|
(21), (22) Заявка: 2007141675/13, 09.11.2007
(24) Дата начала отсчета срока действия патента:
09.11.2007
(46) Опубликовано: 20.04.2009
(56) Список документов, цитированных в отчете о поиске:
RU 2303262 C2, 20.07.2007. KOKSAL V. Primer-engineered multiplex PCR-RFLP for detection of MTHFR C677T, prothrombin G20210A and factor V Leiden mutations. Exp Mol Pathol. 2007 Aug; 83(1): 1-3. Epub 2006 Dec 30.
Адрес для переписки:
630117, г.Новосибирск, а/я 5, Л.Я. Кучумовой
|
(72) Автор(ы):
Воронина Елена Николаевна (RU), Филипенко Максим Леонидович (RU)
(73) Патентообладатель(и):
Воронина Елена Николаевна (RU), Филипенко Максим Леонидович (RU)
|
(54) СПОСОБ ДИАГНОСТИКИ НАСЛЕДСТВЕННОЙ ПРЕДРАСПОЛОЖЕННОСТИ К ТРОМБОФИЛИИ
(57) Реферат:
Изобретение относится к области молекулярной биологии. Предложен способ диагностики наследственной предрасположенности к тромбофилии, включающий выделение ДНК, амплификацию участков генов МТГФР человека, V фактора свертываемости крови (FV) и протромбина (FII) путем проведения полимеразной цепной реакции с использованием трех пар специально подобранных олигонуклеотидных праймеров, обработку амплификационных фрагментов эндонуклеазой рестрикции TaqI и определение размера полученных фрагментов с помощью электрофореза. При выявлении полиморфных замен С677 Т в гене МТГФР, G1691 A в гене FV и G20210 A в гене FII диагностируют наследственную предрасположенность к тромбофилии. Изобретение может быть использовано в медицине как более легкий и точный способ диагностики предрасположенности индивидуума к тромбофилии. 1 ил., 4 табл.
Изобретение относится к области молекулярной биологии и может быть использовано в медицине при диагностике наследственной предрасположенности индивидуума к тромбофилии.
Тромбофилия – склонность к развитию тромбозов. У людей с генетически обусловленной формой тромбофилии тромбозы чаще всего развиваются при наличии дополнительных факторов риска: беременности, приема гормональных контрацептивов, повышения уровня гомоцистеина, антифосфолипидных антител.
Установлена связь приобретенной и генетически обусловленной (наследственной) тромбофилии не только с рецидивирующими тромбозами, инфарктами миокарда, инсультами и пр., но и с такими распространенными формами акушерской патологии, как невынашивание беременности на ранних сроках (риск повышается в 3 раза), отставание развития плода, поздний токсикоз (гестоз), фетоплацентарная недостаточность. Чаще всего у женщин обнаруживаются тромбозы в плаценте, что и является причиной повышенного риска развития всех вышеперечисленных осложнений. В группу “высокого риска” классически входят беременные с генетической формой тромбофилии, которым показана противотромботическая терапия во время беременности, в родах и в послеродовом периоде (Минздрав РФ: Письмо от 27.11.2002 N2510/11891-02-32 Профилактика тромбоэмболии легочной артерии в акушерской практике).
Профилактика и лечение наследственных тромбофилий не являются чем-то особенными и могут успешно осуществляться имеющимися на вооружении клиницистов гепарином и оральными антикоагулянтами. Поэтому основными проблемами этой части современной медицины являются выявление маркеров тромбофилий и отработка режимов противотромботической терапии (дозировки препаратов и длительности их назначения). К числу генных маркеров наследственных тромбофилий относятся мутация метилентетрагидрофолат-редуктазы, лейденская мутация и мутация гена протромбина G20210A.
Наиболее изученной мутацией является вариант, в котором нуклеотид цитозин (С) в позиции 677 заменен на тимидин (Т), что приводит к замене аминокислотного остатка аланина на остаток валина в сайте связывания фолата. Такой полиморфизм MTHFR обозначается как мутация С677Т. У лиц, гомозиготных по данной мутации, отмечается термолабильность MTHFR и снижение активности фермента примерно до 35% от среднего значения. Это сопровождается повышением уровня гомоцистеина в крови и развитием тромбофилических состояний.
Лейденская мутация гена V фактора свертывания крови характеризуется заменой нуклеотида гуанина на нуклеотид аденин в позиции 1691. Вследствие этой мутации активированный фактор свертывания крови V становится нечувствительным к воздействию активированного протеина С (АРС), являющегося физиологическим антикоагулянтом, инактивирующим V и VIII факторы свертывания крови. Это приводит к гиперактивации протромбиназного комплекса и развитию тромбофилии.
Мутация гена протромбина G20210A характеризуется заменой нуклеотида гуанина на нуклеотид аденин в позиции 20210. При наличии данной мутации обнаруживаются повышенные количества химически нормального протромбина. Уровень протромбина может быть в полтора-два раза выше, чем в норме.
Диагностика мутаций С677 Т в гене метилентетрагидрофолатредуктазы (МТГФР) человека, G1691 A в гене V фактора свертываемости крови человека (лейденовская мутация) и G20210 А в гене протромбина человека в настоящее время проводится с использованием разнообразных способов, позволяющих детектировать олигонуклеотидные полиморфные замены, в частности, способом прямого секвенирования (1), масс-спектрометрического секвенирования (2) или пиросеквенирования (3), гибридизации (4), анализа полиморфизма длин рестрикционных фрагментов (5), аллель-специфичной ПЦР (6) и др.
Что касается способов секвенирования, то они обладают высокой точностью, однако мало пригодны для массового использования в медицинской практике, т.к. предъявляют высокие требования к качеству тестируемых образцов ДНК и требуют исключительно дорогостоящего оборудования и реагентов.
То же относится и к наиболее перспективным с точки зрения производительности вариантам гибридизационных способов (7). Возможность их масштабирования представляется весьма проблематичной из-за необходимости использования сложного оборудования для иммобилизации ДНК (специальные струйные принтеры, устройства для фотолитографии и др.) и дорогостоящих оптических приборов для считывания результатов (флуоресцентный микроскоп, аппаратура для измерения кинетики плавления и др.) (8).
Одним из вариантов гибридизационного способа является измерение температуры плавления флуоресцентно-меченого гибридизационного зонда (9). В данном способе используются два обычных ПЦР-праймера для увеличения количества целевого фрагмента и два праймера, меченные флуорофорами, один из которых при близком расположении гасит флуоресценцию другого (резонансный перенос энергии флуоресценции). Один из меченых праймеров комплементарен одному из аллелей, а в случае присутствия другого аллеля образуется неспаренное основание, которое изменяет температуру плавления дуплекса. Температура плавления фиксируется по появлению флуоресценции.
К данному подходу близок способ измерения температуры плавления малых ампликонов (10). При размере ампликона около 50 п.н. изменение одного нуклеотида будет приводить к изменению температуры плавления ампликона на 0,4-1,4°С. Данный подход не требует использования флуоресцентно-меченых праймеров или зондов (используется интеркалирующий краситель SYBR-Green или LCGreen), однако необходимо наличие оборудования с высокой разрешающей способностью для детекции малых изменений температуры плавления.
Резонансный перенос энергии флуоресценции лежит в основе и TaqMan-систем определения однонуклеотидных замен (11). Однако в данном случае оба флуорофора находятся на одном зонде, комплементарном средней части амплифицируемого фрагмента. Когда Taq полимераза разрушает его в ходе ПЦР реакции за счет экзонуклеазной активности, сопряженной с синтезом ДНК, флуоресцентная группа переходит в раствор и отдаляется от тушителя. Используя два аллель-специфических зонда с различными флуоресцентными метками, можно надежно различать гомо- и гетерозиготы.
Вышеописанные способы, обладая рядом достоинств, также требуют специального оборудования (термоциклеры с возможностью детекции флуоресценции в режиме реального времени), а также флуоресцентно-меченых праймеров или зондов.
Аллель-специфичная ПЦР (АС-ПЦР), в основе которой лежит применение праймеров, специфически связывающихся либо с нормальным либо с мутантным вариантом гена, с последующей детекцией результата либо электрофоретически (12) либо методами хроматографии (13), либо детекцией флуоресценции, получили широкое распространение в генодиагностике данных мутаций. Однако, к сожалению, данный подход характеризуется высоким уровнем ложноположительных результатов вследствие неспецифической гибридизации праймера, которая часто проявляется при смене марки термоциклера. Улучшение специфичности прохождения реакции путем изменения структур праймеров и условий амлификации часто не дает желаемого результата.
Хорошо разработанные и широко применяемые способы рестрикционного анализа (РА) обладают такими достоинствами, как простота и экономичность (не используется дорогостоящее оборудование и реагенты), а также высокая точность определения однонуклеотидных замен. Однако данный способ требует постамлификационную обработку эндонуклеазой рестрикции и анализ длины полученных фрагментов, что увеличивает риск контаминации. Детекцию результатов проводят как электрофоретически (14), так и с использованием флуоресцентной детекции (15).
Еще одним способом, использующим ферментативную обработку, является способ инвазивного расщепления олигонуклеотидного зонда Flap-эндонуклеазой, узнающей заходящие друг на друга участки ДНК (16). Использование термостабильных Flap-эндонуклеаз позволяет проводить реакцию при температуре, близкой к температуре отжига олигонуклеотидов, что обеспечивает возможность многократной гибридизации-денатурации и соответственно амплификации сигнала (флуоресценции). Такой подход весьма чувствителен и позволяет различать гомо- и гетерозиготы без амплификации непосредственно на геномной ДНК.
Наиболее ближайшим к заявляемому способу прототипом является способ диагностики наследственной предрасположенности к тромбофилии путем выявления мутаций С677 Т в гене (МТГФР) человека, G1691 A в гене V фактора свертываемости крови человека (FV) и G20210 A в гене протромбина человека (FII), включающий амплификацию участков генов МТГФР, V фактора свертываемости крови (FV) и протромбина (FII) путем проведения полимеразной цепной реакции, с последующей обработкой амплификационных фрагментов эндонуклеазой рестрикции MnlI и определением размера полученных фрагментов с помощью электрофореза (14). Он совмещает в себе простоту способов, основанных на ПЦР-ПДРФ анализе, и высокую точность определения однонуклеотидных замен, однако использование дорогостоящей и нестабильной эндонуклеазы рестрикции MnlI («Сибэнзим», Новосибирск: 500 U – 1400 руб.) делает данный способ достаточно дорогостоящим и трудно реализуемым в России.
Технической задачей изобретения является упрощение, удешевление способа и повышение его надежности при сохранении высокой точности диагностики наследственной предрасположенности к тромбофилии.
Поставленная техническая задача достигается тем, что проводят ДНК-тестирование сразу трех полиморфных локусов (С677 Т в гене метилентетрагидрофолатредуктазы (МТГФР) человека, G1691 A в гене V фактора свертываемости крови человека (лейденовская мутация) и G20210 A в гене протромбина человека), связанных с наследственной предрасположенностью к тромбофилии с использованием специально подобранных праймеров и дешевой и стабильной эндонуклеазы рестрикции.
Предлагаемый способ заключается в том, что анализируемую геномную ДНК подвергают ПЦР-амплификации с использованием одновременно трех пар праймеров, каждая из которых ограничивает участок гена, включающий один из вариабельных нуклеотидов, последующую рестрикцию продуктов амплификации с помощью эндонуклеазы рестрикции TaqI, определение размера полученных фрагментов ДНК с помощью электрофореза и выявление полиморфных замен С677 Т в гене метилентетрагидрофолатредуктазы (МТГФР) человека, G1691 A в гене V фактора свертываемости крови человека (лейденовская мутация) и G20210 A в гене протромбина человека по полученным результатам определения. Длительность анализа занимает 5 ч рабочего времени.
Используемые олигонуклеотидные праймеры представлены в табл.1.
| Таблица 1 |
| Ген |
Прямой праймер |
Обратный праймер |
| МТГФР |
gttaccccaaaggccaccc |
ggaagaatgtgtcagcctcgaag |
| FV |
gtaagagcagatccctggacagtc |
gcagtgatggtactgataaaaatcg |
| FII |
ggttcccaataaaagtgactctcatc |
catctttaatgcctgtaaattcgac |
Предлагаемый способ применим для образцов ДНК человека, выделенных из разных источников (цельная кровь, буккальный эпителий, биоптаты) и разными способами (фенол-хлороформной экстракции, сорбции на силикагеле, термокоагуляции и конденсации ДНК). Своевременная диагностика мутаций С677 Т в гене метилентетрагидрофолатредуктазы (МТГФР) человека, G1691 A в гене V фактора свертываемости крови человека (лейденовская мутация) и G20210 A в гене протромбина человека позволяет прогнозировать развитие тромбофилических состояний и своевременно проводить противотромботическую терапию для предупреждения развития тромбозов.
Определяющими отличиями заявляемого способа по сравнению с прототипом являются:
1. В качестве праймеров используют олигонуклеотидные зонды, комплементарные участкам генов МТГФР, V фактора свертываемости крови и протромбина человека, которые подбирались таким образом, чтобы вводился сайт узнавания эндонуклеазы рестрикции, который нарушался бы при наличии соответствующей полиморфной замены. При этом в структуры праймеров были дополнительно введены сайты узнавания эндонуклеазы рестрикции, которые не затрагивают полиморфные замены и таким образом служат внутренним контролем полноты прохождения рестрикции для каждого из вышеперечисленных локусов.
2. В качестве фермента используют дешевую и стабильную эндонуклеазу рестрикции TaqI («Сибэнзим», Новосибирск: 2000 U – 180 руб.), что позволяет удешевить способ и упростить его за счет возможности работы данного фермента при 65°С под парафином. Это позволяет проводить реакции амплификации и рестрикции в одной пробирке. Также данный фермент не теряет своей активности при хранении при 0°С в течение 2 сут, что дает возможность транспортировать его во льду в любые регионы России без потери качества работы.
Изобретение иллюстрируется следующими конкретными примерами выполнения способа.
Пример 1
Геномную ДНК у пациента выделяли из периферической крови с использованием протеинкиназы К и экстракции фенол/хлороформом.
Праймеры были подобраны с помощью компьютерных программ «VectorNTI» и «GeneRunner» и синтезированы в ИХБФМ СОРАН г.Новосибирска (табл.1).
Смесь для проведения ПЦР-амплификации объемом 15 мкл состояла из 7,5 мкл «нижней смеси» и 7,5 мкл «верхней смеси», разделенных перегородкой из воска. Каждую из смесей готовили предварительно в количестве, необходимом для анализа всех проб, исходя при этом из приведенного ниже расчета компонентов на одну пробу.
Состав нижней смеси для одной пробы (объем 7,5 мкл):
– 1,5 мкл раствора, содержащего:
30 пкмоль FV прямого праймера (FV-Taq-U),
30 пкмоль FV обратного праймера (FV-Taq-R),
30 пкмоль FII прямого праймера (FII-Taq-U),
30 пкмоль FII обратного праймера (FII-Taq-R),
10 пкмоль МТГФР прямого праймера (МТГФР-Taq-U),
10 пкмоль МТГФР обратного праймера (МТГФР-Taq-R),
– 1,5 мкл 2 мМ раствора dNTP и
– 4,5 мкл H2O.
Состав верхней смеси для одной пробы (объем 4,5 мкл):
– 2,9 мкл H2O;
– 0,1 мкл раствора Taq-полимеразы с концентрацией 10 U/мкл (1U);
– 1,5 мкл 10х буфера следующего состава: 670 мМ трисHCl, рН 8,3; 160 мМ (NH4) 2SO4; 35 мМ MgCl2; 0,1% твин-20;
В пробирки, содержащие верхнюю и нижнюю смеси, разделенные восковой перегородкой, добавляли по 3 мкл анализируемой ДНК и пробирки помещали в термоциклер «Терцик» фирмы «ДНК-Технология».
Полимеразную цепную реакцию начинали в результате объединения верхней и нижней смеси после плавления восковой перегородки при нагревании пробы на стадии начальной денатурации (прием «горячего старта»).
Режим амплификации: начальная денатурация при 95°С – 3 мин 30 с; затем 38 циклов, каждый из которых состоял из денатурация 5 с при 95°С; отжига – 5 с при 64°С и элонгация – 12 с при 72°С.
Рестрикционный анализ проводили в объеме 20 мкл. Состав реакционной смеси:
– 2 мкл 10х буфера для рестрицирующей эндонуклеазы Y+/Tango (33 мМ трис-ацетат (рН 7.9 при 37°С), 10 мМ ацетат магния, 66 мМ ацетат калия)
– 3 мкл H2O
– 1 ед. активности рестрицирующей эндонуклеазы TaqI
– 15 мкл ПЦР продукта.
Условия реакции: 65°С в течение 2-12 ч.
Разделение продуктов рестрикции проводили методом электрофоретического разделения фрагментов ДНК в 7%-ном полиакриламидном геле (ПААГ) при напряжении 10-12 В/см. Детекцию продуктов рестрикции проводили в ультрафиолетовом свете после окрашивания этидий бромидом. Длины продуктов рестрикции представлены в табл.2.
Анализ табл.2 показывает, что при полном прохождении рестрикции амплификационные фрагменты исходной длины должны отсутствовать в рестрикционной смеси (на картине электрофореза). Это происходит за счет наличия неполиморфных сайтов узнавания эндонуклеазы рестрикции, введенных во все амплификационные продукты олигонуклеотидными праймерами. Таким образом, в предложенном способе имеется внутренний контроль полноты прохождения рестрикции для каждого из вышеперечисленных локусов.
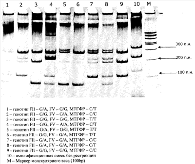
На чертеже отображен результат выявления у обследуемых лиц полиморфных замен С677 Т в гене метилентетрагидрофолатредуктазы (МТГФР) человека, G1691 A в гене V фактора свертываемости крови человека (лейденовская мутация) и G20210 A в гене протромбина человека. Из чертежа видно, что в результате амплификации нарабатывается сразу три ДНК-продукта, содержащие участки генов FII, FV и МТГФР, реакция рестрикции проходит полностью, различные образцы ДНК обследуемых лиц имеют разный генотип, который можно установить по длине фрагментов ДНК согласно табл.2.
Правильность определения полиморфных замен С677 Т в гене метилентетрагидрофолатредуктазы (МТГФР) человека, G1691 A в гене V фактора свертываемости крови человека (лейденовская мутация) и G20210 A в гене протромбина человека заявляемым способом была подтверждена независимо методом прямого секвенирования. Для этого были отобраны образцы ДНК, генотип которых был предварительно установлен методом прямого секвенирования. По результатам тестирования 22 образцов ДНК разработанным способом процент ошибочных определений составил 0%. Таким образом, результаты анализа, выполненные с помощью заявляемого способа и с помощью прямого секвенирования, полностью совпадают.
Пример 2
Проведено исследование популяционной частоты полиморфных локусов С677 Т в гене метилентетрагидрофолатредуктазы (МТГФР) человека, G1691 A в гене V фактора свертываемости крови человека (лейденовская мутация) и G20210 A в гене протромбина человека у здоровых доноров аналогично примеру 1. Частоты встречаемости генотипов для всех трех полиморфных замен приведены в табл.3. Установленное распределение генотипов соответствовало уравнению Харди-Вайнберга.
| Таблица 3. |
| Ген |
Полиморфный локус |
Количество исследованных образцов |
Частота встречаемости генотипов (n) |
 |
w/w |
w/m |
m/m |
| МТГФР |
С677Т |
338 |
157 |
151 |
30 |
| FV |
G1691 A |
199 |
189 |
10 |
0 |
| FII |
G20210A |
200 |
192 |
8 |
0 |
Из анализа табл.3 можно сделать вывод, что гетерозиготные носители аллеля Т полиморфного локуса С677 Т в гене МТГФР человека встречаются с частотой 0,446, аллеля А полиморфных локусов G1691 A в гене FV и G20210 A в гене FII человека с частотой 0,05 и 0,04 соответственно. Гомозиготное носительство аллеля Т полиморфного локуса С677 Т в гене МТГФР человека встречается в русской популяции с частотой 0,088, гомозигот по аллелю А полиморфных локусов G1691 A в гене FV и G20210 A в гене FII человека среди здоровых доноров не обнаружено.
Учитывая надежность и простоту определения полиморфных замен С677 Т в гене метилентетрагидрофолатредуктазы (МТГФР) человека, G1691 A в гене V фактора свертываемости крови человека (лейденовская мутация) и G20210 A в гене протромбина человека с помощью предложенного способа, данный ДНК-тест представляется весьма перспективным при установлении наследственной предрасположенности к тромбофилии, выражающейся в повышенной способности образования тромбов при наличии дополнительных факторов риска: беременности, приема гормональных контрацептивов, повышения уровня гомоцистеина, антифосфолипидных антител и т.д. Если после проведения предложенного способа ДНК-тестирования у человека обнаруживается одна или несколько мутаций, то данный человек имеет риск развития тромботических состояний, представленный соответственно таблицей 4.
Из табл.4 видно, что лицам с умеренным и высоким риском (категории 2, 3 и 4), процент которых в исследованных образцах составлял 14,6, рекомендуется проведение дополнительной антитромботической профилактики при состояниях, связанных с беременностью, оперативными вмешательствами, а также осторожность при назначении лекарственных препаратов, связанных с усилением свертываемой системы крови. Риск развития тромбоза у остальных лиц (категории 0 и 1) незначительно превышает средний по популяции, поэтому можно считать, что каких-либо специальных диагностических и терапевтических мер не требуется.
Описанный в настоящем изобретении способ полностью готов к непосредственному применению в медицинской практике. С помощью предлагаемого способа был проведен анализ генетической предрасположенности к развитию тромбофилии у 2753 человек. У 1103 человек обнаружено гетерозиготное носительство аллеля Т полиморфного локуса С677 Т в гене метилентетрагидрофолатредуктазы (МТГФР), а 256 человек являлись гомозиготами по данному аллелю. По полиморфной замене G1691 A в гене V фактора свертываемости крови человека (лейденовская мутация) было установлено 97 гетерозиготных носителей и 1 человек гомозиготный по данной мутации. По полиморфной замене G20210 A в гене протромбина 71 человек являлись гетерозиготными носителями (гомозигот не обнаружено).
Таким образом, предложен усовершенствованный способ генотипирования полиморфных локусов С677 Т в гене метилентетрагидрофолатредуктазы (МТГФР) человека, G1691 A в гене V фактора свертываемости крови человека (лейденовская мутация) и G20210 A в гене протромбина человека с помощью ПЦР-ПДРФ анализа, который отличается более низкой себестоимостью и высокой надежностью по сравнению с ближайшим аналогом.
  
Формула изобретения
Способ диагностики наследственной предрасположенности к тромбофилии, включающий выделение ДНК, амплификацию участков генов МТГФР человека, V фактора свертываемости крови (FV) и протромбина (FII) путем проведения полимеразной цепной реакции с использованием праймеров, обработку амплификационных фрагментов эндонуклеазой рестрикции и определение размера полученных фрагментов с помощью электрофореза, отличающийся тем, что в качестве фермента используют эндонуклеазу рестрикции TaqI, а анализируемую ДНК подвергают ПЦР-амплификации с использованием одновременно трех пар специально подобранных праймеров: – для гена МТГФР: Прямой GTTACCCCAAAGGCCACCC, Обратный GGAAGAATGTGTCAGCCTCGAAG – для гена FV: Прямой GTAAGAGCAGATCCCTGGACAGTC, Обратный GCAGTGATGGTACTGATAAAAATCG; – для гена FII: Прямой GGTTCCCAATAAAAGTGACTCTCATC, Обратный CATCTTTAATGCCTGTAAATTCGAC, и при выявлении полиморфных замен С677 Т в гене МТГФР, G1691 А в гене FV и G20210 А в гене FII диагностируют наследственную предрасположенность к тромбофилии.
РИСУНКИ
|