Патент на изобретение №2316281

Published by on




РОССИЙСКАЯ ФЕДЕРАЦИЯ



ФЕДЕРАЛЬНАЯ СЛУЖБА
ПО ИНТЕЛЛЕКТУАЛЬНОЙ СОБСТВЕННОСТИ,
ПАТЕНТАМ И ТОВАРНЫМ ЗНАКАМ
(19) RU (11) 2316281 (13) C2
(51) МПК

A61B17/56 (2006.01)

(12) ОПИСАНИЕ ИЗОБРЕТЕНИЯ К ПАТЕНТУ

Статус: по данным на 08.11.2010 – действует

(21), (22) Заявка: 2006100579/14, 10.01.2006

(24) Дата начала отсчета срока действия патента:

10.01.2006

(43) Дата публикации заявки: 10.05.2006

(46) Опубликовано: 10.02.2008

(56) Список документов, цитированных в отчете о
поиске:
RU 2185114 С2, 20.07.2002. RU 2199286 C2.27.02.2003. Травматология и ортопедия /Под ред. Ю.Г.ШАПОШНИКОВА. – М.: Медицина, Том 3, 1997, с.288-290. ERALP L, A comparison of two osteotomy techniques for tibial lengthening Arch Orthop Trauma Surg. 2004 Jun; 124(5): 298-300. Epub 2004 Mar 18 (Abstract).

Адрес для переписки:

410002, г.Саратов, ул.Чернышевского, 148, ФГУ “СарНИИТОРосмедтехнологий”, начальнику отдела формирования и управления интеллектуальной собственностью Г.А.Грешнову

(72) Автор(ы):

Царева Екатерина Евгеньевна (RU),
Куркин Сергей Алексеевич (RU),
Винокуров Вячеслав Александрович (RU),
Норкин Игорь Алексеевич (RU)

(73) Патентообладатель(и):

Федеральное государственное учреждение “Саратовский научно-исследовательский институт травматологии и ортопедии Федерального агентства по высокотехнологичной медицинской помощи” (RU)

(54) СПОСОБ ВНЕСУСТАВНОЙ КОРРЕКЦИИ ДЕФОРМАЦИЙ КОЛЕННОГО СУСТАВА

(57) Реферат:

Изобретение относится к медицине, а именно к травматологии и ортопедии, и предназначено для коррекции деформации коленного сустава. Проводят многоплоскостную остеотомию проксимального конца большеберцовой кости начиная поперечно, затем продольно до субхондрального слоя суставной поверхности с формированием внесуставно мобильного костно-хрящевого фрагмента. Вычерпывают в субхондральной зоне губчатую кость до суставного хряща. Выполняют клиновидную остеотомию с задней или передней стороны тибиального метаэпифиза. Формируют костный клин с углом, равным углу деформации в сагиттальной плоскости. Накладывают спице-стержневой аппарат внешней фиксации. Проводят поперечную дистракцию в нем костно-хрящевого фрагмента путем перемещения на суставном хряще в направлении и на величину максимального дефицита покрытия суставных поверхностей до формирования функционально правильного расположения мыщелков и восстановления функционально правильного расположения оси конечности. При рекурвации коленного сустава и/или рекурвационной деформации костей голени костный клин формируют основанием к задней поверхности большеберцовой кости с углом, открытым кзади и равным углу рекурвации. Костный клин резецируют с углом, равным углу порочного переднего наклона, но не менее 10° и не выше уровня прикрепления сухожилия сгибателей и разгибателей голени. При антекурвации коленного сустава и/или антекурвационной деформации костей голени костный клин формируют основанием к передней поверхности большеберцовой кости с углом, открытым кпереди и равным углу антекурвации, а костно-хрящевой фрагмент в дистальном отделе резецируют на величину, равную величине основания клина. Костный клин помещают в продольный расщеп между фрагментами большеберцовой кости. Проводят остеотомию на уровне средней трети малоберцовой кости из дополнительного разреза по наружной поверхности в средней трети голени. Мобильный костно-хрящевой фрагмент фиксируют в аксиальной плоскости П-образно изогнутой спицей Киршнера и стержнем, проведенными в сагиттальной плоскости. П-образно изогнутую спицу Киршнера и стержень вводят через зону прикрепления собственной связки надколенника. Поперечную дистракцию проводят динамически по 0,03 мм в 1,5 часа. Поперечную дистракцию начинают не позднее вторых суток после корригирующих остеотомий. Многоплоскостную остеотомию начинают поперечным разрезом ниже бугристости большеберцовой кости, но выше диафиза. Способ обеспечивает анатомическое и функциональное восстановление коленного сустава, восстановление опороспособности конечности, восполнение дефицита покрытия суставных поверхностей. 10 з.п. ф-лы, 6 ил.

Изобретение относится к медицине, а именно к травматологии и ортопедии, и может быть использовано для лечения больных с деформациями нижних конечностей на уровне коленного сустава при различных нозологиях в травмотологических и ортопедических отделениях больниц и клиник НИИТО.

Недостатками этого способа являются:

– высокий риск штыкообразной деформации большеберцовой кости на уровне остеотомии вследствие консольного нагружения мыщелка;

– высокий риск рецидива деформации конечности при незаконченном росте скелета из-за формирования асимметричных мыщелков;

– риск развития артроза из-за неравномерности нагрузки на суставные поверхности;

– невозможность коррекции пространственных деформаций;

– невозможность восполнения дефицита покрытия суставных поверхностей;

– сохранение частичного искривления конечности во фронтальной плоскости при деформации с вершиной на уровне суставной щели.

Известен способ коррекции деформации конечности путем подмыщелковой клиновидной остеотомии большеберцовой кости с дозированной транспозицией отломков [с.91-93, Г.П.Котельников, А.П.Чернов. Хирургическая коррекция деформаций коленного сустава – Самара: СГМУ, 1999], включающий рассечение малоберцовой кости снизу снаружи вверх кнутри, формирование в подмыщелковой зоне клина с шип П-образном шипов в основании, рассечение большеберцовой кости на уровне иссечения клина, разведение фрагментов в стороны, формирование в спонгиозном веществе дистального фрагмента костного ложе под шип, разворот и/или относительное смещение во фронтальной плоскости фрагментов на заданную величину, сопоставление фрагментов и совмещение шипа с костным ложе.

Недостатками этого способа являются:

– риск развития штыкообразной деформации большеберцовой кости на уровне остеотомии вследствие консольного нагружения мыщелка;

– высокий риск рецидива деформации конечности при незаконченном росте скелета из-за формирования асимметричных мыщелков;

– развитие деформирующего артроза из-за неравномерности нагрузки на суставные поверхности;

– невозможность коррекции деформаций во фронтальной и сагиттальной плоскостях одновременно;

– невозможность восполнения дефицита покрытия суставных поверхностей;

– сохранение частичного искривления конечности во фронтальной плоскости при деформации с вершиной на уровне суставной щели.

Наиболее близким по назначению и совокупности существенных признаков является способ хирургической коррекции околосуставных деформации коленного сустава у детей [Пат. RU №2185114 от 26.01.00, з. RU №2000101944/14; опубл. 20.07.02. Бюл. №20], включающий проведение многоплоскостной остеотомии проксимального конца большеберцовой кости, начинаемой поперечно во фронтальной плоскости до границы с неповрежденной зоной и продолжаемой продольно в сагиттальной плоскости до субхондрального слоя суставной поверхности, вычерпывание и удаление патологически измененной губчатой костной ткани до суставного хряща с формированием внесуставно мобильного костно-хрящевого фрагмента, связанного мягкими тканями и гиалиновым хрящом с суставом, его перемещение на суставном хряще и фиксацию во фронтальной плоскости двумя спицами Киршнера, закрепление последних в компрессионно-дистракционном аппарате, дистракцию костно-хрящевого фрагмента в послеоперационном периоде, начиная с 5-го дня и до формирования функционально правильного расположения мыщелков и восстановления оси конечности.

Недостатками этого способа являются:

– невозможность исправления деформации в сагиттальной плоскости;

– сохранение дефицита покрытия суставных поверхностей;

– сохранение несоосности большеберцовой и бедренной костей;

– сохранение частичного искривления конечности во фронтальной плоскости при деформации с вершиной на уровне суставной щели.

Задачи, решаемые изобретением:

– восстановить ось конечности до физиологической нормы;

– восстановить форму суставных поверхностей;

– восполнить дефицит покрытия суставных поверхностей.

Решение поставленных задач позволит перераспределить нагрузки в коленном суставе, снизить контактные напряжения на суставные поверхности, нормализовать внутрисуставные взаимоотношения, что обеспечивает полное анатомическое и функциональное восстановление коленного сустава, а так же опороспособности конечности. Дополнительно достигается повышение эффективности и качества лечения.

Для выполнения поставленных задач в предлагаемом способе внесуставной коррекции деформации коленного сустава, включающем проведение многоплоскостной остеотомии проксимального конца большеберцовой кости начиная поперек и продолжая вдоль продольной оси кости до субхондрального слоя суставной поверхности с формированием внесуставно мобильного костно-хрящевого фрагмента, вычерпывание в субхондральной зоне губчатой костной ткани до суставного хряща, наложение спице-стержневого аппарата внешней фиксации, поперечную дистракцию в нем костно-хрящевого фрагмента путем перемещения на суставном хряще до формирования функционально правильного расположения мыщелков и восстановления функционально правильного расположения оси конечности, в отличие от прототипа дополнительно выполняют клиновидную остеотомию с задней или передней стороны тибиального метаэпифиза, при этом формируют костный клин с углом, равным углу деформации в сагиттальной плоскости, а дистракцию проводят в направлении и на величину максимального дефицита перекрытия суставных поверхностей.

В случае рекурвации коленного сустава и/или рекурвационной деформации костей голени костный клин формируют основанием к задней поверхности большеберцовой кости с углом, открытым кзади и равным углу рекурвации, при этом костный клин может быть резецирован с углом, равным углу порочного переднего наклона, но не менее 10° и не выше уровня прикрепления сухожилия сгибателей и разгибателей голени.

В случае антекурвации коленного сустава и/или антекурвационной деформации костей голени костный клин формируют основанием к передней поверхности большеберцовой кости с углом, открытым кпереди и равным углу антекурвации, при этом а костно-хрящевой фрагмент в дистальном отделе резецируют на величину, равную величине основания клина.

Костный клин может быть помещен в продольный расщеп между фрагментами большеберцовой кости. Для ликвидации интраоперационных деформаций остеотомируют малоберцовую кость из дополнительного разреза по наружной поверхности в средней трети голени. Костно-хрящевой фрагмент целесообразно зафиксировать в аксиальной плоскости введя в него П-образно изогнутую спицу Киршнера и стержень в сагиттальной плоскости на уровне зоны прикрепления собственной связки надколенника. Поперечную дистракцию рационально проводить динамически по 0,03 мм в 1,5 часа, при этом начинать ее нужно не позднее вторых суток после корригирующих остеотомий. Поперечный разрез при проведении многоплоскостной остеотомии целесообразно делать ниже бугристости большеберцовой кости, но выше диафиза.

Предлагаемый способ позволяет перейти на новый уровень и качество лечения больных с деформациями на уровне коленного сустава за счет внесуставной коррекции в сагиттальной и фронтальной плоскостях путем комплексного выполнения многоплоскостной корригирующей остеотомии проксимального конца большеберцовой кости с формированием мобильного костно-хрящевого фрагмента, корригирующей остеотомии по задней тибиальной поверхности и аппаратной фиксации и поперечной дистракции мобильного костно-хрящевого фрагмента до восполнения дефицита покрытия суставных поверхностей.

Общеизвестно, что в нормальных физиологических условиях суставной хрящ обладает упругостью, выполняет опорные функции и амортизирует колебание внешних нагрузок на контактирующие суставные поверхности за счет своих лабильных гидростатических свойств. В условиях пространственной деформации нижней конечности, кроме деформации во фронтальной плоскости, появляются деформации в сагиттальной плоскости, проявляющиеся рекурвацией или антекурвацией. Напряженное состояние гиалинового хряща в этом случае резко изменяется: происходит его деградация и сползание. А при дефиците покрытия (контакта) суставных поверхностей с уменьшением ширины контакта пропорционально увеличиваются контактные напряжения, что еще больше ускоряет деградацию хряща. Поэтому важно как можно раньше устранить локальные перенапряжения хряща, для чего нормализуют положение тибиального плато как во фронтальной, так и в сагиттальной плоскости. В сагиттальной плоскости это достигается выполнением клиновидной остеотомии с задней или передней стороны тибиального метаэпифиза, при этом формируют костный клин с углом, равным углу деформации. Дефицит костной ткани контактирующих поверхностей устраняется дистракцией мобильного костно-хрящевого несвободного фрагмента в дистракционном аппарате, проводимой в направлении и на величину максимального восполнения костной ткани.

Для повышения точности нормализации осей проводят фиксацию мобильного костно-хрящевого фрагмента в аппарате в аксиальной плоскости П-образно изогнутой спицей Киршнера и стержнем, проведенными в сагиттальной плоскости. А для снижения травматичности фиксации их проводят в зоне прикрепления собственной связки надколенника.

С учетом анизотропии гиалинового хряща при обобщении клинического опыта СарНИИТО установлено, что поперечную дистракцию оптимально проводить динамически по 0,03 мм в 1,5 часа. Проведение ее не позднее вторых суток после оперативного вмешательства обусловлено необходимостью снижения травматизации как костного, так и хрящевого регенератов.

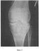
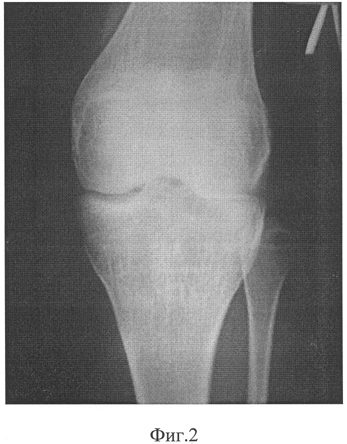
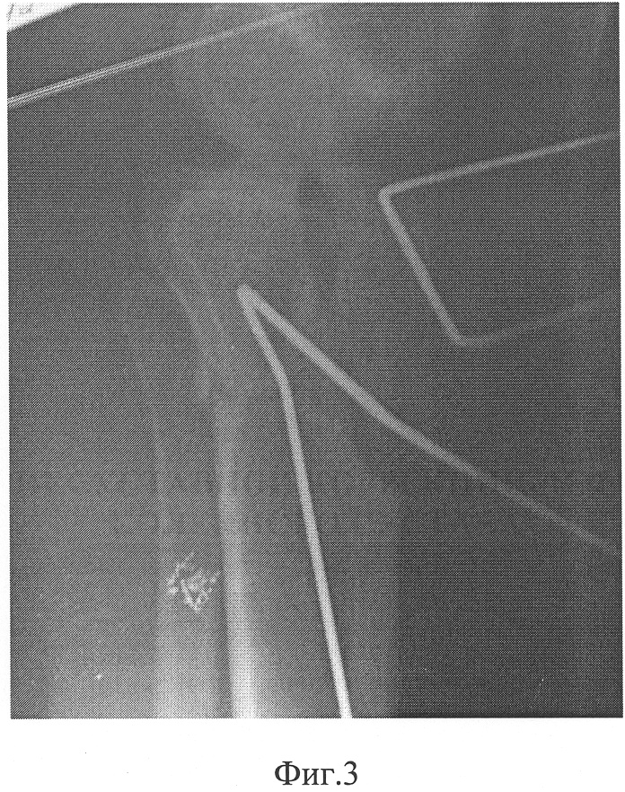
Способ проиллюстрирован сделанными в процессе лечения рентгенограммами нижней левой конечности (в разогнутом состоянии) больной М.:

Фиг.1 – боковая проекция (вид сбоку) до лечения;

Фиг.2 – прямая проекция (вид спереди) до лечения;

Фиг.3 – интраоперационная после остеотомий при фиксации костно-хрящевого фрагмента П-образно изогнутой спицей;

Фиг.4 – после операции и наложения аппарата внешней фиксации;

Фиг.5 – схема корригирующей остеотомии верхней трети левой большеберцовой кости с формированием внесуставно костно-хрящевого фрагмента и задней поперечной остеотомии при рекурвации.

Фиг.6 – схема корригирующей остеотомии верхней трети левой большеберцовой кости с формированием внесуставно костно-хрящевого фрагмента и передней поперечной остеотомии при антекурвации.

Способ осуществляют в следующей последовательности:

Больной лежит на спине. По передневнутренней поверхности проксимального отдела левой голени производят разрез кожи и мягких тканей, максимально приближая его к суставным концам. Обнажают тупо или остро метаэпифизарную зону большеберцовой кости, сохраняя целостность капсулы сустава. Острым путем, например долотом, поднадкостнично производят многоплоскостную остеотомию: вначале во фронтальной плоскости поперечную, затем в сагиттальной плоскости продольную до субхондрального слоя с формированием внесуставно мобильного костно-хрящевого фрагмента, связанного мягкими тканями и гиалиновым хрящом с суставом. Вычерпывают в субхондральной зоне губчатую кость желобоватым долотом, или ложкой Фолькмана, или круглой фрезой. Производят дополнительный разрез мягких тканей по наружной поверхности голени на уровне средней трети малоберцовой кости и выполняют ее остеотомию. Выполняют клиновидную остеотомию с задней или передней стороны тибиального метаэпифиза, скрепляют концы образовавшегося костного дефекта. Вырезанный в результате клин с углом, равным углу деформации в сагиттальной плоскости, может быть помещен в костный распил во фронтальной плоскости. В начале мобильный костно-хрящевой фрагмент перемещают на хряще вручную, по возможности, приближая к уровню анатомо-функционально правильного расположения мыщелков, затем его фиксируют аксиально П-образно изогнутой спицей Киршнера и стержнем, проведенным в сагиттальной плоскости, которые затем закрепляют в проксимальной опоре аппарата. Рану послойно ушивают.

В послеоперационном периоде со второго дня проводят дистракцию в аппарате мобильного костно-хрящевого фрагмента в направлении дефицита покрытия суставных поверхностей на величину максимального восполнения этого дефицита. Дистракцию проводят динамически по 0,03 мм в 1,5 часа.

С 5-го дня назначают стимулирующую ЛФК.

Пример 1. Больная М., 08.04.90 г.р. (история болезни №3039), поступила 24.11.05 в клинику детской ортопедии СарНИИТО по поводу деформации левой нижней конечности, проявляющейся в виде вальгусного искривления и переразгибания коленного сустава с появлением признаков нестабильности голени в сагиттальной и фронтальной плоскостях.

В СарНИИТО больной было проведено обследование. На рентгенограмме левой конечности в боковой проекции (фиг.1) зафиксировано переразгибание коленного сустава со смещением в сагиттальной плоскости мыщелка голени кзади на 8 мм, что свидетельствует о подвывихе и рекурвации.

На рентгенограмме левой конечности в прямой проекции (фиг.2) зафиксировано сужение и асимметрия суставной щели: полное ее отсутствие по наружнолатеральному углублению и умеренное сужение с внутреннемедиальной верхней суставной поверхности большеберцовой кости, что свидетельствует о вальгусном искривлении коленного сустава и отклонении центра голени от механической оси нижней конечности. В субхондральной зоне большеберцовой кости отмечены признаки дистрофических изменений костной структуры, что является проявлением дефицита хрящевого покрытия проксимального мыщелка большеберцовой в заднемедиальном направлении.

Диагноз: подвывих левой голени кзади, рекурвационно-вальгусная деформация левой нижней конечности на уровне коленного сустава. Максимальный дефицит суставного покрытия проксимального конца большеберцовой кости в сагиттальной плоскости – 8 мм.

В СарНИИТО 13.12.05 было проведено оперативное вмешательство по запланированной схеме (фиг.5). Произвели дугообразный разрез по передневнутренней поверхности проксимального отдела левой голени длиной 12 см. В верхней трети левой большеберцовой кости выполнена корригирующая многоплоскостная остеотомия с формированием внесуставно костно-хрящевого суставного фрагмента. На задней поверхности голени вырезали клин углом в 10° и шириной 8 мм. Затем была пересечена в средней трети малоберцовая кость. Проведенными в сагиттальной плоскости П-образно изогнутой спицей Киршнера и стержнем костно-хрящевой фрагмент зафиксирован в аксиальной плоскости. Интраоперационно под рентгеноконтролем на голень наложен двухсекционный спице-стержневой аппарат внешней фиксации (фиг.4). Спица и стержень закреплены на верхней базовой опоре аппарата посредством тяговых устройств.

Со второго дня после операции была начата дистракция костно-хрящевого фрагмента в поперечном направлении со скоростью 0,03 мм за 1,5 часа. Расчетный срок дистракции составил 32 дня.

В послеоперационном периоде с 4-го дня больной разрешено ходить с дополнительной опорой на костыли, с 7 дня для активизации костно-хрящевой регенерации назначено ЛФК.

Медико-социальная эффективность способа заключается:

– в улучшении функциональных результатов лечения;

– сокращении инвалидности и быстрой реабилитации и адаптации;

– снижение рецидивов повторной деформации конечности в 2-3 раза;

– повышение качества жизни пациента.

Формула изобретения

1. Способ внесуставной коррекции деформации коленного сустава, включающий проведение многоплоскостной остеотомии проксимального конца большеберцовой кости начиная поперечно, затем продольно до субхондрального слоя суставной поверхности с формированием внесуставно мобильного костно-хрящевого фрагмента, вычерпывание в субхондральной зоне губчатой костной ткани до суставного хряща, наложение спице-стержневого аппарата внешней фиксации, проводят поперечную дистракцию в нем костно-хрящевого фрагмента путем перемещения на суставном хряще до формирования функционально правильного расположения мыщелков и восстановления функционально правильного расположения оси конечности, отличающийся тем, что выполняют клиновидную остеотомию с задней или передней стороны тибиального метаэпифиза, при этом формируют костный клин с углом, равным углу деформации в сагиттальной плоскости, а дистракцию проводят в направлении и на величину максимального дефицита покрытия суставных поверхностей.

2. Способ по п.1, отличающийся тем, что при рекурвации коленного сустава и/или рекурвационной деформации костей голени костный клин формируют основанием к задней поверхности большеберцовой кости с углом открытым кзади и равным углу рекурвации.

3. Способ по п.2, отличающийся тем, что костный клин резецируют с углом, равным углу порочного переднего наклона, но не менее 10° и не выше уровня прикрепления сухожилия сгибателей и разгибателей голени.

4. Способ по п.1, отличающийся тем, что при антекурвации коленного сустава и/или антекурвационной деформации костей голени костный клин формируют основанием к передней поверхности большеберцовой кости с углом, открытым кпереди и равным углу антекурвации, а костно-хрящевой фрагмент в дистальном отделе резецируют на величину, равную величине основания клина.

5. Способ по п.1, отличающийся тем, что костный клин помещают в продольный расщеп между фрагментами большеберцовой кости.

6. Способ по п.1, отличающийся тем, что проводят остеотомию на уровне средней трети малоберцовой кости из дополнительного разреза по наружной поверхности в средней трети голени.

7. Способ по п.1, отличающийся тем, что мобильный костно-хрящевой фрагмент фиксируют в аксиальной плоскости П-образно изогнутой спицей Киршнера и стержнем, проведенными в сагиттальной плоскости.

8. Способ по п.7, отличающийся тем, что П-образно изогнутую спицу Киршнера и стержень вводят через зону прикрепления собственной связки надколенника.

9. Способ по п.1, отличающийся тем, что поперечную дистракцию проводят динамически по 0,03 мм в 1,5 ч.

10. Способ по п.1, отличающийся тем, что поперечную дистракцию начинают не позднее вторых суток после корригирующих остеотомии.

11. Способ по п.1, отличающийся тем, что многоплоскостную остеотомию начинают поперечным разрезом ниже бугристости большеберцовой кости, но выше диафиза.

РИСУНКИ

Categories: BD_2316000-2316999