Патент на изобретение №2350269

Published by on




РОССИЙСКАЯ ФЕДЕРАЦИЯ



ФЕДЕРАЛЬНАЯ СЛУЖБА
ПО ИНТЕЛЛЕКТУАЛЬНОЙ СОБСТВЕННОСТИ,
ПАТЕНТАМ И ТОВАРНЫМ ЗНАКАМ
(19) RU (11) 2350269 (13) C1
(51) МПК

A61B6/02 (2006.01)

(12) ОПИСАНИЕ ИЗОБРЕТЕНИЯ К ПАТЕНТУ

Статус: по данным на 08.09.2010 – действует

(21), (22) Заявка: 2007147312/14, 18.12.2007

(24) Дата начала отсчета срока действия патента:

18.12.2007

(46) Опубликовано: 27.03.2009

(56) Список документов, цитированных в отчете о
поиске:
RU 2197179 CI, 27.01.2003. SU 644463 Al, 30.01.1979. US 6901132,31.05.2005. КОСТЮЧЕНКО M.В. Значение стереорентгенограмметрии в диагностике пневмосклероза при хронических неспецифических заболеваниях легких у детей, автореф.дис. – М., 1996, с.1-7. WANG Х.Н. et al., Stereo СТ image compositing methods for lung nodule detection and characterization. Acad Radiol., 2005, №12, p.1512-1520.

Адрес для переписки:

197022, Санкт-Петербург, фил.1, ул. Л. Толстого, 6/8, СПбГМУ им. акад. И.П. Павлова, патентный отдел

(72) Автор(ы):

Амосов Виктор Иванович (RU),
Золотницкая Валентина Петровна (RU),
Лукина Ольга Васильевна (RU),
Лопаненков Вячеслав Михайлович (RU),
Бобров Евгений Игоревич (RU)

(73) Патентообладатель(и):

Государственное образовательное учреждение высшего профессионального образования “Санкт-Петербургский государственный медицинский университет имени академика И.П. Павлова Федерального агентства по здравоохранению и социальному развитию” (RU)

(54) СПОСОБ СОВМЕЩЕНИЯ ИЗОБРАЖЕНИЙ СРЕЗОВ МУЛЬТИСПИРАЛЬНОЙ КОМПЬЮТЕРНОЙ ТОМОГРАФИИ И ОДНОФОТОННОЙ ЭМИССИОННОЙ КОМПЬЮТЕРНОЙ ТОМОГРАФИИ ЛЕГКИХ

(57) Реферат:

Изобретение относится к медицине, а именно к рентгенорадиологии. Перед проведением однофотонной эмиссионной компьютерной томографии на область средней трети ключицы устанавливают радиоактивную метку. Выполняют мультиспиральную компьютерную томографию. Затем совмещают в корональной и сагиттальной проекциях радиоактивную метку и срез средней трети ключицы, полученный на компьютерном томографе. Из полученных сцинциграмм и томограмм строят трехмерное изображение легких. Способ обеспечивает получение совмещенных изображений срезов МСКТ и ОФЭКТ на стандартном оборудовании, повышает точность диагностики заболеваний легких. 1 з.п. ф-лы, 4 ил.

Изобретение относится к медицине, а именно к рентгенорадиологии, и может быть использовано для получения совмещенных изображений срезов мультиспиральной компьютерной томографии (МСКТ) и однофотонной эмиссионной компьютерной томографии (ОФЭКТ), применяемых в диагностике заболеваний легких.

nd Scientific assembly and annual meeting of Radiological Society of North America. – 2006. – P.889). Однако при этом невозможно оценить микроциркуляторную функцию легких.

nd Scientific assembly and annual meeting of Radiological Society of North America. – 2006. – P.171). При этом пациенту кроме внутривенного введения Тс-99м микросфер как источника радионуклидного излучения дополнительно внутривенно вводят рентгенологическое йодсодержащее контрастное вещество для улучшения визуализации сосудистых структур. Способ реализуется на аппаратах Symbia TruePoint SPECT-CT (Siemens), Philips Precedence SPECT-CT.

К недостаткам указанного способа следует отнести следующие:

– сложность и малая доступность аппарата, реализующего данный способ, что делает его недоступным для большинства лечебно-диагностических учреждений России, в том числе из-за большой его стоимости;

– большое количество технического, среднего и врачебного обслуживающего персонала;

– трудности, связанные с одномоментным введением радионулидного и рентгеноконтрастного вещества внутривенно. Кроме того, болюсное введение контрастного вещества может вызывать как нефротоксическое воздействие, так и способствовать развитию в легочной ткани альвеолярных и интерстициальных изменений за счет своего токсического и иммунного эффектов, в особенности у пациентов с диссеминированными заболеваниями легких.

Технический результат, достигаемый изобретением, заключается в получении совмещенных изображений срезов МСКТ и ОФЭКТ на стандартном оборудовании, имеющемся в наличии в лечебном учреждении без использования дополнительного дорогостоящего оборудования.

Сущность изобретения заключается в достижении указанного технического результата в способе совмещения изображений срезов мультиспиральной компьютерной томографии и однофотонной эмиссионной компьютерной томографии легких, согласно которому перед проведением однофотонной эмиссионной компьютерной томографии на область средней трети ключицы устанавливают радиоактивную метку, выполняют мультиспиральную компьютерную томографию и затем совмещают в корональной и сагиттальной проекциях радиоактивную метку и срез средней трети ключицы, полученный на компьютерном томографе.

Для совмещения целесообразно полученные матрицы срезов привести к одинаковой размерности и из полученных сцинциграмм и томограмм построить и совместить трехмерное изображение легких.

Для синхронизации изображения ОФЭКТ и МСКТ авторами предложено на область средней трети ключицы устанавливать радиоактивную метку. Эта область оптимально позволяет рассчитать количество томографических срезов с установленной толщиной (0,5 см) и соответствует топической локализации верхушек легких.

Для того чтобы наиболее точно совместить полученные матрицы срезов при проведении двух разных методов (рентгенологического – МСКТ и радиологического – ОФЭКТ) их необходимо привести к одинаковой размерности.

Двухмерные матрицы срезов, получаемые в корональной и сагиттальной проекциях, совмещают друг с другом относительно расположения радиоактивной метки на срезе, получаемом на гамма-камере, и полученном на компьютерном томографе срезе средней трети ключицы. При совмещении корональных и сагиттальных срезов аксиальные срезы также совмещаются. Уровень полученных срезов определяют совмещением радиоактивной метки на ОФЭКТ и средней трети ключицы на МСКТ. В дальнейшем из полученных сцинтиграмм на гамма-камере строят трехмерное изображение легких и из томограмм, полученных на компьютерном томографе, также строят трехмерное изображения легких. Полученные трехмерные изображения легких на ОФЭКТ и на МСКТ совмещают.

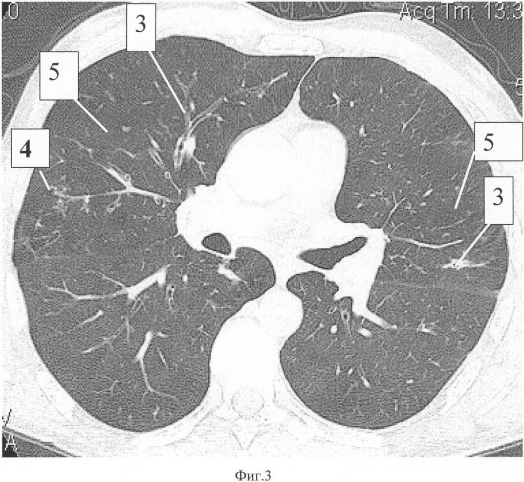
На фиг.1 представлено изображение радиоактивной метки, расположенной на средней трети ключицы в совмещенном трехмерном изображении легких, на фиг.2 представлен аксиальный срез легких на однофотонном компьютерном томографе, где видны участки редуцированного кровотока, на фиг.3 представлен аксиальный срез легких на компьютерном томографе того же уровня, как на ОФЭКТ, где видны участки наибольшего поражения легочной паренхимы, на фиг.4 представлено совмещенное изображение аксиального среза легких.

Исследование выполняют в два этапа: один из них на гамма-камере, другой на мультиспиральном компьютерном томографе. Принципиальной разницы в последовательности выполнения этих этапов нет. Это является важным преимуществом предлагаемого способа, ибо иногда оказывается достаточным для целей диагностики одного исследования и можно отказаться от другого, что способствует снижению экономических затрат, лучевой нагрузки на пациента, а также рациональному использованию оборудования.

Способ осуществляют, например, следующим образом.

На этапе 1 больному выполняют ОФЭКТ на двухдетекторной гамма-камере Philips Forte 2005 (USA). Внутривенно вводят радиофармацевтический препарат (РФП), представляющий собой крупные белковые частицы, меченные радионуклидом (гамма-излучателем) и вызывающие временную эмболизацию артериоло-капиллярного русла легких в дозе 1,0-1,5 мБк на 1 кг веса тела исследуемого. Для последующей синхронизации изображения ОФЭКТ и МСКТ на область средней трети ключицы устанавливают (2 мБк-Тс 99m) радиоактивную метку 1 (фиг.1).

Исследование начинают непосредственно после инъекции РФП. Пациента обследуют в положении лежа в режиме Total Body (непрерывное сканирование части тела или всего тела) в течение 10-12 минут по программе Lung Spect, в положении детекторов 180 градусов, орбита эллиптическая, 32 азимута, 40 сек на угол. Обработка исследования возможна с произвольным размещением слоев от 0,5 до 2,0 см, используют высокочастотный фильтр Furye трансформации по методу Henning или Batterword. Двухдетекторное сканирование позволяет получить послойное полипозиционное изображение легких на продольных, боковых и поперечных срезах с последующей реконструкцией трехмерного изображения.

На этапе 2 выполняют МСКТ на компьютерном четырехсрезовом томографе “Asteion”, фирмы “Toshiba” (Япония). Пациента исследуют в положении лежа с руками за головой, без наклона гентри, в краниокаудальном направлении, с задержкой дыхания на спокойном вдохе. Напряжение составляет 120 кВТ, экспозиция одного среза 90 мАс, шаг спирали (pitch) 3.5, толщина среза 0,5 см, инкремент реконструкции 3 мм.

На этапе 3 выполняют совмещение компьютерно-томографических сканов МСКТ и ОФЭКТ на рабочей станции гамма-камеры. Для наиболее точного совмещения полученные матрицы срезов приводят к одинаковой размерности 256×256, обусловленной программным обеспечением гамма-камеры. Двухмерные матрицы срезов, полученные в корональной и сагиттальной проекциях, совмещают друг с другом, совмещением радиоактивной метки на срезе, полученном на гамма-камере, и среза средней трети ключицы, полученного на компьютерном томографе. При совмещении корональных и сагиттальных срезов аксиальные срезы автоматически совмещаются. Уровень полученных срезов определяется совмещением радиоактивной метки на ОФЭКТ и средней трети ключицы на МСКТ. В дальнейшем из полученных матриц срезов как на МСКТ, так и ОФЭКТ, строят трехмерное изображение легких. Полученные трехмерные изображения легких на ОФЭКТ и на МСКТ совмещают.

Способ иллюстрируется следующим клиническим примером.

Пациент А., 1939 года рождения, поступил в отделение пульмонологии в экстренном порядке с жалобами на слабость, нарастающую отдышку, повышение температуры тела. В анамнезе имели место эпизоды кровохарканья. Для исключения тромбоэмболии легочной артерии (ТЭЛА) была выполнена ОФЭКТ легких с предварительным нанесением радиоактивной метки (2 мБк) 1 на область средней трети ключицы (фиг.1). Исследование выполнялось по стандартной методике. По данным радиологического исследования выявлено снижение перфузии в правом легком в проекции S 6, 10 и в плащевом отделе верхних долей как справа, так и слева. В проекции S 4, 5 обоих легких выявлены дефекты перфузии 2, по форме близкие треугольной (фиг.2). Предварительный диагноз: Тромбоэмболия мелких ветвей легочной артерии, косвенные признаки бронхиальной обструкции.

При компьютерно-томографическом исследовании органов грудной полости с дальнейшим построением реформации изображения в области верхушек обоих легких определялись субплевральные наслоения. В S 4, 5 обоих легких, больше справа, определялись расширенные просветы бронхов с уплотненными стенками 3 (фиг.3), визуализировались также множественные, заполненные содержимым, бронхиолы 4, создающие симптом «дерева в почках» (фиг.3). Воздушность легочной ткани также была диффузно повышена во всех отделах легких за счет панлобулярной и центриацинарной эмфиземы 5 (фиг.3).

Несмотря на то, что МСКТ легких является наиболее востребованным методом морфологической диагностики заболеваний легочной ткани, однако, даже выполнение исследования в ангиографическом режиме не позволяет с полной достоверностью диагностировать ТЭЛА мелких ветвей легочной артерии (сегментарных и субсегментарных), что обусловлено техническим возможностями четырехсрезового компьютерного томографа. Необходимо было выполнение совмещенного исследования для сопоставления локализации патологических изменений, выявленных при МСКТ, и зон с нарушением кровотока.

Двухмерные матрицы срезов ОФЭКТ И МСКТ, полученные в корональной и сагиттальной проекциях, совмещали друг с другом относительно расположения радиоактивной метки на срезе, полученном на гамма-камере, и срезе средней трети ключицы на компьютерном томографе. При совмещении корональных и сагиттальных срезов аксиальные срезы автоматически совмещались. Уровень полученных срезов определялся совмещением радиоактивной метки на ОФЭКТ и средней трети ключицы на МСКТ. На совмещенном изображении корональных, сагиттальных и аксиальных срезов легких было получено изображение зон с нарушенным кровотоком в сопоставлении с изменениями легочной паренхимы.

Совмещение результатов ОФЭКТ и компьютерной томографии (фиг.4) позволило выявить морфологический субстрат изменений перфузии, которые были неспецифичны и изначально могли соответствовать как ТЭЛА, так и хронической обструктивной болезни легких, и были вызваны текущей воспалительной реакцией, проявлявшейся как бронхиолит (выявленный при МСКТ) и сопутствующий ему васкулит. Также дефекты перфузии совпадали с участками максимально выраженной эмфизематозной перестройки легочной ткани. Диагноз ТЭЛА был снят.

Пациенту было назначено противовоспалительное лечение, на фоне которого жалобы быстро регрессировали, и больной был выписан из стационара в удовлетворительном состоянии.

Заявленный способ был применен у 16 пациентов. Больные поступали на обследование с подозрением на: тромбоэмболию мелких ветвей легочной артерии – 12 человек (все пациенты были с сопутствующей патологией – хроническая обструктивная патология легких, ИБС); хроническую обструктивную болезнь легких – 4 человека (сопутствующая патология – ТЭЛА мелких ветвей). Положительный результат заключался в повышении точности диагностики заболеваний легких за счет комплексного анализа морфологических изменений в легочной ткани и нарушений микроциркуляции. У 9 больных с хронической обструктивной патологией легких и с подозрением на тромбоэмболию мелких ветвей легочной артерии были выявлены участки эмфизематозного вздутия легочной ткани в местах редуцированного кровотока, а также зоны с нарушенным кровотоком, где нарушений в легочной ткани не было выявлено, что свидетельствовало о нарушениях в сосудистом русле легких. Таким образом, у больных с хронической обструктивной патологией диагноз тромбоэмболии мелких ветвей легочной артерии был подтвержден. У 3-х больных с буллезными изменениями в легочной ткани и с редуцированным кровотоком в этих же зонах не было выявлено дополнительных участков с редуцированным кровотоком. Диагноз ТЭЛА был снят.

У 3-х пациентов с хронической обструктивной болезнью легких, которым были проведены операции по уменьшению объема легких, на совмещенных срезах были выявлены нарушения микроциркуляции в зонах с буллезной перестройкой легочной ткани, а также кровоток отсутствовал в проекции удаленных зон легких. Диагноз ТЭЛА был снят.

Использование заявленного способа обеспечивает получение совмещенных изображений срезов МСКТ и ОФЭКТ на стандартном оборудовании, повышает точность диагностики заболеваний легких.

Формула изобретения

1. Способ совмещения изображений срезов мультиспиральной компьютерной томографии и однофотонной эмиссионной компьютерной томографии легких, включающий установку на область средней трети ключицы радиоактивной метки перед проведением однофотонной эмиссионной компьютерной томографии, выполнение мультиспиральной компьютерной томографии и последующее совмещение в корональной и сагиттальной проекциях радиоактивной метки и среза средней трети ключицы, полученного на компьютерном томографе.

2. Способ по п.1, отличающийся тем, что для совмещения полученные срезы приводят к одинаковой размерности, из полученных сцинциграмм и томограмм строят и совмещают 3-мерное изображение легких.

РИСУНКИ

Categories: BD_2350000-2350999