Патент на изобретение №2335538

Published by on




РОССИЙСКАЯ ФЕДЕРАЦИЯ



ФЕДЕРАЛЬНАЯ СЛУЖБА
ПО ИНТЕЛЛЕКТУАЛЬНОЙ СОБСТВЕННОСТИ,
ПАТЕНТАМ И ТОВАРНЫМ ЗНАКАМ
(19) RU (11) 2335538 (13) C2
(51) МПК

C12N5/06 (2006.01)
C12N5/08 (2006.01)

(12) ОПИСАНИЕ ИЗОБРЕТЕНИЯ К ПАТЕНТУ

Статус: по данным на 08.10.2010 – действует

(21), (22) Заявка: 2006134630/13, 31.03.2004

(24) Дата начала отсчета срока действия патента:

31.03.2004

(43) Дата публикации заявки: 10.04.2008

(46) Опубликовано: 10.10.2008

(56) Список документов, цитированных в отчете о
поиске:
Kim Hyun Woo et al. “An overview of cartilage tissue engineering”. Yonsei Medical Journal, vol.41, no.6, 12-2000. RU 2095410 C1, 10.11.1997.

(85) Дата перевода заявки PCT на национальную фазу:

29.09.2006

(86) Заявка PCT:

IN 2004/000086 (31.03.2004)

(87) Публикация PCT:

WO 2005/095585 (13.10.2005)

Адрес для переписки:

129010, Москва, ул. Б.Спасская, 25, стр.3, ООО “Юридическая фирма Городисский и Партнеры”, пат.пов. Е.Е.Назиной, рег. № 517

(72) Автор(ы):

ДЕШПАНДЕ Маниша Шарадчандра (IN),
МОДЖАМДАР Манодж Виной (IN)

(73) Патентообладатель(и):

РЕЛАЙАНС ЛАЙФ САЙЕНСИЗ ПВТ ЛТД (IN)

(54) ПОДОБНАЯ ТКАНИ ОРГАНИЗАЦИЯ КЛЕТОК И ПОДОБНЫЕ ТКАНИ МАКРОСКОПИЧЕСКИЕ КОНСТРУКЦИИ, ПОЛУЧЕННЫЕ ПРИ ПОМОЩИ КУЛЬТИВИРОВАНИЯ МАКРОМАССЫ КЛЕТОК, И СПОСОБ КУЛЬТИВИРОВАНИЯ МАКРОМАССЫ

(57) Реферат:

Изобретение относится к инженерии ткани. Раскрыт способ получения живой организации клеток подобной ткани, то есть культуры макромассы, включающей трехмерные конструкции, подобные ткани, без помощи каркаса или чужеродного матрикса. В сосуд для культивирования клетки высевают клетки с высокой плотностью на единицу площади в диапазоне от 3,33×105 до 3×106 клеток на см2. Описана трехмерная подобная ткани организация клеток, полученная указанным способом. При культивировании макромассы клетки можно получить клетки, организованные сами по себе в подобные ткани формы без помощи матрикса, и трехмерные макроскопические подобные ткани конструкции. В данной работе подобная ткани организация и макроскопические подобные ткани конструкции получены из фибробластов кожи, остеогенных клеток, полученных из жировых стромальных клеток, хондроцитов и из остеобластов. При этом не используются какой-либо каркас или чужеродный матрикс для получения ткани или какие-либо другие средства (кроме высокой плотности высевания клеток), которые способствуют формированию ткани, ткани имеют полностью клеточное происхождение. Настоящее изобретение позволяет упростить способ получения заменителей ткани организма человека. 2 н. и 11 з.п. ф-лы, 24 ил., 1 табл.

ОБЛАСТЬ ТЕХНИКИ, К КОТОРОЙ ОТНОСИТСЯ ИЗОБРЕТЕНИЕ

Настоящее изобретение относится к инженерии ткани. Более точно, настоящее изобретение относится к созданию трехмерной подобной ткани организации клеток. Еще более точно, настоящее изобретение относится к получению трехмерных макроскопических подобных ткани конструкций для возможной имплантации в организм человека в качестве терапии болезненных состояний или состояний при повреждении тканей.

УРОВЕНЬ ТЕХНИКИ ИЗОБРЕТЕНИЯ

Организм человека может быть поражен несколькими болезненными состояниями или состояниями при повреждении тканей различных органов, для которых терапевтический подход заключается в замене поврежденных органов полученными извне или созданными эквивалентами ткани. Например, ожоги или язвы кожи можно лечить с применением подходящих эквивалентов кожи, не соединяемые разрывы в сломанной кости можно было бы лечить имплантацией подходящих заменителей кости и повреждение суставного хряща можно было бы восстановить подходящими имитирующими хрящ имплантатами.

Каждый год хирурги проводят хирургические операции для лечения пациентов, которые испытывают недостаточность органа или потерю ткани. Хирурги/терапевты могли бы лечить таких пациентов, пересаживая органы от одного человека к другому, осуществляя восстановительную хирургию или используя механические устройства, такие как искусственная почка, протез тазобедренного сустава или механических сердечных клапанов. Хотя такие подходы спасли множество жизней, они имеют ограничения. Ограничение при трансплантации таких органов, как сердце, печень и почки заключается не в хирургической технике, а в недостаточной доступности органов донора.

Возможные виды легко доступных имплантатов представляли собой ксенотрансплантаты, полученные из животных, аллотрансплантаты, полученные от человеческих доноров и аутотрансплантатов, полученных из здоровых органов самого пациента. Для ксенотрансплантатов существует проблема иммунологической несовместимости и передачи зоонозных болезнетворных микроорганизмов, включающих ретровирусы. Для аллотрансплантатов существует проблема иммунного отторжения и недостатка доноров. Для аутотрансплантатов существует проблема нехватки необходимого количества подходящей ткани и увеличения травмирования пациента.

Для хирургического восстановления, ткань можно перенести от одной части органа пациента к другой части органа. Такие аутотрансплантаты (тканевые лоскуты пациента) включают тканевые лоскуты кожи для ожогов, тканевые лоскуты кровеносных сосудов для хирургических операций сердечного шунтирования и тканевые лоскуты нервов для восстановления лица и рук. Недостатки использования аутотрансплантатов также включают потребность в многократных хирургических операциях и потере функции на донорном участке. В дополнение, хирургическое восстановление часто охватывает использование тканей тела в первоначально не предназначенных для этого целях и может привести к долговременным осложнениям.

Как результат таких недостатков существующих терапевтических приемов, существует необходимость в инженерии эквивалентов ткани и в том, чтобы появилась в качестве новой дисциплины наука инженерии ткани. Ее цели заключаются в том, чтобы создать ткани в культуре для использования не только в качестве модельных систем в фундаментальных исследованиях, но и, что еще важнее, для использования в качестве тканей для замены поврежденных или пораженных болезнью органов организма. Хотя, усилия по получению биоискусственных тканей и органов для лечения человека берут начало, по меньшей мере, тридцать лет назад, такие усилия приблизились к клиническому успеху только в последние десять лет. Это стало возможным благодаря значительному прогрессу в молекулярной и клеточной биологии, в технологиях культивирования клеток и в материаловедении.

Термин «инженерия ткани» появился относительно недавно и более широко используется в последние пять лет, чтобы описать междисциплинарную область, которая применяет принципы инженерии и медико-биологических наук для создания биоискусственных тканей и органов.

Одной из основных стратегий принятых для создания выращенных в лабораторных условиях тканей является выращивание изолированных клеток на трехмерных матрицах или каркасах (матриксах) в условиях, которые заставят клетки разрастаться в функциональную ткань. При имплантации такая биоискусственная ткань должна стать структурно и функционально интегрированной в организме. Матриксы можно изготовить из природных материалов, таких как коллаген, или из синтетических полимеров, таких как пластики. В конечном счете, материал каркаса должен биодеградировать в течение времени и должен служить в качестве первоначальной трехмерной матрицы для роста ткани.

Поскольку клетки растут и дифференцируются на каркасе, они будут продуцировать различные белки, необходимые для воссоздания ткани. Деградация каркаса гарантирует, что в организме останется только природная ткань. Также существуют различные типы биореакторов, включающих различные технологии для задачи создания ткани из клеток.

Фактически каждая ткань в организме представляет собой потенциальную цель для биоинженерии, и развитие быстро происходит на множестве направлений. Для кожи как органа разработаны различные типы полученных при помощи инженерии реплантаций – кожу повторно получали при помощи инженерии, используя несколько различных подходов с разной степенью успеха.

В патенте США № 5489304 описан неклеточный трансплантат, который содержит синтетический внешний слой, связанный с аналогичным дермальному слоем, полученным из коллагена-хондроитинсульфата. Такая реплантация, которую первоначально помещают на пораженный участок до использования культивированного эпителиального аутотрансплантата, обладает недостатком, которым является отсутствие факторов роста, важных для заживления ран на коже, или клеток, которые могут обеспечить продукцию таких факторов.

В патенте США № 5460939 описан другой трансплантат, который является клеточным. В данном случае фибробласты растут на способном к биологическому рассасыванию сополимере молочной кислоты/гликолевой кислоты, сцепленном в виде пласта. В данном трансплантате каркасная решетка неприродного происхождения.

Eaglstein & Falanga (1997) описали трансплантат кожи, который включает дермальный слой, содержащий фибробласты, растущие на бычьем коллагеновом матриксе. В данном трансплантате внеклеточный матрикс предоставляется клеткам извне, который, хотя изготовлен из коллагена человека, но чужеродный компонент остается во время применения трансплантата.

В патенте США № 5613982 описан трансплантат, в котором обрабатывают трупную кожу человека для того, чтобы удалить антигенные клеточные компоненты, получая иммунологически инертный кожный слой. Данный трансплантат имеет ограничение, являясь бесклеточным и в трудной доступности трупной кожи человека.

Во всех описанных выше примерах технологические требования для получения эквивалентов достаточно сложны и, следовательно, будут увеличивать стоимость продукта. Были выращены клеточные пласты фибробластов с использованием аскорбата, но для образования таких пластов необходимо приблизительно 35 дней (Michel et al., 1999; L’Heureux et al., 1998).

Таким образом, существует необходимость в получении кожных эквивалентов, материалы для которых легко доступны, которые не содержат синтетический или чужеродный природный матрикс, который мог бы вызывать воспалительную реакцию у некоторых пациентов, которые имеют клеточную природу с тем, чтобы продуцировать факторы роста и другие белки, которые можно получить за относительно более короткое время, и получение которых технологически несложно с тем, чтобы продукт был более рентабельным.

Сфера деятельности, которая требует внимания в области продуктов, полученных при помощи инженерии тканей, представляет собой заменители кости для пациентов, чьи переломы не срастаются, оставляя несоединимые промежутки. Аутологичная трансплантация кости увеличивает травмирование пациента. Различные подходы подвергали испытанию в инженерии кости (Service, 2000). Пробовали применять биоматериалы, такие как коллагеновый матрикс, введенный с факторами роста, которые запускают образование кости, но такие конструкции теряли клеточный компонент, и введение необходимого значительного количества факторов роста делает их очень дорогостоящей альтернативой. Керамический или гидроксиапатитный матриксы, засеянные мезенхимальными стволовыми клетками, представляют собой другие подходы, но использование таких каркасов, возможно, не идеально для человеческого организма. Таким образом, существует необходимость в рентабельных клеточных имплантатах, которые бы вызвали заживление кости.

Другая сфера, которая требует внимания в области продуктов, полученных при помощи инженерии тканей, представляет собой восстановление хряща. Известный факт, что суставной хрящ обладает ограниченной возможностью полного восстановления после повреждения. Терапия на основе клеток при трансплантации аутологичных хондроцитов показала хорошие клинические результаты (McPherson & Tubo, 2000), но в этом случае остается достаточный объем для усовершенствования, поскольку, время для полного восстановления очень велико. Возможно, предварительно сформированная ткань, а не суспензия клеток, дала бы лучшие результаты при трансплантации. Предварительно сформированная ткань также имеет преимущество перед свободными клетками в отношении хирургической имплантации. Поэтому, различные подходы подвергались испытанию при создании подобной хрящу конструкции, используя клетки и каркас, но создание идеального каркасного матрикса, который позволит клеткам в имплантате хорошо имитировать естественный процесс формирования хряща, остается сложной задачей (Ilim & Han, 2000). Таким образом, существует необходимость в получении предварительно сформированной ткани, которая могла бы эффективно начать восстановление хряща при имплантации в участок поражения и которая была бы экономична по затратам.

Подводя итоги, существует необходимость создания относительно недорогих живых клеточных заменителей ткани в терапевтических целях. Упомянутые ранее технологически сложные биореакторы для создания трехмерных тканей представляют собой дорогие методологии. Кроме того, вообще, всегда существует необходимость в создании заменителей ткани новыми способами, которые при тестировании, как могло бы оказаться, имеют лучшие параметры в одном или нескольких отношениях, чем существующие заменители.

Принимая во внимание насущную необходимость, авторы настоящего изобретения создали новые трехмерные макроскопические подобные ткани конструкции, которые обладают возможностью для использования в качестве заменителей тканей в человеческом организме. Новая особенность таких подобных ткани конструкций состоит в том, что не требуется никакого каркаса или чужеродного матрикса для получения ткани, т.е. можно сформировать ткани полностью клеточного происхождения. Кроме того, никаких других средств, которые способствуют формированию ткани (кроме высокой плотности засевания клеток), таких как индуцирующие формирование ткани химические вещества, индуцирующие формирование ткани факторы роста, питательная среда со специальными свойствами, чередующиеся культуры, не применяли для формирования ткани. Не существует никаких определенных сложных требований к среде для формирования подобной ткани конструкции. Фактор, вызывающий формирование макроскопической подобной ткани конструкции представляет собой крупномасштабное культивирование клеток при высокой степени засевания клеток на единицу площади или пространства.

Важный аспект в инженерии ткани заключается в том, как заставить клетки объединиться в ткань или трехмерную структуру. Настоящее изобретение предлагает новый способ для достижения этой цели.

ЦЕЛИ ИЗОБРЕТЕНИЯ

В свете вышеупомянутого, следовательно, цель настоящего изобретения состоит в том, чтобы предложить новый способ объединения клеток в трехмерную подобную ткани организацию и подобные ткани конструкции.

Также в свете вышеупомянутого, следовательно, цель настоящего изобретения состоит в том, чтобы предложить трехмерные макроскопические подобные ткани конструкции для возможной имплантации в организм человека в качестве терапии болезненных состояний или состояний повреждения ткани.

Другая цель настоящего изобретения состоит в том, чтобы предложить макроскопические подобные ткани конструкции, которые гистологически компетентны. Термин «гистологическая компетентность» обозначает, что такие подобные ткани конструкции можно легко секционировать без разрушения.

Еще одна цель настоящего изобретения состоит в том, чтобы предложить трехмерную подобную ткани организацию клеток и экономичные по затратам предполагаемые эквиваленты ткани, сформированные из клеток-фибробластов мезенхимального происхождения (по меньшей мере), таких как полученный при помощи инженерии предполагаемый эквивалент кожи, полученный из фибробластов кожи, предполагаемый заменитель с подобными кости свойствами, сформированный из остеогенных клеток, полученный из жировых стромальных клеток или из остеобластов и предполагаемый заменитель для восстановления хряща, сформированный из хондроцитов. Сопутствующая цель настоящего изобретения состоит в том, чтобы ясно показать возможность предоставления также других тканей, которые можно получить из соответствующих типов клеток способом по настоящему изобретению, если такие другие типы клеток обладают свойствами, позволяющими им претерпевать подобное ткани формирование массы при культивировании макромассы, как определено в настоящем изобретении.

Еще одна цель настоящего изобретения состоит в том, чтобы предложить трехмерную подобную ткани организацию клеток и макроскопические подобные ткани конструкции без применения каркаса или чужеродного матрикса или сложного биореактора для получения ткани.

Еще одна цель настоящего изобретения состоит в том, чтобы предложить трехмерную подобную ткани организацию клеток и макроскопические подобные ткани конструкции без применения каких-либо средств, которые способствуют формированию ткани, таких как индуцирующие формирование ткани химические вещества, индуцирующие формирование ткани факторы роста, питательная среда со специальными свойствами, чередующиеся культуры и так далее.

Еще одна цель настоящего изобретения состоит в том, чтобы предложить трехмерную подобную ткани организацию клеток и макроскопические подобные ткани конструкции различных типов, полученных использованием высокой плотности засевания клеток на единицу площади или пространства сосуда для культивирования, без необходимости наличия любого другого средства, которое способствует формированию ткани.

Еще одна цель настоящего изобретения состоит в том, чтобы предложить макроскопические подобные ткани конструкции, которые обладают высокой степенью плотности клеток в конечном виде.

Еще одна цель настоящего изобретения состоит в том, чтобы предложить подобную ткани организацию клеток и макроскопические подобные ткани конструкции, которые можно получить без необходимости в определенных компонентах сложных сред.

Еще одна цель настоящего изобретения состоит в том, чтобы предложить подобную ткани организацию клеток и макроскопические подобные ткани конструкции, свойства которых можно модулировать, чтобы включать необходимые свойства при помощи подходящей замены/замен в среде для роста и/или в образующей ткань среде.

Еще одна цель настоящего изобретения состоит в том, чтобы предложить подобную ткани организацию клеток и макроскопические подобные ткани конструкции, которые можно получить при культивировании макромассы на различных совместимых поверхностях роста в зависимости от необходимости.

Еще одна цель настоящего изобретения состоит в том, чтобы предложить макроскопические подобные ткани конструкции, которые можно масштабировать до больших размеров при помощи простого воспроизведения с увеличением в двух измерениях способа, используемого для их получения, то есть, культивирования макромассы.

Другая цель данного изобретения состоит в том, чтобы создать трехмерную подобную ткани организацию на микроскопическом уровне.

ОПИСАНИЕ ИЗОБРЕТЕНИЯ

В настоящем изобретении предложен способ объединения клеток в трехмерную подобную ткани организацию при помощи культивирования макромассы и новый способ культивирования макромассы. Предложены макроскопические трехмерные подобные ткани конструкции, которые гистологически компетентны, полученные при макромассовом культивировании клеток. Настоящее изобретение относится к инженерии ткани. Более определенно, данное изобретение относится к получению трехмерной подобной ткани конструкции для возможной имплантации в организм человека в качестве терапии болезненных состояний или состояний при повреждении тканей. Данное изобретение предлагает способ для организации клеток в трехмерные подобные ткани формы и описывает сами подобные ткани формы.

Получение ткани представляет собой цель, важную для реплантации поврежденных тканей организма человека. Предпринимаются усилия для того, чтобы исследовать и закрепить способности клеток формировать ткани для инженерии ткани.

Способ инженерии ткани клеточных трансплантатов включает следующие ниже две (2) основные стадии:

i. подготовка клеток из подходящих источников. Для подготовленных клеток может потребоваться подходящая предварительная обработка, такая как дифференцирование в необходимый тип клетки.

ii. создание ткани, с использованием подходящим образом обработанных клеток для получения различных продуктов инженерии ткани.

Настоящее изобретение относится к второй из данных стадий. Авторы изобретения разработали простой и эффективный способ для получения трехмерной подобной ткани организации клеток и формирования жизнеспособных, клеточных, предполагаемых заменителей тканей.

Подобные ткани конструкции по настоящему изобретению обладают когезионной прочностью, позволяющей противостоять физической манипуляции и переносу, как это требовалось бы для процедуры переноса их хирургическим путем в необходимый участок организма из контейнера, содержащих их, при помощи соответствующих поддерживающих устройств и устройств или инструментов для переноса.

Существенный объем работы был проведен до настоящего времени при создании заменителей ткани, которые представляют собой заменители на основе каркаса – они содержат каркас в качестве важного структурного и часто функционального компонента. Такой каркас должен обладать свойствами биологической совместимости, способности к биодеградации (так, чтобы в конечном счете в организме оставалась только природная ткань) и предоставления окружающей среды, допускающей осуществление оптимальной клеточной функции. Разработка каркасов, которые идеальны во всевозможных отношениях, остается сложной задачей. Настоящее изобретение имеет преимущество в том, что оно преодолевает необходимость внедрения каркаса, поскольку трехмерные подобные ткани конструкции, полученные по настоящему изобретению, изготовлены без помощи каркаса. Формирование гистологически компетентных подобных ткани конструкций макромассовым способом по настоящему изобретению не требует наличия каркаса. Таким образом, подобные ткани конструкции по настоящему изобретению также устраняют любые неблагоприятные эффекты или недостатки, которые могли бы быть связаны с использованием каркаса, который не идеален в каком-либо отношении. В настоящем изобретении, внеклеточный матрикс синтезируется непосредственно самими клетками, не используются никакие чужеродные компоненты матрикса. Формирование ткани осуществляется просто высеванием клеток при высокой степени плотности клеток на единицу площади или пространства сосуда для культивирования. Такой способ обозначили как культивирование «макромассы», которое обозначают как систему культивирования трехмерного подобного ткани образования или организации клеток, в которой клетки высевают при высокой степени плотности на единицу площади или пространства сосуда для культивирования в диапазоне, охватывающем интервал около 106 клеток на см2, и нет никакой необходимости в наличии любых других средств, которые способствуют формированию ткани. Более широкое определение культивирования макромассы представляет собой способ получения трехмерной подобной ткани организации, макроскопической или микроскопической, из клеток посредством высевания клеток при высокой степени плотности, приводящей к расположению клеток в непосредственной близости при определенном благоприятном диапазоне высоких степеней плотности клеток в трехмерном пространстве, которое благоприятствует когезивной интеграции клеток в трехмерное подобное ткани состояние, причем без необходимости в наличии любых других средств, которые способствуют формированию ткани. Определенной высокой плотности высевания клеток в благоприятном диапазоне необходимо достичь в пределах данного пространства. В макромассовом диапазоне благоприятных высоких степеней плотности высевания клеток, когда клетки расположены вместе в трехмерном пространстве, которое занято клетками на дне сосуда для культивирования, они достигают состояния непосредственной близости друг с другом, которое запускает или передает им сигнал о переходе в режим формирования ткани, посредством которого они когезивно интегрируются. (Можно отметить, что макромассового диапазона плотности высевания клеток можно достичь в сосуде с плоским или закругленным дном). Результатом использования сосуда для культивирования диаметром приблизительно 0,75 см или более для культивирования макромассы является формирование макроскопических трехмерных подобных ткани конструкций, где “макроскопические” обозначает, что размер ткани составляет, по меньшей мере, такой размер, что его можно легко визуально рассматривать нормальным человеческим глазом без вспомогательных устройств.

Ранее известную систему культивирования ткани, культуру микромассы высокой плотности использовали для хондрогенной дифференцировки клеток, и объем такой культуры был ограничен до составляющих от 10 до 20 мкл пятен клеточной суспензии (Yoon et al, 2000). Классически, мезенхимальные клетки конечностей, при культивировании in vitro в качестве культуры микромассы, подвергаются формированию уплотнений или агрегатов предхряща, которые присутствуют в качестве отдельных узлов, покрывающие площадь микромассового пятна (Ahrens et al., 1977). Сформированные таким образом клеточные узлы отделены друг от друга клетками, не сформированными в узлы между ними, и клеточные узлы являются микроскопическими. Большие, но все же микроскопические сфероидальные структуры, в которых все клетки объединены для формирования одного скопления, получены с необходимостью наличия определенных компонентов, добавленных к среде культивирования, таких как факторы роста, как далее упомянуто в тексте. Тем не менее, подобные ткани массы, полученные авторами настоящего изобретения, являются макроскопическими (и сформированы без помощи какого-либо определенного средства, которое способствует формированию ткани) и таким образом обладают желательным качеством размера, необходимым, чтобы обладать потенциалом в качестве заменителей ткани для организма человека. В подобной ткани организации макромассовой культуры по настоящему изобретению все клетки становятся частью интегрированной подобной ткани организации, которая является таким образом целостной; нет никаких отдельных узлов. Ранее обнаружено, что микромассовым культивированием мезенхимальные клетки предхряща ноги привели к появлению узлового паттерна (Downie & Newman, 1994). Хотя мезенхимальные клетки предхряща руки привели к появлению паттерна пласта при культивировании микромассы; это произошло в бессывороточной системе культивирования в отличие от системы культивирования макромассы по настоящему изобретению. Кроме того, мезенхимальные клетки предхряща ноги могли привести к появлению подобного пласту патерна, но это происходило после обработки TGFl в бессывороточной среде, опять же в отличие от макромассового культивирования, где нет необходимости в определенных средствах, которые способствуют формированию ткани при образовании подобного ткани пласта, и нет необходимости в бессывороточных условиях.

До настоящего времени остается неисследованным вопрос, будет ли иметь место межклеточная агрегация, приводящая к образованию целостной подобной ткани массы посредством культивирования при высокой степени плотности высевания клеток без определенных средств, которые способствуют формированию ткани в среде. Тем не менее, работа авторов настоящего изобретения относится к данному вопросу, и настоящее изобретение позволяет ответить на него утвердительно.

Культуру с высокой плотностью клеток использовали для инициации хондрогенеза с формированием микроскопических отдельных узлов, но она пока не была оценена в большем по размеру макроскопическом масштабе для создания макроскопических тканей для реплантации в организм человека. И даже в микроскопическом масштабе, как упомянуто выше, целостные агрегаты получали только при помощи определенных средств в отличие от культивирования макромассы по настоящему изобретению.

Хотя термин «макромасса» при первом восприятии, как может показаться, означает простое расширение понятия «микромассы», он фактически отличается в важном аспекте, в том, что микромассу получали в качестве способа для хондрогенной дифференцировки клеток, и также он охватывает определенные сложные требования к среде даже для образования микроскопического целостного сфероидального агрерата (как упомянуто ниже), в то время как макромасса представляет собой способ получения трехмерной подобной ткани организации клеток и макроскопических подобных ткани конструкций и без определенных сложных требований к среде для их образования.

До настоящего времени предпринимались попытки создания клеточных агрегатов, результатами которых были микроскопические массы, называемые сфероидами. Сфероиды представляют собой трехмерные клеточные структуры, которые получали из гепатоцитов и других клеток при помощи разнообразных средств, которые способствуют формированию подобных ткани структур, таких как не прилипающие чашки (Takezawa et al., 1993), культивирование в центрифужной пробирке (Abu-Absi et al., 2002), полимерные вещества наподобие эудрагита (Yamada et al., 1998), матригель (Lang et al, 2001), чашки Primaria (Hamamoto et al., 1998), покрытые поли-D-лизином чашки (Hamamoto et al., 1998), протеогликановое покрытие (Shinji et al., 1988), поток среды культивирования (Pollok et a.l, 1998), чередующиеся культуры (Furukawa et al., 2001), способ с жидким верхним слоем (Davies et al., 2002), факторы, увеличивающие межклеточную адгезию, такие как инсулин, дексаметазон и фактор роста фибробластов (Furukawa et al., 2001), поддерживающих агрегацию конъюгатов полимеров с пептидами (Baldwin & Saltzman, 2001), биореактор со вращающимися стенками (Baldwin & Saltzman, 2001) и так далее. В отличие от данных сфероидов массы ткани, полученные по настоящему изобретению, получены без помощи какого-либо такого средства, которое способствует формированию подобных ткани структур. Упомянутые выше сфероиды намного меньше, находясь, главным образом, в микрометровом или субмиллиметровом диапазоне. Так как можно получить макроскопические массы ткани при культивировании макромассы, как описано в настоящем изобретении, данные массы ткани обладают явным преимуществом перед сфероидами для размещения в необходимых участках организма человека.

Самый большой из сфероидов (приблизительно 1 мм в диаметре), который авторы настоящего изобретения обнаружили в опубликованных литературных источниках, был сформирован при высокоплотном культивировании кусочков ткани (Mackay et al., 1998). Его формирование происходило в присутствии определенной бессывороточной среды, содержащей TGF-3, дексаметазон, 2-фосфат аскорбата и добавки инсулин-трансферин-селен, где также нет необходимости в определенной бессывороточной среде для получения ткани культивированием макромассы. В предыдущем сообщении, использующем культивирование кусочков ткани костного мозга, полученных из мезенхимальных клеток-предшественников, обнаружили, что формирование сфероидального агрегата не имело место в кусочках ткани, инкубированных с DMEM + 10% FCS (Johnstone et al., 1998), в то время как подобные ткани конструкции при культивировании макромассы формируются в DMEM + 10%-ый FCS. Сообщали об образовании сфероида при культивировании микромассы мультипотентных мезенхимальных клеток; здесь снова формирование сфероидального агрегата имело место только после обработки микромассы TGF1 или экстрактом бычьей кости (Denker et al., 1995). Микроскопические сфероиды клеток кости, как сообщали, формировались в присутствии бессывороточной среды, содержащей TGF1 (Kale et al., 2000; заявка на патент США № 20020127711), и культивирование клеток в отсутствие сыворотки и в присутствии TGF1, как сообщают, существенно для формирования сфероида клетки кости в данном способе. В упомянутой выше работе, плотности клеточной культуры от примерно 1×103 клеток/см2 до 1×106 клеток/см2 были описаны как благоприятные для формирования сфероида. В дополнение к другим характерным особенностям подобных ткани конструкций по настоящему изобретению, которые отличают его от упомянутой выше работы, а именно, будучи макроскопическими, не требующими отсутствия сыворотки и не требующими присутствия TGF1 для формирования, благоприятные диапазоны плотности высевания клеток также отличаются. В настоящем изобретении подобные ткани конструкции не имеют место при плотности 1×105 клеток/см2 или ниже, тогда как 1×103 клеток/см2 в указанной выше работе в 100 раз ниже. Получали клеточные агрегаты или узлы остеогенных эмбриональных стволовых клеток (Buttery et al., 2001), но опять же, данные узлы были микроскопическим и не формировались при культивировании клеток с высокой плотностью высевания, как описано в настоящем изобретении. Массы ткани по настоящему изобретению, которые можно получить при культивировании макромассы, когда осуществляют его в большом масштабе, являются макроскопическими, следовательно, размеры их намного больше, чем любые сфероиды, которые были получены, и не имеют таких определенных сложных требований к среде для формирования. Простая среда, такая как DMEM + 10% FCS, достаточна для формирования подобной ткани конструкции при помощи культивирования макромассы. Ранее из хондрогенных клеток получали когезионные закупоривающие массы клеток (патент США № 5723331), но для этого строго необходима переделанная лунка, имеющая поверхность, которая препятствует присоединению клеток и, таким образом, не допускает закрепления клеток, тогда как в настоящем изобретении нет никакой необходимости в такой поверхности для формирования подобной ткани конструкции.

В одном осуществлении данного изобретения подобный ткани пласт формируется из фибробластов кожи человека в качестве потенциального заменителя кожи. Фибробласты кожи могут иметь аллогенное происхождение, так как известно, что фибробласты кожи человека являются относительно неиммуногенными при передаче аллогенному реципиенту (патент США № 5460939). Такой подобный ткани пласт обладает потенциалом, чтобы стать кожным эквивалентом, материалы для которого легко доступны, который не содержит никакого синтетического или природного чужеродного матрикса, который мог бы вызвать воспалительную реакцию у некоторых пациентов, который является клеточным с тем, чтобы он мог продуцировать факторы роста и другие белки, который можно получить в относительно более короткое время и получение которого технологически просто так, что продукт более экономичен по затратам.

В другом осуществлении данного изобретения при культивировании макромассы подобную ткани массу с подобными кости свойствами получают из остеогенных клеток, полученных из жировых стромальных клеток, в качестве предполагаемого заместителя ткани, который может обладать возможностью инициировать заживление небольших несоединимых разрывов при переломах кости. Это может быть аутогенной терапией. Такая подобная ткани масса может обладать возможностью представлять собой экономичный по затратам клеточный имплантат, лишенный чужеродного каркаса, который может инициировать заживление небольших разрывов в кости. В данном изобретении подобную ткани конструкцию также получали из остеобластов, полученных из кости.

В еще одном осуществлении изобретения, подобный ткани пласт получали из хондроцитов человека в качестве предполагаемого имплантата, индуцирующего восстановление хряща у пациентов с повреждением хряща сустава. Аутогенные хондроциты можно использовать для такой терапии ткани, поскольку хондроциты можно получить из небольших биопсий хряща. Такой подобный ткани пласт может обладать потенциалом представлять собой предварительно сформированную ткань, которая могла бы эффективно начать восстановление хряща при имплантации в участок поражения и который также был бы экономичным по затратам.

В дополнительном осуществлении данного изобретения микроскопическую трехмерную подобную ткани организацию получают при помощи культивирования макромасс в желатиновом пористом материале.

В заключение, подобные ткани конструкции по настоящему изобретению, полученные культивированием макромассы, могут обладать потенциалом представлять собой жизнеспособные, клеточные заменители ткани, которые не содержат каркаса и чужеродного внеклеточного матрикса и которые технологически просто получить и, следовательно, которые были бы экономичными по затратам. Подобные ткани конструкции по настоящему изобретению, подробно описанные в качестве заменителей ткани в терапевтических целях, могли бы также найти другие области применения, такие как тестирование лекарственных препаратов in vitro и тому подобное.

КРАТКОЕ ОПИСАНИЕ ЧЕРТЕЖЕЙ

Предпочтительные осуществления настоящего изобретения далее проиллюстрированы в сопутствующих фигурах, как описано ниже.

ФИГ.1. Фотографии, демонстрирующие макроскопические подобные ткани конструкции, сформированные при культивировании макромассы в чашках диаметром 3,5 см из (a) фибробластов кожи, (b) жировых стромальных клеток, (c) хондроцитов, (d) остеобластов.

ФИГ.2. Процесс межклеточной адгезии, приводящий к формированию подобной ткани конструкции, имеющей место при культивировании макромассы жировых стромальных клеток (a) через один час после начала культивирования макромассы, (b) через шесть часов после начала культивирования макромассы.

ФИГ.3. Гистологическое исследование тканевого пласта, сформированного при культивировании макромассы фибробластов кожи (a) окрашивание гематоксилином и эозином показывает трехмерную организацию, (b) окрашивание трихром по Массону показывает синтез коллагена.

ФИГ 4. Гистологическое исследование подобной ткани конструкции, сформированной при культивировании макромассы остеогенных клеток, полученных из жировых стромальных клеток (a) окрашивание гематоксилином и эозином показывает трехмерную организацию, (b) окрашивание трихром по Массону.

ФИГ.5. Гистологическое исследование подобной ткани конструкции, сформированной при культивировании макромассы хондроцитов (a) окрашивание гематоксилином и эозином показывает трехмерную организацию, (b) окрашивание трихром по Массону.

ФИГ.6. Иммунное окрашивание коллагена типа I гистологического среза подобной ткани конструкции, полученной из фибробластов кожи, показывающее положительное обнаружение коллагена типа I.

ФИГ.7. Клетки, повторно выращенные от отделенного пласта ткани, полученного из фибробластов кожи при культивировании макромассы для того, чтобы оценить их жизнеспособность.

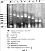
ФИГ.8. Анализ экспрессии генов тканевого пласта, полученного из фибробластов кожи при культивировании макромассы, проанализированные при помощи PCR с обратной транскриптазой. Продукты RT-PCR, соответствующие различным генам, которые, как известно, важны для процесса заживления ран кожи, показаны в виде разделенных электрофорезом в 2% агарозном геле (M) маркеров молекулярного веса ДНК, (1) коллагена I типа, (2) синдекана 2, (3) танасцина-C, (4) васкулярного эндотелиального фактора роста, (5) коллагена III типа, (6) фибронектина, (7) фактора роста кератиноцитов, (8) трансформирующего фактора роста 1.

ФИГ.9. Экспрессия генов в подобной ткани конструкции, созданной из остеогенных клеток, полученных из жировых стромальных клеток. Продукты RT-PCR показаны в виде разделенных электрофорезом в 2% агарозном геле (M) маркеров молекулярного веса ДНК, (1) коллагена типа I, (2) остеопонтина, (3) рецептора паратиреоидного гормона, (4) формообразующего кость белка 2, (5) формообразующего кость белка 4, (6) рецептора формообразующего кость белка IA, (7) рецептора формообразующего кость белка IB.

ФИГ.10. Экспрессия генов в подобной ткани конструкции, созданной из хондроцитов. Продукты RT-PCR показаны в виде разделенных электрофорезом в 2% агарозном геле (M) маркеров молекулярного веса ДНК, (1) аггрекана, (2) коллагена типа II, (3) коллагена типа X.

ФИГ.11. Гистологический анализ подобной ткани конструкции, созданной из остеогенных клеток, полученных из жировых стромальных клеток в присутствии кондиционированной остеогенной среды, показывающий (a) фокальное фактическое формирование кости в подобной ткани конструкции (трихром по Массону) и (b) фокальное отложение кальция (Von Kossa), демонстрирующий, что свойства подобных ткани конструкций, полученных при культивировании макромассы, можно модулировать при помощи изменений среды.

ФИГ.12. Гистологические срезы (окрашивание толуидином синим) подобных ткани конструкций, созданных из хондроцитов в присутствии (a) DMEM + 10% FCS, (b) хондрогенной среды, показывающие формирование специфичного для хряща внеклеточного матрикса в (b), демонстрирующих, что свойства подобных ткани конструкций, полученных при культивировании макромассы, можно модулировать при помощи изменений среды.

ФИГ.13. Гистологический срез (окрашивание трихромом по Массону) сложного объекта, состоящего из подобного ткани пласта, полученного из фибробластов кожи и геля коллаген + фибрин, демонстрирующий, что подобная ткани организация клеток, полученная при культивировании макромассы, может представлять собой компонент объекта.

ФИГ.14. Гистологический срез (окрашивание гематоксилином и эозином) культуры макромассы в желатиновом пористом материале, показывающий сформированные кластеры микроскопических трехмерных подобных ткани организаций.

Различные другие аспекты изобретения дополнительно подробно описаны в следующих ниже разделах.

МАТЕРИАЛЫ И СПОСОБЫ

Авторами настоящего изобретения разъяснено, что по всему описанию данного изобретения и в приложенной формуле изобретения, хотя площадь сосуда для культивирования упомянута в терминах диаметра круглого сосуда для культивирования, описываемый фактически аспект включает сосуд для культивирования любой формы, причем его площадь представляет собой ту же самую площадь, что и для круглого сосуда для культивирования упомянутого диаметра. Также, культивирование макромассы можно осуществить в сосуде для культивирования с плоским или неплоским дном, хотя работа, представленная в настоящем описании, относится к сосудам с плоским дном.

Выделение клеток, среда и культура

В настоящем изобретении фибробласты кожи человека выделяли из биопсий кожи человека. Дерму отделяли от эпидермиса обработкой диспазой (Sigma, St. Louis, США).

Дерму крошили и расщепляли с использованием 0,01% коллагеназы в смеси DMEM + 10% FCS в течение ночи и затем позволяли клеткам прикрепиться. Клетки культивировали в DMEM + 10% FCS при 37°C в 5% CO2 и пересевали, используя раствор трипсин-ЭДТА. Жировые стромальные клетки выделяли из полученного при отсасывании жира материала человека согласно протоколу, описанному Zuk et al. (2001). Данные клетки содержали в DMEM + 10% FCS. Данные клетки вовлекали в остеогенное дифференцирование согласно протоколу, описанному Zuk et al. (2001). Хондроциты выделяли из фрагмента хряща человека, разрушая хрящ и обрабатывая его коллагеназой перед инкубированием в поддерживающей среде из DMEM + 10% FCS. Остеобласты выделяли из кости человека похожим способом и сохраняли в среде DMEM + 10% FCS, содержащей 50 мкг/мл аскорбиновой кислоты. Кондиционированную остеогенную среду готовили, используя среду, в которой росли остеогенные жировые стромальные клетки, в качестве части остеогенной среды для тех же самых клеток в следующей пересеянной культуре. Хондрогенную среду готовили согласно описанию Zuk et al. (2001).

Получение подобной ткани конструкции

Получение подобной ткани конструкции осуществляли при помощи культивирования макромассы, которое представляет собой новый способ по настоящему изобретению, ранее описанный в настоящем описании изобретения.

Культивируемые клетки собирали, используя трипсин-ЭДТА. Их ресуспендировали в подходящем объеме среды и высевали в чашки для культивирования с диаметром лунки 3,5 см при плотности высевания приблизительно 106 клеток на см2 или в макромассовом подходящем диапазоне плотностей формирующих ткань клеток. Таким образом, предпочтительно, приблизительно всего 107 клеток высевали в отдельную лунку шестилуночного планшета (площадь 9,6 см2) для образования отдельной ткани. Для меньших или больших по размеру подобных ткани конструкций общее количество высеянных клеток изменяли так, чтобы достичь плотности высевания, благоприятной для подобной ткани организации.

Гистологический анализ

После формирования подобные ткани конструкции фиксировали и обрабатывали для гистологического анализа. Окрашивание Von Kossa и окрашивание альциановым синим осуществляли на соответствующих конструкциях ткани по настоящему изобретению, согласно способам, описанным Zuk и другими (2001) и Bancroft и другими (1994). Окрашивание масляным красным O осуществляли способом, описанным Bancroft и другими (1994). Окрашивание толуидином синим осуществляли, как указано ниже – после депарафинизации и гидратации срезов, их окрашивали в течение 1 минуты в 2% водном растворе толуидина синего, затем промывали в воде в течение 2-3 мин. Срезы затем дегидратировали в двух циклах 100% ацетоном, очищали в ксилоле и приготавливали препарат для исследования.

Другие гистологические процедуры выполняли в лаборатории гистопатологии в Sir Hurkisondas Nurrotamdas Hospital & Research Centre, Мумбаи Индия.

Иммуногистохимия

Иммуноокрашивание коллагена типа I проводили на срезах залитой в парафин ткани, используя козье антитело против коллагена типа I и систему окрашивания ABC Santa Cruz Biotechnology, Санта-Круз, США.

Жизнеспособность клеток в сформированных подобных ткани конструкциях

Массы ткани по настоящему изобретению крошили, расщепляли коллагеназой в количестве 0,5 мг/мл в бессывороточной среде DMEM в течение 15 мин и высвобожденные клетки повторно ресуспендировали в среде роста. Аликвоту окрашивали трипановым синим. Клетки высевали в колбу для культур, чтобы оценить жинзнеспособность.

Анализ экспрессии генов

Экспрессию генов в подобных ткани конструкциях, полученных из фибробластов кожи, остеогенных жировых стромальных клеток и хондроцитов анализировали при PCR с обратной транскриптазой. РНК экстрагировали из подобной ткани конструкции, используя тризол (Gibco-BRL, Гранд-Айленд, США). RT-PCR проводили, используя праймеры, специфичные для соответствующих генов, и систему Titan One-Tube RT-PCR (Roche, Мангейм, Германия).

Приготовление геля коллаген + фибрин

Для приготовления геля коллаген + фибрин смешивали 134 мкл коллагена типа I из хвоста мыши rat tail collagen type (Sigma, Сент-Луис, США) в количестве 3,33 мг/мл в 0,1 N уксусной кислоты, 8 мкл 4N NaOH, 165 мкл фибриногена в количестве 28,8 мг/мл в 1X DMEM и 210 мкл тромбина в количестве 1,48 мг/мл в 1,66X DMEM. Смеси давали превратиться в гель в течение 2 часов при 37°C.

Формирование ткани при культивировании макромассы в желатиновом пористом материале

Используемый желатиновый пористый материал представлял собой AbGel (Sri Gopal Krishna Labs. Pvt. Ltd, Мумбаи, Индия).

РЕЗУЛЬТАТЫ И ОБСУЖДЕНИЕ

Формирование трехмерной подобной ткани организации и макроскопических подобных ткани конструкций

При культивировании макромассы формировали подобные ткани массы (ФИГ. 1) из фибробластов кожи в присутствии DMEM + 10% FCS в форме пласта, который либо самопроизвольно отделялся от поверхности роста, либо при аккуратном очищении тупым инструментом. Жировые стромальные клетки также формировали подобную ткани массу в DMEM + 10%-ый FCS, которая была отрицательно в отношении липидов окрашена масляным красным О. Так как это имело место, то для того чтобы получить возможно применимую ткань из жировых стромальных клеток, их дифференцировали в остеогенные клетки, которые после культивирования макромассы формировали схожий пласт, который может сжиматься в плотную массу после дополнительной инкубации после отсоединения. Хондроциты, выделенные из хряща человека, также формировали тканевой пласт при культивировании макромассы в DMEM + 10% FCS. Остеобласты, выделенные из кости человека, также формировали подобную ткани конструкцию при культивировании макромассы в DMEM + 10% FCS, после промывания от поддерживающей среды, содержащей аскорбиновую кислоту. Объединение клеток, по-видимому, играет важную роль при таком формировании подобной ткани конструкции, как замечено при расширенном формировании прироста из клеток и клеточной интеграции, показанной на ФИГ.2. Когда культуру макромассы фибробластов кожи увеличивали в размере, высевая клетки при упомянутой плотности отбора в чашку Петри диаметром 8,5 см, получали намного больший пласт. Таким образом, по-видимому, культуру макромассы можно непосредственно увеличить в размере по площади, чтобы получить настолько большую ткань, насколько необходимо. Фибробласты кожи также формировали пласт при культивировании макромассы в бессывороточной среде DMEM, но время формирования было больше, чем для DMEM, содержащей 10% FCS, в течение ночи по сравнению с 3-4 часами в среде, содержащей сыворотку. В среде, содержащей сыворотку, время формирования ткани из фибробластов кожи, из жировых стромальных клеток и остеогенных клеток, полученных из них, составляло приблизительно 4 часа и из хондроцитов составляло приблизительно 18 часов. Остеогенные клетки, полученные из жировых стромальных клеток, формировали подобную ткани массу в остеогенной среде, а также и в DMEM + 10% FCS, после промывания клеток для удаления остеогенной среды, содержащей аскорбиновую кислоту. Получение подобных ткани конструкций при культивировании макромассы успешно проводили в сосудах для культивирования диаметром от 0,75 см до 8,5 см. Можно экстраполировать, что культивирование макромассы в сосудах для культивирования с диаметром меньшим, чем 0,75 см, и большим, чем 8,5 см, привело бы к формированию меньших или больших подобных ткани конструкций, соответственно. Таким образом, размеры трехмерных подобных ткани конструкций можно варьировать.

Хотя такие подобные ткани конструкции представляют собой не полностью сформированные ткани, они могут оказаться способными к стимулированию и участию в процессе заживления в организме, способом, аналогичным для полученных данных, что имплантация даже стволовых клеток или частично дифференцированных клеток (которые представляют собой не полностью сформированную ткань, но находятся в самом начале формирования ткани), может привести к восстановлению и регенерации (Kaji & Leiden, 2001).

Было обнаружено, что явление формирования трехмерной подобной ткани массы при культивировании макромассы зависит от плотности высевания клеток. Для того чтобы исследовать, имело ли место формирование ткани при всех высоких плотностях или нет, фибробласты кожи высевали в диапазоне различных плотностей клеток на единицу площади. Обнаружено, что ощутимое формирование пласта имело место при примерно 3,33×105 клеток на см2, в то время как при плотности высевания 6,66×104 клеток на см2 (в пять раз меньше) или ниже, пласт ткани не формировался. Кроме того, формирование пласта ткани происходило при плотности высевания 3×106 клеток на см2, но не при 7×106 клеток на см2 или выше; при последней плотности высевания клеток только образовались кластеры на большом расстоянии друг от друга, но не формировалось когезивной массы ткани. Таким образом, формирование пласта ткани имело место при 3,33×105 клеток на см2 и при 3×106 клеток на см2, так же как и при всех величинах плотности, лежащих между данными двумя проверенными показателями. При проверенных величинах плотности выше или ниже данного диапазона не происходило формирование ткани. Подобные эксперименты были сделаны с нативными жировыми стромальными клетками и с хондроцитами, и результаты приведены в таблице. Как и в случае с фибробластами кожи, также существовала минимальная и максимальная плотность высевания для формирования подобной ткани конструкции для данных типов клеток, подобная плотности для фибробластов кожи. Такие данные указывают, что существует минимальная и максимальная плотность высевания клеток на единицу площади для формирования ткани при культивировании макромассы. Диапазон высоких значений плотности клеток, при которых происходит формирование ткани при культивировании макромассы, может отличаться для других непроверенных типов клеток.

Более низкие плотности высевания клеток, используемые как показано в таблице, приводили к более тонким подобным ткани конструкциям, то есть имеющим более мелкие размеры в трех измерениях, в то время как используемые более высокие плотности высевания приводили к более толстым подобным ткани конструкциям, то есть имеющим большие размеры в трех измерениях. Таким образом, размеры трехмерных подобных ткани конструкций можно варьировать.

Зависимость образования трехмерной подобной ткани конструкции от плотности высевания клеток
Общее количество клеток, помещен-ных на см2 Фибробласты кожи Жировые стромальные клетки Хондроциты
1,3×104
6,0×104
1×105
3,0×105 + + +/-(очень слабо)
7×105 + + +
1×106 + + +
3×106 + +/-(менее когезивные) +
7×106
10×106

Гистология (фиг.3, 4, 5)

Окрашивание гематоксилином и эозином срезов различных подобных ткани конструкций по настоящему изобретению показывает формирование трехмерной структурной организации и внеклеточного матрикса. Окрашивание трихромом по Массону конструкций, сформированных из фибробластов кожи, а также и нативных стромальных клеток и остеогенных стромальных клеток показывало синтез коллагена. Иммуноокрашивание коллагена типа I подобной ткани конструкции, полученной из фибробластов кожи, инкубированных в течение 10 дней, показывало положительное окрашивание для коллагена типа I (фиг.6). Таким образом, формирование внеклеточного матрикса, по-видимому, имеет место при формировании подобной ткани конструкции при использовании способа культивирования макромассы.

Выживаемость клеток в полученных подобных ткани конструкциях

Клетки, повторно выделенные из тканей, полученных из фибробластов кожи и хондроцитов, обладали жизнеспособностью большей чем 98% по окрашиванию трипановым синим; клетки из тканевой массы из жировых стромальных клеток составляли примерно 90% жизнеспособных. Выделенные клетки и агрегаты помещали в планшеты, чтобы оценить повторный рост, и, как было обнаружено, они были жизнеспособны в каждом случае, как показано на фиг. 7, демонстрирующей клеточный рост агрегатов отделенного тканевого пласта фибробластов кожи.

Анализ экспрессии в подобных ткани конструкциях

Чтобы оценить, обладает ли пласт ткани, сформированный из фибробластов кожи, потенциалом в качестве заменителя кожи, анализировали экспрессию генов, которые, как известно, играют важную роль в процессе заживления раны кожи (фиг. 8). Коллаген I типа, коллагена III типа, фактор роста кератиноцитов, TGF1, фибронектин, васкулярный эндотелиальный фактор роста, танасцин-C и синдекан-2, как обнаружили, экспрессировались в пласте ткани, таким образом демонстрируя, что данный подобный ткани пласт, полученный из фибробластов кожи, обладает потенциалом в качестве заменителя кожи. Чтобы оценить, обладает ли подобная ткани конструкция, полученная из жировых стромальных клеток, потенциалом в качестве заменителя подобной кости ткани, анализировали экспрессию специфичных для кости генов. Подобная ткани конструкция, как было обнаружено, экспрессировала коллаген I типа, остеопонтин, рецептор паратиреоидного гормона, формообразующий кость белок 2, формообразующий кость белок 4, рецепторы формообразующего кость белка IA, IB и II, таким образом демонстрируя подобные кости свойства (фиг.9), в дополнение к фокальной кальцификации и фактическому формированию обломка кости, упомянутого ниже. Аналогичным образом подобную ткани конструкцию, полученную из хондроцитов, оценивали в отношении ее потенциала в качестве заменителя ткани хряща. Специфичные для хряща гены коллагена II типа, аггрекана и коллагена X типа, как обнаружили, экспрессировались, таким образом демонстрируя подобные хрящу свойства (фиг.10), в дополнение к формированию специфичного для хряща внеклеточного матрикса, как упомянуто ниже.

Модуляция свойств подобных ткани конструкций посредством трансформирования формирующей ткань среды

При культивировании макромассы возможно заранее подогнать свойства ткани, полученной добавлением соответствующих компонентов среды или изменяя среду, поскольку, насколько было проверено, формирование ткани не зависит от условий среды, пока что-нибудь, что ингибирует организацию подобной ткани макромассы, не добавят в среду. Данный факт очевиден из формирования пласта ткани фибробластами кожи как в содержащий сыворотку, так и бессыворотчной среде, а также и из формирования ткани жировых стромальных клеток как в DMEM + FCS, так и в остеогенной среде, которая содержит дексаметазон и -глицерофосфат. Таким образом, свойства формируемой ткани можно модулировать для того, чтобы придать необходимые свойства, изменяя формирующую ткань среду и/или питательную среду для клеток. Например, как представлено в данном изобретении, подобные кости свойства в виде фактического формирования кости были индуцированы в ткани, полученной из жировых стромальных клеток, при культивировании клеток и формировании подобной ткани конструкции в кондиционированной остеогенной среде по сравнению с одной только остеогенной средой, где не наблюдали никакого фактического формирования спикулы кости (фиг.11). Окрашивание Von Kossa тканевой массы, полученной из остеогенных стромальных клеток в присутствии кондиционированной остеогенной среды, показало фокальные области кальцификации, демонстрируя таким образом подобные кости свойства, тогда как конструкция, полученная из остеогенных стромальных клеток в некондиционированной остеогенной среде, не показало таких свойств.

Другой пример такой модуляции представляет собой образование подобных ткани конструкций из хондроцитов в присутствии DMEM + 10% FCS или в присутствии хондрогенной среды, которая содержит 1% FCS и инсулин; и TGF1 в качестве индуцирующего образование хряща средства. Свойство наличия внеклеточного матрикса, характеристичного для фенотипа хряща, получили в подобной ткани конструкции, полученной в хондрогенной среде, в то время как конструкции, полученные в DMEM + 10% FCS, не обладали таким свойством. Это показано при окрашивании толуидином синим на фиг.12. Таким образом, даже если остается тот факт, что формирование ткани при культивировании макромассы не имеет определенных сложных требований к среде, такие определенные компоненты можно использовать в среде для того, чтобы модулировать свойства формируемой ткани. Это также следует из упомянутых выше результатов, что подобная ткани организация и макроскопические подобные ткани конструкции можно получить в присутствии различных сред культивирования, причем различные среды, представленные здесь, представляют собой примеры и не ограничивают настоящее изобретение данными примерами.

Поверхность роста для культуры макромассы

Подобные ткани пласты, сформированные из клеток, размещенных на пластмассовой поверхности, имели тенденцию самопроизвольно отделяться и виться или свертываться, что нежелательно, так как однажды скатанный пласт не выправляется. Для ткани, создаваемой в качестве возможного заменителя кожи, необходимо оставаться прямой. Для этого культуру макромассы фибробластов кожи получали на фильтре Hybond-N (Amersham Pharmacia Biotech, Бакингемшир, Великобритания), помещенном в пластмассовую чашку. С таким изменением пласт, который сформировался, оставался прямым и прикрепленным к фильтру, так что, в будущем, его можно было бы применять на пораженной коже со стороны фильтра. Данный эксперимент демонстрирует, что возможно осуществить формирование ткани при культивировании макромассы на различных совместимых поверхностях для роста. Таким образом, в этом случае, пласт, полученный при культивировании макромассы, становится компонентом предполагаемого имплантата, который содержит нейлоновый фильтр, который служит поддерживающим слоем, и необходимость в нем не является необходимостью в качестве каркаса для подобной ткани организации клеток. Данный поддерживающий слой разработан не для того, чтобы интегрироваться в организм наряду с подобным коже пластом, и таким образом это не каркас, который стал бы частью организма, а поддерживающее устройство для манипуляций для использования подобного коже пласта. Такой поддерживающий слой был бы удален после заживления.

Подобная ткани конструкция в качестве компонента объекта

Для того чтобы продемонстрировать, что подобную ткани конструкцию можно включить в состав объекта, чтобы она стала компонентом или частью (большего) объекта, фибробласты кожи высевали при культивировании макромассы, чтобы сформировать подобный ткани пласт, и затем после удаления среды культивирования, его покрывали гелевой смесью коллагена и фибрина. Затем позволяли осуществиться образованию геля. Затем, гель можно было поднять с подобным ткани пластом, прикрепленным к его одной стороне. Гистологический срез данного состава, в котором подобная ткани конструкция является компонентом, показан на фиг.13. Кроме гелей и пластов, другие матриксы, такие как пористые материалы или мембраны также могут поддерживать подобные ткани конструкции с одной стороны, прикрепляя их. Таким образом, подобную ткани организацию и макроскопические подобные ткани конструкции можно объединять с различными объектами, например, пластом или мембраной, гелем, пористым материалом или другими матриксами.

Микроскопическая трехмерная организация при культивировании макромасс

Фибробласты кожи высевали на желатиновом пористом материале диаметром 3,5 см при плотности высевания примерно 2,5 × 106 клеток на см2 площади пористого материала в DMEM + 10% FCS. Такое применение способа культивирования макромассы при высокой плотности высевания клеток в отношении желатинового пористого материала привело к формированию микроскопических групп трехмерных подобных ткани организаций в пористом материале, как замечено при гистологической секции губки, показанной на фиг.14. Таким образом, способ культивирования макромассы можно использовать для того, чтобы также получить трехмерную подобную ткани организацию клеток на микроскопическом уровне, подобные ткани организации, становящиеся компонентом целостной структуры.

ЗАКЛЮЧЕНИЕ

Новизна настоящего изобретения состоит в том факте, что культивирование при высокой плотности высевания клеток может привести к образованию целостной трехмерной подобной ткани организации клеток без каких-либо определенных средств, которые способствуют формированию ткани, чтобы инициировать такую организацию, и можно увеличить ее по площади, чтобы получить макроскопические трехмерные подобные ткани конструкции различных типов, кроме того в других важных характеристиках, таких как тот факт, что каркасный материал не используется или что нет необходимости в наличии определенных средств, которые способствуют формированию ткани/сложного состава среды, как подробно описано в данном описании. Авторы настоящего изобретения являются первыми, кто сообщил, что целостную трехмерную подобную ткани организацию клеток и макроскопические трехмерные подобные ткани конструкции различных типов можно получить при одном только культивировании при высокой плотности высевания клеток.

Возможно, что другие мезодермальные клетки или клетки эндодермального или эктодермального происхождения могут также сформировать такую подобную ткани организацию при культивировании макромассы. Следовательно, подобная ткани организация и макроскопические подобные ткани конструкции, полученные при культивировании макромассы любого типа клеток млекопитающих, если они возможны, находятся в объеме данного изобретения, причем определяющая характеристика состоит в подобной ткани организации, достигнутой способом культивирования макромассы.

Тогда как макроскопические подобные ткани конструкции представляют собой предпочтительное осуществление данного изобретения, очевидно, что культура макромасы в меньшем масштабе, который составляет по площади культуры сколько-нибудь меньше, чем диаметр приблизительно 0,75 см, привела бы к меньшим подобным ткани организациям, уменьшающимся в размере до микроскопических размеров, поскольку масштаб культуры макромассы уменьшен. Микроскопическая подобная ткани организация при культивировании макромассы с высокой плотностью высевания клеток в упомянутой выше форме или в другой форме, такой как желатиновый пористый материал, описанный ранее, также находится, таким образом в объеме данного изобретения. Аналогично, подобные ткани конструкции можно получить при культивировании макромассы в сосудах для культивирования, с диаметром большим чем 8,5 см.

Таким образом, в предшествующем описании описаны определенные осуществления данного изобретения: представлены примеры, в отношении аспектов использования различных типов клеток, использования альтернативной поверхности для роста, использования изменений в среде, чтобы модулировать свойства формируемой ткани, увеличения объемов формирования ткани, размеров сосудов для культивирования, диапазона высоких значений плотности клеток при формировании ткани и получения предполагаемого имплантата, ткань которого, полученная при культивировании макромассы, является частью целого. Хотя, ясно показаны только описанные осуществления, они служат только в качестве примера или иллюстрации и не ограничивают изобретение.

Следует понимать, что можно сделать различные модификации или замены по данному изобретению, которые будут находиться в рамках настоящего изобретения. Например, как предполагают авторы изобретения, одна такая модификация представляла бы собой захват или инкапсуляцию масс ткани, полученных при культивировании макромассы, в подходящий гель или матрикс, или другая такая модификация представляла бы собой конструкцию, в которой множество подобных ткани масс или пластов присоединяются или прикрепляются друг к другу при помощи некоторых средств. В таких конструкциях, подобная ткани конструкция, полученная при культивировании макромассы, в этом случае была бы компонентом целого заменителя. Упомянутое выше представляет собой другие способы, чем способы, представленные в результатах, которыми подобная ткани организация и конструкции, полученные при культивировании макромассы, могут являться компонентом объекта. Как демонстрируется в результатах, даже когда сохраняется, что подобная ткани организация клеток при культивировании макромассы не требует наличия никакого каркаса и также гистологически компетентные подобные ткани конструкции, полученные без помощи каркаса, каркас можно приложить для культивирования макромассы, например, в качестве альтернативной поверхности для роста, такой, что каркас становится частью целостного заменителя. Таким образом, трехмерная подобная ткани организация и гистологически компетентные подобные ткани конструкции данного изобретения можно создать без каркаса, но можно их комбинировать с подходящим каркасом, если это придает благоприятные свойства или преимущества относительно одной только подобной ткани конструкции. Другие модификации представляли бы собой использование других типов клеток, которые обладают свойством формировать подобную ткани массу при культивировании макромассы, использование другой совместимой поверхности для роста, чем описанные поверхности, другие изменения среды для модуляции и другие размеры при увеличении масштаба и так далее. Следовательно, данное описание настоящего изобретения не предназначено для того, чтобы ограничить данное изобретение точными иллюстративными описанными осуществлениями.

УПОМЯНУТЫЕ ССЫЛКИ

ПАТЕНТНЫЕ ДОКУМЕНТЫ США

5489304 Февраль 1996 Orgill и другие
5460939 Октябрь 1995 Hansbrough и другие
5613982 Март 1997 Goldstein
20020127711 Сентябрь 2002 Kale и другие
5723331 Март 1998 Tubo и другие

ДРУГИЕ ССЫЛКИ

Abu-Absi SF, Friend JR, Hansen LK, Hu W (2002) Structural polarity and functional bile canaliculi in rat hepatocyte spheroids. Experimental Cell Research 274, 56-67.

Ahrens PB, Solursh M, Reiter RS (1977) Stage-related capacity for limb chondrogenesis in cell culture. Developmental Biology 60, 69-82.

Baldwin SP, Saltzman WM (2001) Aggregation enhances catecholamine secretion in cultured cells. Tissue Engineering 7(2) 179-190.

Bancroft JD, Cook HC (1994) Manual of Histological Techniques and their Diagnostic Application, Churchill Livingstone, Edinburgh, UK.

Buttery LDK, Bourne S, Xynos JD, Wood H, Hughes FJ, Hughes SPF, Episkopou V, Polak JM (2001) Differentiation of osteoblasts and in vitro bone formation from murine embryonic stem cells. Tissue Engineering 7(1) 89-99.

Davies CdeL, Berk DA, Pluen A, Jain RK (2002) Comparison of IgG diffusion and extracellular matrix composition in rhabdomyosarcomas grown in mice versus in vitro as spheroids reveals the role of host stromal cells. British Journal of Cancer 86, 1639-1644.

Denker AE, Nicoll SB, Tuan RS (1995) Formation of cartilage-like spheroids by micromass cultures of murine C3H10T1/2 cells upon treatment with transforming growth factor-beta 1. Differentiation 59(1) 25-34.

Downie SA, Newman SA (1994) Morphogenetic differences between fore and hind limb precartilage mesenchyme: Relation to mechanisms of skeletal pattern formation. Developmental Biology 162, 195-208.

Eaglstein WH, Falanga V (1997) Tissue engineering and the development of Apligraf®, a human skin equivalent. Clinical Therapeutics 19(5) 894-905.

Furukawa KS, Ushida T, Sakai Y, Suzuki M, Tanaka J, Tateishi T (2001) Formation of human fibroblast aggregates (spheroids) by rotational culture. Cell Transplantation 10, 441-445.

Hamamoto R, Yamada K, Kamihira M, Iijima S (1998) Differentiation and proliferation of primary rat hepatocytes cultured as spheroids. Journal of Biochemistry 124, 972-979.

Johnstone B, Hering TM, Caplan AI, Goldberg VM, Yoo JU (1998) In vitro chondrogenesis of bone marrow-derived mesenchymal progenitor cells. Experimental Cell Research 238, 265-272.

Kaji EH, Leiden JM (2001) Gene and stem cell therapies. Journal of the American Medical Association 285(5) 545-550.

Kale S, Biermann S, Edwards C, Tarnowski C, Morris M, Long MW (2000) Three-dimensional cellular development is essential for ex vivo formation of human bone. Nature Biotechnology 18, 954-958.

Kim HW, Han CD (2000) An overview of cartilage tissue engineering. Yonsei Medical Journal 41(6) 766-773.

Lang SH, Stark M, Collins A, Paul AB, Stower MJ, Maitland NJ (2001) Experimental prostate epithelial morphogenesis in response to stroma and three-dimensional Matrigel culture. Cell Growth & Differentiation 12, 631-640.

L’Heureux N, Pâquet S, Labbe R, Germain L, Auger FA (1998) A completely biological tissue-engineered human blood vessel. FASEB Journal 12, 47-56.

Mackay AM, Beck SC, Murphy JM, Barry FP, Chichester CO, Pittenger MF (1998) Chondrogenic differentiation of cultured human mesenchymal stem cells from marrow. Tissue Engineering 4(4) 415-428.

McPherson JM, Tubo R (2000) Articular cartilage injury. In Principles of Tissue Engineering, 2nd Edition, Academic Press, San Diego, USA, p. 697-709.

Michel M, L’Heureux N, Pouliot R, Xu W, Auger FA, Germain L (1999) Characterization of a new tissue-engineered human skin equivalent with hair. In vitro Cellular & Developmental Biology – Animal 35, 318-326.

Pollok JM, Kluth D, Cusick RA, Lee H, Utsunomiya H, Ma PX, Langer R, Broelsch CE, Vacanti JP (1998) Formation of spheroidal aggregates of hepatocytes on biodegradable polymers under continuous flow bioreactor conditions. Journal of Pediatric Surgery 8, 195-199.

Service RF (2000) Tissue engineers build new bone. Science 289, 1498-1500.

Shinji T, Koide N, Tsuji T (1988) Glycosaminoglycans partially substitute for proteoglycans in spheroid formation of adult rat hepatocytes in primary culture. Cell Structure & Function 13, 179-188.

Takezawa T, Mori Y, Yonaha T, Yoshizato К (1993) Characterization of morphology and cellular metabolism during the spheroid formation by fibroblasts. Experimental Cell Research 208, 430-441.

Yamada K, Kamihira M, Hamamoto R, Iijima S (1998) Efficient induction of hepatocyte spheroids in a suspension culture using a water-soluble synthetic polymer as an artificial matrix. Journal of Biochemistry 123, 1017-1023.

Yoon Y, Oh C, Kim D, Lee Y, Park J, Huh T, Kang S, Chun J (2000) Epidermal growth factor negatively regulates chondrogenesis of mesenchymal cells by modulating the protein kinase C-, Erk-1, and p38 МАРК signaling pathways. Journal of Biological Chemistry 275(16) 12353-12359.

Zuk PA, Zhu M, Mizuno H, Huang J, Futrell JW, Katz AJ, Benhaim P, Lorenz HP, Hedrick MH (2001) Multilineage cells from human adipose tissue: implications for cell-based therapies. Tissue Engineering 7(2) 211-228.

Формула изобретения

1. Способ получения живой организации клеток, подобной ткани, то есть культуры макромассы, включающей трехмерные конструкции подобные ткани, без помощи каркаса или чужеродного матрикса, предусматривающий:

систему культивирования, в которой клетки высевают с высокой плотностью на единицу площади сосуда для культивирования в диапазоне от 3,33×105 до 3×106 клеток на см2, приводящей к возникновению трехмерного подобного ткани формирования, или организации клеток, без помощи любых средств, способствующих образованию ткани, включающих индуцирующие формирование ткани химические вещества, индуцирующие формирование ткани факторы роста, подложку, отличную от немодифицированного пластика для культуры ткани, чередующиеся культуры; и

получение конструкций, подобных ткани, где клетки представляют собой мезодермальные клетки.

2. Способ по п.1, в котором клетки выбраны из клеток фибробластов, включая фибробласты кожи, остеобластов, жировых стромальных клеток, остеогенных клеток, полученных из жировых стромальных клеток, и хондроцитов.

3. Способ по п.2, в котором клетки фибробластов получены из ткани кожи человека, хондроциты получены из ткани хряща человека, остеобласты получены из ткани кости человека и жировые стромальные клетки получены из материала липосакции человека.

4. Способ по п.1, предусматривающий:

образование подобного ткани пласта из клеток, включающих клетки фибробластов человека мезенхимального происхождения, и подобный ткани пласт не содержит синтетического или природного чужеродного матрикса и является клеточным, так что он способен продуцировать факторы роста и другие белки.

5. Подобная ткани организация клеток, полученная способом по любому из пп.1-4, где все высеянные клетки объединены в единую подобную ткани организацию без каких-либо отдельных узелков.

6. Подобная ткани организация клеток по п.5, включающая макроскопические трехмерные конструкции для использования в качестве заменителей ткани для имплантации, для заживления ран, в качестве моделей in vitro для проверки лекарственных средств и тому подобного, полученные из клеток фибробластов мезенхимального происхождения, включающая:

предполагаемый эквивалент кожи, полученный из фибробластов кожи, предполагаемый заменитель с подобными кости свойствами, полученный из остеогенных клеток, полученных из жировых стромальных клеток, и предполагаемый заменитель хряща, полученный из хондроцитов.

7. Подобная ткани организация клеток по п.5, которая является трехмерной по природе и охватывает трехмерные макроскопические конструкции, подобные ткани.

8. Подобная ткани организация клеток по п.6, полученная из различных типов клеток, включающих:

фибробласты кожи;

жировые стромальные клетки;

остеогенные клетки, полученные из жировых стромальных клеток;

хондроциты и остеобласты.

9. Подобная ткани организация клеток по п.6, которая является трехмерной и которая обладает гибкостью относительно размеров, включающих различные размеры в трех измерениях;

большие или меньшие подобные ткани конструкции, полученные при увеличении или уменьшении культивирования макромассы; и изменяемый размер или масштаб при изменении числа клеток, используемых для получения плотности высевания в пределах благоприятного для макромассы диапазона формирующих ткань величин плотности, при увеличении или уменьшении культивирования макромассы.

10. Подобная ткани организация клеток по п.6, обладающая гибкостью в отношении используемой среды культивирования, где подобная ткани организация клеток формируется в присутствии различных сред культивирования, различных сред роста и/или сред для формирования ткани; и

свойства подобной ткани организации клеток модулируются посредством включения компонентов в среду роста и/или формирования ткани при условии, что добавление данных компонентов не влияет негативно на образование ткани, или

среду клеток подвергают изменениям при условии, что это изменение среды не влияет негативно на образование ткани.

11. Подобная ткани организация клеток по п.6, где подобные ткани конструкции получены в сосудах для культивирования любой формы с плоским или закругленным дном.

12. Подобная ткани организация клеток по п.5, где макроскопические трехмерные конструкции являются подобными пласту.

13. Подобная ткани организация клеток по п.5, где макроскопическая трехмерная конструкция обладает плотностью клеток в диапазоне от 3,33×105 до 3×106 клеток на см2.

РИСУНКИ

Categories: BD_2335000-2335999