Патент на изобретение №2346277

Published by on




РОССИЙСКАЯ ФЕДЕРАЦИЯ



ФЕДЕРАЛЬНАЯ СЛУЖБА
ПО ИНТЕЛЛЕКТУАЛЬНОЙ СОБСТВЕННОСТИ,
ПАТЕНТАМ И ТОВАРНЫМ ЗНАКАМ
(19) RU (11) 2346277 (13) C1
(51) МПК

G01N33/50 (2006.01)

(12) ОПИСАНИЕ ИЗОБРЕТЕНИЯ К ПАТЕНТУ

Статус: по данным на 08.08.2011 – действует

(21), (22) Заявка: 2007121289/15, 06.06.2007

(24) Дата начала отсчета срока действия патента:

06.06.2007

(45) Опубликовано: 10.02.2009

(56) Список документов, цитированных в отчете о
поиске:
СЕРОВ В.Н. и др. Хламидиоз. Клиника, диагностика, лечение. Методические рекомендации. – М., 1997. МИСЮРИНА О.Ю. и др. Применение метода ОТ-ПЦР для определения чувствительности Chlamydia trachomatis к антибиотикам. Бюллетень экспериментальной биологии и медицины. 2002, т.133, N3, с.357-360. RU 2252420 C1, 20.05.2005. SU 774546 A1, 30.10.1980.

Адрес для переписки:

630091, г.Новосибирск, 91, ул. Фрунзе, 17, ННИИТО, патентный отдел

(72) Автор(ы):

Павлов Виталий Викторович (RU),
Русова Татьяна Васильевна (RU),
Баитов Владислав Сергеевич (RU)

(73) Патентообладатель(и):

Федеральное государственное учреждение Новосибирский научно-исследовательский институт травматологии и ортопедии Федерального агентства по высокотехнологичной медицинской помощи (ФГУ ННИИТО Росмедтехнологий) (RU)

(54) СПОСОБ ДИАГНОСТИКИ СПЕЦИФИЧЕСКОГО СИНОВИТА


(57) Реферат:

Изобретение относится к медицине, а именно к травматологии и ортопедии. Предложен способ определения активности Chlamydia trachomatis в суставе. Для осуществления способа в синовиальной жидкости в суставах исследуют количество гликозаминогликанов (ГАГ) и при снижении в ней составляющих ГАГ гексуроновой кислоты и галактозы в 2 раза и более относительно нормы и отсутствии высокополимерной гиалуроновой кислоты и агрегатов протеогликанов констатируют наличие высокоактивной хламидийной инфекции. Использование способа позволяет точно диагносцировать активный патологический процесс, вызванный Chlamydia trachomatis, что дает возможность провести своевременное, адекватное и патогенетически обоснованное лечение. 2 ил.



Изобретение относится к медицине, а именно к травматологии и ортопедии, и может быть использовано в качестве диагностического биохимического теста для определения продуктов жизнедеятельности специфического возбудителя в синовиальной жидкости суставов.

Для экспресс-диагностики Chlamydia trachomatis используется способ прямой иммунофлюоресценции с моноклональными антителами (Овчинникова Н.М., Беднова В.Н., Делекторский В.В. Лабораторная диагностика заболеваний, передающихся половым путем. М.: Медицина, 1987; Мисюрина О.Ю., Генерозов Э.В., Говорун В.М. и др. Хламидиоз. Современные подходы к диагностике и лечению. Клиника, диагностика и лечение хламидийной инфекции (пособие для врачей). Москва: НИИ физико-химической медицины МЗ РФ, Научно-производственная фирма «ЛИТЕХ», Центральная клиническая больница Медицинского Центра УД Президента РФ, Российская медицинская академия последипломного образования). Данный способ является высокоспецифичным, чувствительным и технически простым. Метод дает правильный результат более чем в 75% случаев. Но этим способом исследуется не синовиальная жидкость, а соскоб с синовиальной оболочки сустава.

Наиболее близким к заявляемому является способ полимеразной цепной реакции для выявления ДНК/РНК Chlamydia trachomatis в биологическом материале (Полимеразная цепная реакция в диагностике и контроле лечения инфекционных заболеваний. Материалы 2-ой Всероссийской конференции. – М. – 1998; Применение полимеразной цепной реакции в диагностике инфекционных заболеваний. Методы лечения. Материалы 1-ой Всероссийской конференции. – Сочи. – 1996; Серов В.Н., Краснопольский В.И., Делекторский В.В. и др. Хламидиоз. Клиника, диагностика, лечение. Методические рекомендации. – М., 1997). Основными мишенями при выявлении Chlamydia trachomatis являются нуклеотидная последовательность видоспецифических белков. Путем многократно повторяющихся циклов синтеза нарабатывают достаточное количество копий выбранного участка фрагмента ДНК, который впоследствии выявляют с помощью электрофореза или другой техники. Метод очень чувствителен, но стоимость исследования высока.

Все эти способы позволяют выявить возбудитель, но не дают представления о структурных изменениях в синовиальной жидкости, вызванных жизнедеятельностью Chlamydia trachomatis.

Задачей изобретения является разработка способа диагностики активности Chlamydia trachomatis в суставе, характеризуемой как структурными изменениями протеогликанов и гиалуроновой кислоты, так и количеством гликозаминогликанов (ГАГ) в синовиальной жидкости (СЖ).

Поставленная задача решается за счет того, что исследуют в синовиальной жидкости количество гликозаминогликанов и при снижении составляющих ГАГ гексуроновой кислоты и галактозы в 2 раза и более, отсутствии в ней высокополимерной гиалуроновой кислоты и протеогликанов констатируют наличие высокоактивной хламидийной инфекции.

Техническим результатом изобретения является точная диагностика патологического процесса, вызванного Chlamydia trachomatis, что обеспечивает своевременное, адекватное и патогенетически обоснованное лечение.

Технический результат достигается за счет выявления изменений структуры и состава основных компонентов СЖ, определяющих ее функциональную полноценность, а именно гиалуроновой кислоты и протеогликанов. Жизненный цикл внутриклеточных бактерий Chlamydia trachomatis приводит к интенсивному разрушению этих компонентов, о чем свидетельствует снижение количества ГАГ и изменение структуры протеогликанов.

Способ осуществляется следующим образом.

Выделение ГАГ.

В установленной норме из синовиальной жидкости выделяются гиалуроновая кислота и протеогликаны.

Определение количества ГАГ.

Поскольку структура ГАГ разнообразная, для их количественных характеристик исследуют гексуроновую кислоту и галактозу.

Количество гексуроновой кислоты определяют карбазоловым методом (Bitter Т., Muir Н.М. A modified uronic acid carbozole reaction. Ann. Biochem. 1962, v.4, p.330-334). К 10 мкл исходного раствора добавляют 190 мкл воды + 200 мкл спиртового раствора карбазола (1,25 г карбазола в 1,0 л этилового 96° этанола), хорошо встряхивают и добавляют 2,0 мл тетрабората натрия в серной кислоте (9,5 грамм тетрабората натрия в 1,0 л концентрированной серной кислоты марки «ОСЧ»). Смесь нагревают на кипящей водяной бане 8 мин, охлаждают. Экстинцию раствора измеряют на спектрофотометре при длине волны 535 нм против контрольного раствора (200 мкл воды + 200 мкл раствора карбазола + 2,0 мл раствора тетрабората натрия в серной кислоте). В качестве стандарта используют гексуроновые кислоты (концентрация в пробе от 10 до 30 мкг) или хондроитинсульфат-С (ХС-С) (концентрация в пробе от 2 до 20 мкг). Результаты рассчитывают в мкг гексуроновых кислот (или ХС-С) на 1 мл синовиальной жидкости.

В признанной норме количество гексуроновых кислот составляет 2,754±0,2532 мг на 1 мл СЖ.

Количество галактозы определяют методом Roe J.H. (J. Biol. Chem. 1955. V.215. pp.335-343). К 50 мкл исходного раствора ГАГ добавляют 450 мкл воды и 3,0 мл раствора антрона в 66% серной кислоте (0,05% антрон – 500 мг, 1% тиомочевина – 10 г в 1 литре 66% серной кислоты). Раствор встряхивают и нагревают на кипящей водяной бане 10 мин. Затем охлаждают и измеряют экстинцию на спектрофотометре при длине волны 620 нм против контрольной смеси, в которой 500 мкл пробы заменены таким же объемом воды.

В установленной норме количество галактозы составляет 1,01±0,0681 мг на 1 мл СЖ.

Определение структуры СЖ

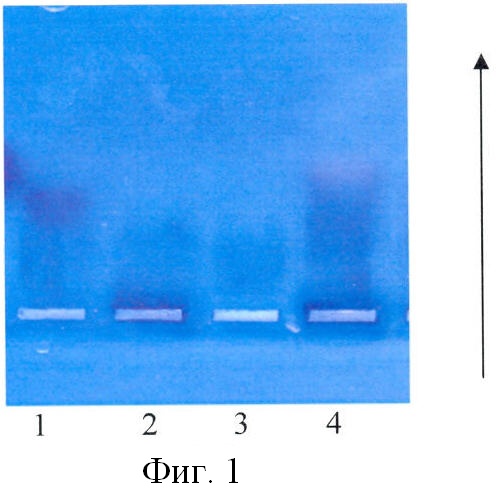
В норме в СЖ протеогликаны и гиалуроновая кислота существуют в виде комплексов, которые показаны на фиг.1 (стрелка указывает направление движения тока). В этих комплексах гиалуроновая кислота выявляется на старте нанесения образцов (полосы 2, 4). Протеогликаны представлены в виде агрегатов, поэтому движутся от старта непрерывной полосой (полосы 1, 3).

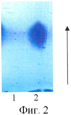
Активная форма хламидийной инфекции разрушает на только комплексы протеогликанов и гиалуроновой кислоты, но и сами эти вещества (фиг.2). В СЖ больных гиалуроновой кислоты остается мало, молекулярные размеры ее малы, поэтому она уходит далеко от старта (полоса 1). Протеогликаны также теряют способность к образованию агрегатов и уходят далеко от старта отдельным пятном (полоса 2). Стрелкой показано направление движения тока.

Описанным способом было обследовано 15 пациентов с изолированным проявлением синовита, без клинических признаков поражения урогенитального тракта. Полученные данные обработаны статистически. Установлено, что количество гексуроновых кислот и галактозы в СЖ снижено в 2 и более раз. На картине электрофореза видны отдельные пятна легких протеогликанов и низкомолекулярные оболочки гиалуроновой кислоты. Эта картина характерна для активной формы хламидийной инфекции в суставе.

Пример конкретного применения. Больной Н., 42 лет, история болезни №5487а, находился на лечении с диагнозом хронический синовит коленного сустава. Повреждение медиального мениска. Больному в течение 1 года проводилось консервативное лечение, пункции коленного сустава, внутрисуставные блокады без продолжительного положительного эффекта. Больному выполнена артроскопия коленного сустава, на которой из полости сустава получена мутная синовиальная жидкость в объеме около 100 мл, при ревизии полости сустава покровный хрящ гладкий, ровный с участками хондромаляции 1 степени в рабочей зоне, синовиальная оболочка гипертрофирована, гиперемирована во всех отделах коленного сустава. Больному взят анализ синовиальной жидкости и фрагмента покровного хряща на ПЦР диагностику хламидийной инфекции и исследование протеогликанового синовиальной жидкости по предлагаемой методике. Выявлено количество гексуроновых кислот 0,6 мг на 1 мл, количество галактозы 0,4 мг на 1 мл, на электрофорезе видно отсутствие гиалуроновой кислоты и небольшое количество свободных протеогликанов. ПЦР выявила наличие Chlamydia trachomatis. На основе полученных результатов выставлен диагноз: специфический синовит. Больному проведено лечение основного заболевания с достижением стойкого клинического эффекта: купирование боли и синовита и увеличение объема движения в коленном суставе.


Формула изобретения


Способ определения активности Chlamydia trachomatis в суставе, отличающийся тем, что в синовиальной жидкости определяют количество гликозаминогликанов и при снижении составляющих ГАГ гексуроновой кислоты и галактозы в 2 раза и более относительно нормы, отсутствии в ней высокополимерной гиалуроновой кислоты и агрегатов протеогликанов констатируют наличие активной хламидийной инфекции в суставе.


РИСУНКИ

Categories: BD_2346000-2346999