Патент на изобретение №2354305

Published by on




РОССИЙСКАЯ ФЕДЕРАЦИЯ



ФЕДЕРАЛЬНАЯ СЛУЖБА
ПО ИНТЕЛЛЕКТУАЛЬНОЙ СОБСТВЕННОСТИ,
ПАТЕНТАМ И ТОВАРНЫМ ЗНАКАМ
(19) RU (11) 2354305 (13) C1
(51) МПК

A61B17/00 (2006.01)

(12) ОПИСАНИЕ ИЗОБРЕТЕНИЯ К ПАТЕНТУ

Статус: по данным на 08.09.2010 – может прекратить свое действие

(21), (22) Заявка: 2007128804/14, 18.07.2007

(24) Дата начала отсчета срока действия патента:

18.07.2007

(46) Опубликовано: 10.05.2009

(56) Список документов, цитированных в отчете о
поиске:
ПАВЛОВ В.И., КАЗИХИНУРОВ А.А. Резекция почки с аллопластикой раневого дефекта в эксперименте. /Здравоохранение Башкортостана. – 2000, 2, 89-91. RU 2004104574, 27.07.2005. RU 2189257 С1, 20.09.2002. RU 2005100228 А, 20.06.2006. RU 2173100 С2, 10.09.2001. UA 21596 U, 15.03.2007. НИГМАТУЛЛИН Р.Т. Очерки трансплантации тканей. – Уфа: 2003, 135-137,104-106, 54-55. Muldashev E.R. et al. The role of macrophages in the tissues regeneration stimulated by the biomaterials, fell Tissue Bank, 2005, 6 (2), 99-107.

Адрес для переписки:

450000, г.Уфа-Центр, Ленина, 3, БАШГОСМЕДУНИВЕРСИТЕТ, патентный отдел

(72) Автор(ы):

Мулдашев Эрнст Рифгатович (RU),
Нигматуллин Рафик Талгатович (RU),
Хасанов Руслан Алмазович (RU),
Павлов Валентин Николаевич (RU),
Насибуллин Ильдар Марсович (RU),
Щербаков Дмитрий Александрович (RU),
Шангина Ольга Ратмировна (RU)

(73) Патентообладатель(и):

ФЕДЕРАЛЬНОЕ ГОСУДАРСТВЕННОЕ УЧРЕЖДЕНИЕ “ВСЕРОССИЙСКИЙ ЦЕНТР ГЛАЗНОЙ И ПЛАСТИЧЕСКОЙ ХИРУРГИИ ФЕДЕРАЛЬНОГО АГЕНТСТВА ПО ЗДРАВООХРАНЕНИЮ И СОЦИАЛЬНОМУ РАЗВИТИЮ” (ФГУ ВЦГПХ РОСЗДРАВА) (RU)

(54) СПОСОБ ХИРУРГИЧЕСКОГО ЛЕЧЕНИЯ РАНЫ ПОЧКИ

(57) Реферат:

Предлагаемое изобретение относится к медицине, урологии, а именно к регенеративной хирургии почек с использованием трансплантации тканей. Выполняют резекцию почки. На раневую поверхность почки укладывают губчатый аллогенный биоматериал Аллоплант с диаметром ячеек от 100 до 250 мкм. Накрывают уложенный биоматериал мембранным биоматериалом Аллоплант. Мембранный биоматериал Аллоплант фиксируют к капсуле почки. Способ обеспечивает адекватное заживление раны, стимуляцию регенерации почечной паренхимы и ее соединительнотканной оболочки без явлений фиброза, восстановление анатомической и физиологической целостности почки, физиологическую фиксацию с сохранением функциональной подвижности почки, профилактику нефроптоза и синдрома «блуждающей почки». 3 ил.

Изобретение относится к области медицины, а именно к регенеративной хирургии почек с использованием трансплантации тканей, и может быть использовано для заживления раны (хирургической, травматической и т.д.) почки.

Первые работы по регенерации почки относятся к середине 80-х годов 19 века и принадлежат Маасу и Тильману (Maas H., 1978; Tillmans H., 1979), утверждавшим, что заживление почки происходит рубцом. Большое количество последующих работ [Подвысоцкий В.В., Тюфье, Вольф, Тильи, Виноградов В.В., Волощенко А.А., Захарьевская М.А., Самсонидзе Г.Г. и др.] показало способность почки к регенерации, вплоть до полного восстановления ее функций.

Известные способы органосохраняющих операций при травматических разрывах почек недостаточно эффективны в связи с тем, что паренхима почки рыхла и чрезвычайно непрочна, а ее капсула очень тонка, поэтому во время ушивания раны традиционным способом наблюдаются прорезывание швов и вторичное кровотечение, трудно достигается восстановление целостности поврежденного органа. Тампонада раны почки мышцей, жировой клетчаткой, сальником ведет к деформации органа, нарушению соотношений структурных элементов почки, развитию хронической почечной недостаточности.

Прототипом изобретения является способ хирургического лечения раны почки, включающий ее резекцию, закрытие раневой поверхности аллогенным пластинчатым биоматериалом Аллоплант, фиксацию биоматериала к капсуле почки (Павлов В.Н., Казихинуров А.А. Резекция почки с аллопластикой раневого дефекта в эксперименте. Здравоохранение Башкортостана, 2000, 2, с.89-91). Недостатки данного способа: пластинчатый биоматериал является плотным и не обладает адгезивными свойствами, при закрытии им раневой поверхности плотного соприкосновения биоматериала с паренхимой почки не происходит; пластинчатый биоматериал представляет собой однонаправленные пучки коллагеновых волокон, вследствие чего прочность шовной фиксации значительно ниже; относительная длительность замещения пластинчатого биоматериала тканями.

Задачей изобретения является разработка способа, обеспечивающего достижение адекватного заживления раны со стимуляцией репаративной регенерации почечной паренхимы.

Технический результат при использовании изобретения – регенерация почечной паренхимы и ее соединительнотканной оболочки без явлений фиброза, восстановление физиологической целостности и подвижности почки.

Указанный технический результат достигается тем, что в способе хирургического лечения раны почки, включающем ее резекцию, закрытие раневой поверхности аллогенным биоматериалом Аллоплант, фиксацию биоматериала к капсуле почки, согласно изобретению на раневую поверхность укладывают губчатый биоматериал Аллоплант, накрывают его мембранным биоматериалом Аллоплант, который фиксируют к капсуле почки.

Биоматериалы, использованные в данном исследовании, производятся на базе тканевого банка ФГУ «Всероссийский центр глазной и пластической хирургии Федерального агентства по здравоохранению и социальному развитию» в соответствии с требованиями технических условий (ТУ 42-2-537-2006). Свойства выбранных биоматериалов позволяют успешно использовать их в регенеративной хирургии (патент РФ 2189257, МПК A61L 27/00, опубл. 20.09.2002 г.).

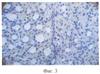
Предлагаемый способ иллюстрируется следующими чертежами: на фиг.1 изображен губчатый биоматериал, изготовленный из сухожилий крыс; на фиг.2 – ячеистая структура губчатого биоматериала. Окраска по Ван-Гизону. Об. 40. Окуляр 20; на фиг.3 – поперечный срез почки, регенерация эпителия канальцев в губчатом биоматериале на 28-е сутки. Окраска по Маллори. Об. 40. Гомаль 3.

При разработке биоматериала для стимуляции регенерации почечной паренхимы авторы исходили из следующих теоретических предпосылок:

1. Трансплантат для замещения дефектов почки должен иметь губчатую (тубулярную) структуру и в целом соответствовать соединительнотканному остову почки как органа. Подобный материал будет служить каркасом для регенерации канальцевого аппарата и адекватным субстратом для поддержания эпителиально стромальных взаимоотношений в почке. Поэтому для экспериментальных исследований на крысах нами был изготовлен аллогенный биоматериал. При этом просвет ячеек губчатого препарата составил 30-40 мкм, что отражает параметры канальцевого аппарата лабораторных животных.

Для клинических исследований был изготовлен аллогенный губчатый биоматериал из кадаверных соединительнотканных формаций (сухожилий, фасций). Размер ячеек данного трансплантата составлял от 100 до 200-250 мкм, что создает оптимальные условия для регенерации элементов нефрона у человека при диаметре почечного тельца 200 мкм и канальцевого аппарата – от 60 до 100 мкм.

Таким образом, главный исходный принцип, положенный в основу настоящей работы, – смоделировать структурную строму почки с помощью модифицированного губчатого биоматериала Аллоплант.

2. Кроме того, для регенерации канальцевого эпителия почки необходимо ограничить область трансплантации от тканевого ложа. Для этих целей может использоваться мембранный трансплантат, который в острый период не допустит пролиферации недифференцированных соединительнотканных клеток и последующего фиброза в область трансплантата и прилежащей почечной паренхимы.

Макроскопически модифицированный губчатый биоматериал представляет собой объемный уплотненный материал светло-желтого цвета в форме неправильного шара (фиг.1). Размеры трансплантата, использованного в нашем экспериментальном исследовании, составили 5×10×8 мм. Размер и форма данного биоматериала могут быть различными и задаются в процессе изготовления. При макромикроскопическом исследовании биоматериал напоминает по своему строению губку, имеет множество пористых отверстий различного диаметра, имеющих форму ячеек и тубул. Диаметр ячеек в кадаверном трансплантате варьирует от 100 мкм до 200-250 мкм (фиг.2). При исследовании с помощью отраженной микроскопии определяется соединительнотканный остов трансплантата из тяжей или волокон толщиной от 2,0 до 4,5 мкм, которые расположены строго однонаправлено. Клеточные элементы в структуре биоматериала отсутствуют. При погружении в дистиллированную воду биоматериал размером 10×7 мм впитывает до 3-5 мл жидкости и удерживает ее в течение нескольких секунд.

Предлагаемый способ осуществляется следующим образом. Для аппликации в резецированный участок почки готовят губчатый биоматериал соответственно размерам раны. Далее по площади раны вырезают мембранный биоматериал. Субкостальным доступом при лапаротомии, после линейного надреза париетальной брюшины мобилизуют почку, на почечную ножку накладывают турникет, производят клиновидную резекцию почки 7×4×3 мм, после чего на раневую поверхность укладывают губчатый биоматериал Аллоплант, который сверху накрывают мембранным биоматериалом Аллоплант, последний фиксируют викрилом 4-0 к капсуле почки. Мембранный биоматериал является ограничителем инвазии недифференцированных соединительнотканных клеток с окружающей околопочечной жировой клетчаткой, а сам губчатый биоматериал выступает в качестве каркаса для регенерации структурных элементов нефрона. После дренирования забрюшинного пространства и контроля на гемостаз лапаротомную рану ушивают.

Далее приводятся результаты экспериментальных исследований. Для апробации способа были выполнены две серии экспериментов на крысах. В основной группе животных использовался указанный способ хирургического лечения раны почки. В контрольной группе производилось закрытие раневой поверхности ксенотрансплантатом.

В контроле с использованием ксенотрансплантата в первые 5 суток отмечалась бурная иммунологическая реакция с преобладанием в инфильтрате нейтрофилов. Макрофагальная реакция проявилась лишь на 12-е сутки. В последующем (на 17-е сутки) в клеточном инфильтрате обнаруживались недифференцированные соединительнотканные клетки и юные фибробласты. В эти же сроки происходило замещение трансплантата рыхлой соединительной тканью. На 30-е сутки отмечалась полная резорбция трансплантата. Регенерат, сформировавшийся в области дефекта, представлял собой плотную неоформленную соединительную ткань с явлениями фиброза.

В основной группе достигнуто восстановление анатомической целостности почки у всех животных. При этом ранозаживляющая активность в данной группе на 1,8% выше, чем в контрольной.

При микроскопическом исследовании экспериментального материала, полученного в основной группе, нами выделены три зоны: первая контактная зона – узкая полоска между трансплантатом и почечной паренхимой – это зона неизбежной травматизации ткани при выполнении эксперимента; вторая – реактивная, зона, откуда начинается пролиферация канальциевого эпителия; третья – интактная зона без выраженных структурных изменений на светооптическом уровне. Так, в ранние сроки эксперимента (3-4-е сутки после аппликации) наблюдалась полиморфноклеточная инфильтрация трансплантатов, наиболее выраженная в контактной зоне. На 7-е сутки макрофагальная реакция приобретала более интенсивный характер. Наибольшая концентрация макрофагов наблюдалась в зоне контакта губчатого биоматериала с окружающими тканями. В эти же сроки нами обнаружено начальное формирование канальцевого аппарата почки. На 14 и 28-е сутки отмечалась регенерация канальцевого эпителия в ячейках и тубулах губчатого трансплантата, окрашивающегося по Маллори в красный цвет, ячейки трансплантата на всем протяжении постепенно заполнялись регенерирующими канальцами нефронов. При этом диаметр почечных канальцев в интактной зоне почечной паренхимы колебался от 35±0,6 до 40±0,4 мкм, в области регенерата от 22±0,4 до 25±0,5 мкм (фиг.3). Обращает на себя внимание меньший просвет вновь сформированного канальцевого аппарата. Однако общая структура регенерата идентична канальцам интактной зоны. В последующие сроки происходила полная резорбция структур губчатого биоматериала с формированием соединительнотканной стромы почки.

Результаты проведенных экспериментов позволили перейти к клиническим испытаниям. В клинике выполнена 21 органосохраняющая операция при доброкачественных опухолях почки. Из них резекции почки выполнены 12 больным и энуклеорезекции – 9. Закрытие раневой поверхности почки во всех случаях производилось с использованием губчатого и мембранного биоматериала. Поражения правой почки встретились в 11 случаях, левой – в 10. Размеры опухоли у оперированных больных варьировали от 1 до 4 см. Локализация опухоли в верхнем сегменте выявлена у 4 пациентов, в нижнем сегменте – 7, в среднем у 10 больных. При других операциях на почке (нефрэктомия, резекция почки, ушивание разрывов почки) с целью профилактики прорезывания швов на паренхиме органа были также использованы губчатый и мембранный трансплантаты. Производились УЗИ- и КТ-мониторинг динамики репаративных процессов в почке, также выполнялись диагностические лапаротомии. Применение аллогенных трансплантатов уменьшает объем кровопотери по сравнению с традиционными методиками в 2 раза. Клинические данные полностью подтвердили экспериментальный материал.

Клинический пример использования предлагаемого способа

Больная Радыгина О.В., 1940; история болезни 104090. Диагноз: Опухоль верхнего полюса правой почки. Находилась на стационарном лечении в урологическом отделении РКБ им. Г.Г.Куватова (г.Уфа) с 12.04.2001 по 28.04.2001. 17.04.01 – Резекция верхнего полюса правой почки с аппликацией на раневую поверхность губчатого и мембранного биоматериалов «Аллоплант». Гистология 23793-98 от 20.04.2001 – Ангиомиолипома почки с полиморфизмом мышечных клеток. операции – 596. Диагноз при выписке: Ангиомиолипома правой почки. Находится под наблюдением, осложнений не выявлено. По данным УЗИ через 6, 12, 24, 36, 48, 60 месяцев контуры почки ровные, четкие; подвижность почки сохранена, нефроптоза не отмечается.

Таким образом, подсадка губчатого и мембранного биоматериалов в дефект почечной паренхимы имеет следующие преимущества:

1. Стимулируется регенерация структурных элементов нефрона.

2. Заживление хирургической раны почечной паренхимы происходит без явлений фиброза.

3. Восстанавливается анатомическая целостность почки как органа, включая паренхиму и соединительнотканную оболочку, данный факт обеспечивает физиологическую фиксацию почки с сохранением ее функциональной подвижности, что служит профилактикой нефроптоза и синдрома «блуждающей почки».

Формула изобретения

Способ хирургического лечения раны почки у человека, включающий ее резекцию, закрытие раневой поверхности аллогенным биоматериалом Аллоплант, фиксацию биоматериала к капсуле почки, отличающийся тем, что на раневую поверхность укладывают губчатый биоматериал Аллоплант с диаметром ячеек от 100 до 250 мкм, накрывают его мембранным биоматериалом Аллоплант, который фиксируют к капсуле почки.

РИСУНКИ

Categories: BD_2354000-2354999