|
|
(21), (22) Заявка: 2007121135/14, 06.06.2007
(24) Дата начала отсчета срока действия патента:
06.06.2007
(46) Опубликовано: 27.04.2009
(56) Список документов, цитированных в отчете о поиске:
RU 2258480 C1, 20.08.2005. RU 2221497 C2, 20.01.2004. RU 2283056 C1, 10.09.2006. RU 2272595 C2, 27.03.2006. UA 22378 U, 24.05.2007. UA 51160 A, 15.11.2002. US 2007032809, 08.02.2007. БАЛАЛЫКИН А.С. и др. Нетипичные способы эндоскопической папиллосфинктеротомии. Хирургия, 1984, 7, с.30-35. TANG S.J. et al. Precut papillotomy versus persistence indifficult biliary cannulation a prosrective randomized trial, Endoscopy, 2005, 37(1), 58-65.
Адрес для переписки:
117574, Москва, Новоясеневский пр-кт, 14, корп.2, кв.438, Д.Н.Ульянову
|
(72) Автор(ы):
Ульянов Дмитрий Николаевич (RU), Балалыкин Алексей Степанович (RU), Гвоздик Владимир Витальевич (RU), Амеличкин Михаил Александрович (RU)
(73) Патентообладатель(и):
Ульянов Дмитрий Николаевич (RU)
|
(54) СПОСОБ НЕТИПИЧНОЙ ЭНДОСКОПИЧЕСКОЙ ПАПИЛЛОТОМИИ
(57) Реферат:
Изобретение относится к медицине, к оперативной внутрипросветной эндоскопии, может быть использовано для выполнения эндоскопической папиллотомии при возникновении технических трудностей при выполнении стандартных и/или нетипичных методик; для осуществления доступа в общий желчный проток (ОЖП) при проведении диагностических и оперативных чреспапиллярных вмешательств. Выполняют нетипичную эндоскопическую папиллотомию. При этом выполняют крестообразную папиллотомию. Для чего продольно рассекают «крышу» большого сосочка двенадцатиперстной кишки (БСДК) с доступом в подслизистые слои. Затем осуществляют поперечный разрез глубжележащих тканей, вскрывая просвет ОЖП. Разрезы производят в зоне, ограниченной снизу устьем БСДК и сверху половиной расстояния от устья БСДК до первой поперечной складки двенадцатиперстной кишки. Способ позволяет повысить успешность поиска и вскрытия терминального отдела ОЖП в технически сложных случаях при измененном БСДК для лечения острых и хронических обструкций терминального отдела ОЖП при доброкачественных и злокачественных заболеваниях. Способ позволяет также минимизировать риск перфорации стенки двенадцатиперстной кишки и повреждения сфинктерного аппарата БСДК, выполнить вмешательство в один этап, провести диагностическую холангиографию при отсутствии расширения терминального отдела ОЖП, при трубчатом строении протоковых систем. 1 табл., 13 ил.
Область техники, к которой относится изобретение. Изобретение относится к медицине, в частности к оперативной внутрипросветной эндоскопии. Изобретение может быть использовано при выполнении эндоскопической папиллотомии при возникновении технических трудностей применения как стандартных, так и других нетипичных методик.
Однако ЭПТ традиционным способом не удается провести, по данным литературы, в 5-28% случаев, что заставляет прибегать к выполнению операции ЭПТ нетипичными способами с целью улучшения результатов лечения (Балалыкин В.Д. Нетипичные способы операции эндоскопической папиллотомии: Дисс   1. – P.10-19).
Известен аналогичный способ так называемой «послойной» эндоскопической папиллотомии (патент 2004132111 с приоритетом от 03.11.2004 г.), при котором доступ к протоковым структурам БСДК осуществляется путем послойного рассечения «крыши». Недостатком аналога являются неизбежные трудности применения способа как при тубулярном строении протоковых систем, так и при наличии опухолеподобных процессов в устье и общем канале БСДК. Кроме этого технические особенности способа не позволяют использовать его при неполной релаксации перистальтики двенадцатиперстной кишки (ДПК).
7. – С.30-35).
Основные недостатки прототипа (предрассечения торцевым папиллотомом) связаны со сложностью и опасностью при проведении нетипичных способов ЭПТ с использованием папиллотома с торцевым электродом и заключается в том, что после серии разрезов, как правило, БСДК теряет свою форму из-за рассечения соединительнотканного и мышечного корсета, что опасно потерей ориентировки и первоначально выбранного безопасного направления разреза, и, как следствие, приводит к неудачам и осложнениям. Кроме того, при тубулярном строении протоковых систем, а также при стенозе проксимальнее интрадуоденального сегмента ОЖП просвет интрадуоденального и папиллярного сегментов ОЖП не расширен и в глубине выполненного продольного разреза сосочка ОЖП может визуализироваться как красно-розовый тяж не шире 2-3 мм. При продолговатой форме и увеличении диаметра сосочка обилие соединительной и мышечной ткани создает дополнительные затруднения в идентификации трубчатых структур. Итак, совокупность вышеуказанных факторов – наличие нерассеченных продольных соединительнотканных волокон, узость терминального отдела ОЖП и наличие ожогового струпа, покрывающего поверхность разреза уже потерявшего первоначальную форму сосочка – затрудняет идентификацию ОЖП, и рассечь его вдоль чрезвычайно трудно.
Раскрытие изобретения. Задача изобретения состоит в том, чтобы повысить успешность поиска и вскрытия терминального отдела общего желчного протока с помощью эндоскопического метода в технически сложных случаях: при измененном БСДК для лечения острых и хронических обструкций терминального отдела ОЖП при доброкачественных и злокачественных заболеваниях. Решением поставленной задачи является смена направления разреза: после выполнения продольного разреза БСДК игольчатым папиллотомом и доступа в подслизистые слои тем же инструментом производим поперечный разрез. Поперечные разрезы трубчатых структур осуществляем проксимальнее устья ближе к основанию БСДК. Разрезы производятся в зоне, ограниченной снизу устьем БСДК, и сверху расстояния от устья БСДК до первой поперечной складки (маргинальной складки) ДПК (см. Приложение, фиг.1). Глубина поперечного разреза регулируется длиной рабочей части игловидного электрода и не должна превышать диаметра видимой трубчатой структуры (3-4 мм). Электронож используем в режиме «разрез» при мощности тока в диапазоне 40-50 Вт.
Абсолютных противопоказаний для проведения предрассечения крестообразным типом разреза, по нашему мнению, нет.
Выполнение ЭПТ крестообразным типом разреза имеет следующие преимущества:
1) способ позволяет провести диагностическую холангиографию в случаях отсутствия расширения терминального отдела ОЖП и при трубчатом строении протоковых систем;
2) способ способствует завершению ЭПТ в один этап с минимальным риском перфорации стенки двенадцатиперстной кишки;
3) способ позволяет осуществлять ЭПТ в случаях технически сложных как для стандартного канюляционного способа, так и для нетипичных способов ЭПТ;
4) использование способа позволяет деликатно вскрыть «крышу» БСДК с минимальным повреждением сфинктерного аппарата.
Краткое описание чертежей.
На чертежах (фиг.1-5) представлены этапы проведения эндоскопической папиллотомии предложенным новым нетипичным способом – крестообразным разрезом (стрелками показаны направления движения папиллотома, штриховкой – рассекаемые ткани, рисунки в кружках – увеличение для наглядности). Продольный разрез может проводиться как «сверху вниз» (фиг.1), так и «снизу вверх» (фиг.2), однако доступ в просвет ОЖП не удается (фиг.3); проведение поперечного разреза (фиг.4) приводит к успеху нетипичной ЭПТ – доступу в просвет ОЖП (фиг.5).
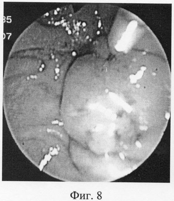
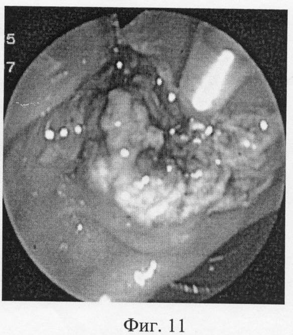
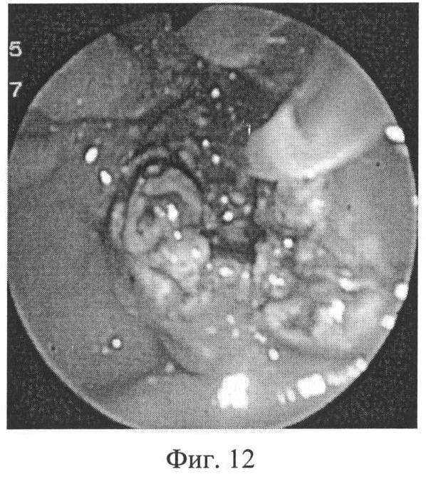
На эндоскопических фотографиях (фиг.6-12) наглядно представлены этапы операции эндоскопической папиллотомии предложенным новым нетипичным способом – крестообразным разрезом.
Фиг.6 – осмотр операционной зоны: БСДК уплощен.
Фиг.7 – глубокая канюляция и получение холангиограммы не удается.
Фиг.8 – папиллотом установлен выше устья БСДК, электрод выведен из оплетки.
Фиг.9 – выполняется продольный разрез БСДК.
Фиг.10 – после углубления продольного разреза осуществлен доступ в подслизистые слои, однако доступ в общий желчный проток не удается. Производится поперечный разрез слева направо.
Фиг.11 – дополнительный поперечный разрез трубчатой структуры в глубине раны.
Фиг.12 – после поперечного разреза канюляция пересеченной трубчатой структуры (узкий холедох) успешна, что подтверждается фиг.13.
Фиг.13 – холангиопанкреаторентгенограмма, на которой отчетливо видна одна из причин технических трудностей первичного контрастирования ОЖП – сужение и негомогенность терминального отдела (показано черной стрелкой).
Сведения, подтверждающие возможность осуществления изобретения.
Примером использования метода крестообразной папиллотомии при неудаче других, в том числе и нетипичных, методов служат следующие клинические случаи.
Пример 1. Больная Алф-ва (женщина 62 лет, история болезни 15254-04) поступила в хирургическую клинику с жалобами на частые боли в правом подреберье и тошноту, вернувшиеся через несколько месяцев после перенесенной лапароскопической холецистэктомии по поводу болевой формы хронического калькулезного холецистита. При ультразвуковом исследовании и магнитно-резонансной томографии ОЖП умеренно расширен, и нельзя исключить наличие камня в терминальном отделе ОЖП. Это явилось показанием к прямому контрастированию желчных протоков. БСДК полушаровидной формы; попытки типичной канюляции, в том числе с использованием проводников, неудачны – мешает аденома устья. При выполнении нетипичной ЭПТ с диагностическими целями на БСДК, отекшем после множественных неудачных попыток канюляции, путем продольного разреза осуществить доступ не удается, в глубине разреза видны узкие продольные тяжи. Выполнен переход на крестообразный тип разреза и поперечным разрезом трубчатые структуры пересечены, одна из них оказалась общим желчным протоком. Кровотечения во время проведения разреза не было. Выполнена холангиография, подтверждено умеренное расширение гомогенного ОЖП, инструментальная ревизия ОЖП корзиной Дормиа – желчная «замазка». Больная отметила исчезновение болей уже на следующие сутки. При контрольном УЗИ аэробилии, как признака недостаточности сфинктеров БСДК, не выявлено. Осложнений при проведении операции и в послеоперационном периоде не отмечалось. Выздоровление.
Пример 2. Больная Наз-ва (женщина 46 лет, история болезни 5665-06) поступила с жалобами на сильные по интенсивности и спастические по характеру боли в правом подреберье, тошноту, пожелтение кожных покровов, потемнение мочи и осветление кала. Показания к эндоскопии: желчнокаменная болезнь, обострение хронического калькулезного холецистита, осложненного наличием, по данным УЗИ, камней в холедохе. Билирубинемия при поступлении свыше 40 мкмоль/л. При гастродуоденоскопии: в пищеводе и желудке патологии нет, двенадцатиперстная кишка релаксирована неадекватно – довольно частые перистальтические движения. В нисходящем отделе ДПК глубокий дивертикул воронкообразной формы размерами 1,5×1,0 см с остатками пищи. Рядом с левым краем устья дивертикула расположен БСДК: небольшой диаметром до 0,4-0,5 см, уплощенной формы, прикрываемый циркулярной складкой. Устье сосочка фестончатое, гиперемированное, на 12 часах в устье видна аденома 2-3 мм в диаметре, пролябирующая в просвет ДПК. Предприняты неоднократные канюляции устья БСДК и попытки введения контраста, но удается контрастировать только терминальный отдел расширенного до 3-4 мм главного панкреатического протока, аспирация контраста проведена. Произведена нетипичная ЭПТ игольчатым папиллотомом в направлении от устья вверх с надсечением циркулярной складки, раневая поверхность – вся крыша. Однако среди коагуляционной ткани устье холедоха отыскать не удается. При поисках его «вслепую» создано небольшое подслизистое депо контраста (до 10×15 мм) в секторе 12-1 час. Решено выполнить крестообразную папиллотомию: направление разреза изменено на поперечное, и игольчатым папиллотомом произведено пересечение продольной трубчатой структуры. При канюляции в зоне разреза и введении контраста получена холангиопанкреатограмма, на которой видно, что терминальные отделы обеих протоковых систем сужены и огибают дивертикул. В холедохе выявлен плавающий камень неправильной формы диаметром до 0,5-0,6 см. Разрез расширен типичным способом. Корзиной Дормиа камень захвачен и извлечен в просвет кишки. Быстрый сброс контраста из протоков в просвет кишки подтверждает, что восстановлен хороший пассаж желчи в ДПК. Послеоперационных осложнений не наблюдалось, больная выздоровела.
Всего нами выполнено 11 операций с эффективным доступом в просвет общего желчного протока в 91,6% случаев. Сведения о больных отражены в таблице 1.
Практика показала, что описанный способ нетипичной эндоскопической папиллотомии является предпочтительным в трудных случаях и в настоящее время применяется нами в хирургической клинике ФГУ «3-й Центральный военный клинический госпиталь им. А.А.Вишневского» (Московская область. Красногорский р-н, п/о Архангельское).
Несмотря на достаточно частое проведение ЭПТ нетипичными способами до настоящего момента не было описано эффективного и достаточно безопасного нетипичного способа. Это приводило к тому, что пациентам выполнялись либо высокотравматичные хирургические операции, либо эндоскопические операции, не приводящие к одноэтапному и эффективному доступу в просвет ОЖП.
Нами впервые апробирована возможность одномоментного и эффективного эндоскопического доступа в просвет ОЖП для проведения других чреспапиллярных операций даже в технически сложных случаях.
Решение найдено в процессе длительной практической работы и было результатом коллективного научно-творческого процесса. Методика отработана в процессе осуществления, и ее могут с успехом применять специалисты, выполняющие оперативные эндоскопические вмешательства на большом дуоденальном сосочке.
В нашей клинике крестообразная эндоскопическая папиллотомия стала методом выбора при неудаче операции ЭПТ другими способами.
| Таблица 1 |
 |
Фамилия, пол |
Возраст (лет) |
Истории болезни |
Диагноз |
Комплекс ЧПО |
Осложнения / исход |
| 1 |
П-на, жен. |
66 |
8273-01 |
Аденома БСДК, осложненная механической желтухой |
ЭПТ |
без осложнений / выздоровление |
| 2 |
Чус-н, муж. |
57 |
13327-01 |
Острый калькулезный холецистит, холедохолитаз, механическая желтуха |
ЭПТ |
операция неудачна / больной оперирован лапаротомным способом |
| 3 |
См-ва, жен. |
76 |
1058-01 |
Хронический калькулезный холецистит в фазе обострения, холедохолитаз, механическая желтуха |
ЭПТ, МЭК, МЛТ, НБД |
кровотечение во время операции / выздоровление |
| 4 |
Алф-ва, жен. |
62 |
15254-04 |
ПХЭС после холецистэктомии в 2002 г., микрохоледохолитаз, аденома БСДК, механическая желтуха |
ЭПТ, МЭК |
без осложнений / выздоровление |
| 5 |
Анд-ва, жен. |
80 |
11578-04 |
Аденома БСДК, механическая желтуха |
ЭПТ, ЭС, НБД |
без осложнений / выздоровление |
| 6 |
Шир-в, муж. |
56 |
11606-04 |
Панкреонекроз, осложненный внутренним абдомино-торакальным свищем, аденоматоз БСДК |
ЭПТ |
без осложнений / выздоровление |
| 7 |
Вен-ко, муж. |
50 |
11716-05 |
Хронический калькулезный холецистит, холедохолитаз, аденоматоз БСДК, механическая желтуха |
ЭПТ, МЭК |
без осложнений / выздоровление |
| 8 |
Гав-на, жен. |
77 |
21884-05 |
Хронический калькулезный холецистит в фазе стихающего обострения, холедохолитаз |
ЭПТ, МЭК, МЛТ, НБД |
без осложнений / выздоровление |
| 9 |
Туг-ва, жен. |
71 |
20013-05 |
Хронический калькулезный холецистит в фазе обострения, холедохолитаз, механическая желтуха |
ЭПТ, МЭК, МЛТ |
без осложнений / выздоровление |
| 10 |
Кон-в, муж. |
70 |
5834-05 |
Хронический калькулезный холецистит в фазе ремиссии, холедохолитаз |
ЭПТ, МЭК |
без осложнений / выздоровление |
| 11 |
Наз-ва, жен. |
46 |
5665-06 |
Хронический калькулезный холецистит, холедохолитаз, аденоматоз БСДК |
ЭПТ, МЭК |
без осложнений / выздоровление |
Использованные в таблице сокращения: БСДК – большой дуоденальный сосочек, МЛТ – механическая литотрипсия, МЭК – механическая экстракция камней, НБД – назобилиарное дренирование, ЭПТ – эндоскопическая папиллотомия. |
Формула изобретения
Способ нетипичной эндоскопической папиллотомии, отличающийся тем, что выполняют крестообразную папиллотомию, для чего продольно рассекают «крышу» большого дуоденального сосочка с доступом в подслизистые слои, затем выполняют поперечный разрез глубжележащих тканей, вскрывая просвет общего желчного протока, при этом разрезы производят в зоне, ограниченной снизу устьем большого дуоденального сосочка и сверху половиной расстояния от устья большого дуоденального сосочка до первой поперечной складки двенадцатиперстной кишки.
РИСУНКИ
|
|