Патент на изобретение №2314747

Published by on




РОССИЙСКАЯ ФЕДЕРАЦИЯ



ФЕДЕРАЛЬНАЯ СЛУЖБА
ПО ИНТЕЛЛЕКТУАЛЬНОЙ СОБСТВЕННОСТИ,
ПАТЕНТАМ И ТОВАРНЫМ ЗНАКАМ
(19) RU (11) 2314747 (13) C2
(51) МПК

A61B5/0295 (2006.01)

(12) ОПИСАНИЕ ИЗОБРЕТЕНИЯ К ПАТЕНТУ

Статус: по данным на 18.11.2010 – прекратил действие, но может быть восстановлен

(21), (22) Заявка: 2006104574/14, 14.02.2006

(24) Дата начала отсчета срока действия патента:

14.02.2006

(46) Опубликовано: 20.01.2008

(56) Список документов, цитированных в отчете о
поиске:
ПЛОТНИКОВ М.П. Первый опыт клинического применения электроимпедансной томографии в выявлении сосудистых поражений головного мозга – в журн.: Мед. визуализац., 2002, 3, стр.88-91. RU 2264162 C2, 20.11.2005. US 6660483 A, 09.03.2003. Соколов А.А. Оценка гемодинамической значимости экстракраниальных стенозов сонных артерий методом

Адрес для переписки:

634012, г.Томск, ул. Киевская, 111а, ГУ НИИ кардиологии, Патентоведу Н.Л. Малюгиной

(72) Автор(ы):

Шипулин Владимир Митрофанович (RU),
Козлов Борис Николаевич (RU),
Кузнецов Михаил Сергеевич (RU),
Плотников Михаил Павлович (RU),
Усов Владимир Юрьевич (RU),
Подоксенов Юрий Кириллович (RU),
Бразовский Константин Станиславович (RU),
Сухарева Анна Евгеньевна (RU),
Евтушенко Владимир Валериевич (RU)

(73) Патентообладатель(и):

ГУ Научно-исследовательский институт кардиологии Томского научного центра Сибирского отделения Российской академии медицинских наук (ГУ НИИ кардиологии ТНЦ СО РАМН) (RU)

(54) СПОСОБ ОПРЕДЕЛЕНИЯ УСТОЙЧИВОСТИ ГОЛОВНОГО МОЗГА К ГИПОКСИИ

(57) Реферат:

Изобретение относится к медицине, а именно к области сердечно-сосудистой хирургии и неврологии. Получают электроимпедансные изображения головного мозга на фоне гипоксической пробы, которую проводят натощак путем дыхания газовой смесью с 10% содержанием кислорода. При этом во время проведения пробы регистрируют SpO2. На полученных электроимпедансных изображениях находят очаги нарушения перфузии, определяют соответствующие им значения SpO2, полученные на пике гипоксической пробы, снижение ниже которых оценивают как риск развития нарушения мозгового кровообращения. Способ расширяет арсенал средств для определения устойчивости головного мозга к гипоксии. 5 ил., 1 табл.

(56) (продолжение):

CLASS=”b560m”аденозин-индуцированной вазодилатации в сочетании с перфузионной томосцинтиграфией мозга – Ангиология и сосудистая хирургия, 1997, 2, стр.36-50. HNATYSZYN G. Effectiveness of complex screening procedure in the diagnostics of cerebral palsy in preterm infants with suspected hypoxic-ischaemic brain injury – Med Wieku Rozwoj. 2005 Jul-Sep; (3 Pt 1): 293-310.

Изобретение относится к медицине, а именно к области сердечно-сосудистой хирургии и неврологии.

Известен способ оценки устойчивости человека к недостатку кислорода, основанный на применении гипотермической пробы с регистрацией электрокардиограммы до пробы и во время ее проведения (патент №2020868, 1994 г., Россия). В известном способе записывают электрокардиограмму до начала пробы. Затем погружают лицо человека в воду, температура которой на 10-20 градусов Цельсия ниже температуры воздуха. Через определенное время происходит снижение частоты сердечных сокращений и развивается брадикардия. По латентности наступления брадикардии и степени ее выраженности судят об устойчивости организма к гипоксии.

Известен лабораторный способ оценки гемической гипоксии, основанный на регистрации спектра электронного парамагнитного резонанса до и после гипоксического воздействия (патент №1722463, 1992 г., Россия). В известном способе проводится взятие периферической крови животного до и после проведения гипоксической пробы. В пробу крови вводят спиновой зонд – кристаллический танол. Затем определяют спиновую подвижность зонда и вычисляют уровень гемической гипоксии.

Все эти способы не позволяют оценить устойчивость к гипоксии определенных органов и систем, а дают информацию лишь об устойчивости к гипоксии организма в целом.

Известен способ определения устойчивости к гипоксии, в котором решалась задача реконструкции статических электроимпедансных изображений (патент №2127075, 10.03.99 г., Россия) путем наложения серии контактных электродов и поочередного подключения источника тока к произвольным парам электродов. На каждой паре оставшихся электродов измеряют разность потенциалов и определяют опорные значения разностей путем аппроксимации измеренного распределения. Реконструкцию изображения пространственного распределения проводимости производят путем обратного проецирования вдоль эквипотенциалей.

Данный способ является наиболее близким к заявляемому по технической сущности и достигаемому результату и выбран в качестве прототипа.

Недостатком способа-прототипа является то, что для реконструкции изображения требуется размещение электродов вдоль замкнутого контура, охватывающего тело человека, что позволяет оценить устойчивость к гипоксии всего организма, в то время как для решения многих клинических задач требуется оценка устойчивости к гипоксии отдельных органов и систем организма, в первую очередь – головного мозга. А также непосредственно реконструировать трехмерные изображения. Другим недостатком в известном способе-прототипе является то, что в качестве источника тока используется импульсный модулятор со средней частотой следования импульсов 8 кГц и прямоугольным сигналом возбуждения, что ограничивает возможные области использования способа.

Способ неприменим в условиях проведения хирургических вмешательств, реанимационных мероприятий, при значительном изменении функционального состояния организма (кома, сопор). Перед проведением хирургических вмешательств, связанных со снижением поступления кислорода к тканям головного мозга, необходимо выявить наличие и анатомически локализовать области риска потенциального повреждения головного мозга, для того чтобы принять адекватные меры защиты, а также определить этапность хирургического лечения при сочетанных поражениях.

Цель изобретения – повышение эффективности и информативности способа для оптимизации хирургического лечения.

Поставленная цель достигается путем определения изменения перфузии головного мозга во время контролируемой нарастающей изокапнической гипоксии, для чего получают электроимпедансное изображение головного мозга. На голову пациента накладывают 18 электродов, затем поочередно подключают каждый электрод к источнику переменного синусоидального зондирующего тока амплитудой 2.5 мА, частотой 100 кГц и одновременно измеряют напряжение на оставшихся 17 электродах. В результате данных манипуляций получают 306 изображений (значений) напряжения, что составляет один кадр электроимпедансного изображения головного мозга. За время одного обследования получают 20 кадров, что дает полную картину сканирования головного мозга в динамике, при появлении на электроимпедансных изображениях очагов нарушения перфузии, по сравнению с нормой и определяют зоны низкой устойчивости головного мозга к гипоксии.

Новым в предлагаемом способе является определение зон низкой устойчивости головного мозга к гипоксии путем выявления очагов нарушения перфузии по сравнению с нормой при анализе 20 кадров электроимпедансного изображения головного мозга.

Полное сканирование головного мозга при проведение пробы с контролируемой нарастающей изокапнической гипоксией позволяет с высокой точностью определить появление зон нарушения перфузии в головном мозге по данным электроимпедансной томографии. Возможность проведение данной пробы при операционной подготовке пациентов, планирования тактики операционного вмешательства и оценка риска проведения операции. Все это позволит существенно снизить процент возможных послеоперационных осложнений, улучшит качество проводимого лечения.

Отличительные признаки проявили в заявляемой совокупности новые свойства, явным образом не вытекающие из уровня техники в данной области. Идентичной совокупности признаков не обнаружено в известных решениях при анализе патентной и научно-медицинской литературы. Предлагаемый способ может быть использован в практической хирургии для определения тактики хирургических вмешательств и уменьшения числа послеоперационных осложнений.

Исходя из вышеперечисленного, следует считать предлагаемое изобретение соответствующим условиям патентоспособности “Новизна” “Изобретательский уровень” “Промышленная применимость”.

Изобретение будет понятно из следующего описания и приложенных к нему чертежей.

На фиг.1 изображен общий вид установки для проведения пробы, электоимпедансный томограф.

На фиг.2 изображен очаг нарушения перфузии головного мозга по данным электроэмпедансной томографии в правой теменной доли.

На фиг.3 изображен очаг нарушения перфузии головного мозга (ОНМК) по МРТ исследования.

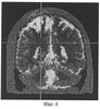
На фиг.4 изображен очаг нарушения перфузии головного мозга по данным электроэмпедансной томографии в правой теменной доли.

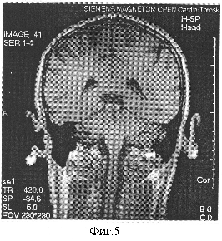
На фиг.5 изображено МРТ исследования головного мозга в после операционном периоде.

Способ осуществляется следующим образом. Установка для получения электроимпедансного изображения состоит из измерителя импеданса и собственной электрической активности головного мозга и программного обеспечения для топографического картирования, реконструкции трехмерных электроимпедансных изображений и проведения количественной оценки параметров до и после пробы.

Параметры измерителя:

Параметр Значение
Количество каналов измерения импеданса 16
Количество каналов ЭЭГ 18
Количество каналов электрокардиотопографии 18
Время измерения данных для получения одного изображения 100-1000 миллисекунд в зависимости от режима работы
Тип электродов Ag/AgCl
Сила зондирующего тока 1-3 мА
Частота зондирующего тока 49 кГц, 96 кГц, 124 кГц
Точность измерения импеданса, не хуже 2%
Точность измерения собственной электрической активности, не хуже 2%
Разрешающая способность измерения импеданса, не хуже 0.01 Ом
Разрешающая способность измерения электрической активности, не хуже 0.5 мкВ
Динамический диапазон измерения импеданса, не менее 70 Дб
Динамический диапазон измерения электрической активности, не менее 70 Дб
Разделение между каналами, не хуже 110 Дб
Связь с компьютером Ethernet 10 Мбит, витая пара
Используемый протокол UDP

Гипоксическую пробу (ГП) проводят под контролем пульсоксиметрии утром натощак. Она представляет собой сеанс дыхания гипоксической газовой смесью (ГГС) с 10% содержанием кислорода. ГГС готовят с помощью прибора “Гипоксикатор ГП-М”, работающего по принципу мембранного газоразделителя фиг.1 (на чертеже изображен общий вид установки для проведения гипоксической пробы). Противопоказаниями к проведению гипоксической пробы считали острые соматические и инфекционные заболевания, декомпенсированные хронические заболевания и резкие обострения хронического процесса, а также индивидуальную непереносимость гипоксии.

В исходном состоянии и на 1, 5, 10 минутах ГП используют следующие методы обследования больных:

1. Измеряют артериальное давление, частоту пульса, частоту дыхания, оценивают жалобы больного.

2. Записывают ЭКГ с проведением статистического анализа ритма сердца

3. Записывают динамическую картину электроимпедансной томографии головного мозга.

Проведение пробы осуществляют следующим образом: пациента помещают на кушетку в положении “лежа” На пальце укрепляют датчик пульсового оксиметра для динамического определения SpO2. Производят подключение электроимпедансного томографа посредством прикрепления 16 электродов к голове по принятой методике электроэнцефалографии. В течение 5 мин пациент дышит атмосферным воздухом (фоновая проба). Во время фоновой пробы регистрируют SpO2 с помощью пульсового оксиметра и производят измерение удельного сопротивления ткани головного описанным выше способом. Производят реконструкцию трехмерного статического электроимпедансного изображения, которое считается опорным. Затем обследуемый дышит ГГС с 10% содержанием кислорода через индивидуальную маску. Начинают отслеживать снижение SpO2 и одновременно регистрируют удельное электрическое сопротивление ткани головного мозга.

Критериями прекращения пробы являются:

1. Достижение субмаксимальной возрастной ЧСС;

2. Выраженная одышка, увеличение МОД более чем в 6 раз по сравнению с исходной величиной;

3. Появление клинических симптомов нарушения вегетативной регуляции: бледность, потливость, тошнота и др.;

4. Появление клинических признаков ухудшения мозгового кровообращения;

5. Повышение АД до 230/130 мм рт.ст. или снижение систолического АД на 25-30% от исходного уровня;

6. Изменения сегмента ST на ЭКГ;

7. Появление очагов нарушения перфузии в головном мозге по данным электроимпедансной томографии;

8. Окончание пробы по истечении 10 мин;

9. Отказ пациента от дальнейшего проведения пробы.

После прекращения пробы производят реконструкцию всех электроимпедансных изображений, полученных во время гипоксической пробы. На полученных изображениях выделяют участок головного мозга, на стороне атеросклеротического поражения сонной артерии, в котором необходимо определить степень устойчивости к гипоксии. Путем вычитания аналогичного участка опорного изображения из изображений во время гипоксической пробы находят очаги нарушение перфузии головного мозга, если такие имеются. По протоколу работы пульсоксиметра находят соответствующее значение SpO2, которое было документировано в данный момент. Таким образом, можно говорить, что данное значение SpO2 на пике гипоксической пробы для данного пациента является пограничным и снижение SpO2 ниже данного уровня SpO2 увеличивает риск развития нарушения мозгового кровоснабжения.

Пример

Больной К. 71 год (и/б №3242) поступил в отдел ССХ ГУ НИИ Кардиологии ТНЦ СО РАМН 30.05.05 г. с диагнозом Основное: ИБС. Стенокардия напряжения III-IV фк. Стенозирующий атеросклероз коронарных артерий. Постинфарктный кардиосклероз. Н II ст. Стенозирующий атеросклероз сонных артерий: справа стеноз в области ВСА >60%. Слева стеноз в области ВСА >60%. Фон: Гипертоническая болезнь II ст. Риск IV.

Диагноз был подтвержден ангиографически и эхоскопически. При проведение гипоксической пробы была выявлена зона усиленной гидратации (зона нарушения перфузии) на основании данных электроимпедансной томографии, в правой теменной доли. Фиг.2. При дыхании атмосферным воздухом (фоновая проба) очаг нарушения перфузии исчез на основании данных электроимпедансной томографии.

Учитывая данные УЗИ сонных артерий и отсутствие в анамнезе данных за хроническое нарушение мозгового кровообращение было принято решение об оперативном лечение стенозирующего атеросклероза коронарных артерии без реконструкции облитерирующего атеросклероза сонных артерий.07.06.05 г. Выполнена операция аортокоронарного шунтирования в условиях искусственного кровообращения и кровяной кардиоплегии.

В последующие 12 часов после операции у пациента была выявлена картина острого нарушения мозгового кровоснабжения по ишемическому типу в бассейне среднемозговой артерии справа.

После стабилизации общего состояние и выведения пациента из отделения интенсивной терапии пациенту было проведено обследования на магнитно-резонансном томографе для уточнения характера и интенсивности поражения головного мозга. Результаты обследования МРТ представлены на фиг.3: Зона усиленного Т2 – изображения МРТ в области отека коры, развившегося при ОНМК в послеоперационном периоде после выполнения трех сосудистого аортокоронарного шунтирования, без одновременной коррекции стеноза ВСА справа. Именно в данной зоне, на пике гипоксической пробы была выявлен очаг нарушения перфузии по данным электроимпедансной томографии.

Больной Г. 48 лет (и/б №5901) поступил в отдел ССХ ГУ НИИ Кардиологии ТНЦ СО РАМН 23.12.03 г. с диагнозом Основное: ИБС. Стенокардия напряжения III фк. Стенозирующий атеросклероз коронарных артерий. Постинфарктный кардиосклероз 2001 г. Н II ст. Стенозирующий атеросклероз сонных артерий: справа субтотальный стеноз в области ВСА >80%. Фон: Гипертоническая болезнь 1 ст. Риск IV.

Диагноз был подтвержден ангиографически и эхоскопически. При проведение гипоксической пробы была выявлена зона усиленной гидратации (сниженной проводимости ткани) на основании данных электроимпедансной томографии, в правой теменной доли. Фиг.4.

Учитывая данные УЗИ сонных артерий и клинические признаки хронического нарушения мозгового кровообращения, принято решение об одномоментном оперативном вмешательстве на двух пораженных бассейнах.

12.01.04 г. Выполнена операция: каротидной эндартерэктомии с аутовенозной пластикой справа. Аортокоронарного шунтирования в условиях искусственного кровообращения и холодовой кровяной кардиоплегии.

Послеоперационный период протекал без осложнений. Перед выпиской пациенту было выполнено контрольное исследование головного мозга на предмет выявления признаков нарушения мозгового кровообращения в области оперируемой артерии. Результаты МРТ представлены на фиг.5.: После одновременной коррекции стеноза ВСА справа и коронарного шунтирования на Т2 – взвешенной послеоперационной МРТ данных за повреждение мозга в области риска не выявлено

Предлагаемый способ использован на 39 пациентах. Получены данные о высокой эффективности и информативности предлагаемого в качестве изобретения способа и, как следствие, возможность оценить риск оперативного вмешательства, оптимизировать тактику хирургического лечения.

Формула изобретения

Способ определения устойчивости головного мозга к гипоксии, включающий получение электроимпедансных изображений, отличающийся тем, что электроимпедансные изображения получают на фоне гипоксической пробы, которую проводят натощак путем дыхания газовой смесью с 10%-ным содержанием кислорода, при этом во время проведения пробы регистрируют SpO2; на полученных электроимпедансных изображениях находят очаги нарушения перфузии, определяют соответствующие им значения SpO2, полученные на пике гипоксической пробы, снижение ниже которых оценивают как риск развития нарушения мозгового кровообращения.

РИСУНКИ


MM4A – Досрочное прекращение действия патента СССР или патента Российской Федерации на изобретение из-за неуплаты в установленный срок пошлины за поддержание патента в силе

Дата прекращения действия патента: 15.02.2008

Извещение опубликовано: 27.12.2009 БИ: 36/2009


Categories: BD_2314000-2314999