Патент на изобретение №2318248

Published by on




РОССИЙСКАЯ ФЕДЕРАЦИЯ



ФЕДЕРАЛЬНАЯ СЛУЖБА
ПО ИНТЕЛЛЕКТУАЛЬНОЙ СОБСТВЕННОСТИ,
ПАТЕНТАМ И ТОВАРНЫМ ЗНАКАМ
(19) RU (11) 2318248 (13) C1
(51) МПК

G09B23/28 (2006.01)

(12) ОПИСАНИЕ ИЗОБРЕТЕНИЯ К ПАТЕНТУ

Статус: по данным на 08.11.2010 – прекратил действие, но может быть восстановлен

(21), (22) Заявка: 2006142428/14, 22.11.2006

(24) Дата начала отсчета срока действия патента:

22.11.2006

(46) Опубликовано: 27.02.2008

(56) Список документов, цитированных в отчете о
поиске:
SU 1774371 А1, 07.11.1992. RU 1518827 А1, 30.10.1989. КРЫШЕНЬ В.П. и др. Воспроизведение абсцессов печени у кроликов в эксперименте. Патол. физиол. и эксп. терапии, 1984, вып.2, с.68-69. ЗАГИДОВ М.3. Оптимизация способов лечения гнойников печени. Автореф. дисс., 1998. SCANLAN C.M. et al. “Comparative changes in a rat liver abscess model induced

Адрес для переписки:

450000, г.Уфа-Центр, Ленина, 3, БАШГОСМЕДУНИВЕРСИТЕТ, патентный отдел

(72) Автор(ы):

Нартайлаков Мажит Ахметович (RU),
Мустафин Айрат Харисович (RU),
Мурзабаев Хасан Хамзович (RU),
Каюмов Фарит Амирянович (RU),
Кононов Владимир Сергеевич (RU),
Демкина Любовь Севостьяновна (RU),
Гвоздик Татьяна Петровна (RU),
Олимов Сайджафар Сайумарович (RU)

(73) Патентообладатель(и):

Государственное образовательное учреждение высшего профессионального образования “БАШКИРСКИЙ ГОСУДАРСТВЕННЫЙ МЕДИЦИНСКИЙ УНИВЕРСИТЕТ ФЕДЕРАЛЬНОГО АГЕНТСТВА ПО ЗДРАВООХРАНЕНИЮ И СОЦИАЛЬНОМУ РАЗВИТИЮ” (ГОУ ВПО БГМУ РОСЗДРАВА) (RU)

(54) СПОСОБ МОДЕЛИРОВАНИЯ АБСЦЕССА ПЕЧЕНИ

(57) Реферат:

Изобретение относится к экспериментальной медицине, а именно к моделированию абсцесса печени. Для этого предварительно в печень устанавливают подключичный катетер. Затем интрапаренхиматозно вводят 2,0 мл 70% раствора этилового спирта. Через сутки в катетер вводят 2 млн КОЕ в 1,0 мл стафилококкового гноя. Способ обеспечивает адекватное воспроизведение модели при ее упрощении и сокращении сроков формирования абсцесса. 3 ил.

(56) (продолжение):

CLASS=”b560m”with three Fusobacterium necrophorum strains”. Am J Vet Res. 1986 Apr; 47(4):924-7.

Предлагаемое изобретение относится к медицине, а именно к абдоминальной (экспериментальной) хирургии, и может быть использовано для изучения инфицированных процессов в печени.

Известны способы моделирования абсцессов печени путем введения условно-патогенных микроорганизмов в паренхиму печени животных. Однако по литературным данным данный способ моделирования абсцессов печени у животных не эффективен (Г.Г.Ахладзе, И.Ю.Церетели. Холангиогенные абсцессы печени. – Хирургия. Приложение к CONSILIUM MEDICUM. – 2005. – Том 7. – №2. – C.1-9).

Известны также способы моделирования абсцессов печени с введением гноеродной флоры в портальную систему (C.M.Seanlan, J.N.Berq, M.D.Lairmore. Сравнительные биологические особенности модели абсцесса печени крыс, вызванные тремя видами Fusobacterium necrophorum./Американский журнал Ветеринарного исследования. – 1983. – №9. – С.1789-1792). При этом для формирования абсцесса необходимо довольно длительное время – около 30 суток и добиться образования абсцесса удается только у 60-65% животных (В.П.Крышень и др. Воспроизведение абсцессов печени у кроликов в эксперименте./Патологическая физиология и экспериментальная терапия. – 1984. – Выпуск 2. – С.68-69).

Прототипом предлагаемого изобретения является способ моделирования абсцессов печени с прорывом в брюшную полость (Авторское свидетельство СССР №1774371, 1992 г.). Данный способ основан на введении в печень микробной взвеси в составе емкости в предварительно созданную полость в толще сегмента печени. Затем емкость перфорируют и после формирования абсцесса с помощью нитей сообщают его с брюшной полостью. Недостатком данной методики является сложность проведения эксперимента, его многоэтапность и длительность при формировании полости с последующим ее инфицированием. Длительность формирования абсцессов печени достигает 30 суток.

Задачей предлагаемого изобретения является разработка достоверного, технически простого в выполнении метода моделирования абсцесса печени.

Технический результат при использовании изобретения – упрощение способа и сокращение сроков формирования абсцессов печени.

Указанный технический результат достигается тем, что в способе, включающем введение в печень гноеродной микрофлоры, предварительно в печень устанавливают подключичный катетер, интрапаренхиматозно вводят 2,0 мл 70% раствора этилового спирта, затем через сутки вводят 2 млн КОЕ в 1,0 мл стафилококкового гноя.

Способ моделирования печени выполняется следующим образом. В качестве экспериментальных животных используют белых крыс. Под эфирным масочным наркозом производят верхнесрединную лапаротомию. В толщу печени вводят подключичный катетер диаметром 2 мм и интрапаренхиматозно вводят 2 мл 70% раствора этилового спирта. Затем лапаротомную рану ушивают с фиксацией катетера в коже. Через сутки в установленный в паренхиме печени катетер вводят 2 млн КОЕ в 1,0 мл стафилококкового гноя. Введение 70% раствора этилового спирта вызывает местный некроз с формированием полости, а введение микрофлоры позволяет ее инфицировать. Наличие некробиотических изменений печени создает благоприятные условия для инфицирования и в последующем формировании абсцесса печени. В большинстве случаев в сроки 7-10 дней формировались абсцессы печени. Для оценки достоверности результатов предлагаемого способа моделирования абсцесса печени проводилось гистологическое исследование кусочков ткани печени. Методика апробирована на 15 крысах. Животных выводили из опыта по окончании сроков опыта введением летальных доз гексенала внутриплеврально. После соответствующей гистологической проводки срезы 7 мкм окрашивались гематоксилин-эозином. Всего приготовлено 120 микропрепаратов.

На фиг.1 изображено, что в зоне введения этанола через 24 часа отмечается массовый некроз гепатоцитов и всех клеточных элементов соединительной ткани. Зона некроза ограничена лейкоцитарным валом. За лейкоцитарным валом располагается перинекротическая зона, где наряду с морфологически нормальными гепатоцитами имеется значительное количество гепатоцитов, подвергшихся отсроченной гибели и дегенеративно измененные гепатоциты. В перинекротической зоне также отмечается гиперемия сосудов, диапедез эритроцитов и диффузная инфильтрация тканей печени лейкоцитами.

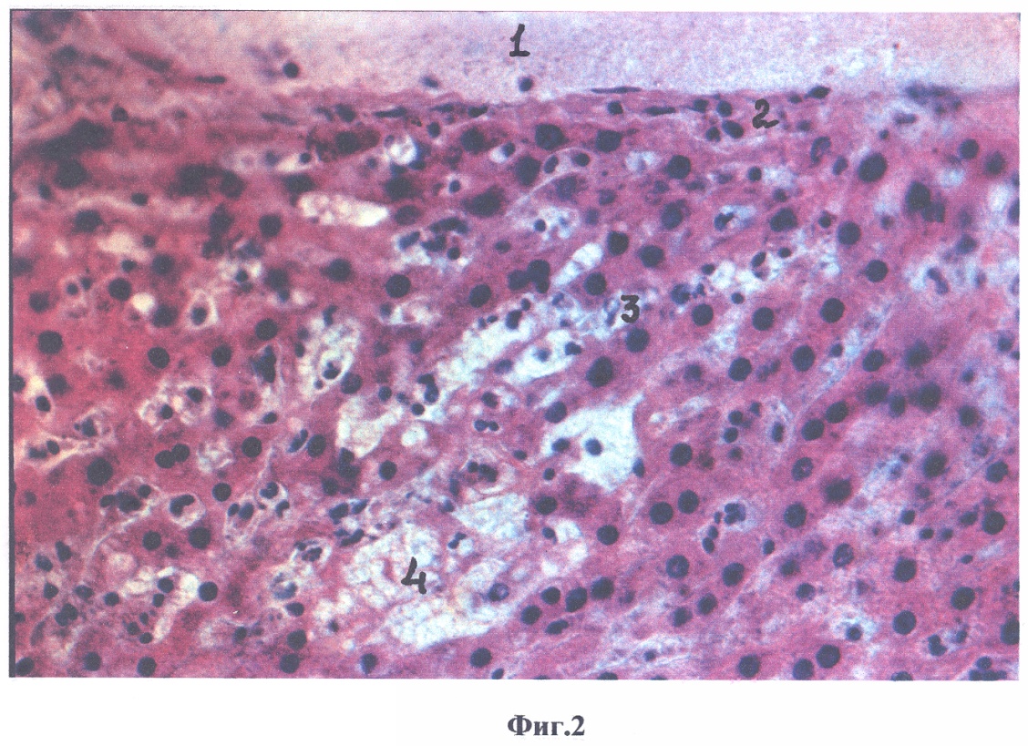
На фиг.2 показано, что на 7-е сутки вокруг полости формируется тонкостенная капсула из соединительной ткани. В прилегающей к абсцессу зоне сохраняется умеренная диффузная инфильтрация лейкоцитами, имеется значительное количество дистрофически-дегенеративно измененных гепатоцитов, встречаются мелкие очаги некроза.

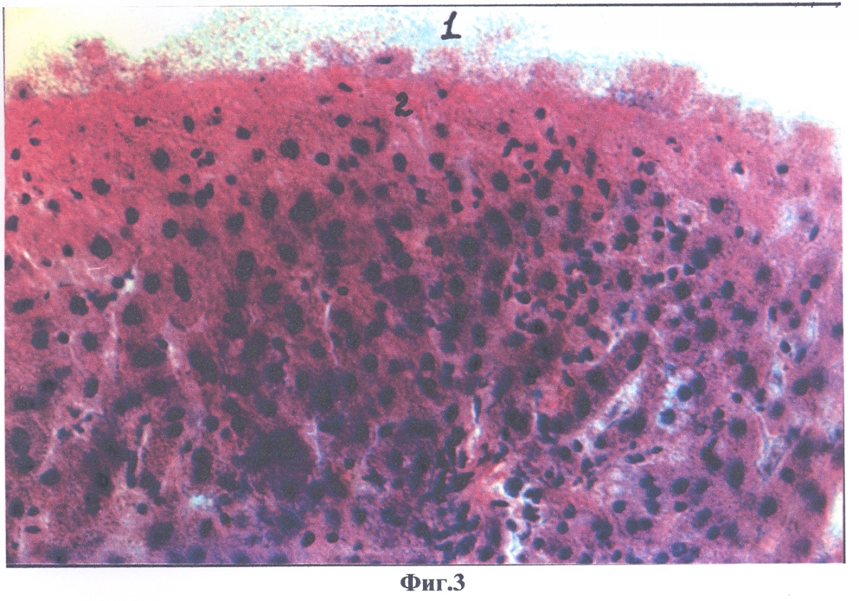
На фиг.3 изображено, что на 10-е сутки опыта вокруг полости абсцесса формируется достаточно выраженная капсула, лейкоцитарная инфильтрация, а количество дегенеративных форм гепатоцитов уменьшается.

В целом определяются все стадии формирования абсцесса печени, что позволяет проводить эксперименты по их лечению в разных стадиях их формирования.

Предлагаемый способ иллюстрируется следующим примером: крысе, самцу линии «Вистар», весом 250-300 г, под эфирным масочным наркозом произведена верхнесрединная лапаротомия. В толщу печени введен подключичный катетер диаметром 2 мм и интрапаренхиматозно введено 2 мл 70% раствора этилового спирта. Затем лапаротомная рана ушита с фиксацией катетера в коже. Через сутки в установленный в паренхиме печени катетер введено 2 млн КОЕ в 1,0 мл стафилококкового гноя. На 7-е сутки в печени сформирован абсцесс. Затем животное выведено из опыта введением летальных доз гексенала внутриплеврально. Проведено гистологическое исследование кусочков ткани печени. Вокруг полости сформирована тонкостенная капсула из соединительной ткани. В прилегающей к абсцессу зоне сохраняется умеренная диффузная инфильтрация лейкоцитами, имеется значительное количество дистрофически-дегенеративно измененных гепатоцитов, встречаются мелкие очаги некроза.

Формула изобретения

Способ моделирования абсцесса печени путем введения в печень гноеродной микрофлоры, отличающийся тем, что предварительно в печень устанавливают подключичный катетер, интрапаренхиматозно вводят 2,0 мл 70%-ного раствора этилового спирта, затем через сутки вводят 2 млн КОЕ в 1,0 мл стафилококкового гноя.

РИСУНКИ


MM4A – Досрочное прекращение действия патента СССР или патента Российской Федерации на изобретение из-за неуплаты в установленный срок пошлины за поддержание патента в силе

Дата прекращения действия патента: 23.11.2008

Извещение опубликовано: 10.08.2010 БИ: 22/2010


Categories: BD_2318000-2318999