|
(21), (22) Заявка: 2007123027/14, 20.06.2007
(24) Дата начала отсчета срока действия патента:
20.06.2007
(46) Опубликовано: 20.03.2009
(56) Список документов, цитированных в отчете о поиске:
ЛАЗАРЕВ А.Ф. и др. Применение гидроксиапатит содержащего препарата при лечении сложных переломов длинных костей и их последствий. Тезисы докладов VII съезда травматологов-ортопедов России. – Новосибирск, 2002, т.2, 82. RU 205137914 A1, 10.06.2006. RU 2195216 C2, 27.12.2002. RU 2172146 C1, 20.08.2001. МЮЛЛЕР М.Е. и др. Руководство по внутреннему
Адрес для переписки:
127473, Москва, ул. Делегатская, 20/1, ГОУ ВПО “Московский государственный медико-стоматологический университет ФА по ЗД и СР РФ”, патентный отдел
|
(72) Автор(ы):
Зоря Василий Иосифович (RU), Склянчук Евгений Дмитриевич (RU), Бабовников Алексей Валерьевич (RU)
(73) Патентообладатель(и):
ГОУ ВПО “Московский государственный медико-стоматологический университет Федерального агентства по здравоохранению и социальному развитию РФ” (RU)
|
(54) СПОСОБ ХИРУРГИЧЕСКОГО ЛЕЧЕНИЯ ЛОЖНЫХ СУСТАВОВ ТРУБЧАТЫХ КОСТЕЙ КОНЕЧНОСТЕЙ
(57) Реферат:
Изобретение относится к области медицины, а именно к травматологии и ортопедии, и может быть применено при лечении ложных суставов трубчатых костей конечностей. Осуществляют доступ к ложному суставу без мобилизации костных отломков и иссечения межотломковой рубцовой ткани с формированием только над надкостничного ложа для пластины. Производят краевую окончатую кортикотомию одного из отломков с отведением в сторону костно-надкостнично-мышечного лоскута. Через образованное окно в кости производят эндостальную декортикацию обоих отломков со вскрытием их костномозговых каналов. Образовавшуюся интрамедуллярную костную полость заполняют коллагенсодержащим материалом и костной стружкой из местных тканей. После репозиции отломков и кровоснабжаемого костного фрагмента производят накостный остеосинтез пластиной с ограниченным контактом или с угловой стабильностью. Перед ушиванием раны в область ложного сустава вводят в нерастворенном виде кристаллический химотрипсин для ферментной стимуляции остеогенеза. Способ позволяет восстанавливать целостность трубчатых костей при ложных суставах, повысить лечебный эффект со снижением травматичности и длительности оперативного вмешательства, сократить сроки реабилитации, снижает вероятность послеоперационных осложнений. 14 ил.
(56) (продолжение):
CLASS=”b560m”остеосинтезу. – М.: Медицина, 1996, с.721. IKENAGA М. “Anterior corpectomy and fusion with fibular stmt grafts for multilevel cervical myelopathy” J. Neurosurg Spine. 2005 Aug; 3(2): 79-85 (Abstract).
Изобретение относится к области медицины, а именно к травматологии и ортопедии, и может быть применено при лечении ложных суставов трубчатых костей конечностей.
Известен способ костно-пластического восстановления целости трубчатой кости при ложных суставах (см., например, В.Д.Чаклин. Костная пластика. М., 1971 г. – стр.9-17) в разных модификациях, получивший наиболее широкое распространение в клинической практике. Он основан на применении костной пластики в виде свободного перемещения кортикального, кортикально-губчатого или губчатого трансплантатов в область ложного сустава в сочетании с остеосинтезом.
Этот способ принят за базовый объект.
Однако отрицательными моментами данного способа является то, что:
во-первых, значительно увеличивается травматичность хирургического вмешательства, связанная с необходимостью забора трансплантата;
во-вторых, неизбежна скелетизация отломков, ухудшающая их кровоснабжение, из-за необходимости формирования ложа для трансплантата;
в-третьих, ограничено количество аутогенного костного пластического материала, возможного для забора без нанесения дополнительного функционально-косметического урона организму.
Известен способ пластического восстановления целости трубчатых костей при ложных суставах и костных дефектах, основанный на применении композитных материалов, содержащих коллаген и гидроксиапатит (см., например, Лазарев А.Ф., Кесян Г.А., Уразгильдеев Р.З., Челяпов В.Н. Применение гидроксиапатитсодержащего препарата при лечении сложных переломов длинных костей и их последствий. Тезисы докладов VII съезда травматологов-ортопедов России. Новосибирск, 2002 г. – т.2. – стр.82.).
При этом используется препарат в виде пластин в гранулированной и гелиевой формах, вводя его путем обкалывания фрагментов или заполнения им костных дефектов между отломками в процессе или после чрескостного, накостного или интрамедуллярного остеосинтеза. Это позволяет обеспечить восстановление целости кости и заместить костные дефекты. Существенными преимуществами указанного способа по сравнению с базовым является отсутствие необходимости расширения оперативного вмешательства для получения костно-пластического материала и возможность применения его в неограниченном количестве.
Этот способ принят за прототип.
Однако отрицательными моментами данного способа является то, что для обеспечения сращения ложного сустава требуется производить мобилизацию и резекцию склерозированных концов его отломков, а это приводит к усугублению нарушений микроциркуляции поврежденной кости и к увеличению укорочения сегмента конечности.
Решаемая задача – создание способа хирургического лечения ложных суставов трубчатых костей конечностей, исключающего их послеоперационное укорочение и максимально сохраняющего кровоснабжение отломков.
Цель изобретения: сокращение сроков лечения и реабилитации больных с ложными суставами трубчатых костей конечностей и снижение вероятности послеоперационных осложнений.
Достижение поставленной цели осуществляется за счет того, что мобилизацию костных отломков и иссечение межотломковых рубцовых тканей для сохранения их периостального кровоснабжения не производят, а для интрамедуллярного доступа к ложному суставу формируют и отводят в сторону окончатый костно-надкостнично-мышечный лоскут одного из отломков.
Технический результат состоит в том, что хирургический доступ к ложному суставу для накостного остеосинтеза осуществляют без разъединения и мобилизации отломков с формированием только над надкостничного ложа для пластины. По краю ложа пластины производят окончатую кортикотомию одного из отломков с отведением в сторону образовавшегося костно-надкостнично-мышечного лоскута. Через открывшееся окно выполняют эндостальную декортикацию в зоне ложного сустава на протяжении склерозированной части отломков со вскрытием их костномозговых каналов. Производят пластику образовавшегося интрамедуллярного костного дефекта костной стружкой, полученной при эндостальной декортикации, и композитными коллагенсодержащими материалами с ферментной стимуляцией остеогенеза кристаллическим химотрипсином. После репозиции отломков кровоснабжаемый костный лоскут возвращают на прежнее место и производят накостный остеосинтез пластиной с ограниченным контактом или с угловой стабильностью.
Сущность изобретения состоит в том, что мобилизацию костных отломков и иссечение межотломковых рубцовых тканей с целью сохранения кровоснабжения в зоне ложного сустава не производят, а для интрамедуллярного к нему доступа формируют и отводят в сторону окончатый костно-надкостнично-мышечный лоскут одного из отломков. После эндостальной декортикации и вскрытия костномозговых каналов производят композитную пластику образовавшегося интрамедуллярного костного дефекта материалами, обладающими остеоиндуктивными (костная стружка, полученная при эндостальной декортикации) и остеокондуктивными (коллаген) свойствами, в сочетании с ферментной стимуляцией остеогенеза кристаллическим химотрипсином. Отломки репонируют и осуществляют накостную фиксацию металлической пластиной.
Предлагаемый способ осуществляется следующим образом.
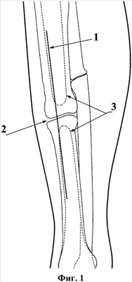
Под общим обезболиванием в асептических условиях линейным разрезом (1) осуществляют стандартный при накостном остеосинтезе для соответствующего сегмента трубчатой кости хирургический доступ к ее ложному суставу (2) с облитерированным костномозговым каналом (3) (фиг.1).
После рассечения фасции и мышц над надкостнично параллельно длинной оси трубчатой кости формируют только ложе для пластины (4) без мобилизации отломков (фиг.2).
В случае наличия деформированной или сломанной накостной пластины ее удаляют, а ее ложе очищают от избыточных грануляций также без мобилизации отломков.
Остеотомом в пределах узкой области подготовленного под пластину ложа резецируют избыточную периостальную костную мозоль (5) (фиг.2) для выравнивания плоскости кости в этой зоне. Инъекционной иглой определяют щель ложного сустава (2) и, начиная от нее, по краю ложа для пластины намечают линию кортикотомии (6) одного из отломков (как правило, более длинного) (фиг.3).
По намеченной линии (6) (фиг.3) осцилляторной пилой производят краевую окончатую кортикотомию с формированием и смещением в сторону костно-надкостнично-мышечного лоскута (7) (фиг.4). Тщательное сохранение связей костного фрагмента с надкостницей и прилежащими тканями при выполнении кортикотомии направлено на обеспечение сохранности его кровоснабжения.
Через образовавшееся окно (8) узким желобоватым долотом производят эндостальную декортикацию обоих отломков на протяжении зоны их склероза со вскрытием костномозговых каналов (3) (фиг.4). В результате в области концов ложного сустава образуется интрамедуллярная костная полость, соединяющаяся с костномозговыми каналами отломков (9) (фиг.5). После завершения этого этапа появляется умеренная упругая подвижность отломков, позволяющая устранять их поперечное смещение в пределах кортикального слоя кости и угловую деформацию сегмента конечности.
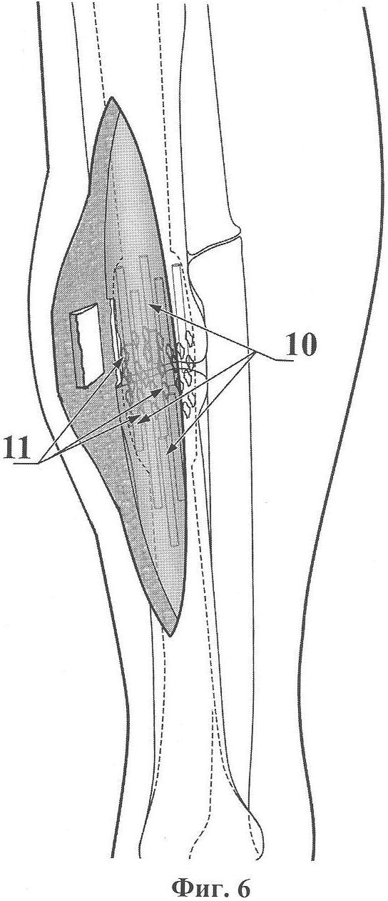
Далее производят заполнение интрамедуллярного костного дефекта коллагенсодержащим материалом (например, коллост) (10) и костной стружкой (11), полученной при эндостальной декортикации (фиг.6). Отломки репонируют, кровоснабжаемый костный фрагмент (7) возвращают на прежнее место и производят остеосинтез пластиной (12) с ограниченным контактом или с угловой стабильностью (фиг.7). В область ложного сустава засыпают 40 мг кристаллического химотрипсина. Рану послойно ушивают.
Предложенный способ предназначен для лечения ложных суставов костей конечностей.
Его применение позволяет восстанавливать целостность трубчатых костей при ложных суставах, повысить лечебный эффект со снижением травматичности и длительности оперативного вмешательства, сократить сроки реабилитации.
Список иллюстраций
Фиг.1. Схема ложного сустава с проекционной линией хирургического доступа.
Фиг.2. Формирование ложа для пластины с ограниченной резекцией избыточной периостальной костной мозоли.
Фиг.3. Разметка линии краевой окончатой кортикотомии от зоны ложного сустава.
Фиг.4. Краевая окончатая кортикотомия отломка с отведением в сторону кровоснабжаемого костно-надкостнично-мышечного лоскута.
Фиг.5. Эндостальная декортикация отломков со вскрытием костномозговых каналов через окончатый доступ в проксимальном отломке.
Фиг.6. Пластика эндостального костного дефекта остеопластическим коллагеновым материалом и костной стружкой.
Фиг.7. Репозиция отломков с установкой кровоснабжаемого костного фрагмента на исходное место и накостный остеосинтез пластиной.
Фиг.8. Ложный сустав большеберцовой кости левой голени с переломом накостной металлоконструкции и миграцией винтов.
Фиг.9. Контрольная рентгенография после краевой кортикотомии, эндостальной декортикации, пластики интрамедуллярной полости коллостом и костной стружкой, накостного остеосинтеза пластиной со стимуляцией остеогенеза химотрипсином.
Фиг.10. Полная нагрузка на оперированную конечность к концу третьего месяца после операции по разработанному способу.
Фиг.11. Внешний вид укороченной функциональной полимерной повязки.
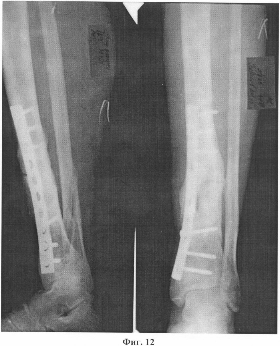
Фиг.12. Восстановление непрерывности большеберцовой кости через 3 месяца после операции.
Фиг.13. Опороспособность конечности через 3 месяца после операции.
Фиг.14. Функция смежных суставов оперированной конечности через 2 недели реабилитационного курса после снятия иммобилизирующей полимерной повязки.
В качестве примера приводим следующее клиническое наблюдение.
Больной Н., 55 лет, 23 июня 2005 года в результате бытовой травмы получил закрытый оскольчатый перелом обеих костей левой голени. Доставлен в городскую клиническую больницу г.Москвы, где был произведен остеосинтез большеберцовой кости левой голени пластиной АО с ограниченным контактом. Послеоперационный период протекал без осложнений. Проведено восстановительное лечение, включающее ходьбу с костылями с дозированной, постепенно увеличивающейся нагрузкой на оперированную конечность. Через 3 месяца после операции начал ходить с палочкой с полной нагрузкой на левую стопу. Однако при ходьбе отмечал умеренные боли в области перелома. Динамический рентгеноконтроль демонстрировал замедленную консолидацию перелома большеберцовой кости на фоне сросшегося перелома малоберцовой кости. В мае 2006 года боли в голени при ходьбе усилились. При контрольной рентгенографии обнаружен ложный сустав большеберцовой кости с переломом накостной металлоконструкции и миграцией винтов (фиг.8). 6 июня 2006 года под общим обезболиванием сломанная пластина была удалена с выполнением операции на ложном суставе по разработанному способу (фиг.9). После снятия швов и ликвидации отека произведена иммобилизация конечности укороченной циркулярной повязкой Scotchcast (до коленного сустава), и больной приступил к нагрузке в дозированном режиме. К концу 3-го месяца ходьба с полной нагрузкой без дополнительной опоры (фиг.10) в иммобилизирующей повязке (фиг.11), болей в голени нет, повязка снята, рентгенологически определяется сращение перелома большеберцовой кости (фиг.12). После проведения 2-х недельного реабилитационного курса функция конечности восстановлена в полном объеме (фиг.13, 14).
Формула изобретения
Способ хирургического лечения ложных суставов трубчатых костей конечностей, состоящий в применении композитных материалов, содержащих коллаген, отличающийся тем, что осуществляют хирургический доступ к ложному суставу, формируют ложе для пластины с резекцией избыточной периостальтной мозоли в этой области без мобилизации отломков, определяют щель ложного сустава, от которой производят краевую окончатую кортикотомию одного из отломков с формированием и смещением в сторону костно-надкостнично-мышечного лоскута, через образовавшееся окно производят эндостальную декортикацию обоих отломков на протяжении зоны их склероза со вскрытием костно-мозговых каналов, производят заполнение интрамедуллярного дефекта коллагенсодержащим материалом с добавлением костной стружки, полученной при эндостальной декортикации, отломки репонируют, кровоснабжаемый костный фрагмент возвращают на прежнее место и производят остеосинтез пластиной с ограниченным контактом или с угловой стабильностью, в область ложного сустава засыпают 40 мг кристаллического химотрипсина.
РИСУНКИ
|