Патент на изобретение №2354321

Published by on




РОССИЙСКАЯ ФЕДЕРАЦИЯ



ФЕДЕРАЛЬНАЯ СЛУЖБА
ПО ИНТЕЛЛЕКТУАЛЬНОЙ СОБСТВЕННОСТИ,
ПАТЕНТАМ И ТОВАРНЫМ ЗНАКАМ
(19) RU (11) 2354321 (13) C1
(51) МПК

A61B17/58 (2006.01)

(12) ОПИСАНИЕ ИЗОБРЕТЕНИЯ К ПАТЕНТУ

Статус: по данным на 08.09.2010 – может прекратить свое действие

(21), (22) Заявка: 2007136368/14, 01.10.2007

(24) Дата начала отсчета срока действия патента:

01.10.2007

(46) Опубликовано: 10.05.2009

(56) Список документов, цитированных в отчете о
поиске:
SU 1061803 А1, 23.12.1983. RU 2277877 С2, 20.06.2006. ДЮЛЬДИН В.А. и др. О механизме компенсации хронической ишемии конечности при дистракционном остеосинтезе. Проблемы медицины и биологии. – Курган: 1996. 14-150. CHUONG R. «Avascular necrosis of the mandibular condylepathogenesis and concepts of management» Oral Sung Oral Med Oral Pathol. 1993 Apr; 75(4):428-32 (Abstract).

Адрес для переписки:

640014, г.Курган, ул. М. Ульяновой, 6, ФГУ РНЦ “Восстановительная травматология и ортопедия” им. акад. Г.А. Илизарова ФА по ВМП”, НОИС, пат. пов. Т.Н.Коваленко

(72) Автор(ы):

Шевцов Владимир Иванович (RU),
Бунов Вячеслав Сергеевич (RU),
Корабельников Юрий Алексеевич (RU)

(73) Патентообладатель(и):

Федеральное государственное учреждение “Российский научный центр “Восстановительная травматология и ортопедия” имени академика Г.А. Илизарова Федерального агентства по высокотехнологичной медицинской помощи” (RU)

(54) СПОСОБ ОСТЕОСИНТЕЗА ПРИ ЛЕЧЕНИИ БОЛЬНЫХ С ИШЕМИЧЕСКИМИ ПОРАЖЕНИЯМИ КОНЕЧНОСТЕЙ

(57) Реферат:

Изобретение относится к медицине, а именно к сосудистой хирургии. Осуществляют сквозное проведение спиц через костный сегмент и выделяемый продольный отщеп. Формируют со стороны раневой поверхности отщепа упорные площади на концах спиц. Через отщеп и противостоящий ему участок кости, со стороны последнего, в кососагиттальной плоскости дополнительно проводят минимум две перекрещивающиеся спицы, имеющие меньшую жесткость. Способ повышает стабильность фиксации и управляемость сформированных фрагментов. 1 з.п. ф-лы, 3 ил.

Изобретение относится к области медицины, в частности к ортопедии, и может быть использовано при лечении больных с ишемическими поражениями конечностей методом управляемого чрескостного остеосинтеза.

Известен способ лечения хронической ишемии конечностей, предусматривающий сквозное чрескостное проведение спиц и фиксацию ими выделяемого продольного отщепа кости, в ходе которой со стороны раневой поверхности последнего на концах спиц формируют упорные площадки, а также последующее крепление фиксирующих спиц, соответственно, на опорах и в связанных с ними тракционных узлах компрессионно-дистракционного аппарата (а.с. СССР 1061803, опубл. 23.12.1983 г., бюл. 47).

Однако при данном варианте остеосинтеза, особенно в раннем послеоперационном периоде, в ходе функциональной нагрузки на конечность и связанного с этим естественного сокращения мышц, сохраняется микроподвижность выделенного продольного отщепа кости. Это отрицательно сказывается как на достижении первичного сращения отщепа с противостоящим участком кости, так и на последующем течении остео-, ангиогенеза, что особенно выражено у пациентов с ишемическими поражениями конечностей. У таких пациентов при реконструкции конечностей или направленной стимуляции их кровоснабжения методом управляемого чрескостного остеосинтеза нередко отмечается развитие послеоперационных осложнений в виде воспаления тканей, что увеличивает продолжительность лечения, снижает его эффективность.

Задачей изобретения является разработка способа остеосинтеза при лечении больных с ишемическими поражениями конечностей, предупреждающего развитие послеоперационных осложнений за счет повышения стабильности фиксации и управляемости положением выделяемых фрагментов кости при создании в тканях реконструируемых сегментов условий дозированного напряжения.

Указанная задача решается тем, что в способе остеоситеза, включающем сквозное проведение спиц через костный сегмент и выделяемый продольный отщеп, формирование со стороны раневой поверхности последнего упорных площадок на концах спиц, а также последующее крепление фиксирующих кость и продольный отщеп спиц, соответственно, на опорах и в связанных с ними тракционных узлах компрессионно-дистракционного аппарата, через продольный отщеп и противостоящий ему участок кости, со стороны последнего, в кососагиттальной плоскости дополнительно проводят минимум две перекрещивающиеся спицы, имеющих меньшую жесткость.

Предусматривается также, что для повышения стабильности и управляемости положением отщепа концы фиксирующих его спиц с упорными площадками вводят в материнскую кость.

Способ поясняется описанием, примером практического использования и иллюстративным материалом, на котором изображено:

Фиг.1 – рентгенограмма голени больного после выполнения остеосинтеза согласно предложенному способу;

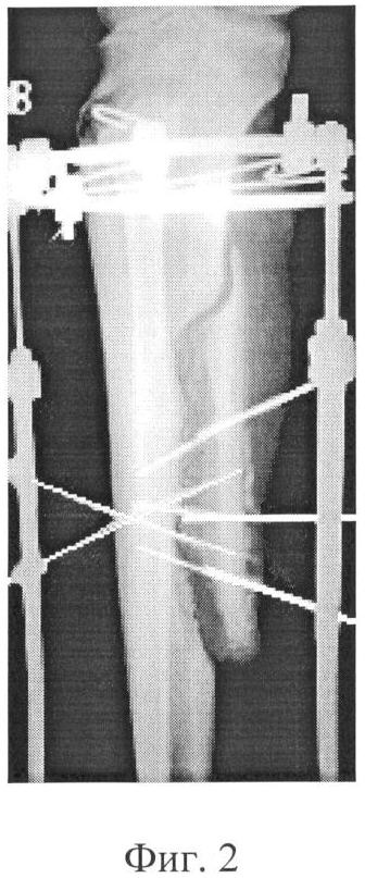
Фиг.2 – рентгенограмма голени больного на этапе стабильной фиксации;

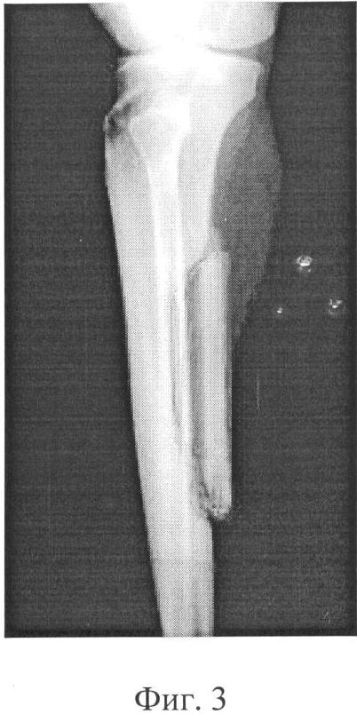
Фиг.3 – рентгенограмма больного после лечения.

Способ осуществляется следующим образом.

В условиях операционной выполняют остеосинтез сегмента конечности с использованием компрессионно-дистракционного аппарата.

Вслед за этим через отдельные разрезы мягких тканей создают продольный отщеп кости. Через отщеп проводят две-три тракционные спицы, например «биметаллические» спицы, которые представляют собой коаксиально расположенные стержни, после ведения которых и смещения относительно друг друга происходит образование упорных площадок на рабочих концах спиц, фиксирующих отщеп. Рабочие концы этих спиц целесообразно вводить в противостоящий отщепу участок материнской кости, а их свободные концы с возможностью осевого перемещения крепят в трационных узлах, соединенных с опорами аппарата.

В дополнение к тракционным спицам со стороны противостоящего участка кости в кососагиттальной плоскости перекрестно вводят еще минимум две спицы, внедряя их рабочие концы в продольный отщеп до выхода из кортикального слоя. Причем используют спицы, имеющие в сравнении с тракционными меньшую жесткость (диаметр). Свободные концы спиц крепят на дополнительной опоре, которую жестко соединяют с одной из основных опор аппарата. Операцию остеосинтеза завершают ушиванием ран, стабилизацией систем аппарата и выполнением контрольной рентгенографии.

В послеоперационном периоде, исходя из решаемой лечебной задачи, выполняют необходимые манипуляции, обеспечивающие дозированное перемещение полученного продольного отщепа кости и получение дистракционного костного регенерата. После окончания перемещения отщепа тракционные спицы удаляют, аппарат демонтируют, а дополнительные, перекрещивающиеся с минимальным элементом их фиксации, оставляют для сохранения полученного диастаза между отщепом и костью до оссификации регенерата.

Практическое выполнение способа иллюстрирует следующее клиническое наблюдение.

Больной С., 41 г., находился в отделении сосудистой хирургии с диагнозом: Облитерирующий атеросклероз; хроническая артериальная недостаточность степени 2б; окклюзия поверхностной бедренной артерии в средней трети, подколенной артерии и берцовых артерий, стеноз устья глубокой артерии бедра справа.

В ходе операции больному выполнен остеосинтез правой голени аппаратом внешней фиксации; сформирован продольный отшеп большеберцовой кости величиной 7 см. Отщеп фиксировали тракционными «биметаллическими» спицами, рабочие концы которых ввели в противостоящий отщепу участок материнской кости, а их свободные концы с возможностью осевого перемещения закрепили в трационных узлах, соединенных с опорами аппарата.

В дополнение к тракционным спицам со стороны противостоящего участка кости в кососагиттальной плоскости перекрестно ввели две спицы меньшей жесткости. Их рабочие концы внедрили в продольный отщеп до выхода из кортикального слоя, а свободные концы закрепили на дополнительной опоре.

Операцию завершили ушиванием ран, стабилизацией систем аппарата и выполнением контрольной рентгенографии.

В послеоперационном периоде, начиная с 5-го дня, осуществляли дозированную тракцию сформированного продольного отщепа большеберцовой кости в направлении, перпендикулярном ее продольной оси. Темп тракции составлял 0,5 мм в сутки, а ее продолжительность – 28 дней. После окончания перемещения отщепа тракционные спицы удалили, аппарат демонтировали. В дальнейшем до оссификации участка сформированного костного регенерата, стабильное положение отщепа поддерживали за счет дополнительных перекрестно введенных спиц. В течение всего срока лечения осложнений со стороны покровных тканей и нарушений течения остеогенеза не отмечено.

В результате проведенного лечения у больного улучшилось состояние кровоснабжения дистальных отделов правой нижней конечности, что нашло выражение в потеплении кожных покровов, нормализации их окраски, в увеличении продолжительности безболезненной ходьбы.

Предложенный способ использован в клинике Российского научного центра «Восстановительной травматологии и ортопедии» им. акад. Г.А.Илизарова при лечении ортопедических больных с нарушениями кровоснабжения конечностей. Его применение показало, что достигаемое с его помощью повышение стабильности выделяемого продольного отщепа кости исключает его микроподвижность и в раннем послеоперационном периоде оптимизирует достижение первичного сращения с «материнской» костью. Осуществляемая в дальнейшем дозированная тракция продольного отщепа кости также выполняется в условиях его стабильной фиксации, что обеспечивается за счет разнонаправленного введения и использования спиц с различной жесткостью. Тем самым повышается управляемость положением выделенного фрагмента, способствующая формированию полноценного костного регенерата и образованию устойчивых сосудистых связей. В совокупности это предупреждает развитие послеоперационных осложнений при создании в тканях условий дозированного напряжения в ходе ортопедической реконструкции сегментов конечностей или опосредованной стимуляции их кровоснабжения у больных с ишемическими расстройствами различного генеза.

Формула изобретения

1. Способ остеосинтеза при лечении больных с ишемическими поражениями конечностей, включающий сквозное проведение спиц через костный сегмент и выделяемый продольный отщеп, формирование со стороны раневой поверхности отщепа упорных площадок на концах спиц, а также последующее крепление фиксирующих кость и продольный отщеп спиц соответственно на опорах и в связанных с ними тракционных узлах компрессионно-дистракционного аппарата, отличающийся тем, что через продольный отщеп и противостоящий ему участок кости со стороны последнего в кососагиттальной плоскости дополнительно проводят минимум две перекрещивающиеся спицы, имеющие меньшую жесткость.

2. Способ по п.1, отличающийся тем, что фиксирующие отщеп спицы с упорными площадками вводят в материнскую кость.

РИСУНКИ

Categories: BD_2354000-2354999