Патент на изобретение №2315580

Published by on




РОССИЙСКАЯ ФЕДЕРАЦИЯ



ФЕДЕРАЛЬНАЯ СЛУЖБА
ПО ИНТЕЛЛЕКТУАЛЬНОЙ СОБСТВЕННОСТИ,
ПАТЕНТАМ И ТОВАРНЫМ ЗНАКАМ
(19) RU (11) 2315580 (13) C2
(51) МПК

A61B17/56 (2006.01)

(12) ОПИСАНИЕ ИЗОБРЕТЕНИЯ К ПАТЕНТУ

Статус: по данным на 08.11.2010 – действует

На основании пункта 3 статьи 13 Патентного закона Российской Федерации от 23 сентября 1992 г. № 3517-I патентообладатель обязуется передать исключительное право на изобретение (уступить патент) на условиях, соответствующих установившейся практике, лицу, первому изъявившему такое желание и уведомившему об этом патентообладателя и федеральный орган исполнительной власти по интеллектуальной собственности, – гражданину РФ или российскому юридическому лицу.

(21), (22) Заявка: 2006102390/14, 27.01.2006

(24) Дата начала отсчета срока действия патента:

27.01.2006

(43) Дата публикации заявки: 10.08.2007

(46) Опубликовано: 27.01.2008

(56) Список документов, цитированных в отчете о
поиске:
RU 2172146 C1, 20.08.2001. RU 2189257 C1, 20.09.2002. RU 2207070 С2, 27.06.2003. RU 2025101 C1, 30.12.1994. RU 2195979 С2, 10.01.2003. US 2005255593, 17.11.2005. ROBERT E. MARX и др. Использование богатой тромбоцитами плазмы для повышения эффективности костных материалов. DENTAL MARKET, 2004, № 1, c.22-27. KOBAYASHI M. Effect of bioactive filler

Адрес для переписки:

410012, г.Саратов, ГСП, ул. Б. Казачья, 112, Саратовский государственный медицинский университет, патентный отдел

(72) Автор(ы):

Бейдик Олег Викторович (RU),
Анников Вячеслав Васильевич (RU),
Глыбочко Петр Витальевич (RU),
Николенко Владимир Николаевич (RU),
Зарецков Александр Владимирович (RU),
Левченко Кристина Константиновна (RU),
Ван Кай (RU),
Марков Дмитрий Александрович (RU)

(73) Патентообладатель(и):

Бейдик Олег Викторович (RU)

(54) СПОСОБ ОПТИМИЗАЦИИ РЕПАРАТИВНОГО ОСТЕОГЕНЕЗА

(57) Реферат:

Изобретение относится к травматологии и ортопедии и может быть применимо для оптимизации репаративного остеогенеза. Вводят в зону перелома или ложного сустава измельченный и смешанный с аутокровью биоматериал – аллоплант для склеропластики. Способ позволяет обеспечить сращение перелома или ложного сустава при однократном введении препарата. 6 ил.

(56) (продолжение):

CLASS=”b560m”content on mechanical properties and osteoconductivity of bioactive bone cement. J Biomed Mater Res. 1999 Sep 15; 46(4):447-57 (Abstract).

Изобретение относится к медицине, а именно к травматологии и ортопедии, и может быть использовано для оптимизации репаративного остеогенеза при замедленной консолидации переломов, ложных суставах.

В современных рекомендациях по стимуляции остеогенеза присутствует методика с использованием естественных иммуномодуляторов костного мозга – миелопептидов [Блинков Ю.Ю. Изучение влияния миелопина и его компонентов на иммунологическую реактивность и репаративный остеогенез. Автореф. дис. к.м.н. Курский ГМУ. Курск, 2000]. На их основе разработан иммунокорригирующий препарат миелопид, который является смесью высокоочищенных низкомолекулярных пептидов, выделенных из супернатанта культуры костномозговых клеток. Мишенью препарата являются органы иммунной системы селезенка и тимус, функциональная активность и морфология (посредством количественного и качественного состава клеточных элементов белой крови) которых тесно связана с процессами формирования костной мозоли и восстановления кости. Препарат вводится подкожно в течение первых 6-ти дней после перелома в дозах 0,005; 0,5; 5; 50; 500; 5000 мкг/кг. [Блинков Ю.Ю. Изучение влияния миелопина и его компонентов на иммунологическую реактивность и репаративный остеогенез. Автореф. дис. к.м.н. Курский ГМУ. Курск, 2000]. Недостатком метода является многократное введение препарата, кроме того, наибольшей эффективностью препарат обладает при условии введения его в течение первых 24 часов после перелома. Препарат вызывает выраженные морфо-функциональные сдвиги в селезенке и тимусе, фазовое нарушение соотношений популяций клеток белой крови, что ограничивает его применение у людей с заболеваниями крови.

В настоящее время применяется и хирургический метод коррекции вяло консолидирующих переломов путем стимуляции репаративного процесса свободным губчатым аутотрансплантатом при использовании малотравматичных методик [Рукавишников А.С. Малотравматичная свободная костная пластика как способ стимуляции остеогенеза при нарушениях консолидации переломов костей голени. Автореф. дис. канд. наук. Рукавишников А.С. Воен.-мед. акад. СПб., 2000]. В проведенных автором исследованиях на животных было показано, что костный губчатый аутотрансплантат (гребень подвздошной кости), пересаженный малотравматичным способом, оптимизирует репаративные процессы в области нарушенной консолидации переломов костей. Клинически это проявляется в более быстром восстановлении опороспособности поврежденной конечности [Рукавишников А.С. Малотравматичная свободная костная пластика как способ стимуляции остеогенеза при нарушениях консолидации переломов костей голени. Автореф. дис. канд. наук. Рукавишников А.С. Воен.-мед. акад. СПб., 2000]. Суть метода заключается в проведении 2-х операций:

1. Забор костного аутотрансплантата из гребня подвздошной кости.

2. Обработка места будущего внедрения аутотрансплантата костным буром. Остеосинтез костных отломков аппаратом Илизарова с внедрением между ними аутотрансплантатов.

Недостатками метода являются:

1. Травматичность – проведение 2-х операций.

2. Риск развития гнойных осложнений.

3. Риск возникновения осложнений наркоза.

4. Возможность миграции костного аутотрансплантата из места имплантации, что может повлечь за собой замедленную консолидацию, образование ложного сустава или неправильное сращение перелома.

5. Обязательное условие – наличие стабильного остеосинтеза.

3. Методика применения препарата заключается в заполнении дефектов кости размером до 10 см3

Недостатками метода являются:

1. Травматичность – невозможность введения препарата «Остеоматрикс» без инцизии места перелома или ложного сустава.

2. Необходимость общего обезболивания.

3. Необходимость максимально полного заполнения костного дефекта.

4. Обязательное условие – наличие стабильного остеосинтеза.

Биоматериал аллоплант для склеропластики в виде пластин традиционно применяется в офтальмохирургии для укрепления задне-темпорального сегмента склеры глазного яблока при близорукости, так как он обладает высокими упруго-прочностными свойствами и способен замещаться склероподобной соединительной тканью без всяких признаков рубцевания. Вышеуказанный материал выпускается Всероссийским Центром глазной и пластической хирургии (г.Уфа). На сегодняшний день этот материал с успехом применяется для лечения глаз, кожи и так далее. Гистологически биоматериал аллоплант для склеропластики представляет собой разнонаправленные нити коллагена. Микроскопически пластина биоматериала представлена пластом волокнистой бесклеточной ткани, пучки волокон которой набухшие, местами гомогенизированные.

Авторами впервые разработан способ оптимизации репаративного остеогенеза, оказывающий эффект при однократном применении, который возможно использовать для сокращения сроков сращения вяло консолидирующих переломов, лечения ложных суставов. Предложенный способ включает введение в костномозговой канал места перелома или зону ложного сустава предварительно измельченного биоматериала аллоплант для склеропластики с аутокровью в виде взвеси 5-ти измельченных пластин биоматериала аллоплант для склеропластики в 5-ти мл аутокрови. Взвесь вводят однократно путем инъекции иглой Гордеева с диаметром отверстия 2 мм.

Способ осуществляется следующим образом. В асептичных условиях стерильным скальпелем в стерильном почкообразном лотке измельчают 5 пластин биоматериала аллоплант для склеропластики до размеров крошки 1×1 мм. В условиях операционной у больного осуществляют забор крови из кубитальной вены. Затем аутокровь в объеме 5 мл в асептичных условиях переливают в предварительно стерилизованный флакон, куда добавляют измельченный биоматериал аллоплант для склеропластики. Место будущей инъекции обезболивают 5 мл 0,5% раствора новокаина (или любого другого местного анестетика при наличии отягощенного аллергологического анамнеза в отношении новокаина). Вышеназванные субстанции перемешивают и набирают в одноразовый шприц для инъекций, снабженный иглой Гордеева с диаметром отверстия 2 мм, после чего производят однократную инъекцию лекарственной взвеси в полном объеме в костномозговой канал места перелома или в зону ложного сустава.

Биоматериал аллоплант обладает следующими свойствами:

– не вызывает реакции иммунного отторжения,

– является жестким и пластичным,

– способен стимулировать ангиогенез и процессы клеточной пролиферации,

– запускает механизм регенерации поврежденного органа.

Аутокровь в данном случае обеспечивает равномерное проникновение крошки биоматериала аллоплант для склеропластики в костномозговой канал, является источником необходимых веществ для стимуляции активации остеобластов.

Одним из условий успешного остеосинтеза является стабильность фиксации. Это приводит к быстрому восстановлению крово- и лимфотока, который обеспечивает формирование полноценного костного регенерата. В практических условиях далеко не всегда удается добиться стабильной фиксации, особенно при множественных и многооскольчатых переломах, при которых еще приходится удалять нежизнеспособные отломки. Общепринятой для успешного остеосинтеза считается величина диастаза менее 0,5 мм.

Авторами было решено изучить возможность оптимизации репаративной регенерации костной ткани при экспериментальных переломах длинных трубчатых костей в условиях нестабильности отломков и наличия между ними диастаза более 0,5 мм путем сочетанного применения аутокрови и биоматериала аллоплант для склеропластики.

Были сформированы 2 группы животных – кроликов породы шиншилла.

1-я группа – контрольная. Животным этой группы производился только остеосинтез поврежденной конечности аппаратом внешней фиксации.

2-я группа – каждому животному этой группы помимо наложения аппарата внешней фиксации в костномозговой канал зоны перелома вводили взвесь предварительно измельченной до размеров крошки 1×1 мм 1/2 пластины биоматериала аллоплант для склеропластики в 2 мл аутокрови.

Результаты эксперимента оценивали макро- и микроскопически через 10, 20 и 30 суток после перелома.

Клинически через 10 суток достоверных изменений не наблюдали. Через 10 суток после перелома у животных 1-й группы микроскопическая картина зоны повреждения представляла следующее. Концы костных отломков большеберцовой кости были лизированы, их сосудистые каналы не имели содержимого. Образовавшиеся узуры заполнялись многоклеточной фиброзной тканью, которая прорастала в диастаз между отломками, объединяя их концы. Среди клеточных элементов этой ткани преобладали фибробласты и внеклеточные элементы с примесью гистиоцитов и остеобластов. Последние имели низкую функциональную активность, о чем свидетельствовало небольшое количество клеток, содержащих рибонуклеотиды. По периостальной поверхности разрасталась остеогенная ткань с формирующимся остеоидом, что соответствовало определявшемуся макроскопически утолщению.

Микроскопическая картина зоны остеоклазии у кроликов 2 группы через 10 суток после перелома представляла собой следующее. Установлено, что регенерат, заполнявший межотломковую зону и прораставший в узуры конца костного отломка, состоял из остеогенной содержащей сосуды клеточно-волокнистой ткани, которая прорастала в узуры конца костного отломка. В клеточном составе регенерата преобладали остеобласты. В краевых участках этой зоны определялись поля базофильных костных балочек и небольшие участки хондроидной ткани, местами замещавшейся молодой костной тканью. В этих же участках выявлялись остатки биоматериала аллоплант для склеропластики, которые были представлены единичньми мелкими бесструктурными эозинофильными фрагментами, включенными в новообразованную ткань.

Через 20 суток у животных контрольной 1 группы макроскопическая картина оставалась без изменений. При микроскопии, периостально остеоид созревал с формированием молодых костных балочек, которые частично заполняли поверхностные участки межотломкового пространства. В этой же зоне определялись поля хондроидной ткани, местами оссифицирующейся. Центральная зона межотломковой щели на значительном протяжении была заполнена клеточно-волокнистой фиброзной тканью, среди разрастаний которой располагались изолированные друг от друга молодые костные балочки и небольшие участки хрящевой ткани.

При микроскопии места перелома животных 2 группы к 20-ти суточному сроку наблюдения в межотломковой зоне сформировался регенерат, который был представлен сетью костных балочек, имевших различную степень зрелости и содержавших фиброретикулярную ткань с расширенными сосудами в межбалочных пространствах. Поверхность большей части костных трабекул была выстлана слоем активных остеобластов.

К 30 суткам у кроликов 1 группы макроскопически в зоне перелома определялось утолщение, имевшее плотноэластическую консистенцию. Микроскопически это утолщение соответствовало разраставшимся со стороны периоста зрелым костным балочкам, которые объединяли концы отломков. Ткань регенерата, заполнявшего центральную часть межотломковой щели, была представлена сетью костных трабекул, среди которых сохранялись участки фиброзной и хрящевой ткани.

Таким образом, к 30-ти суточному сроку наблюдения на месте перелома формировался костный регенерат, о недостаточной полноценности которого свидетельствовали как его губчатая структура, так и наличие участков фиброзной и хрящевой ткани.

При микроскопии зоны повреждения животных 2 группы через 30 суток после перелома в межотломковой зоне образовался костный регенерат, который в метафизарной части перелома был представлен сетью костных трабекул, объединявшихся с концом отломка. Межбалочные пространства этой сети содержали клеточно-волокнистую ткань. Новообразованные костные балочки регенерата в диафизарной части перелома были утолщены, и местами их структура приближалась к таковой компактной костной ткани, которая объединялась с кортикальной пластинкой диафиза, восстанавливая целостность большеберцовой кости.

Известно, что восстановительный процесс при переломах длинных трубчатых костей в условиях недостаточной стабильности зоны повреждения и наличия между отломками диастаза более 0,5 мм затягивается на значительный период времени. В настоящем экспериментальном исследовании была предпринята попытка гистологического изучения возможности стимуляции вторичного костеобразовательного процесса, протекающего на основе как волокнистых структур (десмальный остеогенез), так и хряща (энхондральный остеогенез). В качестве стимуляторов репаративного остеогенеза были использованы аутокровь и предварительно измельченный до размеров крошки 1×1 мм биоматериал аллоплант для склеропластики.

В результате проведенного исследования установлено, что у всех экспериментальных животных в зоне перелома развивалась однотипная репаративная реакция, протекавшая по типу эпиморфоза. Через 10 суток после перелома межотломковая щель заполнялась клеточноволокнистой тканью, содержавшей остеобластические, фибробластические и воспалительные клеточные элементы.

К 20-ти суточному сроку наблюдения между концами костных отломков на основе фиброзно-хрящевой ткани формировались костные балочки. Более активно костная ткань формировалась периостально в виде наложений на поверхностные участки отломков. К конечному сроку (30 дней) наступала оссификация фиброзно-хрящевой прослойки в центральной зоне перелома с формированием костного сращения.

Таким образом, выявлено, что введение биоматериала аллоплант для склеропластики в смеси с аутокровью в костномозговой канал зоны перелома длинных трубчатых костей создает эффект оптимизации репаративного остеогенеза, что приводит к быстрому созреванию костного регенерата с формированием к 30-ти суточному сроку наблюдения костной ткани, объединяющей концы отломков. Этот эффект обусловлен как известными свойствами биоматериала аллоплант для склеропластики – стимулировать ангиогенез и процессы клеточной пролиферации, так и выявленной способностью этого биоматериала активизировать остеогенную дифференцировку регенерата за счет увеличения функциональной активности его клеточных элементов.

Результатами проведенного исследования обоснована возможность оптимизации репаративного остеогенеза и ускорения сращения переломов длинных трубчатых костей при нестабильности их отломков путем введения (имплантации) смеси предварительно измельченного биоматериала аллоплант для склеропластики и аутокрови в костномозговой канал зоны повреждения.

Доказано, что сочетанное использование аутокрови и измельченного биоматериала аллоплант для склеропластики стимулирует метаболические процессы в остеобластических клеточных элементах формирующегося регенерата.

Все вышеуказанное позволило внедрить предложенную методику в клиническую практику.

Пример 1. Больной Ф., 50 лет, поступил через 311 дней с момента травмы с диагнозом «Посттравматический псевдоартроз средней трети правой ключицы». Через 3 дня с момента травмы была выполнена операция – открытая репозиция отломков правой ключицы, остеосинтез интрамедуллярным стержнем. Через 122 дня после операции сращения не наступило. Стержень удален оперативным путем. После операции была наложена шина Горюнова. В дальнейшем Ф. получал физиофункциональное лечение. В течение всего срока лечения беспокоил болевой синдром и ограничение функции правой верхней конечности. В результате больной был направлен в клинику травматологии и ортопедии для оперативного лечения. При клинико-рентгенологическом исследовании выявлен тугой гиперпластический псевдоартроз средней трети правой ключицы. Рентгенограмма правой ключицы представлена на фигуре 1. Через 2 дня с момента поступления произведена операция – остеосинтез правой ключицы аппаратом внешней фиксации стержневого типа, закрытая остеоперфорация зоны псевдоартроза по Беку. В асептичных условиях стерильным скальпелем в стерильном почкообразном лотке измельчили 5 пластин биоматериала аллоплант для склеропластики до размеров крошки 1×1 мм. В условиях операционной у больного осуществили забор крови из кубитальной вены в объеме 5 мл. Затем аутокровь в объеме 5 мл в асептичных условиях перелили в предварительно стерилизованный флакон, куда добавили измельченный биоматериал аллоплант для склеропластики. Место будущей инъекции обезболили 5 мл 0,5% раствора новокаина. Вышеназванные субстанции перемешали и набрали в одноразовый шприц для инъекций, снабженный иглой Гордеева с диаметром отверстия 2 мм, после чего произвели однократную инъекцию лекарственной взвеси в полном объеме в зону ложного сустава.

Функция правой верхней конечности не была ограничена в течение всего срока фиксации в аппарате, при этом больной получал физиотерапевтическое лечение, занимался лечебной гимнастикой, посещал сеансы массажа. Период фиксации в аппарате внешней фиксации составил 40 дней (нормальные сроки сращения ключицы составляют 30-45 дней; в условиях отягощенного анамнеза – например, при ложном суставе, – затягиваются на неопределенный срок). При рентгенологическом исследовании на этом этапе констатировано сращение в зоне псевдоартроза. Рентгенограмма представлена на фигуре 2. Осложнений в процессе лечения не было. Получен хороший анатомо-функциональный результат лечения.

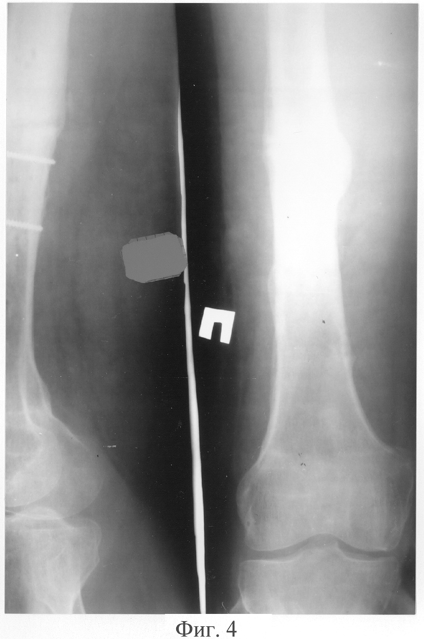
Пример 2. Больной Щ., 28 лет, поступил через 555 дней с момента травмы с диагнозом «Посттравматический псевдоартроз средней трети диафиза правой бедренной кости. Состояние после остеосинтеза металлической пластиной». Из анамнеза известно, что через 7 дней с момента травмы была выполнена операция – остеосинтез средней трети правой бедренной кости металлической пластиной. В течение всего срока лечения беспокоил болевой синдром и ограничение функции правой нижней конечности. Через 548 дней после остеосинтеза металлической пластиной сращения перелома не наступило. В результате больной обратился в клинику травматологии и ортопедии. При клинико-рентгенологическом исследовании был выявлен посттравматический псевдоартроз средней трети диафиза правой бедренной кости. Больному оперативным путем была удалена металлическая пластина. Рентгенограмма правой бедренной кости представлена на фигуре 3. Было налажено скелетное вытяжение за мыщелки правой бедренной кости, которое успешно функционировало в течение 15 дней. Затем была выполнена операция – остеосинтез правой бедренной кости аппаратом внешней фиксации стержневого типа. После чего в асептичных условиях стерильным скальпелем в стерильном почкообразном лотке измельчили 5 пластин биоматериала аллоплант для склеропластики до размеров крошки 1×1 мм. В условиях операционной у больного осуществили забор крови из кубитальной вены в объеме 5 мл. Затем аутокровь в объеме 5 мл в асептичных условиях перелили в предварительно стерилизованный флакон, куда добавили измельченный биоматериал аллоплант для склеропластики. Место будущей инъекции обезболили 5 мл 0,5% раствора новокаина. Вышеназванные субстанции перемешали и набрали в одноразовый шприц для инъекций, снабженный иглой Гордеева с диаметром отверстия 2 мм, после чего произвели однократную инъекцию лекарственной взвеси в полном объеме в зону ложного сустава. Послеоперационный период протекал без осложнений. В течение 45 дней ходил с двумя дополнительными опорами, затем – с одной, при этом получал физиотерапевтическое лечение, занимался лечебной физкультурой, посещал сеансы массажа. Период иммобилизации в аппарате внешней фиксации составил 95 дней (нормальные сроки сращения бедренной кости составляют 120-180 дней; в условиях отягощенного анамнеза – например, при ложном суставе, – затягиваются на неопределенный срок). Через 95 дней диагностировано сращение в зоне псевдоартроза, подтвержденное клинически и рентгенологически. Рентгенограмма представлена на фигуре 4. Осложнений в процессе лечения не было. Получен хороший анатомо-функциональный результат лечения.

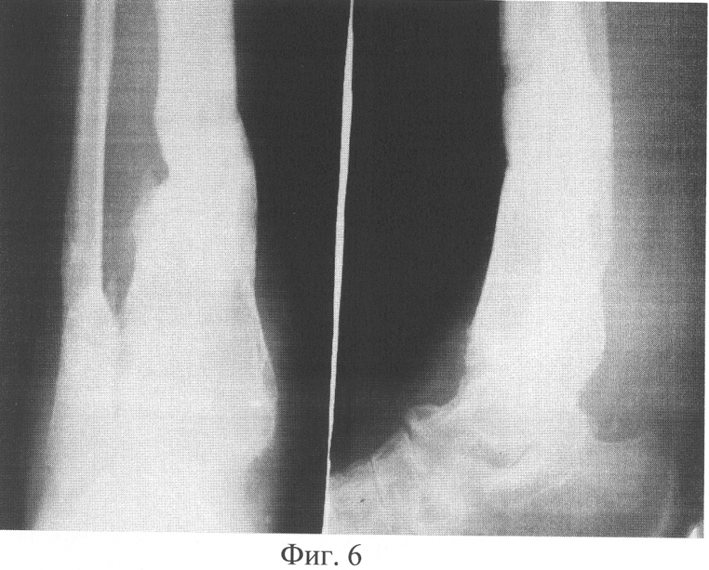
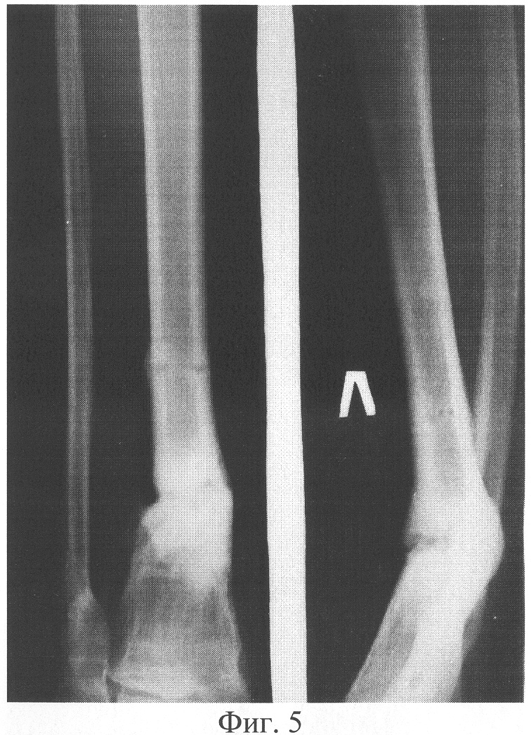
Пример 3. Больной Т., 19 лет, поступил через 745 дней с момента травмы с диагнозом «Посттравматический псевдоартроз нижней трети левой большеберцовой кости. Вальгусно-антекурвационная деформация нижней трети левой голени». Из анамнеза известно, что через 5 дней с момента получения травмы была произведена операция – остеосинтез нижней трети левой большеберцовой кости аппаратом Илизарова. В ходе лечения отмечались следующие жалобы: боли в левой нижней конечности, ограничение функции, возможность передвижения только с двумя дополнительньми опорами. Больной в течение 740 дней лечился с помощью вышеуказанного аппарата, при этом консолидации перелома не наступило. В амбулаторных условиях аппарат внешней фиксации был демонтирован. В результате Т. обратился в клинику травматологии и ортопедии. При проведении клинико-рентгенологического исследования был диагностирован посттравматический псевдоартроз нижней трети левой большеберцовой кости, вальгусно-антекурвационная деформация нижней трети левой голени. Рентгенограмма представлена на фигуре 5. Через 3 дня с момента поступления больному была произведена операция – остеосинтез левой голени аппаратом внешней фиксации спице-стержневого типа, остеотомия левой малоберцовой кости, кортикотомия костей левой голени в нижней трети. Деформация была устранена. После чего в асептичных условиях стерильным скальпелем в стерильном почкообразном лотке измельчили 5 пластин биоматериала аллоплант для склеропластики до размеров крошки 1×1 мм. В условиях операционной у больного осуществили забор крови из кубитальной вены в объеме 5 мл. Затем аутокровь в объеме 5 мл в асептичных условиях перелили в предварительно стерилизованный флакон, куда добавили измельченный биоматериал аллоплант для склеропластики. Место будущей инъекции обезболили 5 мл 0,5% раствора новокаина. Вышеназванные субстанции перемешали и набрали в одноразовый шприц для инъекций, снабженный иглой Гордеева с диаметром отверстия 2 мм, после чего произвели однократную инъекцию лекарственной взвеси в полном объеме в зону ложного сустава. Послеоперационный период протекал без осложнений. Консолидация достигнута через 90 дней (нормальные сроки сращения составляют 75-120 дней, в условиях отягощенного анамнеза – например, при ложном суставе, – затягиваются на неопределенный срок), что подтверждено клинически и рентгенологически. Рентгенограмма представлена на фигуре 6. Осложнений в процессе лечения не было. Получен хороший анатомо-функциональный результат лечения.

Как видно из описания, предложенный способ обладает следующими преимуществами:

1. Малая травматичность – нет необходимости производить оперативное вмешательство.

2. Универсальность применения при различных вариантах лечения – методика может быть применена как при лечении больных с помощью аппаратов внешней фиксации различных модификаций, так и при лечении с помощью скелетного вытяжения или гипсовых повязок.

3. Появляется возможность оптимизировать остеогенез и тем самым сократить сроки консолидации зоны перелома или ложного сустава, что несомненно является экономически выгодным, так как достигается снижение времени нетрудоспособности и пребывания больных в стационаре.

4. Экспериментально доказана и обоснована возможность применения предложенного способа в условиях недостаточной стабильности фиксации костных отломков, что имеет место при замедленной консолидации многооскольчатых переломов.

Основным техническим результатом является возможность сокращения сроков сращения медленно консолидирующих переломов или ложных суставов путем оптимизации репаративного остеогенеза и возможность применения методики в условиях нестабильной фиксации костных отломков.

Формула изобретения

Способ оптимизации репаративного остеогенеза, включающий введение в зону перелома или ложного сустава коллагенсодержащего препарата, отличающийся тем, что в костномозговой канал зоны перелома или в зону ложного сустава вводят предварительно измельченный и смешанный с аутокровью биоматериал аллоплант для склеропластики.

РИСУНКИ

Categories: BD_2315000-2315999