Патент на изобретение №2354280

Published by on




РОССИЙСКАЯ ФЕДЕРАЦИЯ



ФЕДЕРАЛЬНАЯ СЛУЖБА
ПО ИНТЕЛЛЕКТУАЛЬНОЙ СОБСТВЕННОСТИ,
ПАТЕНТАМ И ТОВАРНЫМ ЗНАКАМ
(19) RU (11) 2354280 (13) C1
(51) МПК

A61B1/31 (2006.01)

(12) ОПИСАНИЕ ИЗОБРЕТЕНИЯ К ПАТЕНТУ

Статус: по данным на 08.09.2010 – может прекратить свое действие

(21), (22) Заявка: 2007139189/14, 24.10.2007

(24) Дата начала отсчета срока действия патента:

24.10.2007

(46) Опубликовано: 10.05.2009

(56) Список документов, цитированных в отчете о
поиске:
BOND J.H. Colon polyps and cancer, Endoscopy, 2003, 35 (1), P.31-33. RU 94003765 A1, 10.08.1996. RU 2213781 C1, 10.10.2003. BAKALOV V. et al. Fiber colonoscopic and histomorphological characteristics of true polyps of the large intestine, Vutr Boles. 1981; 20(3):23-9. Bulgarian. (реферат), [он-лайн], [найдено 02.09.2008], найдено из базы данных PubMed.

Адрес для переписки:

664047, г.Иркутск-47, ул. Байкальская, 109, Диагностический центр, отдел эндоскопии, А.А. Владимировой

(72) Автор(ы):

Владимирова Александра Алексеевна (RU),
Ильичева Елена Алексеевна (RU),
Чашкова Елена Юрьевна (RU),
Неустроев Владимир Геннадьевич (RU),
Бобыленко Людмила Анатольевна (RU),
Раевская Лидия Юрьевна (RU)

(73) Патентообладатель(и):

Государственное учреждение здравоохранения Иркутский областной клинический консультативно-диагностический центр (RU)

(54) СПОСОБ ОПРЕДЕЛЕНИЯ МОРФОЛОГИЧЕСКОЙ СТРУКТУРЫ ПОЛИПОВ ТОЛСТОЙ КИШКИ

(57) Реферат:

Изобретение относится к медицине, а именно к эндоскопической диагностике, хирургии и онкологии, и может быть использовано для определения лечебно-диагностической тактики у больных с полипами толстой кишки. Определяют морфологическую структуру полипов толстой кишки путем проведения колоноскопии, осуществляя анализ совокупности эндоскопических признаков полипа толстой кишки. Определяют их градации и числовые значения, для этого учитывают размеры полипов, их градации в см и числовые значения в баллах: при размере до 0,5 см присваивают 21, при 0,6-1,0 см – 81, при более 1,0 см – 94; эндоскопический тип полипов (по Yamada) в баллах: при 1 типе присваивают 82, при 2 типе – 44, при 3 типе – 72, при 4 типе – 92; цвет полипов в баллах: при розовом цвете присваивают 17, при гиперемированном – 83, при синюшном – 95; форму полипов в баллах: при округлой форме присваивают 12, зернистой – 50, мелкобугристой – 94, бугристой – 92, неправильной – 93; поверхность полипов в баллах: при гладкой поверхности присваивают 12, при рыхлой – 92, при бархатистой – 93, ворсинчатой – 94; ранимость полипов в баллах: при отсутствии ранимости присваивают – 7, при контактно-ранимых – 93, при контактно кровоточивых – 95, с налетами фибрина – 94, затем вычисляют суммарный бальный критерий и при сумме до 178 баллов включительно определяют доброкачественное морфологическое строение, а при сумме 179 баллов и более – наличие облигатного предрака или развитие рака. Способ повышает точность определения морфологической структуры полипа при эндоскопическом исследовании, обеспечивает возможность определения высокого риска малигнизации в полипах размером до 1 см и выбрать оптимальную лечебную тактику, позволяет уменьшить количество исследований, выполняемых пациенту. 2 табл., 6 ил.

Предлагаемое изобретение относится к медицине, а именно к эндоскопической диагностике, хирургии и онкологии, и может быть использовано для определения лечебно-диагностической тактики у больных с полипами толстой кишки.

Канцерогенез в толстой кишке является результатом серии последовательных генетических повреждений клеток эпителия, приводящих к возникновению аденомы, ее прогрессивному развитию и трансформации в рак, в последовательности «аденома-рак» возникает от 60 до 95% случаев колоректального рака (Bond J.H. Colon polyps and cancer, Endoscopy, 2003, 35 (1): P.31-33). Другой путь развития колоректального рака – из плоской аденомы (рак de novo).

Высокий риск развития колоректального рака в полипе связан с любой из следующих характеристик обнаруженного полипа: размер более 1 см, наличие ворсинчатых структур или дисплазии тяжелой степени (Bond J.H. Colon polyps and cancer, Endoscopy, 2003, 35 (1): P.33).

Известны различные способы диагностики и определения полипов толстой кишки, такие как сигмоскопия, ирригоскопия, виртуальная колоноскопия (Bond J.H. Colon polyps and cancer, Endoscopy, 2003, 35 (1): 27-35). Однако стоимость виртуальной колоноскопии не позволяет использовать ее в качестве скринингового теста в настоящее время.

Известен способ хромоскопии, по которому при проведении колоноскопии и обнаружении подозрительных участков выполняют прижизненное окрашивание слизистой оболочки толстой кишки. Для прижизненного окрашивания слизистой толстой кишки используют разнообразные растворы, одни из которых избирательно поглощаются клетками слизистой или новообразования, другие подчеркивают рельеф слизистой, накапливаясь в естественных углублениях слизистой (Fujii Т., Hasegawa R.T., Saitoh Y. et al. Chromoscopy during colonoscopy, Endoscopy, 2001, 33 (12): 1036-1041).

Наиболее близким является способ колоноскопии с биопсией, который сочетает в себе и диагностические, и терапевтические возможности (Bond J.H. Colon polyps and cancer, Endoscopy, 2003, 35 (1): 27-35).

Известно, что абсолютное большинство образований (93%), выявляемых при колоноскопии, имеет размеры до 1 см. Однако этим новообразованиям уделяется небольшое внимание. Это связано с оценкой небольших полипов как новообразований, связанных с низким риском развития колоректального рака (Bochud M., Burnand В., Froehlich F., Dubois R.W., Vader J.-P., Convers J.-J. Appropriateness of Colonoscopy: Surveillance After Polypectomy, Endoscopy 1999; 31 (8): 654-663). Однако при гистологическом исследовании даже в небольших образованиях у пациентов группы среднего риска могут встречаться явления дисплазии эпителия различной степени тяжести и рак (Bond J.H. Colon polyps and cancer, Endoscopy, 2003, 35 (1): P.31-33).

Техническим результатом предлагаемого способа является повышение точности определения морфологической структуры полипа при эндоскопическом исследовании, обеспечение возможности определения высокого риска малигнизации у полипов размером до 1 см, уменьшение количества исследований, выполняемых пациенту, за счет точного и своевременного определения необходимой лечебно-диагностической тактики.

Новым является то, что осуществляют анализ совокупности эндоскопических признаков полипа толстой кишки, определяют их градации и числовые значения, вычисляют суммарный балльный критерий.

Новым является также и то, что при сумме до 178 баллов включительно определяют доброкачественное морфологическое строение полипа толстой кишки, а при сумме 179 баллов и более – наличие облигатного предрака или развитие рака.

Авторами был проведен анализ результатов колоноскопии и гистологического исследования полипов у 712 пациентов-полипоносителей в возрасте от 19 до 87 лет и сроками эндоскопического наблюдения до 66 месяцев. Общее количество полипов у пациентов – 2836, от 1 до 19 полипов у 1 пациента. Известные эндоскопические признаки (размер, цвет, форма, поверхность, ранимость и эндоскопический тип полипа) последовательно тестировались и сравнивались с результатами гистологического исследования в программе Statistica 6.0.

Различия в точности известных эндоскопических признаков позволили оценить вклад каждого признака в формирование диагноза. Каждому качественному признаку, частота встречаемости которого при наиболее клинически значимых морфологических вариантах полипа имела значимые различия, присваивали цифровой эквивалент в порядке изменения его точности в определении морфологической структуры полипа. При наиболее клинически значимых морфологических изменениях, найденных в полипе (наличие ворсинчатых структур, дисплазии тяжелой степени, рака), частота встречаемости таких эндоскопических признаков, как размер, эндоскопический тип, цвет, форма, поверхность и ранимость, изменяется с одинаковой закономерностью.

Введение суммарного балльного критерия совокупности эндоскопических признаков полипа толстой кишки позволяет повысить точность определения морфологической структуры полипа, позволяет определить риск малигнизации полипов размерами до 1 см, выбрать оптимальную лечебную тактику, уменьшить количество исследований.

Сопоставительный анализ с прототипом показывает, что предлагаемый способ отличается от известного тем, что осуществляют анализ совокупности эндоскопических признаков полипа толстой кишки, определяют их градации и числовые значения, вычисляют суммарный балльный критерий и при сумме до 178 баллов включительно определяют доброкачественное морфологическое строение полипа, а при сумме 179 баллов и более – наличие облигатного предрака или развитие рака, что соответствует критерию «новизна».

Новая совокупность признаков повышает точность определения морфологической структуры полипа при эндоскопическом исследовании, обеспечивает возможность определения высокого риска малигнизации в полипах размером до 1 см и выбрать оптимальную лечебную тактику, позволяет уменьшить количество исследований, выполняемых пациенту, что соответствует критерию «промышленная применимость».

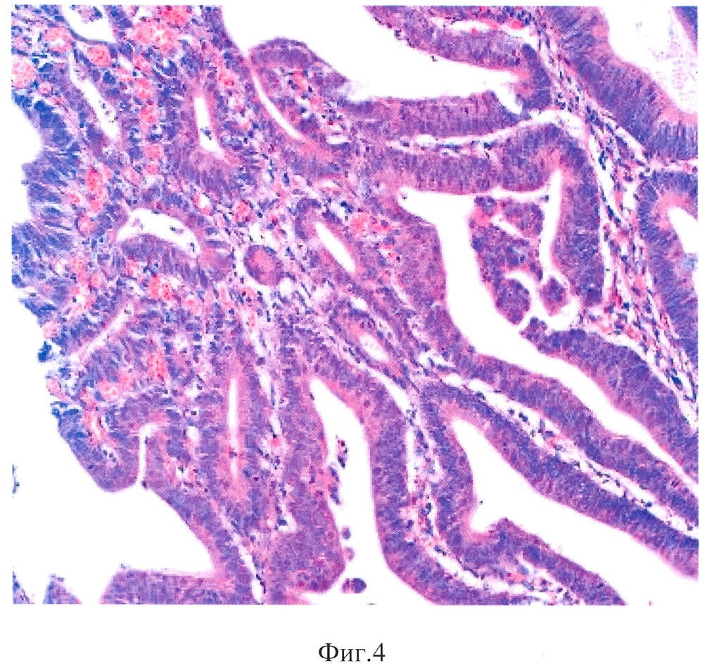
Способ поясняется следующими чертежами, где на фиг.1 показан полип области печеночного изгиба, суммарный балльный критерий более 179: а – при максимальном приближении дистальной головки и линзы колоноскопа, б – после биопсии; на фиг.2 – полип сигмовидной кишки, суммарный балльный критерий до 178 баллов (клинический пример 1); на фиг.3 – полип сигмовидной кишки, суммарный балльный критерий более 179 баллов, на фиг.4 – гистологический срез полипа сигмовидной кишки, окраска гематоксилин-эозином (клинический пример 2); на фиг.5 – полип сигмовидной кишки, суммарный балльный критерий до 178 баллов, на фиг.6 – полип сигмовидной кишки через 10 месяцев после первого обследования, суммарный балльный критерий более 179 баллов (клинический пример 3), а также табл.1, где перечислены эндоскопические признаки, их градации и числовые значения, используемые для вычисления суммарного балльного критерия, и табл.2, где показана морфологическая характеристика полипа и лечебная тактика в зависимости от суммарного балльного критерия исследования.

Способ осуществляют следующим образом.

Колоноскопию выполняют по стандартной методике. Пациента укладывают на стол в положении лежа на левом боку с приведенными к животу коленями. Перед введением эндоскопа необходимо провести пальцевое ректальное исследование прямой кишки. Через анальный канал эндоскоп проводят до купола слепой кишки, складки и гаустры толстой кишки расправляют воздухом. Слизистую толстой кишки осматривают и при введении, и при выведении аппарата.

При обнаружении полипа осуществляют анализ эндоскопических признаков полипа: размер, эндоскопический тип, цвет, форма, поверхность полипа, ранимость. Определяют их градации и соответствующие числовые значения, предложенные авторами (см. табл.1). Вычисляют суммарный балльный критерий, по результатам которого определяют морфологическую структуру обследуемого полипа, дают заключение и принимают решение о выполнении полипэктомии.

По суммарному бальному критерию все полипы разделяют на 2 группы в соответствии с прогностическим риском морфологических изменений в полипе. При сумме баллов до 178 включительно полип оценивают как доброкачественный и рекомендуют динамическое наблюдение, контрольный осмотр через 1 год. При сумме баллов 179 и более полип оценивают как облигатный предрак или развитие рака и рекомендуют выполнить эндоскопическую полипэктомию во время первичного исследования или в ближайшие сроки (см. табл.2). Полипэктомии проводят с помощью электрохирургического блока. Используют методы “горячей биопсии”, петлевой электроэксцизии, а также эндоскопической резекции слизистой. Все удаленные полипы направляют на гистологическое исследование для подтверждения определения морфологической структуры полипа. Визуализацию гистологических препаратов осуществляют с помощью светового микроскопа с увеличением до ×400.

Таблица 1
Признак Градации признака Числовые значения (балл)
Группа по размеру До 0,5 см 21
0,6-1,0 см 81
Более 1,0 см 94
Эндоскопический тип (по Yamada) 1 82
2 44
3 72
4 92
Цвет Розовый 17
Гиперемированный 83
Синюшный 95
Форма Округлый 12
Зернистый 50
Мелкобугристый 94
Бугристый 92
Неправильной формы 93
Budda-like 95
Поверхность Гладкий 12
Рыхлый 92
Бархатистый 93
Ворсинчатый 94
Ранимость Не реагирует 7
Контактно ранимый 93
Контактно кровоточивый 95
С налетами фибрина 94

Таблица 2
Суммарный критерий Морфологическая характеристика Лечебная тактика
До 178 баллов Доброкачественные новообразования (гиперпластические полипы, тубулярные аденомы) (точность до 94,65%) Динамическое наблюдение, эндоскопическую полипэктомию возможно отсрочить в течение года
179 баллов и более Облигатный предрак (тубулярно-ворсинчатые, ворсинчатые аденомы, или тубулярные аденомы с тяжелой дисплазией эпителия) или развитие рака в полипе (точность до 86,84%) Показана эндоскопическая полипэктомия в ближайшие сроки

Предлагаемый способ подтверждается следующими клиническими примерами.

Пример 1.

Пациентка М., 1946 г.р., амб. карта 124763, направлена на колоноскопию с диагнозом: хронический колит?

20.11.2003 г. выполнена колоноскопия. Толстая кишка осмотрена до купола слепой кишки. Баугниева заслонка губовидной формы, розовая. Просвет толстой кишки хорошо расправляется воздухом. Тонус кишечной стенки не снижен, перистальтика прослеживается. Слизистая толстой кишки розовая, сосудистый рисунок просматривается хорошо на всем протяжении.

В области печеночного изгиба расположен полип на широком основании, размером до 0,6 см, розовый, округлый, рыхлый, контактно кровоточивый (фиг.1а, б).

В соответствии с предложенным способом определения вычислен суммарный балльный критерий по эндоскопическим признакам.

Критерий = группа по размеру + эндоскопический тип + цвет полипа + форма полипа + поверхность полипа + ранимость = 81+44+17+12+92+95=341 балл.

Суммарный балльный критерий более 179 баллов означает наличие облигатного предрака или развитие рака. Пациентке предложено выполнение полипэктомии.

Осложнений во время и после выполнения исследований не возникло. Полип удален методом петлевой электроэксцизии, извлечен из толстой кишки и направлен на гистологическое исследование.

При гистологическом исследовании в удаленном полипе обнаружена высокодифференцированная аденокарцинома без признаков инвазии опухолевых клеток в ножку полипа. Пациентка консультирована онкологом, выполнено комплексное обследование для исключения метахронных опухолей.

При динамическом наблюдении признаков местного рецидива и отдаленного метастазирования не выявлено.

Последняя контрольная колоноскопия выполнена 31.02.2007 г. Толстая кишка осмотрена до купола слепой кишки. Баугиниева заслонка губовидной формы, розовая. Просвет толстой кишки хорошо расправляется воздухом. Тонус кишечной стенки не снижен, перистальтика прослеживается. Слизистая толстой кишки розовая, сосудистый рисунок просматривается хорошо на всем протяжении.

В нижней трети сигмовидной кишки расположен полушаровидный полип до 0,2 см в диаметре, розовый, гладкий, не реагирует на инструментальную пальпацию (фиг.2).

По выявленным признакам вычислен суммарный балльный критерий:

Критерий = группа по размеру + эндоскопический тип + цвет + форма + поверхность + ранимость = 21+44+17+12+12+7=113 баллов.

В соответствии с предложенным авторами критерием было дано заключение о наличии доброкачественного морфологического строения полипа. Взята биопсия. При гистологическом исследовании – гиперпластический полип.

Пример 2.

Пациент Р., 1929 г.р., амб. карта 150818, направлен на колоноскопию для исключения онкопатологии.

17.03.2003 года выполнена колоноскопия. Толстая кишка осмотрена до купола слепой кишки. Баугиниева заслонка губовидной формы, розовая. Просвет толстой кишки хорошо расправляется воздухом. Тонус кишечной стенки снижен, перистальтика прослеживается, вялая. Слизистая толстой кишки розовая, сосудистый рисунок просматривается хорошо на всем протяжении.

В верхней трети сигмовидной кишки расположен неправильной формы полип на узком основании, размером 0,9×0,6 см, розового цвета, не реагирует на инструментальную пальпацию (фиг.3).

Суммарный критерий = Группа по размеру + Энд. Тип + Цвет + Форма + Поверхность + Ранимость = 81+72+17+93+12+7=282 балла

Таким образом, суммарный балльный критерий равен 282 баллов, что означает наличие облигатного предрака и высокую вероятность рака в полипе.

31.03.2003 года выполнена полипэктомия методом петлевой электроэксцизии.

Гистологическое исследование 14130-14132: тубулярно-ворсинчатая аденома сигмовидной кишки с тяжелой дисплазией эпителия и поверхностными микрофокусами cancer in situ (фиг.4).

Последняя контрольная колоноскопия выполнена 02.02.2006 года. Толстая кишка осмотрена до купола слепой кишки. Баугиниева заслонка губовидной формы, розовая. Просвет толстой кишки хорошо расправляется воздухом. Тонус кишечной стенки снижен, перистальтика прослеживается. Слизистая толстой кишки розовая, сосудистый рисунок подчеркнут.

В сигмовидной кишке расположен полушаровидный полип на широком основании 0,3 см в диаметре, розовый.

В соответствии с предложенным способом вычислен суммарный балльный критерий описанных признаков.

Критерий = Группа по размеру + Энд. Тип + Цвет + Форма + Поверхность + Ранимость = 21+44+17+12+12+7=113 баллов.

Суммарный балльный критерий до 178 баллов означает наличие доброкачественной морфологической структуры полипа. Взята биопсия.

Заключение: Полип сигмовидной кишки, 2 тип. Гипомоторная дискинезия толстой кишки.

Гистологическое исследование 5344: морфологическая картина гиперпластического полипа.

Пример 3.

Пациентка Л., 1939 г.р., амб. карта 40363, направлена на колоноскопию с диагнозом: синдром раздраженной толстой кишки с преобладанием метеоризма.

16.12.2003 года выполнена колоноскопия. Толстая кишка осмотрена до купола слепой кишки. Баугиниева заслонка губовидной формы, розовая. Просвет толстой кишки хорошо расправляется воздухом. Тонус кишечной стенки не снижен, перистальтика прослеживается. Слизистая толстой кишки розовая, сосудистый рисунок просматривается хорошо на всем протяжении. В сигмовидной кишке расположены устья множественных дивертикулов, размером до 0,3-0,4 см в диаметре. Слизистая дна дивертикулов розовая.

В сигмовидной кишке расположен полушаровидный полип на широком основании 1,0 см, розового цвета с гладкой поверхностью (фиг.5).

Критерий = Группа по размеру + Энд. Тип + Цвет + Форма + Поверхность + Ранимость = 81+44+17+12+12+7=173 балла

Комплексный балльный критерий до 178 (включительно) означает доброкачественное строение, при котором возможно динамическое наблюдение. Взята биопсия.

Заключение: Полип сигмовидной кишки, 2 тип. Дивертикулез сигмовидной кишки.

Гистологическое исследование 51059: морфологическая картина тубулярной аденомы толстой кишки.

Контрольная колоноскопия выполнена 13.10.2004 года. Толстая кишка осмотрена до купола слепой кишки. Баугиниева заслонка губовидной формы, розовая. Просвет толстой кишки хорошо расправляется воздухом. Тонус кишечной стенки снижен, перистальтика прослеживается. Слизистая толстой кишки розовая, сосудистый рисунок подчеркнут.

В нижней трети сигмовидной кишки расположен ранее описанный полип, до 1,0 см, незначительно гиперемированный, на широком основании (фиг.6).

Критерий = Группа по размеру + Энд. Тип + Цвет + Форма + Поверхность + Ранимость = 81+44+83+12+12+7=239 баллов.

Таким образом, суммарный балльный критерий 179 баллов и более означает высокую вероятность облигатного предрака в полипе, пациентке показана полипэктомия.

Выполнена полипэктомия методом петлевой электроэксцизии.

Заключение: Полип сигмовидной кишки, 2 тип.

Гистологическое исследование 39372-39373: морфологическая картина тубулярной аденомы толстой кишки с очаговой умеренной дисплазией.

Формула изобретения

Способ определения морфологической структуры полипов толстой кишки путем проведения колоноскопии, отличающийся тем, что осуществляют анализ совокупности эндоскопических признаков полипа толстой кишки, определяют их градации и числовые значения, для этого учитывают: размеры полипов, их градации в сантиметрах и числовые значения в баллах: при размере до 0,5 см присваивают 21, при 0,6-1,0 см – 81, при более 1,0 см – 94; эндоскопический тип полипов (по Yamada) в баллах: при 1 типе присваивают 82, при 2 типе – 44, при 3 типе – 72, при 4 типе – 92; цвет полипов в баллах: при розовом цвете присваивают 17, при гиперемированном – 83, при синюшном – 95; форму полипов в баллах: при округлой форме присваивают 12, зернистой – 50, мелкобугристой – 94, бугристой – 92, неправильной – 93; поверхность полипов в баллах: при гладкой поверхности присваивают 12, при рыхлой – 92, при бархатистой – 93, ворсинчатой – 94; ранимость полипов в баллах: при отсутствии ранимости присваивают – 7, при контактноранимых – 93, при контактно кровоточивых – 95, с налетами фибрина – 94, затем вычисляют суммарный бальный критерий и при сумме до 178 баллов включительно определяют доброкачественное морфологическое строение, а при сумме 179 баллов и более – наличие облигатного предрака или развитие рака.

РИСУНКИ

Categories: BD_2354000-2354999