|
(21), (22) Заявка: 2007128807/14, 18.07.2007
(24) Дата начала отсчета срока действия патента:
18.07.2007
(46) Опубликовано: 20.03.2009
(56) Список документов, цитированных в отчете о поиске:
RU 2304973 C1, 27.08.2007. RU 2229849, 20.01.2004. Аннотированный отчет по препарату “Энтеросан”. ЗАО “Медмини-пром”, 2002-2004. [Найдено 2008-05-26] Найдено из Интернет: 15 КБ. BRISKIN B.S. et al. Enterosorption with pectin-containing medication in the
Адрес для переписки:
450000, г.Уфа-Центр, Ленина, 3, БАШГОСМЕДУНИВЕРСИТЕТ, патентный отдел
|
(72) Автор(ы):
Галимов Олег Владимирович (RU), Гаптракипов Эдуард Халилович (RU), Ханов Владислав Олегович (RU), Ибрагимов Тельман Рамиз оглы (RU), Бирюкова Екатерина Николаевна (RU)
(73) Патентообладатель(и):
Государственное образовательное учреждение высшего профессионального образования “Башкирский государственный медицинский университет Федерального агентства по здравоохранению и социальному развитию” (ГОУ ВПО БГМУ Росздрава) (RU)
|
(54) СПОСОБ ПРОФИЛАКТИКИ НЕСОСТОЯТЕЛЬНОСТИ АНАСТОМОЗОВ ПОЛЫХ ОРГАНОВ ЖЕЛУДОЧНО-КИШЕЧНОГО ТРАКТА У БОЛЬНЫХ С МОРБИДНЫМ ОЖИРЕНИЕМ И МЕТАБОЛИЧЕСКИМ СИНДРОМОМ С ИСПОЛЬЗОВАНИЕМ ПРЕПАРАТА ЭНТЕРОСАН
(57) Реферат:
Изобретение относится к медицине, в частности к абдоминальной хирургии, и касается профилактики несостоятельности анастомозов полых органов желудочно-кишечного тракта у больных с морбидным ожирением и метаболическим синдромом. Для этого в течение 2 недель до операции вводят Энтеросан (Э) по 2 капсулы 3 раза в день. Затем Э вводят на 2 сутки после операции в желудок в виде взвеси в объеме 30-50 мл каждые 6 часов. Далее Э вводят перорально: 3 по 7 сутки – по 3 капсулы 4 раза в день, с 8 по 12 сутки – по 2 капсулы 4 раза в день, потом – в течение 7-10 дней по 1 капсуле 2 раза в день. Способ обеспечивает снижение воспалительных изменений и ускорение процессов регенерации в зоне анастомоза, нормализует работу желудочно-кишечного тракта. 5 ил.
(56) (продолжение):
CLASS=”b560m”treatment of peritonitis. Khirurgiia (Mosk). 2005; (4): 14-9, реферат PMID: 15940172.
Предлагаемое изобретение относится к медицине, в частности к абдоминальной хирургии, и может быть использовано для лечения и профилактики несостоятельности анастомозов полых органов желудочно-кишечного тракта.
Известны способы профилактики несостоятельности анастомозов с помощью фибринового клея типа «Тиссукол», клея «Сульфакрилат», «Тахокомб» (В.В.Плечев, В.М.Тимербулатов, Р.З.Латыпов. – Болезни брюшины. – Уфа. – 1999 г.). Однако для фибринового клея «Тиссукол» необходимы дополнительные условия для растворения и смешивания исходных компонентов при строго определенной температуре и режиме, часто для усиления результата бывают необходимы субстанции-носители, такие как губки, коллагеновые волокна. При этом данный способ профилактики не обладает антибактериальной активностью, и не всегда может обеспечить герметичность анастомоза. «Тахокомб» также не обеспечивает достаточную герметичность кишечного шва; несмотря на свои гемостатические свойства, может вызывать образование гематом (при продолжающемся кровотечении гематома образуется под пленкой «Тахокомба»); не обладает антибактериальной активностью. К тому же у «Тахокомба» достаточно высокая стоимость, что неблагоприятно в финансовом отношении. Клей «Сульфакрилат» дает хорошие результаты только в сочетании со стимуляторами репарации аллаплантом и/или оксиметилурацилом, используемыми местно на область анастомоза, а также с антибактериальным шовным материалом пролонгированного действия. Клеевая пленка быстро полимеризуется, что создает определенные затруднения при формировании анастомозов.
Использование вышеперечисленных способов профилактики малоэффективно в условиях «компрометированной» кишечной стенки, то есть при перитоните, кишечной непроходимости, и создает дополнительные технические трудности для хирургов при выполнении операции. Отек и нарушения микроциркуляции в области анастомоза выражены и сохраняются продолжительное время, вызывая дополнительный риск несостоятельности анастомозов. Ни один из вышеперечисленных способов не затрагивает нарушенные обменные процессы в организме в целом, которые приводят к недостаточности иммунобиологических механизмов и замедленной неполноценной регенерации.
Прототипом изобретения является способ профилактики несостоятельности анастомозов полых органов в хирургии желудочно-кишечного тракта, заключающийся в том, что на фоне стандартной механической подготовки в течение пяти суток до оперативного вмешательства перорально вводят 5-оксиметилурацил в дозе 50 мг/кг два раза в сутки (заявка RU 2005141842 с приоритетом от 27.12.2005 г.).
В 1999 году разрешено использование Энтеросана в качестве средства для лечения острых и хронических заболеваний желудочно-кишечного тракта. (Приказ МЗ РФ №233 от 11 июня 1999 г./ Регистрационное удостоверение №99/233/3. ВФС №42-3412-99 утверждена 11 июня 1999 г.).
С помощью гликозаминогликанов (кислые мукополисахариды, хондроитинсульфат), входящих в состав препарата, Энтеросан активизирует течение окислительно-восстановительных процессов, связанных с внутриклеточным, пристеночным, внутриполостным пищеварением; адсорбирует патогенные микроорганизмы и их токсины, соли тяжелых металлов, нормализует кишечную микрофлору (уменьшает процессы брожения и гниения, действует бактериостатически на грамположительные микроорганизмы). Сиаломуцины, как составные компоненты, оказывают энтеропротективное действие, восстанавливают преэпителиальный барьер, защищают от воздействия повреждающих факторов (ксенобиотики, радионуклиды, ядовитые химические соединения и др.).
Ранее изучалось комплексное воздействие Энтеросана на желудочно-кишечный тракт. Препарат назначался при целиакии, остром и хроническом гастрите, энтерите, колите, синдроме мальдегистии, мальабсорбции, хроническом панкреатите с нарушением процессов пищеварения, дисбактериозе, синдроме раздраженного кишечника, синдроме короткой кишки, билиарном сладже, атопической бронхиальной астме и других заболеваниях. Действие Энтеросана при хирургических вмешательствах на органах желудочно-кишечного тракта не изучалось.
Технический результат – снижение воспалительных изменений и ускорение процессов регенерации в зоне анастомоза, нормализация работы желудочно-кишечного тракта.
Указанный технический результат достигается тем, что в способе профилактики несостоятельности анастомозов полых органов желудочно-кишечного тракта, включающем введение лекарственного препарата в предоперационном периоде, в качестве лекарственного препарата вводят Энтеросан в течение 2 недель до операции по 2 капсулы 3 раза в день, дополнительно его вводят в послеоперационном периоде, а именно: на 2 сутки препарат вводят в желудок в виде взвеси в объеме 30-50 мл каждые 6 часов; с 3 по 7 сутки – перорально по 3 капсулы 4 раза в день; с 8 по 12 сутки – перорально по 2 капсулы 4раза в день; далее в течение 7-10 дней по 1 капсуле 2 раза в день.
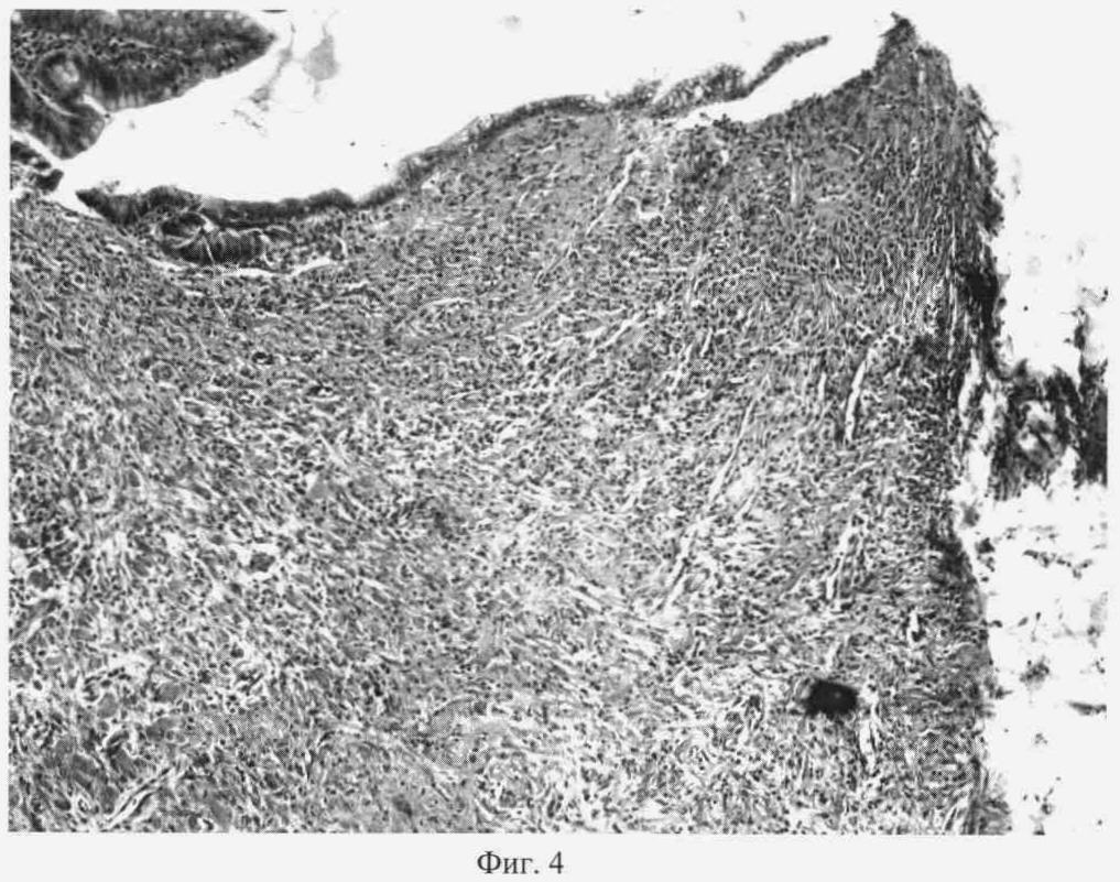
Предлагаемый способ иллюстрируется следующими чертежами: на фиг.1 изображена динамика содержания ГАГ (мкМ/ г ткани) в ткани кишечника после моделирования однорядного анастомоза «конец-в-конец» в области двенадцатиперстной кишки; на фиг.2 – динамика содержания белка в ткани кишечника после моделирования однорядного анастомоза «конец-в-конец» в области двенадцатиперстной кишки; на фиг.3 – динамика содержания РНК в ткани кишечника после моделирования анастомоза «конец-в-конец» в области двенадцатиперстной кишки; на фиг.4 – эпителизация области анастомоза. Наползание эпителия на сформированную грануляционную ткань. Некротические изменения не обнаружены. 15 сутки. Пролеченная группа. Х 120. Окраска Ван-Гизон; на фиг.5. – воспалительно-некротические изменения стенки кишки в области анастомоза с явлениями эпителизации дефекта по краю. 15 сутки. Нелеченная группа. Х 120. Окраска Ван-Гизон.
Предлагаемый способ осуществляется следующим образом. В течение 2 недель до плановой операции назначают Энтеросан по 2 капсулы 3 раза в день за 20-30 минут до еды. Начиная со 2-х суток после операции Энтеросан вводят по следующей схеме:
На 2 сутки после операции препарат вводят через назогастральный зонд в желудок в виде взвеси (содержимое 2-х капсул размешивают в 30-50 мл физ. раствора) каждые 6 часов;
с 3 по 7 сутки после операции – перорально по 3 капсулы 4раза в день за 20-30 минут до еды, запивая небольшим количеством воды;
с 8 по 12 сутки после операции – перорально по 2 капсулы 4раза в день за 20-30 минут до еды, запивая небольшим количеством воды;
далее в течение 7-10 дней по 1 капсуле 2 раза в день.
Нами были проведены исследования с целью изучения результатов формирования анастомозов полых органов желудочно-кишечного тракта при применении препарата Энтеросан.
Известно, что воспалительные процессы, развивающиеся в ране, вызывают повышение содержания белка и гликозаминогликанов (ГАГ) и понижение содержания РНК.
Экспериментальные исследования были проведены на 90 белых крысах линии Вистар породы Ruttus norvegicus в возрасте 3-4 месяцев. Животные в количестве 74 голов были разделены на 4 группы: 1 группа – интактные (6 голов); 2 группа – оперированные, нелеченные, которым вводили дистиллированную воду в эквивалентном объеме (32 головы), 3 группа – оперированные, леченные, которым вводили раствор Энтеросана 3 раза в сутки в течение 20 дней (32 головы, суточная доза пересчитывалась согласно весу животных), 4 группа – операционный фон – оперированные животные, которых забили через 5 часов после операции (4 головы).
Под наркозом у животных наложены однорядные анастомозы «конец-в-конец» в области двенадцатиперстной кишки. Всего было прооперировано 90 животных, 16 из них пали на 1-3 сутки после операций. На гистологическое исследование были взяты 6 дополнительно прооперированных животных из групп 2 и 3 в сроки 3, 7, 15 суток после операции.
Все манипуляции с животными проводились в соответствии с «Правилами проведения работ с использованием экспериментальных животных» (Приказ МЗ СССР №755 от 12.08.1977).
При вскрытии у всех оперированных животных с 1-3 сутки наблюдали в области операции присутствие кровяного сгустка. У животных, получавших Энтеросан, размеры его были меньше. Со вторых по пятые сутки на месте операции наблюдали гиперемию кишечника, распространяющуюся на близлежащие участки кишечника. Более выраженную гиперемию наблюдали у нелеченных животных.
С 5-10 сутки у всех крыс, не получавших Энтеросан, наблюдали гнойный экссудат, который присутствовал как внутри просвета кишки, так и в брюшной полости. Такое состояние кишечника в группе, получавших Энтеросан, наблюдали только у одного животного на 7 сутки.
С 7 суток у нелеченных животных наблюдали множественные спайки, в отдельных случаях наблюдали сращение желудка, печени, брюшины и оперированного участка.
С 10 суток у крыс, получавших Энтеросан, состояние кишечника нормализовалось – цвет кишечника соответствовал цвету кишечника интактных животных.
На 20 сутки в группе животных, получавших Энтеросан, линия анастомоза ни визуально, ни пальпаторно не определялась. В группе без лечения наблюдали образование грубого обезображивающего шишкообразного рубца.
У пролеченной группы нормализация ГАГ 9,06-8,53 мкМ/1 г ткани произошла на 7-10 сутки, что свидетельствует об интенсивном биосинтезе коллагена в грануляционно-фиброзной ткани и связано с процессом интенсивной регенерации ткани. В группе контроля сохранялся высокий уровень ГАГ 10,8-14,67 мкМ/1 г ткани на протяжении времени эксперимента.
В контрольной группе на 15 сутки произошло резкое увеличение уровня ГАГ (14,68 мкМ/1 г ткани), на наш взгляд это произошло из-за нарушения процесса репарации на стадии организации рубца (фиг.1).
Максимальное повышение концентрации белка в ткани у пролеченной группы произошло на 2 сутки – 252,39 мг/г и сохранялось на высоком уровне до 10 суток, что может свидетельствовать об активности протекающих в этой ткани репаративных процессов. Нормализация концентрации белка произошла на 15 сутки (75,55 мг/г). В группе контроля минимальная концентрация белка достигнута также на 15 сутки, но составила 107,79 мг/г без тенденции к снижению (фиг.2).
Уровень РНК у пролеченных животных пришел в норму на 5-7 сутки и составил 9,5-10,1 мкг/мг, тогда как в контрольной группе только на 20 сутки уровень РНК поднялся до 8,88 мкг/мг (фиг.3).
По данным гистологического исследования на 3 сутки значительных гистологических различий в сравниваемых группах не выявлено. В более поздние сроки, на 7 сутки, у крыс, получавших Энтеросан, на препаратах видна начальная регенерация слизистой оболочки с «наползанием» эпителия края язвы на клеточный детрит по грануляционной ткани, тогда как у нелеченных животных в области анастомоза – только некоторое уменьшение некротических изменений на фоне продолжающейся формироваться грануляционной ткани. На 15 сутки в группе животных, получавших Энтеросан, наблюдается эпителизация области анастомоза: наползание эпителия на сформированную грануляционную ткань, некротические изменения не обнаружены (фиг.4). В отличие от группы нелеченных животных, где процесс репарации протекал медленнее, с воспалительно-некротическими изменениями стенки кишки в области анастомоза с явлениями эпителизации дефекта по краю (фиг.5).
Энтеросан обладает высокой активностью как стимулятор репаративной регенерации. Применение Энтеросана снижает воспалительные изменения и вызывает ускорение процессов регенерации в зоне анастомоза, нормализует работу желудочно-кишечного тракта, стимулирует секрецию желчи, улучшает детоксикационную функцию печени, что имеет большое значение в хирургическом лечении больных с морбидным ожирением и сопутствующими метаболическими нарушениями.
Применение Энтеросана в пред- и послеоперационном периоде может быть рекомендовано как один из способов профилактики несостоятельности анастомозов в хирургии желудочно-кишечного тракта.
После проведения экспериментальных исследований данный способ профилактики несостоятельности анастомоза апробирован в условиях хирургического стационара. Нами проведены следующие плановые операции на полых органах желудочно-кишечного тракта: резекция желудка по поводу язвенной болезни, резекция тонкой кишки с наложением анастомозов «бок-в-бок» или «конец-в-конец», вертикальная гастропластика при морбидном ожирении.
В послеоперационном периоде пациент получал препарат Энтеросан, начиная со 2-х суток после операции по следующей схеме:
2 сутки – препарат вводился через назогастральный зонд в виде взвеси (содержимое 2-х капсул размешивали в 30-50 мл физ. раствора) каждые 6 часов;
с 3 по 7 сутки перорально по 3 капсулы 4раза в день за 20-30 минут до еды, запивая небольшим количеством воды;
с 8 по 12 сутки перорально по 2 капсулы 4раза в день за 20-30 минут до еды, запивая небольшим количеством воды;
далее в течение 7-10 дней по 1 капсуле 2 раза в день.
Послеоперационный период протекал гладко, без осложнений, несостоятельности анастомоза не отмечено. В отдаленном периоде через 6 месяцев наблюдалась положительная картина течения.
Формула изобретения
Способ профилактики несостоятельности анастомозов полых органов желудочно-кишечного тракта, включающий введение лекарственного препарата в предоперационном периоде, отличающийся тем, что в качестве лекарственного препарата вводят Энтеросан в течение 2 недель до операции по 2 капсулы 3 раза в день, дополнительно его вводят в послеоперационном периоде, а именно: на 2 сутки препарат вводят в желудок каждые 6 ч в виде взвеси, которую получают путем размешивания содержимого двух капсул в 30-50 мл физиологического раствора; с 3 по 7 сутки – перорально по 3 капсулы 4раза в день; с 8 по 12 сутки – перорально по 2 капсулы 4раза в день; далее в течение 7-10 дней по 1 капсуле 2 раза в день.
РИСУНКИ
|