|
|
(21), (22) Заявка: 2006132750/14, 12.09.2006
(24) Дата начала отсчета срока действия патента:
12.09.2006
(46) Опубликовано: 10.03.2008
(56) Список документов, цитированных в отчете о поиске:
МАРТОВ Ю.Б. и др. Острый деструктивный панкреатит. – М.: Медицинская литература, 2001, 80. SU 973108 A1, 15.11.1982. RU 2277870 C1, 20.06.2006. SU 806006 A1, 23.02.1981. UA 54985 A, 54985 A, 15.03.2003. GRZEBIENIAK Z. et al. Surgical and endoscopic treatment of pancreatic pseudocysts, Przegl. Lek., 2000, 57, Suppl. 5, 50-2.
Адрес для переписки:
153012, г.Иваново, пр. Ф. Энгельса, 8, ГОУ ВПО “Ивановская государственная медицинская академия Федерального агентства по здравоохранению и социальному развитию”
|
(72) Автор(ы):
Бабаев Андрей Александрович (RU)
(73) Патентообладатель(и):
Государственное образовательное учреждение высшего профессионального образования “Ивановская государственная медицинская академия Федерального агентства по здравоохранению и социальному развитию” (RU)
|
(54) СПОСОБ ФОРМИРОВАНИЯ ЦИСТОДУОДЕНОАНАСТОМОЗА
(57) Реферат:
Изобретение относится к медицине, а именно к хирургии, может быть использовано при лечении панкреатических псевдокист. Выполняют дуоденотомию. Выполняют пункцию кисты поджелудочной железы. Из места пункции кисту вскрывают V-образным разрезом. Отрезки разреза имеют длину 3 см. Отрезки разреза расположены под углом 60 градусов друг к другу. Кисту вскрывают через медиальную стенку двенадцатиперстной кишки ниже большого дуоденального соска. Накладывают швы с захватом стенки двенадцатиперстной кишки и фиброзной капсулы кисты. Ушивают дуоденотомическое отверстие. Способ обеспечивает профилактику рефлюкса дуоденального содержимого в полость панкреатической псевдокисты за счет исключения зияния соустья, формирования клапана, а также пересечения круговых мышц на меньшем отрезке двенадцатиперстной кишки при наложении цистодуоденоанастомоза. 5 ил.
Изобретение относится к медицине, а именно к хирургии, и может быть использовано при лечении панкреатических псевдокист (ППК).
В настоящее время в лечении ППК широко используются операции внутреннего дренирования. В частности, при расположении псевдокисты в области головки поджелудочной железы наиболее физиологичным вариантом является операция по формированию цистодуоденоанастомоза (ЦДА).
За прототип выбрана “Операция цистодуоденостомии”, описанная Ю.Б.Мартовым, В.В.Кирковским, В.Ю.Мартовым [Острый деструктивный панкреатит. – М.: Медицинская литература, 2001. – 80 с.] и показанная на фиг.1. Недостатком данного способа является то, что при формировании продольного ЦЦА происходит пересечение круговых мышц двенадцатиперстной кишки на протяжении не менее 5 см, а это способствует зиянию соустья и возможному забросу дуоденального содержимого в ППК. Дуоденальный рефлюкс препятствует облитерации полости псевдокисты.
С целью профилактики этого недостатка авторы разработали и внедрили в клиническую практику способ формирования ЦДА.
Технический результат предложенного способа заключается в том, что формируется V-образный ЦДА, верхний лоскут которого выполняет роль клапана, что позволяет уменьшить заброс дуоденального содержимого в полость ППК. Также уменьшению рефлюкса способствует пересечение круговых мышц на меньшем отрезке двенадцатиперстной кишки. Все это способствует спадению стенок ППК и ее облитерации.
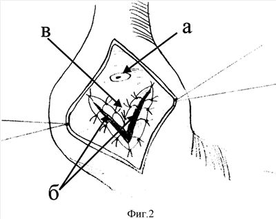
Способ осуществляют следующим образом: предшествующие формированию ЦДА этапы операции не отличаются от описанных в прототипе. Идентифицируется устье большого дуоденального соска (фиг.2, а) и определяется точка пункции ППК, которая должна располагаться ниже его на 3 см. После пункции со стороны просвета двенадцатиперстной кишки полость ППК вскрывается из точки прокола V-образным разрезом, отрезки которого, длиной 3 см, расположены под углом 60° друг к другу (фиг.2, б). Формирование ЦДА завершается сшиванием между собой рассеченных стенок кишки и капсулы ППК непрерывным или узловым однорядным швом. Таким образом, длина наложенного ЦДА составляет 6 см. Уменьшению рефлюкса дуоденального содержимого в полость ППК способствуют верхний лоскут V-образного ЦДА (фиг.2, в), выполняющий роль клапана. Ушивание дуоденотомической раны не отличается от описанного в прототипе.
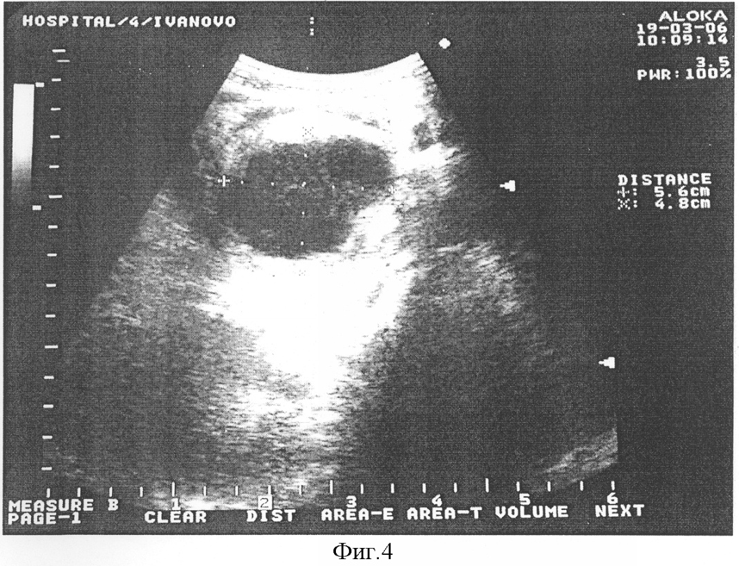
Пример. Больной К., 55 лет, И/Б № 1695, поступил в клинику 19.03.2006 года с жалобами на боли в верхней половине живота, частую рвоту, снижение массы тела. При рентгеноскопии желудка и двенадцатиперстной кишки выявлена компрессия нисходящей части двенадцатиперстной кишки за счет увеличенной головки поджелудочной железы (фиг.3). При выполнении УЗИ диагностировано полостное образование в проекции головки поджелудочной железы размерами 5,6×4,8 см (фиг.4). В плановом порядке 26.03.2006 г. произведена операция – наложение V-образного цистодуоденоанастомоза. В послеоперационном периоде на контрольной эхограмме 06.04.2006 в области головки поджелудочной железы (на месте псевдокисты) определяется образование размерами 3,0×3,1 см без полостного компонента (фиг.5). Пациент выписан в удовлетворительном состоянии, проходимость двенадцатиперстной кишки восстановлена, полость панкреатической псевдокисты не визуализируется.
Предложенный способ формирования ЦДА имеет следующее преимущество.
Уменьшению рефлюкса дуоденального содержимого в полость ППК и ее облитерации способствуют верхний лоскут V-образного ЦДА, выполняющий роль клапана, а также пересечение круговых мышц на меньшем отрезке двенадцатиперстной кишки.
Формула изобретения
Способ формирования цистодуоденоанастомоза, включающий дуоденотомию, пункцию и вскрытие кисты поджелудочной железы через медиальную стенку двенадцатиперстной кишки ниже большого дуоденального соска, наложение швов, захватывающих стенку двенадцатиперстной кишки и фиброзную капсулу кисты, с последующим ушиванием дуоденотомического отверстия, отличающийся тем, что из места пункции киста вскрывается V-образным разрезом, отрезки которого, длиной 3 см, расположены под углом 60° друг к другу.
РИСУНКИ
MM4A – Досрочное прекращение действия патента СССР или патента Российской Федерации на изобретение из-за неуплаты в установленный срок пошлины за поддержание патента в силе
Дата прекращения действия патента: 13.09.2008
Извещение опубликовано: 20.04.2010 БИ: 11/2010
|
|