Патент на изобретение №2344486

Published by on




РОССИЙСКАЯ ФЕДЕРАЦИЯ



ФЕДЕРАЛЬНАЯ СЛУЖБА
ПО ИНТЕЛЛЕКТУАЛЬНОЙ СОБСТВЕННОСТИ,
ПАТЕНТАМ И ТОВАРНЫМ ЗНАКАМ
(19) RU (11) 2344486 (13) C1
(51) МПК

G09B23/28 (2006.01)

(12) ОПИСАНИЕ ИЗОБРЕТЕНИЯ К ПАТЕНТУ

Статус: по данным на 08.09.2010 – может прекратить свое действие

(21), (22) Заявка: 2007133773/14, 10.09.2007

(24) Дата начала отсчета срока действия патента:

10.09.2007

(46) Опубликовано: 20.01.2009

(56) Список документов, цитированных в отчете о
поиске:
ЛОПУХИН Ю.М. Экспериментальная хирургия. М., Медицина, 1971, с.282. RU 2258960 С2, 20.08.2005. US 7015048, 21.03.2006. РОЛИК А.В. Хирургическое лечение внутрисуставных переломов шейки бедренной кости (экспериментально-клиническое исследование). Автореферат дисс. докт. мед. наук, 1997, с.11-13. DRESCHER W. Femoral head blood flow reduction and

Адрес для переписки:

640014, г.Курган, ул. М. Ульяновой, 6, ФГУ “РНЦ “Восстановительная травматология и ортопедия” им. акад. Г.А. Илизарова ФА по ВМП”, НОИС, пат.пов. Т.Н.Коваленко

(72) Автор(ы):

Кирсанова Анастасия Юрьевна (RU),
Слесаренко Наталья Анатольевна (RU),
Кирсанов Константин Петрович (RU),
Краснов Виталий Викторович (RU)

(73) Патентообладатель(и):

Федеральное государственное учреждение “Российский научный центр “Восстановительная травматология и ортопедия” имени академика Г.А. Илизарова Федерального агентства по высокотехнологичной медицинской помощи” (RU)

(54) СПОСОБ МОДЕЛИРОВАНИЯ ДИСТРОФИЧЕСКОГО ПОРАЖЕНИЯ ТАЗОБЕДРЕННОГО СУСТАВА

(57) Реферат:

Изобретение относится к экспериментальной медицине и может быть применимо для моделирования дистрофического поражения тазобедренного сустава. Осуществляют резекцию дорсального края вертлужной впадины. Ротируют бедро кнаружи и смещают его головку в направлении образованного дефекта вертлужной впадины. В частном случае, для формирования картины тяжелой степени дистрофического поражения тазобедренного сустава дополнительно производят тенотомию связки головки бедренной кости. Способ позволяет сократить срок формирования типичной клинической, рентгенологической и морфологической картины патологического состояния. 1 з.п.ф-лы, 7 ил.

(56) (продолжение):

CLASS=”b560m”hypercoagulability under 24 h megadose steroid treatment in pigs. J Orthop Res. 2004 May; 22(3):501-8 (Abstract).

Изобретение относится к области экспериментальной медицины и может быть использовано при изучении механизма развития патологического процесса и разработке новых способов лечения дистрофических поражений тазобедренного сустава.

Известен способ моделирования у животных суставного дистрофического процесса, предусматривающий введение в полость сустава преднизолона в объеме 15-25 мл 1-2 раза в две недели в течение одного месяца (Патент РФ № 2117997, опубл. 20.08.1998).

Однако данный способ сопряжен с длительными сроками получения патологического состояния, что затягивает сроки выполнения экспериментальных работ.

Известен способ моделирования диспластического коксартроза, включающий клиновидную резекцию части «крыши» вертлужной впадины и последующее замещение образованного дефекта мобилизованным костно-хрящевым отделом «крыши» впадины (Патент РФ № 2258960, опубл. 20.08.2005).

Однако данный способ не предусматривает изменения пространственных взаимоотношений анатомических структур тазобедренного сустава, что характерно для его дистрофического поражения и, особенно, диспластического состояния. Кроме того, получение клинико-рентгенологической картины данной патологии при этом способе также сопряжено с длительными сроками ее формирования.

Задачей изобретения является разработка способа моделирования дистрофического поражения тазобедренного сустава, обеспечивающего получение типичной клинико-рентгенологической и морфологической картины патологического состояния, а также сокращение сроков ее формирования.

Указанная задача решается тем, что в способе моделирования дистрофического поражения тазобедренного сустава, включающем нарушение целостности его анатомических структур, для получения модели используют растущих животных, осуществляют резекцию дорсального края вертлужной впадины, ротируют бедро кнаружи и смещают головку бедра в направлении образованного дефекта впадины,

Предусматривается также, что для формирования картины тяжелой степени дистрофического поражения тазобедренного сустава дополнительно производят тенотомию связки головки бедренной кости.

Изобретение поясняется описанием, примерами практического использования и чертежами, на которых изображено следующее:

Фиг.1 – рентгенограмма тазобедренного сустава собаки до эксперимента;

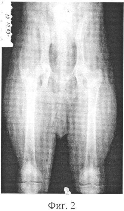
Фиг.2 – рентгенограмма тазобедренного сустава собаки в день оперативного вмешательства;

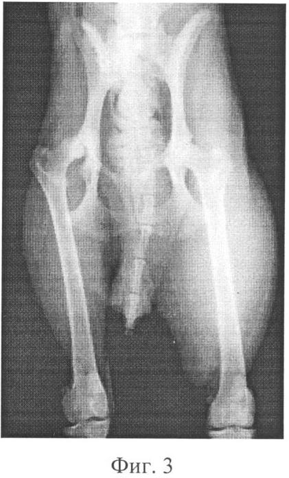
Фиг.3 – рентгенограмма тазобедренного сустава собаки через 30 суток после оперативного вмешательства;

Фиг.4 – анатомический препарат вертлужной впадины собаки;

Фиг.5 – анатомический препарат головки бедренной кости собаки;

Фиг.6 – гистологический препарат вертлужной впадины собаки;

Фиг.7 – гистологический препарат головки бедренной кости собаки.

Способ осуществляется следующим образом.

После анестезии и обработки операционного поля, кранио-латеральным доступом обнажают тазобедренный сустав растущего животного (с «незакрытыми» зонами роста костей, образующих вертлужную впадину, и головки бедренной кости) и производят вскрытие дорсальной части капсулы тазобедренного сустава. Осуществляют ее рассечение по контуру костно-хрящевого свода вертлужной впадины и выполняют резекцию дорсального края последней. При этом выделяют ее краевой фрагмент шириной 0,5-1,0 см по линии сечения С-образной формы, адекватно кривизне дорсального края впадины, который удаляют. Резекцию производят без повреждения магистральных сосудов таза, седалищного нерва и головки бедренной кости.

Затем бедро частично (на 10-15°) ротируют кнаружи и смещают его головку в направлении образованного дефекта вертлужной впадины.

Для получения рентгено-морфологической картины тяжелой степени дистрофического поражения тазобедренного сустава дополнительно производят тенотомию связки головки бедренной кости.

После тщательного гемостаза операционную рану послойно и наглухо ушивают.

Дальнейшее наблюдение за животным и его выведение из опыта производят в соответствии с задачами эксперимента.

Практическое использование способа иллюстрирует следующее наблюдение.

Собака № 2816, возраст 7,5 месяцев (фиг.1). Для получения модели дистрофического процесса в тазобедренном суставе выполнена операция: резекция дорсального края вертлужной впадины, тенотомия связки головки бедренной кости справа.

В ходе операции осуществили доступ к правому тазобедренному суставу, произвели вскрытие полости сустава, выполнили резекцию дорсального края вертлужной впадины с выделением и удалением ее краевого фрагмента величиной 1,3×0,5 см. После этого произвели тенотомию связки головки бедренной кости; бедро ротировали кнаружи на 20° и сдвинули в направлении сформированного дефекта вертлужной впадины. Затем провели тщательный гемостаз и ревизию операционной раны, после чего ее послойно и наглухо ушили (фиг.2).

По результатам рентгенологического исследования в послеоперационном периоде установлено, что через 30 суток у животного в правом тазобедренном суставе сформировалась картина, характеризующаяся вывихом бедра, уплощением вертлужной впадины. Замыкательная пластина вертлужной впадины слита с латеральной поверхностью таза, головка бедра уплощена с нарушением архитектоники костных балок, в зоне линии Моргана – значительные экзостозы, шеечно-диафизарный угол – 136° (фиг.3).

В клиническом плане у животного отмечалась атрофия параартикулярных мышц на стороне повреждения, слабость опоры тазовых конечностей, вихляющая походка, хромота опорного типа, внутренняя ротация больного бедра, ограничение отведения бедра в сторону до 20°. Наряду с этим были выражены симптомы «щелчка» и «насоса» в суставе, относительное укорочение правой тазовой конечности на 1,4 см, а также положительные симптомы Ortolani и Bardens.

При патолого-анатомическом исследовании к этому сроку: вертлужная впадина уменьшена в размерах за счет компактизированных костных, а также фиброзных разрастаний. Суставной хрящ, покрывающий впадину, дистрофически изменен и подвергся оссификации. В суставной полости наблюдаются фрагменты некротизированной фиброзной ткани (фиг.4). Головка бедра резко деформирована, а ее размеры значительно уменьшены. Поперечные размеры шейки бедра составляли 75% от исходных размеров (фиг.5).

На гистологических препаратах в суставном гиалиновом хряще выражены глубокие дистрофические изменения: снижение высоты, нарушение зональности строения, многочисленные мелкоклеточные изогенные группы, прерывистость линии базофильного раздела и редукция глубокой зоны. На значительном протяжении суставная выстилка была представлена волокнистым хрящем. Субхондральная костная пластинка деформировалась (фиг.6).

В гиалиновом хряще головки бедренной кости отмечено наличие волокнисто-соединительнотканого паннуса, разрыхление бесклеточной пластинки гиалинового хряща, появление колонок хондроцитов в глубоком слое ниже базофильной линии, трещины субхондральной кости и хрящевого матрикса (фиг.7).

Отмеченное свидетельствовало о формировании у данного экспериментального животного типичной картины дистрофического поражения, соответствующей выраженной форме дисплазии тазобедренного сустава.

Использование предложенного способа в РНЦ «ВТО» им. акад. Г.А.Илизарова показало, что его применение обеспечивает получение типичной клинико-рентгенологической и морфологической картины дистрофического поражения в тазобедренном суставе и сокращает сроки его формирования.

Формула изобретения

1. Способ моделирования дистрофического поражения тазобедренного сустава, включающий нарушение целостности его анатомических структур, отличающийся тем, что для получения модели используют растущих животных, осуществляют резекцию дорсального края вертлужной впадины, ротируют бедро кнаружи и смещают его головку в направлении образованного дефекта вертлужной впадины.

2. Способ по п.1, отличающийся тем, что для формирования картины тяжелой степени дистрофического поражения тазобедренного сустава дополнительно производят тенотомию связки головки бедренной кости.

РИСУНКИ

Categories: BD_2344000-2344999