Патент на изобретение №2353314

Published by on




РОССИЙСКАЯ ФЕДЕРАЦИЯ



ФЕДЕРАЛЬНАЯ СЛУЖБА
ПО ИНТЕЛЛЕКТУАЛЬНОЙ СОБСТВЕННОСТИ,
ПАТЕНТАМ И ТОВАРНЫМ ЗНАКАМ
(19) RU (11) 2353314 (13) C2
(51) МПК

A61B17/56 (2006.01)

(12) ОПИСАНИЕ ИЗОБРЕТЕНИЯ К ПАТЕНТУ

Статус: по данным на 08.09.2010 – может прекратить свое действие

(21), (22) Заявка: 2007119054/14, 22.05.2007

(24) Дата начала отсчета срока действия патента:

22.05.2007

(43) Дата публикации заявки: 27.11.2008

(46) Опубликовано: 27.04.2009

(56) Список документов, цитированных в отчете о
поиске:
RU 2236190 С2, 10.04.2004. RU 2270629, 27.06.2006. RU 94007980, 10.09.1996. ЮШЕНИН Ю.М. и др. Хирургическое лечение деформирующих остеоартрозов. Синграальная хирургия. 2000, 1, с.25-30. JP 7116240, 09.05.1995. MAYNOU С.Long-term results of proximal osteocartilagions autografts in extensive cartilaginous destruction of the knee. Apropos of 5 cases. Acta Orthop. Belg. 1998 Jun; 64(2): 193-200 (Abstract).

Адрес для переписки:

640014, г.Курган, ул. М. Ульяновой, 6, ФГУН “РНЦ “Восстановительная травматология и ортопедия” имени академика Г.А. Илизарова ФА по ЗД СР”, НОИС

(72) Автор(ы):

Шевцов Владимир Иванович (RU),
Макушин Вадим Дмитриевич (RU),
Чегуров Олег Константинович (RU)

(73) Патентообладатель(и):

Федеральное государственное учреждение науки “Российский научный центр “Восстановительная травматология и ортопедия” имени академика Г.А. Илизарова Федерального агентства по здравоохранению и социальному развитию” (RU)

(54) СПОСОБ ЛЕЧЕНИЯ ГОНАРТРОЗА, ОСЛОЖНЕННОГО АСЕПТИЧЕСКИМ НЕКРОЗОМ МЫЩЕЛКА БЕДРЕННОЙ КОСТИ

(57) Реферат:

Способ относится к области медицины, в частности к ортопедии, может найти применение при лечении гонартроза, сопровождающегося асептическим некрозом мыщелка бедренной кости. Сущность способа заключается в субхондральной декомпрессионной туннелизации суставных концов и надколенника. При этом производят параллельную туннелизацию в пределах патологического участка мыщелка, разрушая измененную костную структуру. Затем перемещают по туннелям из неизмененных участков противоположного мыщелка бедренной кости костную стружку. Использование данного изобретения позволяет стимулировать репаративную регенерацию тканей и регионарный кровоток с дренированием участка патологической перестройки, восстановить структуру и конфигурацию органа после разрушения зоны патологического субхондрального участка, обеспечить декомпрессию внутрикостной гипертензии, уменьшить объем и травматичность операции, обеспечить возможность ранней нагрузки на оперированную конечность и быстрое восстановление движений в суставе. 2 ил.

Изобретение относится к области медицины, в частности к ортопедии, а именно к экстраартикулярным способам лечения гонартроза, осложненного ограниченным субхондральным асептическим некрозом мыщелка бедренной кости (болезнь Кенига), и может быть использовано в клинических отделениях, специализирующихся на лечении суставных заболеваний.

Данная внутрисуставная операция высокотравматична в силу массивного рассечения мягких тканей сустава и не направлена на стимуляцию репаративных процессов в зоне асептического субхондрального некроза мыщелка бедренной кости.

Однако выполнение внутрисуставной операции не предусматривает заместительной пластики образовавшегося дефекта суставной поверхности костной стружкой, перемещенной из неизмененных участков мыщелков бедренной кости, что удлиняет сроки органотипической перестройки костно-хрящевой структуры.

3. – С.27-29).

Применение данного способа весьма травматично. Туннелизация субхондральных отделов мыщелков производится сверлом большого диаметра (8 мм) в сагиттальном направлении после предварительных разрезов мягких тканей. Кроме того, способ не предусматривает целенаправленного воздействия на зоны патологической перестройки мыщелков бедренной кости.

1. – С.25-30).

Однако после этапного туннелирования мягких тканей в области сустава и сверления полыми сверлами костнообразующих элементов коленного сустава в 16,9% случаев болевой синдром усиливается и приводит к неудовлетворительному результату операции.

Известен способ лечения деформирующего артроза коленного сустава, в котором субхондрально спицами внесуставно формируют в костях коленного сустава сквозные во взаимокосых направлениях туннели (Патент 2193363 РФ Способ лечения деформирующего артроза коленного сустава / В.Д.Макушин, O.K.Чегуров, В.И.Казанцев, Б.В.Камшилов (РФ), 2000126047/14; Заявлено 16.10.2000. Опубликовано 27.11.2002. Бюл.33).

Однако в известном способе локально не воздействуют на всю площадь очага патологической перестройки мыщелка бедренной кости и не производят пластики дефекта костными тканями из здоровых участков кости, что снижает эффект лечения.

Задачей настоящего изобретения является разрушение зоны патологического субхондрального участка, восстановление его структуры и конфигурации суставной поверхности.

Поставленная задача решается тем, что в способе лечения гонартроза. осложненного асептическим некрозом мыщелка бедренной кости, включающем субхондральную декомпрессионную туннелизацию суставных концов, надколенника, туннелизацию производят в пределах патологического участка мыщелка, при этом разрушают измененную костную структуру, затем осуществляют последующую костную пластику стружкой, которую перемещают по туннелям из неизмененных участков противоположного мыщелка бедренной кости.

Целесообразно для максимального охвата очага патологической перестройки формировать не менее 8-10 параллельных между собой туннелей, проходящих через патологическую зону.

Настоящее изобретение поясняется подробным описанием со ссылкой на конкретный пример выполнения способа, на фотокопии рентгенограмм, на которых:

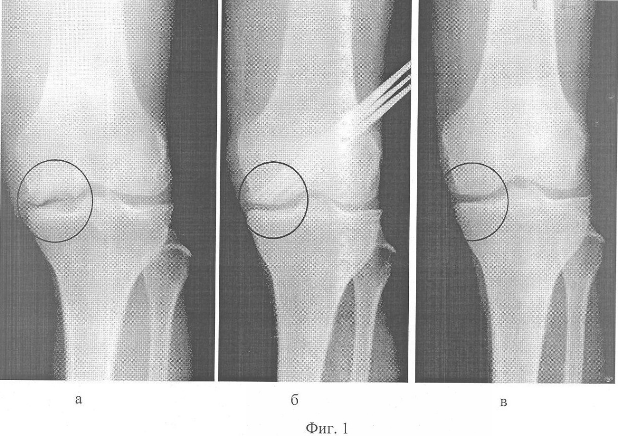
фиг.1 – Рентгенограмма левого коленного сустава пациентки Д., 61 года в прямой проекции: а) до лечения; б) в процессе туннелизации патологической зоны; в) через 6 месяцев после лечения;

фиг.2 – Компьютерные томограммы левого коленного сустава: а, б) до лечения; в, г) через 6 месяцев после лечения.

Способ осуществляется следующим образом.

Оперативное лечение проводят под эпидуральной анестезией. После обработки нижней конечности антисептиком костным перфоратором (Патент 50101 РФ, МКИ А61В 17/56. Костный перфоратор / Макушин В.Д., Чегуров О.К., Бирюкова М.Ю. – 2005116553; заявл. 30.05.05; опубл. 27.12.05.) выполняют туннелизацию измененного мыщелка бедренной кости. Костный перфоратор вводят субхондрально со стороны противоположного мыщелка бедренной кости через патологический очаг. С помощью толкателя из продольного паза костного перфоратора, перед его удалением, производят выталкивание костной стружки, сформированной из неизмененной части мыщелка, в зону патологической перестройки. Формируют не менее 8-10 плоскопараллельных между собой туннелей, проходящих через патологический очаг, с максимальным его охватом по объему.

В проекции мыщелков бедренной и большеберцовой костей, где отсутствуют зоны патологической перестройки, фронтально выполняют веерную, субхондральную туннелизацию суставных концов с образованием не менее 4-6 туннелей в каждом мыщелке. Фронтально во взаимокосых направлениях субхондрально спицей в надколеннике формируют 3-4 канала. После операции на период восстановительного лечения рекомендуют ходьбу с помощью костылей без нагрузки на ногу. В случаях нарушения биомеханической оси конечности производят корригирующую остеотомию берцовых костей в верхней трети голени с коррекцией деформации и фиксацией аппаратом Илизарова.

Положительная рентгенологическая динамика перестройки зоны асептического некроза с восстановлением конфигурации суставной поверхности и структуры субхондральной костной ткани в послеоперационном периоде свидетельствует об эффективности оперативного пособия и стабильности результата.

Пример осуществления способа.

Больная Д., 61 год. Диагноз: Двусторонний идиопатический гонартроз II стадии с болевым синдромом больше слева. Асептический некроз внутреннего мыщелка левой бедренной кости. Давность заболевания 2 года. Лечилась консервативно, принимая анальгетики и хондропротекторы. Эффект лечения был слабо выражен. Испытывала затруднения при ходьбе по лестнице.

При клиническом обследовании: варусное отклонение левой голени при стоянии на 5°, сгибательно-разгибательная контрактура левого коленного сустава 90-165°. При пальпации по внутренней поверхности правого коленного сустава отмечала болезненность. На рентгенограмме левого коленного сустава в прямой проекции – признаки гонартроза, характеризующие II стадию процесса, во внутреннем мыщелке левой бедренной кости костно-хрящевой дефект неоднородной структуры со склеротической границей вокруг очага деструкции и прерывистостью линии хрящевой поверхности мыщелка (Фиг.1а). На компьютерных томограммах патологический очаг локализован в заднем отделе внутреннего мыщелка бедренной кости. Дефект по площади составлял половину контактной поверхности мыщелка (Фиг.2а, б).

После обработки операционного поля антисептиком под эпидуральной анестезией со стороны неизмененного мыщелка бедренной кости через патологический очаг противоположного мыщелка бедра субхондрально введен костный перфоратор. При помощи толкателя из продольного паза костного перфоратора, перед его удалением, произведено выталкивание костной стружки, сформированной из неизмененной части мыщелка, в зону патологической перестройки. Аналогичным образом сформировано 10 параллельных между собой туннелей, проходящих через патологический очаг, с максимальным его охватом по объему (Фиг.1б). В проекции мыщелков бедренной и большеберцовой костей, где отсутствуют зоны патологической перестройки, фронтально выполнена веерная, субхондральная туннелизация суставных концов с образованием 6 туннелей в каждом мыщелке. Фронтально во взаимокосых направлениях субхондрально спицей в надколеннике сформировано 3 канала.

На второй день после операции больная приступила к ходьбе при помощи костылей без нагрузки на оперированную конечность. Через 1,5 недели после операции больная отметила уменьшение интенсивности болевого синдрома при движении и увеличение амплитуды движений в левом коленном суставе (70-180°). Срок стационарного лечения – 45 дней.

При клиническом осмотре пациентки через 6 месяцев после выписки из клиники интенсивность болевого синдрома значительно уменьшилась, при подъеме по лестнице на 4-й этаж отмечает легкие боли. Увеличилась функция сустава: безболезненное полное разгибание и сгибание до 50°. Дистанция стабильной безболевой ходьбы до 2 км. Считает, что улучшилось качество жизни. Удовлетворена лечением.

При рентгенологическом обследовании через 6 месяцев после операции (Фиг.1в) структура кости в проекции патологического очага перестройки однородная, непрерывность хрящевой поверхности восстановлена, склероз отсутствует. По данным компьютерной томографии коленного сустава – в заднем отделе внутреннего мыщелка бедренной кости отмечается восстановление структуры кости, структурно костный дефект активно восстанавливается (Фиг.2в, г).

Предлагаемый способ позволяет, используя малотравматичные оперативные приемы, стимулировать репаративную регенерацию тканей и региональный кровоток с дренированием участка патологической перестройки. Усиливается рассасывающий эффект в субхондральной зоне некротических элементов патологического очага, восстанавливается конфигурация суставных поверхностей и структура субхондральной костной ткани посредством заместительной «пластики костной стружкой» зоны перестройки участками «здоровых» костных балок из губчатой кости мыщелка.

Предлагаемый способ используется в клинических отделениях «ФГУН РНЦ «ВТО» имени академика Г.А.Илизарова Росздрава».

Формула изобретения

Способ лечения асептического некроза мыщелков бедренной кости, включающий субхондральную декомпрессионную туннелизацию суставных концов, надколенника, отличающийся тем, что производят параллельную туннелизацию в пределах патологического участка мыщелка, разрушая измененную костную структуру, затем перемещают по туннелям из неизмененных участков противоположного мыщелка бедренной кости костную стружку.

РИСУНКИ

Categories: BD_2353000-2353999