободные» в функциональном отношении отделы плевральной полости без инвазивного вмешательства в плевральную полость. 1 ил., 3 фото.
Изобретение относится к медицине, а именно к фтизиатрии, пульмонологии, торакальной хирургии.
Аналогом изобретения является этиотропное лечение с ежедневными или через 1-2 дня извлечениями жидкости из плевральной полости в течение 2-3 месяцев (В.А.Соколов. Плевриты. Екатеринбург, 1998 г., стр.206-234).
Недостатками прототипа изобретения являются:
1) обременительность для больного частых процедур при извлечении жидкости;
2) при частых пункциях возникает потеря белка организма;
3) хотя и нечасто, но возникает риск нарушения целостности висцеральной плевры инъекционной иглой с последующим поступлением воздуха и инфекции в плевральную полость из легких;
4) удаление жидкости вызывает понижение давления в плевральной полости, что, с одной стороны, способствует усиленному повторному поступлению экссудата из легких в плевральную полость через висцеральную плевру, а с другой стороны, понижение давления в плевральной полости уменьшает рассасывание жидкости по естественным путям;
5) по методу прототипа (В.А.Соколов. Плевриты. Стр.212) в плевральную полость при пункциях через микроирригатор вводят стрептомицин или другие антибактериальные препараты, которые усиливают образование плевральных спаек. При тяжелом течении плеврита метод лечения по прототипу направлен именно на образование плевральных спаек (там же, стр.211). Эти спайки в последующем являются причиной развития пневмосклероза вследствие лимфостаза и нарушения лимфооттока из кортикальных отделов в корень легкого;
6) замедленное рассасывание экссудата, вследствие чего образуются спайки, способствующие в последующем развитию плеврогенного пневмосклероза, пневмофиброза или цирроза, что в свою очередь приводят к гипертензии малого круга кровообращения с риском возникновения легочно-сердечной недостаточности, а ангиоэктазы и бронхоэктазы, также возникающие при пневмосклерозах, таят в себе опасность возникновения легочных кровотечений и амилоидоза внутренних паренхиматозных органов.
Целью изобретения являются: сокращение сроков рассасывания экссудата из плевральной полости, предотвращение усиленного образования плевральных спаек, имеющих риск развития последующих патологических процессов в организме.
Сущность изобретения заключается в использовании воздуха для наложения пневмоперитонеума на фоне этиотропного лечения. Для наложения пневмоперитонеума (ПП) используют пневмотораксный аппарат. Больной укладывается на спину, под таз подкладывают валик. Местом инъекции для введения воздуха в брюшную полость является точка 4-6 см ниже и левее пупка. Обезболив место инъекции 0,5% раствором новокаина в количестве 3,0-4,0 мл, производят прокол брюшной стенки с последующим введением воздуха через иглу, соединенную с пневмотораксным аппаратом. Объем вводимого воздуха в брюшную полость при первом введении не превышает 200-300 мл, повторные введения воздуха в количестве 500 мл производят через каждые 5 дней до полного рассасывания жидкости в плевральной полости. Каждый раз после процедуры больной в течение 3-5 минут должен лежать на здоровом боку для того, чтобы воздух преимущественно переместился под купол диафрагмы больной стороны.
Отличительные признаки предлагаемого способа от прототипа
Вследствие искусственного пневмоперитонеума происходит:
1) коллабирование легкого преимущественно в нижних отделах пораженной стороны и ограничение движения легкого, что является необходимым условием для уменьшения поступления жидкости в плевральную полость через висцеральную плевру;
2) в плевральной полости повышается давление, что также способствует уменьшению поступления жидкости в полость, а с другой стороны, усиливается рассасывание жидкости через париетальную плевру;
3) подъем купола диафрагмы приводит к перемещению части жидкости в верхние отделы плевральной полости, что способствует задействованию не соприкасавшихся до ПП отделов париетальной плевры с жидкостью, где поры, так называемые «люки», пристеночной плевры еще не закрыты белком экссудата, и поэтому количество «люков» для рассасывания жидкости увеличивается;
4) ПП создает покой пораженному легкому, при котором разница давления в плевральной полости во время выдоха и вдоха уменьшается, поэтому во время вдоха выход жидкости в полость плевры также уменьшается;
5) сокращаются сроки лечения;
6) с сокращением сроков рассасывания жидкости уменьшается и риск образования спаек;
7) наконец, с сокращением сроков рассасывания жидкости и сроков лечения связана и экономическая выгода.
Схематическое изображение рентгенограмм с плевритом и наличия воздуха в брюшной полости: см. чертеж, а – жидкость в плевральной полости; б – купол диафрагмы, приподнятый воздухом; в – воздух под куполом диафрагмы.
Пример клинического выполнения способа
Больная Хаибова Р.А. 1988 года рождения с высокой температурой в пределах 38-39°С, с болями в левой половине грудной клетки, одышкой 12.12.2006 г. была госпитализирована в терапевтическом отделении 2-й гор. больницы г.Махачкала. После обследования через 2 дня с диагнозом экссудативный плеврит слева выписана и направлена в Республиканский противотуберкулезный диспансер, где установлен диагноз: очаговый туберкулез верхней доли левого легкого в фазе инфильтрации МБТ, осложненный экссудативным плевритом слева.
20.12.2006 г. на обзорной R-грамме слева в I-II м/реб. Крупноочаговые тени, от 3-го ребра к низу интенсивное затемнение с косым верхним уровнем – выпот (Фото 1). Синус, купол диафрагмы не дифференцируется.
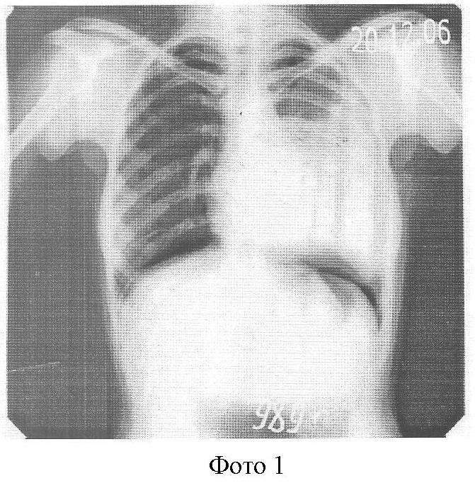
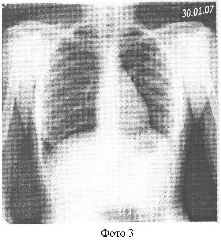
На фоне противотуберкулезного антибактериального лечения в амбулаторных условиях наложен искусственный пневмоперитонеум, обзорная R-грамма от 20.12.06 г. (Фото 2), где мы наблюдаем приподнятый воздухом купол диафрагмы, который поддерживался в течение 15 мес. За это время жидкость полностью рассосалась без выраженных спаек. Обзорная R-грамма от 30.01.07 г. (Фото 3).
Рентгенограммы в динамике прилагаются.
Полезность изобретения
1) по методу изобретения больных можно лечить не только в стационарных, но и в амбулаторных условиях, что экономически более выгодно;
2) сроки лечения по методу изобретения не больше, наоборот даже меньше, чем по прототипу;
3) остаточные изменения в виде плевральных спаек по методу изобретения меньше, чем по прототипу.
Формула изобретения
Способ лечения экссудативного плеврита путем проведения этиотропной терапии и наложения пневмоперитонеума, при этом объем вводимого воздуха в брюшную полость при первом введении не превышает 200-300 мл, повторное введение воздуха в объеме 500 мл производят через каждые 5 дней до полного рассасывания жидкости в плевральной полости.
РИСУНКИ
|
|