Патент на изобретение №2354322

Published by on




РОССИЙСКАЯ ФЕДЕРАЦИЯ



ФЕДЕРАЛЬНАЯ СЛУЖБА
ПО ИНТЕЛЛЕКТУАЛЬНОЙ СОБСТВЕННОСТИ,
ПАТЕНТАМ И ТОВАРНЫМ ЗНАКАМ
(19) RU (11) 2354322 (13) C1
(51) МПК

A61B17/58 (2006.01)

(12) ОПИСАНИЕ ИЗОБРЕТЕНИЯ К ПАТЕНТУ

Статус: по данным на 08.09.2010 – может прекратить свое действие

(21), (22) Заявка: 2007136426/14, 01.10.2007

(24) Дата начала отсчета срока действия патента:

01.10.2007

(46) Опубликовано: 10.05.2009

(56) Список документов, цитированных в отчете о
поиске:
RU 2071740 С1, 20.01.1997. RU 2161026 С2, 27.12.2000. МОВШОВИЧ И.А. Оперативная ортопедия. 2-е изд., перераб. и доп. – М.: Медицина, 1994, с.122-123. IKENAGA M. “Anterior corpectomy and fusion with fibular strut grafts for multilevel cervical myelopathy” J. Neurosurg Spine. 2005 Aug; 3(2):79-85 (Abstract).

Адрес для переписки:

640014, г.Курган, ул. М. Ульяновой, 6, ФГУ “РНЦ “Восстановительная травматология и ортопедия” им. акад. Г.А. Илизарова ФА по ВМП”, НОИС, Т.Н.Коваленко, рег. 296

(72) Автор(ы):

Кононович Наталья Андреевна (RU),
Дюрягин Евгений Владимирович (RU),
Дьячков Александр Николаевич (RU)

(73) Патентообладатель(и):

Федеральное государственное учреждение “Российский научный центр “Восстановительная травматология и ортопедия” имени академика Г.А. Илизарова Федерального агентства по высокотехнологичной медицинской помощи” (RU)

(54) СПОСОБ МЕХАНИЧЕСКОЙ СТИМУЛЯЦИИ ЗАМЕДЛЕННОГО ОСТЕОГЕНЕЗА ПРИ ПЕРЕЛОМАХ КОСТЕЙ

(57) Реферат:

Изобретение относится к области медицины и ветеринарии и предназначено для стимуляции репаративной регенерации поврежденных костей в условиях замедленного остеогенеза. Проводят фиксацию отломков кости аппаратом для чрескостного остеосинтеза. Через 3-5 дней после операции к отломкам кости прикладывают дозированные дистракционные усилия с темпом 0,5 мм в сутки, на протяжении 4-х суток. Затем фиксируют отломки в достигнутом положении в течение 3 суток, после чего осуществляют компрессию, точно сопоставляя отломки, ориентируя их относительно продольной оси, и фиксируют до сращения. Способ обеспечивает стимуляцию остеогенеза, усиление микроциркуляции в области излома, сокращение сроков лечения. 7 ил.

Изобретение относится к медицине и ветеринарии, может быть использовано для стимуляции репаративных процессов поврежденных костей в условиях замедленного остеогенеза, а именно при значительной степени травматизации остеогенных тканей (костный мозг, надкостница) и повреждении питающих кость сосудов.

Известен способ моделирования замедленного остеогенеза, включающий нарушение целостности костной ткани, фиксацию отломков кости аппаратом для чрескосного остеосинтеза, в котором препарируют прилегающие к кости мягкие ткани. Осуществляют остеотомию берцовых костей экспериментального животного, выводят концы фрагментов из раны. Удаляют из каждого содержимое костномозговой полости и участок питательной артерии. Затем концы фрагментов сопоставляют и фиксируют до сращения (Патент 2301457, РФ. МПК7 G09B 23/28, A61D, А61В 17/56. Способ моделирования замедленного остеогенеза / Кононович Н.А. (РФ), Дюрягин Е.В. (РФ), Дьячков А.Н. (РФ), ФГУН «РНЦ «ВТО» им. акад. Г.А.Илизарова Росздрава» (РФ); – заявл. 18.02.2005; опубл. 27.07.2006).

Известен способ стимуляции остеогенеза, включающий внутримышечное введение взвеси аллогенного гидроксилаппатита в изотоническом растворе хлорида натрия и обеспечивающий ускорение формирования костной ткани на месте деминерализованного костного матрикса в эксперименте (Патент РФ 2219933, МПК А61К 33/00. Способ стимуляции остеогенеза / Волова Л.Т., Подковкин В.Г., Власов М.Ю. – 2002119768/14; заявл. 22.07.2002, опубл. 27.12.2003).

Известен способ стимуляции репаративных процессов в костной ткани после остеосинтеза, при выполнении которого животным в послеоперационном периоде внутрь вводят сел-плекс в дозе 5 мг на 1 кг живой массы 1 раз в сутки в течение 14 дней (Патент РФ 2295962 С1, МПК А61К 33/04, А61Р 19/00. Способ стимуляции репаративных процессов в костной ткани после остеосинтеза / Сахно Н.В., Садовников Н.В., Папазян Т.Т., Садовникова Н.Ю., Черванев В.А., Трояновская Л.П., Федеральное государственное образовательное учреждение высшего профессионального образования «Орловский государственный аграрный университет» (РФ). – 2005128000/14; заявл. 07.09.2005, опубл. 27.03.2007; Бюл. 9).

Однако известные способы не оказывают прямого стимулирующего действия на репаративные процессы в зоне повреждения, и в частности при замедленном остеогенезе. Кроме того, как отдельные компоненты, входящие в состав фармакологических веществ, так и в целом препараты, используемые при выполнении известных способов, могут быть причиной возникновения различных аллергических проявлений. Так же известные способы предусматривают дополнительные затраты для их осуществления.

Известна заливочная композиция для стимуляции образования кости и сращения кости, содержащая сульфат кальция и вязкие биополимеры, предотвращающая рост нежелательных соединительных тканей, а также индуцирующая рост кровеносных сосудов и развитие костных остеобластов на ранней стадии (Патент РФ 2296588 С2, МПК A61L 27/40, 27/44, 27/00, А61Р 19/00. Заливочная композиция для стимуляции образования кости и сращения кости, содержащая сульфат кальция и вязкие биополимеры / КИМ Ин-Сан, 40 Биунг Чае., РЕДЖЕН БАЙОТЕК, ИНК. (KR). – 2005113276/15; заявл. 30.09.2002, опубл. 10.04.2007; Бюл. 10).

Однако известная композиция применяется для заполнения полостей костных дефектов, а также вводится в полость диастаза с целью стимуляции остеогенеза после вытяжения костей, в частности челюсти, и не была использована для стимуляции замедленного остеогенеза при сращении переломов длинных костей.

Известен способ стимуляции репаративной регенерации костной ткани заключающийся в одновременном воздействии высокочастотными полями и облучением низкоинтенсивным квазимонохроматическим излучением видимого и ближнего инфракрасного диапазонов с малой шириной спектра (Патент РФ 2259216 С2, МПК A61N 2/00, 5/06. Способ стимуляции репаративной регенерации костной ткани и устройство для его осуществления / Рябоконь Д.С., Федеральное государственное унитарное предприятие Омский научно-исследовательский институт приборостроения (РФ). – 2002121816/14; заявл. 07.08.2002, опубл. 27.08.2005; Бюл. 24).

Известен способ стимуляции остеорепарации у собак после остеосинтеза, включающий воздействие на биологически активные точки электрическим током определенного параметра (Патент РФ 2280431 С1, МПК А61Н 39/00, A61N 1/32, A61D 99/00. Способ стимуляции остеорепарации у собак после остеосинтеза / Сахно Н.В., Федеральное государственное образовательное учреждение высшего профессионального образования «Орловский государственный аграрный университет» (РФ). – 2004136521/14; заявл. 14.12.2004, опубл. 27.07.2006; Бюл. 21).

Известен способ стимуляции репаративного остеогенеза у животных и человека, включающий применение хирургического лазера излучающего в ближнем инфракрасном диапазоне в импульсно-периодическом режиме со средней мощностью 20-40 Вт, при этом остеоперфорация осуществляется в течение 3-10 с в очаге перелома не менее чем в пяти точках и формируются сквозные отверстия в зоне перелома кости в перпендикулярных кости плоскостях (Патент 2255700 RU, МКИ А61В 18/22. Способ стимуляции репаративного остеогенеза у животных и человека / Молоканов В.А., Привалов В.А., Крочек И.К., Циулина Е.П., Лаппа А.В., Шумилин И.И. (RU). – 2003120791/14; заявл. 07.07.2003; опубл. 10.07.2005; Бюл. 19. – 7 с.).

Однако известные способы предусматривают наличие специальных устройств, а следовательно и дополнительных затрат для осуществления.

Известен способ моделирования стимуляции регенерации костной ткани, заключающийся в отграничении области циркулярного дефекта длинной трубчатой кости от проникновения окружающих тканей пленкой из динитроцеллюлозы, которую накладывают циркулярно с перекрытием краев дефекта на 5-7 мм и плотно фиксируют капроновыми нитями, предварительно с концов костных фрагментов удаляя надкостницу (Заявка РФ 2005100265/14. Способ моделирования стимуляции регенерации костной ткани / Шевцов В.И., Дьячков А.Н., Ручкина И.В., Государственное учреждение Российский научный центр «Восстановительная травматология и ортопедия» им. акад. Г.А. Илизарова (РФ); заявл. 11.01.2005., опубл. 20.06.2006; Бюл. 17).

Однако известный способ используется для стимуляции репаративной регенерации костной ткани при замещении циркулярных дефектов.

Известен способ стимуляции репаративного процесса кости, заключающийся в том, что после завершения периода дистракции одновременно сближают дистальную и проксимальную части костного реагента, осуществляя компрессию соединительнотканной прослойки регенерата (Патент 2071740 РФ, МКИ 6 А61В 17/56. Способ стимуляции репаративного процесса кости / В.И.Шевцов (РФ), А.В.Попков (РФ). – 94013185/14; заявлено 13.04.94; опубл. 20.01.97; Бюл.2).

Однако известный способ предназначен для стимуляции формирования костного регенерата при дистракционном остеогенезе.

Задачей настоящего изобретения является разработка способа, который позволяет оказывать прямое стимулирующее действие на процессы остеорепарации при повреждении костей путем локального механического воздействия, прикладываемого на область перелома, в периоде фиксации, при неблагоприятных для сращения физиологических условиях.

Поставленная задача решается тем, что в способе механической стимуляции замедленного остеогенеза при переломах костей, включающем фиксацию отломков кости аппаратом для чрескостного остеосинтеза, через 3-5 дней после операции к отломкам кости прикладывают дозированные дистракционные усилия с темпом 0,5 мм в сутки, на протяжении 4-х суток, затем фиксируют отломки в достигнутом положении в течение 3 суток, после чего осуществляют компрессию, точно сопоставляя отломки, ориентируя их относительно продольной оси, и фиксируют до сращения.

Настоящее изобретение поясняют подробным описанием, прилагаемьми фото, рентгенограммами и гистотопограммами, на которых:

Фиг.1 – вид голени собаки после наложения аппарата для наружной фиксации.

Фиг.2 – копия рентгенограммы костей голени после открытой поперечной остеотомии и удаления содержимого костномозговых полостей отломков на глубину 1 см.

Фиг.3 – копия рентгенограммы костей голени согласно изобретению, конец дистракции.

Фиг.4 – копия рентгенограммы костей голени согласно изобретению, 7 суток фиксации после компрессии.

Фиг.5 – копия рентгенограммы костей голени согласно изобретению, 30 суток фиксации после компрессии, 42 дня опыта.

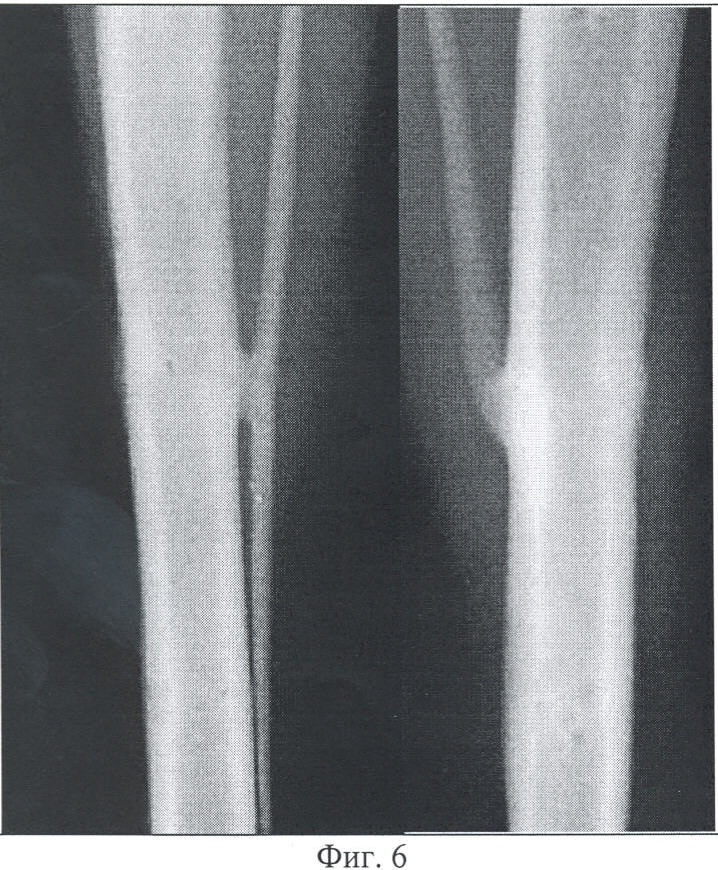
Фиг.6 – копия рентгенограммы костей голени согласно изобретению, 30 суток после прекращения фиксации аппаратом.

Фиг.7 – копия гистотопограммы через 30 суток после прекращения фиксации аппаратом.

Способ осуществляют следующим образом.

Диафизарный перелом костей, сопровождающийся значительным повреждением остеогенных тканей и питающих кость сосудов, фиксируют при помощи аппарата для чрескостного остеосинтеза. Через 3-5 суток после операции к отломкам прикладывают дозированные дистракционные усилия с темпом 0,5 мм в сутки на протяжении 4 суток, после чего между ними формируется диастаз величиной 2,0 мм. После трех дней фиксации, в достигнутом положении, отломки сближают до полного контакта.

Аппарат демонтируют при наличии клинических и рентгенологических признаков сращения.

Пример выполнения способа.

У экспериментального животного (собака) согласно известному способу смоделирован открытый перелом костей голени, сопровождающийся значительным повреждением надкостницы, костного мозга и разрывом питающих кость сосудов. Для этого в условиях операционной, у наркотизированного животного, после обработки операционного поля 5% спиртовым раствором йода, на правую голень наложен аппарат Илизарова, состоящий из двух подсистем (проксимальной и дистальной), соединенных между собой тремя резьбовыми стержнями (Фиг.1). В области средней трети диафиза берцовых костей осуществлена открытая поперечная остеотомия при помощи пилки Джигли. С целью усиления степени травматизации остеогенных тканей из костномозговых полостей проксимального и дистального отломков удалено содержимое на глубину не менее 1 см, после чего отломки точно сопоставлены (Фиг.2). На мягкие ткани наложены узловатые швы. Операционное поле обработано 5% спиртовьм раствором йода.

Через 5 суток после остеосинтеза начата дистракция по стержням, соединяющим подсистемы аппарата, с темпом 0,5 мм в сутки за 4 приема на протяжении четырех дней. К концу дистракции диастаз между фрагментами составил 2 мм (Фиг.3). Далее, после трех дней фиксации, осуществлена компрессия до полного контакта отломков.

Через 7 суток после компрессии рентгенологически контуры концов отломков нечетко выражены. Межотломковую щель перекрывают гомогенные тени низкой интенсивности. В проекции костномозговых полостей отломков выявляется эндостальная реакция. Периостальная – характеризуется наличием на отломках рыхлых теней толщиной до 2,0 мм и протяженностью 0,5-1,7 см от линии остеотомии, более выраженных на дистальном отломке (Фиг.4).

К 30 суткам после компрессии на рентгенограммах линию перелома перекрывают плотные гомогенные тени. Эндостальная реакция в отломках затухает. Периостальные напластования заметно компактизируются (Фиг.5). При клиническом исследовании патологическая подвижность и болезненность в области остеотомии не определяются, что является основанием для прекращения фиксации аппаратом.

Через 1 месяц после снятия аппарата рентгенологически ось кости правильная. Линия излома не определяется. Сформирована единая костномозговая полость. Эндостальная реакция визуально не выявляется. Компактизированные периостальные напластования протяженностью до 0,6 см имеют толщину не более 1,0 мм (Фиг.6).

К этому сроку на гистотопограммах определяется костное сращение. В костномозговой полости сохраняются костные трабекулы эндостального регенерата и незначительные по протяженности периостальные наслоения толщиной до 1,0 мм. Костный мозг кроветворно-жировой. В корковой пластинке, преимущественно проксимального отдела, выявляются мелкие полости с костным мозгом (Фиг.7).

Предлагаемый способ позволяет в случаях замедленного остеогенеза стимулировать процессы остеорепарации при переломах костей за счет усиления микроциркуляции в области излома, созданного путем местного механического воздействия на отломки.

Кроме того, способ легко выполним, не вызывает аллергических реакций при его выполнении и не требует дополнительных затрат для осуществления, в сравнении с известными.

Формула изобретения

Способ механической стимуляции замедленного остеогенеза при переломах костей, включающий фиксацию отломков кости аппаратом для чрескостного остеосинтеза, отличающийся тем, что через 3-5 дней после операции к отломкам кости прикладывают дозированные дистракционные усилия с темпом 0,5 мм в сутки на протяжении 4 суток, затем фиксируют отломки в достигнутом положении в течение 3 суток, после чего осуществляют компрессию, точно сопоставляя отломки, ориентируя их относительно продольной оси, и фиксируют до сращения.

РИСУНКИ

Categories: BD_2354000-2354999