Патент на изобретение №2353324

Published by on




РОССИЙСКАЯ ФЕДЕРАЦИЯ



ФЕДЕРАЛЬНАЯ СЛУЖБА
ПО ИНТЕЛЛЕКТУАЛЬНОЙ СОБСТВЕННОСТИ,
ПАТЕНТАМ И ТОВАРНЫМ ЗНАКАМ
(19) RU (11) 2353324 (13) C2
(51) МПК

A61B17/94 (2006.01)
A61B17/00 (2006.01)

(12) ОПИСАНИЕ ИЗОБРЕТЕНИЯ К ПАТЕНТУ

Статус: по данным на 08.09.2010 – может прекратить свое действие

(21), (22) Заявка: 2007112717/14, 05.04.2007

(24) Дата начала отсчета срока действия патента:

05.04.2007

(43) Дата публикации заявки: 10.10.2008

(46) Опубликовано: 27.04.2009

(56) Список документов, цитированных в отчете о
поиске:
ФЕДОРОВ И.В. и др. Эндоскопическая хирургия. – М.: ГЭОТАР, 1998, с.52. RU 2205599 С2, 10.06.2003. RU 95105181 A1, 27.02.1997. BY 5241 C1, 30.06.2003. UA 23056 U, 10.05.2007. RAHAMAN J. et al. Minimally invasive management of advanced abdominal pregnancy, Obstet. Gynecol., 2004 103 (5Pt 2), 1064-8.

Адрес для переписки:

654005, Кемеровская обл., г. Новокузнецк, пр. Строителей, 5, ГИДУВ, патентный отдел

(72) Автор(ы):

Короткевич Алексей Григорьевич (RU),
Цигельник Алексей Маркович (RU),
Мошнегуц Сергей Валерьевич (RU)

(73) Патентообладатель(и):

Государственное образовательное учреждение дополнительного профессионального образования “Новокузнецкий государственный институт усовершенствования врачей Федерального агентства по здравоохранению и социальному развитию” (RU)

(54) СПОСОБ ВЫБОРА ДОСТУПА ДЛЯ ВЫПОЛНЕНИЯ ОПЕРАТИВНОГО ВМЕШАТЕЛЬСТВА

(57) Реферат:

Изобретение относится к медицине, лапароскопической хирургии. Выполняют моделирование положения вводимых инструментов и определение углов между ними. Проводят магнитно-резонансную томографию с построением фронтальной, сагиттальной и аксиальной проекций, отображающих внутреннюю структуру объекта. Реконструируют объемное изображение объекта с визуализацией поверхности тела и топографоанатомических ориентиров с помощью программного обеспечения VGStudio MAX 1.0 фирмы Volume Graphics GmbH. На томограммах и теле пациента находят и маркируют на коже предполагаемые точки введения инструментов x1, х2, х3. Строят углы с вершиной и векторами, соответствующими осям инструментов: угол – между осью телескопа и осью вспомогательного инструмента, угол – между осью телескопа и осью основного инструмента, угол – между осью основного инструмента и вспомогательного инструмента. Позиционируют вершины углов в точке А, соответствующей сосудистому пучку органа, и на крайних точках зоны операции на органе-мишени Б и В на всех ортогональных проекциях. Векторы поочередно позиционируют на предполагаемые точки введения инструментов x1, x2, x3. Строят биссектрису угла из точки А до поверхности тела в точке x1. Измеряют величины полученных углов и длину векторов от этих точек А, Б, В до поверхности тела. При выполнении трех условий лапароскопической операции: угол между осями инструментов более 25° и менее 90°, прохождение вектора через свободное от органов пространство, длина вектора меньше, чем рабочая длина инструмента, выбирают лапароскопический доступ. При условии: угол между осями инструментов менее 25° или более 90°, прохождение вектора через анатомические преграды, длина вектора больше, чем рабочая длина инструмента, производят смещение векторов, изменяя величину углов так, чтобы векторы проходили через свободное от органов пространство, а величина углов между осями инструментов была более 25° и менее 90°. Находят новые рабочие точки Г, Д, Е. Затем проводят контрольное позиционирование вершин углов на крайние точки зоны. Векторы поочередно позиционируют на новые рабочие точки Г и Е, строят биссектрису угла из точки А до поверхности тела – точка Д. Измеряют длину полученных векторов и величину углов и при выполнении трех условий лапароскопической операции выбирают лапароскопический доступ. При несоблюдении трех условий лапароскопической операции выбирают лапаротомию. Способ позволяет оптимально расположить лапароскопические инструменты для каждого конкретного больного, сократить время операции, частоту интраоперационных осложнений и конверсии, является простым, анатомически обоснованным, не требующим значительного расхода времени и материальных затрат. 6 ил.

Изобретение относится к медицине, а именно к лапароскопической хирургии, и может быть использовано для оптимизации хирургического вмешательства, в том числе для профилактики операционных осложнений.

Широкое внедрение в хирургическую практику лапароскопии как способа доступа к органу-мишени и вариантная анатомия человека, возрастающий удельный вес сложных, запущенных и нестандартных случаев заболеваний делает проблему хирургического доступа и выбора адекватных точек введения троакаров актуальной, поскольку стандартный и адекватный выбор таких точек суть разные вещи, а неправильный выбор точек приводит к техническим сложностям в исполнении операции, повышает риск осложнений и конверсии. Проблема заключается в отсутствии адекватных дооперационных приемов моделирования для достоверного суждения о возможном эффективном и безопасном расположении троакаров. Обычно применяются рутинные перкуссия и аускультация, измерение расстояния от стандартной точки введения троакара до предполагаемой границы органа или «зоны интереса». При этом индивидуальные анатомические особенности зачастую делают проведение операции неудобным, сложным и опасным событием, но выявляется это только после введения троакаров.

Известен способ расчета рабочих углов инструментов в операционной ране. Операция открытия доступа начинается с выбора направления к органу. Глубина открываемой раны определяет возможность работы в ране пальцами или диктует необходимость применения удлиненных инструментов, без которых операция может оказаться невыполнимой.

Открывая доступ, хирург заботится о создании широкого угла операционного действия, который определяет возможность такого перемещения пальцев или инструментов, чтобы оперировать только под контролем зрения. Равным образом, открытие доступа предусматривает и достаточно хороший угол наклонения оси операционного действия, который возникает лишь в том случае, если местоположение операционного разреза соответствует положению органа. Наконец, требуется достаточная зона доступности пораженного органа, которая может меняться при разных формах телосложения даже при одном и том же расположении разреза.

Перечисленные конкретные обстоятельства определяют выбор доступа и вместе с тем достаточно характеризуют пространственные отношения в ране, позволяя сравнивать их у разных лиц и при разных способах вмешательства. Пространственные отношения в ране определяют качество доступа, а раз мы имеем дело с пространственными отношениями, при изучении их мы берем в помощь геометрические методы (А.Ю.Созон-Ярошевич. Анатомо-клиническое обоснование хирургических доступов к внутренним органам. – Медгиз. Ленинградское отделение, 1954).

Известны стандартные точки введения троакаров при лапароскопических операциях (Эндоскопическая хирургия: Федоров И.В., Сигал Е.И., Одинцов В.В. – М.: ГЭОТАР МЕДИЦИНА, 1998, с.52).

Недостатком является невозможность планирования операции из-за стандартной длины оптической трубки и разнообразия объема брюшной полости и площади поверхности брюшной стенки, когда длины оптики недостаточно для достижения приемлемого обзора операционного поля при использовании стандартных точек введения троакаров.

Наиболее близким к предлагаемому способу является способ моделирования и расчета рабочих углов лапароскопических инструментов «при морфометрическом исследовании трупов» (В.Л.Петришин. Адаптация параметров оперативного действия в видеоэндохирургии. Эндоскопическая хирургия 2000, 6. С.25-27), заключающийся в проведении измерений, препарировании во время анатомического эксперимента на трупах с использованием для измерений в ходе операции на трупе эндовидеохирургической стойки. Величину углов определяли с помощью устройства, состоящего из 2 пластмассовых колец, плотно надетых на отрезок полихлорвинилового катетера длиной 4-6 мм. В кольца вкалывали 2 иглы таким образом, чтобы вращая кольца относительно друг друга, можно было фиксировать свободный конец одной иглы инструментом по его оси и установить другую иглу по оси взаимодействующего инструмента или оси органа, на котором моделируется операционный прием. После извлечения устройства из полости измеряют угол.

Способ не позволяет моделировать углы введения инструментов индивидуально для каждого больного до операции и выбирать оперативный доступ.

Задача данного изобретения – создание простого, доступного и дооперационного метода моделирования оптимального расположения лапароскопических инструментов для каждого конкретного пациента с целью повышения эффективности и безопасности проведения операции и уменьшения риска интраоперационных осложнений, а также решение вопроса о возможности выполнения лапароскопического оперативного доступа у конкретного пациента.

Задача достигается путем дооперационного моделирования положения вводимых инструментов и определения углов между ними.

До операции выполняют магнитно-резонансную томографию (МРТ) с построением фронтальной, сагиттальной и аксиальной проекций, отображающих внутреннюю структуру объекта, на основе которых реконструируют его объемное изображение с визуализацией поверхности тела и топографоанатомических ориентиров с помощью программного обеспечения VGStudio MAX 1.0 фирмы Volume Graphics GmbH.

На томограммах и теле пациента находят и маркируют на коже предполагаемые точки введения инструментов по топографоанатомическим ориентирам x1, x2, x3.

Строят углы с вершиной и векторами, соответствующими осям инструментов: угол – между осью телескопа и осью вспомогательного инструмента, угол – между осью телескопа и осью основного инструмента, угол – между осью основного инструмента и вспомогательного инструмента.

Позиционируют вершины углов в точке А, соответствующей сосудистому пучку органа, затем на крайних точках зоны операции на органе мишени Б и В, на всех ортогональных проекциях, а векторы поочередно позиционируют на предполагаемые точки введения инструментов x1, x2, x3. Строят биссектрису угла из точки А до поверхности тела в точке x1. Измеряют величины полученных углов и длину векторов от точек А, Б, В до поверхности тела и при выполнения трех условий лапароскопической операции: угол между осями инструментов более 25° и менее 90°, прохождение вектора через свободное от органов пространство, длина вектора меньше, чем рабочая длина инструмента, выбирают лапароскопический доступ оперативного вмешательства.

При условии: угол между осями инструментов менее 25° и более 90°, прохождение вектора через анатомические преграды, длина вектора больше, чем рабочая длина инструмента, производят смещение векторов, изменяя величину углов так, чтобы векторы проходили через свободное от органов пространство, а величина углов между осями инструментов была более 25° и менее 90°, и находят новые рабочие точки Г, Д, Е. Затем проводят контрольное позиционирование вершин углов на крайние точки зоны операции на органе-мишени Б и В на всех ортогональных проекциях, а векторы поочередно позиционируют на новые рабочие точки Г и Е, строят биссектрису угла из точки А до поверхности тела – точка Д. Измеряют длину полученных векторов и величину углов и при выполнении трех условий лапароскопической операции выбирают лапароскопический доступ.

Находят положение найденных точек Г, Д, Е на визуализированной поверхности тела пациента и переносят их на кожу пациента, ставя новые метки.

При несоблюдении трех условий лапароскопической операции выполнение оперативного вмешательства лапароскопическим доступом считают невозможным и выбирают лапаротомию.

Новизна изобретения:

– До операции выполняют магнитно-резонансную томографию (МРТ) с построением фронтальной, сагиттальной и аксиальной проекций, отображающих внутреннюю структуру объекта, на основе которых реконструируют его объемное изображение с визуализацией поверхности тела и топографоанатомических ориентиров с помощью программного обеспечения VGStudio MAX 1.0 фирмы Volume Graphics GmbH, на томограммах и теле пациента находят и маркируют на коже предполагаемые точки введения инструментов по топографоанатомическим ориентирам x1, x2, x3. Томография позволяет получить изображения для наглядного моделирования индивидуальных условий операции, выполнить необходимые построения и измерить различные параметры. Определяются истинные размеры и топография органов.

– Строят углы с вершиной и векторами, соответствующими осям инструментов: угол – между осью телескопа и осью вспомогательного инструмента, угол – между осью телескопа и осью основного инструмента, угол – между осью основного инструмента и вспомогательного инструмента. Позиционируют вершины углов в точке А, соответствующей сосудистому пучку органа, затем на крайних точках зоны операции на органе мишени Б и В, на всех ортогональных проекциях, а векторы поочередно позиционируют на предполагаемые точки введения инструментов x1, x2, x3, строят биссектрису угла из точки А до поверхности тела в точке x1, измеряют величины полученных углов и длину векторов от точек А, Б, В до поверхности тела и при выполнения трех условий лапароскопической операции: угол между осями инструментов более 25° и менее 90°, прохождение вектора через свободное от органов пространство, длина вектора меньше, чем рабочая длина инструмента, выбирают лапароскопический доступ оперативного вмешательства. Недопустимо превышение прямого угла, так как в этом случае инструменты встают в зеркальную позицию и работать невозможно. При углах менее 25° инструменты мешают друг другу. Проводимые измерения позволяют учесть индивидуальные анатомические особенности пациента и до операции выявить препятствия, которые могут возникнуть при введении инструментов при лапароскопии и сделать неудобными и опасными манипуляции, выполняемые инструментами. Раньше такие особенности выявлялись уже после введения троакаров.

– При условии: угол между осями инструментов менее 25° и более 90°, прохождение вектора через анатомические преграды, длина вектора больше, чем рабочая длина инструмента, производят смещение векторов, изменяя величину углов. Данные манипуляции позволяют найти новые пространственные соотношения. Можно многократно изменять положение векторов, добиваясь оптимальных углов между инструментами и не выходя за рамки рабочей длины инструментов.

– Находят новые рабочие точки Г, Д, Е, затем проводят контрольное позиционирование вершин углов на крайние точки зоны операции на органе мишени Б и В на всех ортогональных проекциях, а векторы поочередно позиционируют на новые рабочие точки Г и Е, строят биссектрису угла из точки А до поверхности тела – точка Д, измеряют длину полученных векторов и величину углов и при выполнении трех условий лапароскопической операции выбирают лапароскопический доступ. Это делается для того, чтобы длина инструментов была достаточной для манипуляций в самых отдаленных точках операционной зоны.

– При несоблюдении трех условий лапароскопической операции выполнение оперативного вмешательства лапароскопическим доступом считают невозможным и выбирают лапаротомию.

Совокупность существенных признаков изобретения обладает новизной и дает при использовании новый технический результат, заключающийся в создании доступного дооперационного метода моделирования оптимального расположения лапароскопических инструментов для каждого конкретного пациента. Это позволяет повысить эффективность и безопасность проведения операции и уменьшить риск интраоперационных осложнений.

Создан способ, позволяющий сделать обоснованный выбор лапароскопического доступа.

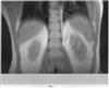
Изобретение поясняется с помощью схем и томограмм, представленных на Фиг.1-6.

На Фиг.1 показан угол в прямой проекции с ориентацией на сосудистый пучок селезенки.

На Фиг.2 показан угол на аксиальной проекции, с ориентацией на сосудистый пучок селезенки.

На Фиг.3 показан угол в сагиттальной проекцией с ориентацией на сосудистый пучок селезенки.

На Фиг.4 показано положение векторов на визуализированной поверхности тела.

На Фиг.5 показана визуализированная поверхность тела с предполагаемыми точками введения инструментов x1, х2, x3 и вновь найденных рабочих точек Г, Д, Е.

На Фиг.6 показано перемещение и построение углов с векторами из: точки А на предполагаемые точки введения инструментов x1, х2, x3; контрольное позиционирование на точки Б, В и Д.

Способ осуществляется следующим образом.

У больного до планируемой операции выполняют МРТ.

Сканирование производилось на магнитно-резонансном томографе фирмы Siemens MAGNETOM Concerto (Эрланген, Германия) перманентного типа с напряженностью вертикального поля 0.2 Тл и производительностью градиентной подсистемы в 20 mT/m. Радиочастотная катушка типа Body, двухканальная с круговой поляризацией. Использовалась поперечно ориентированная Т1-взвешенная спин-эхо последовательность со следующими параметрами: TR – 900 ms, ТЕ – 17 ms, угол отклонения вектора намагниченности – 90°, толщина среза – 7 mm при числе срезов 40, поле зрения – 400 mm, матрица изображения – 256×256 точек, фактор дистанции – 0% (без промежутков между срезами), порядок возбуждения срезов – чередующийся, разрешение по оси фазового кодирования – 70%, число измерений – 4 при отношении сигнал/шум 0.83, время сбора данных – 14:53, полоса пропускания сигнала – 78 Hz/pixel. Сатурация не применялась для сохранения рельефа передней брюшной стенки в качестве анатомических ориентиров при последующей трехмерной реконструкции.

Экспорт данных на платформу персонального компьютера (ПК) производился путем записи полученных изображений в формате DICOM на компакт-диск (предусмотрено фирмой-производителем).

В качестве рабочей станции для трехмерной визуализации использовали высокопроизводительный персональный компьютер на базе процессора Pentium 4 с тактовой частотой 2,4 GHz, объемом оперативной памяти 1 GB и с графическим акселератором Leadtek WinFast A6600 GT под управлением операционной системы Windows XP Professional SP2.

Трехмерная реконструкция и измерения выполнялись с помощью программного обеспечения VGStudio MAX 1.0 фирмы Volume Graphics GmbH (Гейдельберг, Германия). Причиной нашего обращения к программному обеспечению (ПО) сторонних разработчиков явился тот факт, что функциональность предустановленного на томографе специализированного ПО оказалась недостаточной для решения поставленной задачи.

Импорт данных осуществлялся непосредственно в формате DICOM, без предварительной конверсии.

Точки органа определяли на базе ортогональных реконструкций томограмм, а места предполагаемого (виртуального) расположения портов на поверхности тела – с помощью прямого рендеринга объема, который позволял визуализировать рельеф брюшной стенки по границе раздела кожа/воздух.

Интерфейс программы VGStudio MAX имеет четыре рабочих окна, из которых три представляют собой окна вывода ортогональных сечений исследуемого объекта, а в четвертое выводится его объемное изображение. Ортогональные сечения отображают внутреннюю структуру объекта, а объемная реконструкция позволяет визуализировать его поверхность (в данном случае – раздел кожа/воздух).

Моделировался наиболее распространенный вариант лапароскопической спленэктомии, при котором троакары вводятся вдоль реберного края в следующих точках: x1 – порт I (телескоп) – по среднеключичной линии слева, x2 – порт II (вспомогательный инструмент) – в субксифоидальной позиции, х3 – порт III (основной инструмент) – у переднеподмышечной линии слева (Фиг.5). Находят эти точки на теле пациента и маркируют их йодом.

Измеряют длину органа, например селезенки (расстояние между передним и задним полюсом селезенки Б-В), которые являются крайними точками зоны операции на органе-мишени в месте его максимального размера. Этими точками на других органах могут быть: изгибы толстой кишки – при резекции кишки, ребра матки – при ампутации матки, желчный пузырь и печень – при холецистэктомии или резекции печени.

Измерялись углы между оптической осью эндоскопа (ось операционного действия) и манипуляционными портами и УОД – углы , , , при этом вершина угла ориентировалась на сосудистую ножку селезенки примерно в 2 см от ее ворот (Фиг.1-3) и на оба полюса селезенки (Фиг.6). Углам приданы следующие обозначения:

– Угол – между осью телескопа (порт I) и осью вспомогательного инструмента (порт II);

– Угол – между осью телескопа (порт I) и осью основного инструмента (порт III);

– Угол (УОД) – между осью основного инструмента (порт III) и осью вспомогательного инструмента (порт II).

Проведение измерений: сначала активируется инструмент «угломер» (опция используемой программы) и позиционируется вершина угла в требуемой точке, которая находится путем прямой навигации по принципу трехмерного курсора на всех ортогональных проекциях. Позиционируем вершину угла в точку А, соответствующую сосудистому пучку. Векторы углов , , направляем на исходные точки x1, х2, x3, положение векторов показано пунктиром (Фиг.6), при этом величина угла выводится на экран монитора автоматически. С помощью инструмента «линейка» измеряем расстояние от поверхности органа до поверхности тела по вектору. Программа автоматически запоминает все измерения. Позиционируем вершину угла в точки Б и В, являющиеся крайними точками зоны операции, а векторы на предполагаемые точки введения инструментов x1, х2, x3. Строим биссектрису угла из точки А до поверхности тела, обычно это точка х1. Измеряем величину углов и длину векторов от точек А, Б, В до поверхности тела. При выполнении трех условий лапароскопической операции: угол между осями инструментов более 25° и менее 90°, прохождение вектора через свободное от органов пространство, длина вектора меньше, чем рабочая длина инструмента, выбирают лапароскопический доступ оперативного вмешательства.

Если угол между осями инструментов менее 45° и более 90°, векторы проходят через анатомические преграды, например через тело органа, реберные дуги, а длина вектора больше, чем рабочая длина инструмента, производят смещение векторов, изменяя величину углов так, чтобы добиться выполнения трех вышеперечисленных условий.

В прямой проекции (Фиг.1) выбирают направление в свободном пространстве между органами брюшной полости с прицелом на сосудистый пучок селезенки, точку А, в пределах 25-90° между осями инструментов, программа запоминает эту позицию. Выбирают положение векторов в аксиальной проекции (Фиг.2), затем в сагиттальной Фиг.3. Строят итоговое объемное трехмерное изображение совмещением трех срезов и векторов с проекцией на кожу (Фиг.4, 5). При этом величину углов можно задавать автоматически, векторы перемещаются в новое положение и находят новые рабочие точки Г, Д, Е (Фиг.5) для введения инструментов. Проверяют длину новых векторов, проверяя, не превышает ли их длина рабочую длину инструментов. Если три условия выполнения лапароскопической операции не получены, то вновь производят подбор новых точек, изменяя величину углов. Проводят контрольное позиционирование на крайние точки зоны операции на органе-мишени Б и В (Фиг.6). Строят биссектрису угла . Проверяют длину векторов от точек Б и В на поверхности органа до вновь найденных точек на поверхности тела Г, Д, Е, она не должна превышать рабочую длину инструментов. Проверяют величину углов. Если условия не выполняются, то вновь изменяют величины углов , , и находят оптимальный вариант. После того как новые точки для введения инструментов найдены на визуализированной поверхности, переносят их на кожу пациента, ставя новые метки другим маркером, например зеленкой в точках Г, Д, Е. Троакары в ходе операции вводят во вновь определенные точки.

Схематично позиционирование углов, местоположение исходных и найденных точек, новое направление векторов показано на Фиг.6 и 5.

При несоблюдении трех условий лапароскопической операции выполнение оперативного вмешательства лапароскопическим доступом считают невозможным и выбирают лапаротомию.

Изобретение основывается на результатах исследования и лечения 76 больных со спленомегалией и 82 больных с ЖКБ и холедохолитиазом.

Пример. Больной 52 года, госпитализирован в отделение гематологии с диагнозом: хронический лимфолейкоз. В комплекс лечения пациента решено включить спленэктомию. Больному выполнено УЗИ исследование. Межполюсное расстояние селезенки, согласно данным УЗИ, составило 20 см. Больному выполнена МРТ томография, с последующей реконструкцией брюшной полости, по предложенному способу. Размеры селезенки уточнены и составляют 20,7 см. Определены предполагаемые точки введения инструментов по топографическим ориентирам и поставлены метки в точках x1, х2, x3. Курсор угла поставлен в точку А, соответствующую сосудистому пучку органа, затем на точки Б и В. Определена величина полученных углов , , и длина векторов. Угол между векторами основного и вспомогательного инструментов в точке А равен 104,8°, т.е. инструменты при введении будут находиться в оппозиции друг к другу. Угол между телескопом и вспомогательным инструментом в точке А недопустимо мал и равен 22,6°. При таком угле оптическая ось сближается с инструментальной, что приводит к потере ощущения глубины действия, а сами инструменты начинают мешать друг другу. При этом инструментальный вектор рабочего инструмента в направлении от точки А и от верхнего полюса Б проходит через толщу селезенки. Длина векторов всегда была меньше, чем рабочая длина инструментов. В таких условиях выполнение лапароскопической операции считаем невозможным. Требуется подбор новых точек для введения инструментов.

Реберные дуги препятствуют сколько-нибудь значительному изменению положения субксифоидального троакара с основным инструментом и точки x3, но можно изменить позицию троакаров телескопа и вспомогательного инструмента, найдя новые точки x1 и х3. Изменяем величину углов и положение векторов так, чтобы добиться приемлемых параметров оперативного доступа, когда угол между осями инструментов лежит в пределах более 25° и менее 90°. При этом точка x1 сместилась несколько вправо за среднюю линию и книзу и получена новая точка Д. Такое изменение позиции позволило добиться приемлемого угла =41,8°. Точка x3 сместилась книзу и медиально и расположена на границе левого мезогастрия и левой подвздошной области – это новая точка Е. Произведено изменение позиции до получения оптимального значения угла =35°. Произведена проверка других параметров. Проверена величина полученного угла между телескопом и основным рабочим инструментом от точки А, он оказался равен 39,1°, что достаточно для обеспечения проведения операции. Измерена длина векторов до поверхности тела (точки x2, Д, Е) от сосудистого пучка селезенки (точка А). После нахождения новых точек величина векторов, соответствующая глубине операционного действия, продолжала оставаться меньше, чем длина инструментов, при этом векторы пролегали в корректных направлениях. Произведено контрольное позиционирование вершин углов на крайние точки зоны операции на селезенке Б и В на всех ортогональных проекциях, векторы поочередно позиционированы на новые точки Д и Е, измерена длина векторов и углы. Длина векторов меньше рабочей длины инструментов, при этом инструментальные векторы пролегают в корректных направлениях, т.е. проходят через свободное от органов пространство. Строим биссектрису угла из точки А, чтобы уточнить точку введения оптического троакара Д. Проверяем углы между оптическим троакаром и рабочими инструментами, они находятся в пределах 25-90°. Найденные точки переносим на поверхность кожи тела пациента и ставим новые метки маркером другого цвета.

Результатом индивидуальной предоперационной оценки параметров доступа стал перенос двух из трех основных троакаров, позволивший создать такие условия, при которых удалось успешно выполнить операцию лапароскопическим доступом без конверсии и осложнений. Достоверность измерений МРТ подтверждена в ходе выполнения операции и натурального измерения размеров селезенки.

Таким образом, возможность дооперационного выбора точек введения троакаров позволяет сократить время операции на 10-40 минут, частота интраоперационных осложнений сокращается в 2 раза, частота конверсии снизилась в 3 раза.

Способ является простым, доступным, анатомически обоснованным, не требующим значительного расхода времени и материальных затрат.

Формула изобретения

Способ выбора доступа для выполнения оперативного вмешательства путем дооперационного моделирования положения вводимых инструментов и определения углов между ними, отличающийся тем, что до операции выполняют магнитно-резонансную томографию с построением фронтальной, сагиттальной и аксиальной проекций, отображающих внутреннюю структуру объекта, на основе которых реконструируют его объемное изображение с визуализацией поверхности тела и топографоанатомических ориентиров с помощью программного обеспечения VGStudio MAX 1.0 фирмы Volume Graphics GmbH, на томограммах и теле пациента находят и маркируют на коже предполагаемые точки введения инструментов по топографоанатомическим ориентирам x1, x2, х3, строят углы с вершиной и векторами, соответствующими осям инструментов: угол – между осью телескопа и осью вспомогательного инструмента, угол – между осью телескопа и осью основного инструмента, угол – между осью основного инструмента и вспомогательного инструмента; позиционируют вершины углов в точке А, соответствующей сосудистому пучку органа, затем на крайних точках зоны операции на органе-мишени Б и В на всех ортогональных проекциях, а векторы поочередно позиционируют на предполагаемые точки введения инструментов x1, x2, х3, строят биссектрису угла из точки А до поверхности тела в точке x1, измеряют величины полученных углов и длину векторов от точек А, Б, В до поверхности тела и при выполнении трех условий лапароскопической операции: угол между осями инструментов более 25° и менее 90°, прохождение вектора через свободное от органов пространство, длина вектора меньше, чем рабочая длина инструмента, выбирают лапароскопический доступ оперативного вмешательства, а при условии: угол между осями инструментов менее 25° или более 90°, прохождение вектора через анатомические преграды, длина вектора больше, чем рабочая длина инструмента, производят смещение векторов, изменяя величину углов так, чтобы векторы проходили через свободное от органов пространство, а величина углов между осями инструментов была более 25° и менее 90° и находят новые рабочие точки Г, Д, Е, затем проводят контрольное позиционирование вершин углов на крайние точки зоны операции на органе-мишени Б и В на всех ортогональных проекциях, а векторы поочередно позиционируют на новые рабочие точки Г и Е, строят биссектрису угла из точки А до поверхности тела – точка Д, измеряют длину полученных векторов и величину углов и при выполнении трех условий лапароскопической операции выбирают лапароскопический доступ, находят положение найденных точек Г, Д, Е на визуализированной поверхности тела пациента и переносят их на кожу пациента, ставя новые метки, а при несоблюдении трех условий лапароскопической операции выполнение оперативного вмешательства лапароскопическим доступом считают невозможным и выбирают лапаротомию.

РИСУНКИ

Categories: BD_2353000-2353999