|
(21), (22) Заявка: 2006100724/14, 10.01.2006
(24) Дата начала отсчета срока действия патента:
10.01.2006
(43) Дата публикации заявки: 10.05.2006
(46) Опубликовано: 10.11.2007
(56) Список документов, цитированных в отчете о поиске:
Адрес для переписки:
410002, г.Саратов, ул.Чернышевского, 148, ФГУ “СарНИИТО Росздрава”, начальнику отдела формирования и управления интеллектуальной собственностью Г.А.Грешнову
|
(72) Автор(ы):
Норкин Игорь Алексеевич (RU), Зарецков Владимир Владимирович (RU), Рубашкин Сергей Анатольевич (RU), Арсиниевич Владислав Бранкович (RU)
(73) Патентообладатель(и):
ФГУ “Саратовский научно-исследовательский институт травматологии и ортопедии Росздрава” (СарНИИТО) (RU)
|
(54) СПОСОБ ПЛАНИРОВАНИЯ ХИРУРГИЧЕСКОЙ КОРРЕКЦИИ СКОЛИОТИЧЕСКОЙ ДЕФОРМАЦИИ
(57) Реферат:
Изобретение относится к медицине, хирургии и может быть использовано для планирования хирургической коррекции сколиотической деформации. Для этого проводят рентгенографию позвоночника. Определяют по спондилограммам апикальный и концевой позвонки, локализацию и протяженность дуг искривления и противоискривления. Проводят измерения величины сколиотической деформации, угла деформации по Кобб, ротации апикального позвонка. Оценивают степень зрелости костной ткани скелета по Риссеру и завершенность роста позвоночника. Рассчитывают мобильность деформированного позвоночника и протяженность спондилодеза. Определяют возможность проведения дорсальной, вентральной или двухсторонней коррекции по показателям протяженности и локализации сколиотической дуги, угла деформации по Кобб, мобильности и завершенности роста позвоночника. Делают выбор вида и степени коррекции. Рассчитывают показатели ротации позвонков от апикального к концевым дугам искривления. Определяют номенклатуру рассчитываемых параметров позвонков сколиотической дуги. Проводят выбор типоразмера металлоконструкции. При этом оценку состояния концевых апофизов позвонков в грудном отделе проводят по спондилограммам в боковой проекции, а в поясничном отделе – по спондилограммам в прямой проекции. Проведение такого планирования позволяет повысить точность и качество предоперационной подготовки коррекции сколиотической деформации путем обеспечения подбора вида доступа, коррекции и фиксации и выбора типоразмера металлоконструкции. 12 ил., 4 табл.
Изобретение относится к медицине, а именно к оперативной ортопедии и вертебрологии, и может быть использовано при лечении сколиотических деформаций позвоночника в специализированных отделениях стационаров больниц, центах и НИИТО.
Недостатками способа планирования Кинга являются:
– недостаточная точность из-за рассчитанности на инструментарий дистрагирующего и контрагирующего типа, а не на эндокорректоры полисегментарной разнонаправленной коррекции и фиксации;
– ограниченность задним доступом и дорсальной коррекцией;
– применимость только для деформации грудного отдела позвоночника;
– отсутствия учета индивидуальных особенностей и изменения морфометрических параметров позвонков при сколиотическом процессе;
– отсутствие учета степени зрелости костной ткани позвоночника.
Недостатками способа Margulies J.Y. являются:
– недостаточная точность из-за применения расчетной схемы Кинга для полисегментарной коррекции;
– ограниченность задним доступом и дорсальной коррекцией;
– отсутствие учета индивидуальных особенностей и изменения морфометрических параметров позвонков при сколиотическом процессе;
– отсутствие учета степени зрелости костной ткани позвоночника.
Наиболее близким по совокупности существенных признаков и достигаемому результату является способ предоперационного планирования протяженности дорсального спондилодеза при врожденных прогрессирующих деформациях позвоночника (пат. RU №2221510 А61В 17/56 от 22.07.2002, опубл. 20.01.2004) для применения инструментария полисегментарной разнонаправленной коррекции, включающий проведение обзорной и функциональной рентгенографии позвоночника в стандартных проекциях стоя и лежа, определение по спондилограммам апикального и концевых позвонков, локализации и протяженности дуг искривления и противоискривления, проведение количественного измерения величины сколиотической деформации с определением угла деформации по Кобб, ротации апикального позвонка, оценки степени зрелости костной ткани скелета по Риссеру, расчета мобильности деформированного позвоночника и протяженности дорсального спондилодеза.
Недостатки способа:
– недостаточность предоперационной подготовки, что усложняет проведение хирургической коррекции деформации;
– ограниченность только дорсальным доступом, коррекцией и спондилодезом;
– отсутствие учета индивидуальных морфометрических параметров пациентов;
– отсутствие учета изменений морфометрических параметров позвонков при сколиотическом процессе в зависимости от стороны деформации;
– необходимость интраоперационного подбора типоразмера металлоконструкции, что ведет к увеличению номенклатуры инструментария, а это часто экономически не выгодно;
– недостаточная точность определения степени зрелости костной ткани позвоночника.
Задачи, решаемые изобретением:
– повышение точности и качества предоперационной подготовки коррекции;
– выбор вида доступа, коррекции и фиксации.
В результате повышения точности и качества проведения оперативной коррекции деформации уменьшается риск послеоперационных осложнений в виде прогрессирования деформации, потери коррекции, формирования тяжелой деформации позвоночника по типу синдром «коленчатого вала» и др. Дополнительно снижается время стационарного лечения больных сколиозом, затраты на повторные вмешательства. Предоперационный тщательный подбор металлоконструкций позволяет снизить затраты лечебного учреждения на хирургический инструментарий, расходные хирургические материалы, анестезиологическое обеспечение операций, медикаментозную терапию в до- и послеоперационном периоде.
Для выполнения поставленных задач в предлагаемом способе планирования хирургической коррекции сколиотической деформации, включающем проведение обзорной и функциональной рентгенографии позвоночника в стандартных проекциях стоя и лежа, определение по спондилограммам апикального и концевых позвонков, локализации и протяженности дуг искривления и противоискривления, проведение количественного измерения величины сколиотической деформации с определением угла деформации по Кобб, ротации апикального позвонка, оценкой степени зрелости костной ткани скелета по Риссеру R0-R5, расчет мобильности деформированного позвоночника и протяженности спондилодеза, дополнительно при проведении рентгенометрии оценивают степень зрелости костной ткани позвонков по состоянию концевых апофизов тел позвонков, сопоставляя показатели степеней зрелости костной ткани оценивают завершенность роста позвоночника, по показателям протяженности и локализации сколиотической дуги, угла деформации по Кобб, мобильности и завершенности роста позвоночника определяют возможность проведения дорсальной, вентральной или двухсторонней коррекции и делают выбор вида и степени коррекции, рассчитывают показатели ротации позвонков от апикального к концевым дуги искривления, по виду выбранной коррекции и степени ротации позвонков определяют номенклатуру рассчитываемых параметров позвонков сколиотической дуги, по которым проводят выбор типоразмера металлоконструкции.
При этом оценка состояния концевых апофизов позвонков в грудном отделе может быть проведена по спондилограммам в боковой проекции, а в поясничном отделе – по спондилограммам в прямой проекции.
Если показатель степени зрелости костной ткани скелета по Риссеру R4-R5 и слияние кольцевых апофизов с телами у всех позвонков сколиотической дуги, то планируют дорсальную коррекцию.
Если протяженность сколиотической дуги в 8 и более позвонков, то планируют дорсальную коррекцию, а если менее 8 позвонков, то вентральную коррекцию.
Если локализация основной дуги деформации располагается в пределах только грудной или только брюшной области, то выбирают только вентральный доступ.
Если протяженность сколиотической дуги в 8 и более позвонков и невозможно выбрать дорсальный доступ, то проводят коррекцию центрального угла сколиотической деформации.
Если R0-R3 и/или открыты кольцевые апофизы у тел всех позвонков сколиотической дуги, то планируют коррекцию центрального угла деформации в 3-4 позвонков.
При прогрессировании деформации в раннем возрасте планируют циркулярную двухстороннюю фиксацию позвоночника в два этапа: при R0-R3 и/или открытии кольцевых апофизов у тел всех позвонков сколиотической дуги проводят коррекцию центрального угла деформации из ветрального доступа, а при достижении R4-R5 и слиянии кольцевых апофизов с телами у всех позвонков сколиотической дуги – дополнительную коррекцию из дорсального.
Для проведения вентральной коррекции рассчитывают фронтальный диаметр и высоту тела каждого позвонка, а для дорсальной – высоту и ширину корня дужки, интерпедикулярное расстояние, педикулярные углы, расстояние от корня дужки до вентральной пластинки по сторонам деформации каждого позвонка.
Если ротация позвонков в поясничном и нижнегрудном отделах позвоночника более 50°, то планируют установку транспедикулярных винтов.
Предлагаемый способ планирования хирургической коррекции сколиоза позволяет перейти на новый уровень и качество лечения больных сколиотической болезнью за счет системного рассмотрения наиболее значимых при сколиозе параметров позвоночника, использования патогенетически обоснованного подхода к выбору доступа и вида коррекции и учета индивидуальных параметров позвонков.
Планирование тактики оперативной коррекции на заднем или переднем отделах позвоночника основано на системном анализе трех типов данных рентгенограмм в стандартных проекциях: параметров позвоночника; показателей зрелости и параметров позвонков.
Оценка завершенности роста позвоночника при проведении рентгенометрии основана на сопоставлении показателей степеней зрелости костной ткани скелета по Риссеру и степени зрелости костной ткани позвонков дуги искривления. При этом завершенность роста позвонков оценивают по состоянию концевых апофизов их тел.
Двухэтапность проведения этой оценки вызвана необходимостью учета неоднородности степени созревания позвонков в разных отделах позвоночника. Так, достоверно установлено [Майкова-Строганова B.C., Финкельштейн М.А. Кости и суставы в рентгеновском изображении. – Медгиз. 1952], что структурно-функциональные возрастные изменения между позвонками позвоночника могут достигать 4 лет.
Клиническими наблюдениями и лабораторными исследованиями, проведенными в СарНИИТО, зафиксирован дисбаланс развития зон роста позвонка и выявлено развитие неоднородного созревания костной ткани позвонков по дуге искривления при сколиозе, которое тем интенсивнее, чем больше искривление. Поэтому предлагается проводить оценку завершенности роста позвоночника путем сопоставления и обобщения показателей степеней зрелости костной ткани скелета по Риссеру и состояния концевых апофизов тел позвонков.
Для оценки степени зрелости костной ткани скелета по Риссеру на рентгенограмме в прямой проекции гребень подвздошной кости условно делят на 4 равные части и определяют степень развития ядер окостенения по участкам: отсутствие очагов окостенения в передних отделах оценивают как высокую степень потенции роста (R0), различные степени оссификации – возможность роста (R1-R4), при полном срастании апофизов – завершения костного роста и зрелость скелета (R5).
Степень зрелости костной ткани позвонков оценивается по слиянии кольцевых апофизов с телами. Так, например, значение показателя степени зрелости костной ткани скелета по Риссеру R4-R5 и слияние кольцевых апофизов с телами у всех позвонков сколиотической дуги свидетельствует о полном завершении роста позвоночника.
Выбор вида доступа и коррекции при полисегментарной коррекции при сколиозе объясняется следующим.
При выполнении дорсальной инструментальной коррекции сколиотической деформации восстановление баланса туловища и стабилизация деформации происходит за счет задних опорных структур позвоночника, что предопределяет необходимость создания заднего спондилодеза на всем протяжении установки металлоконструкции. Это, как правило, большая часть позвоночника – от верхнегрудного до поясничного отделов (от 10 до 14 позвонков). Выполнение протяженного заднего спондилодеза операций недопустимо для больных с продолжающимся ростом позвоночника из-за формирования дополнительной тяжелой деформации позвоночника по типу синдром «коленчатого вала».
Поэтому производят частичную установку металлоконструкции без создания заднего спондилодеза, а во время повторных оперативных вмешательств осуществляют дополнительную коррекцию и только после завершения роста осуществляют коррекцию и фиксацию в полном объеме с формированием заднего спондилодеза.
При проведении из вентральной коррекции сколиотической деформации устанавливают металлоконструкцию на тела позвонков по передней и средней опорным структурам позвоночника, что обеспечивает стабильный корригирующий эффект. Однако в связи со сложностью анатомического строения позвоночника установка металлоконструкции на большое количество позвонков технически сложно осуществима. Поэтому условием проведения вентральной коррекции является коррекция не более 4-6 позвонков, небольшая протяженность спондилодеза, фиксация позвонков по выпуклой стороне деформации, т.е. ее целесообразно проводить для позвонков, находящихся на вершине деформации и составляющих ее центральный угол. Это открывает возможным ее применение у пациентов с продолжающимся ростом.
При патологической ротации позвонков в поясничном и нижнегрудном отделах позвоночника более 50° показана установка транспедикулярных винтов в связи с обеспечением ими большего деротирующего момента по сравнению с крюками-упорами.
Изучение опыта проведения, причин послеоперационных осложнений и отдаленных результатов ветральной и дорсальной коррекции сколиотической деформации по данным зарубежных и отечественных публикаций, а также анализ собственного опыта по клиническим и архивным материалам СарНИИТО, позволили нам установить критерии выбора вида коррекции, закладываемые в основу планирования:
– при патологической ротации позвонков в поясничном и нижнегрудном отделах позвоночника более 50° целесообразно устанавливать транспедикулярные винты;
– при общей протяженности сколиотической дуги более и/или равной 8 позвонкам целесообразно проводить дорсальную коррекцию, а при короткой – вентральную, при сколиотической дуге в 8 и более позвонков и невозможности дорсального доступа – коррекцию центрального угла сколиотической деформации;
– при локализации основной дуги деформации в нескольких отделах позвоночника (например, грудопоясничном), целесообразно проводить дорсальную коррекцию, а в одном – вентральную;
– при прогрессировании деформации в раннем возрасте планируют циркулярную двухстороннюю фиксацию позвоночника в два этапа: вначале коррекцию центрального угла деформации из астрального доступа, затем дополнительную – из дорсального;
– при законченности роста позвоночника целесообразна дорсальная коррекция;
– при интенсивном росте коррекция центрального угла деформации в 3-4 позвонков.
Для дорсальной коррекции определяют следующую номенклатуру параметров позвонков: высоту и ширину корня дуги (ножки), интерпедикулярное расстояние, педикулярные углы, расстояние от корня дуги до вентральной пластинки, степень патологической ротации каждого позвонка. При выборе типоразмеров инструментария для дорсального спондилодеза учитываются изменения морфометрических параметров позвонков в зависимости от стороны деформации.
Для вентральной коррекции определяют следующую номенклатуру параметров позвонков: степень патологической ротации каждого позвонка, фронтальный диаметр тела позвонка, высоту тела позвонка по выпуклой и вогнутой сторонам.
Планирование поводят в следующей последовательности:
Проводят рентгенографию позвоночника больньм сколиотической болезнью в стандартных прямой и боковой проекциях.
1. По рентгенограмме прямой проекции определяют:
1.1 вид сколиотической деформации: основной дуги, дуги противоискривления;
1.2 краниальный и каудальный нейтральные, апикальный позвонки дуг искривления, при нескольких дугах – для каждой дуги отдельно;
1.3 угол сколиотической деформации по Кобб: стоя и лежа;
1.4 протяженность основной дуги и количество ее составляющих позвонков.
2 Оценивают степень зрелости костной ткани позвоночника:
2.1 по рентгенограмме тазовой области – по Риссеру;
2.2 по рентгенограммам позвоночника – степень состояние кольцевых апофизов тел каждого позвонка сколиотической дуги;
2.3 сопоставляя и обобщая эти показатели оценивают завершенность роста позвоночника;
3. Рассчитывают индекс стабильности по Казьмину по формуле [Казьмин А.И. и др. Сколиоз. – М.: Медицина, 1981]:
ИС=(180°-а)/(180°-в),
где а – величина сколиотической дуги в положении лежа,
в – величина сколиотической дуги в положении стоя.
4. Определяют возможность проведения дорсальной, вентральной или двухсторонней коррекции и делают выбор вида и степени коррекции.
cos =c/r,
где – угол ротации позвонка,
с – половина интерпедикуллярного расстояния ротированного позвонка, определяемая по рентгенограмме в прямой прекции;
r – половина интерпедикуллярного расстояния того же позвонка в нейтральном положении с учетом посегментарного прироста размеров каждого позвонка;
7. Определяют номенклатуру рассчитываемых параметров позвонков сколиотической дуги.
8. Для выбора типоразмера металлоконструкции проводят параметров позвонков сколиотической дуги.
9. Приведем алгоритм расчета параметров позвонков для дорсальной коррекции:
9.1 по рентгенограмме прямой проекции определяют:
9.1.1 измеряют высоту и ширину ножек у каудального и краниального нейтральных позвонков;
9.1.2 рассчитывают интерпедикуллярное расстояние нейтральных позвонков;
9.1.3 рассчитывают посегментный прирост линейных размеров (изменение всех параметров происходит в каудальном направлении с уровня TIII с одинаковым посегментным приростом):

где р – относительный посегментарный прирост показателей,
А – показатель нижележащего (каудального) позвонка,
В – показатель вышележащего (краниального) позвонка,
n – количество позвонков от А до В включительно,
9.1.4 рассчитывают интерпедикуллярное расстояние вершинного позвонка в норме
9.1.5 Определяют интерпедикуллярное расстояние позвонка в норме.
J=B+p×n
J – интерпедикуллярное расстояние в норме.
10. Рассчитывают высоту и ширину ножек позвонков, вовлеченных в сколиотическую дугу.
10.1 На переднезадних обзорных рентгенограммах нормального позвоночника хорошо определяются дуги позвонков. В связи с тем, что они располагаются параллельно ходу рентгеновских лучей, то на снимках они отображаются в виде овалов. Для более точных размеров измерения необходимо производить по наиболее рентгенологически негативным участкам. Морфометрические размеры ножек позвонков практически соответствуют рентгенологическим. Однако при рентгенографии сколиотического позвоночника у позвонков, входящих в дугу искривления, за счет ротации позвонков ножки находятся под углом к рентгеновским лучам. На обзорных снимках не удается получить четких контуров ножек позвонков. Первым этапом измеряются показатели нейтральных позвонков по фасной рентгенограмме (высота и ширина ножки). Исходя из ранее предложенной формулы вычисляем посегментарный прирост показателей (высоты и ширины ножек). Рассчитываем долженствующее (нормальное значение без учета влияния сколиотического процесса) позвонка находящегося на вершине деформации (верхушечный позвонок), по формуле, предложенной ранее.
Внесение корректив в расчетный параметр (верхушечный позвонок) с учетом стороны искривления и степени деформации позвоночника (вычисляется по предложенной таблице полученной эксперементально).
| Таблица |
| степень деформации |
0-10° |
11-30° |
31-60° |
более 60° |
| сторона деформации |
выпуклая |
вогнутая |
выпуклая |
вогнутая |
выпуклая |
вогнутая |
выпуклая |
вогнутая |
| ширина ножки |
+3% |
-3% |
+5% |
-5% |
+12% |
-12% |
+15% |
-15% |
| высота ножки |
+3% |
-3% |
+5% |
-5% |
+10% |
-10% |
+13% |
-13% |
| длина хорды |
-2% |
+2% |
-3% |
+3% |
-4% |
+4% |
-6% |
+6% |
Максимальная разница параметров в зависимости от стороны соответствует вершинному позвонку. По мере удаления от вершины деформации происходит нормализация всех величии и размеры нейтральных позвонков соответствуют норме. Изменения метрических параметров происходят весьма равномерно. Исходя из литературных данных наибольшие изменения в строении приходятся на позвонок, расположенный на вершине деформации, с постепенным изменением параметров и приведение их в норму в нейтральных позвонках. С учетом этого производится ряд расчетов. Вычисляется показатель посегментного прироста с учетом влияния сколиотического процесса для каждой стороны. При этом учитываются показатели нейтральных позвонков (измерены по рентгенограммам) и показатели верхушечного позвонка (рассчитан с учетом посегментного прироста показателей в норме и искажений, вносимых сколиотическим процессом).
10.2. Определяют посегментарный прирост показателей с учетом влияния сколиотического процесса

где F – относительный посегментарный прирост показателей с учетом влияния сколиотического процесса,
m – показатель нейтрального позвонка,
t – показатель верхушечного позвонка,
n – количество позвонков от m до t включительно.
Данный показатель высчитывается для каждой стороны индивидуально, так как параметры будут отличаться от нормальных.
10.3 Рассчитывают высоту и ширину ножек для каждого позвонка, входящего в состав сколиотической дуги
– в каудальном направлении:
К=t+F×п,
– в краниальном направлении
K=t-F×77,
где К – показатель позвонка;
10.4 Рассчитывают расстояния от корня дуги до вентральной пластинки для нейтральных позвонков:
S=(е2+r2)1/2,
где S – расстояние от корня дуги до вентральной пластинки в норме.
е – расстояние от вентральной кортикальной пластинки до основании корня дуги в сагитальной плоскости (определяется по боковой рентгенограмме).
r – половина интерпедикулярного расстояния (определяется по фасной рентгенограмме.).
Изобретение иллюстрируется рентгенограммами больных до и после проведения коррекции, запланированных согласно предложенному способу:
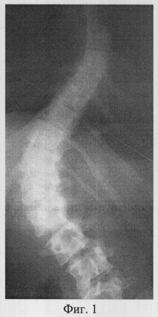
Фиг.1 – рентгенограмма в прямой проекции сколиотически измененного позвоночника больной К. до операции (грудопоясничная локализация);
Фиг.2 – рентгенограмма в боковой проекции сколиотически измененного позвоночника больной К. до операции (грудопоясничная локализация);
Фиг.3 – рентгенограмма в прямой проекции позвоночника больной К. после операции полисегментарной дорсальной коррекции и фиксации из заднего доступа транспедикулярными винтами;
Фиг.4 – рентгенограмма в боковой проекции позвоночника больной К. после полисегментарной дорсальной коррекции и фиксации из заднего доступа транспедикулярными винтами;
Фиг.5 – рентгенограмма в прямой проекции сколиотически измененного позвоночника больной M. до операции (грудная локализация);
Фиг.6 – рентгенограмма в боковой проекции сколиотически измененного позвоночника больной M. до операции (грудная локализация);
Фиг.7 – рентгенограмма в прямой проекции позвоночника больной M. после операции полисегментарной дорсальной коррекции и фиксации из заднего доступа;
Фиг.8 – рентгенограмма в боковой проекции позвоночника больной M. после операции полисегментарной дорсальной коррекции и фиксации из заднего доступа;
Фиг.9 – рентгенограмма в прямой проекции сколиотически измененного позвоночника больной X. до операции (грудная локализация);
Фиг.10 – рентгенограмма в боковой проекции сколиотически измененного позвоночника больной X. до операции (грудная локализация);
Фиг.11 – рентгенограмма в прямой проекции позвоночника больной X. после операции вентральной коррекции центрального угла деформации и фиксации из переднего доступа;
Фиг.12 – рентгенограмма в боковой проекции позвоночника больной X. после операции вентральной коррекции центрального угла деформации и фиксации из переднего доступа.
Пример 1. Больная К., 14 лет, 15.10.05 поступил в клинику детской ортопедии СарНИИТО по поводу диспластического прогрессирующего нестабильного правостороннего грудопоясничного компенсированного сколиоза IV степени.
В СарНИИТО ей были выполнена рентгенография в стандартных проекциях: фасная (фиг.1) и боковая (фиг.2) рентгенограммы.
По фасной рентгенограмме определены показатели позвоночника:
– угол сколиотической деформации по Кобб: стоя – 73°, лежа – 64°;
– индекс стабильности по Казьмину – 0.86;
– определена протяженность дуги в 13 позвонков (от Th5 до L5),
– вершина деформации Тh12.
По рентгенограммам проведена оценка зрелости костной ткани позвоночника: тест Риссера составил R-4, кольцевые апофизы тел позвонков по дуге искривления определяются лишь у позвонка Th5, что свидетельствует завершенности роста у больной.
Полученные данные сведены в таблицу 2.
В связи с протяженностью сколиотической дуги в 13 позвонков, локализацией центральной дуги в грудопоясничных отделах, завершенности роста больной, сделан вывод о возможности дорсальной полисегментарной коррекции сколиотической деформации и фиксации позвоночника из заднего доступа с созданием заднего спондилордеза.
Определили патологическую ротацию позвонков сколиотической дуги. Расчет свели в колонки 4-8 таблицы 2. На вершине деформации Th12 степень ротации составила 68°, поэтому для коррекции патологической ротации в поясничном отделе позвоночника необходима установка транспедикуллярных винтов.
Исходя из полученных данных определили диаметр транспедикулярных винтов для 4-го и 5-го поясничных позвонков – по 6 мм, длиной по 40 мм.
18.10.05 больной выполнена операция коррекции и фиксации сколиотической деформации полисегментарной двустержнерой системой типа CDI «Horizon» фирмы «Medronic» с введением двух транспедикулярных винтов.
По контрольным рентгенограммам в фасной (фиг.3) и боковой (фиг.4) проекциях, выполненных после операции, определили угол остаточной деформации по Кобб 16°, степени коррекции 57°, что соответствует 78% от первоначальной деформации.
Пример 2. Больная M., 15 лет, 12.10.04 поступила в клинику детской ортопедии СарНИИТО по поводу диспластического грудопоясничного правостороннего нестабильного прогрессирующего сколиоза III степени.
В СарНИИТО ей была выполнена рентгенография в стандартных проекциях: фасная (фиг.5) и боковая (фиг.6) рентгенограммы.
По фасной рентгенограмме определены показатели позвоночника:
– угол сколиотической деформации по Кобб: стоя – 63°, лежа – 48°;
– индекс стабильности по Казьмину – 0.87;
– определена протяженность дуги в 12 позвонков (от Th5 до L4),
– определена вершина деформации – Th11.
По рентгенограммам проведена оценка зрелости позвоночника: тест Риссера составил R-4, кольцевые апофизы тел позвонков не определяются на фоне тел по всей дуге искривления, что свидетельствует о завершенности роста больной.
Полученные данные сведены в таблицу 1.
В связи с протяженностью сколиотической дуги в 12 позвонков, локализацией центральной дуги в грудопоясничных отделах, завершенности роста больной сделан вывод о возможности проведения дорсальной коррекции сколиотической деформации и фиксации позвоночника из заднего доступа с созданием заднего спондилордеза.
Определили патологическую ротацию позвонков сколиотической дуги. Показатель патологической ротации на вершине деформации Th11 не превысил 43°, поэтому установка транспедикуллярных винтов не оправдана.
Заключение: необходимо проведение оперативной дорсальной коррекции и фиксации позвоночника двустержневой полисегментарной типа CDI «Horizon» фирмы «Medronic» с использованием дополнительных субламинарных проволочных петель
14.10.04 была выполнено запланированное оперативное вмешательство.
В послеоперационном периоде выполнены контрольные рентгенограммы: фасная фиг.6, боковая фиг.7. По фасной рентгенограмме определен угол остаточной деформации по Кобб – 23°, степень коррекции 40°, что составляет 64% от первоначальной деформации.
Пример 3. Больная X., 11 лет, 08.07.05 поступила в отдел новых технологий в вертебрологии и нейрохирургии СарНИИТО по поводу диспластического прогрессирующего нестабильного правостороннего грудопоясничного сколиоза III степени.
В СарНИИТО ей были выполнена рентгенография в стандартных проекциях: фасная (фиг.9) и боковая (фиг.10) рентгенограммы.
По фасной рентгенограмме определены следующие показатели позвоночника:
– угол сколиотической деформации по Кобб: стоя – 50°, лежа – 48°;
– индекс стабильности по Казьмину – 0,82;
– определена протяженность дуги в 7 позвонков (от Th3 до Тh11),
– определена вершина деформации – Th6.
Полученные данные сведены в таблицу 3.
По рентгенограммам проведена оценка зрелости позвоночника: тест Риссера составил R-1, кольцевые апофизы тел позвонков четко определены у тел Th4-Th9, Тh10 по дуге искривления, что свидетельствует о высокой потенции роста больной и прогрессировании деформации.
Поэтому выполнение оперативного вмешательства из заднего доступа в полном объеме невозможно. Выполнение заднего спондилодеза при протяженности деформации в 7 позвонков (Th3-Th11) в сочетании с высоким потенциалом роста и открытыми пластинками роста позвонков может привести в последующем к формированию тяжелой деформации позвоночника по типу синдром «коленчатого вала».
Заключение: при протяженности сколиотической дуги в 7 позвонков с вершиной деформации в пределах одного грудного отдела позволяет провести вентральную коррекцию центрального угла деформации и фиксацию металлоконструкцией из переднего доступа.
На основании расчета морфометрических параметров позвонков выбраны 8 винтов длинной по – 25 мм, диаметром по – 5 мм.
12.07.05 больной выполнена вентральная коррекция и фиксация сколиотической деформации из переднего доступа металоконструкцией «Antares» фирмы «Medronic».
В послеоперационном периоде выполнены контрольные рентгенограммы: в фасной (фиг.11) и боковой (фиг.12) проекциях. Угол остаточной деформации по Кобб 20°, степень коррекции 30°, что соответствует 60% от первоначальной деформации.
Медико-социальная эффективность способа заключается:
– в быстрой реабилитации и послеоперационной адаптации больных;
– в сокращении инвалидности и повышении качества жизни больных сколиотической болезнью.
| Таблица 1 |
| Способ планирования хирургической коррекции сколиотической деформации |
| Уровень позвонка |
Вершина |
Ротация позвонка % |
| T I |
п |
л |
п |
л |
| Т II |
|
|
|
|
| Т III |
|
|
|
|
| Т IV |
|
|
|
|
| T V |
н |
|
0 |
0 |
| Т VI |
|
|
7 |
7 |
| Т VII |
|
|
15 |
15 |
| Т VIII |
|
|
22 |
21 |
| Т IX |
|
|
29 |
29 |
| Т Х |
|
|
36 |
36 |
| Т XI |
в |
|
43 |
43 |
| Т XII |
|
|
36 |
36 |
| L I |
|
|
29 |
29 |
| L II |
|
|
22 |
21 |
| L III |
|
|
15 |
15 |
| L IV |
|
|
7 |
7 |
| L V |
н |
|
0 |
0 |
| Таблица 2 |
| Уровень позвонка |
Вершина |
Ротация позвонка % |
Высота ножки, мм |
Ширина ножки, мм |
Длина хорды, мм |
Сагиттальный диаметр тела позвонка, мм |
Фронтальный диаметр тела позвонка, мм |
| T I |
п |
л |
п |
л |
п |
л |
п |
л |
п |
л |
|
|
| T II |
|
|
|
|
|
|
|
|
|
|
|
|
| Т III |
|
|
|
|
|
|
|
|
|
|
|
|
| Т IV |
|
|
|
|
|
|
|
|
|
|
|
|
| T V |
н |
– |
– |
0 |
9,0 |
9,0 |
3,9 |
3,9 |
37,0 |
37,0 |
17,0 |
25,0 |
| Т VI |
|
|
– |
10 |
9,8 |
9,4 |
4,4 |
4,2 |
37,9 |
37,4 |
17,7 |
26,0 |
| Т VII |
|
|
– |
19 |
10,5 |
9,8 |
4,9 |
4,4 |
38,8 |
37,7 |
18,3 |
27,1 |
| TVIII |
|
|
– |
29 |
11,3 |
10,1 |
5,3 |
4,7 |
39,7 |
38,0 |
18,9 |
28,2 |
| Т IX |
|
|
– |
38 |
12,1 |
10,5 |
5,8 |
4,9 |
40,6 |
38,4 |
19,6 |
29,3 |
| Т Х |
|
|
– |
48 |
12,9 |
10,9 |
6,3 |
5,2 |
41,5 |
38,8 |
20,3 |
30,4 |
| Т XI |
|
|
– |
58 |
13,7 |
11,3 |
6,8 |
5,4 |
42,5 |
39,2 |
20,9 |
31,4 |
| Т XII |
в |
|
– |
68 |
14 |
12,0 |
7,0 |
5,9 |
42,9 |
40,1 |
21,6 |
32,5 |
| L I |
|
|
– |
56 |
14,5 |
12,8 |
|
6,4 |
43,3 |
41,1 |
22,2 |
33,6 |
| L II |
|
|
– |
42 |
14,8 |
13,6 |
7,6 |
6,9 |
43,7 |
42,0 |
22,9 |
34,7 |
| L III |
|
|
– |
28 |
15,2 |
14,4 |
7,9 |
7,4 |
44,1 |
43,0 |
23,6 |
35,8 |
| L IV |
|
|
– |
14 |
15,6 |
15,2 |
8,2 |
7,9 |
44,5 |
44,0 |
24,2 |
36,9 |
| L V |
н |
|
– |
0 |
16,0 |
16,0 |
8,5 |
8,5 |
45,0 |
45,0 |
25,0 |
38,0 |
| Таблица 3 |
| Способ планирования хирургической коррекции сколиотической деформации |
| Уровень позвонка |
Вершина |
Ротация позвонка % |
Сагитальный диаметр тела позвонка мм |
Фронтальный диаметр тела позвонка мм |
| T I |
пр |
лев |
п |
л |
|
|
| Т II |
|
|
|
|
|
|
| Т III |
н |
– |
– |
0 |
16,0 |
23,0 |
| Т IV |
|
|
– |
6 |
16,5 |
24,1 |
| T V |
|
|
– |
11 |
17,0 |
25,0 |
| Т VI |
|
|
– |
17 |
17,7 |
26,0 |
| Т VII |
в |
– |
– |
22 |
18,3 |
27,1 |
| Т VIII |
|
|
– |
17 |
18,9 |
28,2 |
| Т IX |
|
|
– |
11 |
19,6 |
29,3 |
| Т Х |
|
|
– |
6 |
20,3 |
30,4 |
| Т XI |
н |
– |
– |
0 |
20,9 |
31,4 |
| Т XII |
|
|
|
|
21,6 |
32,5 |
| L I |
|
|
|
|
22,2 |
33,6 |
| L II |
|
|
|
|
22,9 |
34,7 |
| L III |
|
|
|
|
23,6 |
35,8 |
| L IV |
|
|
|
|
24,2 |
36,9 |
| L V |
|
|
|
|
25,0 |
38,0 |
Формула изобретения
Способ планирования хирургической коррекции сколиотической деформации, включающий проведение обзорной и функциональной рентгенографии позвоночника в стандартных проекциях стоя и лежа, определение по спондилограммам апикального и концевых позвонков, локализации и протяженности дуг искривления и противоискривления, проведение количественного измерения величины сколиотической деформации с определением угла деформации по Кобб, ротации апикального позвонка, оценки степени зрелости костной ткани скелета по Риссеру, расчета мобильности деформированного позвоночника и протяженности спондилодеза, отличающийся тем, что при проведении рентгенометрии оценивают степень зрелости костной ткани позвонков по состоянию концевых апофизов тел позвонков, сопоставляя показатели степеней зрелости костной ткани, оценивают завершенность роста позвоночника, по показателям протяженности и локализации сколиотической дуги, угла деформации по Кобб, мобильности и завершенности роста позвоночника определяют возможность проведения дорсальной, вентральной или двухсторонней коррекции, делают выбор вида и степени коррекции, рассчитывают показатели ротации позвонков от апикального к концевым дуги искривления, по виду выбранной коррекции и степени ротации позвонков определяют номенклатуру рассчитываемых параметров позвонков сколиотической дуги, по которым проводят выбор типоразмера металлоконструкции, при этом оценку состояния концевых апофизов позвонков в грудном отделе проводят по спондилограммам в боковой проекции, а в поясничном отделе – по спондилограммам в прямой проекции; и, если показатель степени зрелости костной ткани скелета по Риссеру R4-R5 и отмечается слияние кольцевых апофизов с телами у всех позвонков сколиотической дуги, планируют дорсальную коррекцию; если протяженность сколиотической дуги в 8 и более позвонков, то планируют дорсальную коррекцию, а если менее 8 позвонков, то вентральную коррекцию; если локализация основной дуги деформации располагается в пределах только грудной или только брюшной области, то выбирают только вентральный доступ; если протяженность сколиотической дуги в 8 и более позвонков и невозможно выбрать дорсальный доступ, то проводят коррекцию центрального угла сколиотической деформации; если R0-R3 и/или открыты кольцевые апофизы у тел всех позвонков сколиотической дуги, то планируют коррекцию центрального угла деформации в 3-4 позвонков; при прогрессировании деформации в раннем возрасте планируют циркулярную двухстороннюю фиксацию позвоночника в два этапа: при R0-R3 и/или открытии кольцевых апофизов у тел всех позвонков сколиотической дуги проводят коррекцию центрального угла деформации из вентрального доступа, а при достижении R4-R5 и слиянии кольцевых апофизов с телами у всех позвонков сколиотической дуги – дополнительную коррекцию из дорсального доступа, для проведения вентральной коррекции рассчитывают фронтальный диаметр и высоту тела каждого позвонка, а для дорсальной – высоту и ширину корня дужки, интерпедикулярное расстояние, педикулярные углы, расстояние от корня дужки до вентральной пластинки по сторонам деформации каждого позвонка; если ротация позвонков в поясничном и нижнегрудном отделах позвоночника более 50°, то планируют установку транспедикулярных винтов.
РИСУНКИ
|