|
|
(21), (22) Заявка: 2006108970/14, 21.03.2006
(24) Дата начала отсчета срока действия патента:
21.03.2006
(46) Опубликовано: 20.11.2007
(56) Список документов, цитированных в отчете о поиске:
RU 2187240 С2, 20.08.2002. RU 2182464 С2, 20.05.2002. RU 2261657 С2, 10.10.2005. BY 6955 C1, 30.03.2005. СУМАРОКОВ А.В., МОИСЕЕВ B.C. Клиническая кардиология. – М.: УНИВЕРСУМ ПАБЛИШИНГ, 1995, с.238. KABLAK-ZIEMBICKA A. et al. Gender differences in carotid intima-media thickness in patients with suspected coronary artery disease. – Am J Cardiol. 2005, №96 (6), p.1217-1222.
Адрес для переписки:
660073, г.Красноярск, а/я 2504, Л.Т. Жуковой
|
(72) Автор(ы):
Тимошенко Кирилл Викторович (RU), Терещенко Юрий Анатольевич (RU), Протопопов Алексей Владимирович (RU), Большакова Наталья Игоревна (RU), Самохвалов Евгений Владимирович (RU)
(73) Патентообладатель(и):
Тимошенко Кирилл Викторович (RU), Терещенко Юрий Анатольевич (RU), Протопопов Алексей Владимирович (RU), Большакова Наталья Игоревна (RU), Самохвалов Евгений Владимирович (RU)
|
(54) СПОСОБ ДИАГНОСТИКИ СЕРДЕЧНО-СОСУДИСТЫХ ЗАБОЛЕВАНИЙ
(57) Реферат:
Изобретение относится к медицине, а именно к кардиологии. Проводят провокационную фармакологическую пробу с сальбутамолом. При этом предварительно до принятия пищи в положении больного на спине при помощи ультразвукового линейного датчика частотой сканирования 8-10 МГц, установленного справа на заднелатеральной поверхности m.sternocleidomastoideum, измеряют внутренний диаметр правой общей сонной артерии (ОСА) в конце диастолы на расстоянии 2 см проксимально от бифуркации ОСА, затем проводят ингаляцию сальбутамолом в дозе 4 мг и через 20 минут измеряют внутренний диаметр правой ОСА. При изменении диаметра правой ОСА, равном 0,5-8%, диагностируют признаки ИБС, при этом d определяют по формуле

где d (%) – изменение внутреннего диаметра правой ОСА, d0 (см) – исходный диаметр правой ОСА, d1 (см) – внутренний диаметр ОСА через 20 минут после ингаляции сальбутамолом ОСА. Способ позволяет диагностировать на раннем этапе атеросклеротические поражения артериального русла, повысить точность и безопасность неинвазивной диагностики ишемической болезни сердца. 7 ил., 1 табл.
Изобретение относится к медицине, а именно к кардиологии, и может быть использовано для диагностики сердечно-сосудистых заболеваний.
Известен способ диагностики ишемической болезни сердца (ИБС), включающий проведение фармакологической пробы с изопреналином. В исходном состоянии и поэтапно после введения препарата регистрируют скорости изменения инфракрасного излучения кожи в рефлексогенной зоне сердца, затем посредством тетраполярной реовазографии вычисляют скорости изменения работы сердца, их разность с оценкой коэффициента К, как отношение суммы положительных разностей к сумме отрицательных и при значениях К=0,413 ставят диагноз ИБС. Патент РФ №2115360, М. кл. А61В 5/02, 1991.
Недостатком известного способа является определение скорости работы сердца тетраполярной реовазографией, которая в настоящее время в связи с плохой корреляцией с инвазивными данными уступила место более точным – ультразвуковым методам.
Используемый в качестве фармакологического стимула препарат изопреналин является неселективным агонистом. Его действие распространяется одновременно на 1 и 2 адренорецепторы и не является избирательным. Препарат увеличивает частоту сердечных сокращений (ЧСС) и повышает потребность миокарда в кислороде, а также может активировать эктопические очаги, вызвать экстрасистолию с опасностью фибрилляции желудочков.
Наиболее близким к предлагаемому способу диагностики сердечно-сосудистых заболеваний является способ диагностики ИБС, основанный на проведении провокационной фармакологической пробы путем длительной ингаляции селективными 2 агонистами сальбутамолом в дозе 5 мг или фенотеролом 1 мг через небулайзер с одновременным мониторированием электрокардиограммы (ЭКГ) в течение часа после ингаляции. При возникновении клиники стенокардии и/или регистрации ЭКГ признаков ишемии миокарда продолжительностью более 1 минуты пробу считают положительной (Патент РФ №2187240, М. кл А61В 5/02, 2001).
Недостатком известного способа является необходимость доведения состояния пациента до приступа стенокардии или диагностически значимого смещения сегмента ST на ЭКГ, что является небезопасным для пациента и зачастую требует купирования приступа с использованием медикаментов (нитраты, -блокаторы и другие). Кроме того, недостатком известного способа является лабильность изменений сегмента ST на ЭКГ, связанная не только с количеством, степенью поражения и развития коллатералей коронарных артерий, но и с физиологическими, метаболическими, вегетативными и гемодинамическими факторами, влияющими на клеточный метаболизм миокарда и вызывающими изменения сегмента ST с интактными коронарными артериями. Из-за этих причин ложноположительные результаты по оценке сегмента ST на ЭКГ наблюдаются при гипертонии, пороках сердца, нейроциркуляторной дистонии, легочном сердце, синдроме WPW и ряде других заболеваний, не связанных с атеросклеротическим изменением коронарных артерий.
Задачей предлагаемого технического решения является разработка эффективного способа диагностики раннего выявления атеросклеротического поражения артериального русла, повышение точности и безопасности неинвазивной диагностики ИБС.
Поставленная задача достигается тем, что в способе диагностики сердечно-сосудистых заболеваний путем проведения провокационной фармакологической пробы сальбутамолом, новым является то, что предварительно до принятия пищи в положении больного на спине при помощи ультразвукового линейного датчика частотой сканирования 8-10 МГц, установленного справа на заднелатеральной поверхности m.sternocleidomastoideum, измеряют внутренний диаметр правой общей сонной артерии (ОСА) в конце диастолы на расстоянии 2 см проксимально от бифуркации ОСА, затем проводят ингаляцию сальбутамолом в дозе 4 мг и через 20 минут повторно измеряют внутренний диаметр правой ОСА. При изменении диаметра правой ОСА, равном 0,5-8%, диагностируют признаки ИБС, при этом d определяют по формуле

где d (%) – изменение внутреннего диаметра правой ОСА, d0 (см) – исходный диаметр правой ОСА, d1 (см) – внутренний диаметр ОСА через 20 минут после ингаляции сальбутамолом ОСА.
В последние годы развитие ультразвуковой диагностической техники позволяет с высокой достоверностью оценивать состояние сосудов различной локализации. Результаты специальных исследований показывают, что ультразвуковые линейные датчики высокого разрешения (частота сканирования 8-10 МГц) позволяют определить минимальные изменения внутрипросветного диаметра артерий с точностью 0,1 мм. Самой доступной и адекватной моделью для исследования функционального состояния сосудов у человека ультразвуком высокого разрешения in vivo является ОСА, которая имеет различные виды рецепторов в синокаротидной зоне, являющихся важными с точки зрения регуляции сосудистых реакций, развивающихся при воздействии на организм различных физиологических и патологических факторов. Наиболее важную роль в реализации адаптивного ответа на воздействие различных факторов играет симпатическая нервная система, формирующая вазодилататорные или вазоконстриктивные реакции. Сальбутамол является селективным 2 агонистом, воздействуя на симпатические 2 рецепторы, в норме вызывает расслабление и дилатацию гладкомышечного слоя сосудов и бронхов, а при патологии сердечно-сосудистой системы в связи с начальными атеросклеротическими изменениями происходит ослабленная вазодилататорная или парадоксальная вазоконстрикторная реакция сосудистой стенки ОСА на селективную фармакологическую стимуляцию 2 рецепторов еще до появления атером в сонных артериях. Зарегистрированные патологические изменения возникают на раннем этапе сердечно-сосудистых заболеваний, что позволяет их использовать в качестве диагностического маркера.
Способ осуществляется следующим образом. Диагностику проводят в 9-10 часов утра, натощак, при комнатной температуре (20-25°С) в положении больного на спине после 10-15-минутного отдыха. Пациент не должен принимать вазоактивные препараты за сутки до исследования (нитраты, -блокаторы, антагонисты кальция). Ультразвуковой линейный датчик частотой сканирования 8-10 МГц располагают по заднелатеральной поверхности m.sternocleidomastoideum справа до появления ультразвукового изображения бифуркации ОСА. Отступя от лоцируемой в В-режиме бифуркации ОСА проксимально на 2 см измеряется внутренний диаметр (расстояние между противоположными стенками артерии) правой ОСА в конце диастолы, соответствующей зубцу R на ЭКГ, которая синхронизируется во время исследования с В-режимом. Затем пациент получает ингаляцию сальбутамола в дозе 4 мг из стандартного аэрозольного ингалятора. Через 20 минут повторяют измерение диаметра ОСА в той же последовательности.
С использованием предлагаемого способа проведено определение его диагностической возможности. В исследование были включены 60 пациентов, страдающих кардиалгией. Во всех случаях у пациентов были неспецифические изменения на ЭКГ, они не могли выполнить стандартные тесты для диагностики ИБС. Из них 20 больных страдали тяжелой стероидозависимой бронхиальной астмой. Средний возраст пациентов составил 53±5,3 года. После получения данных о состоянии коронарного русла путем коронарографии все больные были разделены на две группы. В первой группе (21 человек) поражения коронарных артерий отсутствовали, а во второй (39 человек) были атеросклеротические стенозирующие однососудистые изменения коронарных артерий от 50 до 75%. Показатели d, определенные у больных перед коронарографией, представлены в таблице.
Таблица Максимальные и минимальные показатели d у здоровых лиц и больных ИБС |
| 1-я группа (21 человек, без ИБС) |
2-я группа (39 человек, с ИБС) |
| 8,5-10,4% |
0,5-7,5%* |
Таким образом, из таблицы видно, что у лиц без поражения коронарных артерий прирост d после ингаляции сальбутамолом должен составить более 8%. В противном случае при наличии клинических жалоб необходимо проведение коронарографии. Проведенный корреляционный анализ показал прямую корреляционную зависимость между d и степенью поражения коронарных артерий на коронарографии (r=0,76, p<0,01). Это подтверждают клинические примеры.
Пример 1.
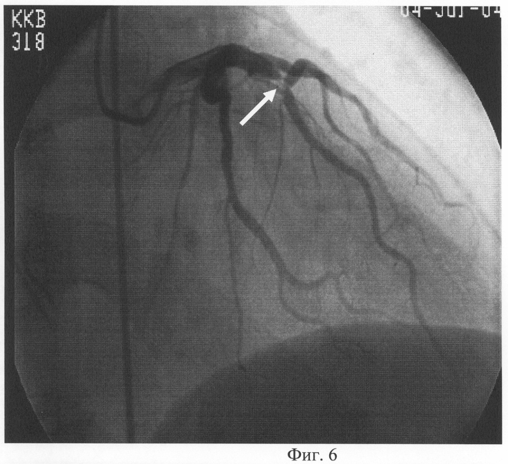
Больной П., 50 лет. Страдает бронхиальной астмой более 10 лет. Поступил в аллергологическое отделение краевой клинической больницы с жалобами на приступы удушья до 6-8 раз в сутки, ночью до 4 раз, купирует беротеком. Одышка при обычной физической нагрузке. Кашель с небольшим количеством вязкой мокроты, слизистого характера. Давящие, загрудинные боли днем до двух раз в сутки в течение 15 минут. При проведении диагностики предлагаемым способом d равен 1,76% (d0=0,56 см, d1=0,57 см). Больному сделана коронарография. На коронарографии сбалансированный тип, гемодинамически значимый стеноз диагональной ветви до 75%. Больному имплантирован коронарный стент («Vision» 3,0×18 мм). После лечения клинические симптомы ИБС не проявлялись. Диагноз при выписке: Бронхиальная астма, эндогенного генеза, тяжелое течение, стероидозависимая, обострение. Сопутствующий диагноз: ИБС, стабильная стенокардия 3 ф. кл. Гиперхолестеринемия 2В типа. Эндопротезирование ДВ («Vision» 3,0×18 мм) 18.06.04. СН I ст. (II ф.к. по NYHA). Гипертоническая болезнь 3 ст., риск 4.
Пример 2.
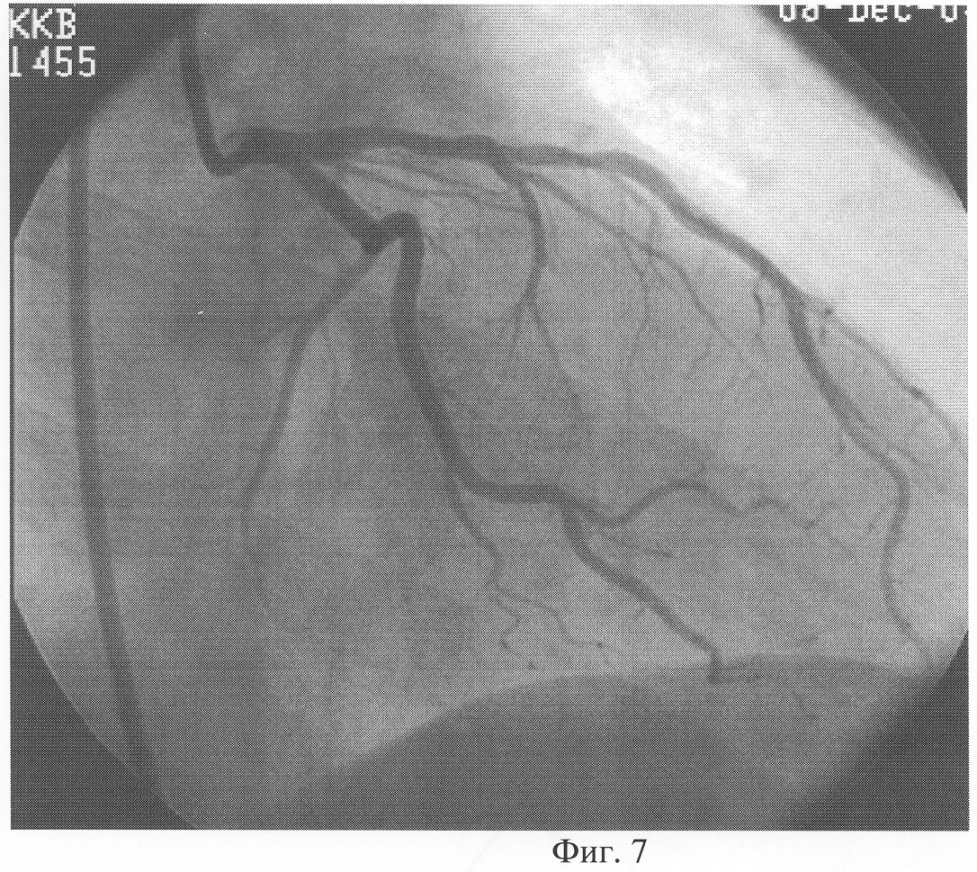
Больная А., 53 года. Жалобы: на приступы удушья до 4-5 раз в сутки, частые ночные приступы удушья до 6-и раз в неделю, одышка экспираторного характера при незначительной нагрузке, дистанционные хрипы, кашель гнойной мокроты до 100 мл в сутки, потливость, слабость, боли в левой половине грудной клетки до 30 минут с иррадиацией в левую руку. Находилась на обследовании и лечении в пульмонологическом отделении краевой клинической больницы с диагнозом: Бронхиальная астма, эндогенная, тяжелое течение, стероидозависимая, обострение тяжелое. Хронический обструктивный бронхит, обострение. ВН III-II ст. Эмфизема. Пневмосклероз.
При проведении диагностики предлагаемым способом d равно 10,4% (d0=0,48 см, d1=0,53 см). После купирования симптомов бронхиальной обструкции проведена коронарография. По данным коронарографии правый тип кровоснабжения миокарда, коронарные артерии не изменены. При дальнейшем обследовании на МРТ выявлена грыжа диска Th3-Th4 грудного отдела позвоночника. Таким образом, диагноз ИБС не подтвердился.
Следует отметить, что ни в одном случае у больных не было побочных реакций и отклонений гемодинамики (артериального давления и ЧСС).
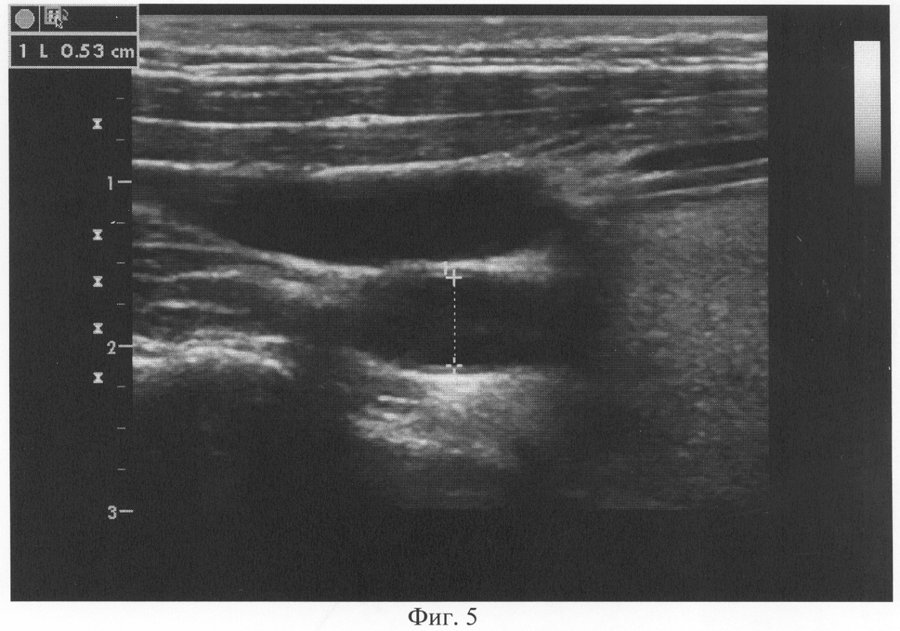
Предлагаемый способ поясняется чертежами, где: на фиг.1 показан ультразвуковой датчик с изображением ОСА; на фиг.2 показан диаметр ОСА у больного ИБС (пример 1) до проведения ингаляции сальбутамолом; на фиг.3 – изменение диаметра ОСА после ингаляции сальбутамолом; на фиг.4 показан диаметр ОСА у пациента (пример 2) до проведения ингаляции сальбутамолом; на фиг.5 – изменение диаметра ОСА после ингаляции сальбутамолом; на фиг.6 приведена коронарограмма больного ИБС (пример 1); на фиг.7 – коронарограмма пациента (пример 2).
Предлагаемый авторами способ позволяет путем неинвазивной стимуляции сальбутамолом 2 рецепторов выявить ранние нарушения сосудодвигательной функции артерий (в данном случае ОСА), связанной с начальными атеросклеротическими изменениями. Сочетание клиники кардиалгии в анамнезе с положительной пробой можно достоверно установить диагноз ИБС. Предложенный способ является безопасным и неинвазивным, не требующим достижения субмаксимальной ЧСС. Ранняя диагностика ИБС предложенным способом подтверждается высокой корреляцией с «золотым стандартом» в диагностике этого заболевания – коронарографией при выявлении однососудистого поражения 50-75% коронарного русла. Использование способа оптимально у больных с риском развития ИБС (гиперхолестеринемия, артериальная гипертония, сахарный диабет и т.д.) с исходно измененной ЭКГ, заболеваниями легких, опорно-двигательного аппарата, сосудов нижних конечностей, где у пациентов имеются жалобы на боли в грудной клетке.
Формула изобретения
Способ диагностики ишемической болезни сердца путем проведения провокационной фармакологической пробы сальбутамолом, отличающийся тем, что предварительно до принятия пищи в положении больного на спине при помощи ультразвукового линейного датчика частотой сканирования 8-10 МГц, установленного справа на заднелатеральной поверхности m.sternocleidomastoideum, измеряют внутренний диаметр правой общей сонной артерии (ОСА) в конце диастолы на расстоянии 2 см проксимально от бифуркации ОСА, затем проводят ингаляцию сальбутамолом в дозе 4 мг и через 20 мин измеряют внутренний диаметр правой ОСА, при изменении диаметра правой ОСА, равном 0,5-8%, диагностируют признаки ИБС, при этом d определяют по формуле

где d (%) – изменение внутреннего диаметра правой ОСА, d0 (см) – исходный диаметр правой ОСА, d1 (см) – внутренний диаметр ОСА через 20 мин после ингаляции сальбутамолом ОСА.
РИСУНКИ
|
|