|
|
(21), (22) Заявка: 2006126915/13, 24.07.2006
(24) Дата начала отсчета срока действия патента:
24.07.2006
(43) Дата публикации заявки: 27.01.2008
(46) Опубликовано: 10.03.2009
(56) Список документов, цитированных в отчете о поиске:
КАПЛАН М.А. Перспективы применения высокоинтенсивных импульсных магнитных полей в лечении злокачественных новообразований, Российский онкологический журнал, 1988, №8, с.34-37. RU 2163823 С1, 10.03.2001. RU 2261733 С2, 10.10.2005.
Адрес для переписки:
620142, г.Екатеринбург, П.О. 142, а/я 187, А.П. Волобуеву
|
(72) Автор(ы):
Донник Ирина Михайловна (RU), Волобуев Андрей Петрович (RU)
(73) Патентообладатель(и):
ООО “Ветеринарная клиника “Неовит” (RU)
|
(54) СПОСОБ ЛЕЧЕНИЯ ЗЛОКАЧЕСТВЕННЫХ ОПУХОЛЕЙ У СОБАК
(57) Реферат:
Изобретение относится к ветеринарной медицине. Способ включает постановку диагноза, облучение опухоли ЭМП в процессе подготовки к удалению злокачественной опухоли, хирургическое удаление опухоли и послеоперационное наблюдение животного. При этом животному в предоперационном периоде проводят облучение опухоли регулируемым локальным знакопеременным инфранизкочастотным импульсным электромагнитным полем (ЗИИ ЭМП), при индукции магнитного поля В=(20÷80) мТл, при времени импульса tи=0,75 сек, времени паузы tп=0,5 сек, с продолжительностью сеанса облучения 30-60 минут в течение 20-40 дней. А хирургическую операцию по удалению злокачественной опухоли проводят на 3-7 день после окончания курса ЗИИ ЭМП облучения. Способ обладает высокой эффективностью, позволяет снизить риск рецидивов болезни. 1 з.п. ф-лы, 10 табл., 2 ил.
Изобретение относится к ветеринарной медицине, точнее к онкологии, и может быть использовано в ветеринарных клиниках при лечении животных со злокачественными опухолями.
Известно использование ионизирующего излучения для лечения онкологических заболеваний путем дистанционного и внутриполостного облучения новообразований (см. Линденбратен Л.Д. Медицинская радиология. – М.: Медицина, 2000, 672 с.).
Поражающее действие лучевой терапии позволяет эффективно разрушать их ткани. Однако при этом в зону воздействия попадают здоровые ткани. Они подвергаются тому же поражению, что и опухоль. При лучевой терапии существует предел, когда повторное облучение одной и той же области не допустимо (по накопленной дозе). После облучения, как правило, возникают общие (системные) и местные (локальные) негативные реакции организма. Кроме того, для проведения лучевой терапии требуется дорогостоящее оборудование и специальная подготовка обслуживающего персонала.
Приводятся исследования антистрессового и противоопухолевого влияния слабого инфранизкочастотного ЭМП для замедленного роста новообразований у крыс-самцов, канцерогенез которых инициировался введением под кожу спины бензоперена. Установлено, что ЭМП, профилактируя наступление окислительного стресса и функциональную целостность клеточных мембран мозга, опосредовано влияло на динамику развития новообразований (снижало скорость их роста) (см. А.с.№826587, А61 1/42, Опубл. 30.08.90., Бюл. №32).
Положительная динамика опосредованного воздействия инфранизкочастотного ЭМП указывает на перспективность такого его применения при онкопатологиях.
Попытки непосредственного воздействия ифранизкочастотным ЭМП на опухолевые ткани начали осуществлять, когда был заявлен способ лечения злокачественных новообразований путем воздействия прерывистым синусоидальным ЭМП (амплитуда индукции составляла 40 мТл.) (см. А.с.№522688, A61 №1/42, Опубл. 05.03.77. Бюл. 9). По результатам исследований отмечалось размягчение тканей опухоли. Однако эффективность такого воздействия оказалась низкой по сравнению с используемыми лучевой и химиотерапией. В результате способ не получил клинического применения.
Задачей изобретения является разработка способа лечения злокачественных опухолей у животных путем локального воздействия на новообразования интенсивными инфранизкочастотными ЭМП. Параметры ЭМП, способ и режимы облучения должны обеспечить избирательность воздействия на злокачественные новообразования. Последствия такого воздействия на ткани опухоли сопоставимы с последствиями, полученными после курсов полихимиотерапии (проводимыми по стандартным схемам) без поражения сопредельных здоровых тканей. Это позволит проводить предоперацеонное облучение животного в амбулаторных условиях с использованием персонала средней квалификации, не требующего помещений, со специальной защитой, без их излишнего травмирования и стрессов, при высокой эффективности лечения и обеспечивающего снижение рисков рецидива болезни в последующем, с использованием отечественных установок и приборов – излучателей инфранизкочастотного электромагнитного поля.
Задача решается тем, что после постановки диагноза, в процессе комплексного лечения проводят в предоперационном периоде облучение выявленной злокачественной опухоли локальным знакопеременным инфранизкочастотным импульсным электромагнитным полем (ЗИИ ЭМП) при отработанных и обоснованных параметрах: при амплитуде индукции поля В=20÷80 мТл; при времени электромагнитного импульса tимп=0,75 сек, времени паузы tпауз=0,5 сек, с продолжительностью сеанса электромагнитного облучения 30-60 минут в течение 20-40 дней ежедневно, а хирургическую операцию по удалению облученной ЗИИ ЭМП злокачественной опухоли проводят на 3-7 день после окончания курса облучения. В случаи возникновения рецидива после операции проводят повторное облучение инфранизкочастотным импульсным электромагнитным полем пораженной области двумя курсами по 15-20 сеансов при интервале между курсами не более 20 дней. При облучении используют две встречно-направленные по одной оси катушки, излучающие электромагнитное поле, при этом ось катушек ЗИИ ЭМП располагают по центру облучаемого новообразования, а катушки располагают сверху и снизу опухоли на расстоянии 2-5 см от животного, при рабочей площади облучения 10÷30 см2.
Способ отличается тем, что с целью подавления опухолевых клеток на них воздействуют биполярным знакопеременным инфранизкочастотным импульсным ЭМП, с регулируемыми параметрами, формируемом в пространстве между двумя встречно-направленными по одной оси соленоидами, обеспечивающим избирательное по отношению к здоровым морфологически обратимые и необратимые изменения в тканях злокачественных новообразований.
Для реализации способа сконструирована и изготовлена опытная магнитнотерапевтическая установка, одним из основных элементов которой является генератор ЗИИ ЭМП.
Аппарат воздействия представляет стационарную установку с излучателем ЗИИ ЭМП, который выполнен в виде двух торообразных соленоидов.
Катушки соленоидов изготовлены из немагнитного материала и расположены на верхнем и нижнем основаниях рабочей стойки, с возможным расположением между ними объекта воздействия. Конструкция позволяет регулировать расстояние между катушками, а также осуществлять поворот катушек относительно стойки для изменения положения зоны воздействия.
Питание установки осуществляется от сети переменного тока частотой 50 Гц. Блок питания параллельно соединенных катушек генератора магнитного поля представляет понижающий трансформатор, с вторичной обмотки которого напряжение подается на блок формирования импульсов. Формирование импульсов выполняется с использованием тиристоров. Работа блока формирования импульсов осуществляется через устройство запуска от системы управления и контроля с персонального компьютера (фиг.1). Необходимость включения между компьютером и установкой промежуточного звена системы управления и контроля с использованием L-карты вызвана тем, что стандартные интерфейсы персонального компьютера не позволяют генерировать специальные сигналы, которые понимают устройства запуска. В память L-карты, содержащей ряд функциональных блоков, загружается специальная управляющая программа, которая по командам с компьютера осуществляет взаимодействие с установкой. Амплитуда индукции ЭМП, длительность прямых и обратных импульсов и последующих за ними пауз регулируются индивидуально. Одновременно с работой управляющей программы информация о параметрах воздействия и изображение осевого сечения распределения индукции магнитного поля (по значениям амплитуд) фиксируется на дисплее компьютера. Генерируемое поле является осисимметричным. Оно в основном сосредоточено в рабочей области между катушками.
Временная структура генерируемого магнитного поля определяется параметрами электрического контура катушек, его сопротивлением – R и индуктивностью – L, которые в совокупности определяют его инерционность. Изменение магнитного поля импульса при нарастании его переднего и спаде заднего фронтов выражается соотношением В(t)=Во·e-t/т, где т=L/R – время релаксации. Амплитуды пульсаций магнитной индукции 1 мТл с частотой 100 Гц в импульсе допускают обусловленные ими возбуждения потенциала действия. Таким образом повышается эффективность импульсного воздействия.
Время релаксации нарастания и спада фронтов импульса составляет 50 мс. Для расстояния между катушками порядка 30 см амплитуда магнитной индукции на оси в плоскостях торцов катушек 80 мТл. При заданных параметрах поле магнитной индукции зависит от расстояния меду катушек и величины тока в обмотках.
Характеристики используемой в исследованиях опытной магнитнотерапевтической установки приведены в таблице 1.
| Таблица 1 |
| Характеристики магнитотерапевтической установки |
| Характеристики |
Значения |
| Амплитуда магнитного поля (В) |
до 80 мТл |
| Ток в катушках (l) |
до 27 А |
| Расстояние между катушками (h) |
(30-50)см |
| Площадь сечения рабочего окна (S) |
10÷30 см2 |
| Длительность импульса (tИ) |
от 0,01 с |
| Длительность паузы (tП) |
от 0,05 с |
| Потребляемая мощность (W) |
1,5 кВт |
В ходе исследований проводился периодический контроль работы магнитнотерапевтической установки. Бесконтактно измерялась сила тока в катушках. Магнитное поле контролировалось с использованием датчика Холла. Параметры импульса воспроизводились на осциллографе при заданных расстояниях между катушками и установленных временных режимах.
Материалом для проведения исследований по обоснованию предложенного способа были выбраны беспородные собаки.
Перед экспериментом было осмотрено около 150 животных (собак). Из них для эксперимента было отобрано 54 животных. Объектом исследования служили 44 беспородные собаки со спонтанной злокачественной опухолью – по гистологической структуре – высоко- и умереннодифференцированной протоковой карциномой одной или нескольких молочных желез. Собаки были разделены на группы. Животные в количестве 10 собак составили контрольную группу. Им ЗИИ ЭМП не проводилось, а проводилось только хирургическое удаление новообразований с последующим гистологическим исследованием полученного материала. Время развития опухоли (с момента обнаружения до начала лечения) составляло от 8 до 24 месяцев. Размер опухоли к началу лечения (воздействия) составлял от 2,5 до 7 см в диаметре. Возраст собак – от 6 до 13 лет. Вес животных – от 7 до 25 кг.
Животные (в зависимости от результатов гистологического исследования) были разделены на подгруппы:
– Подгруппа А – проведенное число сеансов 20, продолжительность сеанса 30 мин.
Подгруппа А подразделяется по скважности:
– скважность tи=(10-15)сек; tп=(1-2)сек;
– скважность tи,=0,75 сек; tп=0,5 сек.
Подгруппа В – проведенное число сеансов 20, продолжительность сеанса 45 мин tи=0,75 сек; tп=0,5 сек.
Подгруппа С – поведенное число сеансов 40, продолжительность сеанса 30 мин; tИ=0,75 сек; tп=0,5 сек;
Сеансы проводились ежедневно.
В первоначальном варианте В=(20-80), продолжительность tи и tп составляли 15 сек и 1 сек соответственно. В дальнейшем, с учетом результатов предварительных исследований параметры используемого ЗИИ ЭМП были приняты: tи=0,75 с, tn=0,5c, В40÷80 мТл.
В процессе облучения животное помещалось между катушками на специальный стол. Ось катушек соответствовала центру облучаемого новообразования. Во время проводимой процедуры температура тела животных не отличалась от исходной и соответствовала 38-39°С.
Всем животным до, в середине и после курса воздействия по стандартным методикам определялись гематологические, биохимические и иммунологические показатели. У отдельных животных дополнительно проводились контрольные клинико-лабораторные исследования через месяц после окончания курса воздействия.
При гематологических исследованиях (эритроциты, гемоглобин, лейкоциты, эозинофилы, нейтрофилы: юные, палочкоядерные, сегментоядерные; лимфоциты, моноциты, СОЭ) – подсчет форменных элементов крови в пробах производился в камере Горяева, лейкоцитарный профиль и количество гемоглобина определяли по общепринятым методикам.
Биохимическое исследование параметров крови (общий белок, общий билирубин, сахар, мочевина, креатинин) проводилось при помощи фотоспектрометрии на аппарате “Фотометр фотоэлектрический КФК – 3”.
Исследование иммунного статуса включало количественное определение Т-(Е-РОЛ)- и В-(М-РОЛ)- лимфоцитов в реакции спонтанного розеткообразования с эритроцитами барана и мыши (кол-во лейкоцитов, кол-во Лимф, АКЛ, Т/В, ЛТИ, Т-(Е-РОЛ)-лимф, В-(М-РОЛ)-лимф). Фагоцитарную активность нейтрофилов определяли методом опсонофагоцитарной реакции, с использованием культуры золотистого стафилококка (штамм №209) высчитывали фагоцитарный индекс и фагоцитарное число.
До курса воздействия всем животным проводили пункционную биопсия опухолевого образования с последующим гистологическим и гистостереометрическим исследованием полученного материала. Покраску препаратов проводили с использованием гематоксилина и эозина по Романовскому-Гимза.
Для (гистостереометрии) оценки объемных соотношений структурных компонентов изучаемых тканей и их состояний использовали сетку, содержащую 100 точек. Раздельно подсчитывали опухолевые клетки, находящиеся в стабильном состоянии, а так же в состоянии дистрофических изменений и некроза, лимфоидные элементы и строму. При подсчетах учитывалось количество точек сетки, случайно совпадающих с каждым из названных типов (состояний) клеток. Результаты подсчета выражались в процентах. По каждому препарату для обеспечения достоверности результата по указанной методике подсчет проводился десятикратно.
На 3-7 день после окончания курса воздействия ЗИИ ЭМП животным осуществлялось хирургическое удаление пораженных опухолью молочных желез. Полученный операционный материал подвергался гистологическому и гистостереометрическому исследованиям, причем исследования проводились на разных участках опухоли (для оценки влияния различных величин индукции магнитного поля).
Эффективность воздействия ЗИИ ЭМП на новообразования определялась сравнением результатов гистологических исследований и гистостереометрии облученных и необлученных опухолевых тканей. Так же проводилось сравнение результатов воздействия на опухолевые и здоровые ткани. Дополнительно проводилось качественное сравнение с морфологическими последствиями после химиотерапии.
Достоверность данных клинико-лабораторных и гистометрических исследований оценивалась стандартными методами математической статистики для каждого определяемого показателя (признака) с доверительной вероятностью Р<0,05.
У собак со спонтанными злокачественными новообразованиями молочных желез для обоснования данного способа проводили динамическое исследование гематологических показателей (до, в середине и по окончанию курса воздействия ЗИИ ЭМП) в сравнении с аналогичными показателями в контрольной группе (здоровье собаки без курса воздействия). Полученные данные приведены в таблице 2.
| Таблица 2 |
| Характеристика гематологических показателей при воздействии ЗИИ ЭМП с параметрами: B=(40÷80) мТл; tи=0,75 сек; tп=0,5 сек; Tвоздействия=(30 мин·20 сеансов) в динамике; (М±m) |
| Показатель |
Контрольная группа |
До курса воздействия |
В середине курса воздействия |
После курса воздействия |
| Эритроциты, млн/мкл |
4,19±0,22 |
4,91±0,48 |
4,99±0,65 |
4,11±0,55 |
| Гемоглобин, г/л |
133,69±3,85 |
134,76±7,14 |
139±6,38 |
120,2±9,07 |
| Лейкоциты, тыс/мкл |
7,78±0,36 |
8,95±0,94* |
7,52±1,06* |
6,47±1,17* |
| Эозинофилы, тыс/мкл |
0,48±0,04 |
0,43±0,12 |
0,42±0,13 |
0,38±0,10 |
| Нейтрофилы п/я, тыс/мкл |
0,14±0,03 |
0,12±0,09 |
0,34±0,13 |
0,10±0,08 |
| Нейтрофилы с/я, тыс/мкл |
5,05±0,11 |
6,33±0,54* |
6,99±0,65* |
4,92±0,49* |
| Лимфоциты, тыс/мкл |
1,94±0,11 |
1,99±0,25* |
1,63±0,27* |
1,21±0,12* |
| Моноциты, тыс/мкл |
0,18±0,03 |
0,08±0,05 |
0,13±0,06 |
0,09±0,07 |
| СОЭ, мм/час |
2-8 |
4,84±1,47 |
6,33±2,49 |
6,40±2,37 |
| * – р<0,05 |
Из представленной таблицы 2 видно, что имеют место изменения ряда гематологических показателей:
– уменьшение числа лейкоцитов (тыс/мкл) к окончанию курса воздействия с (8,95±0,94) до (6,47±1,17), что составляет 28%;
– уменьшение числа лимфоцитов (тыс/мкл) к окончанию курса воздействия с (1,99±0,25) до (1,21±0,12), что составило 39%;
– уменьшение числа нейтрофилов с/я (тыс/мкл) к окончанию курса воздействия с (6,33±0,54) до (4,92±0,49), что составило 22%.
Сравнение биохимических показателей крови в динамике у собак со спонтанными злокачественными новообразованиями молочных желез (до, в середине и после окончания курса воздействия) с такими же показателями у собак (без воздействия) характеризуются следующими изменениями, представленными в таблице 3.
| Таблица 3 |
| Характеристика биохимических показателей крови при воздействии ЗИИ ЭМП с параметрами: воздействия В=(40÷80) мТл; tи=0,75 сек; tп=0,5 сек; Твоздеиствия=(30 мин·20 сеансов) в динамике; (М±m) |
| Показатель |
Контрольная группа |
Злокачественные новообразования |
| До курса воздействия |
После курса воздействия |
| Общий белок, г/л |
55,00-75,00 |
79,48±4,92 |
79,75±3,43 |
| Общий билирубин, мкмоль/л |
0,90-10,60 |
5,5±1,01 |
5,83±0,57 |
| Глюкоза, моль/л |
3,40-6,00 |
4,43±0,61 |
4,08±0,82 |
| Мочевина, моль/л |
3,10-8,30 |
7,04±1,24 |
6,63±1,99 |
| Креатинин, мкмоль/л |
50,00-110,00 |
103,54±9,31* |
117,97±8,23* |
| * – р<0,05 |
Из таблицы 3 видно, что изменения показателей незначительны и находятся в пределах нормы, за исключением значений по креатинину. Его количество увеличилось к концу курса воздействия с (103,54±9,50) мкмоль/л до (117,97±8,23) мкмоль/л, что составляет 14%.
Было проведено и динамическое наблюдение за иммунологическими показателями у собак со спонтанными злокачественными новообразованиями молочных желез в ходе исследования (до и после воздействия) в сравнении с аналогичными показателями у контрольной группы (собаки без курса воздействия). Данные отражены в таблице 4.
| Таблица 4 |
| Характеристика иммунологических показателей при воздействии ЗИИ ЭМП с параметрами: В=(40÷80) мТл; tи=0,75 сек; tп=0,5 сек; Твоздействия=(30 мин·20 сеансов) в динамике; (М±m) |
| Показатель |
Контрольная группа |
Злокачественные новообразования |
| До курса воздействия |
После курса воздействия |
| К-во лейкоцитов, тыс/мкл |
7,78±0,36 |
8,95±0,94* |
6,47±1,17* |
| К-во лимфоцитов, тыс/мкл |
1,94±0,11 |
1,99±0,25* |
1,21±0,12* |
| T/В |
1,76±0,14 |
1,71±0,35 |
2,00±0,28 |
| ЛТИ |
17,60±1,80 |
21,82±2,14 |
23,10±2,20 |
| Т-(Е-РОЛ)-лимфоциты, тыс/мкл |
0,53±0,05 |
0,41±0,09* |
0,28±0,04* |
| В-(М-РОЛ)-лимфоциты, тыс/мкл |
0,30±0,02 |
0,24±0,06* |
0,14±0,02* |
| Фагоцитарная активность, % |
26,88±2,32 |
22,71±3,68 |
22,57±2,64 |
| Фагоцитарное число, у.е. |
1,68±0,21 |
2,42±0,61 |
1,62±0,48 |
| Фагоцитарный индекс |
6,93±1,07 |
10,65±2,69 |
7,18±2,12 |
| * – р<0,95 |
Из таблицы 4 видно, что:
– уменьшение количества лейкоцитов (тыс/мкл) к окончанию курса воздействия с (8,95±0,94) до (6,47±1,17), что составило 28%;
– уменьшение количества лимфоцитов (тыс/мкл) к окончанию курса воздействия с (1,99±0,25) до (1,21±0,12), что составляет 39%;
– уменьшение Т-(Е-РОЛ) лимфоцитов (тыс/мкл) к окончанию курса воздействия с (0,41±0,09) до (0,28:г0,04), что составило 51%;
– уменьшение В-(М-РОЛ) лимфоцитов (тыс/мкл) к окончанию курса воздействия с (0,24±0,06) до (0,14±0,02), что составило 62%.
У животных, подвергнутых курсу локального воздействия ЗИИ ЭМП, отмечены внешние изменения:
– увеличение размера опухолей за счет отечного компонента к окончанию курса воздействия с (2,5÷7) см до (3,5÷8,5) см в диаметре;
– на ощупь, после курса воздействия опухоли стали мягче;
– у опухолей, облучаемых животных, находящихся вне зоны воздействия ЗИИ ЭМП, подобных изменений за период курса воздействия не наблюдалось.
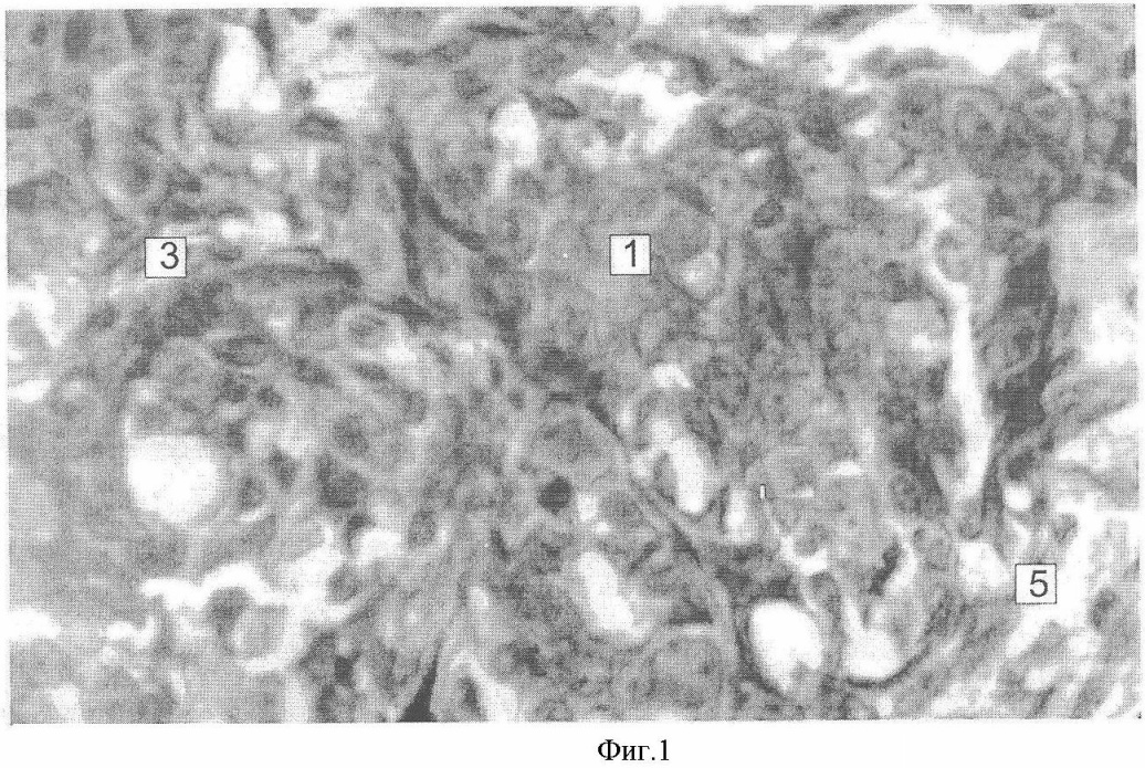
В гистологических препаратах спонтанных злокачественных новообразований молочных желез без воздействия ЗИИ ЭМП (диагноз – высоко и умереннодифференцированная протоковая карцинома) среди стромы определяются железистые и железисто-криброзные структуры из полиморфных атипичных клеток с гиперхромными ядрами, единичные участки дистрофий и фокусы некрозов. Имеет место преобладание эпителиального опухолевого компонента под стромой.
При сравнительном исследовании гистологических препаратов спонтанных злокачественных новообразований молочных желез (диагноз – умеренная и высокодифференцированная протоковая карцинома) без воздействия и после курса воздействия ЗИИ ЭМП с параметрами и в режимах: В=(20÷40) мТл; tи=0,75 сек; tп=0,75 сек; Твоздеиствия=(30 мин·20 сеансов) отмечается следующими особенности:
– дистрофические изменения эпителиальных клеток в виде очагового диффузного кариопикноза и кариорексиса, вакуолизации цитоплазмы до (25÷50)%;
– увеличение площади некрозов до (15÷25)%;
– изменение соотношения строма – эпителиальный опухолевый компонент в сторону стромы;
– умеренная очаговая лимфоидная инфильтрация стромы в виде скоплений реактивных лимфоцитов;
– появление участков гиалиноза и фиброза;
– наличие гемосидероза в строме.
Перечисленные изменения более выражены в гистологических препаратах тех новообразований, которые были подвергнуты курсу воздействия ЗИИ ЭМП с амплитудой индукции: В=(40÷80) мТл и экспозицией Твоздействия=(30 мин÷40 сеансов), при этом лечебный патоморфоз достигает I-II степени. Дистрофические изменения и некрозы нарастают и составляют (40-60)% и (20-30)% соответственно.
В то же время, при гистологическом исследовании тканей здоровых молочных желез при всех используемых параметрах воздействия ЗИИ ЭМП дистрофические изменения составляют (1-3)%, некрозы не обнаружены.
Проведена гистостереомическая обработка гистологических препаратов, полученных после хирургического удаления злокачественных новообразований молочных желез у собак.
Последствия курсового воздействия ЗИИ ЭМП на опухоль оценивались по данным гистостереометрии гистологических препаратов. Статистическая достоверность результатов обеспечивалась:
– усреднением относительного количества структурных компонентов и их состояний для каждого среза опухоли по различающимся его участкам;
– усреднение относительного количества структурных компонентов по совокупности однотипных опухолей при одинаковых условиях воздействия.
Показатели структурных компонентов спонтанных злокачественных новообразований молочных желез собак без воздействия и после курса воздействия локальным ЗИИ ЭМП с параметрами В=(40÷80) мТл; tи=0,75 сек; tп=0,5 сек; Твоздействия=(30 мин·40 сеансов), выборочно представлены в таблицах 5-6.
| Таблица 5 |
| Показатели структурных компонентов спонтанной злокачественной опухоли молочной железы без воздействия ЗИИ ЭМП |
| Структурные компоненты и их состояние |
Поля зрения (в %) |
| 1 |
2 |
3 |
4 |
5 |
6 |
7 |
8 |
9 |
10 |
| Клетки опухоли |
28 |
26 |
29 |
28 |
28 |
26 |
31 |
29 |
31 |
25 |
| Дистрофически измененные клетки |
2 |
3 |
2 |
4 |
2 |
4 |
4 |
5 |
2′ |
3 |
| Некрозы. |
1 |
3 |
2 |
0 |
1 |
1 |
2 |
1 |
0 |
1 |
| Лимфоидные элементы |
3 |
1 |
1 |
3 |
1 |
2 |
2 |
2 |
3 |
2 |
| Строма |
66 |
67 |
66 |
65 |
68 |
67 |
61 |
63 |
64 |
69 |
Усредненное по полям зрения соотношение структурных компонентов (таблица 5.) характеризуется следующими показателями (фиг.1):
– клетки опухоли – 28,1%;
– дистрофически измененные клетки – 3,1%;
– некрозы- 1,2%;
– лимфоидные элементы – 2,0%;
– строма – 65,6%.
| Таблица 6 |
| Показатели структурных компонентов спонтанной злокачественной опухоли молочной железы после курса воздействия ЗИИ ЭМП с параметрами воздействия В=(40÷80) мТл; tи=0,75 сек.; tп=0,5 сек; Твоздействия=(30 мин·40 сеансов) |
| Структурные компоненты и их состояние |
Поля зрения (в %) |
| 1 |
2 |
3 |
4 |
5 |
6 |
7 |
8 |
9 |
10 |
| Клетки опухоли |
15 |
12 |
11 |
9 |
10 |
12 |
11 |
12 |
12 |
10 |
| Дистрофически измененные клетки |
1 |
2 |
1 |
2 |
1 |
1 |
2 |
1 |
1 |
2 |
| Некрозы |
0 |
1 |
0 |
0 |
0 |
0 |
0 |
1 |
0 |
0 |
| Лимфоидные элементы |
0 |
1 |
0 |
1 |
0 |
0 |
1 |
0 |
2 |
0 |
| Строма |
84 |
84 |
88 |
88 |
89 |
87 |
86 |
86 |
85 |
88 |
Усредненное по полям зрения соотношение структурных компонентов (таблица 6.) характеризуется следующими показателями (фиг.2):
– клетки опухоли – 11,2%;
– дистрофические измененные клетки – 1,4%;
– некрозы – 0,2%;
– лимфоидные элементы – 0,5%;
– строма – 86,7%.
Гистостереометрическая обработка гистологических препаратов спонтанных злокачественных новообразований, подвергнутых курсу воздействия локальным ЗИИ ЭМП. В результате облучения ЗИИ ЭМП происходят следующие структурные изменения, которые представлена в таблицах 7-8.
| Таблица 7 |
| Характеристика структурных компонентов спонтанных злокачественных новообразований молочных желез после курса воздействия при различных амплитудах индукции МП (tи=0,75 сек; tп=0,5 сек; Твоздействия=(30 мин·20 сеансов); (М±т) |
| Структурные компоненты и их состояние |
Без воздействия (в %) |
После курса воздействия с индукцией МП (20÷40) мТл (в %) |
После курса воздействия с индукцией МП (40÷80) мТл (в %) |
| Клетки опухоли |
28,49±2,08* |
23,05±2,47* |
18,58±1,09* |
| Дистрофически измененные клетки |
2,71±0,67 |
2,97±1,07 |
2,80±0,59 |
| Некрозы |
0,80±0,35* |
1,21±0,41* |
1,46±0,29* |
| Лимфоидные элементы |
1,51±0,42 |
1,64±0,66 |
1,56±0,31 |
| Строма |
66,49±2,16* |
71,13±2,25* |
75,60±3,27* |
| * – р<0,05 |
Из таблицы 7 видно, что при воздействии с увеличением индукции МП в тканях злокачественных новообразований определяются следующие изменения:
– достоверное уменьшение клеток опухоли (в %) с (28,49±2,08) – без воздействия, до (23,05±2,47) и (18,58±1,09) – при индукции МП В=(20÷40) мТл и В=(40÷80) мТл после курса воздействия соответственно;
– увеличение числа некрозов (в %) с (0,80±0,35) – без воздействия, до (1,21±0,41) и (1,46±0,29) мТл – индукции МП В=(20÷40) мТл и В=(40÷80) мТл после курса воздействия соответственно;
– достоверное увеличение стрэмы (в %) с (66,49±,16) – без воздействия, до (71,13±2,25) и (75,60±3,27) – при индукции МП В=(20÷40) мТл и В=(40÷80) мТл после курса воздействия соответственно.
Из таблицы 8 видно, что при увеличении экспозиции воздействия в тканях злокачественных новообразований наступают следующие изменения:

– достоверное уменьшение количества клеток опухоли (в %) с (28,49±2,08) – без воздействия, до (18,58±1,09) и (15,24±1,33) – при Твоздействия=(30 мин·20 сеансов) и Твоздействия=(45 мин·20 сеансов) соответственно; при Твоздействия=(30 мин·40 сеансов) количество опухолевых клеток уменьшается до (13,24±3,19);
– достоверное увеличение стромы (в %) с (66,49±2,16) – без воздействия, до (75,60±3,27) и (79,37±3,91) – при Твоздействия=(30 мин·20 сеансов) и Твоздействия=(45 мин·20 сеансов) соответственно; при Твоздействия=(30 мин·40 сеансов) увеличение стромы достигает (81,01±8,79).
| Таблица 9 |
| Характеристика структурных компонентов спонтанных злокачественных новообразований молочных желез после курса при различной скважности воздействия (В=(40÷80) мТл; Твоздеиствия=(30 мин·20 сеансов); (М±m) |
| Структурные компоненты и их состояние |
Без воздействия (в %) |
После курса воздействия с tи=(10-15)сек. и tn=(1-2)сек (в%) |
После курса воздействия с tи=0,75 сек. и tn=0,5 сек (в%) |
| Клетки опухоли |
28,49±2,08* |
23,61±4,57 |
18,58±1,09* |
| Дистрофически измененные клетки |
2,71±0,67 |
3,10±2,86 |
2,80±0,59 |
| Некрозы |
0,80±0,35* |
1,10±2,58 |
1,46±0,29* |
| Лимфоидные элементы |
1,51±0,42 |
1,71±1,80 |
1,56±0,31 |
| Строма |
66,49±2,16* |
70,48±9,07 |
75,60±3,27* |
| * – р<0,05 |
Из таблицы 9 видно, что при изменении скважности в структурах спонтанных злокачественных новообразований молочных желез произошли следующие изменения:
– уменьшение количества опухолевых клеток (в %) с (28,49±2,08) – без воздействия, до (23,61±4,57) и (18,58±1,09) после курса воздействия со скважностью (tи=(10÷15) сек; tп=(1÷2) сек) и (tи=0,75 сек; tп=0,5 сек) соответственно;
– уменьшение дистрофически измененных клеток (в %) с (2,71±0,67) – без воздействия, до (3,10±2,86) и (2,80±0,59) после курса воздействия со скважностью (tи=(10÷15) сек; tп=(1÷2) сек и (tи=0,75 сек; tп=0,5 сек) соответственно;
– увеличение некрозов (в %) с (0,80±0,35) – без воздействия, до (1,10±2,58) и (1,46±0,29) после курса воздействия со скважностью (tи=(10÷15) сек; tn=(1÷2) сек и (tи=0,75 сек; tп=0,5 сек соответственно;
– увеличение стромы (в %) с (66,49±2,16) – без воздействия, до (70,48±9,07) и (75,60±3,27) после курса воздействия со скважностью (tи=(10÷15) сек; tп=(1÷2)сек и (tи=0,75 сек; tп=0,5 сек соответственно.
Дополнительная оценка эффективности воздействия локального ЗИИ ЭМП на новообразования молочной железы была получена сопоставлением результатов его последствий с последствиями после проведенной химиотерапии. Животному со злокачественной опухолью (гистологический диагноз – высокодифференцированная протоковая карцинома) был проведен курс полихимиотерапии по схеме (Циклофосфан – по 100 мг внутривенно через день №7; Метотрексанат – 10 мг внутривенно капельно в 1 и 8 день; Фторурацил
– по 500 мг внутривенно капельно в 1 и 8 день).
В таблицах 6 и 10 представлены соответствующие гистостереометрические данные для такого сопоставления.
Усредненное по полям зрения соотношение структурных компонентов по таблице 10 характеризуется показателями:
– клетки опухоли – 25,9%;
– дистрофически измененные клетки – 3,1%;
– некрозы – 1,1%;
– лимфоидные элементы – 1,9%;
– строма – 68,0%.
| Таблица 10 |
| Характеристика структурных компонентов злокачественной опухоли молочной железы, подвергшейся воздействию курсом полихимиотерапии по схеме CMF |
| Структурные компоненты и их состояние |
Поля зрения (в %) |
| 1 |
2 |
3 |
4 |
5 |
6 |
7 |
8 |
9 |
10 |
| Клетки опухоли |
24 |
24 |
21 |
26 |
29 |
24 |
26 |
28 |
30 |
27 |
| Дистрофически измененные клетки |
5 |
5 |
2 |
3 |
2 |
1 |
2 |
5 |
3 |
3 |
| Некрозы |
0 |
0 |
7 |
0 |
0 |
0 |
0 |
0 |
0 |
4 |
| Лимфоидные элементы |
1 |
2 |
0 |
2 |
3 |
1 |
3 |
3 |
1 |
3 |
| Строма |
70 |
69 |
70 |
69 |
66 |
74 |
69 |
64 |
66 |
63 |
Полученные результаты проведенных многочисленных исследований воздействий ЗИИ ЭМП с индукцией В=(20÷80) мТл позволяет сделать следующие заключения:
1. Принципиально значимыми являются впервые установленные избирательность и морфологическая необратимость последствий воздействия на опухолевые ткани по сравнению с аналогичными здоровыми. Определяемый лечебный патоморфоз злокачественных новообразований по их структурным характеристикам подтверждают перспективность, неочевидность и новизну использования ЗИИ ЭМП в онкологической практике.
2. Использованные предложенные режимы локального ЗИИ ЭМП воздействия достоверно приводят к лечебному патоморфозу I-II степени выраженности спонтанных злокачественных новообразований у подопытных животных, что соответствует последствиям после одного курса химиотерапии по стандартной методике.
3. Локальное воздействие интенсивным ЗИИ ЭМП при используемых параметрах на животных со злокачественными новообразованиями приводит к достоверно-обратимым изменениям клинико-лабораторных показателей. В совокупности данные проведенных клинико-лабораторных исследований указывают возможность использования ЗИИ ЭМП для эффективного лечения злокачественных опухолей у животных.
Предложенный способ и реализованные условия воздействия знакопеременного инфранизкочастотного импульсного ЭМП являются перспективными для использования в ветеринарной онкологической практике как самостоятельно, так и в комбинации с другими методами лечения.
Формула изобретения
1. Способ лечения злокачественных опухолей у собак, включающий постановку диагноза, облучение опухоли ЭМП в процессе подготовки к удалению злокачественной опухоли, хирургическое удаление опухоли и послеоперационное наблюдение животного, отличающийся тем, что животному в предоперационном периоде проводят облучение опухоли регулируемым локальным знакопеременным инфранизкочастотным импульсным электромагнитным полем (ЗИИ ЭМП), при индукции магнитного поля В=(20÷80) мТл, при времени импульса tи=0,75 с, времени паузы tп=0,5 с, с продолжительностью сеанса облучения 30-60 мин в течение 20-40 дней, а хирургическую операцию по удалению злокачественной опухоли проводят на 3-7 день после окончания курса ЗИИ ЭМП облучения.
2. Способ лечения злокачественных опухолей у собак по п.1, отличающийся тем, что в случае возникновения рецидива после операции проводят повторное облучение ЗИИ ЭМП с двух сторон пораженной области при интервале между курсами не более 20 дней.
РИСУНКИ
|
|