Патент на изобретение №2315598

Published by on




РОССИЙСКАЯ ФЕДЕРАЦИЯ



ФЕДЕРАЛЬНАЯ СЛУЖБА
ПО ИНТЕЛЛЕКТУАЛЬНОЙ СОБСТВЕННОСТИ,
ПАТЕНТАМ И ТОВАРНЫМ ЗНАКАМ
(19) RU (11) 2315598 (13) C1
(51) МПК

A61K31/282 (2006.01)
A61K31/704 (2006.01)
A61K31/675 (2006.01)
A61P31/06 (2006.01)
A61M1/36 (2006.01)

(12) ОПИСАНИЕ ИЗОБРЕТЕНИЯ К ПАТЕНТУ

Статус: по данным на 08.11.2010 – прекратил действие, но может быть восстановлен

(21), (22) Заявка: 2006123623/14, 03.07.2006

(24) Дата начала отсчета срока действия патента:

03.07.2006

(46) Опубликовано: 27.01.2008

(56) Список документов, цитированных в отчете о
поиске:

Адрес для переписки:

344037, г.Ростов-на-Дону, 14 линия, 63, ФГУ Ростовский научно-исследовательский онкологический институт Росздрава

(72) Автор(ы):

Сидоренко Юрий Сергеевич (RU),
Сергостьянц Геннадий Завенович (RU)

(73) Патентообладатель(и):

ФГУ Ростовский научно-исследовательский онкологический институт Росздрава (RU),
Сидоренко Юрий Сергеевич (RU),
Сергостьянц Геннадий Завенович (RU)

(54) СПОСОБ ЛЕЧЕНИЯ ТУБЕРКУЛЕЗА

(57) Реферат:

Изобретение относится к медицине, а именно к лекарственной терапии туберкулеза. Больным туберкулезом легких проводят аутогемохимиотерапию: 100 мг цисплатина смешивают с 200,0 мл аутокрови, предварительно взятой из локтевой вены, инкубируют в течение 30 минут при температуре 37°С и капельно внутривенно реинфузируют больному в 1 и 5 дни лечения. Кроме того, 50 мг доксорубицина и 1 г циклофосфана смешивают с 200,0 мл аутокрови, предварительно взятой из локтевой вены, инкубируют в течение 30 минут при температуре 37°С и капельно внутривенно вводят больному в 9 и 13 дни лечения. Способ обеспечивает регрессию более 50% даже в случае лекарственной устойчивости микобактерий туберкулеза при снижении числа побочных эффектов. 5 ил.

Изобретение относится к медицине, а именно к лекарственной терапии туберкулеза, и может быть использовано при лечении туберкулеза легких.

Известен Способ лечения злокачественных новообразований», разработанный в 1980 г. Ю.С.Сидоренко (авт. свид. №940379 приоритет от 15.05.80 г.), включающий введение противоопухолевых химиопрепаратов на аутокрови. Принцип аутогемохимиотерапии (АГХТ) заключается в том, что у больного из периферической вены производят забор крови небольшого объема (100,0-150,0 мл), в нее добавляют химиопрепараты, после экспозиции в течение 30-40 минут в термостате при температуре 37°С производят реинфузию аутокрови с цитостатиками внутривенным капельным путем.

АГХТ вызывает более выраженное повреждение опухолевой ткани по сравнению с системной химиотерапией, а также усиливает лимфоплазмоцитарную инфильтрацию стромы опухоли, что свидетельствует об активации местных иммунных реакций, повышении процента опухолевых клеток с морфологическими признаками апоптоза. В Ростовском НИИ онкологии АГХТ успешно применяется при лечении рака яичников, желудка, молочной железы, кишки, шейки матки, неходжкинской лимфомы, саркомы мягких тканей. АГХТ также высоко эффективно при лечении местно-распространенного рака легкого. Непосредственный положительный эффект лечения более чем у 50% больных, что позволяет выполнять радикальную операцию.

Однако этот способ аутогемохимиотерапии никогда не применялся при лечении туберкулеза легких.

Известен Способ лечения туберкулеза легких (см. Мишин В.Ю., Чуканов В.И., Григорьев Ю.Г. «Побочное действие химиопрепаратов при стандартных и индивидуальных режимах химиотерапии». М., 2004, стр.208), выбранный в качестве прототипа. На современном этапе основным способом лечения туберкулеза является химиотерапия. Принцип химиотерапии заключается в сочетании 4-6 противотуберкулезных химиопрепаратов: изониозид, рифампицин, пиразинамид, эталибутон, стрептомицин. Эти препараты оказывают бактериостатическое и бактерицидное действие на микобактерии туберкулеза в очаге воспаления. Одновременное использование большого количества препаратов направлено на предупреждение и лечение больных с множественной лекарственной устойчивостью к микобактерии туберкулеза.

Таким образом, увеличение лекарственной нагрузки сопровождается высоким процентом побочных эффектов, которые отмечаются от 38,5 до 52,7%. По данным центрального НИИ туберкулеза РАМН у каждого 2-го, впервые выявленного ранее не леченного противотуберкулезными препаратами больного, в мокроте выявилась первичная лекарственная резистентность к микобактерии туберкулеза. При этом у 27,7% из них устойчивость была к 2-м основным средствам: изониозиду и рифампицину (В.И.Голышевская в статье «Микробиологическая диагностика туберкулеза в условиях роста эпидемиологических показателей в России», IV съезд научно-медицинской ассоциации фтизиатров, 1999. НЗ РФ МАЯ М. Тезисы докладов. Нечаев В.И., Хованов А.В., Грек В.А. в статье «О факторах риска лекарственной устойчивости туберкулеза». В сб. Туберкулез сегодня. Материалы VII Российского съезда фтизиатров. М., 2003, стр.83).

Целью изобретения является повышение эффективности лечения туберкулеза легких при отсутствии положительной динамики в процессе традиционного лечения.

Поставленная цель достигается тем, что больным туберкулезом легких проводят аутогемохимиотерапию: 100 мг цисплатина смешивают с 200 мл аутокрови, предварительно взятой из локтевой вены, инкубируют в течение 30 минут при температуре 37°С и капельно, внутривенно реинфузируют больному в 1 и 5 дни лечения, 50 мг доксорубицина и 1 г циклофосфана смешивают с 200,0 мл аутокрови, предварительно взятой из локтевой вены, инкубируют в течение 30 минут при температуре 37°С и капельно, внутривенно вводят больному в 9 и 13 дни лечения.

Изобретение «Способ лечения туберкулеза» является новым, так как оно неизвестно в области медицины при лекарственной терапии туберкулеза.

Новизна изобретения состоит в том, что впервые туберкулез легких лечат противоопухолевыми химиопрепаратами на аутокрови больных. Способ аутогемохимиотерапии туберкулеза легких высокоэффективен, у большинства больных был снят диагноз туберкулеза вследствие отсутствия положительной динамики в процессе противотуберкулезной терапии.

Изобретение «Способ лечения туберкулеза» является промышленно применимым, так как может быть использован в здравоохранении, в различных медицинских учреждениях, занимающихся лечением туберкулеза, в туберкулезных диспансерах.

Изобретение «Способ лечения туберкулеза» выполняется следующим образом.

АГХТ цитостатиками успешно применена в лечении лекарственноустойчивых форм туберкулеза легкого. Больным с продуктивным туберкулезом легкого, которым был снят диагноз туберкулеза вследствие отсутствия положительной динамики, в процессе противотуберкулезной терапии была проведена аутогемохимиотерапия тремя препаратами: цисплатином, доксорубицином и циклофосфаном, 100 мг цисплатина смешивают с 200,0 аутокрови, предварительно забранной из локтевой вены больного, и после инкубации в течение 30 минут в термостате при температуре 37°С реинфузировали больному внутривенно капельно 1 и 5 дни лечения, 50 мг доксорубицина и 1 г циклофосфана смешивали с 200,0 аутокрови, предварительно забранной у больного из локтевой вены, и после инкубации в течение 30 минут в термостате при 37°С реинфузировали больному внутривенно капельно в 9 и 13 дни лечения. В результате проведенного лечения отмечена регрессия клинических симптомов заболевания. При контрольном RO исследовании через 2 недели после окончания лечения отмечалась более чем 50% регрессии узлового образования в легком, что позволило выполнить больным операцию в объеме лобэктомии. Гистологический анализ удаленных препаратов обнаружил у пролеченных пациентов продуктивную форму туберкулеза. Опухолевых клеток в препаратах не обнаружено.

Пример конкретного применения «Способа лечения туберкулеза» на больном.

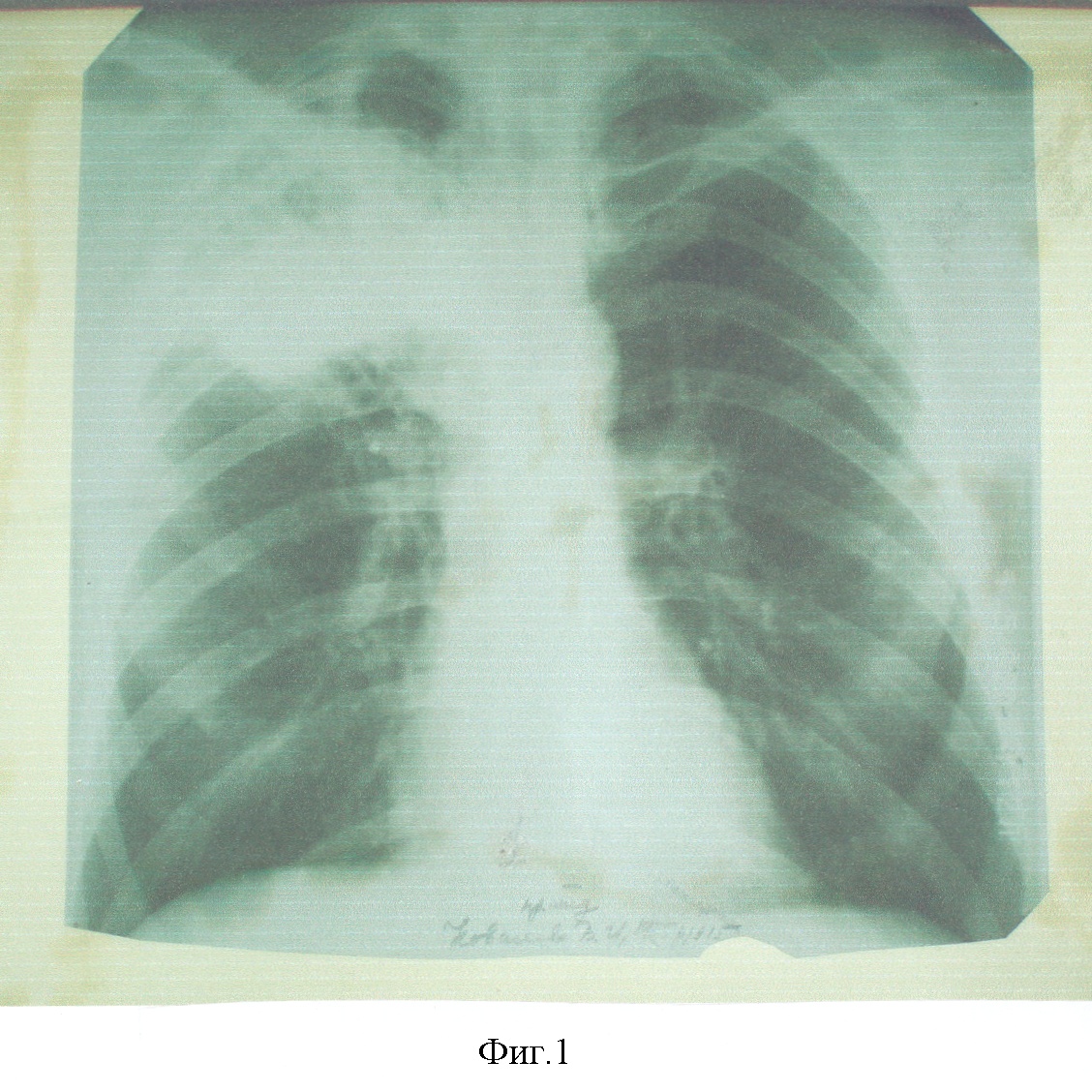
Больной К., 50 лет, ист. бол. №22640Ф направлен в РНИОИ в ноябре 2005 г. Цимлянским ПТД после безуспешного лечения туберкулеза правого легкого в течение 3-х лет. При поступлении жаловался на боли в грудной клетке, слабость, потливость, похудание, одышку при физической нагрузке. Из анамнеза выяснено, что заболевание началось с повышения температуры тела до 38°С с апреля 2002 г. После флюорографического обследования поставлен диагноз очаговоинфильтративный туберкулез верхней доли правого легкого. В течение года лечился в противотуберкулезном диспансере. Затем в течение 2-х лет находился под диспансерным наблюдением фтизиатра. В августе-сентябре 2005 г. в связи с прогрессированием заболевания повторно лечился в противотуберкулезном диспансере. В связи с отсутствием положительного эффекта от лечения, ухудшением общего состояния, появлением боли в грудной клетке, одышки, слабости, потливости, похудания самостоятельно обратился в РНИОИ, был госпитализирован в отделении торакальной пластической хирургии (см. фиг.1).

Фиг.1. Больной К-в. Обзорная рентгенограмма до начала лечения.

Фиг.4. Больной К-в. Компьютерная томограмма до лечения.

Где с ноября 2005 г. по февраль 2006 г. проведено 3 курса АГХТ с интервалом между курсами – 1 месяц, по вышеописанной методике. Суммарно за 3 курса получил цисплатина – 600 мг; доксорубицина – 40 мг, циклофосфана – 6000 мг. Уже после I курса отмечена полная регрессия клинических симптомов, а к концу III-го курса почти полное рассасывание патологического очага в правом легком, подтвержденном рентгенологически (см. фиг.2 и 3).

Фиг.2. Больной К-в. Обзорная рентгенограмма после проведения трех курсов АГХТ.

Фиг.3. Больной К-в. Правая боковая проекция после лечения.

10 апреля 2006 г. больному выполнена операция Верхняя лобэктомия справа (фиг.3). Послеоперационный период протекал без осложнений. Швы сняты на 13-14 сутки. Заживление первичное. Г.а. №859952-61 от 13.04.06 г. В ткани легкого и лимфоузлах множественные эпителиоидноклеточные гранулемы с тотальным некрозом, наличием одиночных клеток типа Пирогова, в окружающей легочной ткани пневмосклероз, хроническое воспаление – продуктивная форма туберкулеза (см. фиг.5. Больной К-в. Компьютерная томограмма после проведения трех курсов АГХТ).

Технико-экономическая эффективность «Способа лечения туберкулеза» заключается в том, что впервые примененный способ лечения туберкулеза легких противоопухолевыми препаратами на аутокрови больного дает выраженный клинический эффект, особенно лекарственноустойчивых форм туберкулеза, отмечается регрессия клинических симптомов заболевания, более чем в 50% наблюдалась регрессия узлового образования в легком, при гистологическом исследовании удаленных препаратов у пролеченных пациентов опухолевых клеток в препаратах не обнаружено.

Формула изобретения

Способ лечения туберкулеза, включающий химиотерапию, отличающийся тем, что больным туберкулезом легких проводят аутогемохимиотерапию: 100 мг цисплатина смешивают с 200,0 мл аутокрови, предварительно взятой из локтевой вены, инкубируют в течении 30 мин при температуре 37°С и капельно внутривенно реинфузируют больному в 1 и 5 дни лечения, 50 мг доксорубицина и 1 г циклофосфана смешивают с 200,0 мл аутокрови, предварительно взятой из локтевой вены, инкубируют в течение 30 мин при температуре 37°С и капельно внутривенно вводят больному в 9 и 13 дни лечения.

РИСУНКИ


MM4A – Досрочное прекращение действия патента СССР или патента Российской Федерации на изобретение из-за неуплаты в установленный срок пошлины за поддержание патента в силе

Дата прекращения действия патента: 04.07.2008

Извещение опубликовано: 20.06.2010 БИ: 17/2010


Categories: BD_2315000-2315999