Патент на изобретение №2314100

Published by on




РОССИЙСКАЯ ФЕДЕРАЦИЯ



ФЕДЕРАЛЬНАЯ СЛУЖБА
ПО ИНТЕЛЛЕКТУАЛЬНОЙ СОБСТВЕННОСТИ,
ПАТЕНТАМ И ТОВАРНЫМ ЗНАКАМ
(19) RU (11) 2314100 (13) C1
(51) МПК

A61K31/4045 (2006.01)
A61K33/14 (2006.01)
A61P41/00 (2006.01)

(12) ОПИСАНИЕ ИЗОБРЕТЕНИЯ К ПАТЕНТУ

Статус: по данным на 18.11.2010 – может прекратить свое действие

(21), (22) Заявка: 2006135185/14, 05.10.2006

(24) Дата начала отсчета срока действия патента:

05.10.2006

(46) Опубликовано: 10.01.2008

(56) Список документов, цитированных в отчете о
поиске:
Хирургические болезни. / Под ред. М.И.КУЗИНА. – М.: Медицина, 2000, с.474-483. RU 2077076 C1, 10.04.1997, формула, реферат. RU 2134576 C1, 20.08.1999, формула, реферат. ФЕДОРОВ В.Д. и др. Концепция клинического применения серотонина адипината при лечении хирургических больных. – Вестник хирургии им. И.И.Грекова, т.157, № 3, 1998, стр.15-19.

Адрес для переписки:

302038, г.Орел, ул. Металлургов, 27, кв.160, А.Б.Горпиничу

(72) Автор(ы):

Симоненков Алексей Павлович (RU),
Альянов Александр Леонидович (RU),
Матюхин Альберт Николаевич (RU),
Макеева Марина Александровна (RU)

(73) Патентообладатель(и):

Горпинич Александр Борисович (RU)

(54) СПОСОБ КОРРЕКЦИИ ИШЕМИЧЕСКОГО ПОРАЖЕНИЯ КИШЕЧНИКА ПРИ ОСТРОЙ КИШЕЧНОЙ НЕПРОХОДИМОСТИ

(57) Реферат:

Изобретение относится к медицине, а именно к хирургии, и может быть использовано при хирургическом вмешательстве по поводу острой кишечной непроходимости (ОКН), сопровождающейся ишемическим поражением кишечника. Для этого сразу после устранения ОКН внутривенно вводят 1% раствор серотонина-адипината, разведенный в 5-10 мл физиологического раствора в дозе 0,1-0,2 мг/кг массы тела. После этого данный раствор вводят в той же дозе в брыжейку пораженной кишки. Способ позволяет повысить эффективность коррекции ишемического поражения кишечника за счет устранения гладкомышечной недостаточности микроциркуляторного русла кишки. 3 ил.

(56) (продолжение):

CLASS=”b560m”СИМОНЕНКОВ А.П. Профилактика и лечение послеоперационного пареза кишечника серотонином-адипинатом (Клинико-экспериментальное исследование). Автореферат дис. канд. мед. наук. – М., 1987, с.4-27. MATIA I et al. Serotonin levels in the small bowel mucosa as a marker of ischemic injury during small bowel preservation., Ann Transplant. 2004; 9(3):48-51, реферат.

Способ относится к медицине, а именно к хирургии, и может быть использован для коррекции ишемического поражения кишечника после устранения острой кишечной непроходимости.

Известно, что ОКН сопровождается ишемией, гипоксией и парезом кишечника. При этом вначале развиваются некробиотические изменения в стенке кишки, а затем тотальный некроз вовлеченного в патологический процесс участка с последующей ее перфорацией и развитием перитонита.

С нашей точки зрения, механизмы развития патологических изменений кишечной стенки при ОКН являются более сложными и связаны не только с нарушением биоэнергетических процессов, но и с развитием гладкомышечной недостаточности микроциркуляторного русла кишки.

Цель изобретения – обеспечить наибольшую эффективность коррекции ишемического поражения кишечника при ОКН путем сочетания внутривенного и внутрибрыжеечного введения серотонина-адипината, для уменьшения патологических изменений кишки, улучшения ее микроциркуляции и нормализации тонуса сосудов микроциркуляторного русла.

Цель изобретения достигается тем, что после устранения ОКН, экспериментальному животному (кошке) внутривенно вводят 0,1-0,2 мг/кг массы тела 1% раствора серотонина-адипината, а затем в той же дозе лекарственный препарат вводят в брыжейку пораженной кишки. При этом у всех экспериментальных животных морфологическое исследование кишки свидетельствует об отсутствии видимых нарушений структуры кишечной стенки или незначительных ее изменениях.

Способ осуществляется следующим образом.

Исследование выполнено на 14 взрослых кошках. У 8 животных устранение ОКН сочеталось с введением серотонина-адипината по предложенной нами методике. 6 животным (контрольная группа) устранение ОКН не дополнялось введением лекарственного препарата. Животные выводились из опыта через 1 час. Материалом для морфологического исследования являлся участок ишемизированной кишки, который обрабатывали по методике: гематоксилин и эозин.

Полученные нами данные свидетельствуют о том, что в контрольной группе животных (без введения серотонина) при морфологическом исследовании стенки кишки определялось: паретическое расширение капилляров слизистой, подслизистой и мышечной оболочек с перифокальными массивными и очаговыми кровоизлияниями, с диапедезным пропитыванием эритроцитами, в сосудах имеется выраженное краевое стояние нейтрофильных лейкоцитов с выходом их за пределы сосудистой стенки, преимущественно в мышечной и слизистой оболочках, выраженная зернистая дистрофия гладких миоцитов. Можно считать, что вышеописанные изменения носят необратимый характер.

В группе животных, где устранение ОКН сочеталось с введением серотонина-адипината по предложенной нами методике, при морфологическом исследовании видимых нарушений структуры кишечной стенки не отмечено, или присутствуют в незначительном количестве.

Примеры конкретного выполнения.

Пример 1. Кошка №2. Операция 14.07.06 г.

Под хлоралозным наркозом (0,08 г/кг) произведена лапаротомия. На участок кишки длиной 6 см, находящийся в 40-50 см от пилорического отдела желудка, наложены в двух местах матерчатые полосы при расстоянии 3-4 см между ними. Петля кишки погружена в брюшную полость, рана укрыта салфетками, смоченными физиологическим раствором. Через 2 часа матерчатые полосы, сдавливающие петлю тонкого кишечника, сняты. Брюшная полость послойно ушита наглухо. Животное выведено из опыта через 1 час.

Данный пример иллюстрирует фиг.1, где представлена гистоструктура стенки тонкой кишки кошки №2 через 2 часа после наложения матерчатых полос на участок кишечника. Окраска гематоксилин и эозин. Объектив х10. В слизистой оболочке определяется выраженное паретическое расширение капилляров с имбибицией окружающей сосуды ткани эритроцитами, в ворсинах большое количество нейтрофильных лейкоцитов. В подслизистой и гладкомышечной оболочках выявляются очаговые и диффузные диапедезные кровоизлияния, в расширенных сосудах – краевое стояние нейтрофильных лейкоцитов с выходом их за пределы сосудистой стенки, образованием очаговых лейкоцитарных воспалительных инфильтратов. Определяется выраженная зернистая дистрофия гладких миоцитов.

Пример 2. Кошка №3. Масса животного 4 кг. Операция 14.08.06 г. Под хлоралозным наркозом (0,08 г/кг) произведена лапаротомия. На участок кишки длиной 6 см, находящийся в 40-50 см от пилорического отдела желудка, наложены в двух местах матерчатые полосы при расстоянии 3-4 см. между ними. Петля кишки погружена в брюшную полость, рана укрыта салфетками, смоченными физиологическим раствором. Через 2 часа матерчатые полосы, сдавливающие петлю тонкого кишечника, сняты. В выделенную бедренную вену медленно введено 4 мг (1%-0,5 мл раствора) серотонина-адипината, разведенного в 5,0 мл физиологического раствора, а затем, в той же дозе, лекарственный препарат введен в брыжейку пораженной кишки. Брюшная полость послойно ушита наглухо. Животное выведено из опыта через 1 час.

Данный пример иллюстрирует фиг.2, где представлена гистоструктура стенки тонкой кишки кошки №3 через 2 часа после наложения матерчатых полос на участок кишечника, в сочетании с введением серотонина-адипината. Окраска гематоксилин и эозин. Объектив х10. Определяется слабовыраженный отек слизистой оболочки, в области крипт – полнокровные капилляры без кровоизлияний в окружающие сосуды ткани, в мышечной оболочке в просвете сосудов умеренное количество нейтрофильных лейкоцитов в виде краевого стояния, без выхода их за пределы сосудистой стенки. Деструктивных изменений не найдено.

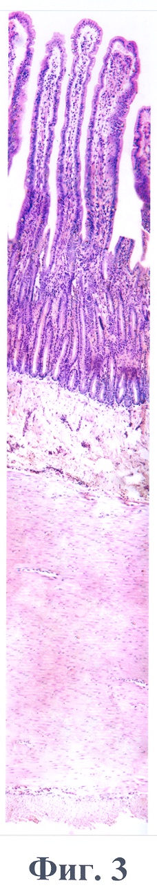
Пример 3. Кошка №4. Масса животного 3 кг. Операция 28.08.06 г.

Под хлоралозным наркозом (0,08 г/кг) произведена лапаротомия. На участок кишки длиной 6 см, находящийся в 40-50 см от пилорического отдела желудка, наложены в двух местах матерчатые полосы при расстоянии 3-4 см между ними. Петля кишки погружена в брюшную полость, рана укрыта салфетками, смоченными физиологическим раствором. Через 2 часа матерчатые полосы, сдавливающие петлю тонкого кишечника, сняты. В выделенную бедренную вену медленно введено 6 мг массы (0,6 мл 1% раствора) серотонина-адипината, разведенного в 5,0 мл физиологического раствора, а затем в той же дозе лекарственный препарат введен в брыжейку пораженной кишки. Брюшная полость послойно ушита наглухо. Животное выведено из опыта через 1 час.

Данный пример иллюстрирует фиг.3, где представлена гистоструктура стенки тонкой кишки кошки №4 через 2 часа после наложения лигатуры на участок кишечника в сочетании с введением серотонина-адипината. Окраска гематоксилин и эозин. Объектив х10. Определяется слабовыраженный отек слизистой и подслизистой оболочек, в области крипт – полнокровные капилляры без кровоизлияний в окружающие сосуды ткани, в мышечной оболочке между циркулярным и продольным слоями единичные полнокровные сосуды с краевым стоянием нейтрофильных лейкоцитов без выхода их за пределы сосудистой стенки. Деструктивных изменений не найдено.

Таким образом, предложенный нами способ коррекции ишемического поражения кишечника при острой кишечной непроходимости позволяет обеспечить наибольшую эффективность коррекции ишемического поражения кишечника при ОКН путем сочетания внутривенного и внутрибрыжеечного введения серотонина-адипината для уменьшения патологических изменений кишки, улучшения ее микроциркуляции и нормализации тонуса сосудов микроциркуляторного русла. Способ может быть использован в клинических условиях у больных при острой кишечной непроходимости.

Формула изобретения

Способ коррекции ишемического поражения кишечника при острой кишечной непроходимости (ОКН), включающий введение лекарственного средства при хирургическом устранении ОКН, отличающийся тем, что в качестве лекарственного средства используют 1%-ный раствор серотонина-адипината, который вводят внутривенно, сразу после устранения ОКН в дозе 0,1-0,2 мг/кг массы тела, а затем в той же дозе – в брыжейку пораженной кишки, причем введение серотонина-адипината осуществляют на 5-10 мл физиологического раствора.

РИСУНКИ

Categories: BD_2314000-2314999