Патент на изобретение №2316278

Published by on




РОССИЙСКАЯ ФЕДЕРАЦИЯ



ФЕДЕРАЛЬНАЯ СЛУЖБА
ПО ИНТЕЛЛЕКТУАЛЬНОЙ СОБСТВЕННОСТИ,
ПАТЕНТАМ И ТОВАРНЫМ ЗНАКАМ
(19) RU (11) 2316278 (13) C2
(51) МПК

A61B17/56 (2006.01)

(12) ОПИСАНИЕ ИЗОБРЕТЕНИЯ К ПАТЕНТУ

Статус: по данным на 08.11.2010 – прекратил действие, но может быть восстановлен

(21), (22) Заявка: 2005137929/14, 05.12.2005

(24) Дата начала отсчета срока действия патента:

05.12.2005

(46) Опубликовано: 10.02.2008

(56) Список документов, цитированных в отчете о
поиске:
БЕЛОВ Ю.В. Руководство по сосудистой хирургии с атласом оперативной техники. М.: Де Ново, 2000, с.127-163. RU 2190370 С2, 10.10.2002. RU 2002127565 А, 27.04.2004. RU 2233185 С1, 27.07.2004. АНЦИФЕРОВ М.Б. и др. Алгоритмы лечения и профилактики синдрома диабетическая стопа. – Лечащий врач, 1998, №2, с. 1-5 ILLUMINATI G. et al. Results of bypassese

Адрес для переписки:

640014, г.Курган, ул. М. Ульяновой, 6, ФГУН “Российский научный центр “Восстановительная травматология и ортопедия” им. акад. Г.А. Илизарова ФА по ЗД и СР”, НОИС

(72) Автор(ы):

Шевцов Владимир Иванович (RU),
Дмитриев Вадим Михайлович (RU),
Речкин Михаил Юрьевич (RU)

(73) Патентообладатель(и):

Федеральное государственное учреждение науки “Российский научный центр “Восстановительная травматология и ортопедия” им. акад. Г.А. Илизарова Федерального агентства по здравоохранению и социальному развитию” (RU)

(54) СПОСОБ ЛЕЧЕНИЯ ИШЕМИЧЕСКОЙ ФОРМЫ СИНДРОМА ДИАБЕТИЧЕСКОЙ СТОПЫ

(57) Реферат:

Изобретение относится к медицине, а именно к хирургии. Выполняют прямую реконструкцию пораженного участка артериального русла. При этом за 10-14 дней до указанной реконструкции выполняют туннелизацию костей на всем протяжении конечности. Протезирование артерии производят на участке окклюзии, расположенном на протяжении проксимального сегмента и, одновременно с этим, осуществляют повторную туннелизацию костей дистальнее расположенного сегмента конечности. Способ предупреждает развитие послеоперационных осложнений за счет снижения вероятности тромбозов реконструированного артериального русла. 4 ил.

(56) (продолжение):

CLASS=”b560m”to the anterior tibial artery through interosseous membrane. Langenbecks Arch Surg. 1998, №383 (3-4), р.259-264.

Изобретение относится к области медицины, в частности к хирургии, и может быть использовано при лечении больных с ишемической формой синдрома диабетической стопы.

Известен способ лечения хронической артериальной недостаточности конечностей, предусматривающий стимуляцию коллатерального артериального кровообращения путем выполнения множественной остеоперфорации (туннелизации) костей сегментов (заявка на выдачу патента РФ №93045689, опубл. 20.03.96).

Однако при тяжелых формах ишемии в условиях сахарного диабета выполнение данной методики не обеспечивает своевременного лечебного эффекта в силу замедленного формирования системы устойчивого коллатерального кровообращения.

Известен способ лечения ишемической формы диабетической стопы, предусматривающий прямую реконструкцию пораженных участков артериального русла (Белов Ю.В. Руководство по сосудистой хирургии с атласом оперативной техники. – М.: Де Ново, 2000. – С.127-163).

Однако у больных сахарным диабетом при окклюзии артериального русла на протяжении одновременно двух сегментов выполнить прямую реконструкцию пораженных участков не представляется возможным в силу большой протяженности участков окклюзии и отсутствия вследствие этого воспринимающего русла. Поэтому попытки тотального протезирования магистральных артерий на протяжении одновременно двух сегментов конечности в большинстве случаев приводит к тромбозам, что делает выполненную реконструкцию несостоятельной и приводит к необходимости ампутации стопы.

Задачей изобретения является разработка способа оперативного лечения ишемической формы синдрома диабетической стопы, обеспечивающего при тотальном поражении магистрального русла конечности предупреждение послеоперационных осложнений за счет снижения вероятности развития тромбозов реконструированного артериального русла.

Указанная задача решается тем, что в способе лечения ишемической формы синдрома диабетической стопы, включающем прямую реконструкцию пораженного участка артериального русла, за 10-14 дней до указанной реконструкции выполняют туннелизацию костей на всем протяжении конечности, протезирование артерии производят на участке окклюзии, расположенном на протяжении проксимального сегмента и, одновременно с этим, осуществляют повторную туннелизацию костей дистальнее расположенного сегмента конечности.

Заявляемый способ поясняется описанием, примером практического использования и иллюстративным материалом, на котором изображено:

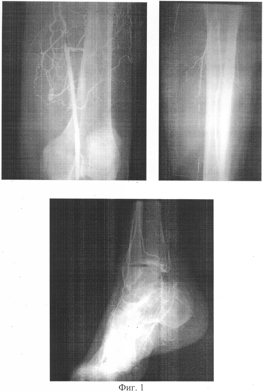
фиг 1. – артериограмма конечности больного Н. до лечения;

фиг.2 – фото конечности больного Н. до лечения;

фиг.3 – артериограмма конечности больного Н. после лечения;

фиг.4 – фото конечности больного Н. после лечения.

Способ осуществляется следующим образом.

После анестезии и обработки операционного поля, на основе данных предварительно выполненного обследования состояния артериального русла, выполняют туннелизацию костей пораженной конечности на всем ее протяжении. Для этого с помощью электродрели в бедренную, большеберцовую кости, а также в пяточную и плюсневые кости, перпендикулярно их продольной оси, последовательно вводят и извлекают спицу Киршнера диаметром 1.5-2.0 мм. Количество формируемых туннелей составляет 5-10 отверстий на каждом сегменте. Места вколов перекрывают асептическими повязками. В послеоперационном периоде в течение 10-14 дней больному назначают курс инфузионной терапии вазоактивными препаратами, антикоагулянтами, дезагрегантами с постоянным контролем и, при необходимости, коррекцией содержания уровня сахара в крови.

По истечении указанного срока больному осуществляют прямую реконструкцию артериального русла путем протезирования или шунтирования. При этом в проекции участка окклюзии артерии, расположенном на протяжении проксимального сегмента, через разрез тканей осуществляют доступ к артерии. В случаях протезирования резецируют ее пораженный участок и в сформированный дефект по классической методике обвивным швом по Каррелю производят вшивание искусственного или аутовенозного протеза из большой подкожной вены одноименной или контрлатеральной конечности. Аналогичным образом выполняют операцию и в случаях шунтирования пораженного участка. При достижении адекватного кровотока, о чем свидетельствует наличие пульсации в зоне проксимального и дистального анастамозов, рану послойно ушивают. Вслед за этим осуществляют повторную туннелизацию костей конечности, которую производят только на протяжении дистальнее расположенного сегмента по описанной выше методике. При этом туннелизация может быть выполнена как одновременно на стопе и голени, так и только на одном из указанных сегментов. Операцию завершают наложением асептических повязок.

В послеоперационном периоде в течение 10-14 дней продолжают курс медикаментозной терапии.

Практическое использование способа иллюстрируется следующим клиническим наблюдением.

Больной Н. (фиг.1, 2) поступил в клинику с диагнозом: Сахарный диабет, II тип, субкомпенсация. Синдром диабетической стопы слева. Трофическая язва в области ампутированного II пальца левой стопы. Диабетическая ангиопатия. Перемежающаяся хромота через 150-200 метров. На артериограмме прослеживается локальная (4-5 см) окклюзия поверхностной бедренной артерии в средней трети, многочисленные стенотические поражения магистральных артерий на протяжении голени и стопы.

Для улучшения кровоснабжения дистальных отделов конечности больному первоначально проведена туннелизация костей пораженной конечности на всем ее протяжении. Для этого с помощью электродрели в бедренную, большеберцовую кости, а также в пяточную и плюсневые кости, перпендикулярно их продольной оси, последовательно вводили и извлекали спицу Киршнера диаметром 1.5 мм. На протяжении бедра было выполнено 5 туннелей, на протяжении голени – 10, в пяточной кости – 3 и в каждой из плюсневых костей – по 1 туннелю.

В послеоперационном периоде в течение 12 дней больному проведен курс инфузионной терапии с назначением трентала, никотиновой кислоты, 0.5% раствора новокаина, аспирина, реополиглюкина, гепарина. Препараты назначали в стандартных дозировках по общепринятым терапевтическим схемам. Для компенсации сахарного диабета больной принимал инсулин по назначенной эндокринологом схеме.

По истечении указанного срока больному осуществили прямую реконструкцию артериального русла путем протезирования окклюзированного участка поверхностной бедренной артерии. При этом в проекции участка окклюзии через разрез тканей осуществили доступ к артерии, резецировали ее пораженный участок и в сформированный дефект швом по Каррелю вшили аутовенозный протез из большой подкожной вены одноименной конечности. После достижения адекватного кровотока, о чем судили по наличию пульсации в зоне проксимального и дистального анастамозов, рану послойно ушили. Вслед за этим выполнили повторную туннелизацию большеберцовой кости, сформировав на ее протяжении 8 сквозных туннелей. Операцию завершили наложением асептических повязок.

В послеоперационном периоде в течение 10 дней продолжали курс ранее назначенной медикаментозной терапии. Ранний послеоперационный период гладкий, швы на левом бедре сняты через 10 дней. Признаков тромбоза реконструированного участка артериального русла не отмечается. На артериограмме (фиг.3) определяется проходимая поверхностная бедренная артерия в зоне протезирования.

На момент выписки после проведенного лечения, общая продолжительность которого составила 23 дня, состояние оперированной конечности характеризовалось следующими данными: кожные покровы голени и стопы обычного цвета, на ощупь теплые. В области ранее имевшейся трофической язвы достигнуто ее полное заживление (фиг.4). На контрольном осмотре через 6 месяцев достигнутый результат лечения сохраняется. Трофических язв нет. Кожные покровы обычного цвета, теплые на ощупь, явления перемежающейся хромоты отсутствуют.

Использование способа в клинике РНЦ «ВТО» им. акад. Г.А.Илизарова при лечении больных с ишемической формой диабетической стопы показало, что его применение при тотальном поражении магистрального русла конечности обеспечивает предупреждение послеоперационных осложнений за счет снижения вероятности развития тромбозов, существенно сокращает сроки заживления трофических язв стопы.

Формула изобретения

Способ лечения ишемической формы синдрома диабетической стопы, включающий прямую реконструкцию пораженного участка артериального русла, отличающийся тем, что за 10-14 дней до указанной реконструкции выполняют туннелизацию костей на всем протяжении конечности, протезирование артерии производят на участке окклюзии, расположенном на протяжении проксимального сегмента, и одновременно с этим осуществляют повторную туннелизацию костей дистальнее расположенного сегмента конечности.

РИСУНКИ


MM4A – Досрочное прекращение действия патента СССР или патента Российской Федерации на изобретение из-за неуплаты в установленный срок пошлины за поддержание патента в силе

Дата прекращения действия патента: 06.12.2007

Извещение опубликовано: 27.07.2009 БИ: 21/2009


Categories: BD_2316000-2316999