Патент на изобретение №2335254

Published by on




РОССИЙСКАЯ ФЕДЕРАЦИЯ



ФЕДЕРАЛЬНАЯ СЛУЖБА
ПО ИНТЕЛЛЕКТУАЛЬНОЙ СОБСТВЕННОСТИ,
ПАТЕНТАМ И ТОВАРНЫМ ЗНАКАМ
(19) RU (11) 2335254 (13) C1
(51) МПК

A61B17/56 (2006.01)

(12) ОПИСАНИЕ ИЗОБРЕТЕНИЯ К ПАТЕНТУ

Статус: по данным на 08.10.2010 – может прекратить свое действие

(21), (22) Заявка: 2007116425/14, 02.05.2007

(24) Дата начала отсчета срока действия патента:

02.05.2007

(46) Опубликовано: 10.10.2008

(56) Список документов, цитированных в отчете о
поиске:
RU 2002108091/14 А, 27.11.2003. RU 2222278 С2, 27.01.2004. Под ред. МУСАЛАТОВА Х.А. и др. Травматология и ортопедия. – М.: Медицина, 4-е изд., 1995, с.289-291. LAUGE-PEDERSEN H. Arthrodesis by percutaneous fixation: patellofemoral arthrodesis in rabbits without debridement of the joint. Acta. Orthop. Scand. 2002 Apr; 73(2): 186-9(Abstract).

Адрес для переписки:

640014, г.Курган, ул. М. Ульяновой, 6, ФГУН “Российский научный центр “Восстановительная травматология и ортопедия” имени академика Г.А. Илизарова ФА по ЗД и СР”, НОИС

(72) Автор(ы):

Попков Арнольд Васильевич (RU),
Буравцов Павел Павлович (RU)

(73) Патентообладатель(и):

Федеральное государственное учреждение науки “Российский научный центр “Восстановительная травматология и ортопедия” имени академика Г.А. Илизарова Федерального агентства по здравоохранению и социальному развитию” (RU)

(54) СПОСОБ ВОССТАНОВЛЕНИЯ ФУНКЦИИ КОЛЕННОГО СУСТАВА ПРИ АНКИЛОЗЕ ФЕМОРО-ПАТЕЛЛЯРНОГО СОЧЛЕНЕНИЯ

(57) Реферат:

Способ направлен на восстановление функции коленного сустава при анкилозе феморо-пателлярного сочленения, что достигается путем мобилизации четырехглавой мышцы бедра, отделения от надколенника передней кортикальной пластинки, оборачивания ее наружным и внутренним лоскутом прилежащих парапателлярных тканей, которые сшивают между собой и укладывают в ложе, формируемое по передней поверхности бедра, после чего, в условиях разгрузки сочленяющихся поверхностей, стабилизируют положение бедренной и берцовых костей с помощью аппарата внешней фиксации, а затем производят дозированную разработку движений в коленном суставе. Способ обеспечивает восстановление функции коленного сустава, исключение послеоперационных осложнений, сокращение сроков лечения. 3 ил.

Изобретение относится к области медицины, в частности к ортопедии, и может быть использовано при лечении больных с контрактурой коленного сустава вследствие анкилоза феморо-пателлярного сочленения.

Известен способ оперативного лечения хронического артроза и тугоподвижности пателло-феморального сустава, включающий введение инструмента в полость сустава, разделение деструктивных спаечных сращений, санацию суставной полости промывной жидкостью с использованием артроскопической техники (Заявка на выдачу патента РФ №2000105369, опубл. 27.11.01).

Однако данный способ показан при артрозе сустава и не обеспечивает восстановления его функции в условиях анкилоза.

Известен способ лечения пателло-феморального артроза коленного сустава путем артроскопии коленного сустава, удаления костно-хрящевых разрастаний в области верхнего и нижнего полюсов надколенника и бедренной кости, резекции поврежденного и отслоенного суставного хряща, обнажения надколенника, формирования рядом расположенных сквозных поперечных каналов, остеотомии надколенника и смещения его разделенных частей по длине с последующим ушиванием раны (Заявка на выдачу патента РФ №2002108091, опубл. 27.11.03).

Однако в условиях анкилоза феморо-пателлярного сустава выделение надколенника, его остеотомия и разведение разделенных частей по длине в сочетании с резекцией хряща не обеспечивают восстановления функциональной подвижности надколенника и, тем самым, не устраняют контрактуры коленного сустава.

Задачей изобретения является разработка способа, обеспечивающего восстановление функции коленного сустава при анкилозе феморо-пателлярного сочленения.

Указанная задача решается тем, что в способе восстановления функции коленного сустава при анкилозе феморо-пателлярного сочленения, включающем мобилизацию четырехглавой мышцы, выделение надколенника и нарушение его целостности, обработку суставной поверхности бедра, фиксацию и последующую разработку движений в коленном суставе, из выделенного надколенника оставляют переднюю кортикальную пластинку, оборачивают ее наружным и внутренним лоскутом прилежащих парапателлярных тканей, сшивают последние между собой и укладывают в ложе, формируемое по передней поверхности бедра, в условиях разгрузки сочленяющихся поверхностей стабилизируют положение бедренной и берцовых костей с помощью аппарата внешней фиксации, а последующую разработку движений в коленном суставе осуществляют дозированно.

Способ поясняется описанием, примером практического использования и иллюстративным материалом, где на

фиг.1 – рентгенограмма коленного сустава больной до лечения;

фиг.2 – рентгенограмма коленного сустава больной в процессе фиксации аппаратом;

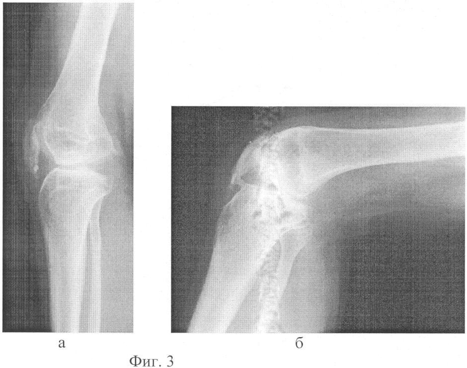
фиг.3 (а, б) – рентгенограммы коленного сустава после лечения: а – в положении разгибания; б – в положении сгибания.

Способ осуществляется следующим образом.

После анестезии и обработки операционного поля парапателлярным наружным продольным разрезом величиной до 10 сантиметров осуществляют доступ к сухожилию четырехглавой мышцы и передней поверхности надколенника. Связанную с сухожилием четырехглавой мышцы и собственной связкой надколенника его переднюю кортикальную пластинку толщиной 0,5 сантиметра отсекают с помощью долота, а оставшуюся часть удаляют. Выделенную таким образом кортикальную пластинку надколенника, сохраняя ее связи с названными сухожилиями, оборачивают прилежащими наружным и внутренним лоскутами парапателлярных тканей, которые продольно, «трубочкой» сшивают между собой, погружая шов во внутрь. По центру передней поверхности суставного конца бедренной кости формируют ложе и укладывают в него обернутую парапателлярными лоскутами кортикальную пластинку надколенника.

Вслед за этим выполняют остеосинтез бедренной и берцовых костей с проведением через их, соответственно, дистальной и проксимальной трети фиксирующих спиц. Концы спиц крепят на внешних опорах, которые соединяют между собой резьбовыми стержнями и шарнирными узлами. Разведением опор аппарата в коленном суставе создают условия разгрузки, после чего положение бедра и голени стабилизируют. Операцию завершают ушиванием раны, выполнением контрольной рентгенографии и наложением повязок.

В послеоперационном периоде, начиная с 3-5 дня, производят дозированную разработку движений в оперированном суставе. Аппаратную, активно-пассивную разработку осуществляют с постепенно увеличивающейся амплитудой в диапазоне сгибания-разгибания в течение 30-45 дней, после чего аппарат демонтируют. В дальнейшем восстановление функции сустава продолжают средствами ЛФК и физиотерапии, курсы которых назначают по традиционной схеме.

Примером практического использования способа служит следующее клиническое наблюдение.

Больная С. 23 г., МКСБ №16914, поступила на лечение в клинику РНЦ «ВТО» с диагнозом: последствия гематогенного остеомиелита; разгибательно-сгибательная контрактура коленного сустава, анкилоз феморо-пателлярного сустава.

При поступлении на лечение движения в коленном суставе 155-168°; надколенник неподвижен. Передача усилий четырехглавой мышцы на надколенник не определяется; движения в коленном суставе за счет собственной связки надколенника (фиг.1).

Больной выполнена операция: мобилизация четырехглавой мышцы бедра, реконструкция надколенника, остеосинтез левых бедра и голени аппаратом внешней фиксации.

В ходе операции через продольный разрез величиной до 8 сантиметров осуществили доступ к сухожилию четырехглавой мышцы и передней поверхности надколенника. Сохраняя связь с сухожилием четырехглавой мышцы и собственной связкой надколенника, переднюю кортикальную пластинку надколенника отсекли, а его оставшуюся часть удалили. Выделенную таким образом кортикальную пластинку надколенника обернули прилежащими наружным и внутренним лоскутами парапателлярных тканей, которые продольно, «трубочкой» сшили между собой. По центру передней поверхности суставного конца бедренной кости сформировали ложе и уложили в него обернутую парапателлярным лоскутами кортикальную пластинку надколенника.

Вслед за этим выполнили остеосинтез бедренной и берцовых костей с проведением через них фиксирующих спиц, концы которых закрепили на внешних опорах аппарата. Разведением опор аппарата в коленном суставе создали условия разгрузки, после чего положение бедра и голени стабилизировали.

В послеоперационном периоде, начиная с 5 дня, в течение 30 дней производили дозированную разработку движений в оперированном суставе с постепенно увеличивающейся амплитудой в диапазоне сгибания-разгибания (фиг.2). На 38 день после операции аппарат был демонтирован. В дальнейшем больная прошла курс ЛФК и физиотерапевтического лечения.

На контрольном осмотре через 6 месяцев больная ходит с полной нагрузкой на оперированную конечность без дополнительных средств опоры, движения в коленном суставе в пределах 165-90°, безболезненны (фиг.3а, б).

Использование предложенного способа в клинике РНЦ «ВТО» им. акад. Г.А.Илизарова показало, что его применение обеспечивает восстановление функции коленного сустава у больных с анкилозом феморо-пателлярного сочленения различной этиологии.

Формула изобретения

Способ восстановления функции коленного сустава при анкилозе феморо-пателлярного сочленения, включающий мобилизацию четырехглавой мышцы, выделение надколенника и нарушение его целостности, обработку суставной поверхности бедра, фиксацию и последующую разработку движений в коленном суставе, отличающийся тем, что из выделенного надколенника оставляют переднюю кортикальную пластинку, оборачивают ее наружным и внутренним лоскутом прилежащих парапателлярных тканей, сшивают последние между собой и укладывают в ложе, формируемое по передней поверхности бедра, в условиях разгрузки сочленяющихся поверхностей стабилизируют положение бедренной и берцовых костей с помощью аппарата внешней фиксации, а последующую разработку движений в коленном суставе осуществляют дозированно.

РИСУНКИ

Categories: BD_2335000-2335999