Патент на изобретение №2353317

Published by on




РОССИЙСКАЯ ФЕДЕРАЦИЯ



ФЕДЕРАЛЬНАЯ СЛУЖБА
ПО ИНТЕЛЛЕКТУАЛЬНОЙ СОБСТВЕННОСТИ,
ПАТЕНТАМ И ТОВАРНЫМ ЗНАКАМ
(19) RU (11) 2353317 (13) C2
(51) МПК

A61B17/56 (2006.01)

(12) ОПИСАНИЕ ИЗОБРЕТЕНИЯ К ПАТЕНТУ

Статус: по данным на 08.09.2010 – может прекратить свое действие

(21), (22) Заявка: 2006120012/14, 07.06.2006

(24) Дата начала отсчета срока действия патента:

07.06.2006

(43) Дата публикации заявки: 27.12.2007

(46) Опубликовано: 27.04.2009

(56) Список документов, цитированных в отчете о
поиске:
RU 2113187 C1, 20.06.1998. RU 2239382 C2, 10.11.2004. JP 2004195231, 15.07.2004. Под редакцией ШАПОШНИКОВА Ю.Г. Травматология и ортопедия. Т. 1. – М.: Медицина, 1997, с.498. STEINBERG E.L. Intramedullary fixation of tibial shaft fractures using an expandable nail: early results of 54 acute tibial shaft fractures. J Orthop Trauma. 2006 May; 20(5): 303-9 (Abstract).

Адрес для переписки:

191104, Санкт-Петербург, пр. Литейный, 56, СПб ГМБ, С.Н. Черняеву

(72) Автор(ы):

Неверов Валентин Александрович (RU),
Черняев Сергей Николаевич (RU),
Хромов Александр Анатольевич (RU),
Шебаршов Александр Львович (RU),
Егоров Константин Сергеевич (RU),
Кравченко Игорь Николаевич (RU),
Щеглов Алексей Дмитриевич (RU)

(73) Патентообладатель(и):

Неверов Валентин Александрович (RU),
Черняев Сергей Николаевич (RU),
Хромов Александр Анатольевич (RU)

(54) СПОСОБ РЕПОЗИЦИИ И ПОЛИАКСИАЛЬНОЙ СТАБИЛИЗАЦИИ ОТЛОМКОВ ПРИ ИНТРАМЕДУЛЛЯРНОМ МЕТАЛЛООСТЕОСИНТЕЗЕ ПЕРЕЛОМОВ ДЛИННЫХ ТРУБЧАТЫХ КОСТЕЙ

(57) Реферат:

Изобретение относится к травматологии и ортопедии и может быть применимо для репозиции и полиаксиальной стабилизации при интрамедуллярном металлоостеосинтезе. Устанавливают стержень интрамедуллярно. Проводят блокирующие винты через два кортикальных слоя и резьбовые отверстия в стержне. При установке винтов притягивают к стержню отломки головками винтов, устраняя таким образом остаточные смещения отломков. Способ позволяет увеличить эффективность репозиции. 10 ил.

Изобретение относится к медицине, а именно к травматологии и ортопедии, и может быть использовано для хирургического лечения переломов метафизов длинных трубчатых костей.

Использование интрамедуллярного металлоостеосинтеза при переломах метафизарных зон длинных трубчатых костей представляет значительные трудности ввиду короткого рычага стабилизации. Особенности переломов метафизарной локализации создают мотивацию для поиска других вариантов хирургической фиксации, таких как накостный остеосинтез и аппараты внешней фиксации, что обусловлено в первую очередь недостаточными возможностями управления положением отломков при использовании интрамедуллярного остеосинтеза [2].

Известны способы фиксации переломов метафизарных локализаций: накостный остеосинтез, аппараты внешней фиксации, интрамедуллярный металлоостеосинтез с блокированием. Недостатками первого способа являются недостаточная стабильность остеосинтеза для осуществления ранней нагрузки, травматичность, необходимость скелетирования кости для установки пластины. Недостатки второго – повреждается мягкотканый футляр сегмента большим количеством спиц и стержней, вследствие чего биомеханика мышц нарушается, необходимость ухода за аппаратом и выполнения перевязок в период всего срока сращения, опасность спицевого остеомиелита, бытовые неудобства, большие экономические затраты.

Наиболее близким к заявляемому является способ интрамедуллярного металлоостеосинтеза с блокированием, который заключается во внедрении стержня в костно-мозговой канал и проведении блокирующих винтов, не имеющих фиксации в стержне [1. М.Е.Мюллер, М.Альговер, Р.Шнайдер, X.Виллинеггер. Руководство по внутреннему остеосинтезу. Методика, рекомендованная группой АО «Швейцария». – М.: Изд. Ad Marginen, 1996. – С.291-315, 542-545, 574-575].

Недостатками прототипа являются: сложность репозиции и удержания отломков во время операции, отсутствие возможности коррекции положения отломков после введения стержня интрамедуллярно, появление угловых смещений и смещений по ширине после установки стержня, возникновение нестабильности металлоостеосинтеза в послеоперационном периоде, в результате чего развивается замедленная консолидация и несращение переломов. Наиважнейшее значение это имеет при метафизарных переломах большеберцовой кости и переломах бедренной кости в области дистального метафиза, так как наличие блоковидных коленного и голеностопного суставов не позволяет компенсировать не устраненные смещения переломов, поскольку при этом нарушается биомеханическая ось конечности, что впоследствии ведет к развитию деформирующего артроза.

Технической задачей и социальным эффектом данного способа является высокая эффективность интраоперационной репозиции и удержания отломков в правильном положении, функциональность в лечении данной патологии; использование доступного инструментария; высокая стабильность металлоостеосинтеза; ранняя функциональная нагрузка, исключение миграции блокирующих винтов.

Предлагаемый способ репозиции и полиаксиальной стабилизации отломков при интрамедуллярном металлоостеосинтезе с блокированием метафизарных переломов длинных трубчатых костей заключается в том, что при этом во время операции после внедрения стержня интрамедуллярно, под контролем электронно-оптического преобразователя проводят репозиционно-блокирующие винты через костные отломки и резьбовые отверстия в стержне, при установке винтов достигают компрессии отломков с устранением остаточных их смещений за счет притягивания отломков к стержню головками винтов и достигают окончательную репозицию и полиаксиальную жесткую стабилизацию отломков, исключающих возможность смещений отломков после установки металлоконструкции и в послеоперационном периоде.

Существенными отличиями предлагаемого способа являются: использование резьбовых отверстий в стержне и репозиционно-блокирующих винтов, которые обеспечивают осевую фиксацию винтов в стержне и устранение остаточных смещений отломков после установки стержня, надежность фиксации достигнутого положения отломков ввиду трех точек жесткой фиксации репозиционно-блокирующего винта: в двух кортикальных слоях кости и в стержне, возможность ранней осевой нагрузки на конечность без риска вторичных смещений.

Способ иллюстрируется клиническим примером со ссылкой на чертежи и рентгенограммы, где:

Фиг.1. Вид стержня, где:

1 – резьбовые отверстие в стержне.

Фиг.2. Вид репозиционно-блокирующего винта при закручивании в стержень, где:

2 – стержень,

3 – репозиционно-блокирующий винт.

Фиг.3. Схема этапа операции: репозиции отломков при закручивании репозиционно-блокирующего винта, где:

4 – проксимальный отломок,

5 – дистальный отломок.

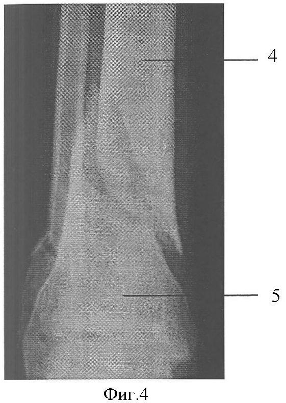
Фиг.4. Исходная рентгенограмма в прямой проекции.

Фиг.5. Исходная рентгенограмма в боковой проекции.

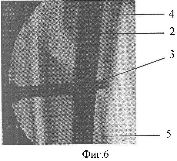
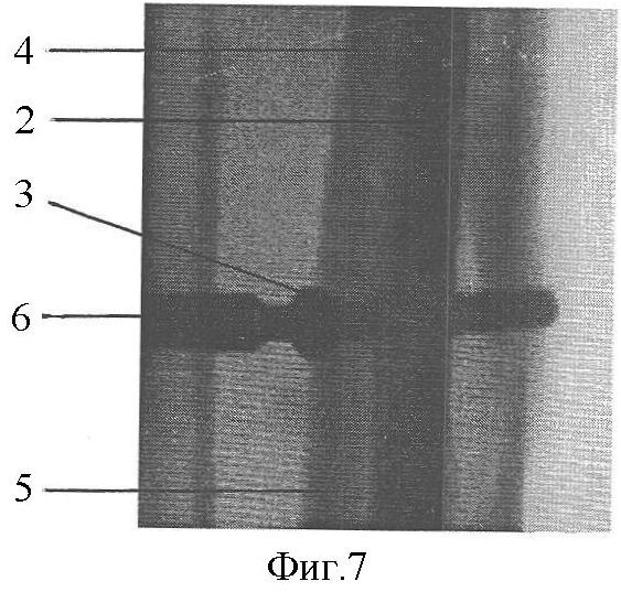
Фиг.6 и Фиг.7. Интраоперационные снимки на экране электронно-оптического преобразователя: момент репозиции отломков при закручивании репозиционно-блокирующего винта, где:

6 – отвертка.

Фиг.8. Постоперационная рентгенограмма в прямой проекции.

Фиг.9. Постоперационная рентгенограмма в боковой проекции.

Фиг.10. Функция конечности на 5 сутки после операции.

Клинический пример: Пациентка А., 43 лет. Диагноз: Закрытый перелом дистальных метафизов обеих костей правой голени (фиг.4, 5). Произведена операция (фиг.8, 9), при этом после внедрения стержня 2 интрамедуллярно под контролем электронно-оптического преобразователя проведены репозиционно-блокирующие винты 3 через костные отломки 4, 5 и резьбовые отверстия 1 в стержне 2, при установке винтов 3 (фиг.3, 6, 7) достигнута компрессия отломков 4, 5 с устранением остаточных их смещений за счет притягивания отломков 4, 5 к стержню 2 головками винтов 3 и достигнута окончательная репозиция и полиаксиальная жесткая стабилизация отломков 4, 5, исключающих возможность смещений отломков 4,5 после установки металлоконструкции и в послеоперационном периоде. Винты 3 выполнили как репонирующую, так и блокирующую роль. Полная нагрузка на ногу после операции (фиг.10). Срок нетрудоспособности 4 недели.

Список литературы

1. М.Е.Мюллер, М.Альговер, Р.Шнайдер, X.Виллинеггер. Руководство по внутреннему остеосинтсзу. Методика, рекомендованная группой АО «Швейцария». – М.: Изд. Ad Marginen, Москва, 1996. – С.291-315, 542-545, 574-575 (прототип).

Формула изобретения

Способ репозиции и полиаксиальной стабилизации при интрамедуллярном металлоостеосинтезе, включающий установку стержня интрамедуллярно и проведение блокирующих винтов через два кортикальных слоя и резьбовые отверстия в стержне, отличающийся тем, что при установке винтов притягивают к стержню отломки головками винтов, устраняя, таким образом, остаточные смещения отломков, достигают окончательную репозицию и производят компрессию отломков.

РИСУНКИ

Categories: BD_2353000-2353999