Патент на изобретение №2333729

Published by on




РОССИЙСКАЯ ФЕДЕРАЦИЯ



ФЕДЕРАЛЬНАЯ СЛУЖБА
ПО ИНТЕЛЛЕКТУАЛЬНОЙ СОБСТВЕННОСТИ,
ПАТЕНТАМ И ТОВАРНЫМ ЗНАКАМ
(19) RU (11) 2333729 (13) C1
(51) МПК

A61B17/56 (2006.01)

(12) ОПИСАНИЕ ИЗОБРЕТЕНИЯ К ПАТЕНТУ

Статус: по данным на 19.10.2010 – может прекратить свое действие

(21), (22) Заявка: 2007107971/14, 21.02.2007

(24) Дата начала отсчета срока действия патента:

21.02.2007

(46) Опубликовано: 20.09.2008

(56) Список документов, цитированных в отчете о
поиске:
SU 1806656 А1, 18.06.1990. RU 2285481 С2, 20.10.2006. RU 2177758 С2, 10.01.2002. МЕЖЕНИНА Е.П. и др. Врожденное расщепление стоп. Ортопедия, травматология и протезирование, 1982, №11, 47-50. HOVIUS S.E. Treatment of the triphalangeal thumb, Tech Hand Up Extrem Surg. 2004 Dec; 8 (4):247-56 (Abstract).

Адрес для переписки:

420064, г.Казань, ул.Оренбургский тракт, 138, ГУ НИЦТ “ВТО”, патентный отдел

(72) Автор(ы):

Неттов Газиз Гиноятович (RU),
Цой Игорь Владимирович (RU)

(73) Патентообладатель(и):

Научно-исследовательский центр Татарстана “Восстановительная травматология и ортопедия” (RU)

(54) СПОСОБ УСТРАНЕНИЯ СЛОЖНОГО ВРОЖДЕННОГО РАСЩЕПЛЕНИЯ СТОПЫ

(57) Реферат:

Изобретение относится к медицине, а именно к ортопедии в лечении расщепления стопы. III луч стопы экзаартикулируют так, чтобы от основания плюсневой кости стопы осталась часть фрагмента, прилежащая к II клиновидной кости. Резецируют костный выступ, расположенный по наружной стороне, на уровне дистального эпиметафиза II плюсневой кости. С медиальной стороны, поперечно из кубовидной кости, у ее основания, выбирают костный клин, основанием обращенный к клиновидным костям, вершиной не доходящий до наружного края кубовидной кости на 2-3 мм, направленный к наружному краю стопы. Угол клина на кубовидной кости должен соответствовать углу отклонения наружной половины переднего отдела стопы от ее средней линии. Перемещают с усилием 4-5-6 пальцы стопы единым блоком с соответствующими плюсневыми костями и дистальным отделом кубовидной кости, надламывая наружный неповрежденный край кубовидной кости, в сторону II луча, до плотного смыкания смежных сторон II и IV плюсневой костей, и максимального сближения дистального отдела кубовидной кости с фрагментом плюсневой кости. Через дистальный эпиметафиз II плюсневой кости и дистальный мобилизованный отдел кубовидной кости поперечно, с тыльной в подошвенную сторону, просверливают сквозной канал. Через сформированные костные отверстия пропускают металлическую проволоку так, чтобы концы ее оказались на тыле стопы. Без ослабления достигнутого сомкнутого положения половин стопы, с усилием стягивают проволоку, и скрученные концы ее погружают в межкостное сочленение. 6 ил.

Изобретение относится к медицине, а именно к травматологии и ортопедии.

Хирургическое лечение сложных врожденных расщеплений переднего отдела стопы с элементами полидактилии, синостозом между отдельными плюсневыми костями и их деформацией представляет сложную и актуальную проблему до настоящего времени. Немногочисленные известные методики оперативного лечения этой сложной врожденной патологии посвящены, в основном, лечению врожденных расщеплений кисти.

Наиболее близок по своему техническому решению заявляемому способу «Способ лечения врожденной расщепленной стопы с адактилией центрально расположенных пальцев у детей» [1]. В этом способе производят остеотомию плюсневых костей, формируют отщепы на внутренне-боковых поверхностях плюсневых костей, отводят их свободные концы, сближают обе половины стопы и фиксируют, с последующей кожной пластикой, до образования синостоза. Однако данный способ показан только при адактилии центрально расположенных пальцев и не может быть использован при врожденном расщеплении стопы, сочетающимся с полидактилией и сверхкомплектом лучей. Для получения желаемого эффекта по заявленному способу не достаточно простого сближения половин стопы и фиксации их спицами, костные отщепы от внутренне-боковых поверхностей плюсневых костей не обеспечат образования синостоза и предупреждения вторичных деформаций стопы.

Сущность изобретения заключается в совокупности отличительных признаков, достаточной для достижения искомого технического результата, состоящего в восстановлении формы и функции стопы.

Сущность изобретения состоит в том, что способ устранения сложного врожденного расщепления стопы включает остеотомию плюсневых костей, смещение половин расщепленной стопы, до нормализации ее поперечного свода с последующей фиксацией. III луч стопы экзаартикулируют так, чтобы от основания плюсневой кости стопы осталась часть фрагмента, прилежащая к II клиновидной кости, резецируют костный выступ, расположенный по наружной стороне на уровне дистального эпиметафиза II плюсневой кости. С медиальной стороны поперечно из кубовидной кости, у ее основания, выбирают костный клин, основанием обращенный к клиновидным костям, вершиной не доходящий до наружного края кубовидной кости на 2-3 мм, направленный к наружному краю стопы. Угол клина на кубовидной кости должен соответствовать углу отклонения наружной половины переднего отдела стопы от ее средней линии. Перемещают с усилием 4-5-6 пальцы стопы единым блоком с соответствующими плюсневыми костями и дистальным отделом кубовидной кости, надламывая наружный неповрежденный край кубовидной кости в сторону II луча до плотного смыкания смежных сторон II и IV плюсневой костей и максимального сближения дистального отдела кубовидной кости с фрагментом плюсневой кости. Через дистальный эпиметафиз II плюсневой кости и дистальный мобилизованный отдел кубовидной кости поперечно, с тыльной в подошвенную сторону, просверливают сквозной канал. Через сформированные костные каналы пропускают металлическую проволоку так, чтобы концы ее оказались на тыле стопы, без ослабления достигнутого сомкнутого положения половин стопы, с усилием стягивают проволоку и скрученные концы ее погружают в межкостное сочленение.

Экзаартикуляция III луча создает предпосылку сужению переднего отдела расщепленной стопы.

Фрагмент основания плюсневой кости и тело кубовидной кости, в сомкнутом состоянии, со временем синостозируются, создавая прочную основу свода стопы, а сочленение между II клиновидной костью и фрагментом плюсневой кости осуществляет при движении рессорную функцию свода стопы.

Удаление костного клина с основания кубовидной кости позволяет переместить наружную половину стопы к ее средней линии, причем соблюдение угла отклонения стопы, равного углу выборки костного клина из кубовидной кости, способствует плотному примыканию обеих половин стопы, что обеспечивает нормализацию ширины стопы.

Сохраненная костная перемычка шириной 2-3 мм, по наружной стороне кубовидной кости, при смещении наружной половины стопы кнутри надламывается, но препятствует смещению отломков кубовидной кости и способствует быстрому их сращению.

Резекция костного выступа по наружной стороне II плюсневой кости при смыкании обеих половин стопы способствует полной ликвидации расщелины в переднем отделе стопы.

Формирование поперечных сквозных костных каналов во II плюсневой и кубовидной костях необходимо для проведения через них металлической проволоки. Фиксация достигнутого сомкнутого положения стопы скручиванием концов проволоки обеспечивает надежное соединение обеих половин переднего отдела стопы в единый блок до наступления костного синостоза между фрагментом плюсневой кости и кубовидной костью и рубцово-спаечный процесс между сомкнутыми половинами расщепленной стопы.

Способ осуществляют следующим образом.

До операции, по рентгенограмме стопы, определяют угол при вершине клина, который необходимо вырубить из кубовидной кости во время операции. Этот угол должен соответствовать углу между средней линией стопы и внутренним краем IV луча.

Наркоз. По ходу расщелины стопы, с тыльного и ладонного доступа, иссекают края кожи. Из тыльного доступа экзаартикулируют III луч вместе с одноименными сухожилиями разгибателей и сгибателей.

Долотом, в продольном направлении, резецируют основание плюсневой кости, оставляя на месте костный фрагмент, прилежащий к II клиновидной кости. Из того же раневого доступа острым долотом с медиальной стороны в проксимальном отделе кубовидной кости поперечно длиннику стопы вырубают костный клин с заранее определенным углом. При этом вершина костного клина не должна доходить до наружного края кубовидной кости на 2-3 мм, а основание клина направлено в медиальную сторону стопы. Костный выступ по наружной стороне II плюсневой кости резецируют. Электросверлом в направлении с тыльной в подошвенную сторону через диафиз II плюсневой кости и дистальный отдел кубовидной кости просверливают сквозной канал. Через сформированные костные отверстия пропускают металлическую проволоку так, чтобы свободные концы их вышли с тыльной стороны стопы. Обе половины стопы смещают друг к другу, одновременно надламывая костную перемычку кубовидной кости. Сближение расщепленных половин стопы продолжают до тех пор, пока полностью не сомкнутся смежные стороны II и IV луча, а фрагмент основания плюсневой кости – с телом кубовидной кости. Не ослабляя достигнутого положения, с усилием стягивают концы металлической проволоки, скручивают их и погружают в межкостное сочленение. Кожные швы до дренажей. Спиртовая повязка. Гипс.

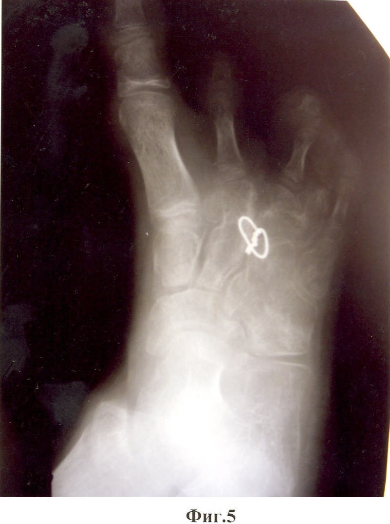
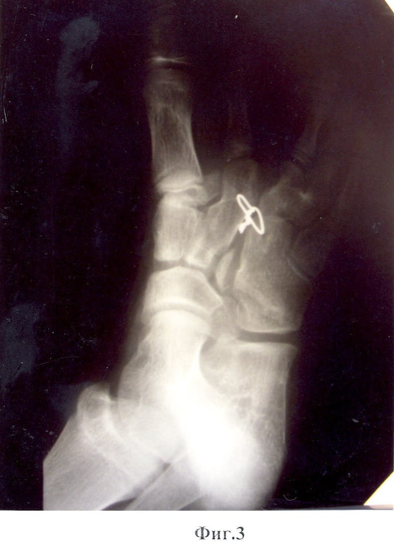
Предложенный способ иллюстрируют приведенные рентгенограммы и фотографии, где на фиг.1, 2 показан вид стопы до операции; на фиг.3, 4 – вид после операции; на фиг.5, 6 – снимок и фотография стопы через два месяца после операции.

Клинический пример.

Больной М-в, 12 лет. История болезни №6618. 11.12.2006 г. Поступил в отделение кисти «НИЦТ ВТО» с диагнозом: Сложное врожденное расщепление с элементами полидактилии, синостозом IV-V плюсневых костей и сверхкомплектом лучей обеих стоп (фиг.1, фиг.2).

21.12.2006 г. – больному была проведена операция по разработанной методике на правой стопе. Наркоз. Из разрезов по тыльной и подошвенной сторонам иссечены края расщелины стопы. С тыльного доступа удален III луч. Основание луча, прилегающее к II клиновидной кости, оставлено в виде костного фрагмента. Острым долотом с медиальной стороны кубовидной кости, ближе к основанию, поперечно длиннику стопы выбит костный клин, угол которого соответствует углу отклонения наружной половины расщепленной стопы от ее средней линии. Костный клин выбран так, что его вершина не доходит до наружного края кубовидной кости на 2-3 мм. Резецирован костный выступ по наружной стороне дистальной части II плюсневой кости. Через диафиз II плюсневой кости и дистальный отдел кубовидной кости поперечно с тыла на подошвенную сторону просверлены каналы. Через сформированные каналы проведена металлическая проволока так, чтобы концы ее вышли на тыл стопы. Обе половины расщепленной стопы с усилием смещены навстречу друг другу так, чтобы смежные стороны половин полностью сомкнулись. Концы проволоки с натяжением стянуты, скручены в узел и погружены в межкостную щель. Кожные швы до дренажей. Спиртовая повязка. Подошвенная гипсовая лонгета. Через две недели заживление раны первичным натяжением (фиг.3, фиг.4). Кожные швы сняты. Через 2 мес гипс снят. На контрольной рентгенограмме виден костный синостоз между фрагментом основания плюсневой кости и телом кубовидной кости (фиг.5, фиг.6). Больной начал нагружать правую стопу.

Таким образом, предлагаемый способ устранения сложного врожденного расщепления стопы позволяет восстановить нормальную форму и функцию стопы, сократить сроки лечения, исключить опасность спицевой инфекции. Результатом проделанной операции пациент доволен, он получил возможность носить обычную обувь.

Источник информации

1. Патент РФ №2285481, А61В 17/56, БИПМ №29, 2006 г.

Формула изобретения

Способ устранения сложного врожденного расщепления стопы, включающий остеотомию плюсневых костей, смещение половин расщепленной стопы до нормализации ее поперечного свода с последующей фиксацией, отличающийся тем, что III луч стопы экзаартикулируют так, чтобы от основания плюсневой кости стопы осталась часть фрагмента, прилежащая к II клиновидной кости, резецируют костный выступ, расположенный по наружной стороне на уровне дистального эпиметафиза II плюсневой кости, с медиальной стороны поперечно из кубовидной кости, у ее основания, выбирают костный клин, основанием обращенный к клиновидным костям, вершиной не доходящий до наружного края кубовидной кости на 2-3 мм, направленный к наружному краю стопы, при этом угол клина на кубовидной кости должен соответствовать углу отклонения наружной половины переднего отдела стопы от ее средней линии, перемещают с усилием 4-5-6 пальцы стопы единым блоком с соответствующими плюсневыми костями и дистальным отделом кубовидной кости, надламывая наружный неповрежденный край кубовидной кости в сторону II луча, до плотного смыкания смежных сторон II и IV плюсневых костей, и максимального сближения дистального отдела кубовидной кости с фрагментом плюсневой кости, через дистальный эпиметафиз II плюсневой кости и дистальный мобилизованный отдел кубовидной кости поперечно, с тыльной в подошвенную сторону, просверливают сквозной канал, через сформированные костные отверстия пропускают металлическую проволоку так, чтобы концы ее оказались на тыле стопы, без ослабления достигнутого сомкнутого положения половин стопы, с усилием стягивают проволоку и скрученные концы ее погружают в межкостное сочленение.

РИСУНКИ

Categories: BD_2333000-2333999