Патент на изобретение №2317776

Published by on




РОССИЙСКАЯ ФЕДЕРАЦИЯ



ФЕДЕРАЛЬНАЯ СЛУЖБА
ПО ИНТЕЛЛЕКТУАЛЬНОЙ СОБСТВЕННОСТИ,
ПАТЕНТАМ И ТОВАРНЫМ ЗНАКАМ
(19) RU (11) 2317776 (13) C2
(51) МПК

A61B8/00 (2006.01)

(12) ОПИСАНИЕ ИЗОБРЕТЕНИЯ К ПАТЕНТУ

Статус: по данным на 08.11.2010 – прекратил действие, но может быть восстановлен

(21), (22) Заявка: 2006102032/14, 25.01.2006

(24) Дата начала отсчета срока действия патента:

25.01.2006

(43) Дата публикации заявки: 27.07.2007

(46) Опубликовано: 27.02.2008

(56) Список документов, цитированных в отчете о
поиске:
Кузнецов И.Д., Розенштраух Л.С. Рентгенодиагностика опухолей и кист средостения. – М.: Медицина, 1970. с 240. RU 2000125851 А, 20.09.2002. Клиническое руководство по ультразвуковой диагностике. Под ред. В.В.Митькова. – М., 1997, т.4, с.87. Комплексная лучевая диагностика опухолей и кист средостения. Конспект врача. Медицинская газета. 2003, №9-7.

Адрес для переписки:

603005, г.Нижний Новгород, ул. Алексеевская, 1, НижГМА, патентно-лицензионный отдел

(72) Автор(ы):

Сафонов Дмитрий Владимирович (RU),
Павлунин Александр Васильевич (RU),
Муртазалиева Марина Саидовна (RU)

(73) Патентообладатель(и):

Государственное образовательное учреждение высшего профессионального образования “Нижегородская государственная медицинская академия Федерального агентства по здравоохранению и социальному развитию” (ГОУ ВПО “НижГМА Росздрава”) (RU),
Сафонов Дмитрий Владимирович (RU)

(54) СПОСОБ ДИФФЕРЕНЦИАЛЬНОЙ ДИАГНОСТИКИ АБДОМИНОМЕДИАСТИНАЛЬНОЙ ЛИПОМЫ И ЦЕЛОМИЧЕСКОЙ КИСТЫ ПЕРИКАРДА

(57) Реферат:

Изобретение относится к области медицины, в частности к лучевой диагностике и ее разновидности – ультразвуковой диагностике, и может быть использовано для дифференциальной диагностики абдоминомедиастинальной липомы и целомической кисты перикарда. Осуществляют ультразвуковое исследование правого кардиодиафрагмального угла в вертикальном положении больного секторным датчиком частотой 3,5-5,0 МГц. Сначала выполняют поперечное сканирование из-под мечевидного отростка с направлением оси сканирования к правому плечу или справа парастернально из межреберья над местом прикрепления реберной дуги к грудине. Затем выполняют продольное ультразвуковое сканирование, проводят сравнительный анализ полученных изображений. Устанавливают диагноз абдоминомедиастинальной липомы при наличии гипоэхогенного образования треугольной формы с неоднородной структурой за счет множественных линейных эхогенных сигналов, не имеющего капсулы и сообщающегося с предбрюшинной жировой клетчаткой. Диагноз целомической кисты перикарда ставят при наличии образования овальной формы с анэхогенной однородной структурой, ограниченного тонкой эхогенной капсулой и не связанного с предбрюшинной клетчаткой. Способ позволяет повысить точность дифференциальной диагностики абдоминомедиастинальных липом и целомических кист перикарда на 18% по сравнению с рентгенологическим исследованием. 5 ил.

(56) (продолжение):

CLASS=”b560m”Шахов Б.Е. и др. Синдромная ультразвуковая диагностика заболеваний органов грудной полости. Медицинская визуализация. 1999, апрель-июнь, с.30-36. Дегтярев Ю.Г. Лучевая диагностика врожденных аномалий желчных протоков. Новости лучевой диагностики. 2001 1-2: 56-59. Дергачев А.И. Ультразвуковая диагностика заболеваний внутренних органов. Справочное пособие. – М., 1995, с.134.

Предлагаемый способ относится к области медицины, в частности к лучевой диагностике и ее разновидности – ультразвуковой диагностике, и может быть использован для дифференциальной диагностики абдоминомедиастинальной липомы и целомической кисты перикарда.

Абдоминомедиастинальная липома и целомическая киста перикарда локализуются преимущественно в правом кардиодиафрагмальном углу, но различаются по своей лечебной тактике, что требует их своевременной правильной дифференциальной диагностики.

Однако известный способ имеет ряд существенных недостатков. Диагностические ошибки могут возникать из-за того, что рентгенография базируется на анализе только теневой картины объекта, который не всегда позволяет дифференцировать жидкостную или тканевую структуру. Рентгеновское изображение строится по принципу суммации всех тенеобразующих структур, когда более интенсивная тень, например, плеврального выпота или массивных плевральных наложений перекрывает менее плотную тень. Кроме того, оно связано с лучевой нагрузкой на пациента, так как требует проведения полипозиционной рентгенографии, а в ряде случаев и рентгеноскопии.

Задачей предлагаемого способа является повышение точности дифференциальной диагностики абдоминомедиастинальной липомы и целомической кисты перикарда.

Поставленная задача решается тем, что в известном способе дифференциальной диагностики абдоминомедиастинальной липомы и целомической кисты перикарда, включающем лучевое обследование больного, осуществляют ультразвуковое исследование правого кардиодиафрагмального угла в вертикальном положении больного секторным датчиком частотой 3,5-5,0 МГц, при этом сначала выполняют поперечное сканирование из-под мечевидного отростка с направлением оси сканирования к правому плечу или справа парастернально из межреберья над местом прикрепления реберной дуги к грудине, затем выполняют продольное ультразвуковое сканирование, проводят сравнительный анализ полученных изображений и устанавливают диагноз абдоминомедиастинальной липомы при наличии гипоэхогенного образования треугольной формы с неоднородной структурой за счет множественных линейных эхогенных сигналов, не имеющего капсулы и сообщающегося с предбрюшинной жировой клетчаткой, диагноз целомической кисты перикарда ставят при наличии образования овальной формы с анэхогенной однородной структурой, ограниченного тонкой эхогенной капсулой и не связанного с предбрюшинной клетчаткой.

Предлагаемый способ отвечает критериям изобретения “новизна” и “изобретательный уровень”, так как проведенные патентно-информационные исследования не выявили из научно-технической и патентной литературы сведений, порочащих новизну предлагаемого способа, а также способов с существенными признаками предложенного технического решения.

Предлагаемым способом проведена дифференциальная диагностика у 43 больных, из них у 32 выявлена абдоминомедиастинальная липома и у 11 – целомическая киста перикарда. Предлагаемый способ повышает точность дифференциальной диагностики абдоминомедиастинальных липом и целомических кист перикарда на 18% по сравнению с рентгенологическим исследованием, что позволяет своевременно определять лечебную тактику, снизить лучевую нагрузку на пациента и персонал и уменьшить экономические затраты, связанные с установлением диагноза. Положительный эффект предложенного способа связан с физическими законами формирования ультразвукового изображения и особенностям методики исследования. Различное акустическое сопротивление жировой ткани абдоминомедиастинальной липомы и жидкого содержимого целомической кисты перикарда, лежащее в основе формирования их эхокартины, позволяет получить подробное двухмерное изображение с характерными диагностическими признаками, которые прицельно выявляются при использовании предложенной методики.

Предлагаемый способ проиллюстрирован эхограммами: фиг.1-5.

Фиг.1. Эхограмма абдоминомедиастинальной липомы при поперечном ультразвуковом сканировании справа парастернально из межреберья над местом прикрепления реберной дуги к грудине.

Фиг.2. Эхограмма целомической кисты перикарда при поперечном сканировании справа парастернально из межреберья над местом прикрепления реберной дуги к грудине.

Фиг.3. Эхограмма сообщения абдоминомедиастинальной липомы с предбрюшинной жировой клетчаткой при продольном ультразвуковом сканировании из-под мечевидного отростка.

Фиг.4. Эхограммы абдоминомедиастинальной липомы больной М. и целомической кисты перикарда больной С. (рисунок к клиническому примеру 1).

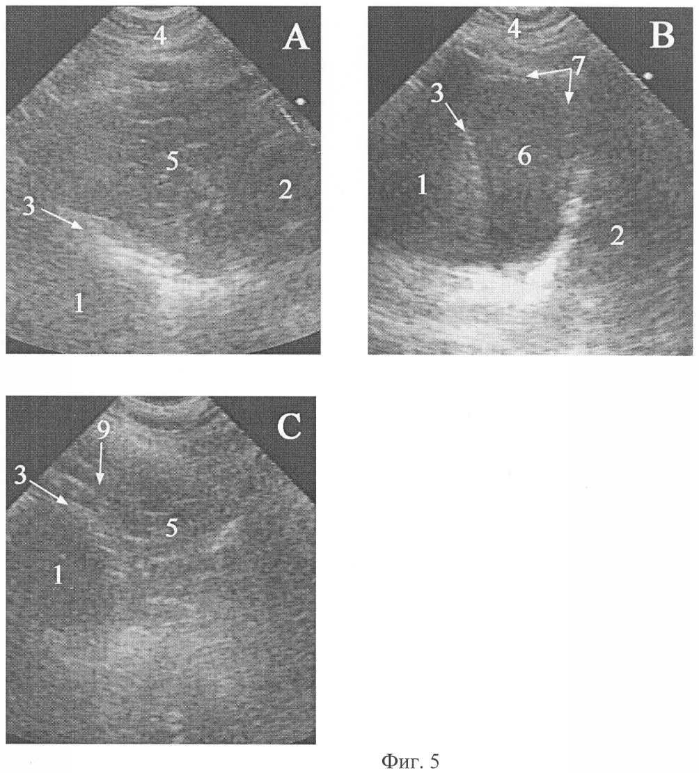
Фиг.5. Эхограммы абдоминомедиастинальной липомы больной В. и целомической кисты перикарда больной Г. (рисунок к клиническому примеру 2).

На фиг.1 обозначено: 1 – печень, 2 – сердце (лоцируется нечетко при движении), 3 – медиальная поверхность правого купола диафрагмы, 4 – мягкие ткани грудной стенки, 5 – абдоминомедиастинальная липома.

На фиг.2 обозначено: 1 – печень, 2 – сердце (лоцируется нечетко при движении), 3 – медиальная поверхность правого купола диафрагмы, 4 – мягкие ткани грудной стенки, 6 – целомическая киста перикарда, 7 – капсула целомической кисты перикарда.

На фиг.3 обозначено: 1 – печень, 4 – мягкие ткани грудной стенки, 5 – абдоминомедиастинальная липома, 8 – предбрюшинная жировая клетчатка, 9 – сообщение абдоминомедиастинальной липомы с предбрюшинной жировой клетчаткой.

На фиг.4 и 5 обозначено:

А – поперечное сканирование абдоминомедиастинальной липомы из-под мечевидного отростка с направлением оси сканирования к правому плечу, В – поперечное сканирование целомической кисты перикарда из-под мечевидного отростка с направлением оси сканирования к правому плечу, С – продольное сканирование сообщения абдоминомедиастинальной липомы с предбрюшинной жировой клетчаткой,

1 – печень, 2 – сердце (лоцируется нечетко из-за движения), 3 – медиальная поверхность правого купола диафрагмы, 4 – мягкие ткани грудной стенки, 5 – абдоминомедиастинальная липома, 6 – целомическая киста перикарда, 7 – капсула целомической кисты перикарда, 8 – предбрюшинная жировая клетчатка, 9 – связь абдоминомедиастинальной липомы с предбрюшинной жировой клетчаткой.

Предлагаемый способ осуществляют следующим способом: ультразвуковое исследование правого кардиодиафрагмального угла проводят в вертикальном положении больного секторным датчиком частотой 3,5-5,0 МГц, при этом сначала выполняют поперечное сканирование из-под мечевидного отростка с направлением оси сканирования к правому плечу или справа парастернально из межреберья над местом прикрепления реберной дуги к грудине, затем выполняют продольное ультразвуковое сканирование, проводят сравнительный анализ полученных изображений и устанавливают диагноз абдоминомедиастинальной липомы при наличии гипоэхогенного образования треугольной формы с неоднородной структурой за счет множественных линейных эхогенных сигналов, не имеющего капсулы и сообщающегося с предбрюшинной жировой клетчаткой, диагноз целомической кисты перикарда ставят при наличии образования овальной формы с анэхогенной однородной структурой, ограниченного тонкой эхогенной капсулой и не связанного с предбрюшинной клетчаткой.

Примеры конкретного исполнения даны в виде выписок из историй болезни.

Пример №1. Выписка из медицинской карты №7752/343 Городской клинической больницы №5 г.Нижнего Новгорода.

Ф.И.О.: Наумова Нина Николаевна, 57 лет, пенсионерка, инвалид II группы, паспорт 22 03 787280, адрес: Н.Новгород, ул.Дьяконова, д.9/1, кв.67; лечилась стационарно во II хирургическом отделении с 07.10.2003 по 23.10.2003 с заключительным клиническим диагнозом: целомическая киста перикарда. Жалобы на момент осмотра: общая слабость.

Анамнез заболевания: на рентгенограмме грудной клетки выявлено дополнительное образование в правом кардиодиафрагмальном углу.

Рентгенография грудной клетки от 09.10.03: справа в кардиодиафрагмальном углу определяется дополнительная тень средней интенсивности с нечеткими неровными контурами, размерами 6,0×6,0 см, тень плотно к передней грудной стенке не прилежит, частично наслаивается на тень сердца, окружающая легочная ткань воздушная, левое легкое и сердце без изменений.

Заключение: абдоминомедиастинальная липома справа? целомическая киста перикарда?

УЗИ грудной клетки от 07.10.03: при поперечном сканировании из-под мечевидного отростка в правом кардиодиафрагмальном углу лоцируется неправильно овальной формы образование размером 5×4 см, с анэхогенным жидкостным содержимым и мелкозернистой взвесью, окруженное тонкой эхогенной капсулой, вплотную прилежит к правым отделам сердца и к медиальной поверхности купола диафрагмы. Заключение: целомическая киста перикарда.

Операция – удаление целомической кисты перикарда от 15.10.03: Трансмиоректальный доступ справа. Через отверстие в диафрагме в рану выведена целомическая киста перикарда диаметром 4 см. Ножка взята на зажим, лигирована, пересечена. Киста удалена. Контроль гемостаза. Препарат: стенка целомической кисты. Патологогистологическое исследование №7191/7196 от 16.10.03: в исследуемом материале стенка мезотелиальной кисты.

Пример №2. Выписка из медицинской карты №4995/220 Городской клинической больницы №5 г.Нижнего Новгорода.

Ф.И.О.: Цыбенкова Руфима Федоровна, 64 лет, пенсионерка, инвалид II группы; адрес: Нижегородская обл., Бутурлинский район, с.Виргизан, ул.Толстого, д.23, паспорт 22 01 878363; лечилась стационарно во II хирургическом отделении с 17.06.2003 по 03.07.2003 с заключительным клиническим диагнозом: абдоминомедиастинальная липома справа.

Жалобы: одышка при небольшой физической нагрузке.

Анамнез заболевания: на рентгенограмме грудной клетки выявлено дополнительное образование в правом кардиодиафрагмальном углу, для обследования и лечения направлена в ГКБ №5.

Рентгенография грудной клетки от 04.06.03: в кардиодиафрагмальном углу справа определяется дополнительная тень с четкими неровными контурами, плотной консистенции, не связана с куполом диафрагмы, легочная ткань воздушная, левое легкое и сердце без изменений. Заключение: абдоминомедиастинальная липома справа. УЗИ грудной клетки от 23.06.03: при поперечном сканировании из-под мечевидного отростка в правом кардиодиафрагмальном углу лоцируется дополнительное гипоэхогенное образование треугольной формы с неровными контурами и неоднородной эхоструктурой за счет линейных эхогенных сигналов. При продольном сканировании из-под мечевидного отростка прослеживается сообщение дополнительного образования с предбрюшинной жировой клетчаткой.

Заключение: абдоминомедиастинальная липома справа.

Операция – удаление абдоминомедиастинальной липомы от 26.06.03: трансмиоректальный доступ справа от реберной дуги до предбрюшинной клетчатки. Через щель Ларрея в грудную клетку проникает липома. Ножка липомы выражена хорошо. Она выделена и взята на зажим. Липома выделена в капсуле, удалена, размеры ее до 8 см в диаметре. Пластика диафрагмы отдельными узловыми швами. Контроль гемостаза. Препарат: липома. Патологогистологическое исследование №5000/5005 от 27.06.03: липома.

Пример №3. Выписка из медицинской карты №7722/341 Городской клинической больницы №5 г.Нижнего Новгорода.

Ф.И.О.: Уколова Татьяна Яковлевна, 54 лет, НО СТД РФ, художник, паспорт 22 02 692945, адрес: Н.Новгород, ул.Суетинская, д.1, кв.38; лечилась во II хирургическом отделении с 06.10.2003 по 27.10.2003 с заключительным клиническим диагнозом целомическая киста перикарда.

Жалоб на момент осмотра не предъявляет.

Анамнез заболевания: на рентгенограмме грудной клетки выявлено дополнительное образование в правом кардиодиафрагмальном углу.

Рентгенография грудной клетки от 09.10.03: справа в кардиодиафрагмальном углу определяется дополнительная тень средней интенсивности с нечеткими неровными контурами, размерами 7,0×6,0 см, тень связана с сердечной тенью, тесно прилежит к правым отделам сердца, окружающая легочная ткань воздушная, сердце без изменений.

Заключение: целомическая киста перикарда.

УЗИ грудной клетки от 09.10.03: при поперечном сканировании из-под мечевидного отростка в правом кардиодиафрагмальном углу рядом со стенкой правого предсердия лоцируется овальное анэхогенное образование размером 7×7 см, с мелкозернистой взвесью и четким ровным контуром за счет эхогенной капсулы, образование сообщается с полостью перикарда. Заключение: целомическая киста перикарда.

Операция – удаление целомической кисты перикарда от 16.10.03: трансмиоректальный доступ справа. Через отверстие в диафрагме в рану выведена целомическая киста перикарда на ножке диаметром 7 см. Ножка взята на зажим, лигирована, пересечена. Киста удалена. Контроль гемостаза. Дефект диафрагмы ушит отдельными узловыми швами. Препарат: стенка целомической кисты. Патологогистологическое исследование №7241/7245 от 17.10.03: в исследуемом материале стенка мезотелиальной кисты.

Пример №4. Выписка из медицинской карты №192/13 Городской клинической больницы №5 г.Нижнего Новгорода.

Ф.И.О.: Минеева Ольга Анатольевна, 49 лет, детская музыкальная школа №17, преподаватель; адрес: г.Н.Новгород, ул.Культуры, д.8, кв.181, паспорт 22 00 683150; лечилась стационарно во II хирургическом отделении с 09.01.2003 по 24.01.2003 с заключительным клиническим диагнозом: абдоминомедиастинальная липома справа. Жалоб при осмотре не предъявляет.

Анамнез заболевания: в феврале 2000 г. на профилактической флюорограмме грудной клетки выявлено дополнительное образование в правом кардиодиафрагмальном углу, в ноябре 2002 г. отмечено увеличение образования. Госпитализирована для оперативного лечения.

Рентгенография грудной клетки от 10.11.02: в кардиодиафрагмальном углу справа определяется дополнительная тень средней интенсивности с четкими ровными наружными контурами и сливающимися с тенью диафрагмы внутренними контурами, легочная ткань воздушная, левое легкое и сердце без изменений.

Заключение: абдоминомедиастинальная липома справа. УЗИ грудной клетки от 10.01.03: при поперечном сканировании из-под мечевидного отростка в правом кардиодиафрагмальном углу лоцируется дополнительное гипоэхогенное образование треугольной формы с неоднородной эхоструктурой за счет линейных эхогенных сигналов. При продольном сканировании прослежено его сообщение с предбрюшинной жировой клетчаткой.

Заключение: абдоминомедиастинальная липома справа. Операция – удаление абдоминомедиастинальной липомы от 13.01.03: трансмиоректальный доступ справа от реберной дуги до предбрюшинной клетчатки. Через щель Ларрея в грудную клетку проникает липома в капсуле диаметром до 8 см. Ножка липомы выделена и взята на зажим, пересечена, липома выделена и удалена. Пластика диафрагмы отдельными узловыми швами. Контроль гемостаза.

Препарат: жировая ткань в капсуле. Патологогистологическое исследование №205/210 от 14.01.03: липома.

Формула изобретения

Способ дифференциальной диагностики абдоминомедиастинальной липомы и целомической кисты перикарда, включающий лучевое обследование больного, отличающийся тем, что осуществляют ультразвуковое исследование правого кардиодиафрагмального угла в вертикальном положении больного секторным датчиком частотой 3,5-5,0 МГц, при этом сначала выполняют поперечное сканирование из-под мечевидного отростка с направлением оси сканирования к правому плечу или справа парастернально из межреберья над местом прикрепления реберной дуги к грудине, затем выполняют продольное ультразвуковое сканирование, проводят сравнительный анализ полученных изображений и устанавливают диагноз абдоминомедиастинальной липомы при наличии гипоэхогенного образования треугольной формы с неоднородной структурой за счет множественных линейных эхогенных сигналов, не имеющего капсулы и сообщающегося с предбрюшинной жировой клетчаткой, диагноз целомической кисты перикарда ставят при наличии образования овальной формы с анэхогенной однородной структурой, ограниченного тонкой эхогенной капсулой и не связанного с предбрюшинной клетчаткой.

РИСУНКИ


MM4A – Досрочное прекращение действия патента СССР или патента Российской Федерации на изобретение из-за неуплаты в установленный срок пошлины за поддержание патента в силе

Дата прекращения действия патента: 26.01.2008

Извещение опубликовано: 10.10.2009 БИ: 28/2009


Categories: BD_2317000-2317999