Патент на изобретение №2355311

Published by on




РОССИЙСКАЯ ФЕДЕРАЦИЯ



ФЕДЕРАЛЬНАЯ СЛУЖБА
ПО ИНТЕЛЛЕКТУАЛЬНОЙ СОБСТВЕННОСТИ,
ПАТЕНТАМ И ТОВАРНЫМ ЗНАКАМ
(19) RU (11) 2355311 (13) C1
(51) МПК

A61B6/03 (2006.01)

(12) ОПИСАНИЕ ИЗОБРЕТЕНИЯ К ПАТЕНТУ

Статус: по данным на 30.08.2010 – действует

(21), (22) Заявка: 2007141557/14, 08.11.2007

(24) Дата начала отсчета срока действия патента:

08.11.2007

(46) Опубликовано: 20.05.2009

(56) Список документов, цитированных в отчете о
поиске:
4, с.22-27. BOCOLA V. et al. Neuroleptic induced parkinsonism: MRI findings in relation to clinical course after withdrawal of neuroleptic drugs., J. Neurol Neurosurg Psychiatry, 1996; 60: 213-6.

Адрес для переписки:

191104, Санкт-Петербург, ул. Маяковского, 12, РНХИ, патентный отдел

(72) Автор(ы):

Забродская Юлия Михайловна (RU),
Сухацкая Анна Валентиновна (RU),
Казначеева Анна Олеговна (RU),
Медведев Юрий Александрович (RU),
Ананьева Наталия Исаевна (RU),
Трофимова Татьяна Николаевна (RU),
Гайкова Ольга Николаевна (RU)

(73) Патентообладатель(и):

Федеральное Государственное Учреждение Российский научно-исследовательский нейрохирургический институт им. проф. А.Л. Поленова (RU)

(54) СПОСОБ КОМПЛЕКСНОЙ ПОСМЕРТНОЙ ПАТОМОРФОЛОГИЧЕСКОЙ ДИАГНОСТИКИ ЗАБОЛЕВАНИЙ ГОЛОВНОГО МОЗГА

(57) Реферат:

Изобретение относится к области медицины и может быть использовано при постановке диагноза заболеваний головного мозга на патологоанатомическом материале. Проводят посмертную магнитно-резонансную томографию (МРТ) фиксированного в формалине макропрепарата головного мозга с использованием программы в режиме Т2 взвешенных изображений (ВИ) толщиной срезов 5 мм в коронарной и сагиттальной плоскостях. Затем в режимах Т1 ВИ, Т2 ВИ, импульсной последовательности IR с толщиной срезов 2 мм в аксиальной плоскости. Срезы МРТ ориентируют в соответствии с комиссуральной системой координат. На полученных изображениях срезов мозга определяют зоны измененного магнитно-резонансного сигнала. Затем производят разрезы макропрепарата, соответствующие ориентирам МРТ с толщиной среза 5 мм, параллельно межкомиссуральной линии. На анатомических срезах выявляют измененные участки. Далее после сопоставления идентичных анатомических срезов головного мозга и МРТ изображений производят прицельное гистологическое исследование макроскопически измененных тканей и зон измененного сигнала, выявленных при МРТ. Микроскопически верифицируют патологический субстрат и диагностируют заболевание головного мозга. Способ обеспечивает повышение достоверности и точности диагностики. 1 табл., 8 ил.

Изобретение относится к области медицины и может быть использовано при постановке диагноза заболеваний головного мозга на патолого-анатомическом материале.

Современные возможности нейровизуализации, методы лечения, внедрение новых технологий в нейрохирургию ставит новые задачи перед морфологами, требуется более тонкий анализ взаимоотношения патологического очага с функционально значимыми структурами мозга, изучение фоновых патологических изменений и сопоставление с прижизненными данными обследования.

Известен способ посмертной патоморфологической диагностики заболеваний центральной нервной системы – патологоанатомическое исследование, при котором дают макро- и микроскопическую характеристику обнаруженных изменений (Хазанов А.Т., Чалисов И.А. Руководство по секционному курсу. – М., 1984. – С.41-44). Микроскопическое (гистологическое) исследование осуществляют путем прицельного изучения измененных внешне тканей головного мозга, определяемых макроскопически.

Однако нередко возникают трудности в макроскопической верификации пораженных участков мозга, что связано с малоразличимым по цвету, консистенции и плотности состоянием измененных участков. Такие сложности возникают при опухолях нервной системы с диффузной формой роста, замещающих нормальное вещество головного мозга; при мелкоочаговых процессах, например метастазах; энцефалитах или васкулитах различной этиологии; а также перифокальных изменениях вокруг патологического очага. Детальное морфологическое изучение и диагностика вышеперечисленных изменений в силу их невидимости при внешнем (макроскопическом) изучении не возможна с использованием классического патолого-анатомического способа. Это в ряде случаев не создает полную картину для проведения клинико-морфологического сопоставления и затрудняет посмертную диагностику.

Магнитно-резонансная томография (МРТ) является высокочувствительным способом прижизненной диагностики, позволяя выявлять мельчайшие изменения в веществе головного мозга в виде изменения магнитно-резонансного сигнала. Несомненным преимуществом способа является возможность визуализировать изменения, неверифицируемые при макроскопической оценке, сюда относятся перифокальные изменения вокруг опухолей, гематом и т.д., которые имеют важное клиническое значение. Также определяются микроскопические очаги диссеминации, воспалительные изменения, отек вещества головного мозга. Тем не менее, на современном этапе гистологический уровень диагностики магнитно-резонансной томографии недоступен, не всегда можно идентифицировать характер изменений в веществе мозга, выявляемых в виде измененного сигнала, и возникает необходимость сопоставления с патологоанатомическим исследованием.

Обычно сопоставление морфологических (лучевых и патологоанатомических) характеристик патологического процесса проводят после смерти больного путем сравнения анатомических препаратов с выполненными при жизни МРТ исследованиями. Часто это не совпадает по времени (проходит определенный срок после МРТ исследования), возможно изменение размеров объемного образования, наслоение других патологических процессов и осложнений. Все это не позволяет адекватно провести параллели между патологоанатомическими находками и данными прижизненной МРТ. Проведение посмертной МРТ макропрепаратов головного мозга позволяет полностью совместить нейровизуализационные и патоморфологические данные и помочь патологоанатому в определении локализации очагов для прицельного микроскопического исследования и успешного решения диагностических и исследовательских задач.

Однако прототип недостаточно достоверен, информативен и точен. Отсутствует четкий алгоритм проведения комплексного исследования макропрепарата головного мозга с целью полной посмертной диагностики патологических изменений. При проведении МРТ очень важна ориентация срезов, так как основной задачей является их воспроизводимость при проведении дальнейшего патологоанатомического исследования, что не нашло отражение в известном способе. Также не определены наиболее информативные для этих целей импульсные последовательности, особенности укладки макропрепарата, толщина среза, интервал между срезами. Необходима стандартизация данных показателей в связи с тем, что для полного сопоставления требуется небольшая толщина среза, оптимально – 2 мм, что значительно увеличивает продолжительность исследования и не позволяет использовать стандартные протоколы МРТ головного мозга. Используемая в прототипе толщина среза 5 мм и интервал между срезами 2,5 мм велики и неинформативны для визуализации мелких очаговых изменений, кроме того, за счет эффекта объемного усреднения при определенной патологии (например, дисциркуляторной энцефалопатии) приводят к слиянию отдельных очагов в единые зоны лейкоареоза при МРТ. Получение изображений Т1 и Т2 ВИ во всех трех ортогональных плоскостях является нецелесообразным, и поэтому требуется выбор наиболее оптимальных для этих целей импульсных последовательностей. В прототипе не отражено, как проводить патологоанатомическое исследование, каким образом ориентировать анатомические срезы и как производить вырезку кусочков для гистологического исследования, чтобы поставить точный диагноз.

Задачей изобретения является разработка способа комплексной посмертной патоморфологической диагностики заболеваний головного мозга, обеспечивающего достоверность и точность выявления макроскопически недифференцируемых патологических процессов в веществе головного мозга.

Указанный технический результат при осуществлении изобретения достигается тем, что в известном способе комплексной посмертной патоморфологической диагностики заболеваний головного мозга, включающем проведение МРТ фиксированного в нейтральном формалине макропрепарата головного мозга с последующим макро- и микроскопическим исследованием, особенность заключается в том, что при МРТ макропрепарата используют программу получения Т2 ВИ толщиной срезов 5 мм в коронарной и сагиттальной плоскостях, Т1 ВИ, Т2 ВИ, импульсные последовательности (ИП) inversion recovery (IR) с толщиной срезов 2 мм в аксиальной плоскости, срезы ориентируют в соответствии с комиссуральной системой координат, на полученных изображениях срезов мозга определяют зоны измененного магнитно-резонансного сигнала; затем производят разрезы макропрепарата, соответствующие ориентирам МРТ с толщиной среза 5 мм, параллельно межкомиссуральной линии, на анатомических срезах выявляют измененные участки; после сопоставления идентичных анатомических срезов головного мозга и изображений МРТ производят гистологическое исследование макроскопически измененных тканей и зон измененного сигнала на МРТ изображениях, верифицируют патологический субстрат и диагностируют заболевание головного мозга.

Использование Т1 ВИ, Т2 ВИ, ИП IR при МРТ позволяет выявить и дифференцировать патологические процессы различной этиологии. МРТ изображения в коронарной и сагиттальной плоскости необходимы для точного последующего расположения аксиальных срезов, а также для получения трехмерной картины локализации и распространенности патологического процесса. Поэтому в этих двух сериях изображение получают в Т2 ВИ толщиной среза 5 мм, что достаточно для ответа на поставленную задачу и позволяет сократить время исследования (время выполнения 2-3 мин). Толщина срезов 2 мм в аксиальной плоскости улучшает разрешающую способность исследования, позволяет получить информативные изображения и выявить мелкие очаги поражения головного мозга. Срезы ориентируют в аксиальной плоскости в соответствии с межкомиссуральной системой координат. Соблюдение последнего условия позволяет при дальнейшем патологоанатомическом исследовании добиться идентичности МРТ изображений и анатомического среза для проведения сопоставления. Получение идентичных срезов дает возможность прицельного забора (вырезки) измененных участков для гистологического исследования, достоверно и точно осуществить диагностику.

Способ осуществляется следующим образом.

Аутопсию производят не позже чем через 24 часа после смерти. После извлечения из полости черепа головной мозг фиксируют в нейтральном растворе формалина нарастающей концентрации с 5% до 10% в течение месяца. Предварительно в магистральные сосуды мозга и в желудочковую систему через срединную апертуру четвертого желудочка (отверстие Мажанди) наливают 5% раствор нейтрального формалина.

Через месяц проводят МРТ макропрепарата фиксированного головного мозга. Для этого используют головную катушку магнитно-резонансного томографа напряженностью магнитного поля не менее 1,5 Тесла. Макропрепарат головного мозга помещают в полиэтиленовый пакет и размещают на специальную подставку высотой 15-20 см основанием головного мозга книзу (фиг.1). Используется подставка из материала, который не создает артефакты на МРТ изображениях, например, поролона или пластмассы.

Первым этапом МРТ получают ориентировочное изображение – Localise. Следующим этапом получают изображение в режиме Т2 ВИ (fSE) в сагиттальной плоскости с толщиной среза 5 мм, затем Т2 ВИ (fSE) в корональной плоскости с толщиной среза 5 мм. Оценивают объем и локализацию патологических изменений. Заключительный этап исследования включает получение серии изображений с толщиной среза 2 мм в аксиальной плоскости (ахТ2 fSE 2 mm, axIR 1200 2 mm, axT1 SE 2 mm). Срезы ориентируют в аксиальной плоскости в соответствии с комиссуральной системой координат – в качестве условного ориентира выступает межкомиссуральная линия, соединяющая переднюю и заднюю спайки. Остальные срезы располагают параллельно данной линии. Соблюдение последнего условия позволяет при дальнейшем патологоанатомическом исследовании добиться идентичности уровней разреза. На полученных МРТ изображениях наблюдают зоны измененного сигнала.

Затем на макротоме производят горизонтальные анатомические срезы макропрепарата головного мозга толщиной 5 мм. Для того чтобы срез прошел параллельно межкомиссуральной линии, макропрепарат мозга располагают таким образом, чтобы лобные доли отступали на 1 см от направляющей плоскости среза, в отличие от мозжечка, который плотно к ней прилегает. Это достигается размещением между лобными долями и вертикальной съемной пластиной макротома предмета толщиной 1 см и шириной не более 4 см, этим предметом может служить стандартный спичечный коробок (фиг.2). После изготовления анатомических срезов производят отбор соответствующих их уровню МРТ изображений. Определяют макроскопические изменения головного мозга и сопоставляют с данными посмертной МРТ.

Далее, вырезают кусочки размерами 1,5-2×1,5-2 см для гистологического исследования как макроскопически измененных тканей, так и выявленных при МРТ зон измененного сигнала, не определяемых невооруженным глазом.

Материал проводят через спирты нарастающей концентрации, хлороформ и заливается в парафин по стандартной методике. Изготавливают гистологические препараты и при микроскопическом исследовании наблюдают измененные структуры мозга, по которым осуществляют диагностику заболеваний головного мозга.

Заявленный способ комплексной посмертной патоморфологической диагностики заболеваний головного мозга разработан на основе многочисленных наблюдений различной патологии с поражением центральной нервной системы умерших в РНХИ им. А.Л.Поленова за период 2005-2007 гг и прозектурах городских больниц Санкт-Петербурга, перечень которых приведен в таблице.

Таблица
Нозология Количество макропрепаратов
глиобластома 5
анапластическая астроцитома 3
анапластическая нейроцитома 1
медуллобластома 2
метастазы (рак молочной железы) 3
кавернома 1
герминома 1
лимфома 1
гематома 1
тракционное повреждение 1
деменция 4
дисциркуляторная энцефалопатия 4
Всего 27

МРТ фиксированного головного мозга проводилось на томографе «Signa Infinity» фирмы General Electric с напряженностью магнитного поля 1,5 Тесла.

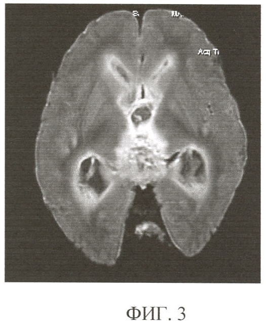
Пример 1. Пациенту (И.б. 1812-05, РНХИ) 19 лет была произведена трепанация черепа по поводу герминомы области шишковидной железы. В послеоперационном периоде течение заболевания осложнилось присоединением гнойных инфекций и развитием гидроцефалии. Несмотря на проводимое интенсивное лечение больной скончался с явлениями нарастания очаговой и общемозговой симптоматики, причина которых не была до конца ясна. Согласно заявляемому способу при МРТ с импульсной последовательностью Inversion Recovery (фиг.3) абсолютно идентично макропрепарату определяется опухолевый узел, расширенная желудочковая система, внутрижелудочковые наложения, обусловленные наличием вентрикулита. Кроме того, посмертная МРТ выявляет перивентрикулярное свечение, в то время как субэпендимальные отделы белого вещества на макропрепарате выглядят неизмененными (фиг.4). Прицельное гистологическое исследование зон гиперинтенсивного магнитно-резонансного сигнала в веществе головного мозга вокруг желудочков выявило распространение воспалительного процесса с развитием энцефалита с обильной лимфоплазмоцитарной инфильтрацией и отечными изменениями белого вещества мозга (фиг.5).

Таким образом, заявляемым способом комплексного посмертного патоморфологическогого исследования был диагностирован гнойный вентрикулит, который явился причиной развития водянки и тяжелого клинического течения заболевания. Кроме этого, диагностирован перивентрикулярный энцефалит, не визуализирующийся на макропрепарате. Выявление данного факта позволило достоверно установить распространенность поражения головного мозга воспалительным процессом и точно поставить посмертный диагноз.

Пример 2. Б-ная (И.б. 2700-06, РНХИ) 26 лет была прооперирована по поводу астроцитомы спинного мозга на уровне Th1-7. В дальнейшем на фоне нарастания неврологической симптоматики при проведении МРТ головного мозга признаки объемного очагового поражения отсутствовали. Причины клинического ухудшения вплоть до момента смерти не были ясны. Согласно заявляемому способу при посмертной МРТ головного мозга обнаружен опухолевый субстрат, выстилающий стенки IV желудочка, его сигнальные характеристики соответствовали ликвору: гиперинтенсивный на Т2 ВИ, гипоинтенсивный на Т1 ВИ. Кроме того, выявляются лептоменингеальные мелкие очаги преимущественно в задней черепной ямке (фиг.6). При макроскопическом исследовании солидная ткань опухоли представляет собой бугристые разрастания в полости IV желудочка, но изменения оболочек мозжечка не определяются (фиг.7). При гистологическом исследовании очагов измененного МРТ сигнала на оболочках мозга выявлены метастазы полиморфноклеточной глиобластомы (фиг.8).

Ретроспективный анализ клинической картины, результатов прижизненного МРТ и заявленного способа комплексного посмертного паморфологического исследования позволил заключить, что стелющийся диффузный рост опухоли вместе с ее сигнальными характеристиками, соответствующими ликвору, привел к отсутствию признаков объемного поражения головного мозга при прижизненном МРТ исследовании. Значительная распространенность и характер опухолевого процесса, выявленного заявленным способом комплексного посмертного патоморфологического исследования, позволили диагностировать злокачественный глиоматоз спинного и головного мозга с метастазами по мозговым оболочкам.

Таким образом, заявляемый способ диагностики дал возможность поставить точный окончательный диагноз и выявить причины, лежащие в основе невозможности правильной интерпретации результатов прижизненного МРТ исследования.

Таким образом, заявляемый способ комплексной посмертной патоморфологической диагностики заболеваний головного мозга позволяет достоверно и точно верифицировать патологический процесс и дает возможность провести полное клинико-анатомическое сопоставление для постановки точного диагноза.

Формула изобретения

Способ комплексной посмертной патоморфологической диагностики заболеваний головного мозга, включающий проведение магнитно-резонансной томографии (МРТ) фиксированного макропрепарата головного мозга с последующим макро- и микроскопическим исследованием, отличающийся тем, что вначале получают изображение макропрепарата Т2 взвешенное изображение (ВИ) с толщиной среза 5 мм в сагиттальной плоскости и затем в корональной, после чего получают серию изображений, Т1 ВИ, Т2 ВИ, импульсной последовательности IR с толщиной срезов 2 мм в аксиальной плоскости, срезы ориентируют в аксиальной плоскости в соответствии с комиссуральной системой координат, в качестве условного ориентира выступает межкомиссуральная линия, соединяющая переднюю и заднюю спайки, на полученных изображениях срезов мозга определяют зоны измененного магнитно-резонансного сигнала; затем производят горизонтальные анатомические срезы макропрепарата соответствующие ориентирам МРТ с толщиной срезов 5 мм параллельно межкомиссуральной линии, на анатомических срезах выявляют измененные участки; после сопоставления идентичных анатомических срезов головного мозга и МРТ изображений производят гистологическое исследование макроскопически измененных тканей и зон измененного магнитно-резонансного сигнала, верифицируют патологический субстрат и диагностируют заболевание головного мозга.

РИСУНКИ

Categories: BD_2355000-2355999