|
|
(21), (22) Заявка: 2007118835/14, 22.05.2007
(24) Дата начала отсчета срока действия патента:
22.05.2007
(43) Дата публикации заявки: 27.11.2008
(46) Опубликовано: 20.04.2009
(56) Список документов, цитированных в отчете о поиске:
КОРНЕВ В.П. Остеосинтез лонного сочленения скобами с термомеханической памятью. Дисс. к.м.н., Новокузнецк, 1996. RU 2160562 С1, 20.12.2000. RU 2295314 C1, 20.03.2007. RU 2219863 C1, 27.12.2003. АНКИН Л.Н. и др. Практическая травматология. Европейские стандарты диагностики и лечения. – М.: Книга Плюс, 2002, с.154-158. RAMAN R. et al. Implantretention and removal after internal fixation of the symphysis pubis. Injury. 2005 Jul; 36(7):827-31. Epub 2005 Feb 25 (Abstract).
Адрес для переписки:
127299, Москва, ул. Приорова, 10, ФГУ ЦНИИТО, патентный отдел
|
(72) Автор(ы):
Лазарев Анатолий Федорович (RU), Костенко Юрий Сергеевич (RU)
(73) Патентообладатель(и):
ФГУ Центральный научно-исследовательский институт травматологии и ортопедии имени Н.Н. Приорова Росздрава (RU)
|
(54) СПОСОБ ФИКСАЦИИ ПРИ РАЗРЫВАХ ЛОННОГО СОЧЛЕНЕНИЯ
(57) Реферат:
Способ относится к области медицины, а именно к травматологии и ортопедии, и предназначен для восстановления поврежденного лонного сочленения. Сущность способа заключается в фиксации с помощью скобы с металлопамятью формы. При этом фиксацию поврежденного лонного сочленения производят из мини-доступа путем установки скобы из никелида титана П-образной формы по верхнему краю лобковых костей. Бранши скобы погружают в заранее сформированные в области бугорков лонных костей отверстия, идущие косо вниз и кнутри под углом 20°. Использование данного изобретения позволяет снизить риск повреждения внутритазовых органов, сохранить амортизационную функцию в лобковом симфизе, обеспечить раннюю активизацию больных. 4 ил.
Способ относится к области медицины, а именно к травматологии и ортопедии, и направлен на восстановление поврежденного лонного сочленения.
Целью изобретения является малоинвазивная фиксация поврежденного лонного сочленения с сохранением амортизационной функции лобкового симфиза, уменьшение инвазивности оперативного вмешательства и снижение риска повреждения внутритазовых органов.
Известен способ фиксации лонного сочленения (Дятлов М.М. Неотложная и срочная помощь при тяжелых травмах таза. Гомель 2003. – С.293) наборами П-образных скоб.
Однако фиксация предложенными скобами является жесткой, препятствующей амортизирующему эффекту в лонном сочленении, что недопустимо с точки зрения биомеханики таза. Данные скобы не изготавливаются отечественной промышленностью и используются только автором, предложившим их.
Известен способ фиксации лонного сочленения (Корнев В.П. Остеосинтез лонного сочленения скобами с термомеханической памятью: Дис. к.м.н. – Новокузнецк, 1996. – С.116) скобами различной конфигурации: S-образной с выгнутой спинкой и плоской с двумя парами ножек. Способ фиксации лонного сочленения с использованием скобы с выгнутой спинкой принят нами за прототип.
Однако этот способ предполагает установку скоб по передней поверхности лобковых костей, что в свою очередь требует широкого оперативного доступа с разделением мягких тканей и соответственно дополнительной травматизацией и большей кровопотерей. Кроме того, необходимо отметить, что при формировании каналов для внедрения браншей скобы в лобковых костях по передней поверхности возможен риск повреждения мочевого пузыря.
Предложенный способ исключает его недостатки, что позволяет произвести малоинвазивную фиксацию с минимальным риском повреждения внутритазовых органов, с обеспечением амортизации в области лонного сочленения, то есть металлодез скобой из NiTi (никелида титана).
Для достижения медико-технического результата мы производим установку скобы из никелида титана по верхнему краю лобковых костей.
Заявленный способ иллюстрируется чертежами.
Фиг.1. Скоба с металлопамятью формы, а – вид спереди; б – вид сверху; в – вид сбоку.
Фиг.2. Рентгенограмма таза больного до операции.
Фиг.3. Рентгенограмма таза после операции.
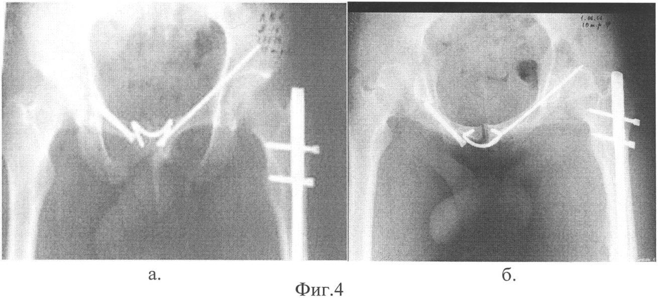
Фиг.4. Рентгенограмма таза через один год после операции (а – прямая проекция, б – каудальная проекция).
Способ выполняют следующим образом: под комбинированным наркозом в надлобковой области производят разрез до 5 см, затем тупым и острым путем обнажают место разрыва лонного сочленения по верхнему краю лобковых костей. Затем при помощи распатора зачищают суставные поверхности лобкового симфиза до кровавой росы. После чего при помощи сверла формируют отверстия в области бугорков лонных костей, идущие косо вниз и кнутри под углом до 20°. Охлаждают скобу с металлопамятью формы в холодном физиологическом растворе, затем при помощи репонирующего устройства сводят лонные кости до полного контакта и внедряют бранши скобы в заранее приготовленные отверстия. При температуре тела скоба принимает первоначальную форму (фиг.1), тем самым удерживая лонное сочленение. Накладывают послойные швы. Производят активизацию больного на 1-е сутки после оперативного лечения.
Пример практического применения.
Больной В., 25 лет, история болезни 3710, госпитализирован на 1-е сутки после получения травмы с диагнозом: Сочетанная травма. Сотрясение головного мозга. Перелом лонной и седалищной костей таза слева. Перелом седалищной кости таза справа. Разрыв лонного сочленения. Перелом дна и задней стенки левой вертлужной впадины. Поперечный перелом средней трети левой бедренной кости. Внутрисуставной оскольчатый перелом медиального мыщелка левой большеберцовой кости. Продольный оскольчатый перелом левой лучевой кости (фиг.2). На четвертые сутки больному произведена операция: металлодез лонного сочленения в надлобковой области. Произведен разрез до 5 см, выделено место разрыва, затем при помощи сверла сформировались отверстия в области бугорков лонных костей, идущие косо вниз и кнутри под углом до 20°. После охлаждения скобы с металлопамятью формы и сведения лонных костей до полного контакта внедряют бранши скобы в заранее приготовленные отверстия. При температуре тела скоба возвращается в изначальную форму, тем самым удерживая лонное сочленение (фиг.3). Остеосинтез передней колонны вертлужной впадины слева спицей с нарезкой, остеосинтез лонной кости блокируемым винтом, интрамедуллярный остеосинтез левой бедренной кости. Послеоперационный период протекал без особенностей. Больной активизирован на 1-е сутки в пределах кровати, а на 2-е сутки поставлен на костыли. Функция восстановлена полностью. Больной осмотрен через один год после оперативного вмешательства (фиг.4). Жалоб нет, укорочений нижних конечностей нет, ходит без средств дополнительной опоры, полный безболезненный объем движений в тазобедренных суставах, нарушений со стороны сексуальной функции не отмечено. На рентгенограммах – взаимоотношения суставных поверхностей в лонном сочленении хорошие, отмечается консолидация переломов.
Предложенный способ нашел свое применение у 4-х пациентов с хорошими результатами. Способ прост в исполнении, надежен, доступен для выполнения в рядовых травматологических отделениях.
Формула изобретения
Способ фиксации при разрывах лонного сочленения с помощью скобы с металлопамятью формы, отличающийся тем, что фиксацию поврежденного лонного сочленения производят из минидоступа, путем установки скобы из никелида титана П-образной формы по верхнему краю лобковых костей, бранши скобы погружают в заранее сформированные в области бугорков лонных костей отверстия, идущие косо вниз и кнутри под углом 20°.
РИСУНКИ
|
|