|
(21), (22) Заявка: 2006108161/12, 15.03.2006
(24) Дата начала отсчета срока действия патента:
15.03.2006
(46) Опубликовано: 10.03.2008
(56) Список документов, цитированных в отчете о поиске:
US 6328342 В1, 11.12.2001. RU 2157765 С2, 20.10.2000. RU 2243903 С2, 10.01.2005. EP 0155982 A1, 02.10.1985.
Адрес для переписки:
141980, Московская обл., г. Дубна, ул. Понтекорво, 17, кв.402, В.Ф. Реутову
|
(72) Автор(ы):
Иткис Михаил Георгиевич (RU), Дмитриев Сергей Николаевич (RU), Реутов Валерий Филиппович (RU), Реутов Игорь Валерьевич (RU)
(73) Патентообладатель(и):
Иткис Михаил Георгиевич (RU), Дмитриев Сергей Николаевич (RU), Реутов Валерий Филиппович (RU), Реутов Игорь Валерьевич (RU)
|
(54) СПОСОБ ФОРМИРОВАНИЯ НОСИТЕЛЯ ЗАЩИТНОЙ ИНФОРМАЦИИ
(57) Реферат:
Изобретение относится к средствам хранения информации, предназначенным для защиты ценных бумаг и других изделий массового производства от подделок. Способ формирования носителя защитной информации представляет собой структуру полимерного материала, имеющего рельефную поверхность в виде травленых каналов в трековой мембране, заполненных веществом. При этом заполнение травленых каналов осуществляют металлом, путем его гальванического осаждения, до образования на поверхности полимерного материала полусферических зеркальных металлических микрообразований. Полусферическая форма данных микрообразований устанавливается в отражающем оптическом микроскопе с использованием либо подвижного точечного источника света, либо при круговом освещении носителя информации заданным количеством точечных источников света. Предложенное изобретение обеспечивает не только повышение степени защиты носителя от подделок, но также простоту и доступность идентификации носителя скрытой информации. 3 з.п. ф-лы, 5 ил.
Изобретение относится к средствам хранения информации способом создания предохранительных пленочных элементов, предназначенных для защиты ценных бумаг и других изделий массового производства от подделок, подчисток, исправлений и копирования.
Известен достаточно широкий класс носителей скрытой информации, изготовляемых с использованием различных физических (голографических, лазерных и т.п.), механических (перфорация, тиснение под давлением и т.п.) и химических (ионно-плазменное травление, осаждение и т.п.) способов. Одним из общих их недостатков является то, что подобные носители информации недостаточно защищены от подделок в связи с недостаточной сложностью их изготовления. Другим недостатком при считывании скрытой тем или иным способом информации на носителе является необходимость наличия достаточно сложной физической аппаратуры для визуализации и обработки информации, что значительно ограничивает возможность, например, при самоконтроле широким кругом потребителей ценных бумаг и изделий массового производства.
Наиболее близким прототипом настоящего изобретения является способ и устройство для его реализации, описанные в Патенте США [1]. В основе данного способа формирования носителя скрытой информации лежит использование травленых ядерных треков в полимерах, особенностей их изготовления, обеспечивающих условия формирования структурного рельефа в виде сквозных или полусквозных цилиндрических каналов нано- и субмикронного размеров (10-1000 нм) и высокой поверхностной плотности от 105 до 1011 см-2, а также возможность последующего их заполнения другим веществами (для декорирования) теми или иными способами. Использование в качестве единственного способа формирования элементов скрытого изображения статистически распределенных ядерных треков в полимерах, образованных путем облучения их высокоэнергетичными (десятки-сотни МэВ) тяжелыми ионами на уникальных ускорителях, действительно в значительной мере затрудняет подделку скрытой информации. Более того, затруднение подделки носителя информации авторы патента в основном связывают с размерным параметром элемента скрытой информации, доведя его значение до нанометрического уровня, а также за счет абсолютной индивидуальности статистического характера их пространственного распределения на каждом носителе. Однако при этом единственным способом визуализации скрытого изображения нанометрических размеров элементов носителя информации их геометрический и количественный анализ возможны только с помощью высокоразрешающего электронного микроскопа, который требует соответствующей специальной подготовки носителя информации для работы с ним в высоком вакууме электронного микроскопа. При этом электронный микроскоп – это сложнейший инструмент, что, естественно, ограничивает на практике не только возможность контроля многотиражных носителей информации, но и исключает возможность самоконтроля носителя информации широким кругом потребителей из-за недоступности к дорогостоящей и сложной физической установке.
Таким образом, существенным недостатком запатентованного способа получения скрытой информации в виде нанометрических элементов на носителе информации является необходимость использования сложного и дорогостоящего электронного микроскопа, что, естественно, обуславливает невозможность его использования для самоконтроля достоверности ценных бумаг и изделий массового производства не только продавцом, но и непосредственно массовым потребителем.
Увеличение диаметра (более 1 мкм) основного элемента носителя скрытой информации в виде травленых ядерных треков (пустых или заполненных теми или иными веществами) с целью реализации возможности их визуализации с помощью обычной и легкодоступной оптической микроскопии, тем не менее, не защищает данный способ от подделок, поскольку воспроизвести аналогичные, но плоские и круглые структурные особенности элементов носителей данного размера и плотности на поверхности заданного изображения макрорисунка-логотипа не представляет особых трудностей. Аналогичную микроструктуру носителей информации в виде плоских круглых или эллиптичных форм микронного или даже субмикронного размеров на поверхности носителя легко подделать доступными физическими (вакуумное напыление), механическими (тиснение) или химическими (избирательное вытравливание) способами.
В этой связи необходимо создать недоступный для подделки способ многотиражного формирования носителя защитной информации документов и изделий массового производства, в тоже время обеспечивающий доступность и простоту его визуализации и идентификации для широкого круга пользователей.
Целью данного изобретения является создание способа формирования пленочного носителя защитной информации с оптикомикроскопической визуализацией на составляющих его элементах субмикронного размера пространственного расположения и/или количества действующих точечных источников света, который позволил бы не только повысить степень защиты носителя от подделок, но и обеспечить простоту и доступность идентификации оригинальности носителя скрытой информации при его самоконтроле любым потребителем или пользователем.
Поставленная цель достигается тем, что носитель защитной информации представляет собой структуру полимерного материала, имеющего рельефную поверхность в пределах заданного макроскопического рисунка-логотипа, которая составлена из субмикронных полусферических зеркальных элементов, с присущим только им воспроизведением в отражающем оптическом микроскопе микроизображений пространственного расположения и/или количества действующих точечных источников света.
Известно, что при рассмотрении в отражающем оптическом микроскопе объекта с зеркальной поверхностью полусферической формы максимальное его освещение (яркое пятно на изображении) имеет место со стороны «точечного» источника света. Например, при нормальном освещении яркое отражающее пятно приходится на вершину изображения полусферического объекта. При боковом освещении яркое отражающее пятно на изображении полусферического объекта формируется со стороны точечного источника света. При произвольном перемещении в пространстве точечного источника света отражающее пятно соответственно перемещается по изображению полусферического объекта. Особо заметим, что в случае рассмотрения в отражающем оптическом микроскопе зеркального объекта с плоской поверхностью (вместо полусферической) подобного эффекта изображения источника(ов) света наблюдаться не будет.
Именно эти особенности воспроизведения изменений пространственного положения отражающего пятна от точечного источника света на изображениях объектов в отражающем оптическом микроскопе однозначно свидетельствует об их полусферической форме.
Технический результат изобретения достигается способом формирования носителя защитной информации, представляющего собой структуру полимерного материала, имеющего рельефную поверхность в виде травленых каналов в трековой мембране, заполненных веществом, отличающимся тем, что заполнение травленых каналов осуществляют металлом путем его гальванического осаждения до образования на поверхности полимерного материала полусферических зеркальных металлических микрообразований, полусферическая форма которых устанавливается в отражающем оптическом микроскопе с использованием либо подвижного точечного источника света, либо при круговом освещении носителя заданным количеством точечных источников света.
Сущность изобретения заключается в том, что полимерная трековая мембрана с травлеными каналами вакуумно-плотно прижимается нижней поверхностью к металлизированному макроскопическому рисунку-логотипу, и сборка помещается в электролитическую ванну для осуществления гальванического осаждения металлического осадка в травленые каналы в участках над поверхностью рисунка-логотипа, вплоть до формирования на верхней поверхности мембраны полусферических металлических образований с зеркальной поверхностью.
Факт установления полусферической формы элементов, составляющих рисунок-логотип, а следовательно, достоверность (оригинальность) соответствующего носителя защитной информации, осуществляют с помощью отражающего оптического микроскопа при увеличениях не более 200 крат, оборудованного, например, круговой системой автономно действующих точечных осветителей.
В совокупности (визуально или при малых оптических увеличениях) эти полусферические микрообразования копируют изображение макроскопического рисунка-логотипа (шаблона), который литографическим способом формируется на массивной металлизированной полимерной пленке. При этом изображение металлизированного макрорисунка-логотипа может представлять собой различные геометрические или другие фигуры, символы, цифры, буквы и т.п.
С целью усиления защитных функций носителя защитной информации возможно формировать по периметру полусферических микрообразований сателлитную систему из более мелких полусферических микрообразований, что однозначно свидетельствует только о гальванической (а не какой-либо другой) природе сформированных полусферических микрообразований.
Дополнительная возможность предлагаемого способа перед известными, проявляющая значительную стойкость по отношению к подделкам, появляется также при формировании радикально отличающихся друг от друга изображений полусферических микроструктур при их сравнительном просмотре в оптическом микроскопе с обеих сторон пленочного полимерного носителя. На одной поверхности пленочного носителя формируется оптическое изображение с вышеописанными эффектами от полусферических микроструктур, на другой формируется изображение плоских кругов с центральной темной точкой от заполненного металлом канала травленого трека, резкость изображений которых различная и зависит от фокусировки на соответственно верхнюю (в фокусе – структура заполненного металлом канала) или нижнюю поверхности полимерной пленки (в фокусе – структура круглого плоского основания полусферического микрообразования).
В зависимости от требований к степени защищенности информации, к комфортности в представлении и обработке информации из указанных вариантов может быть сделан выбор.
Предложенное изобретение поясняется чертежами.
На фиг.1. приведена принципиальная схема формирования носителя информации:
а – изображение металлизированного макроскопического рисунка-логотипа в виде слова «ЗАЩИТА»,
б – вакуумно-плотное прижатие трековой мембраны с травлеными каналами (1) к рисунку-логотипу (2),
в – гальваническое формирование металлического осадка в каналах трековой мембраны в участках рисунка-логотипа до появления полусферической микроструктуры на ее поверхности,
г – отделение пленочного носителя с металлическими полусферическими микрообразованиями от рисунка-логотипа,
д – изображение пленочного носителя информации, воспроизводящего заданный рисунок-логотип («ЗАЩИТА»), составленного из полусферических микрообразований,
е – изображение полусферических зеркальных микрообразований при увеличении ×100.
На фиг.2 иллюстрируется изменение положения изображений точечного источника света на поверхности полусферических микрообразований в зависимости от направления освещения:
а – освещение (источник света) справа,
б – освещение (источник света) слева.
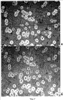
На фиг.3 иллюстрируется изменение изображений полусферических зеркальных микрообразований на пленочном носителе при нормальном (перпендикулярном) освещении точечным источником света в зависимости от режима просмотра в оптическом микроскопе:
а – светлопольное оптическое изображение,
б – темнопольное оптическое изображение того же участка.
На фиг.4 приведена последовательность оптикомикроскопических изображений на полусферических микрообразованиях действующих точечных источников света в зависимости от их пространственного и количественного состояния:
а – точечные источники выключены, б – действие одного источника света, в – действие двух источников света, г – действие трех источников света, д – действие четырех источников света, е – действие пяти источников света.
На фиг.5 приведены микроскопические изображения полусферических структур на обратной стороне пленочного носителя информации:
а – оптическое изображение обратной (плоской) поверхности полусферических микрообразований при фокусировке на нижнюю поверхность пленочного носителя,
б – оптическое изображение заполненного металлом травленого трека (черные точки) при фокусировке на верхнюю поверхность пленочного носителя.
Предлагаемый способ формирования носителя защитной информации реализован следующим образом.
В соответствии с требованием заказчика тем или иным способом (в основном литографическим) на металлизированной изолирующей подложке изготавливается металлический макрорисунок-логотип (шаблон для носителя защитной информации). При этом изображение макрорисунка-логотипа может представлять собой различные символы, цифры, буквы и т.п.
В качестве примера приведен макрорисунок-логотип в виде слова «ЗАЩИТА» в рамке размером 4×4 мм (фиг.1а). К макрорисунку-логотипу 2 вакуумно-плотно прижимается трековая мембрана с травлеными сквозными каналами 1 (фиг.1б). Рисунок-логотип с трековой мембраной помещаются в гальваническую ячейку с соответствующим химическим реактивом и металлическим анодом (положительный потенциал) (фиг.1в). На катод (металлизированный рисунок-логотип) и анод подается от источника постоянного тока соответствующее напряжение для осуществления гальванического процесса осаждения выбранного металла (например, меди) в травленые каналы трековой мембраны. Процесс гальванического осаждения меди в травленых каналах трековой мембраны проводится до появления полусферических медных микрообразований на верхней поверхности трековой мембраны в металлизированных участках макрорисунка-логотипа (фиг.1в). После завершения процесса сборка извлекается из гальванической ячейки и промывается в проточной воде, трековая мембрана с носителями отделяется от макрорисунка-логотипа (фиг.1г). На фиг.1д приведено при различных увеличениях изображение фрагментов слова «ЗАЩИТА», составленного из полусферических микрообразований (фиг.1е).
Определяющей особенностью, указывающей на оригинальность носителя защитной информации, является установления факта полусферической формы микрообразований, составляющих рельефную поверхность пленочного полимерного носителя защитной информации в области заданного рисунка-логотипа. При размерах полусферических образований более чем 10 мкм идентификация их полусферической формы осуществляется с помощью простейшего и доступного для массового потребителя оптического микроскопа, снабженного специальными точечными источниками света.
Контроль на соответствие оригинальности носителя защитной информации и исключение его подделки проводят в три этапа.
На первом этапе (первичный контроль) невооруженным глазом или при небольшом увеличении проверяется соответствие макроизображения рисунка на пленочном носителе макрооизображению на матрице рисунка-логотипа (например, фиг.1а и фиг.1е).
На втором (основном) этапе – под оптическим микроскопом при увеличениях около 50-200 крат проводят анализ на полусферичность микрообразований, составляющих макроизображение рисунка-логотипа на пленочном носителе защитной информации, в следующих режимах:
– во-первых, при изменении направления освещения носителя защитной информации точечным источником света его изображение (яркое пятно) на полусферических микрообразованиях также перемещается в соответствующем направлении (фиг.2а, б);
– во-вторых, при использовании оптического микроскопа (с возможностями работы в темном поле) в режиме просмотра носителя в условиях обычного светлого поля максимальное отражение рассеянного света происходит от центра полусферических микрообразований (яркое пятно в центре, фиг.3а). При переводе просмотра в режим темного поля по периметру изображений полусферических микрообразований формируются характерные симметричные яркие участки в виде полумесяцев (фиг.3б);
– в третьих, используется специальный оптический микроскоп, снабженный устройством для освещения объекта множеством точечных источников, расположенных по кругу и управляемых автономно. Включая в произвольном порядке тот или иной источник, его изображение фиксируется на полусферических микрообразованиях. Как видно на фиг.4 (а-е), при последовательном включении каждого из пяти точечных источников света их изображение на полусферических микрообразованиях воспроизводится в той же последовательности. Заметим, что последовательность, количество и пространственное расположение действующего(их) точечного источника света задается потребителем (контролирующим лицом).
Итак, защитной информацией на носителе служат полусферические зеркальные микрообразования. Если при оптикомикроскопическом контроле на их изображениях воспроизводятся точечные источники света, то документ считается подлинным.
Кроме того, контроль на оригинальность носителя с целью выявления его подделки можно осуществить путем просмотра пленочного носителя защитной информации с двух сторон. Вышеописанный пленочный носитель защитной информации рассматривается в оптическом микроскопе в режиме светлого поля с обратной стороны. Фокусируя изображение на нижнюю поверхность пленки, формируют сфокусированное изображение круглых плоских оснований полусферических микрообразований (Фиг.3а). При последующем переводе фокуса на верхнюю поверхность пленочного носителя в центре расфокусированных круглых изображений оснований полусферических микрообразований формируются сфокусированные изображения металлического осадка в травленых каналах в виде темных точек (фиг.5б).
Использование предлагаемого способа формирования носителя защитной информации обеспечивает по сравнению с существующими способами следующие преимущества.
Во-первых, формирование по предлагаемому способу именно полусферических зеркальных субмикрообразований в пределах микронных (или субмикронных) деталей заданного рисунка-логотипа невозможно воспроизвести ни одним из известных на сегодняшний день способов. Это обстоятельство полностью гарантирует данному носителю информации защиту от подделки.
Во-вторых, обеспечиваются условия для многотиражного производства носителей защитной информации.
В-третьих, обеспечиваются простота и доступность широкому кругу пользователей самостоятельно проводить визуальную идентификацию подлинности (оригинальности) документов и изделий массового производства, обеспеченных данными носителями защитной информации.
Достоинством предлагаемого способа является то, что существующие способы и средства не позволяют массовым тиражом воспроизводить полусферические зеркальные металлические микроструктуры в субмикронных деталях макрорисунка-логотипа, а также копировать их изображение. Подделать такой носитель практически невозможно, так как воспроизвести полусферическую зеркальную структуру с фиксированным микроразмерным диаметром и заданным распределением плотности в пределах субмикроскопических деталей рисунка-логотипа представляет собой крайне сложную задачу.
Предлагаемый носитель информации может обладать большей защищенностью и возможностями использования, если информация на нем может формироваться и считываться на одном и том же участке с использованием различных физических эффектов. В предлагаемом носителе это возможно реализовать, например, с помощью формирования полусферических микрообразований из магнитного металла. В этом случае информация может считываться как оптическим, так и дополнительно магнитным способами.
Дополнительными усилителями защитных функций предлагаемого носителя информации могут быть как вариация типа материала (цвет), его физические свойства (магнитные), так и особенностями структуры поверхности полусферических микрообразований (зеркальность, микрорельефность).
Особо отметим, что с целью еще более значительного повышения индивидуальной защиты носителя информации, изготовленного по предлагаемому способу, закодированные особенности изображений сформированных полусферических микрообразований на носителе информации (размеры, морфология, пространственное расположение) могут фиксироваться цифровой фотокамерой (через оптический микроскоп или специальный мобильный телефон) и считываться машинным способом с целью оперативной передачи информации. Таким образом, с помощью оптического микроскопа или мобильного телефона, снабженных цифровой видеокамерой, и компьютера можно оперативно выявлять идентичность данной информации заданной.
Литература
1. B.I.Belousov, A.B.Belousov, M.J.Kondratenko, S.E.Kim. United States Patent № US 6.3281342 B1. Dec.11.2001.
Формула изобретения
1. Способ формирования носителя защитной информации, представляющего собой структуру полимерного материала, имеющего рельефную поверхность в виде травленых каналов в трековой мембране, заполненных веществом, отличающийся тем, что заполнение травленых каналов осуществляют металлом путем его гальванического осаждения до образования на поверхности полимерного материала полусферических зеркальных металлических микрообразований, полусферическая форма которых устанавливается в отражающем оптическом микроскопе с использованием либо подвижного точечного источника света, либо при круговом освещении носителя информации заданным количеством точечных источников света.
2. Способ по п.1, отличающийся тем, что гальваническое осаждение металла осуществляют в травленые каналы трековой мембраны исключительно только в пределах микродеталей металлизированного макроскопического рисунка-логотипа.
3. Способ по п.1, отличающийся тем, что металлические полусферические микрообразования имеют диаметр на поверхности полимерного материала в пределах от 1 до 100 мкм.
4. Способ по п.1, отличающийся тем, что по периметру металлических полусферических микрообразований формируют дополнительные сателлитные полусферические субмикрообразования.
РИСУНКИ
|