Патент на изобретение №2350295

Published by on




РОССИЙСКАЯ ФЕДЕРАЦИЯ



ФЕДЕРАЛЬНАЯ СЛУЖБА
ПО ИНТЕЛЛЕКТУАЛЬНОЙ СОБСТВЕННОСТИ,
ПАТЕНТАМ И ТОВАРНЫМ ЗНАКАМ
(19) RU (11) 2350295 (13) C1
(51) МПК

A61B17/58 (2006.01)

(12) ОПИСАНИЕ ИЗОБРЕТЕНИЯ К ПАТЕНТУ

Статус: по данным на 08.09.2010 – действует

(21), (22) Заявка: 2007133789/14, 10.09.2007

(24) Дата начала отсчета срока действия патента:

10.09.2007

(46) Опубликовано: 27.03.2009

(56) Список документов, цитированных в отчете о
поиске:
МЮЛЛЕР М.Е. и др. Руководство по внутреннему остеосинтезу. – Берлин, 1996, с.334-339. RU 50804 U1, 27.01.2006. RU 2290112 С2, 27.12.2006. HOUSHIAN S. Forearm fractures in children. Single bone fixation with elastic stable intramedullary nailing in 20 cases. – Injury. 2005 Dec; 36(12):1421-6. Epub 2005 Oct 27 (Abstract).

Адрес для переписки:

620014, г.Екатеринбург, пер. Банковский, 7, ФГУ “УНИИТО им. В.Д. Чаклина Росмедтехнологий”, отдел научно-медицинской информации

(72) Автор(ы):

Челноков Александр Николаевич (RU),
Бекреев Дмитрий Александрович (RU),
Шарафиев Руслан Рафикович (RU)

(73) Патентообладатель(и):

Федеральное государственное учреждение “Уральский научно-исследовательский институт травматологии и ортопедии имени В.Д. Чаклина Федерального агентства по высокотехнологичной медицинской помощи” (RU)

(54) СПОСОБ ЗАКРЫТОГО ИНТРАМЕДУЛЛЯРНОГО ОСТЕОСИНТЕЗА БОЛЬШЕБЕРЦОВОЙ КОСТИ

(57) Реферат:

Изобретение относится к медицине, а именно к травматологии и ортопедии, и может быть использовано для лечения переломов большеберцовой кости. Для репозиции отломков используют спицевой дистрактор, состоящий из полукольца и кольца или полукольца, соединенных тремя телескопическими стержнями, и шарнирно закрепленной на полукольце подставки из двух телескопических стержней, соединенных на другом конце планкой. При этом полукольцо располагают на уровне проксимального метафиза большеберцовой кости спереди, а кольцо или полукольцо – на уровне дистального метафиза. Спицы проводят по одной во фронтальной плоскости в проксимальный и дистальный метафизы большеберцовой кости, при этом проксимальную спицу располагают в задней полуокружности кости. Спицы закрепляют в дистракторе и проводят по телескопическим стержням дистракцию. После восстановления длины сегмента коленный сустав сгибают до острого угла и фиксируют конечность в этом положении с помощью подставки, после чего вводят интрамедуллярный гвоздь. При переломах проксимального отдела большеберцовой кости для исключения смещения под углом, открытым кзади при сгибании коленного сустава, дополнительно проводят спицу во фронтальной плоскости за гребень большеберцовой кости кпереди от костномозгового канала максимально близко к нижнему концу проксимального отломка, натягивают и закрепляют на полукольце до сгибания в коленном суставе. Проводят три отклоняющие спицы до выхода из второй стенки костной трубки: фронтальную кнутри кнаружи, две сагиттальные спереди назад и вводят интрамедуллярный гвоздь кпереди от фронтальной спицы, кнаружи от проксимальной и кнутри от дистальной сагиттальных спиц. При дистальных переломах для одновременного восстановления длины обеих костей до дистракции наружную лодыжку фиксируют дополнительной несквозной спицей к смежной кости, а при переломах на уровне щели голеностопного сустава наружную лодыжку фиксируют к таранной кости. Для исправления вальгусного или варусного смещения положения отломков в дистальный отломок проводят две отклоняющие несквозные спицы в передне-заднем направлении. Для устранения вальгусного смещения гвоздь проводят кнаружи от проксимальной и кнутри от дистальной спицы. Для устранения варусного смещения – кнутри от проксимальной и кнаружи от дистальной спиц. Для устранения антекурвации или рекурвации в дистальный отломок проводят две отклоняющие несквозные спицы во фронтальной плоскости изнутри кнаружи, а гвоздь проводят при антекурвации кпереди от проксимальной и кзади от дистальной спиц, а при рекурвации – кзади от проксимальной и кпереди от дистальной.4 з.п. ф-лы, 9 ил.

Изобретение относится к медицине и может быть использовано в травматологии для лечения переломов большеберцовой кости, например, при околосуставных и застарелых переломах большеберцовой кости с выраженной ретракцией мышц.

Известен способ закрытого интрамедуллярного остеосинтеза большеберцовой кости, включающий тягу за спицу в пяточной кости с противоупором в подколенную ямку для восстановления длины и оси сегмента, с последующим вскрытием костномозгового канала, рассверливанием, введением стержня и последующим запиранием (Руководство по внутреннему остеосинтезу, Мюллер М.Е., Алльговер М. и др., Ad Marginem, 1996).

Способ имеет недостатки: при выраженной ретракции мышц необходимо большое усилие для растяжения, что может привести к повреждению магистральных сосудов из-за чрезмерного сдавливания подколенной области, а также к перерастяжению подтаранного и голеностопного суставов; неполное устранение смещения по длине малоберцовой кости, что приводит к нарушению формы голеностопного сустава, и может потребоваться предварительная открытая репозиция малоберцовой кости с фиксацией ее пластиной; угол сгибания в коленном суставе трудно изменить в ходе операции; невозможно свободно изменять положение конечности в ходе операции; не обеспечивается управление положением короткого отломка при околосуставных переломах.

Известен способ интрамедуллярного остеосинтеза с применением для репозиции монолатерального стержневого дистрактора, с введением после растяжения интрамедуллярного гвоздя в проксимальный и дистальный метафизы большеберцовой кости (Руководство по внутреннему остеосинтезу, Мюллер М.Е., Алльговер М. и др., Ad Marginem, 1996, с.334, 338-339). Дистрактор накладывают при помощи винтов Шанца во фронтальной плоскости как можно ближе к проксимальному и дистальному концам большеберцовой кости. При этом возможно свободно менять положение конечности, нет сдавливания подколенной области и перерастяжения смежных суставов. Интрамедуллярный гвоздь вводят по классической методике.

Однако имеются следующие недостатки:

– при значительной ретракции тканей не удается восстановить длину голени – монолатеральные стержни могут не выдержать необходимых усилий при растяжении сегмента;

– может потребоваться предварительная открытая репозиция малоберцовой кости с фиксацией ее пластиной;

– при коротких фрагментах не обеспечивается управление их положением в необходимой мере, так как короткий фрагмент может вращаться вокруг стержня с появлением угловой деформации в сагиттальной плоскости, и конечность в ходе манипуляций требуется удерживать;

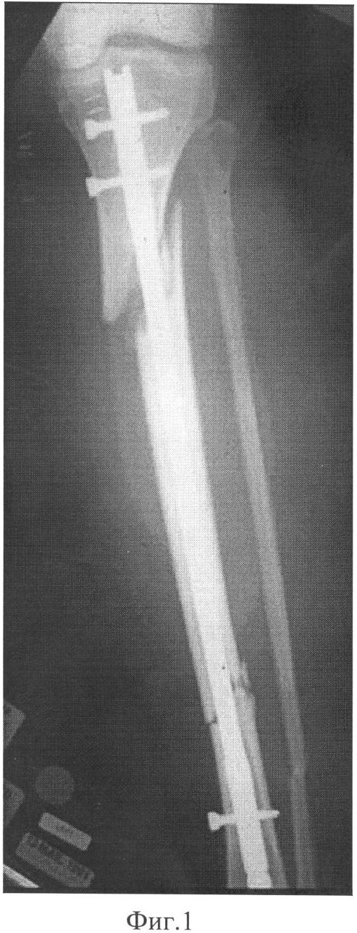
– при переломах проксимального отдела большеберцовой кости часто возникают проблемы вальгусной и антекурвационной деформации отломков (на Фиг.1 – типичная вальгусная деформация, на Фиг.2 – типичная антекурвационная деформация и смещение отломка кзади), что может потребовать операции при полуразогнутом положении колена для уменьшения тяги четырехглавой мышцы бедра, при этом требуется расширенный до 7-8 см доступ с артротомией, чтобы обеспечить прохождение стержня рядом с надколенником по межмыщелковой борозде бедренной кости при тенденции к прохождению интрамедуллярного гвоздя по направлению к задней стенке короткого проксимального фрагмента, а не по его продольной оси, необходимо использовать введение отклоняющего (Poller) винта, чтобы, отклонившись от него, гвоздь не был направлен к задней стенке фрагмента, что увеличивает время операции;

– небольшая неточность проведения винта может вызвать заклинивание гвоздя между винтом и стенкой костной трубки, вызвать раскалывание кости;

– при дистальных переломах есть опасность вальгусной деформации, а также деформации в сагиттальной плоскости под углом, открытым кпереди или кзади;

– часто невозможно полностью устранить смещение по длине малоберцовой кости, что приводит в последующем к нарушению формы вилки голеностопного сустава.

Техническая задача – расширение возможностей применения интрамедуллярного остеосинтеза при околосуставных и застарелых переломах большеберцовой кости с полным восстановлением анатомической формы кости и упрощение введения интрамедуллярного гвоздя.

В способе интрамедуллярного остеосинтеза большеберцовой кости, включающем наложение дистрактора, репозицию отломков под рентгеновским контролем и введение интрамедуллярного гвоздя, согласно техническому решению для репозиции отломков используют спицевой дистрактор, состоящий из полукольца и кольца (полукольца), соединенных тремя телескопическими стержнями, и шарнирно закрепленной на проксимальном полукольце подставки из двух телескопических стержней, соединенных на другом конце планкой, при этом полукольцо располагают на уровне проксимального метафиза большеберцовой кости спереди, а кольцо (полукольцо) – на уровне дистального метафиза, спицы проводят по одной во фронтальной плоскости в проксимальный и дистальный метафизы большеберцовой кости, при этом проксимальную спицу располагают в задней полуокружности кости, спицы закрепляют в дистракторе и проводят по телескопическим стержням дистракцию, после восстановления длины сегмента коленный сустав сгибают до острого угла и фиксируют конечность в этом положении с помощью подставки, после чего вводят интрамедуллярный гвоздь.

При переломах проксимального отдела большеберцовой кости для исключения смещения под углом, открытым кзади при последующем сгибании коленного сустава, дополнительно проводят спицу во фронтальной плоскости за гребень большеберцовой кости кпереди от костномозгового канала максимально близко к нижнему концу проксимального отломка, натягивают и закрепляют на полукольце до сгибания в коленном суставе, затем проводят три отклоняющие спицы до выхода из второй стенки костной трубки: фронтальную кнутри кнаружи, две сагиттальные спереди назад и вводят интрамедуллярный гвоздь кпереди от фронтальной спицы, кнаружи от проксимальной и кнутри от дистальной сагиттальных спиц. При дистальных переломах для одновременного восстановления длины обеих костей наружную лодыжку фиксируют дополнительной несквозной спицей к смежной кости до дистракции. При переломах на уровне щели голеностопного сустава наружную лодыжку фиксируют к таранной кости. Для исправления вальгусного или варусного смещения положения отломков в дистальный отломок проводят две отклоняющие несквозные спицы в передне-заднем направлении, для устранения вальгусного смещения гвоздь проводят кнаружи от проксимальной и кнутри от дистальной спицы, для устранения варусного смещения – кнутри от проксимальной и кнаружи от дистальной. Для устранения анте- или рекурвации в дистальный отломок проводят две отклоняющие несквозные спицы во фронтальной плоскости изнутри кнаружи, гвоздь проводят при антекурвации кпереди от проксимальной и кзади от дистальной спицы, а при рекурвации – кзади от проксимальной и кпереди от дистальной.

Применение дистрактора на основе спиц позволяет приложить более значительные усилия при дистракции, управлять положением коротких фрагментов без применения открытой репозиции. Кроме того, при застарелых переломах дистракцию можно осуществлять постепенно в течение нескольких дней. Применение подставки из телескопических стержней, закрепленных на полукольце, позволяет, регулируя ее высоту, при необходимости увеличивать или уменьшать сгибание коленного сустава. Введение спиц во фронтальной плоскости в проксимальный и дистальный метафизы большеберцовой кости позволяет проводить равномерную дистракцию.

Введение при переломах проксимального отдела большеберцовой кости дополнительной спицы во фронтальной плоскости за гребень большеберцовой кости кпереди от костномозгового канала максимально близко к нижнему концу проксимального отломка позволяет при остеосинтезе избежать смещения отломков под углом, открытым кзади, обусловленного тягой сухожилия четырехглавой мышцы бедра. При этом уменьшается травматичность введения гвоздя, поскольку не требуется расширенный доступ, уменьшается риск нежелательных вторичных смещений при введении гвоздя. Введение трех отклоняющих спиц упрощает и обеспечивает восстановление анатомической формы проксимального отдела большеберцовой кости, устраняет типичные угловые смещения, обеспечивает точность позиционирования интрамедуллярного гвоздя без риска его заклинивания, предотвращает перфорацию задней стенки костной трубки.

Фиксация при дистальных переломах наружной лодыжки дополнительной спицей к смежной кости или при переломах на уровне щели голеностопного сустава к таранной кости позволяет одновременно осуществлять равномерное растяжение обеих костей, позволяя избежать относительного укорочения малоберцовой кости, тем самым сохраняя форму вилки голеностопного сустава. Введение в дистальный отломок двух отклоняющих несквозных спиц в передне-заднем направлении позволяет проводить интрамедуллярный гвоздь вдоль латеральной стенки костной трубки, что предотвращает отклонение отломков в сторону вальгуса или варуса, и также предупреждает заклинивание гвоздя и раскалывание кости. Введение в дистальный отломок двух отклоняющих несквозных спиц во фронтальной плоскости изнутри кнаружи исключает анте- или рекурвации отломков при проведении интрамедуллярного гвоздя.

Таким образом, предлагаемый способ интрамедуллярного остеосинтеза большеберцовой кости позволяет полностью восстановить ось и длину кости при различных типах перелома, избегая нежелательных смещений отломков в ходе операции, исключить риск заклинивания интрамедуллярного гвоздя и раскалывания кости.

Способ осуществляют следующим образом.

Остеосинтез проводят на плоском рентгенопрозрачном столе. Для устранения грубых смещений отломков используют спицевой дистрактор (Фиг.3). Дистрактор состоит из стандартных деталей набора для остеосинтеза по Илизарову: полукольцо 1 – проксимальная опора и кольцо или можно использовать полукольцо 2 – дистальная опора, соединенные тремя телескопическими стержнями 3. К крайним отверстиям полукольца 1 крепятся кронштейны с резьбовыми хвостовиками. К хвостовикам кронштейнов шарнирно крепится подставка, состоящая из телескопических стержней 4 и пластины 5 с отверстиями, соединяющая другие концы стержней 4. Дистрактор накладывают на большеберцовую кость: полукольцо 1 – на уровне проксимального метафиза, кольцо или полукольцо 2 – на уровне дистального метафиза.

При диафизарном переломе проводят по одной спице 6 во фронтальной плоскости в проксимальный и дистальный метафизы большеберцовой кости так, чтобы проксимальная спица располагалась в задней полуокружности кости. Спицы закрепляют в дистракторе (на полукольцах 1, 2) и натягивают. По телескопичеким стержням 3 проводят дистракцию до восстановления длины сегмента. При необходимости в застарелых случаях дистракцию можно выполнять в течение нескольких дней. После достижения правильной длины или небольшого перерастяжения (0,5-1 см) коленный сустав сгибают до острого угла, в этом положении конечность удерживается за счет подставки из телескопических стержней 4 и пластины 5. При необходимости увеличить угол сгибания в коленном суставе удлиняют телескопические стержни 4 подставки, при необходимости уменьшить сгибание – укорачивают. На уровне нижнего полюса надколенника по медиальной стороне выполняют разрез 1,5-2 см. Костным шилом формируют канал для интрамедуллярного стержня (диаметр которого выбирают индивидуально). Оптимальная точка входа располагается на горизонтальной части эпиметафиза – переднем межмыщелковом поле, т.е. точка должна располагаться внесиновиально на переднем крае большеберцовой кости. После формирования канала в него вводят интрамедуллярный гвоздь. На Фиг.4 представлена схема введения интрамедуллярного гвоздя.

При переломах проксимального отдела большеберцовой кости дополнительно проводят спицу 7 во фронтальной плоскости за гребень большеберцовой кости кпереди от костномозгового канала максимально близко к нижнему концу проксимального отломка, спицу натягивают и закрепляют на консольных приставках на полукольце 1. При последующем сгибании коленного сустава для введения стержня эта спица препятствует появлению смещения под углом, открытым кзади, которое обусловлено тягой сухожилия четырехглавой мышцы бедра.

Для предотвращения типичного при введении гвоздя отклонения его кнаружи под рентгенологическим контролем проводят две отклоняющие спицы 8 спереди назад по середине поперечника большеберцовой кости. Первая проводится ближе к суставной поверхности, вторая – ближе к дистальному концу центрального отломка. Для предотвращения смещения под углом, открытым кзади, и смещения периферического отломка кзади по ширине проводится отклоняющая спица 9 во фронтальной плоскости по середине поперечника. Спицы проводятся до выхода из второй стенки костной трубки без выкола через мышцы и кожу на противоположной стороне. При введении интрамедуллярного гвоздя его направляют так, чтобы он прошел кнаружи от проксимальной и кнутри от дистальной передне-задних спиц и кпереди от фронтальной спицы, тем самым устраняется тенденция к вальгусу и антекурвации.

При дистальных переломах для одновременного восстановления длины обеих костей наружную лодыжку фиксируют дополнительной несквозной спицей 10 к смежной кости (по возможности к большеберцовой), при переломах на уровне щели голеностопного сустава – к таранной кости (Фиг.5), что при дистракции обеспечивает равномерное растяжение обеих костей. Для исправления вальгусного или варусного смещения положения отломков в дистальный отломок проводят две отклоняющие несквозные спицы в передне-заднем направлении, для устранения вальгусного смещения интрамедуллярный гвоздь проводят кнаружи от проксимальной и кнутри от дистальной спицы, для устранения варусного смещения – кнутри от проксимальной и кнаружи от дистальной. Для устранения анте- или рекурвации в дистальный отломок проводят две несквозные отклоняющие спицы во фронтальной плоскости изнутри кнаружи. Интрамедуллярный гвоздь проводят при антекурвации кпереди от проксимальной и кзади от дистальной спицы, а при рекурвации – кзади от проксимальной и кпереди от дистальной.

Клинические примеры

1. Проксимальный перелом большеберцовой кости.

На Фиг.6 показан наложенный дистрактор с введенными отклоняющими спицами, согласно схеме на Фиг.4. На Фиг.7 – рентгенологическая картина с введенными отклоняющими спицами: а – вид спереди; б – вид сбоку.

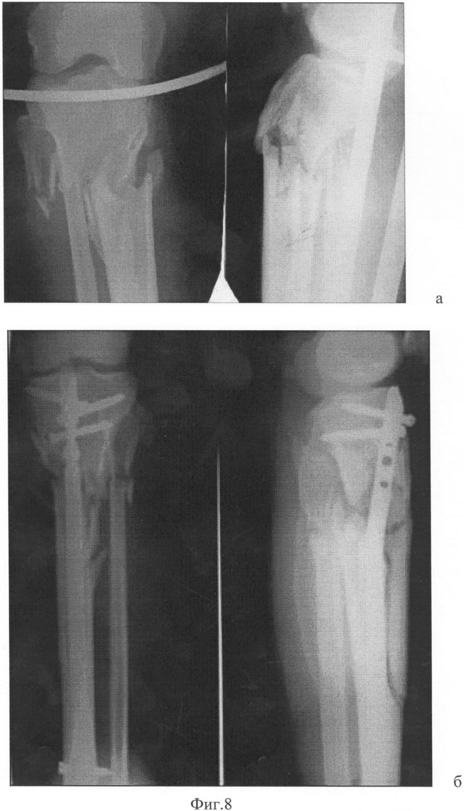
2. Высокий проксимальный перелом большеберцовой кости.

На Фиг.8 – рентгенологическая картина с введенными отклоняющими спицами: а – вид спереди; б – вид сбоку.

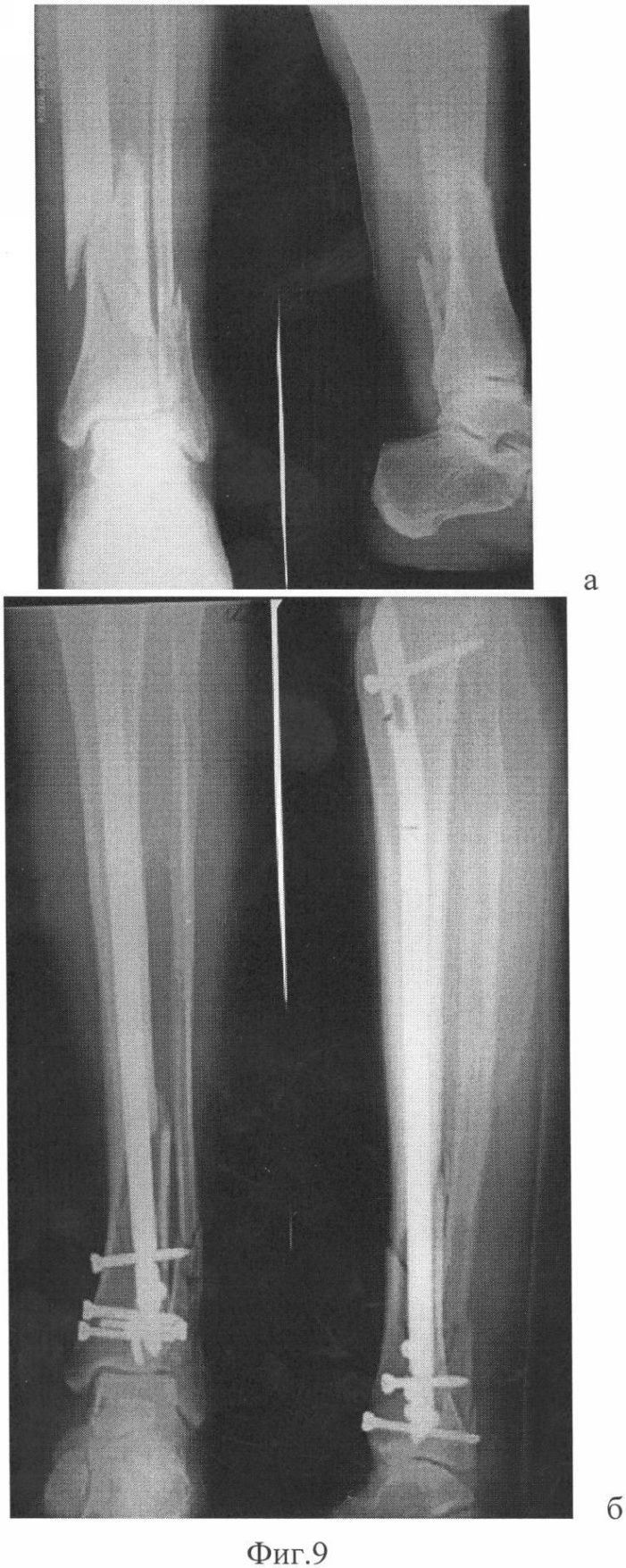
3. Дистальный перелом большеберцовой кости.

На Фиг.9 представлены рентгенограммы: а – до лечения; б – итог операции.

Таким образом, предлагаемый способ расширяет возможности применения интрамедуллярного остеосинтеза при околосуставных и застарелых переломах большеберцовой кости с полным восстановлением анатомической формы кости. Упрощается введение интрамедуллярного гвоздя.

Формула изобретения

1. Способ интрамедуллярного остеосинтеза большеберцовой кости, включающий наложение дистрактора, репозицию отломков под рентгеновским контролем и введение интрамедуллярного гвоздя, отличающийся тем, что для репозиции отломков используют спицевой дистрактор, состоящий из полукольца и кольца или полукольца, соединенных тремя телескопическими стержнями, и шарнирно закрепленной на полукольце подставки из двух телескопических стержней, соединенных на другом конце планкой, при этом полукольцо располагают на уровне проксимального метафиза большеберцовой кости спереди, а кольцо или полукольцо – на уровне дистального метафиза, спицы проводят по одной во фронтальной плоскости в проксимальный и дистальный метафизы большеберцовой кости, при этом проксимальную спицу располагают в задней полуокружности кости, спицы закрепляют в дистракторе и проводят по телескопическим стержням дистракцию, после восстановления длины сегмента коленный сустав сгибают до острого угла и фиксируют конечность в этом положении с помощью подставки, после чего вводят интрамедуллярный гвоздь.

2. Способ по п.1, отличающийся тем, что при переломах проксимального отдела большеберцовой кости для исключения смещения под углом, открытым кзади при сгибании коленного сустава, дополнительно проводят спицу во фронтальной плоскости за гребень большеберцовой кости кпереди от костномозгового канала максимально близко к нижнему концу проксимального отломка, натягивают и закрепляют на полукольце до сгибания в коленном суставе, затем проводят три отклоняющие спицы до выхода из второй стенки костной трубки: фронтальную кнутри кнаружи, две сагиттальные спереди назад и вводят интрамедуллярный гвоздь кпереди от фронтальной спицы, кнаружи от проксимальной и кнутри от дистальной сагиттальных спиц.

3. Способ по п.1, отличающийся тем, что при дистальных переломах для одновременного восстановления длины обеих костей до дистракции наружную лодыжку фиксируют дополнительной несквозной спицей к смежной кости, а при переломах на уровне щели голеностопного сустава наружную лодыжку фиксируют к таранной кости.

4. Способ по п.1, отличающийся тем, что для исправления вальгусного или варусного смещения положения отломков в дистальный отломок проводят две отклоняющие несквозные спицы в передне-заднем направлении, для устранения вальгусного смещения гвоздь проводят кнаружи от проксимальной и кнутри от дистальной спицы, для устранения варусного смещения – кнутри от проксимальной и кнаружи от дистальной спиц.

5. Способ по п.1, отличающийся тем, что для устранения антекурвации или рекурвации в дистальный отломок проводят две отклоняющие несквозные спицы во фронтальной плоскости изнутри кнаружи, а гвоздь проводят при антекурвации кпереди от проксимальной и кзади от дистальной спиц, а при рекурвации – кзади от проксимальной и кпереди от дистальной.

РИСУНКИ

Categories: BD_2350000-2350999