|
|
(21), (22) Заявка: 2007145039/15, 06.12.2007
(24) Дата начала отсчета срока действия патента:
06.12.2007
(46) Опубликовано: 10.06.2009
(56) Список документов, цитированных в отчете о поиске:
Han В., Nimni М.Е. Transdermal delivery of amino acids and antioxidants enhance collagen synthesis: in vivo and in vitro studies. Connect Tissue Res. 2005. 46(4-5):251-257. RU 2287318 C2, 20.11.2006. US 20070231377 A1, 04.10.2007. JP 2006282609 A, 19.10.2006.
Адрес для переписки:
125502, Москва, ул. Лавочкина, 50-1, кв.24, пат.пов. Н.Л.Цетович
|
(72) Автор(ы):
Онищенко Галина Евгеньевна (RU), Корнеева Римма Валерьевна (RU), Крючкова Марина Михайловна (RU), Кисурина-Евгеньева Ольга Петровна (RU), Сысоева Вероника Юрьевна (RU)
(73) Патентообладатель(и):
Открытое акционерное общество “Фаберлик” (RU)
|
(54) ДЕРМАТОЛОГИЧЕСКОЕ И/ИЛИ КОСМЕТОЛОГИЧЕСКОЕ СРЕДСТВО, СТИМУЛИРУЮЩЕЕ РОСТ ВОЛОС, СРЕДСТВО, ВЛИЯЮЩЕЕ НА РАЗМНОЖЕНИЕ КЛЕТОК ВОЛОСЯНЫХ ФОЛЛИКУЛОВ
(57) Реферат:
Настоящее изобретение относится к дерматологическим и/или косметологическим средствам, стимулирующим рост волос. В качестве активного ингредиента в таких средствах предлагается использовать R-форму -липоевой кислоты или ее соли, влияющей на состояние волосяных фолликулов. Изобретение обеспечивает эффективность действия средства на стадии инициации роста волос. 2 н.п. ф-лы, 2 табл., 2 ил.
Изобретение относится к области косметологии и дерматологии и касается соответствующих средств, положительно влияющих на рост волос.
Лучшее украшение человека – хорошие и густые волосы. Но, к сожалению, одна из самых распространенных проблем, касающаяся внешнего вида, – поредение и потеря волос. Выпадение волос может происходить вследствие различных причин, начиная с генетической предрасположенности, изменения уровня гормональной активности и заканчивая стрессами и физическим перенапряжением.
Существует множество средств и способов укрепления волос и лечения алопеции.
Народные средства для укрепления волос рекомендуют использовать корни крапивы и лопуха, сок петрушки, огуречный сок, корни цикория, кору дуба в смеси с шелухой репчатого лука, взятых в равных частях, или один сок лука.
Средствами, усиливающими рост волос, являются отвар смеси листьев крапивы и листьев мать-и-мачехи, корня ивы и корневищ лопуха, настой из смеси календулы, ромашки и хмеля. Стимулирует рост волос настой почек тополя, отвар из смеси шишек хмеля, корней лопуха и цветков календулы.
Для лечения андрогенной алопеции используют антиандрогены – лекарства, которые можно применять только под наблюдением врача.
Механизм действия антиандрогенов может быть различным, но все они в той или иной степени препятствуют взаимодействию дигидротестостерона с рецепторами клеток волосяных фолликулов. Самыми распространенными антиандрогенами, использующимися для лечения андрогенной алопеции, являются финастерид – ингибитор 5-альфа-редуктазы (впервые стал использоваться в 1989 году), крапива двудомная, изофлавоны (генистеин, дайдзеин) – фитоэстрогены, которые содержатся в некоторых растениях, таких как красный клевер, соя, люцерна.
Средствами, усиливающими пролиферативные процессы в эпидермисе, являются медьсодержащие пептиды, третиноин. Однако показано, что из побочных эффектов при местной аппликации третионина наблюдается раздражающее действие (покраснение), сухость кожи и шелушение (Д.А.Харкевич “Фармакология”. Москва издательский дом “ГЭОТАР МЕД”, 2001).
Широко применяется как средство против облысения препарат миноксидил, который первоначально использовался как лекарство для лечения гипертонии.
Миноксидил эффективно восстанавливает рост волос, но затем наступает эффект привыкания (адаптации), когда никаких улучшений уже не наблюдается. Для получения эффекта требуется повышение концентрации агента (Hoedemaker С., van Egmond S., Sinclair R. 2007. Treatment of female pattern hair loss with a combination of spironolactone and minoxidil. Australas J Dermatol. 48(1):43-45). Миноксидил продлевает фазу роста волосяных фолликулов. Однако начало стимуляции роста волос начинается не ранее чем через 4 месяца после начала лечения, и эффект снимается после прекращения аппликации препарата (Headington JT. “Hair follicle biology and topical minoxidil: possible mechanisms of action”. Dermatologica 1987; 175 Supp 12:19-22; Jacobs JP.Szpunar CA, Wamer ML. “Use of topical minoxidil therapy for androgenetic alopecia in women”. Int J Dermatol 1993; 32(10): 758-762; Uno H, Cappas A, Brigham P. “Action of topical minoxidil in the bald stump-tailed macaque”. J Am Acad Dermatol 1987; 16 (3 Pt 2): 657-668..).
Техническая задача настоящего изобретения состояла в том, чтобы найти средство, обладающее способностью влиять на состояние волосяных фолликулов, и использовать его при создании косметических и/или дерматологических средств, стимулирующих рост волос.
Применение такого средства позволит ускорить размножение клеток волосяных фолликулов и таким образом улучшить рост волос.
Для решения этой задачи заявителем предложено дерматологическое и/или косметологическое средство, стимулирующее рост волос, включающее косметически и/или дерматологически приемлемую основу и R-форму -липоевой кислоты, и/или ее производных и/или ее метаболических предшественников в качестве средства, влияющего на размножение клеток волосяных фолликулов.
При этом содержание R-формы -липоевой кислоты и/или ее производных, и/или ее метаболических предшественников в нем составляет от 0,1 до 10,0 вес.%.
Кроме того, заявителем предложено использовать R-форму -липоевой кислоты и/или ее производных, и/или ее метаболических предшественников в качестве средства, влияющего на состояние волосяных фолликулов.
Под производными R-формы -липоевой кислоты подразумеваются ее химические производные, содержащие различные реактивные группы.
В качестве примеров, которые не исчерпывают все варианты, можно привести наиболее известные производные -липоевой кислоты – ее соли (особенно соли щелочных металлов), эфиры (особенно эфиры жирных кислот) и амиды (особенно изолированные из липоамидов натурального происхождения или их аналогов), а также редуцированную форму -липоевой кислоты – дигидролипоевую кислоту и ее соли, эфиры и амиды.
В настоящее время известно использование в косметологии -липоевой кислоты, которую применяют как антиоксидантное и антивоспалительное средство, с ее помощью лечат акне и рубцы от них (Патент США 6,365,623, 2002 г.)
Известно использование -липоевой кислоты в качестве лекарственного препарата, применяемого перорально. В медицине ее помощью лечат авитаминозы, диабет, диабетическую нейропатию, множественный склероз, гиперлипидемию и гиперлипопротеинемию (Патент США 6,518,300, 2003 г.), стимулируют кровообращение после гипоксии (Hagen, Т, Ingersoll R, et al. R-lipoic acid-supplemented old rats have improved mitochondrial function, decrease oxidative damage, and increase metabolic rate. FASEB 13:411-418, 1999 г.), используют как гепатопротектор при циррозах, лечат различные вирусные инфекции, включая СПИД.
В бодибилдинге липоевая кислота используется для наращивания мышечной массы (Патент США 6,620,425, 2003 г.).
– Липоевая кислота ( – липоевая кислота) была открыта в 1948 г., выделена в 1951 г. Образуется в результате биосинтеза в клетках растений и животных, содержится в шпинате, картошке, томатах, брокколи. Синтезируется клетками организма млекопитающих. С возрастом и под воздействием неблагоприятных факторов внешней среды ее количество в организме становится недостаточным. Следствие этого – повышенная чувствительность организма к неблагоприятным внешним и внутренним факторам.
-липоевая кислота имеет общую формулу C8H14O2S2. Ее структурная формула:

-липоевая кислота имеет два стереоизомера – R- и S-энантиомеры. R-форма является природным стереоизомером и по биохимическим свойствам отличается от S-формы. До последнего времени широкое использование получила лишь рацемическая смесь двух изомеров. Однако показано, что при внутреннем применении смесь изомеров обладает в десятки раз менее выраженным эффектом, чем чистая R-форма. Более того, в некоторых случаях S-форма даже ингибирует активность R-формы. Поэтому заявителем исследовалось влияние разных концентраций R-формы -липоевой кислоты на размножение клеток волосяных фолликулов.
-липоевая кислота является эндогенным антиоксидантом, который, изменяя содержание в клетках реактивных форм кислорода, участвует во многих метаболических процессах. Этот компонент клетки не только препятствует оксидативному стрессу и активирует ферменты цикла Кребса, но и влияет на содержание или активность ряда транскрипционных факторов, регулирующих пролиферацию клеток и их выживание.
В последние годы -липоевая кислота привлекает внимание косметологов и дерматологов, так как появились данные о ее положительном влиянии на состояние элементов кожи. Так, на крысах показано, что нанесение на кожу этого соединения способствует утолщению эпидермиса и усиливает продуцирование клетками дермы коллагена (Han В., Nimni М.Е., 2005. Transdermal delivery of amino acids and antioxidants enhance collagen synthesis: in vivo and in vitro studies. Connect Tissue Res. 46(4-5):251-257).
Однако анализ литературных данных, показывает, что при исследовании механизмов действия -липоевой кислоты на кожу животных и человека чаще всего используют культивируемые клетки и изучают влияние -липоевой кислоты на состояние кератиноцитов, фибробластов, эндотелиальных клеток.
При изучении реакции клеток кожи in vivo -липоевая кислота вводится либо путем инъекции либо в виде пищевой добавки. Работы, в которых данное соединение наносилось непосредственно на кожу, являются единичными и, вероятно, поэтому полученные в них данные не позволяют составить ясное представление о том, как реагируют разные типы клеток кожи на -липоевую кислоту, нанесенную на поверхность кожи. Исследования, посвященные воздействию -липоевой кислоты на рост волос, практически отсутствуют.
Волосы представляют собой сложно организованный компонент кожи. Рост волос происходит циклически и сопровождается изменениями размеров собственно волоса или так называемого стержня, и гистологического строения ткани в основании стержня – волосяного фолликула. Цикличность роста волос выражается в существовании определенных стадий этого процесса и череды повторяющихся циклов. У человека в зависимости от возраста, области кожи, а также от воздействия различных внешних факторов цикл волосяного фолликула продолжается от 2 до 5 лет (Гистология. Под ред. Ю.И.Афанасьева и Н.А.Юриной, 1999, Москва, Медицина). Различают четыре фазы – анагена (роста), катагена (регрессии), телогена (остановки – покоя) и экзогенна (выпадения волоса). Анаген или фаза роста волоса характеризуется повышенной пролиферативной активностью клеток в области волосяного фолликула. Все волосы тела имеют этот цикл, но продолжительность индивидуальных фаз и длина отдельных стержней волоса резко варьируют в зависимости от участка тела. У человека и морской свинки каждый волосяной фолликул имеет свой ритм и поэтому все циклы идут асинхронно. У большинства грызунов фолликулы в определенных зонах – в области спины или живота – идут синхронными волнами. У мыши с возрастом периодичность смены волос становится очень продолжительной. Уровень митотического деления клеток в области волосяных фолликулов у взрослых животных крайне низкий. Поэтому если при использовании мышей в качестве модельной системы для индукции роста волос биологически активными агентами удается стимулировать деление клеток волосяных фолликулов, определенно можно говорить о том, что данный агент обладает ярко выраженным эффектом.
В исследованиях, осуществленных заявителем, оценивалось влияние R-формы -липоевой кислоты на пролиферативную активность клеток волосяных фолликулов мыши. Пролиферативная активность или интенсивность деления клеток волосяных фолликулов является показателем активации фазы роста волоса.
Рост волос и обновление кожи тесно связаны друг с другом. Это обусловлено их анатомической и физиологической общностью. Поэтому R-форма -липоевой кислоты, которая усиливает деление клеток кожи и способствует обновлению кожи, должна также усиливать и рост волос.
Для подтверждения вышесказанного заявителем были проведено исследование состояния волосяных фолликулов при воздействии разных концентраций R-формы -липоевой кислоты на кожные покровы мышей.
Материалы и методы
Объектом исследования служили мыши (самцы) линии СВА. Вес самцов составлял от 21 до 25 г. Возраст – 4.5 мес. В экспериментах были использованы 22 животных. Пять из них, не подвергавшихся воздействию никакого косметического средства, служили в качестве контроля (К). Для достоверной оценки воздействия косметического средства и выявления универсальности эффекта воздействия было проведено два независимых эксперимента, в которых использовались разные косметические основы (носители активного ингредиента). Для каждого варианта исследуемого средства использовались от трех до пяти животных. Исследуемое средство наносили на кожу спины животных в области лопаток. Перед нанесением на кожу исследуемого средства волосяной покров не сбривали. Состав используемых в экспериментах 1 и 2 косметических средств представлен в таблицах 1 и 2.
В качестве исследуемых средств использовали препараты, содержащие 0,5%, 1%, 5% R-форму -липоевой кислоты (0,5%R, 1%R, 5%R).
Исследуемые средства наносили один раз в день в течение 10 дней. Животных содержали в индивидуальных клетках. После завершения эксперимента животных наркотизировали с помощью эфира и забивали путем смещения шейных позвонков. Перед вырезанием кусочка кожи для фиксации волосяной покров сбривали. Кусочки кожи размером 3×3 мм фиксировали 4% параформальдегидом и после обезвоживания заливали в гистамикс. Срезы толщиной 5 мкм окрашивали гематоксилином и эозином.
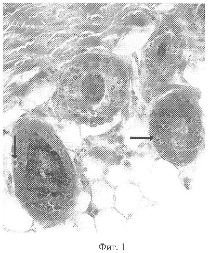
Оценка пролиферативной активности клеток волосяных фолликулов проводилась путем подсчета митотического индекса для 3000 тысяч клеток в области волосяной луковицы для каждого вида воздействия. Митотический индекс – это процент клеток в популяции, находящихся на стадии митотического деления. На фиг.1 представлен один из срезов кожи мыши в области волосяных фолликулов при воздействии 1% R-формы -липоевой кислоты. Стрелки указывают на делящиеся клетки.
Для статистического анализа клетки подсчитывали на каждом из 4 серийных срезов кожи. Статистический анализ проводился с помощью программы Microsoft Office Excel 2003. Для проведения адекватного сравнения результатов использовался метод нормализации данных. Нормализация является статистическим приемом, позволяющим адекватно сравнивать несколько экспериментов с различными параметрами. В данном случае такими параметрами являются разные косметические основы. В качестве коэффициента нормализации было принято значение митотического индекса при нанесении на кожу животных косметической основы. Гистограмма изменения нормализованного митотического индекса (% по оси Y) в популяции клеток волосяных фолликулов кожи мышей при воздействии разных концентраций (0,5%, 1%, 5%) R-формы -липоевой кислоты представлена на фиг.2.
Условные обозначения: К – контроль, 0,5%R, 1%R, 5%R-воздействие 0,5%, 1%, 5% R-формы альфа-липоевой кислоты соответственно. На гистограмме представлены нормализованные значения, которые являются отношением величины митотического индекса в каждой группе (контроль и эксперимент) к коэффициенту нормализации.
Ниже приведены результаты исследований:
Исследование митотической активности клеток в области волосяных фолликулов спины показало, что у 4,5-месячных мышей уровень пролиферации клеток волосяного фолликула крайне низкий (фиг.2). Обнаружено, что у контрольных животных митотический индекс в области волосяных фолликулов составляет 0.06%. При нанесении R-формы -липоевой кислоты в концентрации 0.5% не наблюдается существенного уровня пролиферации по сравнению с контролем. 1% R-форма -липоевой кислоты стимулирует размножение клеток в области волосяных фолликулов. Максимальный эффект стимуляции размножения клеток волосяных фолликулов выявляется при действии 5% R-формы -липоевой кислоты более чем в 12 раз по сравнению с контролем.
Проведенное нами исследование показало, что воздействие R-формы -липоевой кислоты, во-первых, активирует деление клеток в области волосяных фолликулов, во-вторых, этот эффект наблюдается независимо от состава основы косметического средства. Наибольшая стимуляция митотической активности наблюдается при воздействии средства, содержащего 5% R-формы -липоевой кислоты. Деление фолликулярных клеток в области основания волоса (волосяной луковицы) обеспечивает инициацию и осуществление роста волосяного стержня. Полученные нами данные указывают на то, что воздействие R-формы -липоевой кислоты способно стимулировать стадию анагена, т.е. стадию роста волос.
Следует подчеркнуть высокую степень эффективности воздействия R-формы -липоевой кислоты на стадию инициации роста волоса: результат получен уже через 10 дней однократного ежедневного применения. Режимы применения средств для волос с R-формой -липоевой кислоты могут быть разными и ее концентрация в составе средств может варьировать в зависимости от длительности и частоты их применения.
Таким образом, в настоящем исследовании показано, что R-форма -липоевой кислоты может быть использована в качестве активного ингредиента средств, предназначенных для улучшения состояния волосяного покрова и роста волос.
Причем абсолютное содержание R-формы -липоевой кислоты и/или ее производных, и/или ее метаболических предшественников в косметическом и/или дерматологическом средстве может находиться в широких пределах, но в оптимальном случае составляет от 0,1 до 10,0% вес.%.
Косметические средства, содержащие R-форму -липоевой кислоты и/или ее производные, и/или ее метаболические предшественники, могут быть приготовлены в виде таких традиционных косметических форм, как кремы, маски, лосьоны и подобные. Для их приготовления могут быть использованы традиционно применяемые для таких целей основы и вспомогательные вещества.
В состав косметических средств, содержащих R-форму -липоевой кислоты и/или ее производные, и/или ее метаболические предшественники, могут быть включены и другие биологически активные вещества, например витамины A, B1, В2, К, пантотеновая кислота и цинк, которые питают волосяные фолликулы, волосы и кожу.
Апробация косметических средств, содержащих R-форму -липоевой кислоты, показала их высокую эффективность.
Приводимые далее Примеры не носят ограничивающего изобретения характера.
Пример 1
Для приготовления 100 кг косметического масла для волос нагревают до 50°С 50 кг циклопентасилоксана и растворяют в нем 2 кг R-формы -липоевой кислоты. Перемешивают до получения однородной смеси. Далее при перемешивании (мешалка 30 об/мин) добавляют 20 кг изопропил миристата, 20 кг вазелинового масла, 5 кг миндального масла и 3 кг масла овса. Перемешивают до получения однородной массы. Получают косметическое масло для укрепления корней волос и усиления их роста.
Пример 2
Для приготовления 100 кг лосьона-кондиционера для волос в 83,25 кг воды (Т=40°С) растворяют 0,05 кг ЭДТА, 0,1 кг аллантоина и 2 кг натриевой соли R-формы -липоевой кислоты. Перемешивают (мешалка 25 об/мин) до получения прозрачного раствора и добавляют 1 кг Д-пантенола, 10 кг спирта этилового. Перемешивают в течение 10 минут и добавляют смесь 1 кг циклопентасилоксана в 1 кг ПЭГ-60 глицеридов миндального масла. Перемешивают (мешалка 25 об/мин) до получения однородного раствора и добавляют 0,5 кг Поликватерниума-44, 1 кг Гермабена и 0,1 кг лимонной кислоты. Перемешивают полученный раствор в течение 10 минут. Доводят значение pH до величины 7,0 с помощью лимонной кислоты. Получают лосьон-кондиционер для волос, способствующий их укреплению и росту.
Пример 3
Для приготовления 100 кг питательной маски для волос 82 кг воды нагревают до температуры 75°С и загружают туда 0,05 кг ЭДТА, 2 кг бегентримониум хлорида и 1 кг цетилтриметиламмониум хлорида. Перемешивают до полного растворения компонентов, мешалка 30 об/мин. Параллельно нагревают в отдельной емкости до 80°С 5 кг цетилстеарилового спирта, 0,4 кг масла авокадо и 0,5 кг токоферила ацетата. После получения однородного раствора добавляют жировую фазу и включают гомогенизатор. Гомогенизируют в течение 10 минут, после чего включают охлаждение. Когда температура продукта достигает 40°С, добавляют 1 кг Гермабена, 1 кг смеси аминокислот, 1 кг Д-пантенола и раствор 5 кг натриевой соли R-формы -липоевой кислоты в 1 кг воды. После чего доводят до pH 7,0 с помощью молочной кислоты. Получают питательную маску для волос, используемую для усиления их роста.
Пример 4
Для приготовления лечебной сыворотки для корней волос в 58,0 кг воды добавляют дисперсию 1 кг ксантановой смолы в 20 кг глицерина, перемешивают до получения однородного коллоида. В полученный полуфабрикат при перемешивании добавляют 2 кг Д-пантенола, 1 кг токоферил ацетата, 2 кг комплекса витамина В, 1 кг смеси аминокислот, 1 кг Гермабена и раствора 8 кг натриевой соли R-формы -липоевой кислоты в 2,5 кг воды. Перемешивают до образования однородного продукта. Далее добавляют смесь 3 кг Полисорбата 20 и 0,5 кг масла овса. Перемешивают в течениие 15 минут и доводят до значения pH 7,0 помощью молочной кислоты. Получают лечебную сыворотку для волос, используемую при облысении.
| Таблица 1. |
| Состав косметических средств, использованных в опыте 1. |
| Состав основы |
% |
| Стеариновая кислота |
14 |
| Цетилстеариловый спирт |
2 |
| КОН 10% |
1,5 |
| Пропиленгликоль изостеарат |
1 |
| Гермабен |
1 |
| Вода |
80,5 |
| Состав средства с активным ингредиентом |
% |
| Стеариновая кислота |
14 |
| Цетилстеариловый спирт |
2 |
| КОН 10% |
1,5 |
| Пропиленгликоль изостеарат |
1 |
Калийная соль R-формы -липоевой кислоты |
5 |
| Гермабен |
1 |
| Вода |
75,5 |
| Таблица 2. |
| Состав косметических средств, использованных в опыте 2. |
| Состав основы |
% |
| глицерил стеарат, Пэг-100 стеарат |
6,0000 |
| Цетиловый спирт |
3,0000 |
| Изогексадекан |
5,0000 |
| Консервант |
1,0000 |
| Глицерин |
5,0000 |
| Вода |
80,0000 |
| Состав средства с активным ингредиентом |
% |
| глицерил стеарат, Пэг-100 стеарат |
6,0000 |
| Цетиловый спирт |
3,0000 |
| Изогексадекан |
5,0000 |
| Консервант |
1,0000 |
| Глицерин |
5,0000 |
R-форма -липоевой кислоты |
0,5000 |
| NaOH |
0,0969 |
| Вода |
79,4031 |
| Состав средства с активным ингредиентом |
(%) |
| глицерил стеарат, Пэг-100 стеарат |
6,0000 |
| Цетиловый спирт |
3,0000 |
| Изогексадекан |
5,0000 |
| Консервант |
1,0000 |
| Глицерин |
5,0000 |
R-форма -липоевой кислоты |
1,0000 |
| NaOH |
0,1939 |
| Вода |
78,8061 |
Формула изобретения
1. Дерматологическое и/или косметологическое средство, стимулирующее рост волос за счет влияния на состояние волосяных фолликулов, характеризующееся тем, что оно включает приемлемую основу и R-форму -липоевой кислоты или ее соли при ее содержании 0,5-10 вес.%.
2. Применение R-формы -липоевой кислоты или ее соли в качестве средства, стимулирующего рост волос.
РИСУНКИ
|
|