Патент на изобретение №2357247

Published by on




РОССИЙСКАЯ ФЕДЕРАЦИЯ



ФЕДЕРАЛЬНАЯ СЛУЖБА
ПО ИНТЕЛЛЕКТУАЛЬНОЙ СОБСТВЕННОСТИ,
ПАТЕНТАМ И ТОВАРНЫМ ЗНАКАМ
(19) RU (11) 2357247 (13) C1
(51) МПК

G01N33/48 (2006.01)
A61B10/00 (2006.01)

(12) ОПИСАНИЕ ИЗОБРЕТЕНИЯ К ПАТЕНТУ

Статус: по данным на 30.08.2010 – действует

(21), (22) Заявка: 2007130661/14, 10.08.2007

(24) Дата начала отсчета срока действия патента:

10.08.2007

(46) Опубликовано: 27.05.2009

(56) Список документов, цитированных в отчете о
поиске:
Физиология адаптационных процессов (Руководство по физиологии). – М.: Наука, 1986, с.14-54. МЕРКУРЬЕВА А.В. и др. Комплексная гистологическая диагностика полисистемной митохондриальной недостаточности. Вестник РУДН, серия Медицина, 2003, 5 (24), с.50-53. ЗАГОРУЙ А.С. Тренировка и спорт в условиях гипоксии. Реферат. Оренбург, опубликовано2002, найдено в Интернет 18.07.2008 www.bestreferat.ru/. RU 2302635 С1, 10.07.2007.

Адрес для переписки:

127412, Москва, ул. Талдомская, 2, ФГУ “Московский НИИ педиатрии и детской хирургии Росмедтехнологий”, директору института А.Д. Царегородцеву

(72) Автор(ы):

Сухоруков Владимир Сергеевич (RU),
Царегородцев Александр Дмитриевич (RU),
Клейменова Нина Васильевна (RU),
Невструева Вера Викторовна (RU),
Шабельникова Екатерина Игоревна (RU),
Харламов Дмитрий Алексеевич (RU),
Влодавец Дмитрий Владимирович (RU),
Крапивкин Алексей Игоревич (RU),
Вишневский Евгений Леонидович (RU),
Багирова Наталья Ивановна (RU)

(73) Патентообладатель(и):

ФГУ “Московский НИИ педиатрии и детской хирургии Росмедтехнологий” (RU)

(54) СПОСОБ ОЦЕНКИ СТЕПЕНИ ТКАНЕВОЙ АДАПТАЦИИ К ФУНКЦИОНАЛЬНОЙ НЕДОСТАТОЧНОСТИ ОРГАНОВ И СИСТЕМ С ПОМОЩЬЮ ОПРЕДЕЛЕНИЯ ФЕНОМЕНА КОМПЕНСАТОРНОЙ ПРОЛИФЕРАЦИИ МИТОХОНДРИЙ В КЛЕТКАХ СООТВЕТСТВУЮЩИХ ТКАНЕЙ

(57) Реферат:

Изобретение относится к области медицины, в частности к гистологии, цитологии, клеточной биологии, и касается объяснения возникновения феномена пролиферации митохондрий как компонента адаптационного синдрома у пациентов с различными заболеваниями. Оценка тканевой адаптации к функциональной недостаточности органов и систем основана на выявлении увеличения абсолютного числа митохондрий в клетках соответствующих тканей с помощью цитохимических, гистохимических и электронно-микроскопических методов. Анализ гистохимических, гистологических показателей биоптатов скелетной мышцы, а также цитохимических характеристик ферментов биоэнергетического обмена лимфоцитов периферической крови показывает, что процесс пролиферации митохондрий является неспецифическим механизмом тканевой адаптации к функциональной недостаточности органов и систем. Применение настоящего способа позволяет проводить оценку степени тканевой адаптации к функциональной недостаточности органов и систем и осуществлять соответствующую лечебную коррекцию. Метод может быть внедрен в схему диагностики и лечения детей. 6 ил.

Изобретение относится к медицине, в частности к гистологии, цитологии, клеточной биологии и патологии. В основу работы положена идея объяснения возникновения феномена пролиферации митохондрий как компонента адаптационного синдрома у пациентов с различными заболеваниями.

В настоящее время благодаря выделению особой группы заболеваний, связанных первично с нарушениями энергообмена на клеточном уровне (митохондриальных болезней), разработан полномасштабный комплекс изучения состояния митохондрий в различных органах и системах.

На сегодняшний день в мире накоплен большой диагностический инструментарий для изучения митохондриальных нарушений. Морфологический анализ наряду с биохимическим и молекулярно-генетическим методами традиционно занимает ведущее место в диагностике митохондриальной недостаточности. Наиболее информативным при этом считается анализ митохондрий в биоптатах скелетной мышцы. В первую очередь, это стало возможным благодаря описанию феномена – «рваных кранных волокон» (RRF), представляющим собой аномальные скопления митохондрий в мышечных волокнах. Эти скопления легко визуализируются при некоторых гистологических методах окраски. Их наличие у больных наследственными митохондриальными заболеваниями позволило многим исследователям считать, что наличие таких скоплений есть проявление митохондриальных мутаций.

За последние 15 лет в Московском НИИ педиатрии и детской хирургии накоплен большой материал, позволяющий прийти к заключению о том, что увеличение числа митохондрий в разных органах при различных заболеваниях является процессом, компенсирующим функциональную недостаточность за счет интенсификации энергообмена.

Цель работы – показать, что пролиферация митохондрий является неспецифическим механизмом тканевой адаптации к функциональной недостаточности органов и систем.

Увеличение абсолютного числа этих органелл, в частности феномен – «рваных красных волокон» (RRF) в скелетных мышцах, является проявлением компенсаторных способностей организма, позволяющих справиться с тем или иным функциональным дефектом.

Доказательствами данного положения являются установленные в исследованиях факты.

1. При обследовании семей, в которых имелся больной или больные первичными митохондриальными заболеваниями, очень часто у их родственников, не имевших клинически выраженной митохондриальной недостаточности, определялось значительно увеличенное количество митохондрий в мышечных волокнах, существенно превышающее таковое у самих больных. Особенно часто это касалось матерей больных детей, что вероятно естественно, учитывая материнское наследование митохондриальной ДНК. Эти матери считали себя совершенно здоровыми, и только самое пристальное клиническое обследование позволяло выявлять у них повышенную утомляемость, мышечную слабость и другие признаки энергодефицита. Пролиферация митохондрий в скелетных мышцах матери ребенка с митохондриальной энцефаломиопатией (стрелки) показана на фиг.1. Возраст 36 лет. Клинический диагноз – здорова. Электронная микроскопия. Ув.x50000.

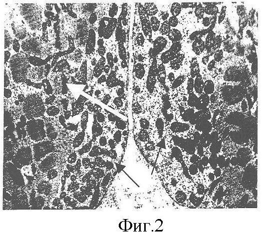
2. Очень часто митохондриальные пролифераты обнаруживаются при немитохондриальных заболеваниях. Причем часто среди этих заболеваний наследственные болезни с хорошо известной первичной мутацией ядерного генома (например, туберозный склероз, синдромы Марфана и Элерса-Данло). В этих случаях накопление количества митохондрий вряд ли может быть связано с мутацией митохондриальной ДНК. Компенсаторная пролиферация митохондрий (стрелки) в скелетных мышцах у больного туберозным склерозом представлена на фиг.2. Возраст 7 лет. Электронная микроскопия. Ув.x10000.

3. При обследовании детей со структурными миопатиями (в частности, с болезнью «центрального стержня») в биопсийном материале скелетной мышечной ткани выявлено, что количество митохондрий достоверно коррелирует со степенью клинической компенсации миопатического симптомокомплекса. Компенсаторная пролиферация митохондрий (стрелки) в скелетных мышцах у больного структурной миопатией с поздним дебютом показана на фиг.3. Возраст больного 16 лет. Электронная микроскопия. Ув.x15000.

4. У нескольких больных с дебютом миопатического симптомокомплекса в возрасте старше 40 лет при биопсии были выявлены морфологически однозначные доказательства структурной (то есть врожденной) миопатии. Помимо этих признаков в мышцах обнаруживались и аномальные скопления митохондрий. Структурно-функциональный мышечный дефект в этих случаях был эффективно компенсирован за счет митохондриальной пролиферации, стимуляции энергообмена и, как следствие, повышенной активностью сохранных сократительных элементов скелетной мышцы. Пролиферация митохондрий (стрелки) в скелетной мышце у взрослого с диагнозом врожденная структурная миопатия и миопатическим синдромом, клинически проявившимся в возрасте 50-ти лет, представлена на фиг.4. Электронная микроскопия. Ув.x30000.

5. Полученные в результате исследований данные свидетельствуют, что количество митохондрий в мышцах достоверно коррелирует с возрастом, что вполне объясняется необходимостью повышения напряженности компенсаторных механизмов.

Все вышеприведенные доказательства касались ситуации, наблюдаемой в скелетной мышечной ткани. Однако расширение спектра исследуемых тканевых элементов организма показывает, что абсолютно аналогичная (а точнее, по нашему мнению, гомологичная) ситуация имеет место и в них.

Рассмотрим несколько примеров.

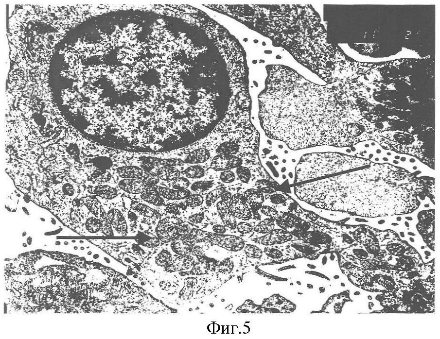
1. В гладкой мышечной ткани мочевых путей (при гидронефрозе у детей, при аденоме простаты у пожилых мужчин и при некоторых других заболеваниях) иногда можно наблюдать такие морфологические изменения: на фоне общего снижения гистохимической активности митохондриальных ферментов видны отдельные миоциты с резко увеличенным содержанием метки. То есть на фоне общего тканевого энергодефицита появляются клетки с резко увеличенным числом митохондрий (та же ситуация, что и в скелетной мышце). Интересно, что у таких больных хирургическое оперативное лечение значительно менее эффективно – коррекция макроскопического дефекта (обструкции или расширения стенки) не приводит к существенному восстановлению функции, так как гладкомышечная ткань функционально дефектна. И в этом отношении также понятно, что адаптационный потенциал митохондриальной пролиферации должен максимально использоваться. Пролиферация митохондрий (стрелки) в нефроцитах у ребенка с инфантильным нефротическим синдромом представлена на фиг.5. Электронная микроскопия. Ув.x20000.

2. То же можно видеть в таких энергозависимых структурах, как почечный эпителий. Авторами обнаружены митохондриальные пролифераты в нефроцитах у детей при различных почечных заболеваниях, характеризующихся функциональной недостаточностью почек, в частности при инфантильном нефротическом синдроме.

3. При биопсии кожи у больных с синдромами Элерса-Данло и Марфана, у которых функциональные нарушения определяются в том числе и со стороны кожи, в базальном слое эпидермиса (где еще не начинаются процессы физиологической клеточной дистрофии) можно также наблюдать процессы митохондриальной пролиферации.

4. При электронно-микроскопическом и цитохимическом анализе лимфоцитов периферической крови детей с хроническими воспалительными заболеваниями, в частности болезнями верхних дыхательных путей, при которых можно предполагать наличие функциональной недостаточности иммунокомпетентных клеток, определяется увеличение количества митохондрий.

Описание метода

1. Гистологический (электронно-микроскопический) метод

В качестве материала исследования используется биоптат какой-либо ткани, либо цитологический материал, число митохондрий в одной клеточной единице которого заранее известно или для которого параллельно оценивается контрольный материал. Для ультраструктурного анализа образцы ткани фиксируются в растворах глутарового альдегида и четырехокиси осмия, заливаются в эпонаралдитовую смесь смол, контрастируются уранилацетатом и цитратом свинца и изучаются при помощи электронного микроскопа. При анализе оценивается число качественно не измененных митохондрий в клетке. Повышенное по сравнению с нормой (контролем) число сохранных митохондрий свидетельствует о компенсаторной пролиферации этих органелл.

2. Гистологический (гистохимический) метод

Для выявления активности митохондриального фермента сукцинатдегидрогеназы проводится гистохимическая реакция по Нахласу и др.

Срезы инкубируются при температуре 37 градусов по Цельсию в течение 5-20 минут в среде, содержащей смесь 10% водного раствора нитросинего тетразолиевого и забуференный раствор сукцината натрия (0,2М раствор сукцината, смешанный с равным объемом 0,2М фосфатного буфера, рН 7,6) в соотношении 1:1. После промывки солевым раствором срезы фиксируются 10% формалин-солевым раствором в течение 10 мин. После промывки в 15% спирте в течение 5 минут срезы заключаются в глицерин-желатин.

Визуально определяется количество гранул формазана, выпавших в осадок и соответствующих количеству митохондрий.

3. Цитохимический метод

Цитохимическое выявление активности митохондриального фермента – сукцинатдегидрогеназы в лимфоцитах периферической крови осуществляется наборами реактивов фирмы ООО МНПК “Химтехмаш”, ГосНИИ “ИРЕА” (метод Пирса (1957) в модификации Нарциссова Р.П., (1986) с последующей визуальной и компьютерной морфометрией (пакет программ “Видеотест”, методика Сухорукова B.C., Тозлиян Е.В.) [Сборник под редакцией В.С.Сухорукова, Е.А.Николаевой «Нарушение клеточного знергообмена у детей», МНИИПиДХ МЗ РФ, Атес Медика Софт, Москва 2004, 79 стр.]. Число гранул в лимфоците соответствует числу митохондрий. На фиг.6 показана вариабельность количества митохондрий (стрелки) при различных патологических состояниях в лимфоцитах периферической крови. Цитохимическое выявление активности сукцинатдегидрогеназы с возможностью оценки количества митохондрий в лимфоцитах. Ув.x1000.

Формула изобретения

Способ оценки тканевой адаптации к функциональной недостаточности органов и систем, отличающийся тем, что он основан на выявлении увеличения абсолютного числа митохондрий в клетках соответствующих тканей с помощью цитохимических, гистохимических и электронно-микроскопических методов.

РИСУНКИ

Categories: BD_2357000-2357999